Toxicity, Safety, and Efficacy Studies on Mesenchymal Stem Cells Derived from Decidua basalis in Wistar Albino Rats by Intravenous and Subcutaneous Routes
Abstract
:1. Introduction
2. Materials and Methods
2.1. In Vitro Study
Material Source
2.2. In Vivo Study
Experimental Animals
2.3. Administration
2.4. Mortality and Clinical Signs
2.5. Body Weight
2.6. Necropsy
2.7. Safety Study
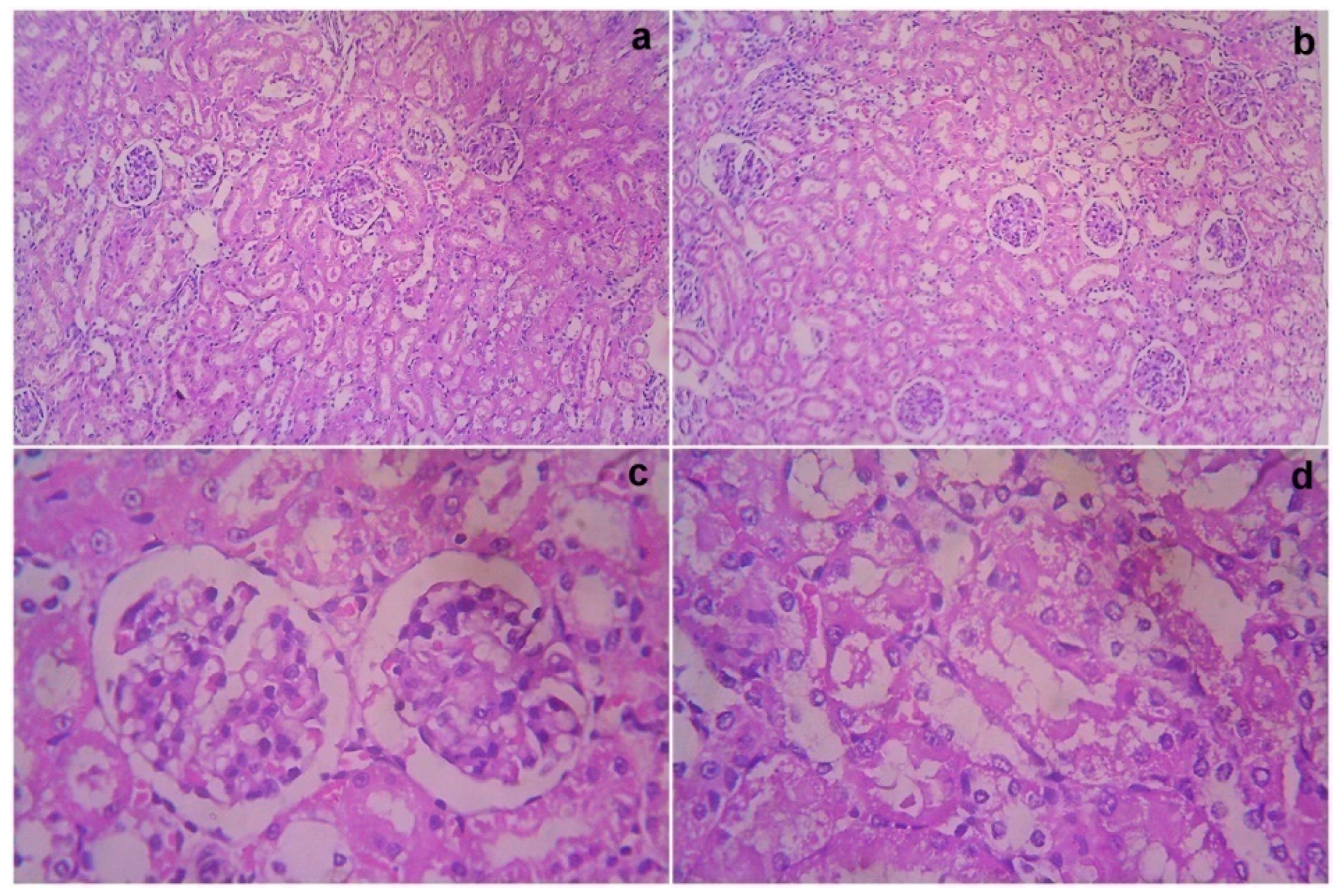
2.8. Histopathological Studies
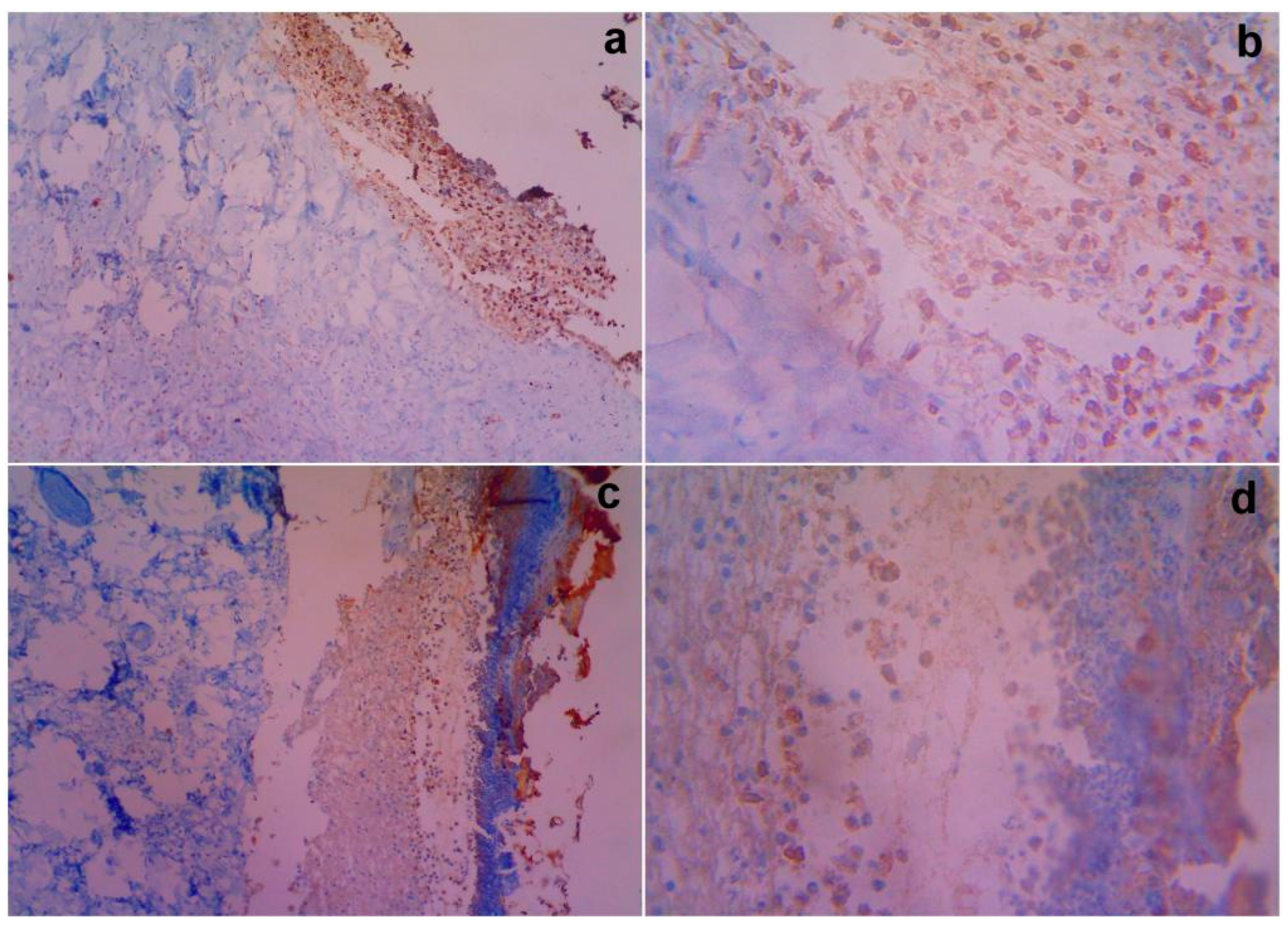
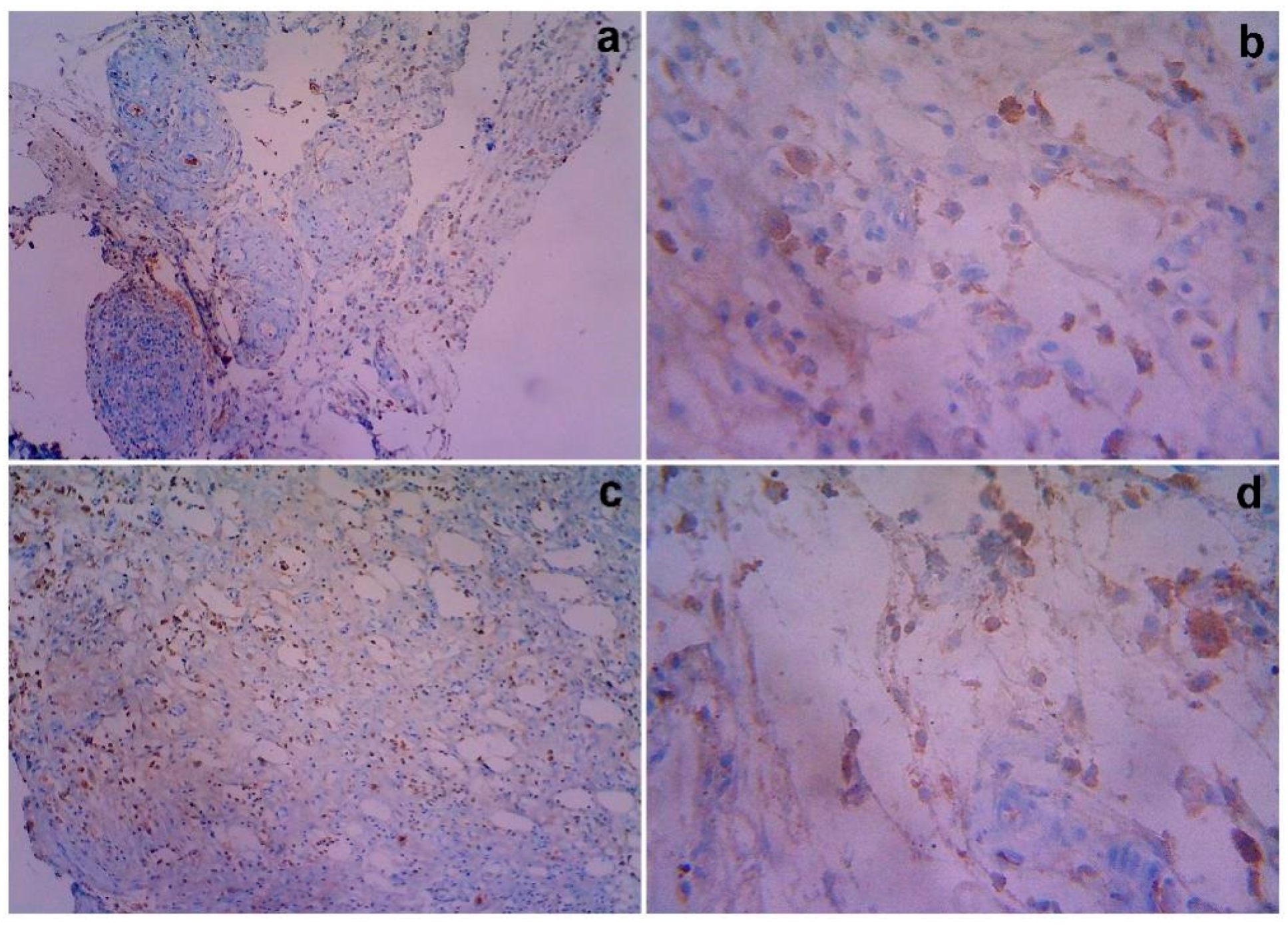
2.9. Immunological Studies
2.10. Estimation of MLD, MTD, and LD50
2.11. Statistical Analysis
3. Results
3.1. In Vitro Studies
3.2. In Vivo Studies
Dosing Formulations and Cell Count
3.3. Clinical Signs and Mortality
3.4. Body Weight
3.5. Complete Blood Cell Count and Differential Count
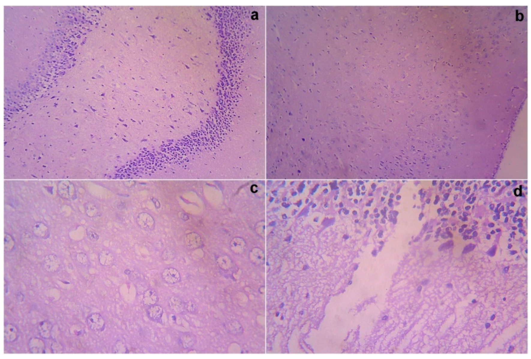
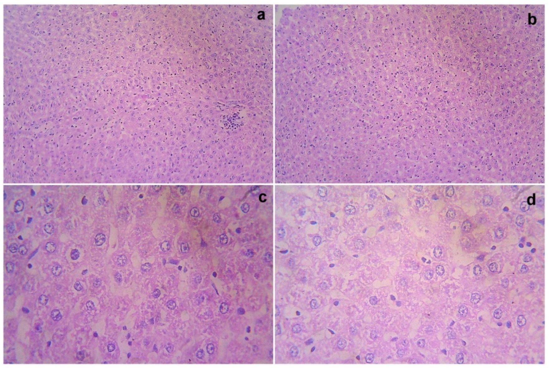
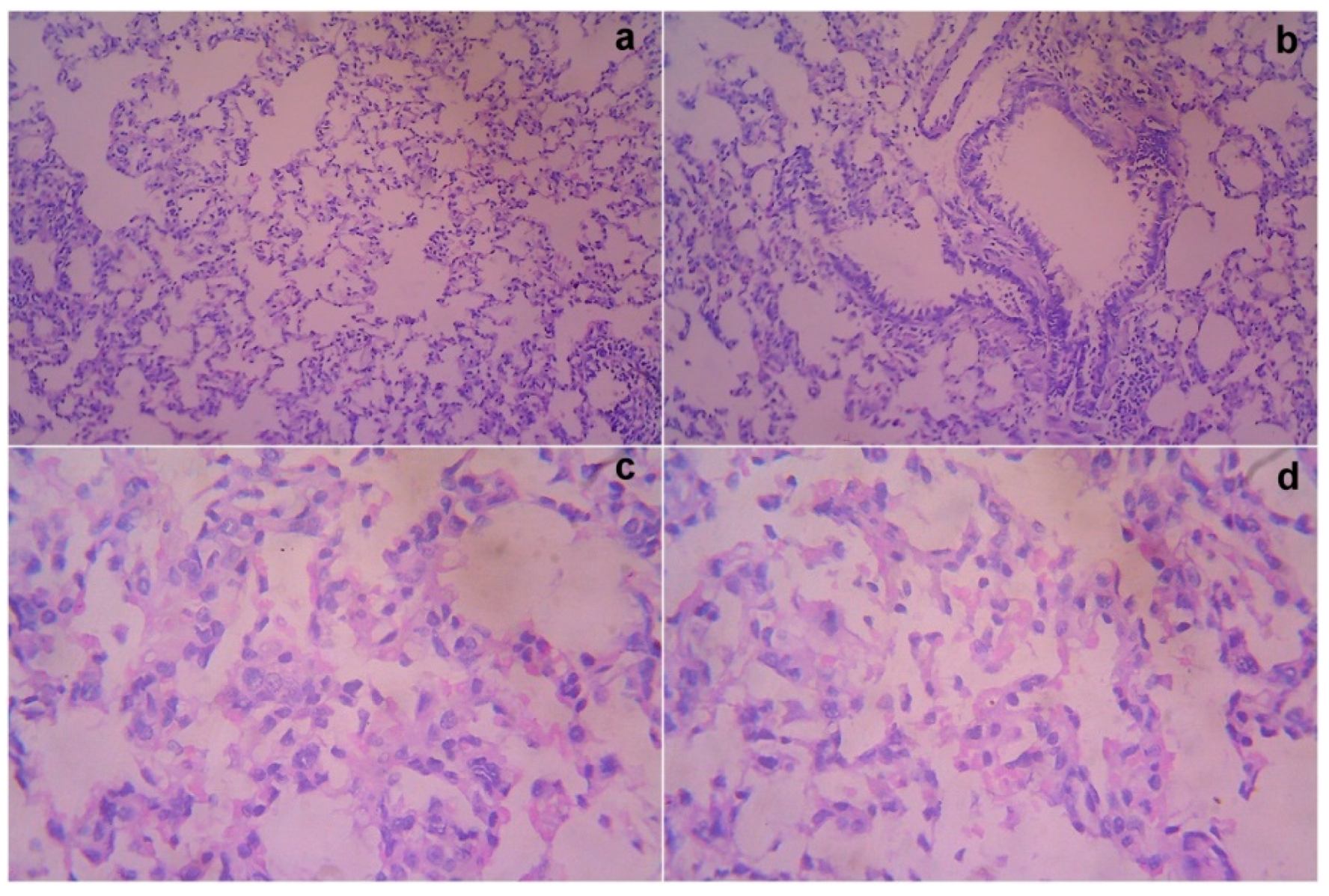
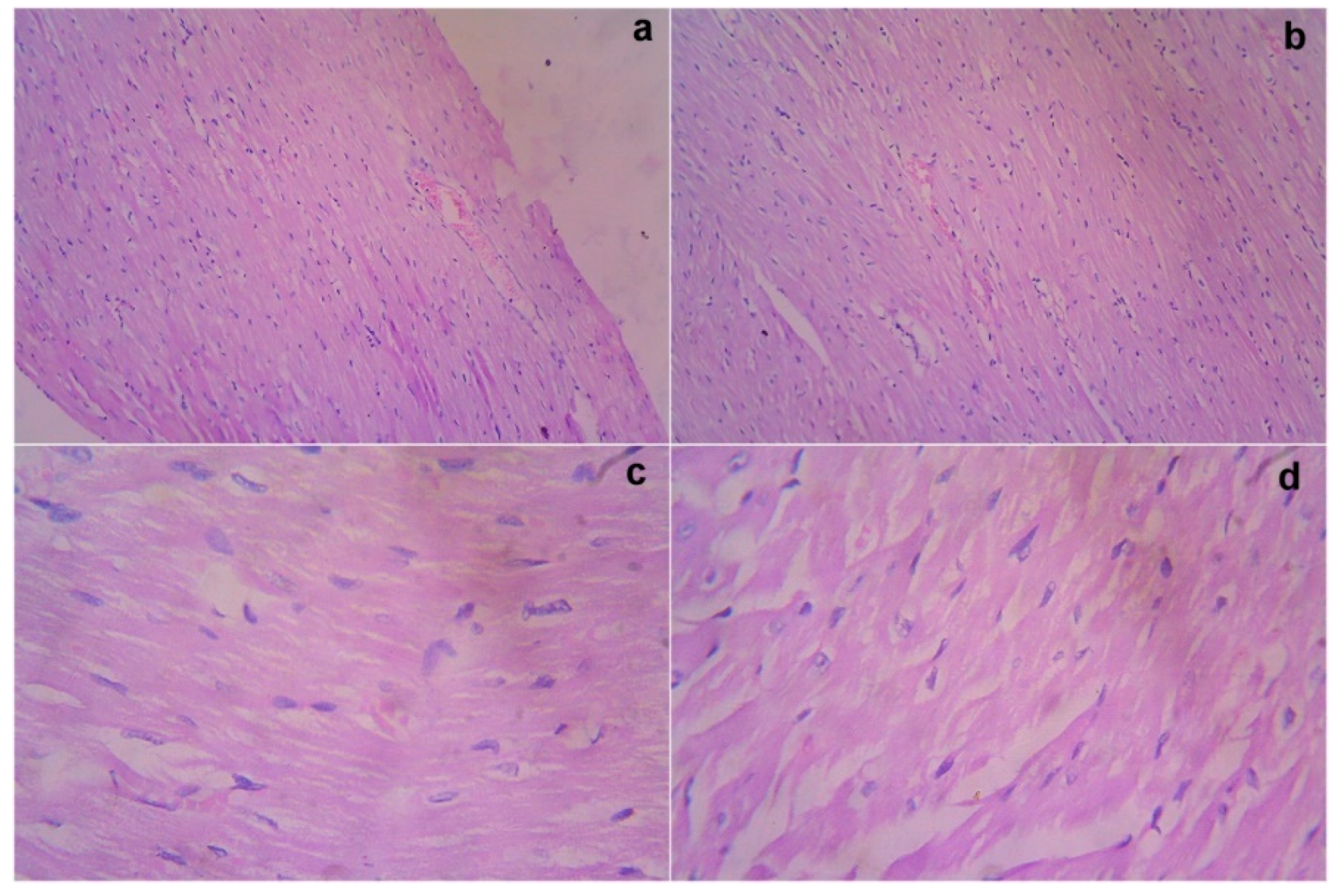
3.6. Necropsy and Histopathology
3.7. Acute Toxicity and Safety Study
3.8. Immunological Studies
3.9. Calculation of MTD, MLD and LD50
3.10. Statistical Analysis
4. Discussion
5. Conclusions
Author Contributions
Funding
Institutional Review Board Statement
Informed Consent Statement
Data Availability Statement
Acknowledgments
Conflicts of Interest
References
- Jaianand, K.; Veeramanikandan, V.; Muthukumarasamy, E.; Balaji, P. An in vitrostudy of amniotic membrane, villous chorion and Wharton’s jelly-derived mesenchymal stem cells and their potential for cardiac repair. J. Stem Cell Res. Ther. 2018, 4, 104–109. [Google Scholar]
