Chloride Intracellular Channel Protein 1 Expression and Angiogenic Profile of Liver Metastasis of Digestive Origin
Abstract
1. Introduction
2. Materials and Methods
2.1. Patients and Biopsies
2.2. Immunohistochemistry
2.3. Bioinformatic Analysis
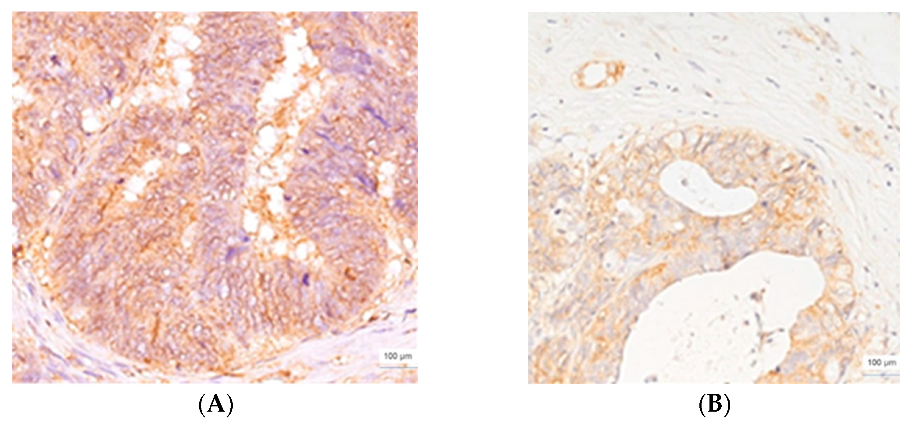
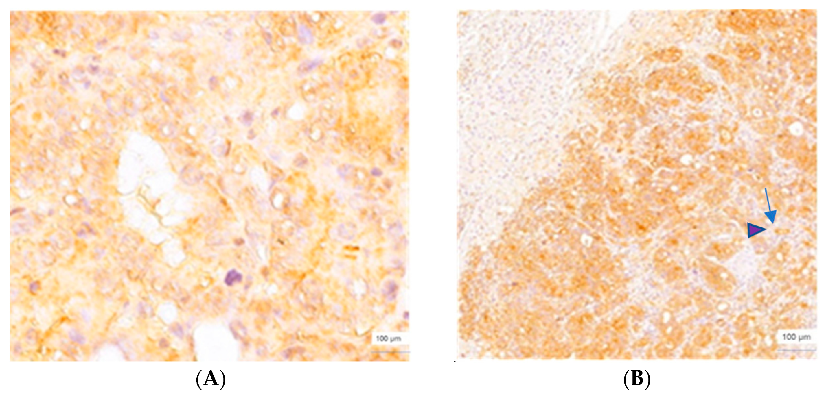
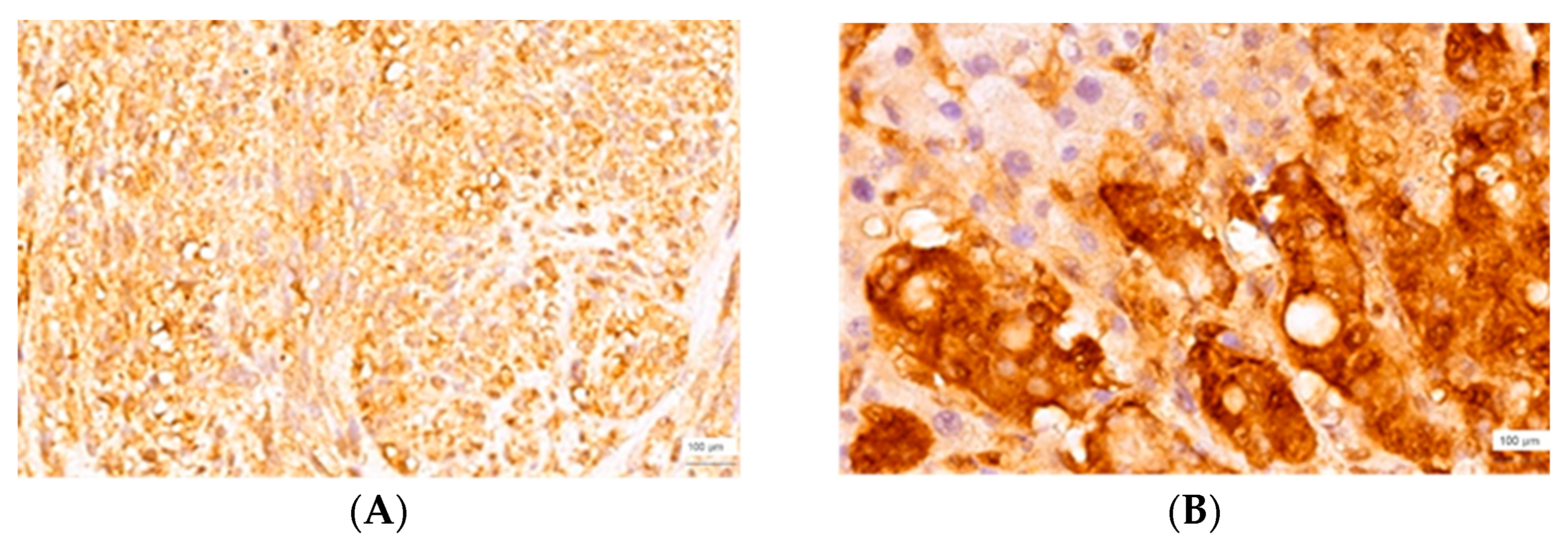
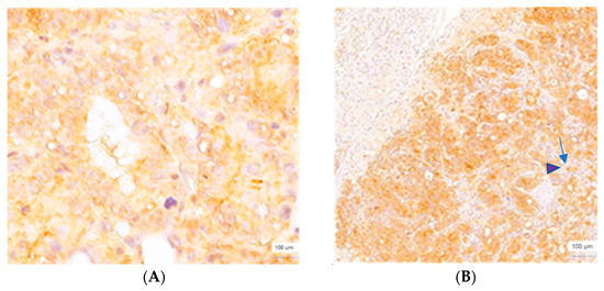
3. Results
4. Discussion
5. Conclusions
Author Contributions
Funding
Institutional Review Board Statement
Informed Consent Statement
Data Availability Statement
Acknowledgments
Conflicts of Interest
References
- Ivey, G.D.; Johnston, F.M.; Azad, N.S.; Christenson, E.S.; Lafaro, K.J.; Shubert, C.R. Current surgical management strategies for colorectal cancer liver metastases. Cancers 2022, 14, 1063. [Google Scholar] [CrossRef]
- Sun, Z.; Zheng, H.; Yu, J.; Huang, W.; Li, T.; Chen, H.; Hu, Y.; Zhao, M.; Liu, H.; Jiang, Y.; et al. Liver metastases in newly diagnosed gastric cancer: A population-based study from SEER. J. Cancer 2019, 10, 2991–3005. [Google Scholar] [CrossRef] [PubMed]
- Jin, T.; Dai, C.; Xu, F. Surgical and local treatment of hepatic metastasis in pancreatic ductal adenocarcinoma: Recent advances and future prospects. Ther. Adv. Med. Oncol. 2020, 12, 1758835920933034. [Google Scholar] [CrossRef] [PubMed]
- van Dam, P.J.; van der Stok, E.P.; Teuwen, L.A.; Van den Eynden, G.G.; Illemann, M.; Frentzas, S.; Majeed, A.W.; Eefsen, R.L.; Coebergh van den Braak, R.R.J.; Lazaris, A.; et al. International consensus guidelines for scoring the histopathological growth pat-terns of liver metastasis. Br. J. Cancer 2017, 117, 1427–1441. [Google Scholar] [CrossRef]
- Latacz, E.; Höppener, D.; Bohlok, A.; Leduc, S.; Tabariès, S.; Fernández Moro, C.; Lugassy, C.; Nyström, H.; Bozóky, B.; Floris, G.; et al. Histopathological growth patterns of liver metastasis: Updated consensus guidelines for pattern scoring, perspectives and recent mechanistic insights. Br. J. Cancer, 2022; epub ahead of print. [Google Scholar] [CrossRef]
