Tracheocutaneous Fistula Resolved by Pentadecapeptide BPC 157 Therapy Through the NO-System—Triple NO-Agent Approach in Rats
Abstract
1. Introduction
2. Results
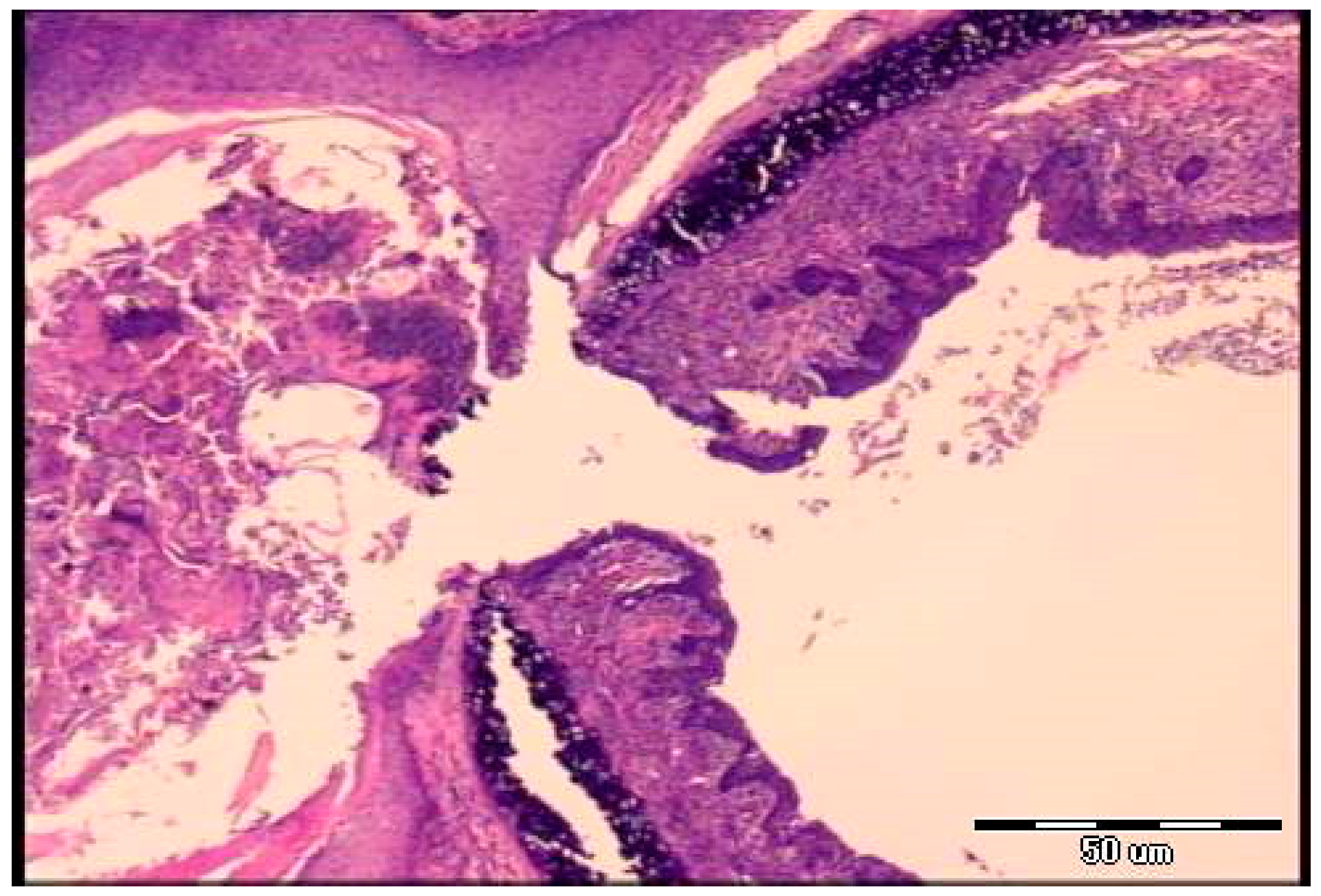
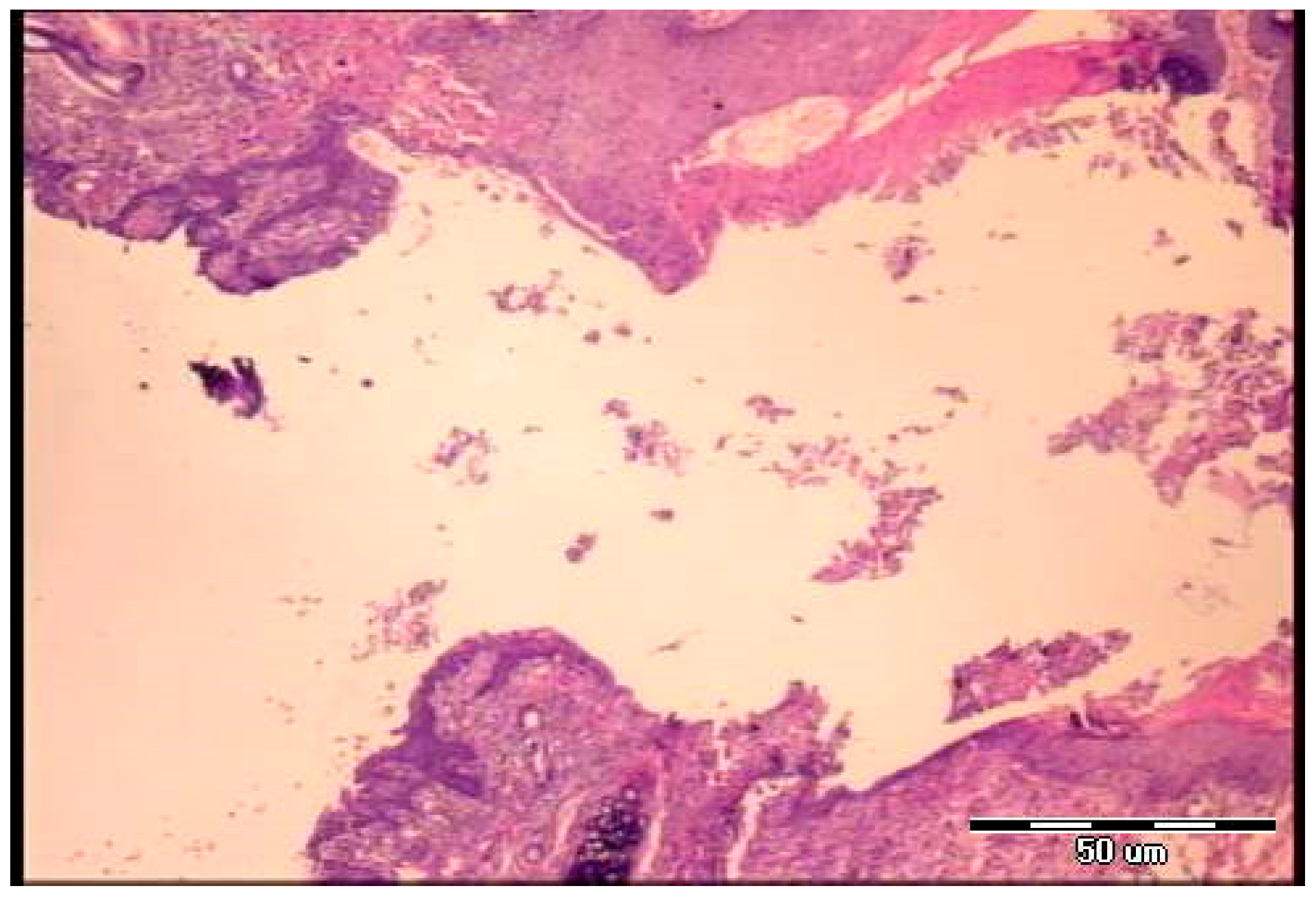
2.1. Tracheocutaneous Fistula
2.2. BPC 157
2.3. L-NAME
2.4. L-Arginine
2.5. L-NAME+L-Arginine
2.6. BPC 157 and NO Agents
2.7. Oxidative Stress
2.8. NO Levels
3. Discussion
4. Materials and Methods
4.1. Animals
4.2. Drugs
4.3. Experimental Protocol
4.4. Trachea Shrinking
4.5. Clinical Presentation, Tracheocutaneous Fistula Syndrome, Animal Weight
4.6. Oxidative Stress
4.7. Nitric Oxide Determination
4.8. Statistical Analysis
5. Conclusions
Author Contributions
Funding
Institutional Review Board Statement
Data Availability Statement
Conflicts of Interest
References
- Wang, F.; Li, Z.; Lyu, F.J.; Gao, J.; Lin, J.; Liu, J.; Chen, X.; Li, Z.; Shan, J.; Wu, J. The therapeutic effect of stem cells from human exfoliated deciduous teeth on a rat model of tracheal fistula. Stem Cell Res. Ther. 2022, 13, 310. [Google Scholar] [CrossRef] [PubMed]
- Selby, J.; Sutton, L.; Smith, J.; Miskovic, A. Perioperative management of tracheocutaneous fistula closure: A narrative review. J. Oral Maxillofac. Anesth. 2024, 3, 11. [Google Scholar] [CrossRef]
- Almutairi, N.; Alshareef, W.; Almakoshi, L.; Zakzouk, A.; Aljasser, A.; Alammar, A. Comparison between flap and primary closures of persistent tracheocutaneous fistula: A scoping review. Ear Nose Throat J. 2023, 102, 170S–176S. [Google Scholar] [CrossRef] [PubMed]
- Saniasiaya, J.; van der Meer, G.; Toll, E.; McCaffer, C.; Barber, C.; Neeff, M.; Islam, M.A. Outcome of surgical treatment for tracheocutaneous fistula in paediatric population: A meta-analysis. Clin. Otolaryngol. 2025, 50, 415–426. [Google Scholar] [CrossRef] [PubMed]
- Lewis, S.; Arjomandi, H.; Rosenfeld, R. Systematic review of surgery for persistent pediatric tracheocutaneous fistula. Laryngoscope 2017, 127, 241–246. [Google Scholar] [CrossRef] [PubMed]
- Sikiric, P.; Seiwerth, S.; Skrtic, A.; Staresinic, M.; Strbe, S.; Vuksic, A.; Sikiric, S.; Bekic, D.; Soldo, D.; Grizelj, B.; et al. Stable gastric pentadecapeptide BPC 157 as a therapy and safety key: A special beneficial pleiotropic effect controlling and modulating angiogenesis and the NO-system. Pharmaceuticals 2025, 18, 928. [Google Scholar] [CrossRef] [PubMed]
- Sikiric, P.; Seiwerth, S.; Skrtic, A.; Staresinic, M.; Strbe, S.; Vuksic, A.; Sikiric, S.; Bekic, D.; Soldo, D.; Grizelj, B.; et al. BPC 157 therapy: Targeting angiogenesis and nitric oxide’s cytotoxic and damaging actions, but maintaining, promoting, or recovering their essential protective functions. Comment on Józwiak et al. multifunctionality and possible medical application of the BPC 157 peptide—Literature and patent review. Pharmaceuticals 2025, 18, 1450. [Google Scholar] [CrossRef] [PubMed]
- Seiwerth, S.; Milavic, M.; Vukojevic, J.; Gojkovic, S.; Krezic, I.; Vuletic, L.B.; Pavlov, K.H.; Petrovic, A.; Sikiric, S.; Vranes, H.; et al. Stable gastric pentadecapeptide BPC 157 and wound healing. Front. Pharmacol. 2021, 12, 627533. [Google Scholar] [CrossRef] [PubMed]
- Seiwerth, S.; Rucman, R.; Turkovic, B.; Sever, M.; Klicek, R.; Radic, B.; Drmic, D.; Stupnisek, M.; Misic, M.; Vuletic, L.B.; et al. BPC 157 and standard angiogenic growth factors. Gastrointestinal tract healing, lessons from tendon, ligament, muscle and bone healing. Curr. Pharm. Des. 2018, 24, 1972–1989. [Google Scholar] [CrossRef] [PubMed]
- Sikiric, P.; Seiwerth, S.; Skrtic, A.; Staresinic, M.; Strbe, S.; Vuksic, A.; Sikiric, S.; Bekic, D.; Penovic, T.; Drazenovic, D.; et al. Acute compartment syndrome and intra-abdominal hypertension, decompression, current pharmacotherapy, and stable gastric pentadecapeptide BPC 157 solution. Pharmaceuticals 2025, 18, 866. [Google Scholar] [CrossRef] [PubMed]
- Bajramagic, S.; Sever, M.; Rasic, F.; Staresinic, M.; Skrtic, A.; Beketic Oreskovic, L.; Oreskovic, I.; Strbe, S.; Loga Zec, S.; Hrabar, J.; et al. Stable gastric pentadecapeptide BPC 157 and intestinal anastomoses therapy in rats—A review. Pharmaceuticals 2024, 17, 1081. [Google Scholar] [CrossRef] [PubMed]
- Sikiric, P.; Drmic, D.; Sever, M.; Klicek, R.; Blagaic, A.B.; Tvrdeic, A.; Kralj, T.; Kovac, K.K.; Vukojevic, J.; Siroglavic, M.; et al. Fistulas healing. Stable gastric pentadecapeptide BPC 157 therapy. Curr. Pharm. Des. 2020, 26, 2991–3000. [Google Scholar] [CrossRef] [PubMed]