- Jaianand, K.; Muthukutty, P.; Iqbal, T.; Balaji, P. Villous chorion: A potential source for pluripotent like stromal cells. J. Natl. Sci. Biol. Med. 2017, 8, 221–228. [Google Scholar]
- Pasquinelli, G.; Tazzari, P.; Ricci, F.; Vaselli, C.; Buzzi, M. Ultrastructural characteristics of human mesenchymal stromal (stem) cells derived from bone marrow and term placenta. Ultrastruct. Pathol. 2007, 31, 23–31. [Google Scholar] [CrossRef] [PubMed]
- Anker, P.S.; Scherjon, S.A.; Kleijburg-van der Keur, C.; de Groot-Swings, G.M.; Claas, F.H. Isolation of mesenchymal stem cells of fetal or maternal origin from human placenta. Stem Cells 2004, 22, 1338–1345. [Google Scholar] [CrossRef] [PubMed]
- Bobis, S.; Jarocha, D.; Majka, M. Mesenchymal stem cells Characteristics and clinical applications. Folia Histochem. Cytobiol. 2006, 44, 215–230. [Google Scholar] [PubMed]
- Kim, N.; Cho, S.G. Clinical applications of mesenchymal stem cells. Korean J. Intern. Med. 2013, 28, 387–402. [Google Scholar] [CrossRef] [PubMed]
- Hass, R.; Kasper, C.; Böhm, S.; Jacobs, R. Different populations and sources of human mesenchymal stem cells (MSC): A comparison of adult and neonatal tissue derived MSC. Cell Commun. Signal. 2011, 9, 12. [Google Scholar] [CrossRef]
- Miao, Z.; Jin, J.; Chen, L.; Zhu, J.; Huang, W.; Zhao, J. Isolation of mesenchymal stem cells from human placenta: Comparison with human bone marrow mesenchymal stem cells. Cell Biol. Int. 2006, 30, 681–687. [Google Scholar] [CrossRef]
- Wulf, G.G.; Viereck, V.; Hemmerlein, B.; Haase, D.; Vehmeyer, K.; Pukrop, T. Mesogenic progenitor cells derived from human placenta. Tissue Eng. 2004, 10, 1136–1147. [Google Scholar] [CrossRef]
