Evaluation of Rice Traits Containing H9N2 Subtype Avian Influenza HA Protein Before Commercialization
Abstract
1. Introduction
2. Materials and Methods
2.1. Plant Materials and Measuring Tools
2.2. DNA Extraction from Rice Leaves and Spikes
2.3. Acquisition and qPCR Detection of cDNA in Rice Leaves
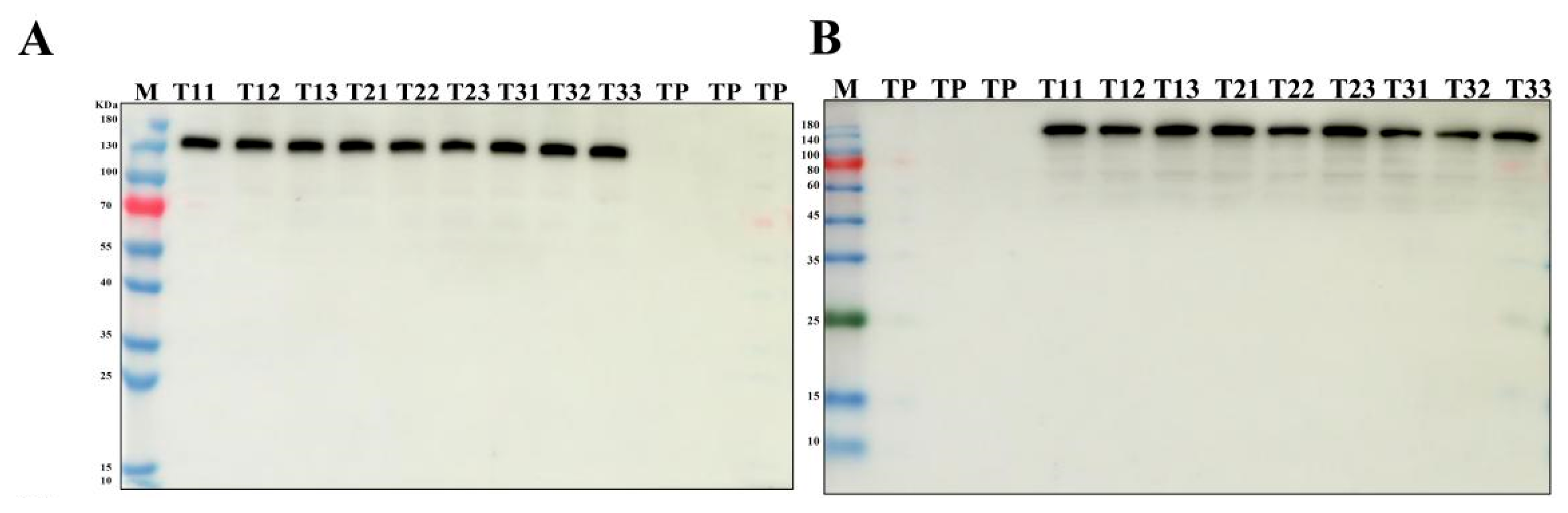
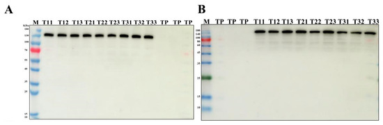
2.4. Western Blot
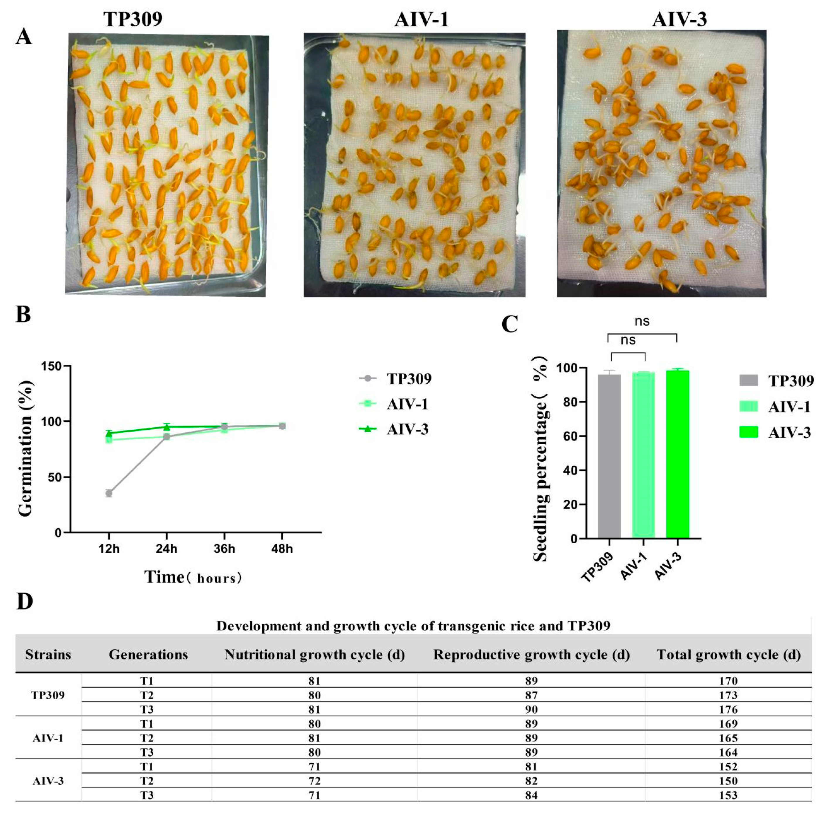
2.5. Evaluation of Germination and Seedling Emergence Rate
2.6. Developmental Cycle Analysis
2.7. Evaluation of Comprehensive Agronomic Traits
2.8. Scanning Electron Microscope Observation of Rice Seeds
2.9. Identification of Pollen Viability by Iodine–Potassium Iodide Staining Method
2.10. Field Biodiversity Evaluation
2.11. Statistical Analysis
3. Results
3.1. Stable Expression of Ha Antigen in Different Generations of Rice
3.2. Combined Agronomic Traits of Generation T1–T3 Transformant Strains and TP309
3.3. Grain Phenotypes of Generation T1–T3 Transformant Strains and Tp309
3.4. Scanning Electron Microscope Observation of the Internal Structure of Tp309, AIV-1, and AIV-3
3.5. Germination and Seedling Percentage Assessment of AIV-1 and AIN-3 Transgenic Rice
3.6. Comparison of Pollen Viability Between Transformant Strains of Generations T1–T3 and Tp309
3.7. Safety Evaluation of Rice Strains Transgenic for AIV-1 and AIV-3
4. Discussion
5. Conclusions
Supplementary Materials
Author Contributions
Funding
Institutional Review Board Statement
Informed Consent Statement
Data Availability Statement
Acknowledgments
Conflicts of Interest
References
- Sun, Y.; Liu, J. H9N2 influenza virus in China: A cause of concern. Protein Cell 2015, 6, 18–25. [Google Scholar] [CrossRef]
- Zhu, S.; Nie, Z.; Che, Y.; Shu, J.; Wu, S.; He, Y.; Wu, Y.; Qian, H. The Chinese Hamster Ovary Cell-Based H9 HA Subunit Avian Influenza Vaccine Provides Complete Protection against the H9N2 Virus Challenge in Chickens. Viruses 2024, 16, 163. [Google Scholar] [CrossRef]
- Zhai, K.; Dong, J.; Zeng, J.; Cheng, P.; Wu, X.; Han, W.; Chen, Y.; Qiu, Z. Global antigenic landscape and vaccine recommendation strategy for low pathogenic avian influenza A (H9N2) viruses. J. Infect. 2024, 89, 106199. [Google Scholar] [CrossRef]
- Wei, Y.; Qi, L.; Gao, H.; Sun, H.; Pu, J.; Sun, Y.; Liu, J. Generation and protective efficacy of a cold-adapted attenuated avian H9N2 influenza vaccine. Sci. Rep. 2016, 6, 30382. [Google Scholar] [CrossRef]