- Sikiric, P.; Gojkovic, S.; Knezevic, M.; Tepes, M.; Strbe, S.; Vukojevic, J.; Duzel, A.; Kralj, T.; Krezic, I.; Zizek, H.; et al. Stable gastric pentadecapeptide BPC 157: Prompt particular activation of collateral pathways. Curr. Med. Chem. 2023, 30, 1568–1573. [Google Scholar] [CrossRef]
- Sikiric, P.; Seiwerth, S.; Rucman, R.; Turkovic, B.; Rokotov, D.S.; Brcic, L.; Sever, M.; Klicek, R.; Radic, B.; Drmic, D.; et al. Stable gastric pentadecapeptide BPC 157–NO-system relation. Curr. Pharm. Des. 2014, 20, 1126–1135. [Google Scholar] [CrossRef] [PubMed]
- Sikiric, P.; Drmic, D.; Boban Blagaic, A.; Tvrdeic, A.; Krezic, I.; Gojkovic, S.; Zizek, H.; Sikiric, S.; Strbe, S.; Smoday, I.M.; et al. Stable gastric pentadecapeptide BPC 157 and NO-system. In Nitric Oxide: From Research to Therapeutics; Ray, A., Gulati, K., Eds.; Springer Nature: Cham, Switzerland, 2023; Volume 22, pp. 349–375. [Google Scholar]
- Sikiric, P.; Seiwerth, S.; Grabarević, Z.; Rucman, R.; Petek, M.; Jagić, V.; Turković, B.; Rotkvić, I.; Mise, S.; Zoricić, I.; et al. The influence of a novel pentadecapeptide, BPC 157, on N(G)-nitro-L-arginine methylester and L-arginine effects on stomach mucosa integrity and blood pressure. Eur. J. Pharmacol. 1997, 332, 23–33. [Google Scholar] [CrossRef]
- Turkovic, B.; Sikiric, P.; Seiwerth, S.; Mise, S.; Anic, T.; Petek, M. Stable gastric pentadecapeptide BPC 157 studied for inflammatory bowel disease (PLD-116, PL14736, Pliva) induces nitric oxide synthesis. Gastroenterology 2004, 126, 287. [Google Scholar] [CrossRef]
- Stupnisek, M.; Kokot, A.; Drmic, D.; Hrelec-Patrlj, M.; Zenko-Sever, A.; Kolenc, D.; Radic, B.; Suran, J.; Bojic, D.; Vcev, A.; et al. Pentadecapeptide BPC 157 reduces bleeding and thrombocytopenia after amputation in rats treated with heparin, warfarin, L-NAME and L-arginine. PLoS ONE 2015, 10, e0123454. [Google Scholar] [CrossRef]
- Wu, H.; Wei, M.; Li, N.; Lu, Q.; Shrestha, S.M.; Tan, J.; Zhang, Z.; Wu, G.; Shi, R. Clopidogrel-induced gastric injury in rats is attenuated by stable gastric pentadecapeptide BPC 157. Drug Des. Devel. Ther. 2020, 14, 5599–5610. [Google Scholar] [CrossRef] [PubMed]
- Hsieh, M.J.; Lee, C.H.; Chueh, H.Y.; Chang, G.J.; Huang, H.Y.; Lin, Y.; Pang, J.S. Modulatory effects of BPC 157 on vasomotor tone and the activation of Src-Caveolin-1-endothelial nitric oxide synthase pathway. Sci. Rep. 2020, 10, 17078. [Google Scholar] [CrossRef] [PubMed]
- Hsieh, M.J.; Liu, H.T.; Wang, C.N.; Huang, H.Y.; Lin, Y.; Ko, Y.S.; Wang, J.S.; Chang, V.H.; Pang, J.S. Therapeutic potential of pro-angiogenic BPC 157 is associated with VEGFR2 activation and up-regulation. J. Mol. Med. 2017, 95, 323–333. [Google Scholar] [CrossRef] [PubMed]
- Pfeiffer, S.; Schlüter, G.; Haller, H.; Luft, F.C. Inhibition of nitric oxide synthesis by NG-nitro-L-arginine methyl ester (L-NAME): Evidence for a direct inhibitory effect on nitric oxide synthase. Biochem. Biophys. Res. Commun. 1996, 225, 1073–1078. [Google Scholar] [CrossRef] [PubMed]
- Suda, O.; Tsutsui, M.; Morishita, T.; Tanimoto, A.; Horiuchi, M.; Tasaki, H.; Huang, P.L.; Sasaguri, Y.; Yanagihara, N.; Nakashima, Y. Long-term treatment with N(ω)-nitro-L-arginine methyl ester causes arteriosclerotic coronary lesions in endothelial nitric oxide synthase-deficient mice. Circulation 2002, 106, 1729–1735. [Google Scholar] [CrossRef] [PubMed]
- Kopincová, J.; Púzserová, A.; Bernátová, I. L-NAME in the cardiovascular system—Nitric oxide synthase activator? Pharmacol. Rep. 2012, 64, 511–520. [Google Scholar] [CrossRef] [PubMed]
- Vaupel, D.B.; Kimes, A.S.; London, E.D. Nitric oxide synthase inhibitors. Preclinical studies of potential use for treatment of opioid withdrawal. Neuropsychopharmacology 1995, 13, 315–322. [Google Scholar] [CrossRef] [PubMed]
- Cheng, M.C.; Wu, T.H.; Huang, L.T.; Tain, Y.L. Renoprotective effects of melatonin in young spontaneously hypertensive rats with L-NAME. Pediatr. Neonatol. 2014, 55, 189–195. [Google Scholar] [CrossRef] [PubMed]
- Attia, D.M.; Verhagen, A.M.G.; Stroes, E.S.G.; van Faassen, E.E.; Gröne, H.-J.; De Kimpe, S.J.; Koomans, H.A.; Braam, B.; Joles, J.A. Vitamin E alleviates renal injury, but not hypertension, during chronic nitric oxide synthase inhibition in rats. J. Am. Soc. Nephrol. 2001, 12, 2585–2593. [Google Scholar] [CrossRef] [PubMed]
