Presence of Human Papillomavirus DNA in Malignant Neoplasia and Non-Malignant Breast Disease
Abstract
1. Introduction
2. Materials and Methods
2.1. Sample Collection and Classification
2.2. Histological Diagnosis
2.3. DNA Extraction and Amplification
2.4. Detection and Genotyping of HPV
2.4.1. Nested PCR Conditions
2.4.2. qPCR Conditions
2.4.3. HPV Genotyping
2.5. Statistical Analysis
3. Results
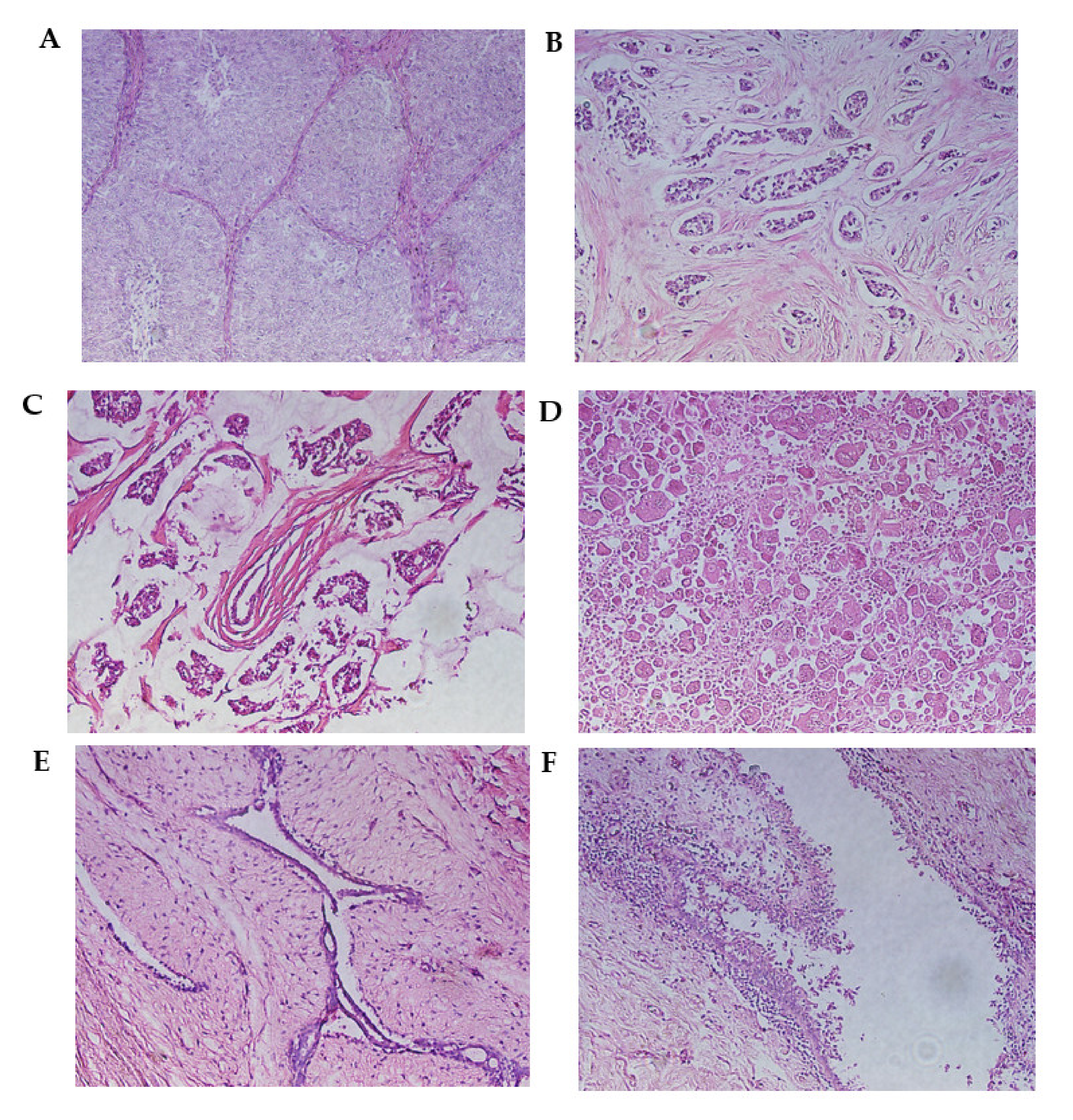
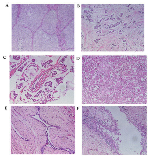
3.1. Histopathological Diagnosis
3.2. HPV Presence in Breast Samples
4. Discussion
5. Conclusions
Author Contributions
Funding
Institutional Review Board Statement
Informed Consent Statement
Data Availability Statement
Acknowledgments
Conflicts of Interest
References
- World Health Organization. Global Cancer Observatory. Available online: https://gco.iarc.fr (accessed on 5 June 2022).
