Safety and Efficacy of Selective Internal Radionuclide Therapy with 90Y Glass Microspheres in Patients with Progressive Hepatocellular Carcinoma after the Failure of Repeated Transarterial Chemoembolization
Abstract
1. Introduction
2. Results
2.1. Toxicity
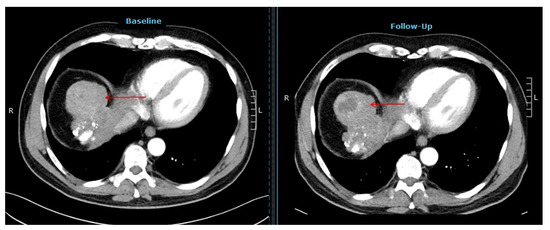
2.2. Response and Survival
3. Discussion
4. Materials and Methods
4.1. Patient Characteristics
4.2. Radioembolization Procedure
4.3. Statistical Analysis
5. Conclusions
Author Contributions
Funding
Institutional Review Board Statement
Informed Consent Statement
Data Availability Statement
Conflicts of Interest
References
- Marrero, J.A.; Kulik, L.M.; Sirlin, C.B.; Zhu, A.X.; Finn, R.S.; Abecassis, M.M.; Roberts, L.R.; Heimbach, J.K. Diagnosis, Staging, and Management of Hepatocellular Carcinoma: 2018 Practice Guidance by the American Association for the Study of Liver Diseases. Hepatology 2018, 68, 723–750. [Google Scholar] [CrossRef] [PubMed]
- Salem, R.; Lewandowski, R.J.; Mulcahy, M.F.; Riaz, A.; Ryu, R.K.; Ibrahim, S.; Atassi, B.; Baker, T.; Gates, V.; Miller, F.H.; et al. Radioembolization for hepatocellular carcinoma using Yttrium-90 microspheres: A comprehensive report of long-term outcomes. Gastroenterology 2010, 138, 52–64. [Google Scholar] [CrossRef]
- Cammà, C.; Schepis, F.; Orlando, A.; Albanese, M.; Shahied, L.; Trevisani, F.; Andreone, P.; Craxì, A.; Cottone, M. Transarterial chemoembolization for unresectable hepatocellular carcinoma: Meta-analysis of randomized controlled trials. Radiology 2002, 224, 47–54. [Google Scholar] [CrossRef]
- Brown, Z.J.; Tsilimigras, D.I.; Ruff, S.M.; Mohseni, A.; Kamel, I.R.; Cloyd, J.M.; Pawlik, T.M. Management of Hepatocellular Carcinoma: A Review. JAMA Surg. 2023, 158, 410–420. [Google Scholar] [CrossRef] [PubMed]
- Llovet, J.M.; Bruix, J. Systematic review of randomized trials for unresectable hepatocellular carcinoma: Chemoembolization improves survival. Hepatology 2003, 37, 429–442. [Google Scholar] [CrossRef]
- Dalzell, C.G.; Taylor, A.C.; White, S.B. New Insights on Liver-Directed Therapies in Hepatocellular Carcinoma. Cancers 2023, 15, 5749. [Google Scholar] [CrossRef]
- Vogl, T.J.; Naguib, N.N.; Nour-Eldin, N.E.; Rao, P.; Emami, A.H.; Zangos, S.; Nabil, M.; Abdelkader, A. Review on transarterial chemoembolization in hepatocellular carcinoma: Palliative, combined, neoadjuvant, bridging, and symptomatic indications. Eur. J. Radiol. 2009, 72, 505–516. [Google Scholar] [CrossRef] [PubMed]
- Terzi, E.; Golfieri, R.; Piscaglia, F.; Galassi, M.; Dazzi, A.; Leoni, S.; Giampalma, E.; Renzulli, M.; Bolondi, L. Response rate and clinical outcome of HCC after first and repeated cTACE performed “on demand”. J. Hepatol. 2012, 57, 1258–1267. [Google Scholar] [CrossRef]
- Georgiades, C.; Geschwind, J.F.; Harrison, N.; Hines-Peralta, A.; Liapi, E.; Hong, K.; Wu, Z.; Kamel, I.; Frangakis, C. Lack of response after initial chemoembolization for hepatocellular carcinoma: Does it predict failure of subsequent treatment? Radiology 2012, 265, 115–123. [Google Scholar] [CrossRef]
