Inhibition of TFAM-Mediated Mitophagy by Oroxylin A Restored Sorafenib Sensitivity Under Hypoxia Conditions in HepG2 Cells
Abstract
1. Introduction
2. Results
2.1. TFAM Contributed to Hypoxia-Induced Resistance in HepG2 Cells
2.2. Silencing TFAM Enhanced the Sensitivity of HepG2 Cells to Sorafenib by Inhibiting Mitophagy
2.3. OA Enhanced the Sensitivity of HepG2 Cells to Sorafenib by Inhibiting Mitophagy
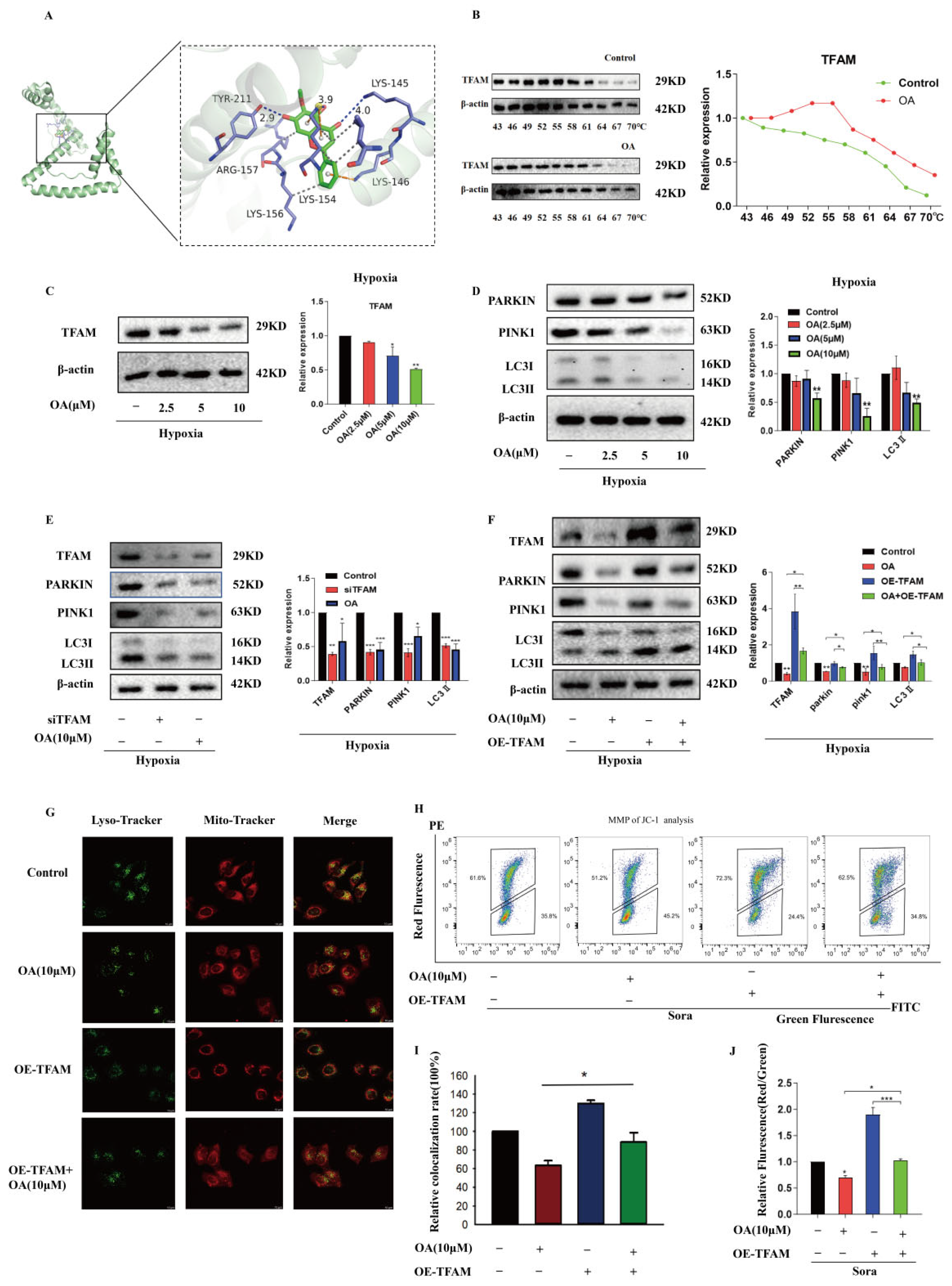
2.4. OA Targeted TFAM to Inhibit Mitophagy in HepG2 Cells
2.5. OA Suppressed Mitophagy by Downregulating TFAM to Reduce p53 Acetylation Under Hypoxia Conditions
2.6. OA Enhanced the Therapeutic Effect of Sorafenib on Xenograft Tumor In Vivo
3. Discussion
4. Materials and Methods
4.1. Cell Culture and Drug Treatment
4.2. Real-Time PCR Analysis
4.3. Western Blot Analysis
4.4. MTT Assay
4.5. Transmission Electron Microscopy (TEM)
4.6. Cellular Thermal Shift Assay (CETSA)
4.7. Immunohistochemistry
4.8. Colocalization of Mitochondria and Lysosomes
4.9. Co-Immunoprecipitation (Co-IP)
4.10. Cox8-EGFP-mCherry to Monitor Mitophagy
4.11. TCGA Database Analysis
4.12. Plate Colony Formation Assay
4.13. The Molecular Docking
4.14. Animal Experiments
4.15. Measurement of Intracellular Reactive Oxygen Species (ROS) Levels
4.16. Mitochondrial Membrane Potential (MMP) Measurement
4.17. Statistical Analysis
5. Conclusions
Author Contributions
Funding
Institutional Review Board Statement
Informed Consent Statement
Data Availability Statement
Conflicts of Interest
Abbreviations
References
- Vasan, N.; Baselga, J.; Hyman, D.M. A view on drug resistance in cancer. Nature 2019, 575, 299–309. [Google Scholar] [CrossRef] [PubMed]
- Bukowski, K.; Kciuk, M.; Kontek, R. Mechanisms of Multidrug Resistance in Cancer Chemotherapy. Int. J. Mol. Sci. 2020, 21, 3233. [Google Scholar] [CrossRef] [PubMed]
- Marine, J.C.; Dawson, S.J.; Dawson, M.A. Non-genetic mechanisms of therapeutic resistance in cancer. Nat. Rev. Cancer 2020, 20, 743–756. [Google Scholar] [CrossRef]
- Sweeney, P.L.; Suri, Y.; Basu, A.; Koshkin, V.S.; Desai, A. Mechanisms of tyrosine kinase inhibitor resistance in renal cell carcinoma. Cancer Drug Resist. 2023, 6, 858–873. [Google Scholar] [CrossRef]
- Man, K.F.; Ma, S. Mechanisms of resistance to tyrosine kinase inhibitors in liver cancer stem cells and potential therapeutic approaches. Essays Biochem. 2022, 66, 371–386. [Google Scholar]