- Yang, W.; Dai, J.; Liu, J.; Guo, M.; Liu, X.; Hu, S.; Gu, M.; Hu, J. Intranasal Immunization with a Recombinant Avian Paramyxovirus Serotypes 2 Vector-Based Vaccine Induces Protection against H9N2 Avian Influenza in Chicken. Viruses 2022, 14, 918. [Google Scholar] [CrossRef]
- Teng, Q.; Shen, W.; Liu, Q.; Rong, G.; Chen, L.; Li, X.; Chen, H.; Yang, J. Protective efficacy of an inactivated vaccine against H9N2 avian influenza virus in ducks. Virol. J. 2015, 12, 143. [Google Scholar] [CrossRef] [PubMed]
- Song, C.L.; Liao, Z.H.; Shen, Y.; Wang, H.; Lin, W.C.; Li, H.; Chen, W.G.; Xie, Q.M. Assessing the efficacy of a recombinant H9N2 avian influenza virus-inactivated vaccine. Poult. Sci. 2020, 99, 4334–4342. [Google Scholar] [CrossRef] [PubMed]
- Liu, S.; Zhuang, Q.; Wang, S.; Jiang, W.; Jin, J.; Peng, C.; Hou, G.; Li, J. Control of avian influenza in China: Strategies and lessons. Transbound. Emerg. Dis. 2020, 67, 1463–1471, Erratum in Transbound. Emerg. Dis. 2021, 68, 208. [Google Scholar] [CrossRef] [PubMed]
- Dong, J.; Zhou, Y.; Pu, J.; Liu, L. Status and Challenges for Vaccination against Avian H9N2 Influenza Virus in China. Life 2022, 12, 1326. [Google Scholar] [CrossRef]
- Zhu, Q.; Tan, J.; Liu, Y.G. Molecular farming using transgenic rice endosperm. Trends Biotechnol. 2022, 40, 1248–1260. [Google Scholar] [CrossRef]
- Zahmanova, G.; Aljabali, A.A.A.; Takova, K.; Minkov, G.; Tambuwala, M.M.; Minkov, I.; Lomonossoff, G.P. Green Biologics: Harnessing the Power of Plants to Produce Pharmaceuticals. Int. J. Mol. Sci. 2023, 24, 17575. [Google Scholar] [CrossRef]
- Yuki, Y.; Kiyono, H. Mucosal vaccines: Novel advances in technology and delivery. Expert Rev. Vaccines 2009, 8, 1083–1097. [Google Scholar] [CrossRef]
- Yuki, Y.; Kiyono, H. [MucoRice: Development of rice-based oral vaccine]. Nihon Rinsho Meneki Gakkai Kaishi 2008, 31, 369–374. [Google Scholar] [CrossRef][Green Version]
- Wu, Z.; Zhang, Q.; Guo, Y.; Yang, H.; Yang, T. [Improving the production of plant-based recombinant protein: A review]. Sheng Wu Gong Cheng Xue Bao 2022, 38, 2784–2797. [Google Scholar] [PubMed]
- Stander, J.; Mbewana, S.; Meyers, A.E. Plant-Derived Human Vaccines: Recent Developments. BioDrugs 2022, 36, 573–589. [Google Scholar] [CrossRef]
- Santoni, M.; Gecchele, E.; Zampieri, R.; Avesani, L. Plant-Based Systems for Vaccine Production. Methods Mol. Biol. 2022, 2412, 95–115. [Google Scholar]