- Lance, C.; McLennan, G.; Obuchowski, N.; Cheah, G.; Levitin, A.; Sands, M.; Spain, J.; Srinivas, S.; Shrikanthan, S.; Aucejo, F.N.; et al. Comparative analysis of the safety and efficacy of transcatheter arterial chemoembolization and yttrium-90 radioembolization in patients with unresectable hepatocellular carcinoma. J. Vasc. Interv. Radiol. 2011, 22, 1697–1705. [Google Scholar] [CrossRef]
- Salem, R.; Lewandowski, R.J.; Kulik, L.; Wang, E.; Riaz, A.; Ryu, R.K.; Sato, K.T.; Gupta, R.; Nikolaidis, P.; Miller, F.H.; et al. Radioembolization results in longer time-to-progression and reduced toxicity compared with chemoembolization in patients with hepatocellular carcinoma. Gastroenterology 2011, 140, 497–507.e492. [Google Scholar] [CrossRef]
- Sangro, B.; Salem, R. Transarterial chemoembolization and radioembolization. Semin. Liver Dis. 2014, 34, 435–443. [Google Scholar] [CrossRef] [PubMed]
- Lewandowski, R.J.; Kulik, L.M.; Riaz, A.; Senthilnathan, S.; Mulcahy, M.F.; Ryu, R.K.; Ibrahim, S.M.; Sato, K.T.; Baker, T.; Miller, F.H.; et al. A comparative analysis of transarterial downstaging for hepatocellular carcinoma: Chemoembolization versus radioembolization. Am. J. Transplant. 2009, 9, 1920–1928. [Google Scholar] [CrossRef] [PubMed]
- Memon, K.; Lewandowski, R.J.; Riaz, A.; Salem, R. Yttrium 90 microspheres for the treatment of hepatocellular carcinoma. Recent. Results Cancer Res. 2013, 190, 207–224. [Google Scholar] [CrossRef]
- Mazzaferro, V.; Sposito, C.; Bhoori, S.; Romito, R.; Chiesa, C.; Morosi, C.; Maccauro, M.; Marchianò, A.; Bongini, M.; Lanocita, R.; et al. Yttrium-90 radioembolization for intermediate-advanced hepatocellular carcinoma: A phase 2 study. Hepatology 2013, 57, 1826–1837. [Google Scholar] [CrossRef] [PubMed]
- Cheng, A.L.; Kang, Y.K.; Chen, Z.; Tsao, C.J.; Qin, S.; Kim, J.S.; Luo, R.; Feng, J.; Ye, S.; Yang, T.S.; et al. Efficacy and safety of sorafenib in patients in the Asia-Pacific region with advanced hepatocellular carcinoma: A phase III randomised, double-blind, placebo-controlled trial. Lancet Oncol. 2009, 10, 25–34. [Google Scholar] [CrossRef]
- Llovet, J.M.; Ricci, S.; Mazzaferro, V.; Hilgard, P.; Gane, E.; Blanc, J.F.; de Oliveira, A.C.; Santoro, A.; Raoul, J.L.; Forner, A.; et al. Sorafenib in advanced hepatocellular carcinoma. N. Engl. J. Med. 2008, 359, 378–390. [Google Scholar] [CrossRef] [PubMed]
- Keating, G.M. Sorafenib: A Review in Hepatocellular Carcinoma. Target. Oncol. 2017, 12, 243–253. [Google Scholar] [CrossRef]
- Vilgrain, V.; Pereira, H.; Assenat, E.; Guiu, B.; Ilonca, A.D.; Pageaux, G.P.; Sibert, A.; Bouattour, M.; Lebtahi, R.; Allaham, W.; et al. Efficacy and safety of selective internal radiotherapy with yttrium-90 resin microspheres compared with sorafenib in locally advanced and inoperable hepatocellular carcinoma (SARAH): An open-label randomised controlled phase 3 trial. Lancet Oncol. 2017, 18, 1624–1636. [Google Scholar] [CrossRef]
