Impact of Genomic Deletion RD16 on the Expression of the Mycobacterium bovis BCG Moreau VapBC47 Toxin-Antitoxin System
Abstract
1. Introduction
2. Materials and Methods
2.1. Bacterial Strains and Culture Conditions
2.2. RNA Extraction and Reverse Transcription-Polymerase Chain Reaction (RT-PCR)
2.3. Quantitative RT-PCR (RT-qPCR)
2.4. RT-qPCR Statistical Analysis
2.5. Expression and Purification of Soluble Recombinant Rv3407
2.6. Native PAGE and Electrophoretic Mobility Shift Assays (EMSA)
3. Results
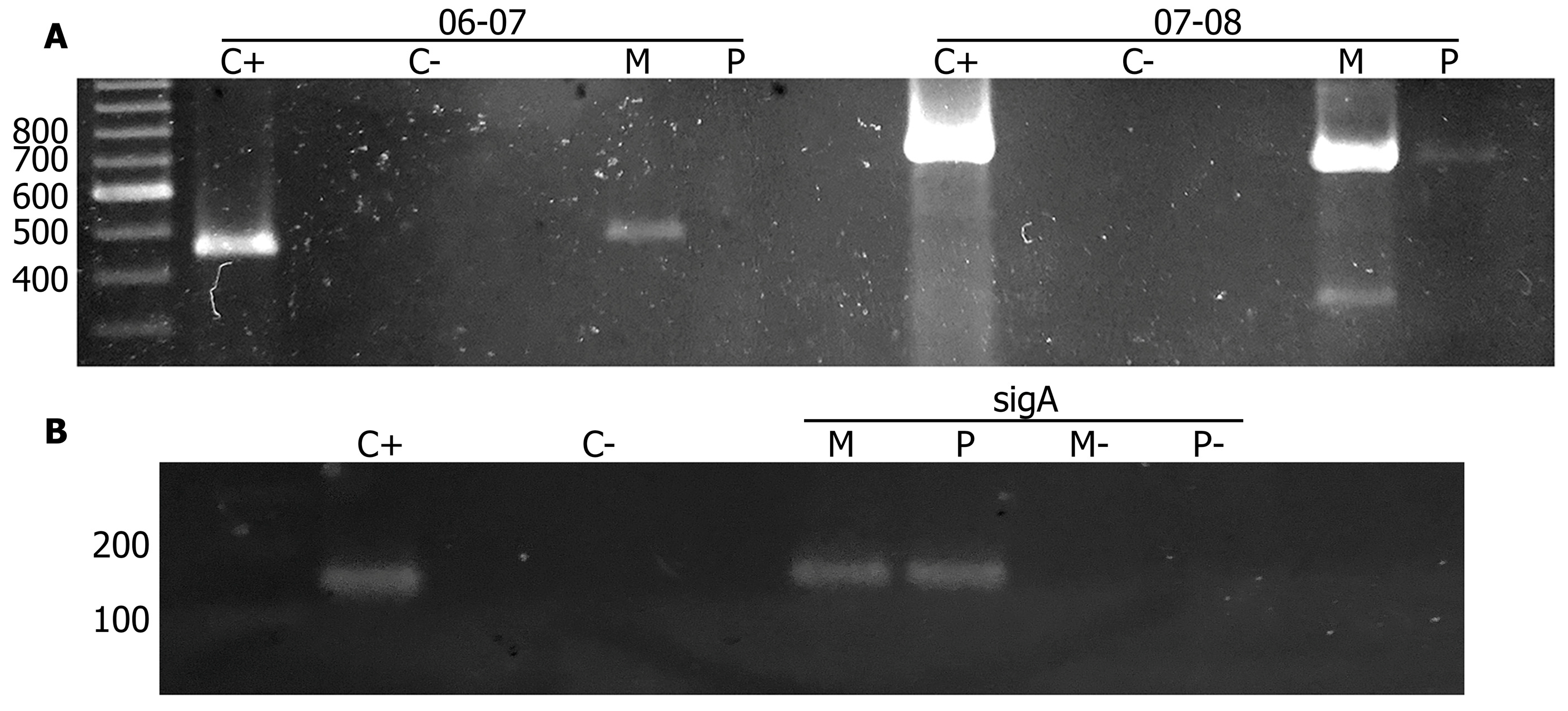
3.1. vapB47 and vapC47 Are Co-Transcribed in BCG MOREAU and Pasteur
3.2. Deletion of RD16 Impacts Transcription of rv3407-rv3408 in BCG Moreau
3.3. Rv3407 Binds to the Region Upstream of rv3407
4. Discussion
Author Contributions
Funding
Institutional Review Board Statement
Informed Consent Statement
Data Availability Statement
Acknowledgments
Conflicts of Interest
References
- World Health Organization Global Tuberculosis Report 2021; World Health Organization: Geneva, Switzerland, 2021.