- Sweeney, D.J.; Chao, C.; Ridgers, A.; Chong, C.K.; Goldblatt, J.; Seevanayagam, S.; Howard, M.E. Silver nitrate therapy for persistent tracheocutaneous fistula following prolonged tracheostomy and invasive ventilation: A case report. Respirol. Case Rep. 2022, 10, e01049. [Google Scholar] [CrossRef] [PubMed]
- Gultekin, F.A.; Bakkal, B.; Guven, B.; Tasdoven, I.; Bektas, S.; Can, M.; Comert, M. Effects of ozone oxidative preconditioning on radiation-induced organ damage in rats. J. Radiat. Res. 2012, 54, 36–44. [Google Scholar] [CrossRef] [PubMed]
- Marchese, M.R.; Di Cesare, T.; De Corso, E.; Petracca, M.; Oliveto, G.; Almadori, G. Botulinum neurotoxin A in the treatment of pharyngocutaneous fistula after salvage surgery in head and neck cancer patients: Our preliminary results. Curr. Oncol. 2022, 29, 7099–7105. [Google Scholar] [CrossRef] [PubMed]
- Cui, J.; Zhang, Y.; Li, Y.; Zhang, Y.; Li, Y.; Wang, Z.; Wang, J. Efficacy of mesenchymal stem cells in treating tracheoesophageal fistula via the TLR4/NF-κB pathway in beagle macrophages. Stem Cell Res. Ther. 2024, 15, 85. [Google Scholar] [CrossRef] [PubMed]
- Rábago, L.R.; Ventosa, N.; Castro, J.L.; Marco, J.; Herrera, N.; Gea, F. Endoscopic treatment of postoperative fistulas resistant to conservative management using biological fibrin glue. Endoscopy 2002, 34, 632–638. [Google Scholar] [CrossRef] [PubMed]
- Abramian, O.; Rosenheck, J.; Taddeo-Kolman, D.; Bowen, F.; Boujaoude, Z.; Abouzgheib, W. Therapeutic closure of bronchopleural fistulas using ethanol. Ther. Adv. Respir. Dis. 2021, 15, 17534666211044411. [Google Scholar] [CrossRef] [PubMed]
- Takaoka, K.; Inoue, S.; Ohira, S. Central bronchopleural fistulas closed by bronchoscopic injection of absolute ethanol. Chest 2002, 122, 374–378. [Google Scholar] [CrossRef] [PubMed]
- Stratakos, G.; Zuccatosta, L.; Porfyridis, I.; Sediari, M.; Zisis, C.; Mariatou, V.; Kostopoulos, E.; Psevdi, A.; Zakynthinos, S.; Gasparini, S. Silver nitrate through flexible bronchoscope in the treatment of bronchopleural fistulae. J. Thorac. Cardiovasc. Surg. 2009, 138, 603–607.e1. [Google Scholar] [CrossRef] [PubMed]
- Jakubowicz, D.M.; Smith, R.V. Use of becaplermin in the closure of pharyngocutaneous fistulas. Head Neck 2005, 27, 433–438. [Google Scholar] [CrossRef] [PubMed]
- Yamaguchi, S.; Asao, T.; Nakamura, J.; Tsuboi, K.; Tsutsumi, S.; Kuwano, H. Effect of basic fibroblast growth factor, trafermin, on entero-related fistulae: Report of two cases. Hepatogastroenterology 2007, 54, 803–805. [Google Scholar] [PubMed]
- Bhatnagar, P.; Elhariri, S.; Burud, I.A.S.; Eid, N. Perianal fistulizing Crohn’s disease: Mechanisms and treatment options focusing on cellular therapy. World J. Gastroenterol. 2025, 31, 100221. [Google Scholar] [CrossRef] [PubMed]
- Adamska, P.; Kaczoruk-Wieremczuk, M.; Pylińska-Dąbrowska, D.; Stasiak, M.; Bartmański, M.; Zedler, A.; Studniarek, M. Treatment of oroantral communication and fistulas with the use of blood-derived platelet-rich preparations rich in growth factors: A systematic review. Int. J. Mol. Sci. 2024, 25, 11507. [Google Scholar] [CrossRef] [PubMed]
- Liang, S.; Zheng, Z.; Li, Y.; Yang, Y.; Qin, L.; Zhao, Z.; Wang, L.; Wang, H. A review of platelet-rich plasma for enteric fistula management. Front. Bioeng. Biotechnol. 2023, 11, 1287890. [Google Scholar] [CrossRef] [PubMed]
- Zhang, X.; Qiu, J.; Wang, H.; Lu, Z.; Shao, S.; He, J.; Zhong, S. Autologous bioactive compound concentrated growth factor ameliorates fistula healing of anal fistula in a pig model and promotes proliferation and migration of human skin fibroblasts via regulating the MEK/ERK pathway. Oxidative Med. Cell. Longev. 2022, 2022, 7660118. [Google Scholar] [CrossRef] [PubMed]
- de la Portilla, F.; Muñoz-Cruzado, M.V.D.; Maestre, M.V.; García-Cabrera, A.M.; Reyes, M.L.; Vázquez-Monchul, J.M.; Jimenez-Rodríguez, R.M.; Díaz-Pavón, J.M.; Padillo, F.J. Platelet-rich plasma (PRP) versus fibrin glue in cryptogenic fistula-in-ano: A phase III single-center, randomized, double-blind trial. Int. J. Colorectal Dis. 2019, 34, 1113–1119. [Google Scholar] [CrossRef] [PubMed]
- Cesarec, V.; Becejac, T.; Misic, M.; Djakovic, Z.; Olujic, D.; Drmic, D.; Brcic, L.; Rokotov, D.S.; Seiwerth, S.; Sikiric, P. Pentadecapeptide BPC 157 and the esophagocutaneous fistula healing therapy. Eur. J. Pharmacol. 2013, 701, 203–212. [Google Scholar] [CrossRef] [PubMed]
