Pharmacological Effects of Grape Leaf Extract Reduce Eimeriosis-Induced Inflammation, Oxidative Status Change, and Goblet Cell Response in the Jejunum of Mice
Abstract
1. Introduction
2. Results
2.1. The Phytochemical Analysis of VVE
2.2. Effect of V. vinifera Extract on Fecal Oocyst Output on Day 5 p.i.
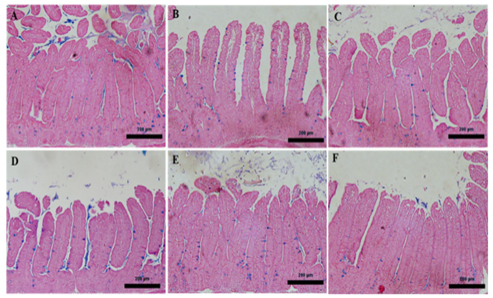
2.3. Histopathological Study of the Jejunum after Treatment
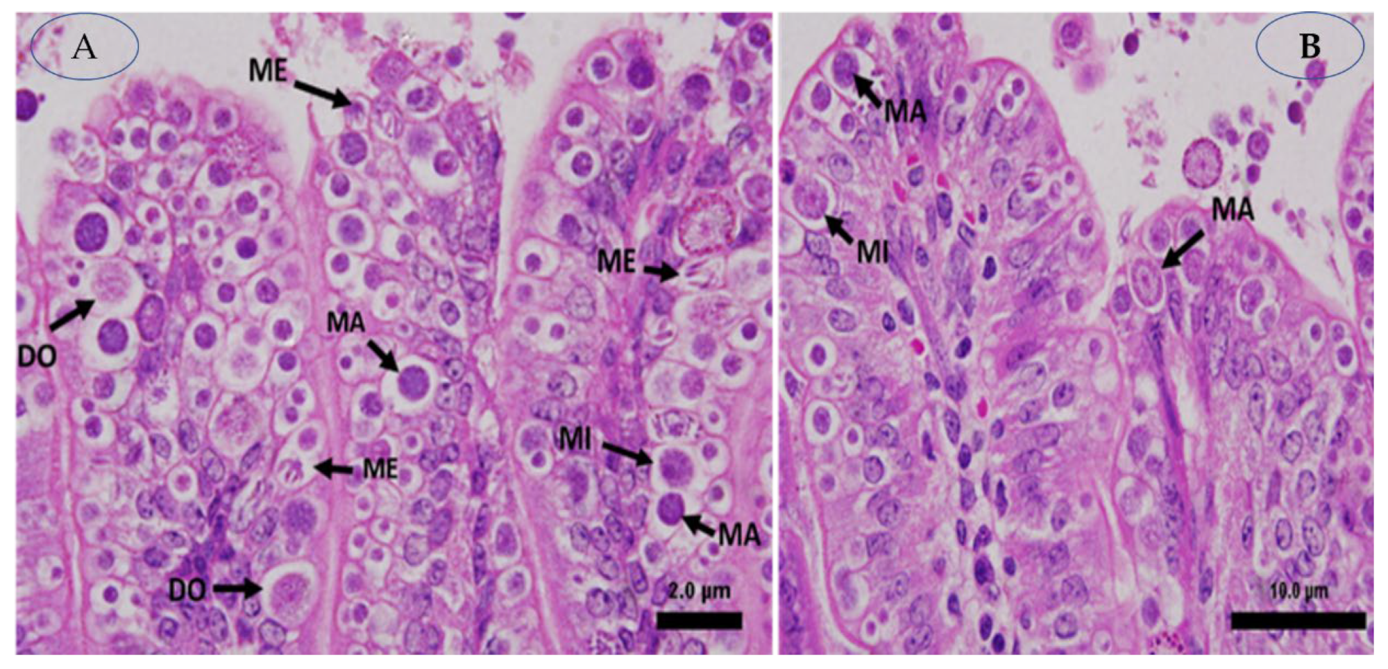
2.4. Stages of Parasites
2.5. The Effect of V. vinifera Leaf Extract on Goblet Cells in the Jejunum
2.6. Effect of VVLE on Oxidative Stress in the Jejunum
3. Discussion
4. Materials and Methods
4.1. Examination of experimental mice
4.2. Ethical Approval
4.3. Preparation of Vitis Vinifera Leaf Extracts
4.4. Phytochemical Analysis
4.5. Mice
4.6. Sporulation of Oocysts
4.7. Treatment Design
4.8. Sample Collection and Number of Oocysts in the Jejunum
4.9. Histopathological Examination
4.10. Counting of Goblet Cells
4.11. Oxidative Stress
4.12. Statistical Evaluation
5. Conclusions
Author Contributions
Funding
Institutional Review Board Statement
Informed Consent Statement
Data Availability Statement
Acknowledgments
Conflicts of Interest
References
- Blake, D.P.; Tomley, F.M. Securing poultry production from the ever-present Eimeria challenge. Trends Parasitol. 2014, 30, 12–19. [Google Scholar] [CrossRef] [PubMed]
- López-Osorio, S.; Chaparro-Gutiérrez, J.J.; Gómez-Osorio, L.M. Overview of poultry Eimeria life cycle and host-parasite interactions. Front. Vet. Sci. 2020, 7, 384. [Google Scholar] [CrossRef] [PubMed]
- Lal, K.; Bromley, E.; Oakes, R.; Prieto, J.H.; Sanderson, S.J.; Kurian, D.; Hunt, L.; Yates III, J.R.; Wastling, J.M.; Sinden, R.E. Proteomic comparison of four Eimeria tenella life-cycle stages: Unsporulated oocyst, sporulated oocyst, sporozoite and second-generation merozoite. Proteomics 2009, 9, 4566–4576. [Google Scholar] [CrossRef]
- Mesa-Pineda, C.; Navarro-Ruíz, J.L.; López-Osorio, S.; Chaparro-Gutiérrez, J.J.; Gómez-Osorio, L.M. Chicken coccidiosis: From the parasite lifecycle to control of the disease. Front. Vet. Sci. 2021, 8, 787653. [Google Scholar] [CrossRef]
- Adhikari, P.; Kiess, A.; Adhikari, R.; Jha, R. An approach to alternative strategies to control avian coccidiosis and necrotic enteritis. J. Appl. Poult. Res. 2020, 29, 515–534. [Google Scholar] [CrossRef]
- Alnassan, A.; Kotsch, M.; Shehata, A.; Krüger, M.; Daugschies, A.; Bangoura, B. Necrotic enteritis in chickens: Development of a straightforward disease model system. Vet. Rec. 2014, 174, 555. [Google Scholar] [CrossRef]