- Slayden, R.A.; Dawson, C.C.; Cummings, J.E. Toxin–Antitoxin Systems and Regulatory Mechanisms in Mycobacterium Tuberculosis. Pathog. Dis. 2018, 76, fty039. [Google Scholar] [CrossRef]
- Ramage, H.R.; Connolly, L.E.; Cox, J.S. Comprehensive Functional Analysis of Mycobacterium Tuberculosis Toxin-Antitoxin Systems: Implications for Pathogenesis, Stress Responses, and Evolution. PLoS Genet. 2009, 5, e1000767. [Google Scholar] [CrossRef]
- Ahidjo, B.A.; Kuhnert, D.; McKenzie, J.L.; Machowski, E.E.; Gordhan, B.G.; Arcus, V.; Abrahams, G.L.; Mizrahi, V. VapC Toxins from Mycobacterium Tuberculosis Are Ribonucleases That Differentially Inhibit Growth and Are Neutralized by Cognate VapB Antitoxins. PLoS ONE 2011, 6, e21738. [Google Scholar] [CrossRef] [PubMed]
- Winther, K.S.; Brodersen, D.E.; Brown, A.K.; Gerdes, K. VapC20 of Mycobacterium Tuberculosis Cleaves the Sarcin–Ricin Loop of 23S RRNA. Nat. Commun. 2013, 4, 2796. [Google Scholar] [CrossRef]
- Jardim, P.; da Silva Santos, I.C.; Barbosa, J.A.R.G.; de Freitas, S.M.; Valadares, N.F. Crystal Structure of VapC21 from Mycobacterium Tuberculosis at 1.31 Å Resolution. Biochem. Biophys. Res. Commun. 2016, 478, 1370–1375. [Google Scholar] [CrossRef] [PubMed]
- Sharrock, A.; Ruthe, A.; Andrews, E.S.V.; Arcus, V.A.; Hicks, J.L. VapC Proteins from Mycobacterium Tuberculosis Share Ribonuclease Sequence Specificity but Differ in Regulation and Toxicity. PLoS ONE 2018, 13, e0203412. [Google Scholar] [CrossRef] [PubMed]
- Maisonneuve, E.; Gerdes, K. Molecular Mechanisms Underlying Bacterial Persisters. Cell 2014, 157, 539–548. [Google Scholar] [CrossRef]
- Gerdes, K.; Maisonneuve, E. Bacterial Persistence and Toxin-Antitoxin Loci. Annu. Rev. Microbiol. 2012, 66, 103–123. [Google Scholar] [CrossRef]
- McKenzie, J.L.; Robson, J.; Berney, M.; Smith, T.C.; Ruthe, A.; Gardner, P.P.; Arcus, V.L.; Cook, G.M. A VapBC Toxin-Antitoxin Module Is a Posttranscriptional Regulator of Metabolic Flux in Mycobacteria. J. Bacteriol. 2012, 194, 2189–2204. [Google Scholar] [CrossRef]
- Stewart, G.R.; Robertson, B.D.; Young, D.B. Tuberculosis: A Problem with Persistence. Nat. Rev. Microbiol. 2003, 1, 97–105. [Google Scholar] [CrossRef]
- Fasani, R.A.; Savageau, M.A. Molecular Mechanisms of Multiple Toxin–Antitoxin Systems Are Coordinated to Govern the Persister Phenotype. Proc. Natl. Acad. Sci. USA 2013, 110, E2528–E2537. [Google Scholar] [CrossRef] [PubMed]
- Agarwal, S.; Tiwari, P.; Deep, A.; Kidwai, S.; Gupta, S.; Thakur, K.G.; Singh, R. System-Wide Analysis Unravels the Differential Regulation and In Vivo Essentiality of Virulence-Associated Proteins B and C Toxin-Antitoxin Systems of Mycobacterium Tuberculosis. J. Infect. Dis. 2018, 217, 1809–1820. [Google Scholar] [CrossRef] [PubMed]