- Skorjanec, S.; Dolovski, Z.; Kocman, I.; Brcic, L.; Blagaic Boban, A.; Batelja, L.; Coric, M.; Sever, M.; Klicek, R.; Berkopic, L.; et al. Therapy for unhealed gastrocutaneous fistulas in rats as a model for analogous healing of persistent skin wounds and persistent gastric ulcers: Stable gastric pentadecapeptide BPC 157, atropine, ranitidine, and omeprazole. Dig. Dis. Sci. 2009, 54, 46–56. [Google Scholar] [CrossRef] [PubMed]
- Skorjanec, S.; Kokot, A.; Drmic, D.; Radic, B.; Sever, M.; Klicek, R.; Kolenc, D.; Zenko, A.; Lovric Bencic, M.; Belosic Halle, Z.; et al. Duodenocutaneous fistula in rats as a model for “wound healing-therapy” in ulcer healing: The effect of pentadecapeptide BPC 157, L-nitro-arginine methyl ester and L-arginine. J. Physiol. Pharmacol. 2015, 66, 581–590. [Google Scholar] [PubMed]
- Klicek, R.; Sever, M.; Radic, B.; Drmic, D.; Kocman, I.; Zoricic, I.; Vuksic, T.; Ivica, M.; Barisic, I.; Ilic, S.; et al. Pentadecapeptide BPC 157, in clinical trials as a therapy for inflammatory bowel disease (PL14736), is effective in the healing of colocutaneous fistulas in rats: Role of the nitric oxide-system. J. Pharmacol. Sci. 2008, 108, 7–17. [Google Scholar] [CrossRef] [PubMed]
- Vukusic, D.; Zenko Sever, A.; Sever, M.; Drmic, D.; Milavic, M.; Sikiric, S.; Rasic, D.; Krezic, I.; Gojkovic, S.; Prtoric, A.; et al. Duodenocolic fistula healing by pentadecapeptide BPC 157 in rats. A cytoprotection viewpoint. J. Physiol. Pharmacol. 2024, 75, 89–104. [Google Scholar] [CrossRef] [PubMed]
- Rasic, D.; Zenko Sever, A.; Rasic, F.; Strbe, S.; Rasic, Z.; Djuzel, A.; Duplancic, B.; Boban Blagaic, A.; Skrtic, A.; Seiwerth, S.; et al. Stable gastric pentadecapeptide BPC 157 heals established vesicovaginal fistula and counteracts stone formation in rats. Biomedicines 2021, 9, 1206. [Google Scholar] [CrossRef] [PubMed]
- Grgic, T.; Grgic, D.; Drmic, D.; Sever, A.Z.; Petrovic, I.; Sucic, M.; Kokot, A.; Klicek, R.; Sever, M.; Seiwerth, S.; et al. Stable gastric pentadecapeptide BPC 157 heals rat colovesical fistula. Eur. J. Pharmacol. 2016, 780, 1–7. [Google Scholar] [CrossRef] [PubMed]
- Baric, M.; Sever, A.Z.; Vuletic, L.B.; Rasic, Z.; Sever, M.; Drmic, D.; Pavelic-Turudic, T.; Sucic, M.; Vrcic, H.; Seiwerth, S.; et al. Stable gastric pentadecapeptide BPC 157 heals rectovaginal fistula in rats. Life Sci. 2016, 148, 63–70. [Google Scholar] [CrossRef] [PubMed]
- Robert, A. Cytoprotection by prostaglandins. Gastroenterology 1979, 77, 761–767. [Google Scholar] [CrossRef] [PubMed]
- Robert, A. Current history of cytoprotection. Prostaglandins 1981, 21, 89–96. [Google Scholar] [CrossRef] [PubMed]
- Robert, A.; Nezamis, J.E.; Lancaster, C.; Davis, J.P.; Field, S.O.; Hanchar, A.J. Mild irritants prevent gastric necrosis through “adaptive cytoprotection” mediated by prostaglandins. Am. J. Physiol. 1983, 245, G113–G121. [Google Scholar] [CrossRef] [PubMed]
- Robert, A. Cytoprotection and prostaglandins. Klin. Wochenschr. 1986, 64, 40–43. [Google Scholar] [CrossRef] [PubMed]
- Robert, A.; Guth, P.H.; Schmidt, K.L.; Miller, T.A. Response to an editorial on gastric cytoprotection. Gastroenterology 1989, 96, 548–551. [Google Scholar] [CrossRef] [PubMed]
- Szabo, S. Role of sulfhydryls and early vascular lesions in gastric mucosal injury. Acta Physiol. Hung. 1984, 64, 203–214. [Google Scholar] [PubMed]
- Trier, J.S.; Szabo, S.; Allan, C.H. Ethanol-induced damage to mucosal capillaries of rat stomach: Ultrastructural features and effects of prostaglandin F2β and cysteamine. Gastroenterology 1987, 92, 13–22. [Google Scholar] [CrossRef] [PubMed]
- Pihan, G.; Majzoubi, D.; Haudenschild, C.; Trier, J.S.; Szabo, S. Early microcirculatory stasis in acute gastric mucosal injury in the rat and prevention by 16,16-dimethyl prostaglandin E2 or sodium thiosulfate. Gastroenterology 1986, 91, 1415–1426. [Google Scholar] [CrossRef] [PubMed]
- Szabo, S.; Trier, J.S.; Brown, A.; Schnoor, J. Early vascular injury and increased vascular permeability in gastric mucosal injury caused by ethanol in the rat. Gastroenterology 1985, 88, 228–236. [Google Scholar] [CrossRef] [PubMed]
- Szabo, S. Experimental basis for a role for sulfhydryls and dopamine in ulcerogenesis: A primer for cytoprotection–organoprotection. Klin. Wochenschr. 1986, 64, 116–122. [Google Scholar] [PubMed]
- Szabo, S.; Usadel, K.H. Cytoprotection–organoprotection by somatostatin: Gastric and hepatic lesions. Experientia 1982, 38, 254–256. [Google Scholar] [CrossRef] [PubMed]
