The Protective Effects of Perch Essence Against Muscle Atrophy in Cancer Cachexia and Cisplatin Treatment
Abstract
1. Introduction
2. Materials and Methods
2.1. Materials
2.2. Animal Study
2.2.1. Colon-26 Tumor-Bearing Mouse of Cachexia
2.2.2. CDDP-Induced Mouse Muscle Atrophy
2.2.3. Tissue and Blood Sample Collection and Processing
2.3. Forelimb Grip Strength Test
2.4. Muscle Fiber Size
2.5. Total Protein Extraction and Western Blotting
2.6. RNA Isolation and Real-Time Reverse-Transcriptase PCR (Real-Time RT-PCR)
2.7. Glylcogen, Proinflammatory Cytokine, and Lipid Peroxidation Levels
2.8. Statistical Analysis
3. Results
3.1. PE Reduces Body Weight Loss and Increases Food Intake in Tumor-Bearing Mice
3.2. PE Prevents MLGS Reduction, Inflammation, Oxidative Stress, and Muscle Atrophy in Tumor-Bearing Mice
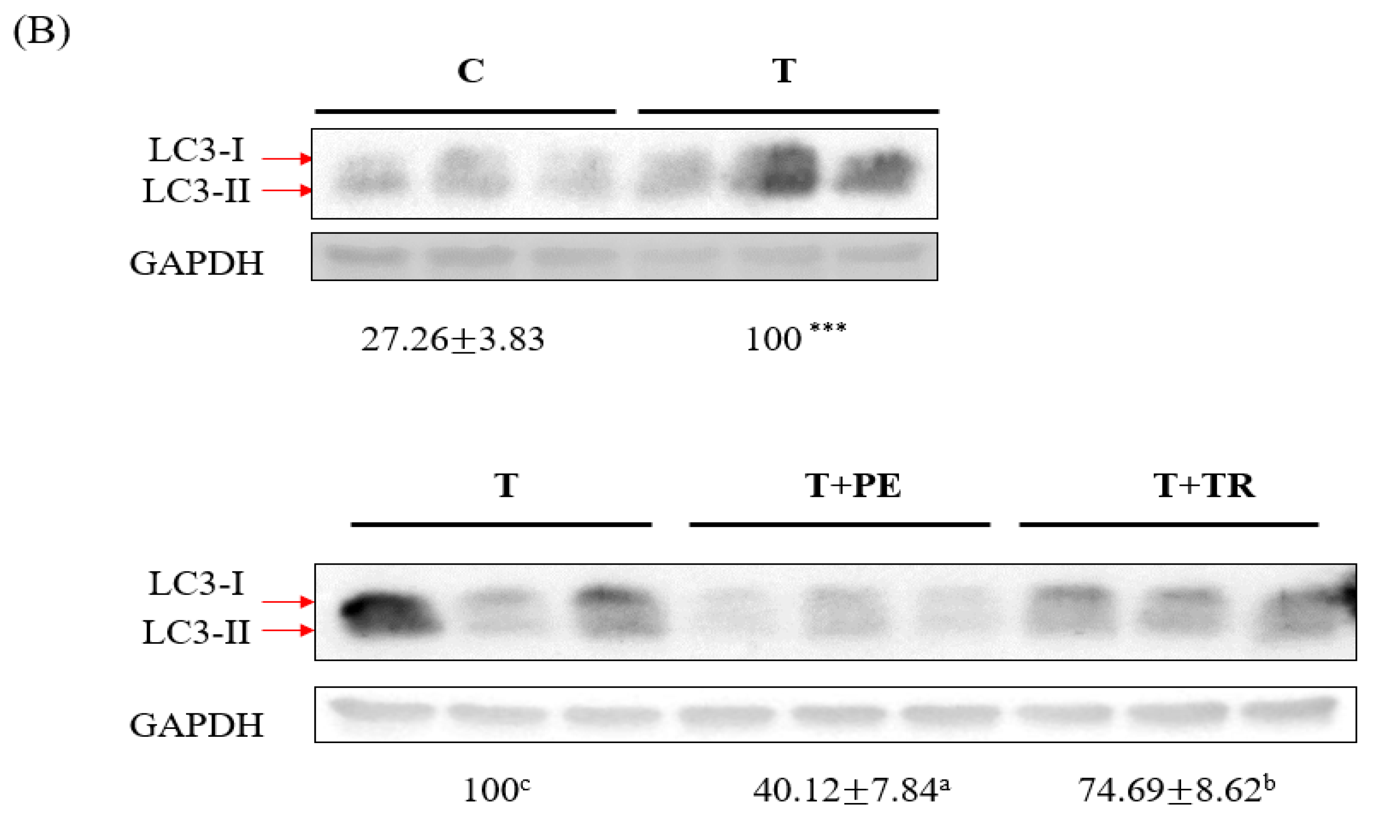
3.3. PE Ameliorates the Expression of Muscle-Degraded and Apoptosis-Associated Proteins
3.4. PE Supplementation Increases p-Akt, p-FoxO1 but Decreases p-NF-κB p65 Protein Expression in the Gastrocnemius Muscle in Cancer-Bearing Mice
3.5. PE Increases Antioxidant Enzymes in Gastrocnemius Muscle in Tumor-Bearing Mice
3.6. PE Suppresses Cisplatin-Induced Muscle Atrophy
4. Discussion
Author Contributions
Funding
Institutional Review Board Statement
Data Availability Statement
Conflicts of Interest
References
- Sadeghi, M.; Keshavarz-Fathi, M.; Baracos, V.; Arends, J.; Mahmoudi, M.; Rezaei, N. Cancer cachexia: Diagnosis, assessment, and treatment. Crit. Rev. Oncol. Hematol. 2018, 127, 91–104. [Google Scholar] [CrossRef] [PubMed]
 - Coletti, D. Chemotherapy-induced muscle wasting: An update. Eur. J. Transl. Myol. 2018, 28, 7587. [Google Scholar] [CrossRef] [PubMed]
 - Bozzetti, F. Chemotherapy-Induced Sarcopenia. Curr. Treat. Options Oncol. 2020, 21, 7. [Google Scholar] [CrossRef] [PubMed]
 - Neshan, M.; Tsilimigras, D.I.; Han, X.; Zhu, H.; Pawlik, T.M. Molecular Mechanisms of Cachexia: A Review. Cells 2024, 13, 252. [Google Scholar] [CrossRef]
 - van de Worp, W.; Schols, A.; Theys, J.; van Helvoort, A.; Langen, R.C.J. Nutritional Interventions in Cancer Cachexia: Evidence and Perspectives From Experimental Models. Front. Nutr. 2020, 7, 601329. [Google Scholar] [CrossRef]
 - Yang, W.; Huang, J.; Wu, H.; Wang, Y.; Du, Z.; Ling, Y.; Wang, W.; Wu, Q.; Gao, W. Molecular mechanisms of cancer cachexia-induced muscle atrophy (Review). Mol. Med. Rep. 2020, 22, 4967–4980. [Google Scholar] [CrossRef]
