A Set of Proximal Regulatory Elements Contribute to the Transcriptional Activity of the Human Lipoprotein Lipase Promoter
Abstract
1. Introduction
2. Materials and Methods
2.1. Sample Description and Consent to Participate
2.2. Primer Design for Amplifying Full and Partial Promoter Sequences
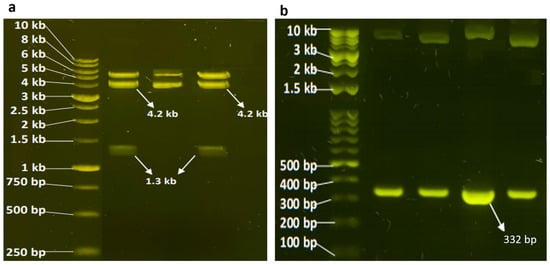
2.3. Subcloning and Insertion into the pCR 2.1-TOPO TA Vector
2.4. Cloning and Insertion into the Promoterless Luciferase Reporter Vector Plasmid (pGL4.10[luc2])
2.5. The Transfection of HEK-293 Cells and the Dual-Luciferase Reporter Assay
3. Results
3.1. The Proximal Regulatory Elements of the Human LPL Promoter
3.2. The Construction of Recombinant Luciferase Vectors for Testing the Activity of the LPL Promoter
3.3. HEK-293 Cells Transfected with the Full Promoter Sequence Exhibit Greater Luciferase Activity than Cells Transfected with the Partial Promoter Sequence
4. Discussion
5. Conclusions
Supplementary Materials
Author Contributions
Funding
Institutional Review Board Statement
Informed Consent Statement
Data Availability Statement
Acknowledgments
Conflicts of Interest
Abbreviations
References
- Heintzman, N.D.; Ren, B. Finding distal regulatory elements in the human genome. Curr. Opin. Genet. Dev. 2009, 19, 541–549. [Google Scholar] [CrossRef] [PubMed]
- Maston, G.A.; Evans, S.K.; Green, M.R. Transcriptional regulatory elements in the human genome. Annu. Rev. Genom. Hum. Genet. 2006, 7, 29–59. [Google Scholar] [CrossRef] [PubMed]
- Heintzman, N.D.; Ren, B. The gateway to transcription: Identifying, characterizing and understanding promoters in the eukaryotic genome. Cell. Mol. Life Sci. 2006, 64, 386. [Google Scholar] [CrossRef] [PubMed]
- Beshir, J.A.; Kebede, M. In silico analysis of promoter regions and regulatory elements (motifs and CpG islands) of the genes encoding for alcohol production in Saccharomyces cerevisiaea S288C and Schizosaccharomyces pombe 972h. J. Genet. Eng. Biotechnol. 2021, 19, 8. [Google Scholar]
- Nain, V.; Sahi, S.; Kumar, P.A. In silico identification of regulatory elements in promoters. In Computational Biology and Applied Bioinformatics; IntechOpen: London, UK, 2011. [Google Scholar]
- Yella, V.R.; Bansal, M. In silico identification of eukaryotic promoters. In Systems and Synthetic Biology; Singh, V., Dhar, P.K., Eds.; Springer: Dordrecht, The Netherlands, 2015; pp. 63–75. [Google Scholar]
- Bubnova, A.N.; Yakovleva, I.V.; Korotkov, E.V.; Kamionskaya, A.M. In Silico Verification of Predicted Potential Promoter Sequences in the Rice (Oryza sativa) Genome. Plants 2023, 12, 3573. [Google Scholar] [CrossRef]
- Shimada, Y.; Kato, T.; Sakurai, Y.; Watanabe, H.; Nonaka, M.; Nanaura, N.; Ichinoe, M.; Murakumo, Y. Identification of the promoter region regulating the transcription of the REV7 gene. Biochem. Biophys. Res. Commun. 2023, 662, 8–17. [Google Scholar] [CrossRef]
- Hinrichs, A.K.; Koch, A.; Richter, A.M. Dual-Luciferase Reporter Assay for Prescreening CRISPR (d) Cas9-Mediated Epigenetic Editing on a Plant Promoter Using Human Cells. In Plant Functional Genomics: Methods and Protocols; Springer: Berlin/Heidelberg, Germany, 2024; Volume 2, pp. 273–285. [Google Scholar]
