Development of an Indirect ELISA to Distinguish between Porcine Sapelovirus-Infected and -Vaccinated Animals Using the Viral Nonstructural Protein 3AB
Abstract
1. Introduction
2. Materials and Methods
2.1. Serum Samples
2.2. Expression of Recombinant Protein
2.3. Purification of Recombinant Protein
2.4. Development of the Indirect ELISA Protocol
2.5. Determination of the ELISA Threshold Value
2.6. Positive Sample Sensitivity Assay
2.7. Assay Reproducibility
2.8. Assay Specificity
3. Results
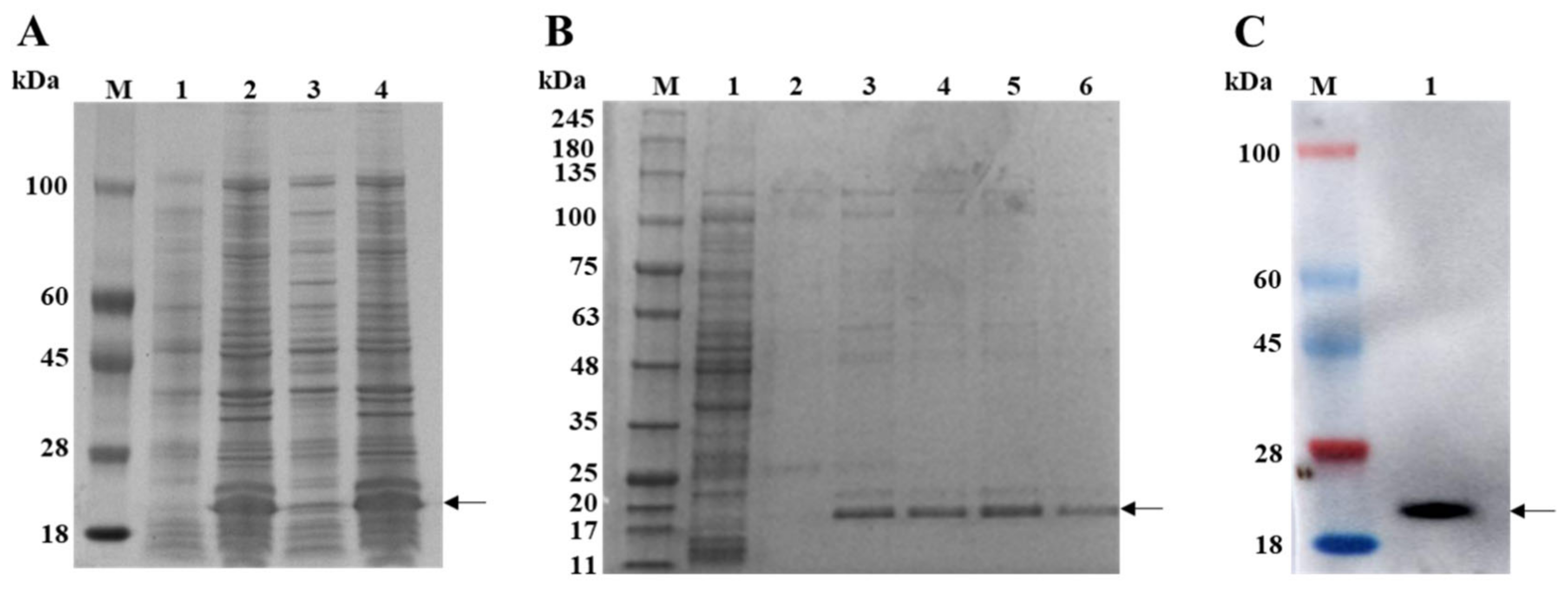
3.1. Purification and Identification of the PSV 3AB Protein
3.2. Optimization of the Indirect ELISA Protocol
3.3. Determining the Threshold Value of the Established ELISA
3.4. Evaluation of the Diagnostic Reproducibility, Specificity of the Established ELISA Method, and Positive Serum Sensitivity
3.5. Detection in Clinical Samples
4. Discussion
Author Contributions
Funding
Institutional Review Board Statement
Informed Consent Statement
Data Availability Statement
Conflicts of Interest
References
- Adams, M.J.; Lefkowitz, E.J.; King, A.M.; Harrach, B.; Harrison, R.L.; Knowles, N.J.; Kropinski, A.M.; Krupovic, M.; Kuhn, J.H.; Mushegian, A.R.; et al. Ratification vote on taxonomic proposals to the International Committee on Taxonomy of Viruses (2016). Arch. Virol. 2016, 161, 2921–2949. [Google Scholar] [CrossRef]
- Lan, D.; Ji, W.; Yang, S.; Cui, L.; Yang, Z.; Yuan, C.; Hua, X. Isolation and characterization of the first Chinese porcine sapelovirus strain. Arch. Virol. 2011, 156, 1567–1574. [Google Scholar] [CrossRef]
- Donin, D.G.; de Arruda Leme, R.; Alfieri, A.F.; Alberton, G.C.; Alfieri, A.A. First report of Porcine teschovirus (PTV), Porcine sapelovirus (PSV) and Enterovirus G (EV-G) in pig herds of Brazil. Trop. Anim. Health Prod. 2014, 46, 523–528. [Google Scholar] [CrossRef]
- Son, K.Y.; Kim, D.S.; Matthijnssens, J.; Kwon, H.J.; Park, J.G.; Hosmillo, M.; Alfajaro, M.M.; Ryu, E.H.; Kim, J.Y.; Kang, M.I.; et al. Molecular epidemiology of Korean porcine sapeloviruses. Arch. Virol. 2014, 159, 1175–1180. [Google Scholar] [CrossRef]
- Chen, Q.; Zheng, Y.; Guo, B.; Zhang, J.; Yoon, K.J.; Harmon, K.M.; Main, R.G.; Li, G. Complete Genome Sequence of Porcine Sapelovirus Strain USA/IA33375/2015 Identified in the United States. Genome Announc. 2016, 4, e01055-16. [Google Scholar] [CrossRef]
- Piorkowski, G.; Capai, L.; Falchi, A.; Casabianca, F.; Maestrini, O.; Gallian, P.; Barthélémy, K.; Py, O.; Charrel, R.; de Lamballerie, X. First Identification and Genomic Characterization of a Porcine Sapelovirus from Corsica, France, 2017. Microbiol. Resour. Announc. 2018, 7, e01049-18. [Google Scholar] [CrossRef]
- Ray, P.K.; Desingu, P.A.; Kumari, S.; John, J.K.; Sethi, M.; Sharma, G.K.; Pattnaik, B.; Singh, R.K.; Saikumar, G. Porcine sapelovirus among diarrhoeic piglets in India. Transbound. Emerg. Dis. 2018, 65, 261–263. [Google Scholar] [CrossRef]