- Chow, P.K.H.; Gandhi, M.; Tan, S.B.; Khin, M.W.; Khasbazar, A.; Ong, J.; Choo, S.P.; Cheow, P.C.; Chotipanich, C.; Lim, K.; et al. SIRveNIB: Selective Internal Radiation Therapy Versus Sorafenib in Asia-Pacific Patients with Hepatocellular Carcinoma. J. Clin. Oncol. 2018, 36, 1913–1921. [Google Scholar] [CrossRef]
- Clark, T.W. Complications of hepatic chemoembolization. Semin. Intervent Radiol. 2006, 23, 119–125. [Google Scholar] [CrossRef] [PubMed]
- Sun, Z.; Li, G.; Ai, X.; Luo, B.; Wen, Y.; Zhao, Z.; Dong, S.; Guan, J. Hepatic and biliary damage after transarterial chemoembolization for malignant hepatic tumors: Incidence, diagnosis, treatment, outcome and mechanism. Crit. Rev. Oncol. Hematol. 2011, 79, 164–174. [Google Scholar] [CrossRef]
- Binzaqr, S.; Debordeaux, F.; Blanc, J.F.; Papadopoulos, P.; Hindie, E.; Lapouyade, B.; Pinaquy, J.B. Efficacy of Selective Internal Radiation Therapy for Hepatocellular Carcinoma Post-Incomplete Response to Chemoembolization. Pharmaceuticals 2023, 16, 1676. [Google Scholar] [CrossRef] [PubMed]
- Sangro, B.; Gil-Alzugaray, B.; Rodriguez, J.; Sola, I.; Martinez-Cuesta, A.; Viudez, A.; Chopitea, A.; Inarrairaegui, M.; Arbizu, J.; Bilbao, J.I. Liver disease induced by radioembolization of liver tumors: Description and possible risk factors. Cancer 2008, 112, 1538–1546. [Google Scholar] [CrossRef] [PubMed]
- Kennedy, A.S.; McNeillie, P.; Dezarn, W.A.; Nutting, C.; Sangro, B.; Wertman, D.; Garafalo, M.; Liu, D.; Coldwell, D.; Savin, M.; et al. Treatment parameters and outcome in 680 treatments of internal radiation with resin 90Y-microspheres for unresectable hepatic tumors. Int. J. Radiat. Oncol. Biol. Phys. 2009, 74, 1494–1500. [Google Scholar] [CrossRef] [PubMed]
- Atassi, B.; Bangash, A.K.; Lewandowski, R.J.; Ibrahim, S.; Kulik, L.; Mulcahy, M.F.; Murthy, R.; Ryu, R.K.; Sato, K.T.; Miller, F.H.; et al. Biliary sequelae following radioembolization with Yttrium-90 microspheres. J. Vasc. Interv. Radiol. 2008, 19, 691–697. [Google Scholar] [CrossRef] [PubMed]
- Piana, P.M.; Gonsalves, C.F.; Sato, T.; Anne, P.R.; McCann, J.W.; Bar Ad, V.; Eschelman, D.J.; Parker, L.; Doyle, L.A.; Brown, D.B. Toxicities after radioembolization with yttrium-90 SIR-spheres: Incidence and contributing risk factors at a single center. J. Vasc. Interv. Radiol. 2011, 22, 1373–1379. [Google Scholar] [CrossRef] [PubMed]
- Lewandowski, R.J.; Minocha, J.; Memon, K.; Riaz, A.; Gates, V.L.; Ryu, R.K.; Sato, K.T.; Omary, R.; Salem, R. Sustained safety and efficacy of extended-shelf-life (90)Y glass microspheres: Long-term follow-up in a 134-patient cohort. Eur. J. Nucl. Med. Mol. Imaging 2014, 41, 486–493. [Google Scholar] [CrossRef]
- Salem, R.; Lewandowski, R.J.; Atassi, B.; Gordon, S.C.; Gates, V.L.; Barakat, O.; Sergie, Z.; Wong, C.Y.; Thurston, K.G. Treatment of unresectable hepatocellular carcinoma with use of 90Y microspheres (TheraSphere): Safety, tumor response, and survival. J. Vasc. Interv. Radiol. 2005, 16, 1627–1639. [Google Scholar] [CrossRef]