- Nagasaki, J.; Ishino, T.; Togashi, Y. Mechanisms of resistance to immune checkpoint inhibitors. Cancer Sci. 2022, 113, 3303–3312. [Google Scholar] [CrossRef] [PubMed]
- Kim, D.W.; Talati, C.; Kim, R. Hepatocellular carcinoma (HCC): Beyond sorafenib-chemotherapy. J. Gastrointest. Oncol. 2017, 8, 256–265. [Google Scholar] [CrossRef] [PubMed]
- Cheng, Z.; Wei-Qi, J.; Jin, D. New insights on sorafenib resistance in liver cancer with correlation of individualized therapy. Biochim. Biophys. Acta Rev. Cancer 2020, 1874, 188382. [Google Scholar] [CrossRef] [PubMed]
- Chen, Y.T.; Xiang, D.; Zhao, X.Y.; Chu, X.Y. Upregulation of lncRNA NIFK-AS1 in hepatocellular carcinoma by m6A methylation promotes disease progression and sorafenib resistance. Hum. Cell 2021, 34, 1800–1811. [Google Scholar] [CrossRef]
- Chen, S.; Du, Y.; Guan, X.Y.; Yan, Q. The current status of tumor microenvironment and cancer stem cells in sorafenib resistance of hepatocellular carcinoma. Front. Oncol. 2023, 13, 1204513. [Google Scholar] [CrossRef]
- Chen, Y.; Hao, X.; Sun, R.; Wei, H.; Tian, Z. Natural Killer Cell-Derived Interferon-Gamma Promotes Hepatocellular Carcinoma Through the Epithelial Cell Adhesion Molecule-Epithelial-to-Mesenchymal Transition Axis in Hepatitis B Virus Transgenic Mice. Hepatology 2019, 69, 1735–1750. [Google Scholar] [CrossRef]
- Ul-Islam, S.; Ahmed, M.B.; Shehzad, A.; Ul-Islam, M.; Lee, Y.S. Failure of Chemotherapy in Hepatocellular Carcinoma Due to Impaired and Dysregulated Primary Liver Drug Metabolizing Enzymes and Drug Transport Proteins: What to Do? Curr. Drug Metab. 2018, 19, 819–829. [Google Scholar] [CrossRef]
- Ladd, A.D.; Duarte, S.; Sahin, I.; Zarrinpar, A. Mechanisms of drug resistance in HCC. Hepatology 2024, 79, 926–940. [Google Scholar] [CrossRef]
- Niu, L.; Liu, L.; Yang, S.; Ren, J.; Lai, P.B.S.; Chen, G.G. New insights into sorafenib resistance in hepatocellular carcinoma: Responsible mechanisms and promising strategies. Biochim. Biophys. Acta Rev. Cancer 2017, 1868, 564–570. [Google Scholar] [CrossRef] [PubMed]
- Harada, H. Hypoxia-inducible factor 1-mediated characteristic features of cancer cells for tumor radioresistance. J. Radiat. Res. 2016, 57 (Suppl. S1), i99–i105. [Google Scholar] [CrossRef] [PubMed]
- Wang, Q.; Liu, C. Mitophagy plays a “double-edged sword” role in the radiosensitivity of cancer cells. J. Cancer Res. Clin. Oncol. 2024, 150, 14. [Google Scholar] [CrossRef] [PubMed]