- Mendoza-Almanza, G.; Burciaga-Hernández, L.; Maldonado, V.; Melendez-Zajgla, J.; Olmos, J. Role of platelets and breast cancer stem cells in metastasis. World J. Stem Cells 2020, 12, 1237–1254. [Google Scholar] [CrossRef] [PubMed]
- Grabinski, V.F.; Brawley, O.W. Disparities in Breast Cancer. Obstet. Gynecol. Clin. N. Am. 2022, 49, 149–165. [Google Scholar] [CrossRef] [PubMed]
- Delgado-Garcia, S.; Martinez-Escoriza, J.C.; Alba, A.; Martin-Bayon, T.A.; Ballester-Galiana, H.; Peiro, G.; Caballero, P.; Ponce Lorenzo, J. Presence of human papillomavirus DNA in breast cancer: A Spanish case-control study. BMC Cancer 2017, 17, 320. [Google Scholar] [CrossRef] [PubMed]
- Afzal, S.; Fiaz, K.; Noor, A.; Sindhu, A.S.; Hanif, A.; Bibi, A.; Asad, M.; Nawaz, S.; Zafar, S.; Ayub, S.; et al. Interrelated Oncogenic Viruses and Breast Cancer. Front. Mol. Biosci. 2022, 9, 781111. [Google Scholar] [CrossRef]
- Blanco, R.; Carrillo-Beltrán, D.; Muñoz, J.P.; Corvalán, A.H.; Calaf, G.M.; Aguayo, F. Human Papillomavirus in Breast Carcinogenesis: A Passenger, a Cofactor, or a Causal Agent? Biology 2021, 10, 804. [Google Scholar] [CrossRef]
- Bittner, J.J. Possible relationship of the estrogenic hormones, genetic susceptibility, and milk influence in the production of mammary cancer in mice. Cancer Res. 1942, 2, 710–721. [Google Scholar]
- Wang, Y.; Holland, J.F.; Bleiweiss, I.J.; Melana, S.; Liu, X.; Pelisson, I.; Cantarella, A.; Stellrecht, K.; Mani, S.; Pogo, B.G. Detection of mammary tumor virus env gene-like sequences in human breast cancer. Cancer Res. 1995, 55, 5173–5179. [Google Scholar]
- Melana, S.M.; Nepomnaschy, I.; Hasa, J.; Djougarian, A.; Holland, J.F.; Pogo, B.G. Detection of human mammary tumor virus proteins in human breast cancer cells. J. Virol. Methods 2010, 163, 157–161. [Google Scholar] [CrossRef]
- Islam, S.; Dasgupta, H.; Roychowdhury, A.; Bhattacharya, R.; Mukherjee, N.; Roy, A.; Mandal, G.K.; Alam, N.; Biswas, J.; Mandal, S.; et al. Study of association and molecular analysis of human papillomavirus in breast cancer of Indian patients: Clinical and prognostic implication. PLoS ONE 2017, 12, e0172760. [Google Scholar] [CrossRef]
- Karbalaie Niya, M.H.; Keyvani, H.; Safarnezhad Tameshkel, F.; Salehi-Vaziri, M.; Teaghinezhad, S.S.; Bokharaei Salim, F.; Monavari, S.H.R.; Javanmard, D. Human Papillomavirus Type 16 Integration Analysis by Real-time PCR Assay in Associated Cancers. Transl. Oncol. 2018, 11, 593–598. [Google Scholar] [CrossRef]
- Hsu, C.R.; Lu, T.M.; Chin, L.W.; Yang, C.C. Possible DNA viral factors of human breast cancer. Cancers 2010, 2, 498–512. [Google Scholar] [CrossRef] [PubMed]
- Wrede, D.; Luqmani, Y.A.; Coombes, R.C.; Vousden, K.H. Absence of HPV 16 and 18 DNA in breast cancer. Br. J. Cancer 1992, 65, 891–894. [Google Scholar] [CrossRef] [PubMed]
- Bratthauer, G.L.; Tavassoli, F.A.; O’Leary, T.J. Etiology of breast carcinoma: No apparent role for papillomavirus types 6/11/16/18. Pathol. Res. Pract. 1992, 188, 384–386. [Google Scholar] [CrossRef]
- Gopalkrishna, V.; Singh, U.R.; Sodhani, P.; Sharma, J.K.; Hedau, S.T.; Mandal, A.K.; Das, B.C. Absence of human papillomavirus DNA in breast cancer as revealed by polymerase chain reaction. Breast Cancer Res Treat. 1996, 39, 197–202. [Google Scholar] [CrossRef] [PubMed]
- Czerwenka, K.; Heuss, F.; Hosmann, J.W.; Manavi, M.; Lu, Y.; Jelincic, D.; Kubista, E. Human papilloma virus DNA: A factor in the pathogenesis of mammary Paget’s disease? Breast Cancer Res. Treat. 1996, 41, 51–57. [Google Scholar] [CrossRef]
- Lindel, K.; Forster, A.; Altermatt, H.J.; Greiner, R.; Gruber, G. Breast cancer and human papillomavirus (HPV) infection: No evidence of a viral etiology in a group of Swiss women. Breast 2007, 16, 172–177. [Google Scholar] [CrossRef]
- De Cremoux, P.; Thioux, M.; Lebigot, I.; Sigal-Zafrani, B.; Salmon, R.; Sastre-Garau, X. No evidence of human papillomavirus DNA sequences in invasive breast carcinoma. Breast Cancer Res. Treat. 2008, 109, 55–58. [Google Scholar] [CrossRef]
- Hachana, M.; Ziadi, S.; Amara, K.; Toumi, I.; Korbi, S.; Trimeche, M. No evidence of human papillomavirus DNA in breast carcinoma in Tunisian patients. Breast 2010, 19, 541–544. [Google Scholar] [CrossRef]
- Hedau, S.; Kumar, U.; Hussain, S.; Shukla, S.; Pande, S.; Jain, N.; Tyagi, A.; Deshpande, T.; Bhat, D.; Mir, M.M.; et al. Breast cancer and human papillomavirus infection: No evidence of HPV etiology of breast cancer in Indian women. BMC Cancer 2011, 11, 27. [Google Scholar] [CrossRef]
- Silva, R.G., Jr.; da Silva, B.B. No evidence for an association of human papillomavirus and breast carcinoma. Breast Cancer Res. Treat. 2011, 125, 261–264. [Google Scholar] [CrossRef]