- Sang, Y.; Millwood, R.J.; Neal Stewart, C., Jr. Gene use restriction technologies for transgenic plant bioconfinement. Plant Biotechnol. J. 2013, 11, 649–658. [Google Scholar] [CrossRef] [PubMed]
- Nochi, T.; Takagi, H.; Yuki, Y.; Yang, L.; Masumura, T.; Mejima, M.; Nakanishi, U.; Matsumura, A. Rice-based mucosal vaccine as a global strategy for cold-chain- and needle-free vaccination. Proc. Natl. Acad. Sci. USA 2007, 104, 10986–10991. [Google Scholar] [CrossRef]
- Lomonossoff, G.P.; D’Aoust, M.A. Plant-produced biopharmaceuticals: A case of technical developments driving clinical deployment. Science 2016, 353, 1237–1240. [Google Scholar] [CrossRef] [PubMed]
- Jung, J.W.; Zahmanova, G.; Minkov, I.; Lomonossoff, G.P. Plant-based expression and characterization of SARS-CoV-2 virus-like particles presenting a native spike protein. Plant Biotechnol. J. 2022, 20, 1363–1372. [Google Scholar] [CrossRef]
- Giddings, G.; Allison, G.; Brooks, D.; Carter, A. Transgenic plants as factories for biopharmaceuticals. Nat. Biotechnol. 2000, 18, 1151–1155. [Google Scholar] [CrossRef]
- Fausther-Bovendo, H.; Kobinger, G. Plant-made vaccines and therapeutics. Science 2021, 373, 740–741. [Google Scholar] [CrossRef] [PubMed]
- Capell, T.; Twyman, R.M.; Armario-Najera, V.; Ma, J.K.; Schillberg, S.; Christou, P. Potential Applications of Plant Biotechnology against SARS-CoV-2. Trends Plant Sci. 2020, 25, 635–643. [Google Scholar] [CrossRef] [PubMed]
- Azegami, T.; Itoh, H.; Kiyono, H.; Yuki, Y. Novel transgenic rice-based vaccines. Arch. Immunol. Ther. Exp. 2015, 63, 87–99. [Google Scholar] [CrossRef] [PubMed]
- Xu, Q.; Ma, F.; Yang, D.; Li, Q.; Yan, L.; Ou, J.; Zhang, L.; Liu, Y. Rice-produced classical swine fever virus glycoprotein E2 with herringbone-dimer design to enhance immune responses. Plant Biotechnol. J. 2023, 21, 2546–2559, Correction in Plant Biotechnol. J. 2024, 22, 2076. [Google Scholar] [CrossRef]
- Ma, F.; Xu, Q.; Wang, A.; Yang, D.; Li, Q.; Guo, J.; Zhang, L.; Ou, J. A universal design of restructured dimer antigens: Development of a superior vaccine against the paramyxovirus in transgenic rice. Proc. Natl. Acad. Sci. USA 2024, 121, e2305745121. [Google Scholar] [CrossRef]
- Zhao, X.; Zhang, E.; Xu, Q.; Ma, F.; Wang, Y. Stable and efficient expression and activity identification of avian influenza virus H9N2 subtype HA protein in rice endosperm. Acta Agric. Boreali-Sin. 2020, 35, 230–238. [Google Scholar]