- Castellucci, M.; Kosanke, G.; Verdenelli, F.; Huppertz, B.; Kaufmann, P. Villous sprouting: Fundamental mechanisms of human placental development. Hum. Reprod. Update 2000, 6, 485–494. [Google Scholar] [CrossRef]
- Jaianand, K.; Balaji, P. Clinical prospects of scale-up fetal Wharton’s jelly derived multi potent stromal cells to fulfill the therapeutic demands. Int. J. Pharm. Biol. Sci. 2015, 6, 882–894. [Google Scholar]
- Jaianand, K.; Balaji, P. Isolation, characterization and scale up of fetal amniotic membrane derived multi potent stromal cells for therapeutic applications. Int. J. Pharm. Biol. Sci. 2015, 6, 376–385. [Google Scholar]
- Snedecor, G.W.; Cochran, W.G. Statistical Methods, 7th ed.; Iowa State University Press: Ames, IA, USA, 1980. [Google Scholar]
- Dunnett, C.W. Multiple comparisons between several treatments and a specified treatment. In Linear Statistical Inference; Springer: New York, NY, USA, 1985; pp. 39–47. [Google Scholar]
- Priya, S.; Jaianand, K.; Jothi Ramalingam, R.; Prema, P.; Ramesh Kumar, K.; Balaji, P.; Hamad, A.; Selvaraj, A.; Veeramanikandan, V. Isolation, Expansion and Characterization of Placenta Originated Decidua Basalis-Derived Mesenchymal Stromal Cells. ACS Omega 2021, 6, 35538–35554. [Google Scholar]
- Jaianand, K.; Suriya, N.; Palaniyandi, M.; Anubhav, P. Acute toxicity study of Mesenchymal Stromal cells derived from Wharton’s Jelly in mouse by intravenous and subcutaneous route. Int. J. Res. Dev. Pharm. Life Sci. 2017, 6, 2748–2756. [Google Scholar]