- Zhou, Y.; Li, J.; Ji, Y.; Ren, M.; Pang, B.; Chu, M.; Wei, L. Inconclusive role of human papillomavirus infection in breast cancer. Infect. Agent. Cancer 2015, 10, 36. [Google Scholar] [CrossRef] [PubMed][Green Version]
- Vernet-Tomas, M.; Mena, M.; Alemany, L.; Bravo, I.; De Sanjose, S.; Nicolau, P.; Bergueiro, A.; Corominas, J.M.; Serrano, S.; Carreras, R.; et al. Human papillomavirus and breast cancer: No evidence of association in a Spanish set of cases. Anticancer Res. 2015, 35, 851–856. [Google Scholar] [PubMed]
- Kouloura, A.; Nicolaidou, E.; Misitzis, I.; Panotopoulou, E.; Kassiani, T.; Smyrniotis, V.; Corso, G.; Veronesi, P.; Arkadopoulos, N. HPV infection and breast cancer. Results of a microarray approach. Breast 2018, 40, 165–169. [Google Scholar] [CrossRef] [PubMed]
- Di Lonardo, A.; Venuti, A.; Marcante, M.L. Human papillomavirus in breast cancer. Breast Cancer Res. Treat. 1992, 21, 95–100. [Google Scholar] [CrossRef]
- Hennig, E.M.; Suo, Z.; Thoresen, S.; Holm, R.; Kvinnsland, S.; Nesland, J.M. Human papillomavirus 16 in breast cancer of women treated for high grade cervical intraepithelial neoplasia (CIN III). Breast Cancer Res Treat. 1999, 53, 121–135. [Google Scholar] [CrossRef]
- Damin, A.P.; Karam, R.; Zettler, C.G.; Caleffi, M.; Alexandre, C.O. Evidence for an association of human papillomavirus and breast carcinomas. Breast Cancer Res. Treat. 2004, 84, 131–137. [Google Scholar] [CrossRef]
- Widschwendter, A.; Brunhuber, T.; Wiedemair, A.; Mueller-Holzner, E.; Marth, C. Detection of human papillomavirus DNA in breast cancer of patients with cervical cancer history. J. Clin. Virol. 2004, 31, 292–297. [Google Scholar] [CrossRef]
- de Villiers, E.M.; Sandstrom, R.E.; zur Hausen, H.; Buck, C.E. Presence of papillomavirus sequences in condylomatous lesions of the mamillae and in invasive carcinoma of the breast. Breast Cancer Res. 2005, 7, R1–R11. [Google Scholar] [CrossRef]
- Kan, C.Y.; Iacopetta, B.J.; Lawson, J.S.; Whitaker, N.J. Identification of human papillomavirus DNA gene sequences in human breast cancer. Br. J. Cancer 2005, 93, 946–948. [Google Scholar] [CrossRef]
- Kroupis, C.; Markou, A.; Vourlidis, N.; Dionyssiou-Asteriou, A.; Lianidou, E.S. Presence of high-risk human papillomavirus sequences in breast cancer tissues and association with histopathological characteristics. Clin. Biochem. 2006, 39, 727–731. [Google Scholar] [CrossRef]
- Gumus, M.; Yumuk, P.F.; Salepci, T.; Aliustaoglu, M.; Dane, F.; Ekenel, M.; Basaran, G.; Kaya, H.; Barisik, N.; Turhal, N.S. HPV DNA frequency and subset analysis in human breast cancer patients′normal and tumoral tissue samples. J. Exp. Clin. Cancer Res. CR 2006, 25, 515–521. [Google Scholar] [PubMed]
- Akil, N.; Yasmeen, A.; Kassab, A.; Ghabreau, L.; Darnel, A.D.; Al Moustafa, A.E. High-risk human papillomavirus infections in breast cancer in Syrian women and their association with Id-1 expression: A tissue microarray study. Br. J. Cancer 2008, 99, 404–407. [Google Scholar] [CrossRef] [PubMed]
- Khan, N.A.; Castillo, A.; Koriyama, C.; Kijima, Y.; Umekita, Y.; Ohi, Y.; Higashi, M.; Sagara, Y.; Yoshinaka, H.; Tsuji, T.; et al. Human papillomavirus detected in female breast carcinomas in Japan. Br. J. Cancer 2008, 99, 408–414. [Google Scholar] [CrossRef] [PubMed]
- Mendizabal-Ruiz, A.P.; Morales, J.A.; Ramirez-Jirano, L.J.; Padilla-Rosas, M.; Moran-Moguel, M.C.; Montoya-Fuentes, H. Low frequency of human papillomavirus DNA in breast cancer tissue. Breast Cancer Res. Treat. 2009, 114, 189–194. [Google Scholar] [CrossRef]
- De Leon, D.C.; Montiel, D.P.; Nemcova, J.; Mykyskova, I.; Turcios, E.; Villavicencio, V.; Cetina, L.; Coronel, A.; Hes, O. Human papillomavirus (HPV) in breast tumors: Prevalence in a group of Mexican patients. BMC Cancer 2009, 9, 26. [Google Scholar]
- Heng, B.; Glenn, W.K.; Ye, Y.; Tran, B.; Delprado, W.; Lutze-Mann, L.; Whitaker, N.J.; Lawson, J.S. Human papilloma virus is associated with breast cancer. Br. J. Cancer 2009, 101, 1345–1350. [Google Scholar] [CrossRef]
- Herrera-Goepfert, R.; Khan, N.A.; Koriyama, C.; Akiba, S.; Perez-Sanchez, V.M. High-risk human papillomavirus in mammary gland carcinomas and non-neoplastic tissues of Mexican women: No evidence supporting a cause and effect relationship. Breast 2011, 20, 184–189. [Google Scholar] [CrossRef]
- Aguayo, F.; Khan, N.; Koriyama, C.; Gonzalez, C.; Ampuero, S.; Padilla, O.; Solis, L.; Eizuru, Y.; Corvalan, A.; Akiba, S. Human papillomavirus and Epstein-Barr virus infections in breast cancer from chile. Infect. Agent. Cancer 2011, 6, 7. [Google Scholar] [CrossRef]
- Mou, X.; Chen, L.; Liu, F.; Shen, Y.; Wang, H.; Li, Y.; Yuan, L.; Lin, J.; Teng, L.; Xiang, C. Low prevalence of human papillomavirus (HPV) in Chinese patients with breast cancer. J. Int. Med. Res. 2011, 39, 1636–1644. [Google Scholar] [CrossRef]