 - Martin, A.; Gallot, Y.S.; Freyssenet, D. Molecular mechanisms of cancer cachexia-related loss of skeletal muscle mass: Data analysis from preclinical and clinical studies. J. Cachexia Sarcopenia Muscle 2023, 14, 1150–1167. [Google Scholar] [CrossRef]
 - Sandri, M. Protein breakdown in cancer cachexia. Semin. Cell Dev. Biol. 2016, 54, 11–19. [Google Scholar] [CrossRef]
 - Conte, E.; Bresciani, E.; Rizzi, L.; Cappellari, O.; De Luca, A.; Torsello, A.; Liantonio, A. Cisplatin-Induced Skeletal Muscle Dysfunction: Mechanisms and Counteracting Therapeutic Strategies. Int. J. Mol. Sci. 2020, 21, 1242. [Google Scholar] [CrossRef]
 - Zhang, H.; Qi, G.; Wang, K.; Yang, J.; Shen, Y.; Yang, X.; Chen, X.; Yao, X.; Gu, X.; Qi, L.; et al. Oxidative stress: Roles in skeletal muscle atrophy. Biochem. Pharmacol. 2023, 214, 115664. [Google Scholar] [CrossRef]
 - Webster, J.M.; Kempen, L.; Hardy, R.S.; Langen, R.C.J. Inflammation and Skeletal Muscle Wasting During Cachexia. Front. Physiol. 2020, 11, 597675. [Google Scholar] [CrossRef] [PubMed]
 - Barreiro, E.; de la Puente, B.; Busquets, S.; Lopez-Soriano, F.J.; Gea, J.; Argiles, J.M. Both oxidative and nitrosative stress are associated with muscle wasting in tumour-bearing rats. FEBS Lett. 2005, 579, 1646–1652. [Google Scholar] [CrossRef] [PubMed]
 - Mastrocola, R.; Reffo, P.; Penna, F.; Tomasinelli, C.E.; Boccuzzi, G.; Baccino, F.M.; Aragno, M.; Costelli, P. Muscle wasting in diabetic and in tumor-bearing rats: Role of oxidative stress. Free Radic. Biol. Med. 2008, 44, 584–593. [Google Scholar] [CrossRef]
 - Perkins, N.D. The Rel/NF-kappa B family: Friend and foe. Trends Biochem. Sci. 2000, 25, 434–440. [Google Scholar] [CrossRef]
 - Cai, D.; Frantz, J.D.; Tawa, N.E., Jr.; Melendez, P.A.; Oh, B.C.; Lidov, H.G.; Hasselgren, P.O.; Frontera, W.R.; Lee, J.; Glass, D.J.; et al. IKKbeta/NF-kappaB activation causes severe muscle wasting in mice. Cell 2004, 119, 285–298. [Google Scholar] [CrossRef]
 - Rhoads, M.G.; Kandarian, S.C.; Pacelli, F.; Doglietto, G.B.; Bossola, M. Expression of NF-kappaB and IkappaB proteins in skeletal muscle of gastric cancer patients. Eur. J. Cancer 2010, 46, 191–197. [Google Scholar] [CrossRef] [PubMed]
 - Reed, S.A.; Sandesara, P.B.; Senf, S.M.; Judge, A.R. Inhibition of FOXO transcriptional activity prevents muscle fiber atrophy during cachexia and induces hypertrophy. FASEB J. 2012, 26, 987–1000. [Google Scholar] [CrossRef] [PubMed]
