Combinatorial Therapeutic Potential of Stem Cells and Benzimidazol Derivatives for the Reduction of Liver Fibrosis
Abstract
1. Introduction
2. Results
2.1. In Vitro Studies
2.1.1. Culturing and Characterization of Rat Hepatocytes
2.1.2. Hepatocytes Injury Analysis
2.1.3. In Vitro Screening of Compounds
2.1.4. In Vitro Enhanced Hepatocytes Survival after Treatment with MSCs + Compounds
2.1.5. Gene Expression Analysis of Co-Cultured hepatocytes model
2.1.6. Immunostaining for Protein Expression of Caspase-3 in In Vitro Co-Culture Model
2.2. In Vivo Studies
2.2.1. Comparative Morphological Study of Liver
2.2.2. Homing of Transplanted MSCs in Fibrotic Liver
2.2.3. MSCs + Compounds Transplantation Effects on Apoptosis
2.2.4. Analysis for Gene Expression after MSCs + Compounds Transplantation
2.2.5. Improved Liver Function after MSCs + Compounds Treatment
2.2.6. Biochemical Functions
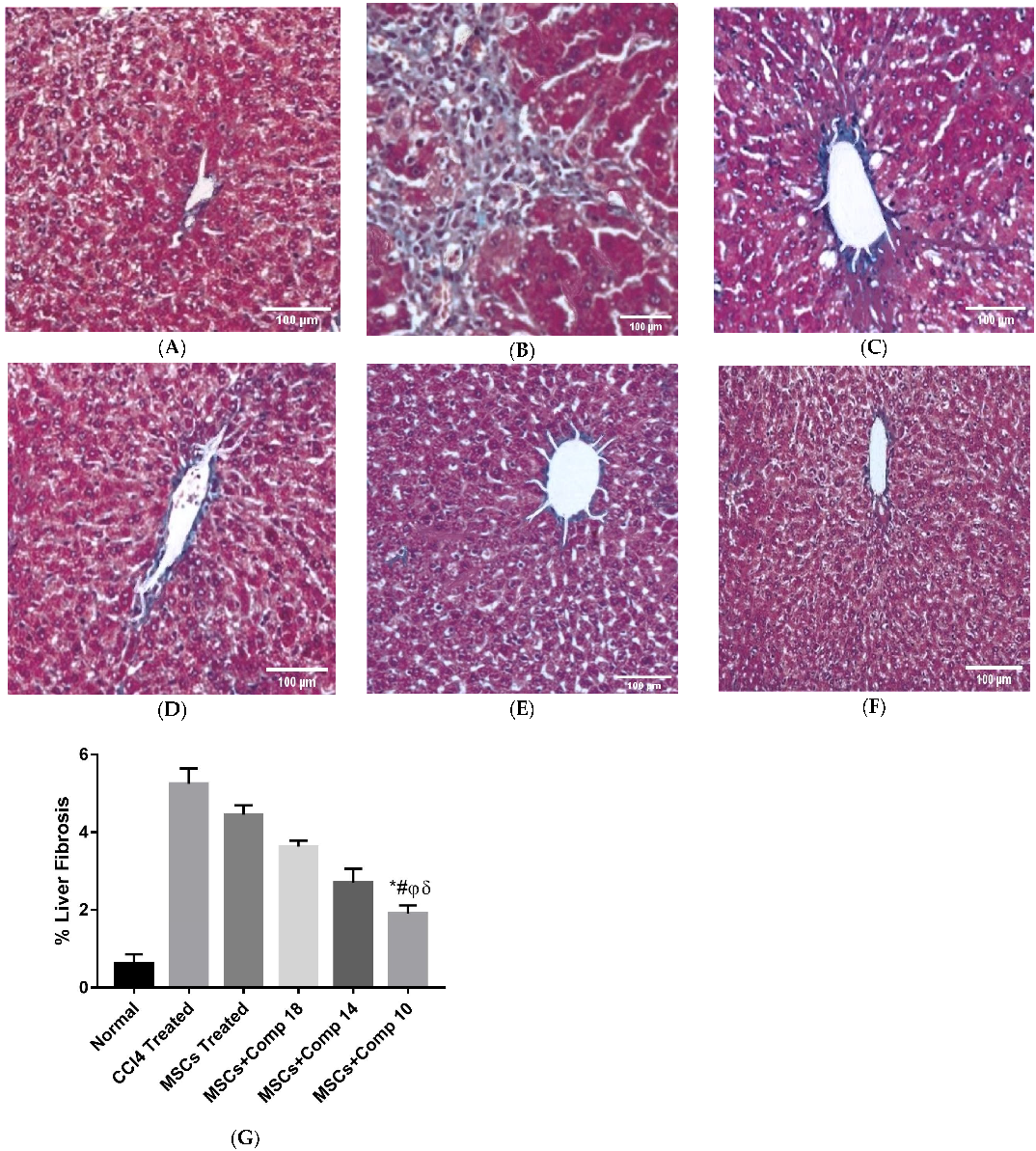
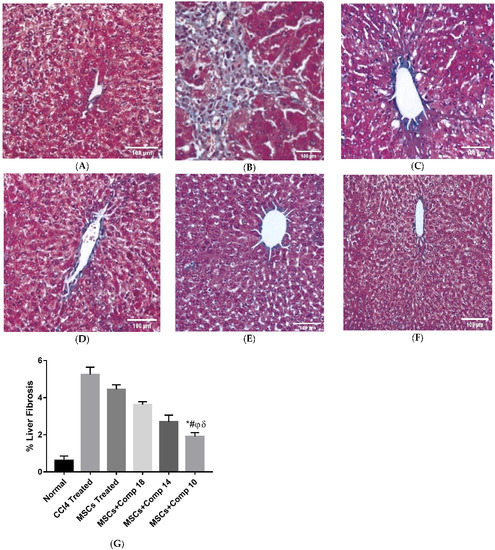
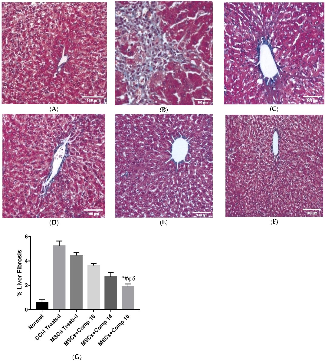
2.2.7. Histopathological Analysis
3. Discussion
4. Materials and Methods
4.1. Isolation and Culturing of Rats Hepatocytes
4.2. In Vitro CCl4-Induced Injury of Hepatocytes
4.3. Selection and Screening of Compounds
4.4. Lactate Dehydrogenase (LDH) and Cell Viability Assay
4.5. GSH/GSSH Assay
4.6. Immunostaining
4.7. MSCs Isolation and Culturing
4.8. In Vitro Injured Hepatocytes Co-Culture Model
4.9. Gene Expression Analysis
4.10. CCl4-Induced LiverFibrotic Model
4.11. In Vivo Compounds Treatment
4.12. MSCs Transplantation
4.13. Periodic Acid Schiff (PAS) Assay
4.14. Masson Trichrome-Staining
4.15. Biochemical Analysis
4.16. TUNELAssay for Hepatic Apoptosis
4.17. Statistical Analysis
5. Conclusions
Supplementary Materials
Author Contributions
Funding
Institutional Review Board Statement
Informed Consent statement
Data Availability Statement
Acknowledgments
Conflicts of Interest
References
- Karjoo, M.; Banikazemi, M.; Saeidi, M.; Kiani, M.A. Review of natural history, benefits and risk factors pediatric liver transplantation. Int. J. Pediatr. 2016, 4, 1529–1544. [Google Scholar]
- Acharya, P.; Chouhan, K.; Weiskirchen, S.; Weiskirchen, R. Cellular mechanisms of liver fibrosis. Front. Pharmacol. 2021, 12, 1072. [Google Scholar] [CrossRef]