- Lopez, G.; Boggio, F.; Ferrero, S.; Fusco, N.; Del Gobbo, A. Molecular and immunohistochemical markers with prognostic and predictive significance in liver metastases from colorectal carcinoma. Int. J. Mol. Sci. 2018, 19, 3014. [Google Scholar] [CrossRef] [PubMed]
- Matsuoka, T.; Yashiro, M. Biomarkers of gastric cancer: Current topics and future perspective. World J. Gastroenterol. 2018, 24, 2818–2832. [Google Scholar] [CrossRef]
- Dong, Y.; Tian, J.; Yan, B.; Li, K.; Li, J.; Fu, D. Liver-metastasis-related genes are potential biomarkers for predicting the clinical outcomes of patients with pancreatic adenocarcinoma. Pathol. Oncol. Res. 2021, 5, 1609822. [Google Scholar] [CrossRef]
- Kim, J.; Kim, J.; Bae, J.S. ROS homeostasis and metabolism: A critical liaison for cancer therapy. Exp. Mol. Med. 2016, 48, e269. [Google Scholar] [CrossRef]
- Tasiopoulou, V.; Magouliotis, D.; Solenov, E.I.; Vavougios, G.; Molyvdas, P.A.; Gourgoulianis, K.I.; Hatzoglou, C.; Zarogiannis, S.G. Transcriptional over-expression of chloride intracellular channels 3 and 4 in malignant pleural mesothelioma. Comput. Biol. Chem 2015, 59 Pt A, 111–116. [Google Scholar] [CrossRef]
- Lee, J.R.; Lee, J.Y.; Kim, H.J.; Hahn, M.J.; Kang, J.S.; Cho, H. The inhibition of chloride intracellular channel 1 enhances Ca2+ and reactive oxygen species signaling in A549 human lung cancer cells. Exp. Mol. Med. 2019, 51, 1–11. [Google Scholar] [CrossRef]
- Mao, Y.; Kleinjan, M.L.; Jilishitz, I.; Swaminathan, B.; Obinata, H.; Komarova, Y.A.; Bayless, K.J.; Hla, T.; Kitajewski, J.K. CLIC1 and CLIC4 mediate endothelial S1P receptor signaling to facilitate Rac1 and RhoA activity and function. Sci. Signal. 2021, 20, eabc0425. [Google Scholar] [CrossRef] [PubMed]
- Peng, J.M.; Lin, S.H.; Yu, M.C.; Hsieh, S.Y. CLIC1 recruits PIP5K1A/C to induce cell-matrix adhesions for tumor metastasis. J Clin. Invest. 2021, 131, e133525. [Google Scholar] [CrossRef]
- Wang, P.; Zeng, Y.; Liu, T.; Zhang, C.; Yu, P.-W.; Hao, Y.-X.; Liu, G.; Luo, H.-X. Chloride intracellular channel 1 regulates colon cancer cell migration and invasion through ROS/ERK pathway. World J. Gastroenterol. 2014, 20, 2071–2078. [Google Scholar] [CrossRef] [PubMed]