- Chauhan, U.; Barth, V.C.; Woychik, N.A. TRNAfMet Inactivating Mycobacterium Tuberculosis VapBC Toxin-Antitoxin Systems as Therapeutic Targets. Antimicrob. Agents Chemother. 2022, 66, e01896-21. [Google Scholar] [CrossRef]
- Winther, K.; Tree, J.J.; Tollervey, D.; Gerdes, K. VapCs of Mycobacterium Tuberculosis Cleave RNAs Essential for Translation. Nucleic Acids Res. 2016, 44, 9860–9871. [Google Scholar] [CrossRef] [PubMed]
- Barth, V.C.; Chauhan, U.; Zeng, J.; Su, X.; Zheng, H.; Husson, R.N.; Woychik, N.A. Mycobacterium Tuberculosis VapC4 Toxin Engages Small ORFs to Initiate an Integrated Oxidative and Copper Stress Response. Proc. Natl. Acad. Sci. USA 2021, 118, e2022136118. [Google Scholar] [CrossRef]
- Liu, J.; Tran, V.; Leung, A.S.; Alexander, D.C.; Zhu, B. BCG Vaccines: Their Mechanisms of Attenuation and Impact on Safety and Protective Efficacy. Hum. Vaccines 2009, 5, 70–78. [Google Scholar] [CrossRef]
- Behr, M.A. Comparative Genomics of BCG Vaccines by Whole-Genome DNA Microarray. Science 1999, 284, 1520–1523. [Google Scholar] [CrossRef]
- Gomes, L.H.F.; Otto, T.D.; Vasconcellos, E.A.; Ferrao, P.M.; Maia, R.M.; Moreira, A.S.; Ferreira, M.A.; Castello-Branco, L.R.R.; Degrave, W.M.; Mendonca-Lima, L. Genome Sequence of Mycobacterium Bovis BCG Moreau, the Brazilian Vaccine Strain against Tuberculosis. J. Bacteriol. 2011, 193, 5600–5601. [Google Scholar] [CrossRef] [PubMed]
- Galvão, T.C.; Lima, C.R.; Gomes, L.H.F.; Pagani, T.D.; Ferreira, M.A.; Gonçalves, A.S.; Correa, P.R.; Degrave, W.M.; Mendonça-Lima, L. The BCG Moreau RD16 Deletion Inactivates a Repressor Reshaping Transcription of an Adjacent Gene. Tuberculosis 2014, 94, 26–33. [Google Scholar] [CrossRef]
- Kapopoulou, A.; Lew, J.M.; Cole, S.T. The MycoBrowser Portal: A Comprehensive and Manually Annotated Resource for Mycobacterial Genomes. Tuberculosis 2011, 91, 8–13. [Google Scholar] [CrossRef]
- Demidenok, O.I.; Kaprelyants, A.S.; Goncharenko, A.V. Toxin-Antitoxin VapBC Locus Participates in Formation of the Dormant State in Mycobacterium Smegmatis. FEMS Microbiol. Lett. 2014, 352, 69–77. [Google Scholar] [CrossRef] [PubMed]
- Mollenkopf, H.J.; Grode, L.; Mattow, J.; Stein, M.; Mann, P.; Knapp, B.; Ulmer, J.; Kaufmann, S.H.E. Application of Mycobacterial Proteomics to Vaccine Design: Improved Protection by Mycobacterium Bovis BCG Prime-Rv3407 DNA Boost Vaccination against Tuberculosis. Infect. Immun. 2004, 72, 6471–6479. [Google Scholar] [CrossRef] [PubMed]
- Berrêdo-Pinho, M.; Kalume, D.E.; Correa, P.R.; Gomes, L.H.; Pereira, M.P.; da Silva, R.F.; Castello-Branco, L.R.; Degrave, W.M.; Mendonça-Lima, L. Proteomic Profile of Culture Filtrate from the Brazilian Vaccine Strain Mycobacterium Bovis BCG Moreau Compared to M. Bovis BCG Pasteur. BMC Microbiol. 2011, 11, 80. [Google Scholar] [CrossRef]