- He, L.; Feng, D.; Guo, H.; Zhou, Y.; Li, Z.; Zhang, K.; Zhang, W.; Wang, S.; Wang, Z.; Hao, Q.; et al. Pharmacokinetics, distribution, metabolism, and excretion of body-protective compound 157, a potential drug for treating various wounds, in rats and dogs. Front. Pharmacol. 2022, 13, 1026182. [Google Scholar] [CrossRef] [PubMed]
- Lee, E.; Burgess, K. Safety of intravenous infusion of BPC157 in humans: A pilot study. Altern. Ther. Health Med. 2025, 31, 20–24. [Google Scholar] [PubMed]
- Xu, C.; Sun, L.; Ren, F.; Huang, P.; Tian, Z.; Cui, J.; Zhang, W.; Wang, S.; Zhang, K.; He, L.; et al. Preclinical safety evaluation of body protective compound-157, a potential drug for treating various wounds. Regul. Toxicol. Pharmacol. 2020, 114, 104665. [Google Scholar] [CrossRef] [PubMed] [PubMed Central]
- Ruenzi, M.; Stolte, M.; Veljaca, M.; Oreskovic, K.; Peterson, J.; Ulcerative Colitis Study Group. A multicenter, randomized, double blind, placebo-controlled phase II study of PL 14736 enema in the treatment of mild-to-moderate ulcerative colitis. Gastroenterology 2005, 128, A584. [Google Scholar] [CrossRef]
- Veljaca, M.; Pavic-Sladoljev, D.; Mildner, B.; Brajsa, K.; Bubenik, M.; Stipanicic, S.; Parnham, M. Safety, tolerability and pharmacokinetics of PL14736, a novel agent for treatment of ulcerative colitis, in healthy male volunteers. Gut 2003, 51, A309. [Google Scholar] [CrossRef]
- Lee, E.; Padgett, B. Intra-articular injection of BPC 157 for multiple types of knee pain. Altern. Ther. Health Med. 2021, 27, 8–13. [Google Scholar] [PubMed]
- Lee, E.; Walker, C.; Ayadi, B. Effect of BPC-157 on symptoms in patients with interstitial cystitis: A pilot study. Altern. Ther. Health Med. 2024, 30, 12–17. [Google Scholar] [PubMed]
- Chu, K.A.; Lai, C.Y.; Chen, Y.H.; Kuo, F.H.; Chen, I.Y.; Jiang, Y.C.; Liu, Y.L.; Ko, T.L.; Fu, Y.S. An animal model of severe acute respiratory distress syndrome for translational research. Lab. Anim. Res. 2025, 41, 4. [Google Scholar] [CrossRef]
- Iizuka, M. Abdominal respiratory motor pattern in the rat. J. Physiol. 2010, 588, 4691–4698. [Google Scholar] [CrossRef] [PubMed]
- Germann, P.G.; Häfner, D. A rat model of acute respiratory distress syndrome (ARDS): Part 1. Time dependency of histological and pathological changes. J. Pharmacol. Toxicol. Methods 1998, 40, 101–107. [Google Scholar] [CrossRef] [PubMed]
- Udovicic, M.; Sever, M.; Kavur, L.; Loncaric, K.; Barisic, I.; Balenovic, D.; Zivanovic Posilovic, G.; Strinic, D.; Uzun, S.; Batelja Vuletic, L.; et al. Stable gastric pentadecapeptide BPC 157 therapy for monocrotaline-induced pulmonary hypertension in rats leads to prevention and reversal. Biomedicines 2021, 9, 822. [Google Scholar] [CrossRef] [PubMed]
- Tachikawa, S.; Onimaru, H.; Kumada, T.; Ezure, K.; Ikeda, K.; Shiga, T.; Kobayashi, M.; Kuwana, Y.; Omata, Y.; Dutschmann, M.; et al. Coordinated respiratory motor activity in nerves and spinal cord in situ: Abdominal expiratory activity in the rat brainstem–spinal cord in situ—Patterns, origins and implications for respiratory rhythm generation. Front. Physiol. 2016, 7, 523. [Google Scholar] [CrossRef] [PubMed Central]
- Runck, H.; Luecke, T.; Pelosi, P.; Reissmann, H.; Putensen, C.; Quintel, M.; Sakka, S.; Zinserling, J.; Wrigge, H.; Hedenstierna, G.; et al. Effects of intra-abdominal pressure on respiratory system mechanics in mechanically ventilated rats. J. Appl. Physiol. 2012, 112, 1941–1950. [Google Scholar] [CrossRef] [PubMed]
- Kalogjera, L.; Pegan, B.; Petric, V. Compensatory mechanisms induced by high oropharyngeal airway resistance in rats. Acta Otolaryngol. 1991, 111, 384–388. [Google Scholar] [CrossRef] [PubMed]
- Suckow, C.E.; Zahorsky-Reeves, J.; Lawson, G.W.; Nemetz, N.E.; Couto, M.A. Acute abdominal distension in a spinally transected rat. Lab. Anim. 2006, 35, 19–21. [Google Scholar] [CrossRef] [PubMed]
- Pelosi, P.; Croci, M.; Ravagnan, I.; Lissoni, A.; Pedoto, A.; Galligioni, E.; Vicardi, P.; Gattinoni, L.; Quintel, M.; Putensen, C. Effect of intra-abdominal pressure on respiratory mechanics. Intensive Care Med. 2007, 33, 1452–1459. [Google Scholar] [CrossRef] [PubMed]
- Sever, M.; Klicek, R.; Radic, B.; Brcic, L.; Zoricic, I.; Drmic, D.; Ivica, M.; Barisic, I.; Ilic, S.; Berkopic, L.; et al. Gastric pentadecapeptide BPC 157 and short bowel syndrome in rats. Dig. Dis. Sci. 2009, 54, 2070–2083. [Google Scholar] [CrossRef] [PubMed]
- Kang, E.A.; Han, Y.M.; An, J.M.; Park, Y.J.; Sikiric, P.; Kim, D.H.; Kwon, K.A.; Kim, Y.J.; Yang, D.; Tchah, H.; et al. BPC 157 as potential agent rescuing from cancer cachexia. Curr. Pharm. Des. 2018, 24, 1947–1956. [Google Scholar] [CrossRef]