- Al Khamici, H.; Hossain, K.R.; Cornell, B.A.; Valenzuela, S.M. Investigating sterol and redox regulation of the ion channel activity of CLIC1 using tethered bilayer membranes. Membranes 2016, 8, 51. [Google Scholar] [CrossRef] [PubMed]
- Weidner, N.; Folkman, J.; Pozza, F.; Bevilacqua, P.; Allred, E.N.; Moore, D.H.; Meli, S.; Gasparini, G. Tumour angiogenesis: A new significant and independent prognostic indicator in early-stage breast carcinoma. J. Natl. Cancer Inst. 1992, 84, 1875–1887. [Google Scholar] [CrossRef]
- Höppener, D.J.; Stook, J.L.; Galjart, B.; Lee, J.Y.; Kim, H.J.; Hahn, M.J. The relationship between primary colorectal cancer histology and the histopathological growth patterns of corresponding liver metastases. BMC Cancer 2022, 22, 911. [Google Scholar] [CrossRef]
- Buisman, F.E.; Giardiello, D.; Kemeny, N.E.; Steyerberg, E.W.; Höppener, D.J.; Galjart, B.; Nierop, P.M.H.; Balachandran, V.P.; Cercek, A.; Drebin, J.A.; et al. Predicting 10-year survival after resection of colorectal liver metastases; an international study including biomarkers and perioperative treatment. Eur. J. Cancer 2022, 168, 25–33. [Google Scholar] [CrossRef]
- Haas, G.; Fan, S.; Ghadimi, M.; De Oliveira, T.; Conradi, L.C. Different forms of tumor vascularization and their clinical implications focusing on vessel co-option in colorectal cancer liver metastases. Front. Cell Dev. Biol. 2021, 9, 612774. [Google Scholar] [CrossRef]
- Ceaușu, R.A.; Ciolofan, A.; Blidișel, A.; Crețu, O.M.; Cimpean, A.M.; Raica, M. Liver metastatic colorectal tumor cells change their phenotype during consecutive passages on chick embryo chorioallantoic membrane: Les-sons from the lab to the clinic. In Vivo 2021, 35, 2711–2718. [Google Scholar] [CrossRef]
- Ponnalagu, D.; Singh, H. Anion channels of mitochondria. Handb. Exp. Pharmacol. 2017, 240, 71–101. [Google Scholar] [CrossRef]
- Al Khamici, H.; Brown, L.J.; Hossain, K.R.; Hudson, A.L.; Sinclair-Burton, A.A.; Ng, J.P.; Hahn, M.J. Mem-bers of the chloride intracellular ion channel protein family demonstrate glutaredoxin-like enzymatic activity. PLoS ONE 2015, 10, e115699. [Google Scholar] [CrossRef] [PubMed]