- Abdel-Latif, M.; Abdel-Haleem, H.M.; Abdel-Baki, A.-A.S. Anticoccidial activities of chitosan on Eimeria papillata-infected mice. Parasitol. Res. 2016, 115, 2845–2852. [Google Scholar] [CrossRef] [PubMed]
- Qasem, M.A.; Dkhil, M.A.; Al-Shaebi, E.M.; Murshed, M.; Mares, M.; Al-Quraishy, S. Rumex nervosus leaf extracts enhance the regulation of goblet cells and the inflammatory response during infection of chickens with Eimeria tenella. J. King Saud Univ.-Sci. 2020, 32, 1818–1823. [Google Scholar] [CrossRef]
- Freires, I.A.; Sardi, J.d.C.O.; de Castro, R.D.; Rosalen, P.L. Alternative animal and non-animal models for drug discovery and development: Bonus or burden? Pharm. Res. 2017, 34, 681–686. [Google Scholar] [CrossRef]
- Shirley, M.W.; Smith, A.L.; Blake, D.P. Challenges in the successful control of the avian coccidia. Vaccine 2007, 25, 5540–5547. [Google Scholar] [CrossRef]
- Alturfan, A.A. Water-soluble vitamins. In A Guide to Vitamins and Their Effects on Diseases; Cambridge Scholars Publishing: Newcastle upon Tyne, UK, 2023; pp. 71–74. [Google Scholar]
- Hafez, H.M. Poultry coccidiosis: Prevention and control approaches. Arch. Fur Geflugelkd. 2008, 72, 2–7. [Google Scholar]
- Roessler, H.I.; Knoers, N.V.; van Haelst, M.M.; van Haaften, G. Drug repurposing for rare diseases. Trends Pharmacol. Sci. 2021, 42, 255–267. [Google Scholar] [CrossRef]
- Yuan, H.; Ma, Q.; Ye, L.; Piao, G. The traditional medicine and modern medicine from natural products. Molecules 2016, 21, 559. [Google Scholar] [CrossRef] [PubMed]
- Mohammadi, S.; Jafari, B.; Asgharian, P.; Martorell, M.; Sharifi-Rad, J. Medicinal plants used in the treatment of Malaria: A key emphasis to Artemisia, Cinchona, Cryptolepis, and Tabebuia genera. Phytother. Res. 2020, 34, 1556–1569. [Google Scholar] [CrossRef] [PubMed]
- Leifert, W.R.; Abeywardena, M.Y. Cardioprotective actions of grape polyphenols. Nutr. Res. 2008, 28, 729–737. [Google Scholar] [CrossRef]
- Sabra, A.; Netticadan, T.; Wijekoon, C. Grape bioactive molecules, and the potential health benefits in reducing the risk of heart diseases. Food Chem. X 2021, 12, 100149. [Google Scholar] [CrossRef]
- Garavaglia, J.; Markoski, M.M.; Oliveira, A.; Marcadenti, A. Grape seed oil compounds: Biological and chemical actions for health. Nutr. Metab. Insights 2016, 9, 59–64. [Google Scholar] [CrossRef]
- Balasubramani, S.P.; Rahman, M.A.; Basha, S.M. Synergistic action of stilbenes in Muscadine grape berry extract shows better cytotoxic potential against cancer cells than resveratrol alone. Biomedicines 2019, 7, 96. [Google Scholar] [CrossRef]
- Mai, K.; Sharman, P.A.; Walker, R.A.; Katrib, M.; Souza, D.D.; McConville, M.J.; Wallach, M.G.; Belli, S.I.; Ferguson, D.J.; Smith, N.C. Oocyst wall formation and composition in coccidian parasites. Mem. Do Inst. Oswaldo Cruz 2009, 104, 281–289. [Google Scholar] [CrossRef]