- Roehlen, N.; Crouchet, E.; Baumert, T.F. Liver fibrosis: Mechanistic concepts and therapeutic perspectives. Cells 2020, 9, 875. [Google Scholar] [CrossRef]
- Reddy, S.S.; Civan, J.M. From Child-Pugh to model for end-stage liver disease: Deciding who needs a liver transplant. Med. Clin. 2016, 100, 449–464. [Google Scholar]
- Mallat, A.; Lotersztajn, S. Cellular mechanisms of tissue fibrosis. 5. Novel insights into liver fibrosis. Am. J. Physiol. -Cell Physiol. 2013, 305, C789–C799. [Google Scholar] [CrossRef]
- Yang, X.; Meng, Y.; Han, Z.; Ye, F.; Wei, L.; Zong, C. Mesenchymal stem cell therapy for liver disease: Full of chances and challenges. Cell Biosci. 2020, 10, 1–18. [Google Scholar] [CrossRef]
- Kwak, K.-A.; Cho, H.-J.; Yang, J.-Y.; Park, Y.-S. Current perspectives regarding stem cell-based therapy for liver cirrhosis. Can. J. Gastroenterol. Hepatol. 2018, 2018, 4197857. [Google Scholar] [CrossRef]
- de Miguel, M.P.; Prieto, I.; Moratilla, A.; Arias, J.; Aller, M. Mesenchymal stem cells for liver regeneration in liver failure: From experimental models to clinical trials. Stem Cells Int. 2019, 2019, 3945672. [Google Scholar] [CrossRef]
- Truong, N.H.; Nguyen, N.H.; Le, T.V.; Vu, N.B.; Huynh, N.; Nguyen, T.V.; Le, H.M.; Phan, N.K.; Pham, P.V. Comparison of the treatment efficiency of bone marrow-derived mesenchymal stem cell transplantation via tail and portal veins in CCl4-induced mouse liver fibrosis. Stem Cells Int. 2016, 2016, 5720413. [Google Scholar] [CrossRef]
- Baertschiger, R.M.; Serre-Beinier, V.; Morel, P.; Bosco, D.; Peyrou, M.; Clément, S.; Sgroi, A.; Kaelin, A.; Buhler, L.H.; Gonelle-Gispert, C. Fibrogenic potential of human multipotent mesenchymal stromal cells in injured liver. PLoS ONE 2009, 4, e6657. [Google Scholar] [CrossRef]
- Han, Y.; Li, X.; Zhang, Y.; Han, Y.; Chang, F.; Ding, J. Mesenchymal stem cells for regenerative medicine. Cells 2019, 8, 886. [Google Scholar] [CrossRef] [PubMed]
- Huang, S.; Xu, L.; Zhang, Y.; Sun, Y.; Li, G. Systemic and local administration of allogeneic bone marrow-derived mesenchymal stem cells promotes fracture healing in rats. Cell Transplant. 2015, 24, 2643–2655. [Google Scholar] [CrossRef] [PubMed]