- Young Bang, O.; Jin, S.L.; Hyu, L.; Gwang, L. Autologous mesenchymal stem cell transplantation in stroke patients. Ann. Neurol. 2005, 57, 874–882. [Google Scholar] [CrossRef]
- Pal, R.; Venkataramana, N.K.; Bansal, A.; Balaraju, S.; Jan, M.; Chandra, R.; Dixit, A.; Rauthan, A.; Murgod, U.; Totey, S. Ex vivo-expanded autologous bone marrow derived mesenchymal stromal cells in human spinal cord injury/paraplegia: A pilot clinical study. Cytotherapy 2009, 11, 897–911. [Google Scholar] [CrossRef]
- Martino, G.; Franklin, R.J.; Van Evercooren, A.B.; Kerr, D.A. Stem cells in multiple sclerosis (STEMS) consensus group. Stem cell transplantation in multiple sclerosis: Current status and future prospects. Nat. Rev. Neurol. 2010, 6, 247–255. [Google Scholar] [CrossRef]
- Freedman, M.S.; Bar-Or, A.; Atkins, H.L.; Karussis, D.; Frassoni, F.; Lazarus, H.; Scolding, N.; Slavin, S.; LeBlanc, K.; Uccelli, A. The therapeutic potential of mesenchymal stem cell transplantation as a treatment for multiple sclerosis: Consensus report of the International MSCT Study Group. Mult. Scler. 2010, 16, 503–510. [Google Scholar] [CrossRef]
- Wang, W.; Bergh, A.; Damber, J.E. Cyclooxygenase-2 expression correlates with local chronic inflammation and tumor neovascularization in human prostate cancer. Clin. Cancer Res. 2005, 11, 3250–3256. [Google Scholar] [CrossRef]
- Reinders, M.E.; de Fijter, J.W.; Roelofs, H.; Bajema, I.M.; de Vries, D.K.; Schaapherder, A.F.; Claas, F.H.; van Miert, P.P.; Roelen, D.L.; van Kooten, C.; et al. Autologous bone marrow-derived mesenchymal stromal cells for the treatment of allograft rejection after renal transplantation: Results of a phase I study. Stem Cells Transl. Med. 2013, 2, 107–111. [Google Scholar] [CrossRef]