- Friedman, M. Antibacterial, antiviral, and antifungal properties of wines and winery byproducts in relation to their flavonoid content. J. Agric. Food Chem. 2014, 62, 6025–6042. [Google Scholar] [CrossRef] [PubMed]
- Nassiri-Asl, M.; Hosseinzadeh, H. Review of the pharmacological effects of Vitis vinifera (Grape) and its bioactive compounds. Phytother. Res. 2009, 23, 1197–1204. [Google Scholar]
- Abdel-Tawab, H.; Abdel-Baki, A.; El-Mallah, A.; Al-Quraishy, S.; Abdel-Haleem, H. In vivo and in vitro anticoccidial efficacy of Astragalus membranaceus against Eimeria papillata infection. J. King Saud Univ.-Sci. 2020, 32, 2269–2275. [Google Scholar] [CrossRef]
- Murshed, M.; Al-Quraishy, S.; Alghamdi, J.; Aljawdah, H.; Mares, M.M. The Anticoccidial Effect of Alcoholic Vitis vinifera Leaf Extracts on Eimeria papillate Oocysts Isolated in Mice In Vitro and In Vivo. Vet. Sci. 2023, 10, 97. [Google Scholar] [CrossRef]
- Walker, J.B. Evaluation of the ability of seven herbal resources to answer questions about herbal products asked in drug information centers. Pharmacother. J. Hum. Pharmacol. Drug Ther. 2002, 22, 1611–1615. [Google Scholar] [CrossRef] [PubMed]
- Ercisli, S.; Orhan, E. Chemical composition of white (Morus alba), red (Morus rubra) and black (Morus nigra) mulberry fruits. Food Chem. 2007, 103, 1380–1384. [Google Scholar] [CrossRef]
- Leifer, A.; Barberio, D.M. Direct ingestion method for enhancing production and bioavailability of resveratrol and other phytoalexins in Vitis vinifera. Med. Hypotheses 2016, 88, 1–5. [Google Scholar] [CrossRef]
- Simonetti, G.; Brasili, E.; Pasqua, G. Antifungal activity of phenolic and polyphenolic compounds from different matrices of Vitis vinifera L. against human pathogens. Molecules 2020, 25, 3748. [Google Scholar] [CrossRef]
- Oke, E.; Adeyi, O.; Okolo, B.; Adeyi, J.; Ayanyemi, J.; Osoh, K.; Adegoke, T. Phenolic compound extraction from Nigerian Azadirachta indica leaves: Response surface and neuro-fuzzy modelling performance evaluation with Cuckoo search multi-objective optimization. Results Eng. 2020, 8, 100160. [Google Scholar]
- Huang, Q.; Liu, X.; Zhao, G.; Hu, T.; Wang, Y. Potential and challenges of tannins as an alternative to in-feed antibiotics for farm animal production. Anim. Nutr. 2018, 4, 137–150. [Google Scholar] [CrossRef]
- Qaid, M.M.; Al-Mufarrej, S.I.; Azzam, M.M.; Al-Garadi, M.A. Anticoccidial effectivity of a traditional medicinal plant, Cinnamomum verum, in broiler chickens infected with Eimeria tenella. Poult. Sci. 2021, 100, 100902. [Google Scholar] [CrossRef] [PubMed]