- Carr, B.I. Hepatic arterial 90Yttrium glass microspheres (Therasphere) for unresectable hepatocellular carcinoma: Interim safety and survival data on 65 patients. Liver Transpl. 2004, 10, S107–S110. [Google Scholar] [CrossRef]
- Goin, J.E.; Salem, R.; Carr, B.I.; Dancey, J.E.; Soulen, M.C.; Geschwind, J.F.; Goin, K.; Van Buskirk, M.; Thurston, K. Treatment of unresectable hepatocellular carcinoma with intrahepatic yttrium 90 microspheres: Factors associated with liver toxicities. J. Vasc. Interv. Radiol. 2005, 16, 205–213. [Google Scholar] [CrossRef]
- Hilgard, P.; Hamami, M.; Fouly, A.E.; Scherag, A.; Muller, S.; Ertle, J.; Heusner, T.; Cicinnati, V.R.; Paul, A.; Bockisch, A.; et al. Radioembolization with yttrium-90 glass microspheres in hepatocellular carcinoma: European experience on safety and long-term survival. Hepatology 2010, 52, 1741–1749. [Google Scholar] [CrossRef]
- Szyszko, T.; Al-Nahhas, A.; Tait, P.; Rubello, D.; Canelo, R.; Habib, N.; Jiao, L.; Wasan, H.; Bansi, D.; Thillainayagam, A.; et al. Management and prevention of adverse effects related to treatment of liver tumours with 90Y microspheres. Nucl. Med. Commun. 2007, 28, 21–24. [Google Scholar] [CrossRef] [PubMed]
- Kulik, L.M.; Carr, B.I.; Mulcahy, M.F.; Lewandowski, R.J.; Atassi, B.; Ryu, R.K.; Sato, K.T.; Benson, A., 3rd; Nemcek, A.A., Jr.; Gates, V.L.; et al. Safety and efficacy of 90Y radiotherapy for hepatocellular carcinoma with and without portal vein thrombosis. Hepatology 2008, 47, 71–81. [Google Scholar] [CrossRef] [PubMed]
- Memon, K.; Kulik, L.; Lewandowski, R.J.; Mulcahy, M.F.; Benson, A.B.; Ganger, D.; Riaz, A.; Gupta, R.; Vouche, M.; Gates, V.L.; et al. Radioembolization for hepatocellular carcinoma with portal vein thrombosis: Impact of liver function on systemic treatment options at disease progression. J. Hepatol. 2013, 58, 73–80. [Google Scholar] [CrossRef] [PubMed]
- Salem, R.; Lewandowski, R.; Roberts, C.; Goin, J.; Thurston, K.; Abouljoud, M.; Courtney, A. Use of Yttrium-90 glass microspheres (TheraSphere) for the treatment of unresectable hepatocellular carcinoma in patients with portal vein thrombosis. J. Vasc. Interv. Radiol. 2004, 15, 335–345. [Google Scholar] [CrossRef]
- Maleux, G.; Albrecht, T.; Arnold, D.; Bargellini, I.; Cianni, R.; Helmberger, T.; Kolligs, F.; Munneke, G.; Peynircioglu, B.; Sangro, B.; et al. Predictive Factors for Adverse Event Outcomes After Transarterial Radioembolization with Yttrium-90 Resin Microspheres in Europe: Results from the Prospective Observational CIRT Study. Cardiovasc. Intervent Radiol. 2023, 46, 852–867. [Google Scholar] [CrossRef]
- Johnson, G.E.; Monsky, W.L.; Valji, K.; Hippe, D.S.; Padia, S.A. Yttrium-90 Radioembolization as a Salvage Treatment following Chemoembolization for Hepatocellular Carcinoma. J. Vasc. Interv. Radiol. 2016, 27, 1123–1129. [Google Scholar] [CrossRef]