- Peretti, M.; Angelini, M.; Savalli, N.; Florio, T.; Yuspa, S.H.; Mazzanti, M. Chloride channels in cancer: Focus on chloride intracellular channel 1 and 4 (CLIC1 and CLIC4) proteins in tumor development and as novel therapeutic targets. Biochim. Biophys. Acta 2015, 1848, 2523–2531. [Google Scholar] [CrossRef] [PubMed]
- Li, B.A.; Mao, Y.A.; Wang, Z.; Lee, J.Y.; Kim, H.J.; Hahn, M.J. CLIC1 Promotes the Progression of Gastric Cancer by Regulating the MAPK/AKT Pathways. Cell Physiol. Biochem. 2018, 46, 907–924. [Google Scholar] [CrossRef] [PubMed]
- Nesiu, A.; Cimpean, A.M.; Ceausu, A.R.; Adile, A.; Ioiart, I.; Porta, C.; Mazzanti, M.; Camerota, T.C.; Raica, M. Intracellular chloride ion channel protein-1 expression in clear cell renal cell carcinoma cancer. Genom. Proteom. 2019, 16, 299–307. [Google Scholar] [CrossRef]
- Setti, M.; Savalli, N.; Osti, D.; Richichi, C.; Angelini, M.; Brescia, P.; Fornasari, L.; Carro, M.S.; Mazzanti, M.; Pelicci, G. Functional role of CLIC1 ion channel in glioblastoma-derived stem/progenitor cells. J. Natl. Cancer Inst. 2013, 105, 1644–1655. [Google Scholar] [CrossRef]
- Peretti, M.; Raciti, F.M.; Carlini, V.; Verduci, I.; Sertic, S.; Barozzi, S.; Garré, M.; Pattarozzi, A.; Daga, A.; Barbieri, F.; et al. Mutual Influence of ROS, pH, and CLIC1 membrane protein in the regulation of G1-S phase progression in human glioblastoma stem cells. Mol. Cancer Ther. 2018, 17, 2451–2461. [Google Scholar] [CrossRef]
- Thuringer, D.; Chanteloup, G.; Winckler, P.; Garrido, C. The vesicular transfer of CLIC1 from glioblastoma to microvascular endothelial cells requires TRPM7. Oncotarget 2018, 9, 33302–33311. [Google Scholar] [CrossRef]
- Xu, Y.; Xu, J.; Feng, J.; Li, J.; Jiang, C.; Li, X.; Zou, S.; Wang, Q.; Li, Y. Expression of CLIC1 as a potential biomarker for oral squamous cell carcinoma: A preliminary study. Onco Targets Ther. 2018, 11, 8073–8081. [Google Scholar] [CrossRef] [PubMed]