- Badgujar, S.B.; Patel, V.V.; Bandivdekar, A.H.; Mahajan, R.T. Traditional uses, phytochemistry and pharmacology of Ficus carica: A review. Pharm. Biol. 2014, 52, 1487–1503. [Google Scholar] [PubMed]
- Murshed, M.; Al-Quraishy, S.; Qasem, M.A. In vitro: Anti-coccidia activity of Calotropis procera leaf extract on Eimeria papillata oocysts sporulation and sporozoite. Open Chem. 2022, 20, 1057–1064. [Google Scholar] [CrossRef]
- Thagfan, F.A.; Al-Megrin, W.A.; Al-Quraishy, S.; Dkhil, M.A.M. Mulberry extract as an ecofriendly anticoccidial agent: In vitro and in vivo application. Rev. Bras. De Parasitol. Veterinária 2020, 29, e009820. [Google Scholar] [CrossRef] [PubMed]
- Qiu, C.; Cheng, Y. Effect of Astragalus membranaceus polysaccharide on the serum cytokine levels and spermatogenesis of mice. Int. J. Biol. Macromol. 2019, 140, 771–774. [Google Scholar] [CrossRef] [PubMed]
- Zaman, M.A.; Iqbal, Z.; Abbas, R.Z.; Khan, M.N. Anticoccidial activity of herbal complex in broiler chickens challenged with Eimeria tenella. Parasitology 2012, 139, 237–243. [Google Scholar] [CrossRef]
- Yang, W.-C.; Yang, C.-Y.; Liang, Y.-C.; Yang, C.-W.; Li, W.-Q.; Chung, C.-Y.; Yang, M.-T.; Kuo, T.-F.; Lin, C.-F.; Liang, C.-L. Anti-coccidial properties and mechanisms of an edible herb, Bidens pilosa, and its active compounds for coccidiosis. Sci. Rep. 2019, 9, 2896. [Google Scholar] [CrossRef]
- Fatemi, A.; Razavi, S.M.; Asasi, K.; Torabi Goudarzi, M. Effects of Artemisia annua extracts on sporulation of Eimeria oocysts. Parasitol. Res. 2015, 114, 1207–1211. [Google Scholar] [CrossRef]
- Khan, W. Physiological changes in the gastrointestinal tract and host protective immunity: Learning from the mouse-Trichinella spiralis model. Parasitology 2008, 135, 671–682. [Google Scholar] [CrossRef]
- Chen, C.-L.; Yu, X.; James, I.O.; Zhang, H.-y.; Yang, J.; Radulescu, A.; Zhou, Y.; Besner, G.E. Heparin-binding EGF-like growth factor protects intestinal stem cells from injury in a rat model of necrotizing enterocolitis. Lab. Investig. 2012, 92, 331–344. [Google Scholar] [CrossRef]
- Thagfan, F.A.; Dkhil, M.A.; Al-Quraishy, S. In vivo anticoccidial activity of Salvadora persica root extracts. Pak. J. Zool 2017, 49, 53–57. [Google Scholar] [CrossRef]
- Abdel-Moneim, A.-M.E.; El-Saadony, M.T.; Shehata, A.M.; Saad, A.M.; Aldhumri, S.A.; Ouda, S.M.; Mesalam, N.M. Antioxidant and antimicrobial activities of Spirulina platensis extracts and biogenic selenium nanoparticles against selected pathogenic bacteria and fungi. Saudi J. Biol. Sci. 2022, 29, 1197–1209. [Google Scholar] [CrossRef]