- Antonsson, A.; Spurr, T.P.; Chen, A.C.; Francis, G.D.; McMillan, N.A.; Saunders, N.A.; Law, M.; Bennett, I.C. High prevalence of human papillomaviruses in fresh frozen breast cancer samples. J. Med. Virol. 2011, 83, 2157–2163. [Google Scholar] [CrossRef]
- Sigaroodi, A.; Nadji, S.A.; Naghshvar, F.; Nategh, R.; Emami, H.; Velayati, A.A. Human papillomavirus is associated with breast cancer in the north part of Iran. Sci. World J. 2012, 2012, 837191. [Google Scholar] [CrossRef] [PubMed]
- Herrera-Goepfert, R.; Vela-Chavez, T.; Carrillo-Garcia, A.; Lizano-Soberon, M.; Amador-Molina, A.; Onate-Ocana, L.F.; Hallmann, R.S. High-risk human papillomavirus (HPV) DNA sequences in metaplastic breast carcinomas of Mexican women. BMC Cancer 2013, 13, 445. [Google Scholar] [CrossRef] [PubMed]
- Pereira Suarez, A.L.; Lorenzetti, M.A.; Gonzalez Lucano, R.; Cohen, M.; Gass, H.; Martinez Vazquez, P.; Gonzalez, P.; Preciado, M.V.; Chabay, P. Presence of human papilloma virus in a series of breast carcinoma from Argentina. PLoS ONE 2013, 8, e61613. [Google Scholar]
- Liang, W.; Wang, J.; Wang, C.; Lv, Y.; Gao, H.; Zhang, K.; Liu, H.; Feng, J.; Wang, L.; Ma, R. Detection of high-risk human papillomaviruses in fresh breast cancer samples using the hybrid capture 2 assay. J. Med. Virol. 2013, 85, 2087–2092. [Google Scholar] [CrossRef] [PubMed]
- Ali, S.H.; Al-Alwan, N.A.; Al-Alwany, S.H. Detection and genotyping of human papillomavirus in breast cancer tissues from Iraqi patients. East Mediterr. Health J. 2014, 20, 372–377. [Google Scholar] [CrossRef]
- Piana, A.F.; Sotgiu, G.; Muroni, M.R.; Cossu-Rocca, P.; Castiglia, P.; De Miglio, M.R. HPV infection and triple-negative breast cancers: An Italian case-control study. Virol. J. 2014, 11, 190. [Google Scholar] [CrossRef][Green Version]
- Manzouri, L.; Salehi, R.; Shariatpanahi, S.; Rezaie, P. Prevalence of human papilloma virus among women with breast cancer since 2005-2009 in Isfahan. Adv. Biomed. Res. 2014, 3, 75. [Google Scholar]
- Peng, J.; Wang, T.; Zhu, H.; Guo, J.; Li, K.; Yao, Q.; Lv, Y.; Zhang, J.; He, C.; Chen, J.; et al. Multiplex PCR/mass spectrometry screening of biological carcinogenic agents in human mammary tumors. J. Clin. Virol. 2014, 61, 255–259. [Google Scholar] [CrossRef]
- Ahangar-Oskouee, M.; Shahmahmoodi, S.; Jalilvand, S.; Mahmoodi, M.; Ziaee, A.A.; Esmaeili, H.A.; Keshtvarz, M.; Pishraft-Sabet, L.; Yousefi, M.; Mollaei-Kandelous, Y.; et al. No detection of ‘high-risk’ human papillomaviruses in a group of Iranian women with breast cancer. Asian Pac. J. Cancer Prev. 2014, 15, 4061–4065. [Google Scholar] [CrossRef]
- Fu, L.; Wang, D.; Shah, W.; Wang, Y.; Zhang, G.; He, J. Association of human papillomavirus type 58 with breast cancer in Shaanxi province of China. J. Med. Virol. 2015, 87, 1034–1040. [Google Scholar] [CrossRef]
- Gannon, O.M.; Antonsson, A.; Milevskiy, M.; Brown, M.A.; Saunders, N.A.; Bennett, I.C. No association between HPV positive breast cancer and expression of human papilloma viral transcripts. Sci. Rep. 2015, 5, 18081. [Google Scholar] [CrossRef] [PubMed]
- Li, J.; Ding, J.; Zhai, K. Detection of Human Papillomavirus DNA in Patients with Breast Tumor in China. PLoS ONE 2015, 10, e0136050. [Google Scholar] [CrossRef] [PubMed]
- Fernandes, A.; Bianchi, G.; Feltri, A.P.; Perez, M.; Correnti, M. Presence of human papillomavirus in breast cancer and its association with prognostic factors. Ecancermedicalscience 2015, 9, 548. [Google Scholar] [CrossRef]
- Lawson, J.S.; Glenn, W.K.; Salyakina, D.; Clay, R.; Delprado, W.; Cheerala, B.; Tran, D.D.; Ngan, C.C.; Miyauchi, S.; Karim, M.; et al. Human Papilloma Virus Identification in Breast Cancer Patients with Previous Cervical Neoplasia. Front. Oncol. 2015, 5, 298. [Google Scholar] [CrossRef] [PubMed]
- Choi, J.; Kim, C.; Lee, H.S.; Choi, Y.J.; Kim, H.Y.; Lee, J.; Chang, H.; Kim, A. Detection of Human Papillomavirus in Korean Breast Cancer Patients by Real-Time Polymerase Chain Reaction and Meta-Analysis of Human Papillomavirus and Breast Cancer. J. Pathol. Transl. Med. 2016, 50, 442–450. [Google Scholar] [CrossRef][Green Version]
- Ilahi, N.E.; Anwar, S.; Noreen, M.; Hashmi, S.N.; Murad, S. Detection of human papillomavirus-16 DNA in archived clinical samples of breast and lung cancer patients from North Pakistan. J. Cancer Res. Clin. Oncol. 2016, 142, 2497–2502. [Google Scholar] [CrossRef]
- Mohtasebi, P.; Rassi, H.; Maleki, F.; Hajimohammadi, S.; Bagheri, Z.; Fakhar Miandoab, M.; Naserbakht, M. Detection of Human Papillomavirus Genotypes and Major BRCA Mutations in Familial Breast Cancer. Monoclon. Antib. Immunodiagn. Immunother. 2016, 35, 135–140. [Google Scholar] [CrossRef]
- Yan, C.; Teng, Z.P.; Chen, Y.X.; Shen, D.H.; Li, J.T.; Zeng, Y. Viral Etiology Relationship between Human Papillomavirus and Human Breast Cancer and Target of Gene Therapy. Biomed. Environ. Sci. 2016, 29, 331–339. [Google Scholar]