 - Sandri, M.; Sandri, C.; Gilbert, A.; Skurk, C.; Calabria, E.; Picard, A.; Walsh, K.; Schiaffino, S.; Lecker, S.H.; Goldberg, A.L. Foxo transcription factors induce the atrophy-related ubiquitin ligase atrogin-1 and cause skeletal muscle atrophy. Cell 2004, 117, 399–412. [Google Scholar] [CrossRef]
 - Giacosa, A.; Rondanelli, M. Fish oil and treatment of cancer cachexia. Genes. Nutr. 2008, 3, 25–28. [Google Scholar] [CrossRef]
 - Herningtyas, E.H.; Okimura, Y.; Handayaningsih, A.E.; Yamamoto, D.; Maki, T.; Iida, K.; Takahashi, Y.; Kaji, H.; Chihara, K. Branched-chain amino acids and arginine suppress MaFbx/atrogin-1 mRNA expression via mTOR pathway in C2C12 cell line. Biochim. Biophys. Acta 2008, 1780, 1115–1120. [Google Scholar] [CrossRef]
 - Hsu, T.H.; Wu, T.J.; Tai, Y.A.; Huang, C.S.; Liao, J.W.; Yeh, S.L. The combination of quercetin and leucine synergistically improves grip strength by attenuating muscle atrophy by multiple mechanisms in mice exposed to cisplatin. PLoS ONE 2023, 18, e0291462. [Google Scholar] [CrossRef] [PubMed]
 - Morisasa, M.; Yoshida, E.; Fujitani, M.; Kimura, K.; Uchida, K.; Kishida, T.; Mori, T.; Goto-Inoue, N. Fish Protein Promotes Skeletal Muscle Hypertrophy via the Akt/mTOR Signaling Pathways. J. Nutr. Sci. Vitaminol. 2022, 68, 23–31. [Google Scholar] [CrossRef] [PubMed]
 - Chen, C.Y.; Yuen, H.M.; Lin, C.C.; Hsu, C.C.; Bernard, J.R.; Chen, L.N.; Liao, Y.H.; Tsai, S.C. Anti-fatigue Effects of Sante Premium Silver Perch Essence on Exhaustive Swimming Exercise Performance in Rats. Front. Physiol. 2021, 12, 651972. [Google Scholar] [CrossRef]
 - Lin, C.C.; Hsieh, C.Y.; Chen, L.N.; Lee, M.H.; Ting, Y.H.; Wang, T.M.; Chang, J.F. Perch essence prevents cell death to improve skeletal muscle mass and strength: Evidence from in vitro and human model. Funct. Foods Health Dis. 2023, 13, 547–558. [Google Scholar] [CrossRef]
 - Lin, C.C.; Chang, H.; Chang, J.; Hung, Y.T. The protein profile of perch essence and its improvement of metabolic syndrome in vitro. MOJ Food Process. Technol. 2022, 10, 12–14. [Google Scholar] [CrossRef]
 - Wojcikowski, K.; Gobe, G. Animal studies on medicinal herbs: Predictability, dose conversion and potential value. Phytother. Res. 2014, 28, 22–27. [Google Scholar] [CrossRef]
 - Lee, M.C.; Hsu, Y.J.; Lin, Y.Q.; Chen, L.N.; Chen, M.T.; Huang, C.C. Effects of perch essence supplementation on improving exercise performance and anti-fatigue in mice. Int. J. Environ. Res. Public Health 2022, 19, 1155. [Google Scholar] [CrossRef]