- Zhao, D.-C.; Lei, J.-X.; Chen, R.; Yu, W.-H.; Zhang, X.-M.; Li, S.-N.; Xiang, P. Bone marrow-derived mesenchymal stem cells protect against experimental liver fibrosis in rats. World J. Gastroenterol. WJG 2005, 11, 3431. [Google Scholar] [CrossRef] [PubMed]
- Yamamoto, Y.; Banas, A.; Murata, S.; Ishikawa, M.; Lim, C.R.; Teratani, T.; Hatada, I.; Matsubara, K.; Kato, T.; Ochiya, T. A comparative analysis of the transcriptome and signal pathways in hepatic differentiation of human adipose mesenchymal stem cells. FEBS J. 2008, 275, 1260–1273. [Google Scholar] [CrossRef] [PubMed]
- Kuo, T.K.; Hung, S.P.; Chuang, C.H.; Chen, C.T.; Shih, Y.R.V.; Fang, S.C.Y.; Yang, V.W.; Lee, O.K. Stem cell therapy for liver disease: Parameters governing the success of using bone marrow mesenchymal stem cells. Gastroenterology 2008, 134, 2111–2121. [Google Scholar] [CrossRef]
- Zeng, W.; Xiao, J.; Zheng, G.; Xing, F.; Tipoe, G.L.; Wang, X.; He, C.; Chen, Z.-Y.; Liu, Y. Antioxidant treatment enhances human mesenchymal stem cell anti-stress ability and therapeutic efficacy in an acute liver failure model. Sci. Rep. 2015, 5, 11100. [Google Scholar] [CrossRef]
- Drowley, L.; Okada, M.; Beckman, S.; Vella, J.; Keller, B.; Tobita, K.; Huard, J. Cellular antioxidant levels influence muscle stem cell therapy. Mol. Ther. 2010, 18, 1865–1873. [Google Scholar] [CrossRef]
- Chen, Y.T.; Chiang, H.J.; Chen, C.H.; Sung, P.H.; Lee, F.Y.; Tsai, T.H.; Chang, C.L.; Chen, H.H.; Sun, C.K.; Leu, S. Melatonin treatment further improves adipose-derived mesenchymal stem cell therapy for acute interstitial cystitis in rat. J. Pineal Res. 2014, 57, 248–261. [Google Scholar] [CrossRef]
- Shams, S.; Ayaz, M.; Afridi, S.; Khan, H. Therapeutic Potential of Selenium Treated Stem Cells for the Reduction of Liver Fibrosis. J. Stem. Cell Res. 2017, 7, 2. [Google Scholar] [CrossRef]
- Shams, S.; Khan, S.; Ayaz, M.; Khan, H.A.; Hassan, H. Effect of stem cell and vitamin E for the reduction of liver fibrosis. J. Appl. Environ. Biol. Sci. 2018, 8, 111. [Google Scholar]
- Rafiq, H.; Ayaz, M.; Khan, H.; Iqbal, M.; Quraish, S.; Afridi, S.; Khan, A.; Khan, B.; Sher, A.; Siraj, F. Therapeutic potential of stem cell and melatonin on the reduction of CCl 4-induced liver fibrosis in experimental mice model. Braz. J. Biol. 2022, 84, e253061. [Google Scholar] [CrossRef] [PubMed]