- Knezevic, M.; Gojkovic, S.; Krezic, I.; Zizek, H.; Malekinusic, D.; Vrdoljak, B.; Knezevic, T.; Vranes, H.; Drmic, D.; Staroveski, M.; et al. Occluded superior mesenteric artery and vein. Therapy with the stable gastric pentadecapeptide BPC 157. Biomedicines 2021, 9, 792. [Google Scholar] [CrossRef] [PubMed]
- Knezevic, M.; Gojkovic, S.; Krezic, I.; Zizek, H.; Vranes, H.; Malekinusic, D.; Vrdoljak, B.; Knezevic, T.; Pavlov, K.H.; Drmic, D.; et al. Complex syndrome of the complete occlusion of the end of the superior mesenteric vein, opposed with the stable gastric pentadecapeptide BPC 157 in rats. Biomedicines 2021, 9, 1029. [Google Scholar] [CrossRef] [PubMed]
- Gojkovic, S.; Krezic, I.; Vranes, H.; Zizek, H.; Drmic, D.; Pavlov, K.H.; Petrovic, A.; Batelja, L.; Milavic, M.; Sikiric, S.; et al. BPC 157 therapy and the permanent occlusion of the superior sagittal sinus in rat. Vascular recruitment. Biomedicines 2021, 9, 744. [Google Scholar] [CrossRef] [PubMed]
- Tepes, M.; Gojkovic, S.; Krezic, I.; Zizek, H.; Vranes, H.; Madzar, Z.; Santak, G.; Batelja, L.; Milavic, M.; Sikiric, S.; et al. Stable gastric pentadecapeptide BPC 157 therapy for primary abdominal compartment syndrome. Front. Pharmacol. 2021, 12, 718147. [Google Scholar] [CrossRef] [PubMed]
- Tepes, M.; Krezic, I.; Vranes, H.; Smoday, I.M.; Kalogjera, L.; Zizek, H.; Vukovic, V.; Oroz, K.; Kovac, K.K.; Madzar, Z.; et al. Stable gastric pentadecapeptide BPC 157: Effect on reperfusion following maintained intra-abdominal hypertension (grade III and grade IV) in rats. Pharmaceuticals 2023, 16, 1554. [Google Scholar] [CrossRef] [PubMed]
- Smoday, I.M.; Petrovic, I.; Kalogjera, L.; Vranes, H.; Zizek, H.; Krezic, I.; Gojkovic, S.; Skorak, I.; Hriberski, K.; Brizic, I.; et al. Therapy effect of the stable gastric pentadecapeptide BPC 157 on acute pancreatitis as vascular failure-induced severe peripheral and central syndrome in rats. Biomedicines 2022, 10, 1299. [Google Scholar] [CrossRef] [PubMed]
- Kalogjera, L.; Krezic, I.; Smoday, I.M.; Vranes, H.; Zizek, H.; Yago, H.; Oroz, K.; Vukovic, V.; Kavelj, I.; Novosel, L.; et al. Stomach perforation-induced general occlusion/occlusion-like syndrome and stable gastric pentadecapeptide BPC 157 therapy effect. World J. Gastroenterol. 2023, 29, 4289–4316. [Google Scholar] [CrossRef] [PubMed]
- Demirtaş, H.; Özer, A.; Yıldırım, A.K.; Dursun, A.D.; Sezen, Ş.C.; Arslan, M. Protective effects of BPC 157 on liver, kidney, and lung distant organ damage in rats with experimental lower-extremity ischemia–reperfusion injury. Medicina 2025, 61, 291. [Google Scholar] [CrossRef] [PubMed]
- Strbe, S.; Gojkovic, S.; Krezic, I.; Zizek, H.; Vranes, H.; Barisic, I.; Strinic, D.; Orct, T.; Vukojevic, J.; Ilic, S.; et al. Over-dose lithium toxicity as an occlusive-like syndrome in rats and gastric pentadecapeptide BPC 157. Biomedicines 2021, 9, 1506. [Google Scholar] [CrossRef] [PubMed]
- Gojkovic, S.; Krezic, I.; Vranes, H.; Zizek, H.; Drmic, D.; Batelja Vuletic, L.; Milavic, M.; Sikiric, S.; Stilinovic, I.; Simeon, P.; et al. Robert’s intragastric alcohol-induced gastric lesion model as an escalated general peripheral and central syndrome, counteracted by the stable gastric pentadecapeptide BPC 157. Biomedicines 2021, 9, 1300. [Google Scholar] [CrossRef] [PubMed]
- Smoday, I.M.; Krezic, I.; Kalogjera, L.; Vukovic, V.; Zizek, H.; Skoro, M.; Kovac, K.K.; Vranes, H.; Barisic, I.; Sikiric, S.; et al. Pentadecapeptide BPC 157 as therapy for inferior caval vein embolization: Recovery of sodium laurate-post-embolization syndrome in rats. Pharmaceuticals 2023, 16, 1507. [Google Scholar] [CrossRef] [PubMed]
- Premuzic Mestrovic, I.; Smoday, I.M.; Kalogjera, L.; Krezic, I.; Zizek, H.; Vranes, H.; Vukovic, V.; Oroz, K.; Skorak, I.; Brizic, I.; et al. Antiarrhythmic sotalol, occlusion/occlusion-like syndrome in rats, and stable gastric pentadecapeptide BPC 157 therapy. Pharmaceuticals 2023, 16, 977. [Google Scholar] [CrossRef] [PubMed]
- Strbe, S.; Smoday, I.M.; Krezic, I.; Kalogjera, L.; Vukovic, V.; Zizek, H.; Gojkovic, S.; Vranes, H.; Barisic, I.; Sikiric, S.; et al. Innate vascular failure by application of neuroleptics, amphetamine, and domperidone rapidly induced severe occlusion/occlusion-like syndromes in rats and stable gastric pentadecapeptide BPC 157 as therapy. Pharmaceuticals 2023, 16, 788. [Google Scholar] [CrossRef] [PubMed]