- Kumari, S.; Ray, P.K.; Singh, R.; Desingu, P.A.; Varshney, R.; Saikumar, G. Pathological and molecular investigation of porcine sapelovirus infection in naturally affected Indian pigs. Microb. Pathog. 2019, 127, 320–325. [Google Scholar] [CrossRef]
- Schock, A.; Gurrala, R.; Fuller, H.; Foyle, L.; Dauber, M.; Martelli, F.; Scholes, S.; Roberts, L.; Steinbach, F.; Dastjerdi, A. Investigation into an outbreak of encephalomyelitis caused by a neuroinvasive porcine sapelovirus in the United Kingdom. Vet. Microbiol. 2014, 172, 381–389. [Google Scholar] [CrossRef]
- Kim, D.S.; Kang, M.I.; Son, K.Y.; Bak, G.Y.; Park, J.G.; Hosmillo, M.; Seo, J.Y.; Kim, J.Y.; Alfajaro, M.M.; Soliman, M.; et al. Pathogenesis of Korean SapelovirusA in piglets and chicks. J. Gen. Virol. 2016, 97, 2566–2574. [Google Scholar] [CrossRef]
- Krumbholz, A.; Dauber, M.; Henke, A.; Birch-Hirschfeld, E.; Knowles, N.J.; Stelzner, A.; Zell, R. Sequencing of porcine enterovirus groups II and III reveals unique features of both virus groups. J. Virol. 2002, 76, 5813–5821. [Google Scholar] [CrossRef]
- Son, K.Y.; Kim, D.S.; Kwon, J.; Choi, J.S.; Kang, M.I.; Belsham, G.J.; Cho, K.O. Full-length genomic analysis of Korean porcine Sapelovirus strains. PLoS ONE 2014, 9, e107860. [Google Scholar] [CrossRef]
- Oberste, M.S.; Maher, K.; Kilpatrick, D.R.; Pallansch, M.A. Molecular evolution of the human enteroviruses: Correlation of serotype with VP1 sequence and application to picornavirus classification. J. Virol. 1999, 73, 1941–1948. [Google Scholar] [CrossRef]
- Yang, T.; Zhang, L.; Lu, Y.; Guo, M.; Zhang, Z.; Lin, A. Characterization of porcine sapelovirus prevalent in western Jiangxi, China. BMC Vet. Res. 2021, 17, 273. [Google Scholar] [CrossRef]
- Liu, J.; Li, B.; Tao, J.; Cheng, J.; Shi, Y.; Qiao, C.; Shen, X.; Liu, H. Development of an indirect ELISA method based on the VP1 protein for detection of IgG antibodies against porcine sapelovirus. Can. J. Vet. Res. 2023, 87, 176–183. [Google Scholar]
- Alexandersen, S.; Zhang, Z.; Donaldson, A.I. Aspects of the persistence of foot-and-mouth disease virus in animals—The carrier problem. Microbes Infect. 2002, 4, 1099–1110. [Google Scholar] [CrossRef]
- Kweon, C.H.; Ko, Y.J.; Kim, W.I.; Lee, S.Y.; Nah, J.J.; Lee, K.N.; Sohn, H.J.; Choi, K.S.; Hyun, B.H.; Kang, S.W.; et al. Development of a foot-and-mouth disease NSP ELISA and its comparison with differential diagnostic methods. Vaccine 2003, 21, 1409–1414. [Google Scholar] [CrossRef]
- Yakovleva, A.S.; Shcherbakov, A.V.; Kan’shina, A.V.; Mudrak, N.S.; Fomina, T.A. Use of the recombinant nonstructural 3A, 3B, and 3AB proteins of foot-and-mouth disease virus in indirect ELISA for differentiation of vaccinated and infected cattle. Mol. Biol. 2006, 40, 146–151. [Google Scholar] [CrossRef]