- Rajasekaran, S.; Rao, G.; Chatterjee, A. Synthesis, anti-inflammatory and anti-oxidant activity of some substituted benzimidazole derivatives. Int. J. Drug Dev. Res. 2012, 4, 303–309. [Google Scholar]
- Awouters, F. Pharmacology of the specific histamine H1-antagonist astemizole. Arzneimittelforschung 1983, 33, 381–388. [Google Scholar] [PubMed]
- Beshay, E.; El-Refai, S.; Sadek, G.; Elbadry, A.; Shalan, F.; Afifi, A. Mesenchymal stem cells combined with albendazole as a novel therapeutic approach for experimental neurotoxocariasis. Parasitology 2020, 147, 799–809. [Google Scholar] [CrossRef]
- Abo-Aziza, F.A.; Zaki, A.K.A.; El-Maaty, A.M.A. Bone marrow-derived mesenchymal stem cell (BM-MSC): A tool of cell therapy in hydatid experimentally infected rats. Cell Regen. 2019, 8, 58–71. [Google Scholar] [CrossRef]
- Ferrigno, A.; Gregotti, C.; Richelmi, P.; Vairetti, M. Dexamethasone protects cultured rat hepatocytes against cadmium toxicity: Involvement of cellular thiols. Vitr. Cell. Dev. Biol. -Anim. 2010, 46, 445–449. [Google Scholar] [CrossRef]
- Shams, S.; Mohsin, S.; Nasir, G.A.; Khan, M.; Khan, S.N. Mesenchymal stem cells pretreated with HGF and FGF4 can reduce liver fibrosis in mice. Stem Cells Int. 2015, 2015, 747245. [Google Scholar] [CrossRef]
- Khan, M.; Khan, S.; Salar, U.; Khan, K.M.; Rehman, G.; Gul, N.; Khan, I. Biology-oriented Drug Synthesis (BIODS), Structural Characterization and Bioactivities of Novel Albendazole Derivatives. Lett. Drug Des. Discov. 2019, 16, 1329–1338. [Google Scholar] [CrossRef]
- Zhang, L.; Chan, C. Isolation and enrichment of rat mesenchymal stem cells (MSCs) and separation of single-colony derived MSCs. JoVE (J. Vis. Exp.) 2010, 37, e1852. [Google Scholar]
- Nasir, G.A.; Mohsin, S.; Khan, M.; Shams, S.; Ali, G.; Khan, S.N.; Riazuddin, S. Mesenchymal stem cells and Interleukin-6 attenuate liver fibrosis in mice. J. Transl. Med. 2013, 11, 1–9. [Google Scholar] [CrossRef]
- Asrani, S.K.; Devarbhavi, H.; Eaton, J.; Kamath, P.S. Burden of liver diseases in the world. J. Hepatol. 2019, 70, 151–171. [Google Scholar] [CrossRef] [PubMed]
- Muzumbukilwa, W.T. Antidiabetic and Hepatoprotective Effects of Moringa Oleifera Leaf Extras in Streptozotocin-Induced Diabetes in Rats. Doctoral Dissertation, 2018. Ph.D. Thesis, University of KwaZulu-Natal, Durban, South Africa.