- Ngamkham, J.; Karalak, A.; Chaiwerawattana, A.; Sornprom, A.; Thanasutthichai, S.; Sukarayodhin, S.; Mus-u-Dee, M.; Boonmark, K.; Phansri, T.; Laochan, N. Prevalence of Human Papillomavirus Infection in Breast Cancer Cells from Thai Women. Asian Pac. J. Cancer Prev. 2017, 18, 1839–1845. [Google Scholar]
- Salman, N.A.; Davies, G.; Majidy, F.; Shakir, F.; Akinrinade, H.; Perumal, D.; Ashrafi, G.H. Association of High Risk Human Papillomavirus and Breast cancer: A UK based Study. Sci. Rep. 2017, 7, 43591. [Google Scholar] [CrossRef]
- Wang, Y.W.; Zhang, K.; Zhao, S.; Lv, Y.; Zhu, J.; Liu, H.; Feng, J.; Liang, W.; Ma, R.; Wang, J. HPV Status and Its Correlation with BCL2, p21, p53, Rb, and Survivin Expression in Breast Cancer in a Chinese Population. Biomed. Res. Int. 2017, 2017, 6315392. [Google Scholar] [CrossRef] [PubMed]
- Naushad, W.; Surriya, O.; Sadia, H. Prevalence of EBV, HPV and MMTV in Pakistani breast cancer patients: A possible etiological role of viruses in breast cancer. Infect. Genet. Evol. 2017, 54, 230–237. [Google Scholar] [CrossRef] [PubMed]
- Cavalcante, J.R.; Pinheiro, L.G.P.; Almeida, P.R.C.; Ferreira, M.V.P.; Cruz, G.A.; Campelo, T.A.; Silva, C.S.; Lima, L.; Oliveira, B.M.K.; Lima, L.M.; et al. Association of breast cancer with human papillomavirus (HPV) infection in Northeast Brazil: Molecular evidence. Clinics 2018, 73, e465. [Google Scholar] [CrossRef]
- Ghaffari, H.; Nafissi, N.; Hashemi-Bahremani, M.; Alebouyeh, M.R.; Tavakoli, A.; Javanmard, D.; Bokharaei-Salim, F.; Mortazavi, H.S.; Monavari, S.H. Molecular prevalence of human papillomavirus infection among Iranian women with breast cancer. Breast Dis. 2018, 37, 207–213. [Google Scholar] [CrossRef] [PubMed]
- ElAmrani, A.; Gheit, T.; Benhessou, M.; McKay-Chopin, S.; Attaleb, M.; Sahraoui, S.; El Mzibri, M.; Corbex, M.; Tommasino, M.; Khyatti, M. Prevalence of mucosal and cutaneous human papillomavirus in Moroccan breast cancer. Papillomavirus Res. 2018, 5, 150–155. [Google Scholar] [CrossRef] [PubMed]
- Habyarimana, T.; Attaleb, M.; Mazarati, J.B.; Bakri, Y.; El Mzibri, M. Detection of human papillomavirus DNA in tumors from Rwandese breast cancer patients. Breast Cancer 2018, 25, 127–133. [Google Scholar] [CrossRef]
- Bonlokke, S.; Blaakaer, J.; Steiniche, T.; Hogdall, E.; Jensen, S.G.; Hammer, A.; Balslev, E.; Strube, M.L.; Knakkergaard, H.; Lenz, S. Evidence of No Association Between Human Papillomavirus and Breast Cancer. Front. Oncol. 2018, 8, 209. [Google Scholar] [CrossRef]
- Malekpour Afshar, R.; Balar, N.; Mollaei, H.R.; Arabzadeh, S.A.; Iranpour, M. Low Prevalence of Human Papilloma Virus in Patients with Breast Cancer, Kerman; Iran. Asian Pac. J. Cancer Prev. 2018, 19, 3039–3044. [Google Scholar] [CrossRef]
- Khodabandehlou, N.; Mostafaei, S.; Etemadi, A.; Ghasemi, A.; Payandeh, M.; Hadifar, S.; Norooznezhad, A.H.; Kazemnejad, A.; Moghoofei, M. Human papilloma virus and breast cancer: The role of inflammation and viral expressed proteins. BMC Cancer 2019, 19, 61. [Google Scholar] [CrossRef]
- De Carolis, S.; Storci, G.; Ceccarelli, C.; Savini, C.; Gallucci, L.; Sansone, P.; Santini, D.; Seracchioli, R.; Taffurelli, M.; Fabbri, F.; et al. HPV DNA Associates With Breast Cancer Malignancy and It Is Transferred to Breast Cancer Stromal Cells by Extracellular Vesicles. Front. Oncol. 2019, 9, 860. [Google Scholar] [CrossRef]
- Balci, F.L.; Uras, C.; Feldman, S.M. Is human papillomavirus associated with breast cancer or papilloma presenting with pathologic nipple discharge? Cancer Treat. Res. Commun. 2019, 19, 100122. [Google Scholar] [CrossRef] [PubMed]
- Tawfeik, A.M.; Mora, A.; Osman, A.; Moneer, M.M.; El-Sheikh, N.; Elrefaei, M. Frequency of CD4+ regulatory T cells, CD8+ T cells, and human papilloma virus infection in Egyptian Women with breast cancer. Int. J. Immunopathol. Pharmacol. 2020, 34, 2058738420966822. [Google Scholar] [CrossRef] [PubMed]
- Sher, G.; Salman, N.A.; Kulinski, M.; Fadel, R.A.; Gupta, V.K.; Anand, A.; Gehani, S.; Abayazeed, S.; Al-Yahri, O.; Shahid, F. Prevalence and type distribution of high-risk Human Papillomavirus (HPV) in breast cancer: A Qatar based study. Cancers 2020, 12, 1528. [Google Scholar] [CrossRef]
- Metwally, S.A.; Abo-Shadi, M.A.; Abdel Fattah, N.F.; Barakat, A.B.; Rabee, O.A.; Osman, A.M.; Helal, A.M.; Hashem, T.; Moneer, M.M.; Chehadeh, W.; et al. Presence of HPV, EBV and HMTV Viruses Among Egyptian Breast Cancer Women: Molecular Detection and Clinical Relevance. Infect. Drug Resist. 2021, 14, 2327–2339. [Google Scholar] [CrossRef]
- Elagali, A.M.; Suliman, A.A.; Altayeb, M.; Dannoun, A.I.; Parine, N.R.; Sakr, H.I.; Suliman, H.S.; Motawee, M.E. Human papillomavirus, gene mutation and estrogen and progesterone receptors in breast cancer: A cross-sectional study. Pan. Afr. Med. J. 2021, 38, 43. [Google Scholar] [CrossRef] [PubMed]