 - Chen, P.Y.; Liu, C.S.; Lin, L.Y.; Lin, Y.C.; Sun, H.L.; Li, C.C.; Chen, H.W.; Wang, T.S.; Wang, J.; Liu, K.L. Borage oil supplementation decreases lipopolysaccharide-induced inflammation and skeletal muscle wasting in mice. RSC Adv. 2016, 6, 100174–100185. [Google Scholar] [CrossRef]
 - Rom, O.; Reznick, A.Z. The role of E3 ubiquitin-ligases MuRF-1 and MAFbx in loss of skeletal muscle mass. Free Radic. Biol. Med. 2016, 98, 218–230. [Google Scholar] [CrossRef]
 - Xing, L.; Wang, Z.; Hao, Y.; Zhang, W. Marine products as a promising resource of bioactive peptides: Update of extraction strategies and their physiological regulatory effects. J. Agric. Food Chem. 2022, 70, 3081–3095. [Google Scholar] [CrossRef]
 - Ranathunga, S.; Rajapakse, N.; Kim, S.K. Purification and characterization of antioxidative peptide derived from muscle of conger eel (Conger myriaster). Eur. Food Res. Technol. 2006, 222, 310–315. [Google Scholar] [CrossRef]
 - Moya Moreira, T.F.; Gonçalves, O.H.; Leimann, F.V.; Ribeiro, R.P. Fish protein hydrolysates: Bioactive properties, encapsulation and new technologies for enhancing peptides bioavailability. Curr. Pharm. Des. 2023, 29, 824–836. [Google Scholar] [CrossRef] [PubMed]
 - Zhang, Q.T.; Liu, Z.D.; Wang, Z.; Wang, T.; Wang, N.; Wang, N.; Zhang, B.; Zhao, Y.F. recent advances in small peptides of marine origin in cancer therapy. Mar. Drugs 2021, 19, 115. [Google Scholar] [CrossRef] [PubMed]
 - Jackson, K.M.; Cole, C.L.; Dunne, R.F. From bench to bedside: Updates in basic science, translational and clinical research on muscle fatigue in cancer cachexia. Curr. Opin. Clin. Nutr. Metab. Care 2021, 24, 216–222. [Google Scholar] [CrossRef]
 - Song, W.H.; Kim, H.Y.; Lim, Y.S.; Hwang, S.Y.; Lee, C.; Lee, D.Y.; Moon, Y.; Song, Y.J.; Yoon, S. Fish collagen peptides protect against cisplatin-induced cytotoxicity and oxidative injury by inhibiting mapk signaling pathways in mouse thymic epithelial cells. Mar. Drugs 2022, 20, 232. [Google Scholar] [CrossRef]
 - Lin, Y.A.; Chu, P.Y.; Ma, W.L.; Cheng, W.C.; Chan, S.T.; Yang, J.C.; Wu, Y.C. Enzyme-digested peptides derived from Lates calcarifer enhance wound healing after surgical incision in a murine model. Mar. Drugs 2021, 19, 154. [Google Scholar] [CrossRef]
 - Ortenblad, N.; Westerblad, H.; Nielsen, J. Muscle glycogen stores and fatigue. J. Physiol. 2013, 591, 4405–4413. [Google Scholar] [CrossRef]