- Hall, S.; Chu, G.; Miller, G.; Cruickshank, K.; Cooper, J.A.; Humphries, S.E.; Talmud, P.J. A common mutation in the lipoprotein lipase gene promoter, −93T/G, is associated with lower plasma triglyceride levels and increased promoter activity in vitro. Arterioscler. Thromb. Vasc. Biol. 1997, 17, 1969–1976. [Google Scholar] [CrossRef]
- Andersson, R.; Sandelin, A. Determinants of enhancer and promoter activities of regulatory elements. Nat. Rev. Genet. 2020, 21, 71–87. [Google Scholar] [CrossRef]
- Suhorukova, A.V.; Tyurin, A.A.; Pavlenko, O.S.; Mustafayev, O.N.; Sinelnikov, I.G.; Goldenkova-Pavlova, I.V. Development of dual reporter vector system for estimating translational activity of regulatory elements. BMC Plant Biol. 2022, 22, 356. [Google Scholar] [CrossRef]
- Veland, N.; Gleneadie, H.J.; Brown, K.E.; Sardini, A.; Pombo, J.; Dimond, A.; Burns, V.; Sarkisyan, K.; Schiering, C.; Webster, Z.; et al. Bioluminescence imaging of Cyp1a1-luciferase reporter mice demonstrates prolonged activation of the aryl hydrocarbon receptor in the lung. Commun. Biol. 2024, 7, 442. [Google Scholar] [CrossRef]
- Jin, Y.; Chen, Z.; Liu, X.; Zhou, X. Evaluating the microRNA targeting sites by luciferase reporter gene assay. Methods Mol. Biol. 2013, 936, 117–127. [Google Scholar]
- Collins, P.E.; O’Carroll, C.; Carmody, R.J. Measurement of NF-κB transcriptional activity and identification of NF-κB cis-regulatory elements using luciferase assays. Methods Mol. Biol. 2015, 1280, 25–43. [Google Scholar] [PubMed]
- Toktay, Y.; Dayanc, B.; Senturk, S. Engineering and validation of a dual luciferase reporter system for quantitative and systematic assessment of regulatory sequences in Chinese hamster ovary cells. Sci. Rep. 2022, 12, 6050. [Google Scholar] [CrossRef] [PubMed]
- Al-Shammari, R.T.; Al-Serri, A.E.; Barhoush, S.A.; Al-Bustan, S.A. Identification and Characterization of Variants in Intron 6 of the LPL Gene Locus among a Sample of the Kuwaiti Population. Genes 2022, 13, 664. [Google Scholar] [CrossRef] [PubMed]
- Al-Bustan, S.A.; Al-Serri, A.; Annice, B.G.; Alnaqeeb, M.A.; Al-Kandari, W.Y.; Dashti, M. A novel LPL intronic variant: G.18704C>A identified by re-sequencing Kuwaiti Arab samples is associated with high-density lipoprotein, very low-density lipoprotein and triglyceride lipid levels. PLoS ONE 2018, 13, e0192617. [Google Scholar] [CrossRef]
- Hensley, L.L.; Ranganathan, G.; Wagner, E.M.; Wells, B.D.; Daniel, J.C.; Vu, D.; Semenkovich, C.F.; Zechner, R.; Kern, P. Transgenic mice expressing lipoprotein lipase in adipose tissue. Absence of the proximal 3’-untranslated region causes translational upregulation. J. Biol. Chem. 2003, 278, 32702–32709. [Google Scholar] [CrossRef]
- Solnica, B.; Sygitowicz, G.; Sitkiewicz, D.; Jóźwiak, J.; Kasperczyk, S.; Broncel, M.; Wolska, A.; Odrowąż-Sypniewska, G.; Banach, M. 2024 Guidelines of the Polish Society of Laboratory Diagnostics and the Polish Lipid Association on laboratory diagnostics of lipid metabolism disorders. Arch. Med. Sci. AMS 2024, 20, 357. [Google Scholar] [CrossRef]
- Alves, M.; Laranjeira, F.; Correia-Da-Silva, G. Understanding Hypertriglyceridemia: Integrating Genetic Insights. Genes 2024, 15, 190. [Google Scholar] [CrossRef]