- Gupta, I.; Jabeen, A.; Al-Sarraf, R.; Farghaly, H.; Vranic, S.; Sultan, A.A.; Al Moustafa, A.E.; Al-Thawadi, H. The co-presence of high-risk human papillomaviruses and Epstein-Barr virus is linked with tumor grade and stage in Qatari women with breast cancer. Hum. Vaccin. Immunother. 2021, 17, 982–989. [Google Scholar] [CrossRef] [PubMed]
- Mendoza-Almanza, G.; Ortíz-Sánchez, E.; Rocha-Zavaleta, L.; Rivas-Santiago, C.; Esparza-Ibarra, E.; Olmos, J. Cervical cancer stem cells and other leading factors associated with cervical cancer development. Oncol. Lett. 2019, 18, 3423–3432. [Google Scholar] [CrossRef] [PubMed]
- Glenn, W.K.; Heng, B.; Delprado, W.; Iacopetta, B.; Whitaker, N.J.; Lawson, J.S. Epstein-Barr virus, human papillomavirus and mouse mammary tumour virus as multiple viruses in breast cancer. PLoS ONE 2012, 7, e48788. [Google Scholar] [CrossRef]
- Zur Hausen, H. Papillomaviruses in the causation of human cancers—A brief historical account. Virology 2009, 384, 260–265. [Google Scholar] [CrossRef]
- Wang, T.; Chang, P.; Wang, L.; Yao, Q.; Guo, W.; Chen, J.; Yan, T.; Cao, C. The role of human papillomavirus infection in breast cancer. Med. Oncol. 2012, 29, 48–55. [Google Scholar] [CrossRef]
- Malhone, C.; Longatto-Filho, A.; Filassi, J.R. Is Human Papilloma Virus Associated with Breast Cancer? A Review of the Molecular Evidence. Acta Cytol. 2018, 62, 166–177. [Google Scholar] [CrossRef]
- Vaccarella, S.; Franceschi, S.; Engholm, G.; Lönnberg, S.; Khan, S.; Bray, F. 50 years of screening in the Nordic countries: Quantifying the effects on cervical cancer incidence. Br. J. Cancer 2014, 111, 965–969. [Google Scholar] [CrossRef] [PubMed]
- Yasmeen, A.; Bismar, T.A.; Kandouz, M.; Foulkes, W.D.; Desprez, P.Y.; Al Moustafa, A.E. E6/E7 of HPV type 16 promotes cell invasion and metastasis of human breast cancer cells. Cell Cycle 2007, 6, 2038–2042. [Google Scholar] [CrossRef] [PubMed]
- Atique, S.; Hsieh, C.H.; Hsiao, R.T.; Iqbal, U.; Nguyen, P.A.A.; Islam, M.M.; Li, Y.J.; Hsu, C.Y.; Chuang, T.W.; Syed-Abdul, S. Viral warts (Human Papilloma Virus) as a potential risk for breast cancer among younger females. Comput. Methods Programs Biomed. 2017, 144, 203–207. [Google Scholar] [CrossRef] [PubMed]
- Pao, C.C.; Hor, J.J.; Yang, F.P.; Lin, C.Y.; Tseng, C.J. Detection of human papillomavirus mRNA and cervical cancer cells in peripheral blood of cervical cancer patients with metastasis. J. Clin. Oncol. 1997, 15, 1008–1012. [Google Scholar] [CrossRef]
- Mikulicic, S.; Florin, L. The endocytic trafficking pathway of oncogenic papillomaviruses. Papillomavirus Res. 2019, 7, 135–137. [Google Scholar] [CrossRef] [PubMed]
- Taddei, I.; Faraldo, M.M.; Teulière, J.; Deugnier, M.-A.; Thiery, J.P.; Glukhova, M.A. Integrins in mammary gland development and differentiation of mammary epithelium. J. Mammary Gland. Biol. Neoplasia 2003, 8, 383–394. [Google Scholar] [CrossRef]
- Yoon, C.-S.; Kim, K.-D.; Park, S.-N.; Cheong, S.-W. α6 integrin is the main receptor of human papillomavirus type 16 VLP. Biochem. Biophys. Res. Commun. 2001, 283, 668–673. [Google Scholar] [CrossRef]
- Ohba, K.; Ichiyama, K.; Yajima, M.; Gemma, N.; Nikaido, M.; Wu, Q.; Chong, P.; Mori, S.; Yamamoto, R.; Wong, J.E.; et al. In vivo and in vitro studies suggest a possible involvement of HPV infection in the early stage of breast carcinogenesis via APOBEC3B induction. PLoS ONE 2014, 9, e97787. [Google Scholar]
- Vieira, V.C.; Leonard, B.; White, E.A.; Starrett, G.J.; Temiz, N.A.; Lorenz, L.D.; Lee, D.; Soares, M.A.; Lambert, P.F.; Howley, P.M.; et al. Human papillomavirus E6 triggers upregulation of the antiviral and cancer genomic DNA deaminase APOBEC3B. mBio 2014, 5, e02234-14. [Google Scholar] [CrossRef]



| Country | Sample | Method | Control/+HPV | Cases/+HPV | Breast Pathology Predominant | VPH Predominant | Reference |
|---|---|---|---|---|---|---|---|
| UK | FST | PCR (L1, E7), SB | NS | 80/0 | IC | NS | [13] |
| USA | PET | PCR (E6), DB | 15/0 | 28/0 | PC | NS | [14] |
| India | PET | PCR (E6, URR), SB | NS | 30/0 | IDC | NS | [15] |
| Austria | PET | PCR (L1), DB | NS | 20/0 | PD | NS | [16] |
| Switzerland | PET | PCR (L1) | NS | 81/0 | IC | NS | [17] |
| France | PET | PCR (L1) | NS | 50/0 | IDC | NS | [18] |
| Tunisia | PET/FST | PCR (L1, E1, E6, E7), ISH | NS | 123/0 | IDC | NS | [19] |
| India | FST | PCR (L1, E6, E7) | NS | 228/0 | IDC | NS | [20] |
| Brazil | PET | PCR (L1) | NS | 79/0 | IDC | NS | [21] |
| China | FroST | PCR (L1) | 77/0 | 77/0 | IDC | NS | [22] |
| Spain | PET | PCR (L1), DEIA | 2/0 | 76/0 | IDC | NS | [23] |
| Greece | FroST | MA (E1) | NS | 201/0 | IDC | NS | [24] |
