Bilosomes as Nanoplatform for Oral Delivery and Modulated In Vivo Antimicrobial Activity of Lycopene
Abstract
:1. Introduction
2. Results
2.1. Phytochemical Investigation
2.2. Molecular Docking Studies
2.3. Assay of Lycopene
2.4. Particle Size (PS) and Zeta Potential (ZP) Analysis
2.5. Entrapment Efficiency Determination
2.6. In Vitro Drug Release Study
2.7. Transmission Electron Microscopy (TEM)
2.8. In Vitro Antibacterial Activity
Scanning Electron Microscopy (SEM)
2.9. In Vivo Antimicrobial Activity
2.9.1. Survival Rate and Count of Colony-Forming Unit (CFU/mL)
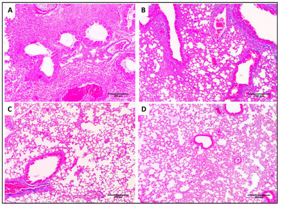
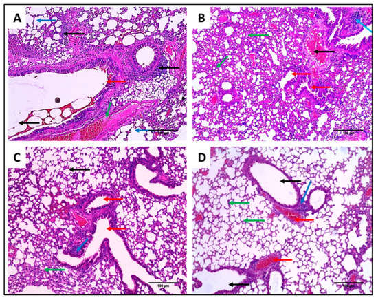
2.9.2. Haematoxylin and Eosin (H&E) and Masson’s Trichrome Staining
3. Discussion
4. Materials and Methods
4.1. General Chemicals and Materials
4.2. Isolation of Lycopene
4.3. Molecular Docking Studies
4.4. Assay of Lycopene
4.5. Preparation of Bilosomes
4.6. Particle Size (PS) and Zeta Potential (ZP) Analysis
4.7. Entrapment Efficiency Determination
4.8. In Vitro Drug Release Study
4.9. Transmission Electron Microscopy
4.10. In Vitro Antimicrobial Activity
4.10.1. Bacteria
4.10.2. Antibiotics Susceptibility Testing
4.10.3. Antibacterial Susceptibility Testing of the Free Lycopene and Its Formulations
4.10.4. Determination of MICs
4.10.5. Scanning Electron Microscopy
4.11. In Vivo Antimicrobial Activity
4.11.1. Animals
4.11.2. Experimental Model
4.11.3. Histological Assessment and Masson’s Stain
4.12. Statistical Analysis
5. Conclusions
Supplementary Materials
Author Contributions
Funding
Institutional Review Board Statement
Informed Consent Statement
Data Availability Statement
Acknowledgments
Conflicts of Interest
References
- Navon-Venezia, S.; Kondratyeva, K.; Carattoli, A. Klebsiella pneumoniae: A major worldwide source and shuttle for antibiotic resistance. FEMS Microbiol. Rev. 2017, 41, 252–275. [Google Scholar] [CrossRef] [PubMed]
- Negm, W.A.; El-Aasr, M.; Kamer, A.A.; Elekhnawy, E. Investigation of the Antibacterial Activity and Efflux Pump Inhibitory Effect of Cycas thouarsii R. Br. Extract against Klebsiella pneumoniae Clinical Isolates. Pharmaceuticals 2021, 14, 756. [Google Scholar] [CrossRef] [PubMed]
- Amorim, A.G.; Souza, J.M.; Santos, R.C.; Gullon, B.; Oliveira, A.; Santos, L.F.; Virgino, A.L.; Mafud, A.C.; Petrilli, H.M.; Mascarenhas, Y.P. HPLC-DAD, ESI–MS/MS, and NMR of Lycopene Isolated from P. guajava L. and Its Biotechnological Applications. Eur. J. Lipid Sci. Technol. 2018, 120, 1700330. [Google Scholar] [CrossRef] [Green Version]
- Manabe, H.; Murakami, Y.; El-Aasr, M.; Ikeda, T.; Fujiwara, Y.; Ono, M.; Nohara, T. Content variations of the tomato saponin esculeoside A in various processed tomatoes. J. Nat. Med. 2011, 65, 176–179. [Google Scholar] [CrossRef]
- El-Aasr, M.; Miyashita, H.; Ikeda, T.; Lee, J.-H.; Yoshimitsu, H.; Nohara, T.; Murakami, K. A new spirostanol glycoside from fruits of Solanum indicum L. Chem. Pharm. Bull. 2009, 57, 747–748. [Google Scholar] [CrossRef] [PubMed] [Green Version]