- Uoselis, L.; Nguyen, T.N.; Lazarou, M. Mitochondrial degradation: Mitophagy and beyond. Mol. Cell 2023, 83, 3404–3420. [Google Scholar] [CrossRef]
- Glytsou, C.; Chen, X.; Zacharioudakis, E.; Al-Santli, W.; Zhou, H.; Nadorp, B.; Lee, S.; Lasry, A.; Sun, Z.; Papaioannou, D.; et al. Mitophagy Promotes Resistance to BH3 Mimetics in Acute Myeloid Leukemia. Cancer Discov. 2023, 13, 1656–1677. [Google Scholar] [CrossRef] [PubMed]
- Zhang, Y.; Pang, C.; Zhang, C.; Wang, Y.; Wang, P.; Chen, Y.; Wang, J.; Hu, Y.; Liu, C.; Liang, H.; et al. HILPDA-mediated lipidomic remodelling promotes radiotherapy resistance in nasopharyngeal carcinoma by accelerating mitophagy. Cell Mol. Life Sci. 2023, 80, 242. [Google Scholar] [CrossRef]
- Wu, H.; Wang, T.; Liu, Y.; Li, X.; Xu, S.; Wu, C.; Zou, H.; Cao, M.; Jin, G.; Lang, J.; et al. Mitophagy promotes sorafenib resistance through hypoxia-inducible ATAD3A dependent Axis. J. Exp. Clin. Cancer Res. 2020, 39, 274. [Google Scholar] [CrossRef]
- Ponneri Babuharisankar, A.; Kuo, C.L.; Chou, H.Y.; Tangeda, V.; Fan, C.C.; Chen, C.H.; Kao, Y.H.; Lee, A.Y. Mitochondrial Lon-induced mitophagy benefits hypoxic resistance via Ca2+-dependent FUNDC1 phosphorylation at the ER-mitochondria interface. Cell Death Dis. 2023, 14, 199. [Google Scholar] [CrossRef]
- Song, C.; Pan, S.; Zhang, J.; Li, N.; Geng, Q. Mitophagy: A novel perspective for insighting into cancer and cancer treatment. Cell Prolif. 2022, 55, e13327. [Google Scholar] [CrossRef]
- Campbell, C.T.; Kolesar, J.E.; Kaufman, B.A. Mitochondrial transcription factor A regulates mitochondrial transcription initiation, DNA packaging, and genome copy number. Biochim. Biophys. Acta 2012, 1819, 921–929. [Google Scholar] [CrossRef]
- Wang, W.; Jiang, C.F.; Yin, H.S.; Gao, S.; Yu, B.P. Targeting mitochondrial transcription factor A sensitizes pancreatic cancer cell to gemcitabine. Hepatobiliary Pancreat. Dis. Int. 2023, 22, 519–527. [Google Scholar] [CrossRef] [PubMed]
- Baixauli, F.; Acín-Pérez, R.; Villarroya-Beltrí, C.; Mazzeo, C.; Nuñez-Andrade, N.; Gabandé-Rodriguez, E.; Ledesma, M.D.; Blázquez, A.; Martin, M.A.; Falcón-Pérez, J.M.; et al. Mitochondrial Respiration Controls Lysosomal Function during Inflammatory T Cell Responses. Cell Metab. 2015, 22, 485–498. [Google Scholar] [CrossRef] [PubMed]
- Hafner, A.; Bulyk, M.L.; Jambhekar, A.; Lahav, G. The multiple mechanisms that regulate p53 activity and cell fate. Nat. Rev. Mol. Cell Biol. 2019, 20, 199–210. [Google Scholar] [CrossRef] [PubMed]