- Niu, X. Preliminary Evaluation of the Immunisation Effect of the HA Protein of Rice-Derived H9N2 Subtype Avian Influenza Virus and Establishment of a Rapid Antibody Detection Method. Master’s Thesis, Henan Agricultural University, Zhengzhou, China, June 2021. [Google Scholar]
- Wang, Y. Immunogenicity Study of Haemagglutinin Protein of Avian Influenza Virus Subtype H9N2 Expressed in Rice Endosperm and Identification of B-Cell Epitopes. Ph.D. Thesis, Jilin University, Changchun, China, December 2023. [Google Scholar]
- Peacock, T.H.P.; James, J.; Sealy, J.E.; Iqbal, M. A Global Perspective on H9N2 Avian Influenza Virus. Viruses 2019, 11, 620. [Google Scholar] [CrossRef]
- Cao, Y.; Liu, H.; Liu, D.; Liu, W.; Luo, T.; Li, J. Hemagglutinin Gene Variation Rate of H9N2 Avian Influenza Virus by Vaccine Intervention in China. Viruses 2022, 14, 1043. [Google Scholar] [CrossRef]
- Jin, H.; Wang, W.; Yang, X.; Su, H.; Fan, J.; Zhu, R.; Wang, S.; Shi, H. Evolution of H9N2 avian influenza virus in embryonated chicken eggs with or without homologous vaccine antibodies. BMC Vet. Res. 2018, 14, 71. [Google Scholar] [CrossRef]
- Chen, S.; Zhu, Y.; Yang, D.; Yang, Y.; Shi, S.; Qin, T.; Peng, D.; Liu, X. Efficacy of Live-Attenuated H9N2 Influenza Vaccine Candidates Containing NS1 Truncations against H9N2 Avian Influenza Viruses. Front. Microbiol. 2017, 8, 1086. [Google Scholar] [CrossRef] [PubMed]
- Abdi, H.M.; Mayahi, M.; Boroomand, Z.; Shoshtari, A. Avian Influenza-Killed Vaccine on Tissue Distribution and Shedding of Avian Influenza Virus H9N2 in Ducklings. Arch. Razi Inst. 2021, 76, 437–444. [Google Scholar] [PubMed]
- Liu, Y.; Zhao, D.; Zhang, J.; Huang, X.; Han, K.; Liu, Q.; Yang, J.; Zhang, L. Development of an Inactivated Avian Influenza Virus Vaccine against Circulating H9N2 in Chickens and Ducks. Vaccines 2023, 11, 596. [Google Scholar] [CrossRef] [PubMed]
- Lee, J.; Cho, A.Y.; Kim, D.H.; Lee, J.B.; Park, S.Y.; Choi, I.S.; Lee, S.W.; Song, C.S. Live recombinant Newcastle disease virus vectored vaccine expressing the haemagglutinin of H9N2 avian influenza virus suppresses viral replication in chickens. Avian Pathol. 2023, 52, 100–107. [Google Scholar] [CrossRef]
- Ducatez, M.F.; Becker, J.; Freudenstein, A.; Delverdier, M.; Delpont, M.; Sutter, G.; Guérin, J.L.; Volz, A. Low pathogenic avian influenza (H9N2) in chicken: Evaluation of an ancestral H9-MVA vaccine. Vet. Microbiol. 2016, 189, 59–67. [Google Scholar] [CrossRef]