- Schefe, J.H.; Lehmann, K.E.; Buschmann, I.R.; Unger, T.; Funke-Kaiser, H. Quantitative Real-Time RT-PCR Data Analysis: Current Concepts and the Novel “Gene Expression’s C T Difference” Formula. J. Mol. Med. 2006, 84, 901–910. [Google Scholar] [CrossRef]
- Manganelli, R.; Voskuil, M.I.; Schoolnik, G.K.; Dubnau, E.; Gomez, M.; Smith, I. Role of the Extracytoplasmic-Function Sigma Factor SigmaH in Mycobacterium Tuberculosis Global Gene Expression. Mol. Microbiol. 2002, 45, 365–374. [Google Scholar] [CrossRef]
- Manganelli, R.; Dubnau, E.; Tyagi, S.; Kramer, F.R.; Smith, I. Differential Expression of 10 Sigma Factor Genes in Mycobacterium Tuberculosis. Mol. Microbiol. 1999, 31, 715–724. [Google Scholar] [CrossRef]
- Arndt, C.; Koristka, S.; Bartsch, H.; Bachmann, M. Native Polyacrylamide Gels. In Protein Electrophoresis; Humana Press: Totowa, NJ, USA, 2012; pp. 49–53. [Google Scholar]
- Mistry, J.; Chuguransky, S.; Williams, L.; Qureshi, M.; Salazar, G.A.; Sonnhammer, E.L.L.; Tosatto, S.C.E.; Paladin, L.; Raj, S.; Richardson, L.J.; et al. Pfam: The Protein Families Database in 2021. Nucleic Acids Res. 2021, 49, D412–D419. [Google Scholar] [CrossRef] [PubMed]
- Garcia-Pino, A.; Balasubramanian, S.; Wyns, L.; Gazit, E.; de Greve, H.; Magnuson, R.D.; Charlier, D.; van Nuland, N.A.J.; Loris, R. Allostery and Intrinsic Disorder Mediate Transcription Regulation by Conditional Cooperativity. Cell 2010, 142, 101–111. [Google Scholar] [CrossRef]
- Garcia-Pino, A.; Christensen-Dalsgaard, M.; Wyns, L.; Yarmolinsky, M.; Magnuson, R.D.; Gerdes, K.; Loris, R. Doc of Prophage P1 Is Inhibited by Its Antitoxin Partner Phd through Fold Complementation. J. Biol. Chem. 2008, 283, 30821–30827. [Google Scholar] [CrossRef]
- Beck, I.N.; Usher, B.; Hampton, H.G.; Fineran, P.C.; Blower, T.R. Antitoxin Autoregulation of M. Tuberculosis Toxin-Antitoxin Expression through Negative Cooperativity Arising from Multiple Inverted Repeat Sequences. Biochem. J. 2020, 477, 2401–2419. [Google Scholar] [CrossRef]
- Reeder, J.; Höchsmann, M.; Rehmsmeier, M.; Voss, B.; Giegerich, R. Beyond Mfold: Recent Advances in RNA Bioinformatics. J. Biotechnol. 2006, 124, 41–55. [Google Scholar] [CrossRef] [PubMed]
- Mattison, K.; Wilbur, J.S.; So, M.; Brennan, R.G. Structure of FitAB from Neisseria Gonorrhoeae Bound to DNA Reveals a Tetramer of Toxin-Antitoxin Heterodimers Containing Pin Domains and Ribbon-Helix-Helix Motifs. J. Biol. Chem. 2006, 281, 37942–37951. [Google Scholar] [CrossRef] [PubMed]
- Wilbur, J.S.; Chivers, P.T.; Mattison, K.; Potter, L.; Brennan, R.G.; So, M. Neisseria Gonorrhoeae FitA Interacts with FitB To Bind DNA through Its Ribbon−Helix−Helix Motif. Biochemistry 2005, 44, 12515–12524. [Google Scholar] [CrossRef] [PubMed]