- Singha, B.; Harper, S.L.; Goldman, A.R.; Bitler, B.G.; Aird, K.M.; Borowsky, M.E.; Cadungog, M.G.; Liu, Q.; Zhang, R.; Jean, S.; et al. CLIC1 and CLIC4 complement CA125 as a diagnostic biomarker panel for all subtypes of epithelial ovarian cancer. Sci. Rep. 2018, 8, 14725. [Google Scholar] [CrossRef]
- Wei, X.; Pan, B.; Yang, M.; Shu, W.; Khan, A.R.; Su, R.; Lin, H.; Xu, X. CLIC1 drives angiogenesis in hepatocellular carcinoma by modulating VEGF-A. Technol. Cancer Res. Treat. 2022, 21, 15330338221106820. [Google Scholar] [CrossRef]
- Lu, J.; Dong, Q.; Zhang, B.; Wang, X.; Ye, B.; Zhang, F.; Lee, J.Y.; Kim, H.J. Chloride intracellular channel 1 (CLIC1) is activated and functions as an oncogene in pancreatic cancer. Med. Oncol. 2015, 32, 616. [Google Scholar] [CrossRef]
- Jia, N.; Dong, S.; Zhao, G.; Gao, H.; Li, X.; Zhang, H. CLIC1 overexpression is associated with poor prognosis in pancreatic ductal adenocarcinomas. J. Cancer Res. Ther. 2016, 12, 892–896. [Google Scholar] [CrossRef] [PubMed]
- Qiu, Y.; Mao, Y.T.; Zhu, J.H.; Jia, N.; Dong, S. CLIC1 knockout inhibits invasion and migration of gastric cancer by upregulating AMOT-p130 expression. Clin. Transl. Oncol. 2021, 23, 514–525. [Google Scholar] [CrossRef]
- Lazaris, A.; Amri, A.; Petrillo, S.K.; Zoroquiain, P.; Ibrahim, N.; Salman, A.; Gao, Z.H.; Vermeulen, P.B.; Metrakos, P. Vascularization of colorectal carcinoma liver metastasis: Insight into stratification of patients for anti-angiogenic therapies. The Journal of Pathology. Clin. Res. 2018, 4, 184–192. [Google Scholar] [CrossRef]
- Huang, J.J.; Lin, J.; Chen, X.; Zhu, W. Identification of chloride intracellular channels as prognostic factors correlated with immune infiltration in hepatocellular carcinoma using bioinformatics analysis. Medicine 2021, 12, e27739. [Google Scholar] [CrossRef] [PubMed]
- Gururaja, R.S.; Patel, N.J.; Singh, H. Intracellular Chloride Channels: Novel Biomarkers in Diseases. Front. Physiol. 2020, 14, 96. [Google Scholar] [CrossRef] [PubMed]



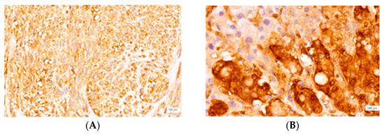
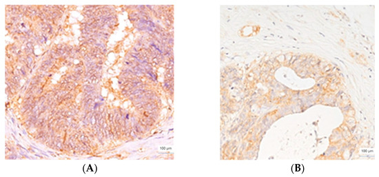
) increased in the nucleus (blue arrow
) of the cell.