- Khan, U.M.; Sevindik, M.; Zarrabi, A.; Nami, M.; Ozdemir, B.; Kaplan, D.N.; Selamoglu, Z.; Hasan, M.; Kumar, M.; Alshehri, M.M. Lycopene: Food sources, biological activities, and human health benefits. Oxidative Med. Cell. Longev. 2021, 2021, 2713511. [Google Scholar] [CrossRef] [PubMed]
- Guo, Y.; Mao, X.; Zhang, J.; Sun, P.; Wang, H.; Zhang, Y.; Ma, Y.; Xu, S.; Lv, R.; Liu, X. Oral delivery of lycopene-loaded microemulsion for brain-targeting: Preparation, characterization, pharmacokinetic evaluation and tissue distribution. Drug Deliv. 2019, 26, 1191–1205. [Google Scholar] [CrossRef] [Green Version]
- He, H.; Lu, Y.; Qi, J.; Zhu, Q.; Chen, Z.; Wu, W. Adapting liposomes for oral drug delivery. Acta Pharm. Sin. B 2019, 9, 36–48. [Google Scholar] [CrossRef]
- De Leo, V.; Di Gioia, S.; Milano, F.; Fini, P.; Comparelli, R.; Mancini, E.; Agostiano, A.; Conese, M.; Catucci, L. Eudragit S100 entrapped liposome for curcumin delivery: Anti-oxidative effect in Caco-2 cells. Coatings 2020, 10, 114. [Google Scholar] [CrossRef] [Green Version]
- Conacher, M.; Alexander, J.; Brewer, J.M. Oral immunisation with peptide and protein antigens by formulation in lipid vesicles incorporating bile salts (bilosomes). Vaccine 2001, 19, 2965–2974. [Google Scholar] [CrossRef]
- Aburahma, M.H. Bile salts-containing vesicles: Promising pharmaceutical carriers for oral delivery of poorly water-soluble drugs and peptide/protein-based therapeutics or vaccines. Drug Deliv. 2016, 23, 1847–1867. [Google Scholar] [CrossRef] [PubMed]
- Saifi, Z.; Rizwanullah, M.; Mir, S.R.; Amin, S. Bilosomes nanocarriers for improved oral bioavailability of acyclovir: A complete characterization through in vitro, ex-vivo and in vivo assessment. J. Drug Deliv. Sci. Technol. 2020, 57, 101634. [Google Scholar] [CrossRef]
- Albash, R.; El-Nabarawi, M.A.; Refai, H.; Abdelbary, A.A. Tailoring of PEGylated bilosomes for promoting the transdermal delivery of olmesartan medoxomil: In-vitro characterization, ex-vivo permeation and in-vivo assessment. Int. J. Nanomed. 2019, 14, 6555. [Google Scholar] [CrossRef] [Green Version]
- Pavlović, N.; Goločorbin-Kon, S.; Ðanić, M.; Stanimirov, B.; Al-Salami, H.; Stankov, K.; Mikov, M. Bile acids and their derivatives as potential modifiers of drug release and pharmacokinetic profiles. Front. Pharmacol. 2018, 9, 1283. [Google Scholar] [CrossRef] [PubMed]
- Kumar, G.P.; Rajeshwarrao, P. Nonionic surfactant vesicular systems for effective drug delivery—An overview. Acta Pharm. Sin. B 2011, 1, 208–219. [Google Scholar] [CrossRef] [Green Version]
- D’Elia, R.V.; Woods, S.; Butcher, W.; McGahon, J.; Khadke, S.; Perrie, Y.; Williamson, E.D.; Roberts, C.W. Exploitation of the bilosome platform technology to formulate antibiotics and enhance efficacy of melioidosis treatments. J. Control. Release 2019, 298, 202–212. [Google Scholar] [CrossRef]
- Waglewska, E.; Pucek-Kaczmarek, A.; Bazylińska, U. Novel surface-modified bilosomes as functional and biocompatible nanocarriers of hybrid compounds. Nanomaterials 2020, 10, 2472. [Google Scholar] [CrossRef]