- Kim, S.J.; Moon, G.J.; Chang, W.H.; Kim, Y.H.; Bang, O.Y. Intravenous transplantation of mesenchymal stem cells preconditioned with early phase stroke serum: Current evidence and study protocol for a randomized trial. Trials 2013, 14, 317. [Google Scholar] [CrossRef] [PubMed]
- Ricciotti, E.; FitzGerald, G.A. Prostaglandins and inflammation. Arterioscler. Thromb. Vasc. Biol. 2011, 31, 986–1000. [Google Scholar] [CrossRef] [PubMed]
- Zarghi, A.; Arfaei, S. Selective COX-2 Inhibitors: A Review of Their Structure-Activity Relationships. Iran. J. Pharm. Res. 2011, 10, 655–683. [Google Scholar] [PubMed]
- Förstermann, U.; Sessa, W.C. Nitric oxide synthases: Regulation and function. Eur. Heart J. 2012, 7, 829–837. [Google Scholar] [CrossRef]
- Wun, T.; McKnight, H.; Tuscano, J.M. Increased cyclooxygenase-2 (COX-2): A potential role in the pathogenesis of lymphoma. Leuk. Res. 2004, 2, 179–190. [Google Scholar] [CrossRef]
- Wang, D.; Akiyama, K.; Zhang, H.; Yamaza, T.; Li, X.; Feng, X.; Wang, H.; Hua, B.; Liu, B.; Xu, H.; et al. Double allogenic mesenchymal stem cells transplantations could not enhance therapeutic effect compared with single transplantation in systemic lupus erythematosus. Clin. Dev. Immunol. 2012, 9, 273291. [Google Scholar] [CrossRef] [Green Version]
- Brennan, P.A.; Umar, T.; Wilson, A.W.; Mellor, T.K. Expression of type 2 nitric oxide synthase and vascular endothelial growth factor in oral dysplasia. J. Oral Maxillofac. Surg. 2002, 60, 1455–1460. [Google Scholar] [CrossRef]







| Groups | Drug Treatment | Incidence of Mortality | |||||