- Iavarone, M.; Cabibbo, G.; Piscaglia, F.; Zavaglia, C.; Grieco, A.; Villa, E.; Camma, C.; Colombo, M.; on behalf of the SOFIA (SOraFenib Italian Assessment) Study Group. Field-practice study of sorafenib therapy for hepatocellular carcinoma: A prospective multicenter study in Italy. Hepatology 2011, 54, 2055–2063. [Google Scholar] [CrossRef]
- Bruix, J.; Sherman, M.; American Association for the Study of Liver, D. Management of hepatocellular carcinoma: An update. Hepatology 2011, 53, 1020–1022. [Google Scholar] [CrossRef]
- Reeves, H.L.; Reicher, J.; Priona, G.; Manas, D.M.; Littler, P. Selective internal radiation therapy (SIRT) for hepatocellular carcinoma (HCC): Informing clinical practice for multidisciplinary teams in England. Frontline Gastroenterol. 2023, 14, 45–51. [Google Scholar] [CrossRef]
- Bruix, J.; Sherman, M.; Llovet, J.M.; Beaugrand, M.; Lencioni, R.; Burroughs, A.K.; Christensen, E.; Pagliaro, L.; Colombo, M.; Rodés, J. Clinical management of hepatocellular carcinoma. Conclusions of the Barcelona-2000 EASL conference. European Association for the Study of the Liver. J. Hepatol. 2001, 35, 421–430. [Google Scholar] [CrossRef] [PubMed]
- Salem, R.; Thurston, K.G. Radioembolization with 90Yttrium microspheres: A state-of-the-art brachytherapy treatment for primary and secondary liver malignancies. Part 1: Technical and methodologic considerations. J. Vasc. Interv. Radiol. 2006, 17, 1251–1278. [Google Scholar] [CrossRef] [PubMed]
- Kennedy, A.; Nag, S.; Salem, R.; Murthy, R.; McEwan, A.J.; Nutting, C.; Benson, A., 3rd; Espat, J.; Bilbao, J.I.; Sharma, R.A.; et al. Recommendations for radioembolization of hepatic malignancies using yttrium-90 microsphere brachytherapy: A consensus panel report from the radioembolization brachytherapy oncology consortium. Int. J. Radiat. Oncol. Biol. Phys. 2007, 68, 13–23. [Google Scholar] [CrossRef] [PubMed]
- Sabet, A.; Ahmadzadehfar, H.; Muckle, M.; Haslerud, T.; Wilhelm, K.; Biersack, H.J.; Ezziddin, S. Significance of oral administration of sodium perchlorate in planning liver-directed radioembolization. J. Nucl. Med. 2011, 52, 1063–1067. [Google Scholar] [CrossRef]
- Lencioni, R.; Llovet, J.M. Modified RECIST (mRECIST) assessment for hepatocellular carcinoma. Semin. Liver Dis. 2010, 30, 52–60. [Google Scholar] [CrossRef]
- Bruix, J.; Sherman, M. Management of hepatocellular carcinoma. Hepatology 2005, 42, 1208–1236. [Google Scholar] [CrossRef]




| Toxicity (Grade) | Post-SIRT Altered LFT, n (%) | SIRT-Induced Toxicity, n (%) | ||||
|---|---|---|---|---|---|---|
| I | II | III–IV | I | II | III–IV | |
| Bilirubin | 9 (19) | 14 (30) | 4 (9) | 4 (9) | 12 (26) | 4 (9) |
| Albumin | 7 (15) | 6 (13) | 0 (0) | 4 (9) | 5 (11) | 0 (0) |
| AST/ALT | 33 (70) | 4 (9) | 0 (0) | 12 (26) | 2 (4) | 0 (0) |
| AST | 30 (70) | 4 (9) | 0 (0) | 10 (21) | 2 (4) | 0 (0) |
| ALT | 24 (51) | 0 (0) | 0 (0) | 12 (26) | 0 (0) | 0 (0) |
| INR | 13 (28) | 3 (6) | 0 (0) | 9 (19) | 3 (6) | 0 (0) |