- Kanaki, M.; Kardassis, D. Regulation of the human lipoprotein lipase gene by the forkhead box transcription factor FOXA2/HNF-3β in hepatic cells. Biochim. Biophys. Acta Gene Regul. Mech. 2017, 1860, 327–336. [Google Scholar] [CrossRef]
- Cole, S.A.; Hixson, J.E. Baboon lipoprotein lipase: cDNA sequence and variable tissue-specific expression of two transcripts. Gene 1995, 161, 265–269. [Google Scholar] [CrossRef]
- Li, L.; Liang, X.-F.; He, S.; Sun, J.; Wen, Z.-Y.; Shen, D.; Tao, Y.-X. Genomic structure, tissue expression and single nucleotide polymorphisms of lipoprotein lipase and hepatic lipase genes in Chinese perch. Aquac. Nutr. 2016, 22, 786–800. [Google Scholar] [CrossRef]
- Raisonnier, A.; Etienne, J.; Arnault, F.; Brault, D.; Noé, L.; Chuat, J.-C.; Galibert, F. Comparison of the cDNA and amino acid sequences of lipoprotein lipase in eight species. Comp. Biochem. Physiol. B Biochem. Mol. Biol. 1995, 111, 385–398. [Google Scholar] [CrossRef] [PubMed]
- Lindberg, A.; Olivecrona, G. Lipoprotein lipase from rainbow trout differs in several respects from the enzyme in mammals. Gene 2002, 292, 213–223. [Google Scholar] [CrossRef] [PubMed]
- Bey, L.; Etienne, J.; Tse, C.; Brault, D.; Noé, L.; Raisonnier, A.; Arnault, F.; Hamilton, M.T.; Galibert, F. Cloning, sequencing and structural analysis of 976 base pairs of the promoter sequence for the rat lipoprotein lipase gene. Comparison with the mouse and human sequences. Gene 1998, 209, 31–38. [Google Scholar] [PubMed]
- Zhang, G.; Hu, Y.; Yang, Q.; Pu, N.; Li, G.; Zhang, J.; Tong, Z.; Masson, E.; Cooper, D.N.; Chen, J.-M.; et al. Frameshift coding sequence variants in the LPL gene: Identification of two novel events and exploration of the genotype–phenotype relationship for variants reported to date. Lipids Health Dis. 2023, 22, 128. [Google Scholar] [CrossRef]
- Kong, Y.; Jiang, B.; Li, F.; Yue, X.; Fu, W. Association of the LPL gene polymorphisms with fatty acid composition in the longissimus dorsi muscle of Hu sheep. Small Rumin. Res. 2024, 237, 107319. [Google Scholar] [CrossRef]
- Zhao, W.-S.; Hu, S.-L.; Yu, K.; Wang, H.; Wang, W.; Loor, J.; Luo, J. Lipoprotein lipase, tissue expression and effects on genes related to fatty acid synthesis in goat mammary epithelial cells. Int. J. Mol. Sci. 2014, 15, 22757–22771. [Google Scholar] [CrossRef]
- He, P.-P.; Jiang, T.; OuYang, X.-P.; Liang, Y.-Q.; Zou, J.-Q.; Wang, Y.; Shen, Q.-Q.; Liao, L.; Zheng, X.-L. Lipoprotein lipase: Biosynthesis, regulatory factors, and its role in atherosclerosis and other diseases. Clin. Chim. Acta 2018, 480, 126–137. [Google Scholar] [CrossRef]
- Malek, S.H.; Al-Serri, A.E.; Al-Bustan, S.A. Genetic association of LPL rs326 with BMI among the Kuwaiti population. Cardiovasc. Endocrinol. Metab. 2021, 10, 215–221. [Google Scholar] [CrossRef]
- Al-Bustan, S.A.; Al-Serri, A.; Alnaqeeb, M.A.; Annice, B.G.; Mojiminiyi, O. Genetic association of LPL rs1121923 and rs258 with plasma TG and VLDL levels. Sci. Rep. 2019, 9, 5572. [Google Scholar] [CrossRef]
- Gu, M.; Cosenza, G.; Gaspa, G.; Iannaccone, M.; Macciotta, N.P.P.; Chemello, G.; Di Stasio, L.; Pauciullo, A. Sequencing of lipoprotein lipase gene in the Mediterranean river buffalo identified novel variants affecting gene expression. J. Dairy Sci. 2020, 103, 6374–6382. [Google Scholar] [CrossRef] [PubMed]