- Honda, Y.; Kessoku, T.; Sumida, Y.; Kobayashi, T.; Kato, T.; Ogawa, Y.; Tomeno, W.; Imajo, K.; Fujita, K.; Yoneda, M. Efficacy of glutathione for the treatment of nonalcoholic fatty liver disease: An open-label, single-arm, multicenter, pilot study. BMC Gastroenterol. 2017, 17, 1–8. [Google Scholar] [CrossRef] [PubMed]
- Schönherr, H.; Cernak, T. Profound Methyl Effects in Drug Discovery and a Call for New C—H Methylation Reactions. Angew. Chem. Int. Ed. 2013, 52, 12256–12267. [Google Scholar] [CrossRef] [PubMed]
- El-Haj, B.M.; Ahmed, S.; Garawi, M.A.; Ali, H.S. Linking aromatic hydroxy metabolic functionalization of drug molecules to structure and pharmacologic activity. Molecules 2018, 23, 2119. [Google Scholar] [CrossRef] [PubMed]
- Thapaliya, S.; Wree, A.; Povero, D.; Inzaugarat, M.E.; Berk, M.; Dixon, L.; Papouchado, B.G.; Feldstein, A.E. Caspase 3 inactivation protects against hepatic cell death and ameliorates fibrogenesis in a diet-induced NASH model. Dig. Dis. Sci. 2014, 59, 1197–1206. [Google Scholar] [CrossRef] [PubMed]
- Mohsin, S.; Shams, S.; Nasir, G.A.; Khan, M.; Awan, S.J.; Khan, S.N.; Riazuddin, S. Enhanced hepatic differentiation of mesenchymal stem cells after pretreatment with injured liver tissue. Differentiation 2011, 81, 42–48. [Google Scholar] [CrossRef] [PubMed]










| S. No. | Structure of Compound | SD | |
|---|---|---|---|
| % LDH Release | % Viability | ||
| 1 | ![]() | .1 | |
| 2 | ![]() | 0.13 | |
| 3 | ![]() | .54 | |
| 4 | ![]() | 0.32 | |
| 5 | ![]() | 0.86 | 0.75 |
| 6 | ![]() | 0.72 | 0.26 |
| 7 | ![]() | 0.32 | 0.51 |
| 8 | ![]() | 0.28 | 0.31 |
| 9 | ![]() | 0.29 | 0.18 |
| 10 | ![]() | 0.23 | 0.37 |
| 11 | ![]() | 0.61 | 0.37 |
| 12 | ![]() | 36 | 0.17 |
| 13 | ![]() | 0.81 | 0.09 |
| 14 | ![]() | 8.6910.83 | 0.65 |
| 15 | ‘![]() | 0.32 | 0.41 |
| 16 | ![]() | 0.21 | 0.36 |
| 17 | ![]() | 0.26 | 0.19 |
| 18 | ![]() | 0.51 | |
| Genes | Primer Sequence | Products Sizes |
|---|---|---|
| albumin (F) | GCTGTAGTGGATCCCTGGTG | 196 |
| albumin (R) | GCTGTAGCCTTGGGCTTG | |
| CK-18 (F) | TGAGACAGAACTAGCCATGC | 208 |
| CK-18 (R) | CACTTCCACAGTCAATCCAG | |
| CK-8 (F) | CTCACTAGCCCTGGCTTCAG | 232 |
| CK-8 (R) | ACAGCTGTCTCCCCGTGA | |
| BAX (F) | TGGAGATGAACTGGACAGCA | 152 |
| BAX (R) | CAAAGTAGAAGAGGGCAACCAC | |
| TNF-α (F) | ACGGCATGGATCTCAAAGAC | 162 |
| TNF-α (R) | GGAGGTTGACTTTCTCCTGGTA | |