|---|---|---|---|---|---|---|---|
| Male Rats | Female Rats | Male and Female Rats | |||||
| Absolute | % Mortality | Absolute | % Mortality | Absolute | % Mortality | ||
| I Vehicle control | 10 mL/kg Sodium Chloride Inj. | 0/5 | 0 | 0/5 | 0 | 0/10 | 0 |
| II Test article (Intravenous) | MSCs 10 × 106 MSCs/kg | 0/5 | 0 | 0/5 | 0 | 0/10 | 0 |
| III Test article (Subcutaneous) | MSCs 10 × 106 MSCs/kg | 0/5 | 0 | 0/5 | 0 | 0/10 | 0 |
| Mode | Body Weights (g) | Male Rats | Female Rats | |||||||||
|---|---|---|---|---|---|---|---|---|---|---|---|---|
| Groups | Observation | Day 1 | Day 7 | Change (1–7) | Day 15 | Change (1–15) | Day 1 | Day 7 | Change (1–7) | Day 15 | Change (1–15) | |
| Control (10 mL saline/kg) | G1 | Mean | 181.5 | 187.6 | 6.1 | 193.8 | 12.3 | 177.2 | 180.7 | 3.5 | 184.9 | 7.7 |
| ± S. D. | 2.1 | 1.9 | 3.1 | 3.4 | 5.1 | 1.4 | 2.8 | 2.5 | 3 | 2.7 | ||
| n | 5 | 5 | 5 | 5 | 5 | 5 | 5 | 5 | 5 | 5 | ||
| MSCs Treated rats (Test group) 10 × 10⁶ MSCs/kg | G2 | Mean | 180.2 | 184.1 | 3.9 | 186.5 S− | 6.3 | 175.3 | 178.3 | 3 | 184.3 | 9 |
| ± S. D. | 0.2 | 1 | 0.8 | 0.4 | 0.5 | 1.7 | 2.9 | 1.7 | 3.2 | 2.5 | ||
| n | 5 | 5 | 5 | 5 | 5 | 5 | 5 | 5 | 5 | 5 | ||
| G3 | Mean | 183.2 | 186.8 | 3.6 | 191.3 | 8.1 | 178.7 | 181.6 | 2.9 | 186.1 | 7.4 | |
| ± S. D. | 1.2 | 2.2 | 1.2 | 3.4 | 2.2 | 1.3 | 1 | 1.9 | 2.6 | 3.7 | ||
| n | 5 | 5 | 5 | 5 | 5 | 5 | 5 | 5 | 5 | 5 | ||
| G4 | Mean | 182.6 | 186.2 | 3.6 | 188.5 | 5.9 S− | 174.8 | 176.1 | 1.3 | 181.3 | 6.5 | |
| ± S. D. | 1.1 | 0.6 | 0.7 | 1.7 | 1.7 | 2 | 2.4 | 1.5 | 2.7 | 1.3 | ||
| n | 5 | 5 | 5 | 5 | 5 | 5 | 5 | 5 | 5 | 5 | ||