- Brooks, C.L.; Gu, W. Ubiquitination, phosphorylation and acetylation: The molecular basis for p53 regulation. Curr. Opin. Cell Biol. 2003, 15, 164–171. [Google Scholar] [CrossRef] [PubMed]
- Wang, Y.; Chen, Y.; Chen, Q.; Zhang, X.; Wang, H.; Wang, Z.; Wang, J.; Tian, C. The role of acetylation sites in the regulation of p53 activity. Mol. Biol. Rep. 2020, 47, 381–391. [Google Scholar] [CrossRef] [PubMed]
- Li, M.; Luo, J.; Brooks, C.L.; Gu, W. Acetylation of p53 inhibits its ubiquitination by Mdm2. J. Biol. Chem. 2002, 277, 50607–50611. [Google Scholar] [CrossRef] [PubMed]
- Feng, L.; Lin, T.; Uranishi, H.; Gu, W.; Xu, Y. Functional analysis of the roles of posttranslational modifications at the p53 C terminus in regulating p53 stability and activity. Mol. Cell Biol. 2005, 25, 5389–5395. [Google Scholar] [CrossRef]
- Sajeev, A.; Hegde, M.; Girisa, S.; Devanarayanan, T.N.; Alqahtani, M.S.; Abbas, M.; Sil, S.K.; Sethi, G.; Chen, J.T.; Kunnumakkara, A.B. OA: A Promising Flavonoid for Prevention and Treatment of Chronic Diseases. Biomolecules 2022, 12, 1185. [Google Scholar] [CrossRef]
- Li, X.; Miao, H.; Zhang, Y.; Li, W.; Li, Z.; Zhou, Y.; Zhao, L.; Guo, Q. Bone marrow microenvironment confers imatinib resistance to chronic myelogenous leukemia and OA reverses the resistance by suppressing Stat3 pathway. Arch. Toxicol. 2015, 89, 121–136. [Google Scholar] [CrossRef]
- Ding, Y.; Zhou, Y.; Li, Z.; Zhang, H.; Yang, Y.; Qin, H.; Xu, Q.; Zhao, L. Oroxylin A reversed Fibronectin-induced glioma insensitivity to Temozolomide by suppressing IP3R1/AKT/β-catenin pathway. Life Sci. 2020, 260, 118411. [Google Scholar] [CrossRef]
- Zhu, J.; Ao, H.; Liu, M.; Cao, K.; Ma, J. UBE2T promotes autophagy via the p53/AMPK/mTOR signaling pathway in lung adenocarcinoma. J. Transl. Med. 2021, 19, 374. [Google Scholar] [CrossRef]
- Pietrocola, F.; Izzo, V.; Niso-Santano, M.; Vacchelli, E.; Galluzzi, L.; Maiuri, M.C.; Kroemer, G. Regulation of autophagy by stress-responsive transcription factors. Semin. Cancer Biol. 2013, 23, 310–322. [Google Scholar] [CrossRef] [PubMed]
- Donato, M.T.; Tolosa, L.; Gómez-Lechón, M.J. Culture and Functional Characterization of Human Hepatoma HepG2 Cells. Methods Mol. Biol. 2015, 1250, 77–93. [Google Scholar]
- Štancl, P.; Gršković, P.; Držaić, S.; Vičić, A.; Karlić, R.; Korać, P. RNA-Sequencing Identification of Genes Supporting HepG2 as a Model Cell Line for Hepatocellular Carcinoma or Hepatocytes. Genes 2024, 15, 1460. [Google Scholar] [CrossRef] [PubMed]