- Barisic, I.; Balenovic, D.; Udovicic, M.; Bardak, D.; Strinic, D.; Vlainic, J.; Vranes, H.; Smoday, I.M.; Krezic, I.; Milavic, M.; et al. Stable gastric pentadecapeptide BPC 157 may counteract myocardial infarction induced by isoprenaline in rats. Biomedicines 2022, 10, 265. [Google Scholar] [CrossRef] [PubMed]
- Amic, F.; Drmic, D.; Bilic, Z.; Krezic, I.; Zizek, H.; Peklic, M.; Klicek, R.; Pajtak, A.; Amic, E.; Vidovic, T.; et al. Bypassing major venous occlusion and duodenal lesions in rats, and therapy with the stable gastric pentadecapeptide BPC 157, L-NAME and L-arginine. World J. Gastroenterol. 2018, 24, 5366–5378. [Google Scholar] [CrossRef] [PubMed]
- Lozić, M.; Stambolija, V.; Krezic, I.; Dugandzic, A.; Zivanovic-Posilovic, G.; Gojkovic, S.; Kovacevic, J.; Vrdoljak, L.; Mirkovic, I.; Kokot, A.; et al. In relation to NO-system, stable pentadecapeptide BPC 157 counteracts lidocaine-induced adverse effects in rats and depolarisation in vitro. Emerg. Med. Int. 2020, 2020, 6805354. [Google Scholar] [CrossRef] [PubMed] [PubMed Central]
- Medvidovic-Grubisic, M.; Stambolija, V.; Kolenc, D.; Katancic, J.; Murselovic, T.; Plestina-Borjan, I.; Strbe, S.; Drmic, D.; Barisic, I.; Sindic, A.; et al. Hypermagnesemia disturbances in rats, NO-related: Pentadecapeptide BPC 157 abrogates, L-NAME and L-arginine worsen. Inflammopharmacology 2017, 25, 439–449. [Google Scholar] [CrossRef] [PubMed]
- Sever, A.Z.; Sever, M.; Vidovic, T.; Lojo, N.; Kolenc, D.; Vuletic, L.B.; Drmic, D.; Kokot, A.; Zoricic, I.; Coric, M.; et al. Stable gastric pentadecapeptide BPC 157 in the therapy of the rats with bile duct ligation. Eur. J. Pharmacol. 2019, 847, 130–142. [Google Scholar] [CrossRef] [PubMed]
- Huang, B.S.; Huang, S.C.; Chen, F.H.; Chang, Y.; Mei, H.F.; Huang, H.Y.; Chen, W.Y.; Pang, J.S. Pentadecapeptide BPC 157 efficiently reduces radiation-induced liver injury and lipid accumulation through Kruppel-like factor 4 upregulation both in vivo and in vitro. Life Sci. 2022, 310, 121072. [Google Scholar] [CrossRef] [PubMed]
- Park, J.M.; Lee, H.J.; Sikiric, P.; Hahm, K.B. BPC 157 rescued NSAID-cytotoxicity via stabilizing intestinal permeability and enhancing cytoprotection. Curr. Pharm. Des. 2020, 26, 2971–2981. [Google Scholar] [CrossRef] [PubMed]
- Radeljak, S.; Seiwerth, S.; Sikiric, P. BPC 157 inhibits cell growth and VEGF signalling via the MAPK kinase pathway in the human melanoma cell line. Melanoma Res. 2004, 14, A14–A15. [Google Scholar] [CrossRef]
- Chang, C.H.; Tsai, W.C.; Lin, M.S.; Hsu, Y.H.; Pang, J.H.S. The promoting effect of pentadecapeptide BPC 157 on tendon healing involves tendon outgrowth, cell survival, and cell migration. J. Appl. Physiol. 2011, 110, 774–780. [Google Scholar] [CrossRef] [PubMed]
- Chang, C.H.; Tsai, W.C.; Hsu, Y.H.; Pang, J.H.S. Pentadecapeptide BPC 157 enhances the growth hormone receptor expression in tendon fibroblasts. Molecules 2014, 19, 19066–19077. [Google Scholar] [CrossRef] [PubMed] [PubMed Central]
- Huang, T.; Zhang, K.; Sun, L.; Xue, X.; Zhang, C.; Shu, Z.; Mu, N.; Gu, J.; Zhang, W.; Wang, Y.; et al. Body protective compound-157 enhances alkali-burn wound healing in vivo and promotes proliferation, migration, and angiogenesis in vitro. Drug Des. Devel. Ther. 2015, 9, 2485–2499. [Google Scholar] [CrossRef] [PubMed] [PubMed Central]
- Ivetić Tkalcević, V.; Cuzić, S.; Brajsa, K.; Mildner, B.; Bokulić, A.; Situm, K.; Perović, D.; Glojnarić, I.; Parnham, M.J. Enhancement by PL 14736 of granulation and collagen organization in healing wounds and the potential role of egr-1 expression. Eur. J. Pharmacol. 2007, 570, 212–221. [Google Scholar] [CrossRef] [PubMed]
- Wang, X.Y.; Qu, M.; Duan, R.; Shi, D.; Jin, L.; Gao, J.; Wood, J.D.; Li, J.; Wang, G.D. Cytoprotective mechanism of the novel gastric peptide BPC 157 in gastrointestinal tract and cultured enteric neurons and glial cells. Neurosci. Bull. 2019, 35, 167–170. [Google Scholar] [CrossRef] [PubMed] [PubMed Central]
- Gamulin, O.; Oroz, K.; Coric, L.; Krajacic, M.; Skrabic, M.; Dretar, V.; Strbe, S.; Talapko, J.; Juzbasic, M.; Krezic, I.; et al. Fourier transform infrared spectroscopy reveals molecular changes in blood vessels of rats treated with pentadecapeptide BPC 157. Biomedicines 2022, 10, 3130. [Google Scholar] [CrossRef] [PubMed]