 - Frontera, W.R.; Ochala, J. Skeletal muscle: A brief review of structure and function. Calcif. Tissue Int. 2015, 96, 183–195. [Google Scholar] [CrossRef]
 - Zhou, H.H.; Liao, Y.; Peng, Z.; Liu, F.; Wang, Q.; Yang, W. Association of muscle wasting with mortality risk among adults: A systematic review and meta-analysis of prospective studies. J. Cachexia Sarcopenia Muscle 2023, 14, 1596–1612. [Google Scholar] [CrossRef]
 









| C | T | T+PE | T+TR | |
|---|---|---|---|---|
| Body weight | ||||
| Before tumor cell injection (g) | 19.64 ± 1.29 | 20.42 ± 1.16 | 20.08 ± 0.90 | 20.70 ± 1.34 | 
| Net body weight three weeks after tumor cell injection (g) | 25.50 ± 0.97 | 17.39 ± 1.72 * | 19.22 ± 1.19 | 18.66 ± 1.58 | 
| Change in body weight (%) | 28.74 ± 5.50 | −13.45 ± 6.15 *** | −7.38 ± 6.17 | −9.92 ± 5.59 | 
| Tumor weight | - | 1958.02  ± 261.92  | 1932.15  ± 170.69  | 2006.81  ± 210.23  | 
| Food intake | ||||
| Week 1 | 4.110.35 | 3.380.18 *** | 3.280.07 | 3.370.20 | 
| Week 2 | 4.190.37 | 2.820.37 *** | 2.880.18 | 2.80.48 | 
| Week 3 | 3.840.43 | 1.78032 *** | 2.060.45 | 1.950.32 | 
| Water intake | ||||
| Week 1 | 5.020.50 | 4.400.32 *** | 4.650.49 | 4.560.46 | 
| Week 2 | 5.420.53 | 4.560.52 ***a | 5.040.62 b | 4.930.83 a | 
| Week 3 | 5.261.18 | 3.921.22 *** | 4.030.62 | 3.870.90 | 
| C | T | T+PE | T+TR | |
|---|---|---|---|---|
| MLGS | ||||
| Before tumor-bearing | 109.96 ± 3.44 | 107.72 ± 5.73 | 108.40 ± 9.30 | 108.78 ± 5.16 | 
| Three weeks after tumor-bearing | 167.71 ± 6.66 | 121.16 ± 18.59 ***a | 140.22 ± 11.70 b | 125.38 ± 12.72 a | 
| Muscle Weight | C | T | T+PE | T+TR | 
| Triceps muscle (mg) | 98.35 ± 11.28 | 64.21 ± 8.14 *** | 71.26 ± 7.51 | 68.14 ± 7.99 | 
| Quadriceps muscle (mg) | 164.45 ± 13.85 | 88.39 ± 11.63 *** | 102.02 ± 17.74 | 97.66 ± 11.55 | 
| Gastrocnemius muscle (mg) | 126.85 ± 7.40 | 78.39 ± 13.21 *** | 87.80 ± 9.64 | 85.65 ± 10.85 | 
| Plasma IL-6 concentration (pg/μL) | 1.83 ± 1.78 | 182.6 ± 48.03 ***b | 134.3 ± 46.48 a | 119.52 ± 51.46 a | 
| Gastrocnemius IL-1 mRNA (%) | 45 ± 15 | 100 ***b | 57 ± 13 a | 92 ± 43 b | 
| Red blood cells TBARs (MDA μmole/g protein)  | 0.69 ± 0.03 | 0.75 ± 0.04 **c | 0.70 ± 0.03 b | 0.62 ± 0.05 a | 
| Food Intake (g/day) | ||||||
|---|---|---|---|---|---|---|
| Week | Day | Control | CDDP | CDDP+2XPE | CDDP+1XPE | CDDP+TR | 
| 1 | 4 ^ | 3.6 ± 0.4 | 2.4 ± 0.6 | 2.8 ± 0.1 | 2.6 ± 0.3 | 3.1 ± 0.2 | 