- Wei, J.; Fang, D. Endoplasmic Reticulum Stress Signaling and the Pathogenesis of Hepatocarcinoma. Int. J. Mol. Sci. 2021, 22, 1799. [Google Scholar] [CrossRef]
- Xiong, X.X.; Qiu, X.Y.; Hu, D.X.; Chen, X.Q. Advances in Hypoxia-Mediated Mechanisms in Hepatocellular Carcinoma. Mol. Pharmacol. 2017, 92, 246–255. [Google Scholar] [CrossRef]
- Gutsaeva, D.R.; Carraway, M.S.; Suliman, H.B.; Demchenko, I.T.; Shitara, H.; Yonekawa, H.; Piantadosi, C.A. Transient hypoxia stimulates mitochondrial biogenesis in brain subcortex by a neuronal nitric oxide synthase-dependent mechanism. J. Neurosci. 2008, 28, 2015–2024. [Google Scholar] [CrossRef]
- Zhu, L.; Wang, Q.; Zhang, L.; Fang, Z.; Zhao, F.; Lv, Z.; Gu, Z.; Zhang, J.; Wang, J.; Zen, K.; et al. Hypoxia induces PGC-1α expression and mitochondrial biogenesis in the myocardium of TOF patients. Cell Res. 2010, 20, 676–687. [Google Scholar] [CrossRef]
- Glick, D.; Barth, S.; Macleod, K.F. Autophagy: Cellular and molecular mechanisms. J. Pathol. 2010, 221, 3–12. [Google Scholar] [CrossRef] [PubMed]
- Mizushima, N. Autophagy: Process and function. Genes Dev. 2007, 21, 2861–2873. [Google Scholar] [CrossRef] [PubMed]
- Tasdemir, E.; Chiara Maiuri, M.; Morselli, E.; Criollo, A.; D’Amelio, M.; Djavaheri-Mergny, M.; Cecconi, F.; Tavernarakis, N.; Kroemer, G. A dual role of p53 in the control of autophagy. Autophagy 2008, 4, 810–814. [Google Scholar] [CrossRef]
- Hsieh, Y.T.; Tu, H.F.; Yang, M.H.; Chen, Y.F.; Lan, X.Y.; Huang, C.L.; Chen, H.M.; Li, W.C. Mitochondrial genome and its regulator TFAM modulates head and neck tumourigenesis through intracellular metabolic reprogramming and activation of oncogenic effectors. Cell Death Dis. 2021, 12, 961. [Google Scholar] [CrossRef] [PubMed]
- Fei, P.; Wang, W.; Kim, S.H.; Wang, S.; Burns, T.F.; Sax, J.K.; Buzzai, M.; Dicker, D.T.; McKenna, W.G.; Bernhard, E.J.; et al. Bnip3L is induced by p53 under hypoxia, and its knockdown promotes tumor growth. Cancer Cell 2004, 6, 597–609. [Google Scholar] [CrossRef] [PubMed]








| Gene (Human) | Forward Sequence | Reverse Sequence |
|---|---|---|
| p53 | GATCAGCAGAGCATTGTTCACATTG | GGGTCGTCGCCTCCAGTTG |
| TFAM | CCGAGGTGGTTTTCATCTGT | TATATACCTGCCACTCCGCC |
| GADPH | ATTCCACCCATGGCAAATTCC | GACTCCACGACGTACTCAGC |
| Antibody | Catalog Number | Company |
|---|---|---|