| Creatinine | 0 (0) | 0 (0) | 3 (6) | 0 (0) | 0 (0) | 2 (4) |
| Ascites | 8 (17) | 3 (6) | 0 (0) | 3 (6) | 3 (6) | 0 (0) |
| Toxicity of any kind | 22 (47) | 14 (30) | 7 (15) | 21 (45) | 10 (21) | 5 (11) |
| Statistical Analysis | ||||
|---|---|---|---|---|
| Univariate p Value | Multivariate p Value (95% CI) | |||
| Age | ≤65 years | 0.402 | ||
| >65 years | ||||
| Tumor load | ≤25% | 0.041 | 0.029 | 0.023–0.398 |
| >25% | ||||
| Cumulative activity | <3.5 GBq | 0.706 | ||
| ≥3.5 GBq | ||||
| Tumor spread | Unilobar | 0.227 | ||
| Bilobar | ||||
| Hepatitis | No | 0.256 | ||
| Yes | ||||
| BCLC staging | B | 0.307 | ||
| C | ||||
| Child classification | A | 0.559 | ||
| B | ||||
| Lymph node involvement | No | 0.224 | ||
| Yes | ||||
| Hepatitis | No | 0.256 | ||
| Yes | ||||
| PVT | No | 0.074 | 0.029 | 0.024–0.420 |
| Yes | ||||
| Altered LFT | Grade 0–I | 0.283 | ||
| Grade II–IV | ||||
| Pre-treatment | RFA | 0.364 | ||
| Resection/LT | ||||
| Embolization/PEI | ||||
| Survival Analysis | Statistical Analysis | |||||
|---|---|---|---|---|---|---|
| Median OS | HR (95% CI) | Univariate p Value | Multivariate HR (95% CI), p Value | |||
| Age | ≤65 years | 14 | 11–17 | 0.685 | ||
| >65 years | 14 | 5–23 | ||||
| Tumor load | ≤25% | 14 | 10–18 | 0.518 | ||
| >25% | 14 | 11–17 | ||||
| Cumulative activity | <3.5 GBq | 14 | 8–20 | 0.323 | ||
| ≥3.5 GBq | 14 | 13–15 | ||||
| Tumor spread | Unilobar | 14 | 6–22 | 0.620 | ||
| Bilobar | 14 | 12–16 | ||||
| Hepatitis | No | 15 | 10–20 | 0.247 | ||
| Yes | 11 | 3–19 | ||||
| BCLC staging | B | 13 | 11–15 | 0.389 | ||
| C | 8 | 3–14 | ||||
| Child classification | A | 12 | 10–15 | 0.736 | ||
| B | 10 | 6–14 | ||||
| Lymph node involvement | No | 11 | 9–13 | 0.686 | ||
| Yes | 11 | 0–39 | ||||
| Hepatitis | No | 12 | 9–15 | 0.288 | ||
| Yes | 10 | 4–16 | ||||
| PVT | No | 13 | 11–15 | 0.352 | ||
| Yes | 7 | 3–11 | ||||
| Altered LFT | Grade 0–I | 12 | 10–14 | 0.002 | 5.5 | 0.009 |
| Grade II–IV | 6 | 5–8 | (1.5–19.9) | |||
| Toxicity after SIRT | Grade 0–II | 14 | 12–17 | <0.001 | ||
| Grade III–IV | 6 | 5–7 | ||||
| All Patients (n = 47) | |
|---|---|
| Age | |
| >65 years | 32 (68) |
| ≤65 years | 15 (32) |
| Hepatic tumor load | |
| >25% | 23 (49) |
| ≤25% | 24 (51) |
| Cumulative applied activity during SIRT session(s) | |
| ≥3.5 GBq | 21 (45) |
| <3.5 GBq | 26 (55) |
| Hepatic tumor spread | |
| Bilobar | 24 (51) |
| Unilobar | 23 (49) |
| BCLC staging | |
| Stage C | 22 (47) |
| Stage B | 25 (53) |
| Child classification | |
| Child B | 21 (45) |
| Child A | 26 (55) |
| Extrahepatic lymph node metastasis | |
| No | 39 (83) |
| Yes | 8 (17) |
| Hepatitis | |
| Yes | 21 (45) |
| No | 26 (55) |
| Etiology of hepatitis | |
| Alcohol-related | 6 (13) |
| NASH | 12 (26) |
| Viral | 18 (38) |
| Cryptogenic | 11 (23) |
| PVT | |
| Yes | 16 (33) |
| No | 31 (66) |
| Pre-treatment | |
| RFA | 9 (19) |
| Embolization/PEI | 2 (4) |
| Resection/LT | 11 (24) |
| LFT in all patients | |