| 8 | 3.4 ± 0.1 | 3.5 ± 0.3 | 3.4 ± 0.2 | 3.3 ± 0.2 | 3.5 ± 0.1 | |
| 2 | 11 ^ | 3.7 ± 0.1 | 2.7 ± 0.2 * | 3.0 ± 0.2 | 3.0 ± 0.2 | 2.9 ± 0.4 | 
| 15 | 3.6 ± 0.1 | 3.1 ± 0.3 | 3.3 ± 0.1 | 3.0 ± 0.3 | 3.2 ± 0.2 | |
| 3 | 18 ^ | 3.5 ± 0.0 | 2.5 ± 0.2 **a | 3.1 ± 0.4 b | 2.6 ± 0.2 ab | 2.7 ± 0.3 ab | 
| 22 | 3.6 ± 0.1 | 3.1 ± 0.1 * | 3.4 ± 0.1 | 3.0 ± 0.3 | 3.2 ± 0.2 | |
| 4 | 25 ^ | 3.4 ± 0.5 | 2.1 ± 0.1 | 2.6 ± 0.5 | 2.4 ± 0.2 | 2.4 ± 0.3 | 
| 29 | 3.5 ± 0.1 | 3.0 ± 0.1 * | 3.4 ± 0.2 | 3.0 ± 0.4 | 3.1 ± 0.4 | |
| 5 | 32 ^ | 3.8 ± 0.1 | 1.9 ± 0.1 ***a | 2.6 ± 0.1 b | 2.2 ± 0.4 ab | 2.3 ± 0.1 ab | 
| 36 | 3.7 ± 0.1 | 2.6 ± 0.2 ** | 3.2 ± 0.2 | 2.7 ± 0.4 | 3.0 ± 0.5 | |
| 6 | 39 ^ | 4.1 ± 0.0 | 2.5 ± 0.3 ** | 2.7 ± 0.2 | 2.5 ± 0.3 | 2.7 ± 0.4 | 
| 43 | 4.0 ± 0.3 | 2.8 ± 0.1 ** | 3.3 ± 0.2 | 2.9 ± 0.4 | 3.1 ± 0.4 | |
| 7 | 46 ^ | 3.7 ± 0.4 | 2.0 ± 0.2 a | 2.5 ± 0.1 b | 2.4 ± 0.4 ab | 2.6 ± 0.4 ab | 
| 50 | 3.9 ± 0.2 | 2.4 ± 0.2 **a | 3.6 ± 0.3 b | 2.7 ± 0.4 a | 3.1 ± 0.6 ab | |
| 8 | 53 ^ | 4.0 ± 0.1 | 2.1 ± 0.3 ** | 2.6 ± 0.4 | 2.3 ± 0.3 | 2.4 ± 0.5 | 
| 57 | 3.8 ± 0.2 | 2.1 ± 0.1 a | 3.0 ± 0.2 b | 2.5 ± 0.5 ab | 2.7 ± 0.6 ab | |
| 9 | 60 ^ | 3.4 ± 0.2 | 1.6 ± 0.3 ** | 2.9 ± 0.7 | 2.6 ± 0.3 | 2.8 ± 1.0 | 
| Control | CDDP | CDDP +2XPE  | CDDP +1XPE  | CDDP+TR | |
|---|---|---|---|---|---|
| Body weight | |||||
| Before CDDP injection (g) | 20.6 ± 2.0 | 20.5 ± 1.2 | 20.6 ± 1.2 | 20.5 ± 0.8 | 20.7 ± 1.5 | 
| At the end of the experiment (g) | 28.7 ± 2.1 | 19.6 ± 2.0 ***a | 23.6 ± 2.5 b | 22.4 ± 3.1 b | 22.8 ± 1.9 b | 
| Change at the end of the experiment (g) | 8.4 ± 1.3 | −0.9 ± 2.3 ***a | 3.0 ± 1.8 b | 1.8 ± 3.0 b | 2.1 ± 2.6 b | 
| Muscle weight | |||||
| Triceps muscle (mg) | 200.3 ± 22.7 | 162.9 ± 20.3 ** | 187.2 ± 30.7 | 169.6 ± 16.5 | 169.7 ± 20.1 | 
| Quadriceps muscle (mg) | 417.8 ± 68.1 | 332.3 ± 44.2 ** | 361.9 ± 48.0 | 352.4 ± 50.3 | 352.0 ± 26.9 | 
| Gastrocnemius muscle (mg) | 294.1 ± 21.9 | 230.4 ± 14.1 ***a | 264.6 ± 17.5 b | 291.9 ± 12.8 c | 242.5 ± 14.8 a | 
| MLGS | |||||
| At week 4 (gf) | 106.8 ± 7.9 | 73.5 ± 18.2 ***a | 121.6 ± 16.9 c | 109.8 ± 12.1 bc | 104.2 ± 12.8 b | 
| At week 8 (gf) | 116.1 ± 10.7 | 72.8 ± 14.4 ***a | 111.5 ± 11.0 c | 104.4 ± 11.1 c | 88.6 ± 14.0 b | 
| Triceps muscle glycogen (mg/g protein) | 49.4 ± 3.8 | 38.6 ± 4.7 **a | 47.1 ± 3.6 b | 46.1 ± 2.3 b | 35.0 ± 3.5 a | 
| Plasma TNF-α concentration (pg/mL) | 5.8 ± 0.8 | 7.9 ± 1.3 **c | 3.9 ± 1.2 b | 2.1 ± 0.4 a | 2.4 ± 0.9 a | 