| caspase-3 (F) | TGTCATCTCGCTCTGGTACG | 220 |
| caspase-3 (R) | AAATGACCCCTTCATCACCA | |
| NF-κβ (F) | GCACCTGTTCCAAAGAGCAC | 200 |
| NF-κβ (R) | GTGGAGTGAGACATGGACACAC | |
| Bcl-xL (F) | TTCGGGATGGAGTAAACTGG | 150 |
| Bcl-xL (R) | AAGGCTCTAGGTGGTCATTCAG | |
| BCl2(F) | GATGACTTCTCTCGTCGCTAC | 182 |
| BCl2(R) | ACGCTCTCCACACACATGAC | |
| β-actin (F) | ACTGCTCTGGCTCCTAGCAC | 115 |
| β-actin (R) | ACATCTGCTGGAAGGTGGAC |
Disclaimer/Publisher’s Note: The statements, opinions and data contained in all publications are solely those of the individual author(s) and contributor(s) and not of MDPI and/or the editor(s). MDPI and/or the editor(s) disclaim responsibility for any injury to people or property resulting from any ideas, methods, instructions or products referred to in the content. |
© 2023 by the authors. Licensee MDPI, Basel, Switzerland. This article is an open access article distributed under the terms and conditions of the Creative Commons Attribution (CC BY) license (https://creativecommons.org/licenses/by/4.0/).
Share and Cite
Iqbal, M.; Shams, S.; Rafiq, H.; Khan, M.; Khan, S.; Sadique Khattak, U.; Afridi, S.G.; Bibi, F.; Abdulkareem, A.A.; Naseer, M.I. Combinatorial Therapeutic Potential of Stem Cells and Benzimidazol Derivatives for the Reduction of Liver Fibrosis. Pharmaceuticals 2023, 16, 306. https://doi.org/10.3390/ph16020306
Iqbal M, Shams S, Rafiq H, Khan M, Khan S, Sadique Khattak U, Afridi SG, Bibi F, Abdulkareem AA, Naseer MI. Combinatorial Therapeutic Potential of Stem Cells and Benzimidazol Derivatives for the Reduction of Liver Fibrosis. Pharmaceuticals. 2023; 16(2):306. https://doi.org/10.3390/ph16020306
Chicago/Turabian StyleIqbal, Maryam, Sulaiman Shams, Huma Rafiq, Momin Khan, Shahid Khan, Umer Sadique Khattak, Sahib Gul Afridi, Fehmida Bibi, Angham Abdulrhman Abdulkareem, and Muhammad Imran Naseer. 2023. "Combinatorial Therapeutic Potential of Stem Cells and Benzimidazol Derivatives for the Reduction of Liver Fibrosis" Pharmaceuticals 16, no. 2: 306. https://doi.org/10.3390/ph16020306
APA StyleIqbal, M., Shams, S., Rafiq, H., Khan, M., Khan, S., Sadique Khattak, U., Afridi, S. G., Bibi, F., Abdulkareem, A. A., & Naseer, M. I. (2023). Combinatorial Therapeutic Potential of Stem Cells and Benzimidazol Derivatives for the Reduction of Liver Fibrosis. Pharmaceuticals, 16(2), 306. https://doi.org/10.3390/ph16020306



