) increased in the nucleus (blue arrow
) of the cell.



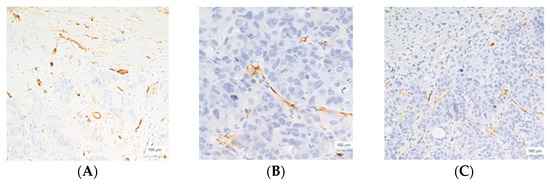
| Primary Tumor/Corresponding Pushing HGP of LM | CD34+/Ki67− Non-Proliferative Vessels; Average Values of MVD | CD34+/Ki67+ Proliferative Vessels; Average Values of MVD |
|---|---|---|
| Well-differentiated primary CRC/corresponding LM | 4.33 | 0 |
| 1.66 | 0 | |
| Moderately differentiated CRC/corresponding LM | 16.8 | 3.2 |
| 19.8 | 1.2 | |
| Poorly differentiated CRC/corresponding LM | 27.25 | 2.5 |
| 39 | 2.75 | |
| Moderately differentiated gastric adenocarcinoma/corresponding LM | 62 | 12 |
| 34 | 5 | |
| Poorly differentiated gastric adenocarcinoma/corresponding LM | 32 | 7 |
| 37 | 7 |
Disclaimer/Publisher’s Note: The statements, opinions and data contained in all publications are solely those of the individual author(s) and contributor(s) and not of MDPI and/or the editor(s). MDPI and/or the editor(s) disclaim responsibility for any injury to people or property resulting from any ideas, methods, instructions or products referred to in the content. |
© 2023 by the authors. Licensee MDPI, Basel, Switzerland. This article is an open access article distributed under the terms and conditions of the Creative Commons Attribution (CC BY) license (https://creativecommons.org/licenses/by/4.0/).
Share and Cite
Ceausu, A.R.; Ciolofan, A.; Blidisel, A.; Cosma, A.A.; Gaje, P.N.; Cretu, O. Chloride Intracellular Channel Protein 1 Expression and Angiogenic Profile of Liver Metastasis of Digestive Origin. Curr. Issues Mol. Biol. 2023, 45, 1396-1406. https://doi.org/10.3390/cimb45020091
Ceausu AR, Ciolofan A, Blidisel A, Cosma AA, Gaje PN, Cretu O. Chloride Intracellular Channel Protein 1 Expression and Angiogenic Profile of Liver Metastasis of Digestive Origin. Current Issues in Molecular Biology. 2023; 45(2):1396-1406. https://doi.org/10.3390/cimb45020091
Chicago/Turabian StyleCeausu, Amalia Raluca, Alexandru Ciolofan, Alexandru Blidisel, Andrei Alexandru Cosma, Pusa Nela Gaje, and Octavian Cretu. 2023. "Chloride Intracellular Channel Protein 1 Expression and Angiogenic Profile of Liver Metastasis of Digestive Origin" Current Issues in Molecular Biology 45, no. 2: 1396-1406. https://doi.org/10.3390/cimb45020091
APA StyleCeausu, A. R., Ciolofan, A., Blidisel, A., Cosma, A. A., Gaje, P. N., & Cretu, O. (2023). Chloride Intracellular Channel Protein 1 Expression and Angiogenic Profile of Liver Metastasis of Digestive Origin. Current Issues in Molecular Biology, 45(2), 1396-1406. https://doi.org/10.3390/cimb45020091