| Plasma IL-6  concentration (pg/mL)  | 12.7 ± 0.6 | 16.3 ± 1.0 ***c | 11.1 ± 1.0 b | 9.35 ± 1.0 a | 11.2 ± 0.7 b | 
| Gastrocnemius TNF-α mRNA (%) | 53 ± 17 | 100 ± 0 *b | 34 ± 21 a | 43 ± 16 a | 37 ± 23 a | 
| Gastrocnemius IL-1β mRNA (%) | 29 ± 13 | 100 ± 0 ***b | 40 ± 10 a | 40 ± 20 a | 141 ± 40 c | 
| Gastrocnemius TBARs (malondialdehyde mol/mg protein)  | 0.3 ± 0.0 | 0.3 ± 0.0 b | 0.3 ± 0.0 ab | 0.2 ± 0.0 a | 0.3 ± 0.0 b | 
Disclaimer/Publisher’s Note: The statements, opinions and data contained in all publications are solely those of the individual author(s) and contributor(s) and not of MDPI and/or the editor(s). MDPI and/or the editor(s) disclaim responsibility for any injury to people or property resulting from any ideas, methods, instructions or products referred to in the content.  | 
© 2025 by the authors. Licensee MDPI, Basel, Switzerland. This article is an open access article distributed under the terms and conditions of the Creative Commons Attribution (CC BY) license (https://creativecommons.org/licenses/by/4.0/).
Share and Cite
Yeh, S.-L.; Chen, P.-Y.; Liao, J.-W.; Huang, R.-L.; Yu, S.-H.; Chen, L.-N.; Lee, M.-H.; Chen, L.-W.; Chen, H.-W.; Yang, Y.-C.; et al. The Protective Effects of Perch Essence Against Muscle Atrophy in Cancer Cachexia and Cisplatin Treatment. Curr. Issues Mol. Biol. 2025, 47, 152. https://doi.org/10.3390/cimb47030152
Yeh S-L, Chen P-Y, Liao J-W, Huang R-L, Yu S-H, Chen L-N, Lee M-H, Chen L-W, Chen H-W, Yang Y-C, et al. The Protective Effects of Perch Essence Against Muscle Atrophy in Cancer Cachexia and Cisplatin Treatment. Current Issues in Molecular Biology. 2025; 47(3):152. https://doi.org/10.3390/cimb47030152
Chicago/Turabian StyleYeh, Shu-Lan, Pei-Yin Chen, Jiunn-Wang Liao, Ruo-Li Huang, Shu-Han Yu, Ling-Ni Chen, Mao-Hsiang Lee, Li-Wen Chen, Haw-Wen Chen, Ya-Chen Yang, and et al. 2025. "The Protective Effects of Perch Essence Against Muscle Atrophy in Cancer Cachexia and Cisplatin Treatment" Current Issues in Molecular Biology 47, no. 3: 152. https://doi.org/10.3390/cimb47030152
APA StyleYeh, S.-L., Chen, P.-Y., Liao, J.-W., Huang, R.-L., Yu, S.-H., Chen, L.-N., Lee, M.-H., Chen, L.-W., Chen, H.-W., Yang, Y.-C., Wu, Y.-L., & Liu, K.-L. (2025). The Protective Effects of Perch Essence Against Muscle Atrophy in Cancer Cachexia and Cisplatin Treatment. Current Issues in Molecular Biology, 47(3), 152. https://doi.org/10.3390/cimb47030152
        
                                                