- Cargnin Faccin, F.; Perez, D.R. Pandemic preparedness through vaccine development for avian influenza viruses. Hum. Vaccines Immunother. 2024, 20, 2347019. [Google Scholar] [CrossRef]
- Fellahi, S.; Nassik, S.; Maaroufi, I.; Tligui, N.S.; Touzani, C.D.; Rawi, T.; Delvecchio, A.; Ducatez, M.F. Pathogenesis of Avian Influenza Virus Subtype H9N2 in Turkeys and Evaluation of Inactivated Vaccine Efficacy. Avian Dis. 2021, 65, 46–51. [Google Scholar] [CrossRef]











Disclaimer/Publisher’s Note: The statements, opinions and data contained in all publications are solely those of the individual author(s) and contributor(s) and not of MDPI and/or the editor(s). MDPI and/or the editor(s) disclaim responsibility for any injury to people or property resulting from any ideas, methods, instructions or products referred to in the content. |
© 2025 by the authors. Licensee MDPI, Basel, Switzerland. This article is an open access article distributed under the terms and conditions of the Creative Commons Attribution (CC BY) license (https://creativecommons.org/licenses/by/4.0/).
Share and Cite
Chu, H.; Hao, Z.; Zhang, L.; Lou, Y.; Hua, Y.; Gao, W.; Li, F.; Han, L.; Bian, S.; Cheng, W.; et al. Evaluation of Rice Traits Containing H9N2 Subtype Avian Influenza HA Protein Before Commercialization. Curr. Issues Mol. Biol. 2025, 47, 986. https://doi.org/10.3390/cimb47120986
Chu H, Hao Z, Zhang L, Lou Y, Hua Y, Gao W, Li F, Han L, Bian S, Cheng W, et al. Evaluation of Rice Traits Containing H9N2 Subtype Avian Influenza HA Protein Before Commercialization. Current Issues in Molecular Biology. 2025; 47(12):986. https://doi.org/10.3390/cimb47120986
Chicago/Turabian StyleChu, Hongyan, Zhen Hao, Lei Zhang, Yanyue Lou, Yupeng Hua, Wenming Gao, Fei Li, Lichuang Han, Shuangli Bian, Wenbo Cheng, and et al. 2025. "Evaluation of Rice Traits Containing H9N2 Subtype Avian Influenza HA Protein Before Commercialization" Current Issues in Molecular Biology 47, no. 12: 986. https://doi.org/10.3390/cimb47120986
APA StyleChu, H., Hao, Z., Zhang, L., Lou, Y., Hua, Y., Gao, W., Li, F., Han, L., Bian, S., Cheng, W., Zhang, J., Zhu, Y., Pan, S., Zhang, E., Wang, X., & Zhang, G. (2025). Evaluation of Rice Traits Containing H9N2 Subtype Avian Influenza HA Protein Before Commercialization. Current Issues in Molecular Biology, 47(12), 986. https://doi.org/10.3390/cimb47120986