- Clavijo, A.; Hole, K.; Li, M.; Collignon, B. Simultaneous detection of antibodies to foot-and-mouth disease non-structural proteins 3ABC, 3D, 3A and 3B by a multiplexed Luminex assay to differentiate infected from vaccinated cattle. Vaccine 2006, 24, 1693–1704. [Google Scholar] [CrossRef]
- Mackay, D.K.; Forsyth, M.A.; Davies, P.R.; Berlinzani, A.; Belsham, G.J.; Flint, M.; Ryan, M.D. Differentiating infection from vaccination in foot-and-mouth disease using a panel of recombinant, non-structural proteins in ELISA. Vaccine 1998, 16, 446–459. [Google Scholar] [CrossRef]
- He, C.; Wang, H.; Wei, H.; Yan, Y.; Zhao, T.; Hu, X.; Luo, P.; Wang, L.; Yu, Y. A recombinant truncated FMDV 3AB protein used to better distinguish between infected and vaccinated cattle. Vaccine 2010, 28, 3435–3439. [Google Scholar] [CrossRef] [PubMed]
- Jaworski, J.P.; Compaired, D.; Trotta, M.; Perez, M.; Trono, K.; Fondevila, N. Validation of an r3AB1-FMDV-NSP ELISA to distinguish between cattle infected and vaccinated with foot-and-mouth disease virus. J. Virol. Methods 2011, 178, 191–200. [Google Scholar] [CrossRef]
- Lu, Z.; Cao, Y.; Guo, J.; Qi, S.; Li, D.; Zhang, Q.; Ma, J.; Chang, H.; Liu, Z.; Liu, X.; et al. Development and validation of a 3ABC indirect ELISA for differentiation of foot-and-mouth disease virus infected from vaccinated animals. Vet. Microbiol. 2007, 125, 157–169. [Google Scholar] [CrossRef]
- Gelkop, S.; Sobarzo, A.; Brangel, P.; Vincke, C.; Romão, E.; Fedida-Metula, S.; Strom, N.; Ataliba, I.; Mwiine, F.N.; Ochwo, S.; et al. The Development and Validation of a Novel Nanobody-Based Competitive ELISA for the Detection of Foot and Mouth Disease 3ABC Antibodies in Cattle. Front. Vet. Sci. 2018, 5, 250. [Google Scholar] [CrossRef] [PubMed]
- Hosamani, M.; Basagoudanavar, S.H.; Tamil Selvan, R.P.; Das, V.; Ngangom, P.; Sreenivasa, B.P.; Hegde, R.; Venkataramanan, R. A multi-species indirect ELISA for detection of non-structural protein 3ABC specific antibodies to foot-and-mouth disease virus. Arch. Virol. 2015, 160, 937–944. [Google Scholar] [CrossRef] [PubMed]
- Zia, M.A.; Dobson, S.J.; Rowlands, D.J.; Stonehouse, N.J.; Shah, M.S.; Habib, M. Development of an ELISA to distinguish between foot-and-mouth disease virus infected and vaccinated animals utilising the viral non-structural protein 3ABC. J. Med. Microbiol. 2022, 71, 001516. [Google Scholar] [CrossRef]
- Mahajan, S.; Mohapatra, J.K.; Pandey, L.K.; Sharma, G.K.; Pattnaik, B. Indirect ELISA using recombinant nonstructural protein 3D to detect foot and mouth disease virus infection associated antibodies. Biologicals 2015, 43, 47–54. [Google Scholar] [CrossRef]