- Georgieva, N.; Koinarski, V.; Gadjeva, V. Antioxidant status during the course of Eimeria tenella infection in broiler chickens. Vet. J. 2006, 172, 488–492. [Google Scholar] [CrossRef] [PubMed]
- Surai, P.F.; Kochish, I.I.; Fisinin, V.I.; Kidd, M.T. Antioxidant defence systems and oxidative stress in poultry biology: An update. Antioxidants 2019, 8, 235. [Google Scholar] [CrossRef] [PubMed]
- Elmahallawy, E.K.; Fehaid, A.; El-Shewehy, D.M.; Ramez, A.M.; Alkhaldi, A.A.; Mady, R.; Nasr, N.E.; Arafat, N.; Hassanen, E.A.; Alsharif, K.F. S-methylcysteine ameliorates the intestinal damage induced by Eimeria tenella infection via targeting oxidative stress and inflammatory modulators. Front. Vet. Sci. 2022, 1482. [Google Scholar] [CrossRef] [PubMed]
- Hassan, R.; Soliman, E.; Hamad, R.; El-Borady, O.; Ali, A.; Helal, M. Selenium and nano-selenium ameliorations in two breeds of broiler chickens exposed to heat stress. South Afr. J. Anim. Sci. 2020, 50, 215–232. [Google Scholar] [CrossRef]
- Forder, R.; Nattrass, G.; Geier, M.; Hughes, R.; Hynd, P. Quantitative analyses of genes associated with mucin synthesis of broiler chickens with induced necrotic enteritis. Poult. Sci. 2012, 91, 1335–1341. [Google Scholar] [CrossRef]
- Ryley, J.; Meade, R.; Hazelhurst, J.; Robinson, T.E. Methods in coccidiosis research: Separation of oocysts from faeces. Parasitology 1976, 73, 311–326. [Google Scholar] [CrossRef]
- Kanthal, L.K.; Dey, A.; Satyavathi, K.; Bhojaraju, P. GC-MS analysis of bio-active compounds in methanolic extract of Lactuca runcinata DC. Pharmacogn. Res. 2014, 6, 58. [Google Scholar] [CrossRef]
- Schito, M.L.; Barta, J.R.; Chobotar, B. Comparison of four murine Eimeria species in immunocompetent and immunodeficient mice. J. Parasitol. 1996, 82, 255–262. [Google Scholar] [CrossRef]
- Allen, A.; Hutton, D.; Leonard, A.; Pearson, J.; Sellers, L. The role of mucus in the protection of the gastroduodenal mucosa. Scand. J. Gastroenterol. 1986, 21, 71–78. [Google Scholar] [CrossRef] [PubMed]
- Jollow, D.; Mitchell, J.; Zampaglione, N.; Gillette, J. Bromobenzene-induced liver necrosis. Protective role of glutathione and evidence for 3, 4-bromobenzene oxide as the hepatotoxic metabolite. Pharmacology 1974, 11, 151–169. [Google Scholar] [CrossRef] [PubMed]
- Buege, J.A.; Aust, S.D. Microsomal lipid peroxidation. In Methods in Enzymology; Elsevier: Amsterdam, The Netherlands, 1978; Volume 52, pp. 302–310. [Google Scholar]
- Buege, J.; Aust, S. Microsomal lipid peroxidation methods. Enzymol 1978, 52, 302–310. [Google Scholar]










| Retention Time (min) | Phytochemicals | Chemical Group | Molecular Weight | Formula | Peak Area% |
|---|---|---|---|---|---|
| 7.46 | 4H-Pyran-4-one, 2,3-dihydro-3,5-dihydroxy-6-methyl- | Flavonoid | 144 | C6H8O4 | 1.16 |