| Total bilirubin (mg/dL, normal range: 0.3–1.0) | 1.0 ± 0.5 |
| Albumin (g/dL, normal range: 3.4–5.4) | 3.9 ± 0.5 |
| AST (U/L, normal range: 5–40) | 77.6 ± 62.4 |
| ALT (U/L, normal range: 7–56) | 59.5 ± 41.1 |
| INR (normal range: 0.8–1.1) | 1.1 ± 0.1 |
| Altered LFT (CTC I) | |
| Total bilirubin (>ULN–1.5 × ULN, mg/dL) | 16 (34) |
| Albumin (<LLN–3 g/dL) | 6 (13) |
| AST/ALT (>ULN–3 × ULN, U/L) | 26 (55) |
| INR (>1.2–1.5 × baseline) | 4 (9) |
| Ascites | 5 (11) |
| Altered LFT (CTC II) | |
| Total bilirubin (>1.5–3.0 × ULN, mg/dL) | 2 (4) |
| Albumin (3–2 g/dL) | 2 (4) |
| AST/ALT (>3–5 × ULN, U/L) | 2 (4) |
| INR (>1.5–2.5) | 0 (0) |
| Ascites | 0 (0) |
Disclaimer/Publisher’s Note: The statements, opinions and data contained in all publications are solely those of the individual author(s) and contributor(s) and not of MDPI and/or the editor(s). MDPI and/or the editor(s) disclaim responsibility for any injury to people or property resulting from any ideas, methods, instructions or products referred to in the content. |
© 2024 by the authors. Licensee MDPI, Basel, Switzerland. This article is an open access article distributed under the terms and conditions of the Creative Commons Attribution (CC BY) license (https://creativecommons.org/licenses/by/4.0/).
Share and Cite
Bellendorf, A.; Mader, N.; Mueller, S.P.; Ezziddin, S.; Bockisch, A.; Grafe, H.; Best, J.; Goebel, J.; Pöppel, T.D.; Sabet, A. Safety and Efficacy of Selective Internal Radionuclide Therapy with 90Y Glass Microspheres in Patients with Progressive Hepatocellular Carcinoma after the Failure of Repeated Transarterial Chemoembolization. Pharmaceuticals 2024, 17, 101. https://doi.org/10.3390/ph17010101
Bellendorf A, Mader N, Mueller SP, Ezziddin S, Bockisch A, Grafe H, Best J, Goebel J, Pöppel TD, Sabet A. Safety and Efficacy of Selective Internal Radionuclide Therapy with 90Y Glass Microspheres in Patients with Progressive Hepatocellular Carcinoma after the Failure of Repeated Transarterial Chemoembolization. Pharmaceuticals. 2024; 17(1):101. https://doi.org/10.3390/ph17010101
Chicago/Turabian StyleBellendorf, Alexander, Nicolai Mader, Stefan P. Mueller, Samer Ezziddin, Andreas Bockisch, Hong Grafe, Jan Best, Juliane Goebel, Thorsten D. Pöppel, and Amir Sabet. 2024. "Safety and Efficacy of Selective Internal Radionuclide Therapy with 90Y Glass Microspheres in Patients with Progressive Hepatocellular Carcinoma after the Failure of Repeated Transarterial Chemoembolization" Pharmaceuticals 17, no. 1: 101. https://doi.org/10.3390/ph17010101
APA StyleBellendorf, A., Mader, N., Mueller, S. P., Ezziddin, S., Bockisch, A., Grafe, H., Best, J., Goebel, J., Pöppel, T. D., & Sabet, A. (2024). Safety and Efficacy of Selective Internal Radionuclide Therapy with 90Y Glass Microspheres in Patients with Progressive Hepatocellular Carcinoma after the Failure of Repeated Transarterial Chemoembolization. Pharmaceuticals, 17(1), 101. https://doi.org/10.3390/ph17010101