- Enerbäck, S.; Ohlsson, B.G.; Samuelsson, L.; Bjursell, G. Characterization of the human lipoprotein lipase (LPL) promoter: Evidence of two cis-regulatory regions, LP-α and LP-β, of importance for the differentiation-linked induction of the LPL gene during adipogenesis. Mol. Cell. Biol. 1992, 12, 4622–4633. [Google Scholar] [PubMed]
- Yang, W.S.; Nevin, D.N.; Peng, R.; Brunzell, J.D.; Deeb, S.S. A mutation in the promoter of the lipoprotein lipase (LPL) gene in a patient with familial combined hyperlipidemia and low LPL activity. Proc. Natl. Acad. Sci. USA 1995, 92, 4462–4466. [Google Scholar] [CrossRef] [PubMed]
- Prakash, J.; Mittal, B.; Srivastava, A.; Awasthi, S.; Srivastava, N. The Association of a Rare Variant of -93, -53 Promoter Gene Polymorphisms of Lipoprotein Lipase gene with Obesity and Insulin Resistance. Oman Med. J. 2018, 33, 401–408. [Google Scholar] [CrossRef]
- Guay, S.; Brisson, D.; Lamarche, B.; Marceau, P.; Vohl, M.; Gaudet, D.; Bouchard, L. DNA methylation variations at CETP and LPL gene promoter loci: New molecular biomarkers associated with blood lipid profile variability. Atherosclerosis 2013, 228, 413–420. [Google Scholar] [CrossRef]
- Kim, J.W.; Cheng, Y.; Liu, W.; Li, T.; Yegnasubramanian, S.; Zheng, S.L.; Xu, J.; Isaacs, W.B.; Chang, B. Genetic and epigenetic inactivation of LPL gene in human prostate cancer. Int. J. Cancer 2009, 124, 734–738. [Google Scholar] [CrossRef]
- Yang, W.-S.; Deeb, S.S. Sp1 and Sp3 transactivate the human lipoprotein lipase gene promoter through binding to a CT element: Synergy with the sterol regulatory element binding protein and reduced transactivation of a naturally occurring promoter variant. J. Lipid Res. 1998, 39, 2054–2064. [Google Scholar] [CrossRef]
- Solberg, N.; Krauss, S. Luciferase assay to study the activity of a cloned promoter DNA fragment. Methods Mol. Biol. 2013, 977, 65–78. [Google Scholar]
- Castro-Mondragon, J.A.; Riudavets-Puig, R.; Rauluseviciute, I.; Lemma, R.B.; Turchi, L.; Blanc-Mathieu, R.; Lucas, J.; Boddie, P.; Khan, A.; Pérez, N.M.; et al. JASPAR 2022: The 9th release of the open-access database of transcription factor binding profiles. Nucleic Acids Res. 2022, 50, D165–D173. [Google Scholar] [CrossRef]
- Lee, C.; Huang, C.-H. LASAGNA-Search: An integrated web tool for transcription factor binding site search and visualization. Biotechniques 2013, 54, 141–153. [Google Scholar] [CrossRef]
- Tan, E.; Chin, C.S.H.; Lim, Z.F.S.; Ng, S.K. HEK293 Cell Line as a Platform to Produce Recombinant Proteins and Viral Vectors. Front. Bioeng. Biotechnol. 2021, 9, 796991. [Google Scholar] [CrossRef] [PubMed]
- Abaandou, L.; Quan, D.; Shiloach, J. Affecting HEK293 Cell Growth and Production Performance by Modifying the Expression of Specific Genes. Cells 2021, 10, 1667. [Google Scholar] [CrossRef] [PubMed]
- Sun, C.; Li, C.; Liu, W.; Schiöth, H.B. Generation of Endogenous Promoter-Driven Luciferase Reporter System Using CRISPR/Cas9 for Investigating Transcriptional Regulation of the Core Clock Gene BMAL1. Biomedicines 2022, 10, 3108. [Google Scholar] [CrossRef] [PubMed]
- Satterstrom, F.K.; Haigis, M.C. Luciferase-based reporter to monitor the transcriptional activity of the SIRT3 promoter. Methods Enzymol. 2014, 543, 141–163. [Google Scholar] [PubMed]