| G5 | Mean | 181.5 | 183.1 S− | 1.6 | 187.8 | 6.3 | 175.2 | 177.4 | 2.2 | 181.8 | 6.6 | |
| ± S. D. | 1.2 | 0.3 | 1.1 | 2.2 | 1.1 | 2.2 | 3.2 | 1 | 2.2 | 0.1 | ||
| n | 5 | 5 | 5 | 5 | 5 | 5 | 5 | 5 | 5 | 5 | ||
| Group | Dose 10 × 10⁶ MSCs/kg Body Weight | Incidence of Tumorigenicity | |||||
|---|---|---|---|---|---|---|---|
| Male | Female | Male and Female (Pooled) | |||||
| Absolute | % | Absolute | % | Absolute | % | ||
| G1 Vehicle control | 10 mL/kg Sodium Chloride Inj. | 0/5 | 0 | 0/5 | 0 | 0/10 | 0 |
| G2 | 10 | 0/5 | 0 | 0/5 | 0 | 0/10 | 0 |
| G3 | 10 | 0/5 | 0 | 0/5 | 0 | 0/10 | 0 |
| G4 | 10 | 0/5 | 0 | 0/5 | 0 | 0/10 | 0 |
| G5 | 10 | 0/5 | 0 | 0/5 | 0 | 0/10 | 0 |
| Groups | Drug Treatment | Incidence of Mortality | |||||
|---|---|---|---|---|---|---|---|
| Male Rat | Female Rat | Male and Female Rat | |||||
| Absolute | % Mortality | Absolute | % Mortality | Absolute | % Mortality | ||
| I Vehicle control | 10 mL/kg Sodium Chloride Inj. | 0/5 | 0 | 0/5 | 0 | 0/10 | 0 |
| II Test article (Intravenous) | MSCs 10 × 106 MSCs/kg | 0/5 | 0 | 0/5 | 0 | 0/10 | 0 |
| III Test article (Subcutaneous) | MSCs 10 × 106 MSCs/kg | 0/5 | 0 | 0/5 | 0 | 0/10 | 0 |
Publisher’s Note: MDPI stays neutral with regard to jurisdictional claims in published maps and institutional affiliations. |
© 2022 by the authors. Licensee MDPI, Basel, Switzerland. This article is an open access article distributed under the terms and conditions of the Creative Commons Attribution (CC BY) license (https://creativecommons.org/licenses/by/4.0/).
Share and Cite