- Lee, F.; Lin, Y.L.; Jong, M.H. Comparison of ELISA for the detection of porcine serum antibodies to non-structural proteins of foot-and-mouth disease virus. J. Virol. Methods 2004, 116, 155–159. [Google Scholar] [CrossRef]
- Silberstein, E.; Kaplan, G.; Taboga, O.; Duffy, S.; Palma, E. Foot-and-mouth disease virus-infected but not vaccinated cattle develop antibodies against recombinant 3AB1 nonstructural protein. Arch. Virol. 1997, 142, 795–805. [Google Scholar] [CrossRef]
- Brocchi, E.; De Diego, M.I.; Berlinzani, A.; Gamba, D.; De Simone, F. Diagnostic potential of Mab-based ELISAs for antibodies to non-structural proteins of foot-and-mouth disease virus to differentiate infection from vaccination. Vet. Q. 1998, 20 (Suppl. S2), 20–24. [Google Scholar] [CrossRef]
- Mohapatra, J.K.; Pandey, L.K.; Sanyal, A.; Pattnaik, B. Recombinant non-structural polyprotein 3AB-based serodiagnostic strategy for FMD surveillance in bovines irrespective of vaccination. J. Virol. Methods 2011, 177, 184–192. [Google Scholar] [CrossRef]
- Li, Y.; Du, L.; Jin, T.; Cheng, Y.; Zhang, X.; Jiao, S.; Huang, T.; Zhang, Y.; Yan, Y.; Gu, J.; et al. Characterization and epidemiological survey of porcine sapelovirus in China. Vet. Microbiol. 2019, 232, 13–21. [Google Scholar] [CrossRef]
- Hopp, T.P.; Woods, K.R. Prediction of protein antigenic determinants from amino acid sequences. Proc. Natl. Acad. Sci. USA 1981, 78, 3824–3828. [Google Scholar] [CrossRef]
- Lee, S.J.; Park, I.S.; Han, Y.H.; Kim, Y.O.; Reeves, P.R. Soluble expression of recombinant olive flounder hepcidin I using a novel secretion enhancer. Mol. Cells 2008, 26, 140–145. [Google Scholar] [CrossRef]
- Sørensen, K.J.; Madsen, K.G.; Madsen, E.S.; Salt, J.S.; Nqindi, J.; Mackay, D.K. Differentiation of infection from vaccination in foot-and-mouth disease by the detection of antibodies to the non-structural proteins 3D, 3AB and 3ABC in ELISA using antigens expressed in baculovirus. Arch. Virol. 1998, 143, 1461–1476. [Google Scholar] [CrossRef]
- Sun, D.; Chen, S.; Cheng, A.; Wang, M. Roles of the Picornaviral 3C Proteinase in the Viral Life Cycle and Host Cells. Viruses 2016, 8, 82. [Google Scholar] [CrossRef]
- Sariya, L.; Thangthumniyom, N.; Wajjwalku, W.; Chumsing, W.; Ramasoota, P.; Lekcharoensuk, P. Expression of foot and mouth disease virus nonstructural polyprotein 3ABC with inactive 3C(pro) in Escherichia coli. Protein Expr. Purif. 2011, 80, 17–21. [Google Scholar] [CrossRef] [PubMed]
- Sørensen, K.J.; Hansen, C.M.; Madsen, E.S.; Madsen, K.G. Blocking ELISAs using the FMDV non-structural proteins 3D, 3AB, and 3ABC produced in the baculovirus expression system. Vet. Q. 1998, 20 (Suppl. S2), 17–20. [Google Scholar] [CrossRef]




| Samples | Interbatch Variation | Intrabatch Variation | ||
|---|---|---|---|---|