- Chattopadhyay, G.; Bhasin, M.; Ahmed, S.; Gosain, T.P.; Ganesan, S.; Das, S.; Thakur, C.; Chandra, N.; Singh, R.; Varadarajan, R. Functional and Biochemical Characterization of the MazEF6 Toxin-Antitoxin System of Mycobacterium Tuberculosis. J. Bacteriol. 2022, 204, e00058-22. [Google Scholar] [CrossRef]
- Dawson, C.C.; Cummings, J.E.; Starkey, J.M.; Slayden, R.A. Discovery of a Novel Type IIb RelBE Toxin-antitoxin System in Mycobacterium Tuberculosis Defined by Co-regulation with an Antisense RNA. Mol. Microbiol. 2022, 117, 1419–1433. [Google Scholar] [CrossRef]
- Kumari, K.; Sarma, S.P. Structural and Mutational Analysis of MazE6-Operator DNA Complex Provide Insights into Autoregulation of Toxin-Antitoxin Systems. Commun. Biol. 2022, 5, 963. [Google Scholar] [CrossRef]
- Eun, H.-J.; Lee, J.; Kang, S.-J.; Lee, B.-J. The Structural and Functional Investigation of the VapBC43 Complex from Mycobacterium Tuberculosis. Biochem. Biophys. Res. Commun. 2022, 616, 19–25. [Google Scholar] [CrossRef]
- Mathews, D.H.; Turner, D.H.; Watson, R.M. RNA Secondary Structure Prediction. Curr. Protoc. Nucleic Acid Chem. 2016, 67, 11.2.1–11.2.19. [Google Scholar] [CrossRef]
- Mostowy, S.; Cleto, C.; Sherman, D.R.; Behr, M.A. The Mycobacterium Tuberculosis Complex Transcriptome of Attenuation. Tuberculosis 2004, 84, 197–204. [Google Scholar] [CrossRef]
- Liang, Y.; Zhao, Y.; Bai, X.; Xiao, L.; Yang, Y.; Zhang, J.; Wang, L.; Cui, L.; Wang, T.; Shi, Y.; et al. Immunotherapeutic Effects of Mycobacterium Tuberculosis Rv3407 DNA Vaccine in Mice. Autoimmunity 2018, 51, 417–422. [Google Scholar] [CrossRef]
- Agarwal, S.; Sharma, A.; Bouzeyen, R.; Deep, A.; Sharma, H.; Mangalaparthi, K.K.; Datta, K.K.; Kidwai, S.; Gowda, H.; Varadarajan, R.; et al. VapBC22 Toxin-Antitoxin System from Mycobacterium Tuberculosis Is Required for Pathogenesis and Modulation of Host Immune Response. Sci. Adv. 2020, 6, eaba6944. [Google Scholar] [CrossRef] [PubMed]
- Roy, M.; Bose, M.; Bankoti, K.; Kundu, A.; Dhara, S.; Das, A.K. Biochemical Characterization of VapC46 Toxin from Mycobacterium Tuberculosis. Mol. Biotechnol. 2020, 62, 335–343. [Google Scholar] [CrossRef] [PubMed]
- Sharma, A.; Chattopadhyay, G.; Chopra, P.; Bhasin, M.; Thakur, C.; Agarwal, S.; Ahmed, S.; Chandra, N.; Varadarajan, R.; Singh, R. VapC21 Toxin Contributes to Drug-Tolerance and Interacts with Non-Cognate VapB32 Antitoxin in Mycobacterium Tuberculosis. Front. Microbiol. 2020, 11, 2037. [Google Scholar] [CrossRef]
- Min, A.B.; Miallau, L.; Sawaya, M.R.; Habel, J.; Cascio, D.; Eisenberg, D. The Crystal Structure of the Rv0301-Rv0300 VapBC-3 Toxin-Antitoxin Complex from M. Tuberculosis Reveals a Mg2+ Ion in the Active Site and a Putative RNA-Binding Site. Protein Sci. 2012, 21, 1754–1767. [Google Scholar] [CrossRef]