| 8.84 | 5-Hydroxymethylfurfural | Furanic aldehyde | 126 | C6H6O3 | 7.66 |
| 12.50 | β-D-Glucopyranose, 1,6-anhydro- | Pyranose | 162 | C6H10O5 | 2.35 |
| 17.89 | n-Hexadecanoic acid | Fatty acid | 256 | C16H32O2 | 9.68 |
| 19.39 | Phytol | Diterpene | 296 | C20H40O | 2.04 |
| 19.64 | Linoleic acid | Polyunsaturated fatty acids (PUFA) | 280 | C18H32O2 | 31.93 |
| 19.69 | Oleic acid | Monounsaturated fatty acids (MUFA) | 282 | C18H34O2 | 37.97 |
| 19.86 | Octadecanoic acid | Saturated fatty acids | 284 | C18H36O2 | 3.73 |
| 21.96 | Hexanedioic acid, mono(2-ethylhexyl) ester | Adipic acid ester | 258 | C14H26O4 | 0.65 |
| 22.61 | Glycidyl oleate | Glycidyl ester | 338 | C21H38O3 | 1.68 |
| 24.34 | 9,12-Octadecadienoyl chloride, (Z, Z)- | Fatty acyl chlorides | 298 | C18H31ClO | 1.15 |
Disclaimer/Publisher’s Note: The statements, opinions and data contained in all publications are solely those of the individual author(s) and contributor(s) and not of MDPI and/or the editor(s). MDPI and/or the editor(s) disclaim responsibility for any injury to people or property resulting from any ideas, methods, instructions or products referred to in the content. |
© 2023 by the authors. Licensee MDPI, Basel, Switzerland. This article is an open access article distributed under the terms and conditions of the Creative Commons Attribution (CC BY) license (https://creativecommons.org/licenses/by/4.0/).
Share and Cite
Murshed, M.; Al-Tamimi, J.; Aljawdah, H.M.A.; Al-Quraishy, S. Pharmacological Effects of Grape Leaf Extract Reduce Eimeriosis-Induced Inflammation, Oxidative Status Change, and Goblet Cell Response in the Jejunum of Mice. Pharmaceuticals 2023, 16, 928. https://doi.org/10.3390/ph16070928
Murshed M, Al-Tamimi J, Aljawdah HMA, Al-Quraishy S. Pharmacological Effects of Grape Leaf Extract Reduce Eimeriosis-Induced Inflammation, Oxidative Status Change, and Goblet Cell Response in the Jejunum of Mice. Pharmaceuticals. 2023; 16(7):928. https://doi.org/10.3390/ph16070928
Chicago/Turabian StyleMurshed, Mutee, Jameel Al-Tamimi, Hossam M. A. Aljawdah, and Saleh Al-Quraishy. 2023. "Pharmacological Effects of Grape Leaf Extract Reduce Eimeriosis-Induced Inflammation, Oxidative Status Change, and Goblet Cell Response in the Jejunum of Mice" Pharmaceuticals 16, no. 7: 928. https://doi.org/10.3390/ph16070928
APA StyleMurshed, M., Al-Tamimi, J., Aljawdah, H. M. A., & Al-Quraishy, S. (2023). Pharmacological Effects of Grape Leaf Extract Reduce Eimeriosis-Induced Inflammation, Oxidative Status Change, and Goblet Cell Response in the Jejunum of Mice. Pharmaceuticals, 16(7), 928. https://doi.org/10.3390/ph16070928