| Italy | PET | PCR (L1,E6), ISH | NS | 40/12, 12/0 | IC | 16 | [25] |
| Norway | PET | PCR (L1,E6) | NS | 41/19 | IC | 16 | [26] |
| Brazil | PET | PCR (E6) | 41/0 | 101/25 | IC | 16 | [27] |
| Australia | PET | PCR (L1) | NS | 11/7 | IC | 16 | [28] |
| USA | PET | PCR (L1), SEQ, ISH | NS | 29/25 | IC | 11 | [29] |
| Australia | FST | PCR (E6), SEQ | NS | 50/24 | IDC | 18 | [30] |
| Greece | FroST | PCR (L1,E6,E4) RFLP | NS | 107/17 | IDC | 16 | [31] |
| Turkey | FST | PCR (L1, E6,E7) | 50/16 | 50/37 | IDC | 18 | [32] |
| Syria | PET | PCR (E1), TMA | NS | 113/69 | IC | 33 | [33] |
| Japan | PET | PCR (E6) | 11/0 | 124/26 | IC | 16 | [34] |
| Mexico | PET | PCR, SEQ | 40/0 | 67/3 | IDC | 16, 18, 31, 33, 6 | [35] |
| Mexico | PET | PCR (L1), SEQ | 43/0 | 51/15 | IDC | 16 | [36] |
| Australia | PET | PCR (L1), SEQ, ISPCR | 17/3 | 26/8 | IDC, | 18 | [37] |
| Mexico | PET | PCR (L1), RT-qPCR | NS | 70/17 | IDC | 16 | [38] |
| Chile | PET | PCR (L1), RT-qPCR | NS | 46/4 | IDC | 16 | [39] |
| China | FroTS | PCR (L1), DB, SEQ | 46/0 | 62/4 | IC | 16 | [40] |
| Australia | FroTS | PCR (L1), ISH, SEQ | NS | 54/27 | IDC | 18 | [41] |
| Iran | PET | PCR (L1), SEQ | 41/1 | 58/1 | IDC | 16, 18 | [42] |
| Mexico | PET | PCR (L1) | NS | 20/8 | MBC | 16 | [43] |
| Argentina | FST | PCR (L1) | NS | 61/16 | IDC | 11 | [44] |
| China | FST | HCA | 37/6 | 224/48 | IC | NS | [45] |
| Iraq | PET | ISH | 24/320/0 | 129/60 | IC | 31 | [46] |
| Italy | PET | INNO-LIPPA (L1) | 40/0 | 40/6 | IDC | 16 | [47] |
| Iran | PET | INNO-LIPPA (L1) | 51/7 | 55/10 | IC | 16 | [48] |
| China | DS | PCR, MS | 50/0 | 100/2 | IDC | 18 | [49] |
| Iran | PET | PCR (L1), SEQ | 65/0 | 65/22 | IDC | 6 | [50] |
| China | PET | PCR (E7), ISH | 83/1 | 169/25 | IDC | 58 | [51] |
| Australia | FroST | PCR (L1) | 10/1 | 80/13 | IDC | NS | [52] |
| China | PET | PCR (L1), SEQ | 92/0 | 187/3 | IDC | 16 | [53] |
| Venezuela | FST | INNO-LIPPA (L1) | NS | 24/10 | IDC | 51 | [54] |
| Australia | PET | PCR (L1), SEQ | 18/3 | 28/13 | IC | 18 | [55] |
| Corea | PET | PCR | NS | 123/22 | IDC | 51 | [56] |
| Pakistan | PET | PCR (L1) | NS | 46/8 | IDC | 16 | [57] |
| Iran | PET | PCR (L1) | NS | 84/27 | IDC | 16 | [58] |
| China | PET | PCR (E6, E7) | NS | 76/23 | IDC | 18 | [59] |
| Spain | PET | PCR (L1) | 186/49 | 251/130 | IC | 16 | [4] |
| Thailand | PET | PCR (L1) | 350/10 | 350/15 | IDC | 16 | [60] |
| India | FST | PCR (L1) | 21/2 | 313/203 | IDC | 16 | [10] |
| UK | FST | PCR (L1) | 36/11 | 74/35 | IC | 16 | [61] |
| China | FST | HCA | NS | 81/14 | IDC | NS | [62] |
| Pakistan | PET | PCR (L1) | NS | 250/45 | IDC | NS | [63] |
| Brazil | PET | PCR (L1) | 95/15 | 103/51 | NS | 6/11 | [64] |
| Iran | PET | PCR (L1), MA | NS | 72/4 | IDC | NS | [65] |
| Morocco | FroST | TS-MPG | 12/1 | 76/19 | IDC | 11 | [66] |
| Rwuanda | PET | PCR (L1) | NS | 47/22 | IDC | 16 | [67] |
| Denmark | PET | PCR (E6, E7), RH | 100/3 | 93/1 | IDC | 16 | [68] |
| Iran | PET | RT-qPCR (L1) | 40/0 | 98/8 | NS | 16,18 | [69] |
| Iran | FroST | PCR (L1, E7) | 31/5 | 72/35 | IDC | 18 | [70] |
| Italy | PET | PCR (L1), ISH, MS | NS | 273/80 | IC | 16 | [71] |
| USA | PET | PCR (L1), MA | 27/8 | 18/8 | IP | 11 | [72] |
| Egypt | FroST | RT-qPCR (E6) | 15/0 | 20/4 | IDC | 16 | [73] |
| Qatar | FST | TS-MPG | 50/4 | 50/10 | IDC | 16, 35 | [74] |
| Egypt | PET, FST | PCR (L1) | 30/0 | 80/33 | IDC | NS | [75] |
| Sudan | PET | PCR | NS | 150/13 | NS | 16 | [76] |
| Qatar | PET | PCR (E6,E7) | NS | 74/48 | IDC | 52 | [77] |
| Primer | Sequence 5′-3′ | Gene Fragment | Size (pb) |
|---|---|---|---|
| KM29 | GGTTGGCCAATCTACTCCCAGG | β-globin | 205 |
| PCO4 | CAACTTCATCCACGTTACCC | β-globin | 205 |
| MY09 * | CGTCCMARRGGAWACTGATC | L1 VPH | 450 |
| MY11 * | GCMCAGGGWCATAAYAATGG | L1 VPH | 450 |
| GP5+ | TTTGTTACTGTGGTAGATACTAC | L1 VPH | 140–150 |
| GP6+ | GAAAAATAAACTGTAAATCATATTC | L1 VPH | 140–150 |
| Classification | n | HPV+ | HPV− | % HPV+ |
|---|---|---|---|---|
| Normal mammary tissue | 11 | 3 | 8 | 27.3 |
| Normal breast tissue | 10 | 2 | 8 | 20 |
| Normal mammary lymph node | 1 | 1 | 0 | 100 |
| Malignant neoplasm | 59 | 12 | 47 | 20.3 |
| Infiltrating ductal carcinoma | 44 | 8 | 36 | 18.2 |
| Infiltrating lobular carcinoma | 8 | 2 | 6 | 25 |
| Mucinous carcinom | 1 | 1 | 0 | 100 |
| Ductal carcinoma in situ | 5 | 0 | 5 | 0 |
| Metaplastic carcinoma | 1 | 1 | 0 | 100 |
| Non-cancerous breast disease | 46 | 16 | 30 | 34.8 |
| Phyllodes tumors | 1 | 0 | 1 | 0 |
| Fibroadenoma | 18 | 7 | 11 | 38.9 |
| Adenomyoepithelioma | 1 | 0 | 1 | 0 |
| Intraductal papilloma | 1 | 0 | 1 | 0 |
| Hyperplasia | 4 | 0 | 4 | 0 |
| Mastitis | 6 | 3 | 3 | 50 |
| Fibrocystic mastopathy | 15 | 6 | 9 | 40 |
| Total | 116 | 31 | 85 | 26.7% |
| VPH | p Value | |||
|---|---|---|---|---|
| Positive | Negative | |||
| n (%) | n (%) | n (%) | ||