- Dienemann, C.; Bøggild, A.; Winther, K.S.; Gerdes, K.; Brodersen, D.E. Crystal Structure of the VapBC Toxin–Antitoxin Complex from Shigella Flexneri Reveals a Hetero-Octameric DNA-Binding Assembly. J. Mol. Biol. 2011, 414, 713–722. [Google Scholar] [CrossRef] [PubMed]
- Maté, M.J.; Vincentelli, R.; Foos, N.; Raoult, D.; Cambillau, C.; Ortiz-Lombardía, M. Crystal Structure of the DNA-Bound VapBC2 Antitoxin/Toxin Pair from Rickettsia Felis. Nucleic Acids Res. 2012, 40, 3245–3258. [Google Scholar] [CrossRef]





Disclaimer/Publisher’s Note: The statements, opinions and data contained in all publications are solely those of the individual author(s) and contributor(s) and not of MDPI and/or the editor(s). MDPI and/or the editor(s) disclaim responsibility for any injury to people or property resulting from any ideas, methods, instructions or products referred to in the content. |
© 2023 by the authors. Licensee MDPI, Basel, Switzerland. This article is an open access article distributed under the terms and conditions of the Creative Commons Attribution (CC BY) license (https://creativecommons.org/licenses/by/4.0/).
Share and Cite
Pagani, T.D.; Corrêa, P.R.; Lima, C.; Gomes, L.H.F.; Schwarz, M.G.A.; Galvão, T.C.; Degrave, W.M.; Valadares, N.F.; Mendonça-Lima, L. Impact of Genomic Deletion RD16 on the Expression of the Mycobacterium bovis BCG Moreau VapBC47 Toxin-Antitoxin System. Curr. Issues Mol. Biol. 2023, 45, 6538-6549. https://doi.org/10.3390/cimb45080412
Pagani TD, Corrêa PR, Lima C, Gomes LHF, Schwarz MGA, Galvão TC, Degrave WM, Valadares NF, Mendonça-Lima L. Impact of Genomic Deletion RD16 on the Expression of the Mycobacterium bovis BCG Moreau VapBC47 Toxin-Antitoxin System. Current Issues in Molecular Biology. 2023; 45(8):6538-6549. https://doi.org/10.3390/cimb45080412
Chicago/Turabian StylePagani, Talita Duarte, Paloma Rezende Corrêa, Cristiane Lima, Leonardo Henrique Ferreira Gomes, Marcos Gustavo Araujo Schwarz, Teca Calcagno Galvão, Wim Maurits Degrave, Napoleão Fonseca Valadares, and Leila Mendonça-Lima. 2023. "Impact of Genomic Deletion RD16 on the Expression of the Mycobacterium bovis BCG Moreau VapBC47 Toxin-Antitoxin System" Current Issues in Molecular Biology 45, no. 8: 6538-6549. https://doi.org/10.3390/cimb45080412
APA StylePagani, T. D., Corrêa, P. R., Lima, C., Gomes, L. H. F., Schwarz, M. G. A., Galvão, T. C., Degrave, W. M., Valadares, N. F., & Mendonça-Lima, L. (2023). Impact of Genomic Deletion RD16 on the Expression of the Mycobacterium bovis BCG Moreau VapBC47 Toxin-Antitoxin System. Current Issues in Molecular Biology, 45(8), 6538-6549. https://doi.org/10.3390/cimb45080412