- Mittanck, D.W.; Kim, S.-W.; Rotwein, P. Essential promoter elements are located within the 5′ untranslated region of human insulin-like growth factor-I exon I. Mol. Cell. Endocrinol. 1997, 126, 153–163. [Google Scholar] [CrossRef]
- Suminami, Y.; Kishi, F.; Nawata, S.; Murakami, A.; Sakaguchi, Y.; Sueoka, K.; Numa, F.; Sugino, N.; Kato, H. Promoter analyses of SCC antigen genes. Biochim. Biophys. Acta 2005, 1727, 208–212. [Google Scholar] [CrossRef]
- Zhang, D.; Shen, L.; Wu, W.; Liu, K.; Zhang, J. Cloning and functional verification of a porcine adipose tissue-specific promoter. BMC Genom. 2022, 23, 394. [Google Scholar] [CrossRef]
- Shang, R.; Rodrigues, B. Lipoprotein lipase as a target for obesity/diabetes related cardiovascular disease. J. Pharm. Pharm. Sci. 2024, 27, 13199. [Google Scholar] [CrossRef]
- Kusunoki, M.; Tsutsumi, K.; Sato, D.; Nakamura, T. Lipoprotein lipase and obesity. Health 2012, 4, 1405–1412. [Google Scholar] [CrossRef]
- Wang, H.; Eckel, R.H. Lipoprotein lipase: From gene to obesity. Am. J. Physiol. Endocrinol. Metab. 2009, 297, E271–E288. [Google Scholar] [CrossRef]
- Walton, R.G.; Zhu, B.; Unal, R.; Spencer, M.; Sunkara, M.; Morris, A.J.; Charnigo, R.; Katz, W.S.; Daugherty, A.; Howatt, D.A.; et al. Increasing adipocyte lipoprotein lipase improves glucose metabolism in high fat diet-induced obesity. J. Biol. Chem. 2015, 290, 11547–11556. [Google Scholar] [CrossRef] [PubMed]





Disclaimer/Publisher’s Note: The statements, opinions and data contained in all publications are solely those of the individual author(s) and contributor(s) and not of MDPI and/or the editor(s). MDPI and/or the editor(s) disclaim responsibility for any injury to people or property resulting from any ideas, methods, instructions or products referred to in the content. |
© 2024 by the authors. Licensee MDPI, Basel, Switzerland. This article is an open access article distributed under the terms and conditions of the Creative Commons Attribution (CC BY) license (https://creativecommons.org/licenses/by/4.0/).
Share and Cite
Bastaki, N.K.; Albarjes, T.A.; Mohamed, A.K.; Sabri, N.H.; Al-Bustan, S.A. A Set of Proximal Regulatory Elements Contribute to the Transcriptional Activity of the Human Lipoprotein Lipase Promoter. Curr. Issues Mol. Biol. 2024, 46, 13209-13222. https://doi.org/10.3390/cimb46110788
Bastaki NK, Albarjes TA, Mohamed AK, Sabri NH, Al-Bustan SA. A Set of Proximal Regulatory Elements Contribute to the Transcriptional Activity of the Human Lipoprotein Lipase Promoter. Current Issues in Molecular Biology. 2024; 46(11):13209-13222. https://doi.org/10.3390/cimb46110788
Chicago/Turabian StyleBastaki, Nasmah K., Taybha A. Albarjes, Afnan K. Mohamed, Noorhan H. Sabri, and Suzanne A. Al-Bustan. 2024. "A Set of Proximal Regulatory Elements Contribute to the Transcriptional Activity of the Human Lipoprotein Lipase Promoter" Current Issues in Molecular Biology 46, no. 11: 13209-13222. https://doi.org/10.3390/cimb46110788
APA StyleBastaki, N. K., Albarjes, T. A., Mohamed, A. K., Sabri, N. H., & Al-Bustan, S. A. (2024). A Set of Proximal Regulatory Elements Contribute to the Transcriptional Activity of the Human Lipoprotein Lipase Promoter. Current Issues in Molecular Biology, 46(11), 13209-13222. https://doi.org/10.3390/cimb46110788