| Number of samples | 116 (100) | 31 (26.7) | 85 (73.3) | |
| Sex | 0.4648 a | |||
| Male | 2 (100) | 1 (50) | 1 (50) | |
| Female | 114 (100) | 30 (26.3) | 84 (73.7) | |
| Age (years) | 48.9 ± 13.1 | 46.9 ± 14.4 | 49.8 ± 12.6 | 0.4044 c |
| CI 95% | (45.8–52.1) | (40.4–53.5) | (46.2–53.4) | |
| Range | (17–76) | (17–74) | (18–76) | |
| Malignant neoplasm | 59 (100) | 12 (20.3) | 47 (79.7) | 0.2521 b |
| Non-cancerous breast disease | 46 (100) | 16 (34.8) | 30 (65.2) | |
| Normal breast | 11 (100) | 3 (27.3) | 8 (72.7) | |
| Tumor size (cm) | 3.5 (16.0–1.0) | 3.5 (8.0–1.2) | 3.7 (16.0–1.0) | 0.6788 d |
| CI 95% | (3.0–4.0) | (2.0–7.8) | (3.0–4.0) | |
| Tumor size (TNM) | 0.4422 b | |||
| T1 (≤2 cm) | 11 (100) | 3 (27.3) | (72.7) | |
| T2 (>2 cm–5 cm) | 28 (100) | 6 (21.4) | 22 (78.6) | |
| T3 (>5 cm) | 6 (100) | 2 (33.3) | 4 (66.7) | |
| Not available | 9 | 1 | 8 | |
| Clinique stage | 0.6242 a | |||
| EII | 39 (100) | 9 (23.1) | 30 (76.9) | |
| EIII | 6 (100) | 2 (33.3) | 4 (66.7) | |
| Not available | 9 | 1 | 8 | |
| Scale SBR | 8 (9–4) | 8 (9–4) | 8 (9–6) | 0.2470 d |
| CI 95% | (8–9) | 6–9 | 8–9 | |
| SBR | ||||
| 3–5: Stage I (well differentiated) | 2 (100) | 2 (100) | 0 | U |
| 6–7: Stage II (moderately differentiated) | 11 (100) | 2 (18.2) | 9 (81.8) | U |
| 8–9: Stage III (poorly differentiated) | 41 (100) | 8 (19.5) | 33 (80.5) | U |
| Histological Type | HPV Genotypes Detected | |
|---|---|---|
| Single genotype n = 3 (10%) | Mucinous carcinoma | 44 |
| Fibroadenoma | 42 | |
| Mastitis | 42 | |
| Multiple genotype n = 5 (16%) | Fibroadenoma | 58 + 51 |
| Fibroadenoma | 31 + 42 + 59 | |
| Cystic fibrous mastopathy | 31 + 59 + 42 | |
| Cystic fibrous mastopathy | 31 + 42 | |
| Mastitis | 42 + 31 + 59 + 44 + 58 |
| Country | Sample | Method | Cases/+HPV (%) | HPV Genotype | Reference | |||||
|---|---|---|---|---|---|---|---|---|---|---|
| Venezuela | FST | PCR (L1), RH | 24/10 (41.7) | 51 | 18 | 33 | 6 | 11 | [54] | |
| Brazil | PET | PCR (L1), TS-MPG, SEQ | 103/51 (49.5) | 6 | 11 | 18 | 31 | 33 | 52 | [64] |
| Brazil | PET | PCR (E6) | 101/25 (24.8) | 16 | 18 | [27] | ||||
| Brazil | PET | PCR (L1) | 79/0 (0) | [21] | ||||||
| Argentina | FST | PCR (L1), RT-qPCR, SEQ | 61/16 (26.2) | 11 | 16 | [44] | ||||
| Chile | PET | PCR (L1), RT-qPCR | 46/4 (8.7) | 16 | [39] | |||||
| Mexico | PET | PCR (E1), SEQ | 67/3 (4.5) | 16 | 18 | 33 | [35] | |||
| Mexico | PET | PCR (L1), SEQ | 51/15 (29.4) | 16 | 18 | [36] | ||||
| Mexico | PET | PCR (L1), RT-qPCR | 70/17 (24.3) | 16 | 33 | [38] | ||||
| Mexico | PET | PCR (L1), RT-qPCR | 20/8 (40) | 16 | 18 | [43] | ||||
| Mexico | PET | PCR (L1), MA | 116/31 (26.7) | 42 | 31 | 59 | 58 | 44 | 51 | Present study |
Publisher’s Note: MDPI stays neutral with regard to jurisdictional claims in published maps and institutional affiliations. |
© 2022 by the authors. Licensee MDPI, Basel, Switzerland. This article is an open access article distributed under the terms and conditions of the Creative Commons Attribution (CC BY) license (https://creativecommons.org/licenses/by/4.0/).
Share and Cite
Maldonado-Rodríguez, E.; Hernández-Barrales, M.; Reyes-López, A.; Godina-González, S.; Gallegos-Flores, P.I.; Esparza-Ibarra, E.L.; González-Curiel, I.E.; Aguayo-Rojas, J.; López-Saucedo, A.; Mendoza-Almanza, G.; et al. Presence of Human Papillomavirus DNA in Malignant Neoplasia and Non-Malignant Breast Disease. Curr. Issues Mol. Biol. 2022, 44, 3648-3665. https://doi.org/10.3390/cimb44080250
Maldonado-Rodríguez E, Hernández-Barrales M, Reyes-López A, Godina-González S, Gallegos-Flores PI, Esparza-Ibarra EL, González-Curiel IE, Aguayo-Rojas J, López-Saucedo A, Mendoza-Almanza G, et al. Presence of Human Papillomavirus DNA in Malignant Neoplasia and Non-Malignant Breast Disease. Current Issues in Molecular Biology. 2022; 44(8):3648-3665. https://doi.org/10.3390/cimb44080250
Chicago/Turabian StyleMaldonado-Rodríguez, Erika, Marisa Hernández-Barrales, Adrián Reyes-López, Susana Godina-González, Perla I. Gallegos-Flores, Edgar L. Esparza-Ibarra, Irma E. González-Curiel, Jesús Aguayo-Rojas, Adrián López-Saucedo, Gretel Mendoza-Almanza, and et al. 2022. "Presence of Human Papillomavirus DNA in Malignant Neoplasia and Non-Malignant Breast Disease" Current Issues in Molecular Biology 44, no. 8: 3648-3665. https://doi.org/10.3390/cimb44080250
APA StyleMaldonado-Rodríguez, E., Hernández-Barrales, M., Reyes-López, A., Godina-González, S., Gallegos-Flores, P. I., Esparza-Ibarra, E. L., González-Curiel, I. E., Aguayo-Rojas, J., López-Saucedo, A., Mendoza-Almanza, G., & Ayala-Luján, J. L. (2022). Presence of Human Papillomavirus DNA in Malignant Neoplasia and Non-Malignant Breast Disease. Current Issues in Molecular Biology, 44(8), 3648-3665. https://doi.org/10.3390/cimb44080250