| Anti-TFAM | AF0531 | Affinity Biosciences (Liyang, China) |
| Anti-p53 | 2524T | CST (Danvers, MA, USA) |
| Anti-HIF 1α | AF02369 | AiFang biological (Changsha, China) |
| Anti-Acetyl p53 | Ab179484 | Abcam (Cambridge, UK) |
| Anti-PINK1 | Ab300623 | Abcam (Cambridge, UK) |
| Anti-PARKIN | 14060-1-AP | Proteintech (Wuhan, China) |
| Anti-LC3B | AF11004 | AiFang biological (Changsha, China) |
| Anti-FAS | AF301026 | AiFang biological (Changsha, China) |
| Anti-PUMA | AF300458 | AiFang biological (Changsha, China) |
| Anti-β-actin | 20536-1-AP | Proteintech (Wuhan, China) |
Disclaimer/Publisher’s Note: The statements, opinions and data contained in all publications are solely those of the individual author(s) and contributor(s) and not of MDPI and/or the editor(s). MDPI and/or the editor(s) disclaim responsibility for any injury to people or property resulting from any ideas, methods, instructions or products referred to in the content. |
© 2024 by the authors. Licensee MDPI, Basel, Switzerland. This article is an open access article distributed under the terms and conditions of the Creative Commons Attribution (CC BY) license (https://creativecommons.org/licenses/by/4.0/).
Share and Cite
Ji, S.; Xu, X.; Li, Y.; Sun, S.; Fu, Q.; Qiu, Y.; Wang, S.; Xia, S.; Wang, F.; Zhang, F.; et al. Inhibition of TFAM-Mediated Mitophagy by Oroxylin A Restored Sorafenib Sensitivity Under Hypoxia Conditions in HepG2 Cells. Pharmaceuticals 2024, 17, 1727. https://doi.org/10.3390/ph17121727
Ji S, Xu X, Li Y, Sun S, Fu Q, Qiu Y, Wang S, Xia S, Wang F, Zhang F, et al. Inhibition of TFAM-Mediated Mitophagy by Oroxylin A Restored Sorafenib Sensitivity Under Hypoxia Conditions in HepG2 Cells. Pharmaceuticals. 2024; 17(12):1727. https://doi.org/10.3390/ph17121727
Chicago/Turabian StyleJi, Shufan, Xuefen Xu, Yujia Li, Sumin Sun, Qiuyu Fu, Yangling Qiu, Shuqi Wang, Siwei Xia, Feixia Wang, Feng Zhang, and et al. 2024. "Inhibition of TFAM-Mediated Mitophagy by Oroxylin A Restored Sorafenib Sensitivity Under Hypoxia Conditions in HepG2 Cells" Pharmaceuticals 17, no. 12: 1727. https://doi.org/10.3390/ph17121727
APA StyleJi, S., Xu, X., Li, Y., Sun, S., Fu, Q., Qiu, Y., Wang, S., Xia, S., Wang, F., Zhang, F., Xuan, J., & Zheng, S. (2024). Inhibition of TFAM-Mediated Mitophagy by Oroxylin A Restored Sorafenib Sensitivity Under Hypoxia Conditions in HepG2 Cells. Pharmaceuticals, 17(12), 1727. https://doi.org/10.3390/ph17121727