| Mean + SD | CV (%) | Mean + SD | CV (%) | |
| 1 | 2.754 ± 0.014 | 0.51 | 2.732 ± 0.028 | 1.03 |
| 2 | 2.610 ± 0.006 | 0.22 | 2.639 ± 0.050 | 1.88 |
| 3 | 2.225 ± 0.039 | 1.75 | 2.240 ± 0.036 | 1.60 |
| 4 | 2.373 ± 0.050 | 2.10 | 2.388 ± 0.048 | 1.99 |
| 5 | 2.420 ± 0.043 | 1.76 | 2.430 ± 0.057 | 2.33 |
| 6 | 0.988 ± 0.011 | 1.10 | 1.025 ± 0.075 | 7.29 |
| 7 | 0.191 ± 0.009 | 4.61 | 0.189 ± 0.014 | 7.38 |
| 8 | 0.178 ± 0.004 | 1.98 | 0.167 ± 0.004 | 2.30 |
| 9 | 0.138 ± 0.002 | 1.20 | 0.128 ± 0.004 | 3.22 |
| 10 | 0.265 ± 0.003 | 1.13 | 0.272 ± 0.013 | 4.78 |
| 11 | 0.151 ± 0.005 | 3.28 | 0.152 ± 0.003 | 1.83 |
| 12 | 0.201 ± 0.002 | 1.06 | 0.200 ± 0.008 | 3.83 |
| Samples | Positive | Negative | Concordance (%) | |
|---|---|---|---|---|
| Healthy | 46 | 0 | 46 | 100.0 |
| Vaccinated | 75 | 0 | 75 | 100.0 |
| Infected | 62 | 61 | 1 | 98.93 |
Disclaimer/Publisher’s Note: The statements, opinions and data contained in all publications are solely those of the individual author(s) and contributor(s) and not of MDPI and/or the editor(s). MDPI and/or the editor(s) disclaim responsibility for any injury to people or property resulting from any ideas, methods, instructions or products referred to in the content. |
© 2024 by the authors. Licensee MDPI, Basel, Switzerland. This article is an open access article distributed under the terms and conditions of the Creative Commons Attribution (CC BY) license (https://creativecommons.org/licenses/by/4.0/).
Share and Cite
Zhong, Z.; Li, B.; Tao, J.; Cheng, J.; Shi, Y.; Tang, P.; Jiao, J.; Liu, H. Development of an Indirect ELISA to Distinguish between Porcine Sapelovirus-Infected and -Vaccinated Animals Using the Viral Nonstructural Protein 3AB. Curr. Issues Mol. Biol. 2024, 46, 9821-9830. https://doi.org/10.3390/cimb46090583
Zhong Z, Li B, Tao J, Cheng J, Shi Y, Tang P, Jiao J, Liu H. Development of an Indirect ELISA to Distinguish between Porcine Sapelovirus-Infected and -Vaccinated Animals Using the Viral Nonstructural Protein 3AB. Current Issues in Molecular Biology. 2024; 46(9):9821-9830. https://doi.org/10.3390/cimb46090583
Chicago/Turabian StyleZhong, Zuchang, Benqiang Li, Jie Tao, Jinghua Cheng, Ying Shi, Pan Tang, Jiajie Jiao, and Huili Liu. 2024. "Development of an Indirect ELISA to Distinguish between Porcine Sapelovirus-Infected and -Vaccinated Animals Using the Viral Nonstructural Protein 3AB" Current Issues in Molecular Biology 46, no. 9: 9821-9830. https://doi.org/10.3390/cimb46090583
APA StyleZhong, Z., Li, B., Tao, J., Cheng, J., Shi, Y., Tang, P., Jiao, J., & Liu, H. (2024). Development of an Indirect ELISA to Distinguish between Porcine Sapelovirus-Infected and -Vaccinated Animals Using the Viral Nonstructural Protein 3AB. Current Issues in Molecular Biology, 46(9), 9821-9830. https://doi.org/10.3390/cimb46090583