Subramani, P.; Kannaiyan, J.; Khare, S.; Balaji, P.; A. Oyouni, A.A.; S. Aljohani, S.A.; Alsulami, M.O.; Al-Amer, O.M.; R. Alzahrani, O.; A. Altayar, M.; et al. Toxicity, Safety, and Efficacy Studies on Mesenchymal Stem Cells Derived from Decidua basalis in Wistar Albino Rats by Intravenous and Subcutaneous Routes. Curr. Issues Mol. Biol. 2022, 44, 4045-4058. https://doi.org/10.3390/cimb44090277
Subramani P, Kannaiyan J, Khare S, Balaji P, A. Oyouni AA, S. Aljohani SA, Alsulami MO, Al-Amer OM, R. Alzahrani O, A. Altayar M, et al. Toxicity, Safety, and Efficacy Studies on Mesenchymal Stem Cells Derived from Decidua basalis in Wistar Albino Rats by Intravenous and Subcutaneous Routes. Current Issues in Molecular Biology. 2022; 44(9):4045-4058. https://doi.org/10.3390/cimb44090277
Chicago/Turabian StyleSubramani, Priya, Jaianand Kannaiyan, Saurabh Khare, Paulraj Balaji, Atif Abdulwahab A. Oyouni, Saad Ali S. Aljohani, Mishal Olayan Alsulami, Osama M. Al-Amer, Othman R. Alzahrani, Malik A. Altayar, and et al. 2022. "Toxicity, Safety, and Efficacy Studies on Mesenchymal Stem Cells Derived from Decidua basalis in Wistar Albino Rats by Intravenous and Subcutaneous Routes" Current Issues in Molecular Biology 44, no. 9: 4045-4058. https://doi.org/10.3390/cimb44090277
APA StyleSubramani, P., Kannaiyan, J., Khare, S., Balaji, P., A. Oyouni, A. A., S. Aljohani, S. A., Alsulami, M. O., Al-Amer, O. M., R. Alzahrani, O., A. Altayar, M., Allah Alsulami, A. A., & Veeramani, V. (2022). Toxicity, Safety, and Efficacy Studies on Mesenchymal Stem Cells Derived from Decidua basalis in Wistar Albino Rats by Intravenous and Subcutaneous Routes. Current Issues in Molecular Biology, 44(9), 4045-4058. https://doi.org/10.3390/cimb44090277