| Medication After Formation of Tracheocutaneous Fistula | Number of Rats Presenting with or Without (with/Without) Pronounced Abdominal Excursions or “Heaving Abdomen” During Respiration, Flared Nostrils, and Open-Mouth Breathing, Cyanosis (Bluish Snout, Ears, Extremities), Abundant Secretion Through the Fistula, and Very Reduced Activity. | ||
|---|---|---|---|
| Post-Surgery Day 3 | Post-Surgery Day 5 | Post-Surgery Day 7 | |
| Control (drinking water, 12 mL/rat/day) | 6/0 | 6/0 | 6/0 |
| BPC 157 10 µg/kg/po | 0/6 * | 0/6 * | 0/6 * |
| BPC 157 10 ng/kg/po | 0/6 * | 0/6 * | 0/6 * |
| L-NAME 5 mg/kg ip | 6/0 | 6/0 | 6/0 |
| L-arginine 100 mg/kg ip | 6/0 | 6/0 | 0/6 * |
| L-NAME 5 mg/kg ip L-arginine 100 mg/kg ip | 6/0 | 6/0 | 6/0 |
| BPC 157 10 µg/kg/po L-NAME 5 mg/kg ip | 0/6 * | 0/6 * | 0/6 * |
| BPC 157 10 µg/kg/po L-arginine 100 mg/kg ip | 0/6 * | 0/6 * | 0/6 * |
| BPC 157 10 µg/kg/po L-NAME 5 mg/kg ip L-arginine 100 mg/kg ip | 0/6 * | 0/6 * | 0/6 * |
| BPC 157 10 ng/kg/po L-NAME 5 mg/kg ip | 0/6 * | 0/6 * | 0/6 * |
| BPC 157 10 ng/kg/po L-arginine 100 mg/kg ip | 0/6 * | 0/6 * | 0/6 * |
| BPC 157 10 ng/kg/po L-NAME 5 mg/kg ip L-arginine 100 mg/kg ip | 0/6 * | 0/6 * | 0/6 * |
| Medication After Formation of Tracheocutaneous Fistula | Number of Rats Presenting with or Without (with/Without) Pronounced Abdominal Excursions or “Heaving Abdomen” During Respiration, Flared Nostrils, and Open-Mouth Breathing, Cyanosis (Bluish Snout, Ears, Extremities), Abundant Secretion Through the Fistula, and Very Reduced Activity. | ||
|---|---|---|---|
| Post-Surgery Day 3 | Post-Surgery Day 5 | Post-Surgery Day 7 | |
| Control (drinking water, 12 mL/rat/day) | 6/0 | 6/0 | 6/0 |
| BPC 157 10 µg/kg/ip | 0/6 * | 0/6 * | 0/6 * |
| BPC 157 10 ng/kg/ip | 0/6 * | 0/6 * | 0/6 * |
| L-NAME 5 mg/kg ip | 6/0 | 6/0 | 6/0 |
| L-arginine 100 mg/kg ip | 6/0 | 6/0 | 0/6 * |
| L-NAME 5 mg/kg ip L-arginine 100 mg/kg ip | 6/0 | 6/0 | 6/0 |
| BPC 157 10 µg/kg/ip L-NAME 5 mg/kg ip | 0/6 * | 0/6 * | 0/6 * |
| BPC 157 10 µg/kg/ip L-arginine 100 mg/kg ip | 0/6 * | 0/6 * | 0/6 * |
| BPC 157 10 µg/kg/ip L-NAME 5 mg/kg ip L-arginine 100 mg/kg ip | 0/6 * | 0/6 * | 0/6 * |
| BPC 157 10 ng/kg/io L-NAME 5 mg/kg ip | 0/6 * | 0/6 * | 0/6 * |
| BPC 157 10 ng/kg/ip L-arginine 100 mg/kg ip | 0/6 * | 0/6 * | 0/6 * |
| BPC 157 10 ng/kg/ip L-NAME 5 mg/kg ip L-arginine 100 mg/kg ip | 0/6 * | 0/6 * | 0/6 * |
Disclaimer/Publisher’s Note: The statements, opinions and data contained in all publications are solely those of the individual author(s) and contributor(s) and not of MDPI and/or the editor(s). MDPI and/or the editor(s) disclaim responsibility for any injury to people or property resulting from any ideas, methods, instructions or products referred to in the content. |
© 2026 by the authors. Licensee MDPI, Basel, Switzerland. This article is an open access article distributed under the terms and conditions of the Creative Commons Attribution (CC BY) license.
Share and Cite
Madzarac, G.; Becejac, T.; Penovic, T.; Drazenovic, D.; Kralj, L.; Popović Dolic, M.; Sikiric, S.; Beketic Oreskovic, L.; Oreskovic, I.; Strbe, S.; et al. Tracheocutaneous Fistula Resolved by Pentadecapeptide BPC 157 Therapy Through the NO-System—Triple NO-Agent Approach in Rats. Pharmaceuticals 2026, 19, 145. https://doi.org/10.3390/ph19010145
Madzarac G, Becejac T, Penovic T, Drazenovic D, Kralj L, Popović Dolic M, Sikiric S, Beketic Oreskovic L, Oreskovic I, Strbe S, et al. Tracheocutaneous Fistula Resolved by Pentadecapeptide BPC 157 Therapy Through the NO-System—Triple NO-Agent Approach in Rats. Pharmaceuticals. 2026; 19(1):145. https://doi.org/10.3390/ph19010145
Chicago/Turabian StyleMadzarac, Goran, Tomislav Becejac, Toni Penovic, Dominik Drazenovic, Lucija Kralj, Marta Popović Dolic, Suncana Sikiric, Lidija Beketic Oreskovic, Ivana Oreskovic, Sanja Strbe, and et al. 2026. "Tracheocutaneous Fistula Resolved by Pentadecapeptide BPC 157 Therapy Through the NO-System—Triple NO-Agent Approach in Rats" Pharmaceuticals 19, no. 1: 145. https://doi.org/10.3390/ph19010145
APA StyleMadzarac, G., Becejac, T., Penovic, T., Drazenovic, D., Kralj, L., Popović Dolic, M., Sikiric, S., Beketic Oreskovic, L., Oreskovic, I., Strbe, S., Tubikanec, A. M., Penavic, M., Vranes, H., Krezic, I., Kordic, M., Koprivanac, A., Vidovic, T., Vlainic, J., Stancic Rokotov, D., ... Sikiric, P. (2026). Tracheocutaneous Fistula Resolved by Pentadecapeptide BPC 157 Therapy Through the NO-System—Triple NO-Agent Approach in Rats. Pharmaceuticals, 19(1), 145. https://doi.org/10.3390/ph19010145