- Ahmad, J.; Singhal, M.; Amin, S.; Rizwanullah, M.; Akhter, S.; Amjad Kamal, M.; Haider, N.; Midoux, P.; Pichon, C. Bile salt stabilized vesicles (bilosomes): A novel nano-pharmaceutical design for oral delivery of proteins and peptides. Curr. Pharm. Des. 2017, 23, 1575–1588. [Google Scholar] [CrossRef]
- Takehara, M.; Kuwa, T.; Inoue, Y.; Kitamura, C.; Honda, M. Isolation and characterization of (15Z)-lycopene thermally generated from a natural source. Biochem. Biophys. Res. Commun. 2015, 467, 58–62. [Google Scholar] [CrossRef]
- Alvi, S.S.; Ansari, I.A.; Ahmad, M.K.; Iqbal, J.; Khan, M.S. Lycopene amends LPS induced oxidative stress and hypertriglyceridemia via modulating PCSK-9 expression and Apo-CIII mediated lipoprotein lipase activity. Biomed. Pharmacother. 2017, 96, 1082–1093. [Google Scholar] [CrossRef]
- Zigangirova, N.A.; Morgunova, E.Y.; Fedina, E.D.; Shevyagina, N.V.; Borovaya, T.G.; Zhukhovitsky, V.G.; Kyle, N.H.; Petyaev, I.M. Lycopene Inhibits Propagation of Chlamydia Infection. Scientifica 2017, 2017, 1478625. [Google Scholar] [CrossRef] [Green Version]
- Ares, M.A.; Sansabas, A.; Rodríguez-Valverde, D.; Siqueiros-Cendón, T.; Rascón-Cruz, Q.; Rosales-Reyes, R.; Jarillo-Quijada, M.; Alcántar-Curiel, M.D.; Cedillo, M.L.; Torres, J. The interaction of Klebsiella pneumoniae with lipid rafts-associated cholesterol increases macrophage-mediated phagocytosis due to down regulation of the capsule polysaccharide. Front. Cell. Infect. Microbiol. 2019, 9, 255. [Google Scholar] [CrossRef] [PubMed] [Green Version]
- Ferreira, R.L.; da Silva, B.; Rezende, G.S.; Nakamura-Silva, R.; Pitondo-Silva, A.; Campanini, E.B.; Brito, M.C.; da Silva, E.M.; de Melo Freire, C.C.; da Cunha, A.F. High prevalence of multidrug-resistant Klebsiella pneumoniae harboring several virulence and β-lactamase encoding genes in a Brazilian intensive care unit. Front. Microbiol. 2019, 9, 3198. [Google Scholar] [CrossRef] [PubMed] [Green Version]
- Pereira, P.S.; de Araujo, C.F.M.; Seki, L.M.; Zahner, V.; Carvalho-Assef, A.P.D.A.; Asensi, M.D. Update of the molecular epidemiology of KPC-2-producing Klebsiella pneumoniae in Brazil: Spread of clonal complex 11 (ST11, ST437 and ST340). J. Antimicrob. Chemother. 2013, 68, 312–316. [Google Scholar] [CrossRef] [PubMed]
- Paneru, T.P. Surveillance of Klebsiella pneumoniae and antibiotic resistance a retrospective and comparative study through a period in Nepal. Dan. J. Med. Biol. Sci. 2015, 1, 29–36. [Google Scholar] [CrossRef]
- Wasfi, R.; Elkhatib, W.F.; Ashour, H.M. Molecular typing and virulence analysis of multidrug resistant Klebsiella pneumoniae clinical isolates recovered from Egyptian hospitals. Sci. Rep. 2016, 6, 38929. [Google Scholar] [CrossRef]
- Woodbury, D.J.; Richardson, E.S.; Grigg, A.W.; Welling, R.D.; Knudson, B.H. Reducing liposome size with ultrasound: Bimodal size distributions. J. Liposome Res. 2006, 16, 57–80. [Google Scholar] [CrossRef]
- Alomrani, A.H.; El Maghraby, G.M.; Alanazi, F.K.; Al-Mohanna, M.A.; Alaiya, A.A.; Alsarra, I.A. Liposomes for enhanced cytotoxic activity of bleomycin. Drug Dev. Res. 2011, 72, 265–273. [Google Scholar] [CrossRef]
- Ge, X.; Wei, M.; He, S.; Yuan, W.-E. Advances of non-ionic surfactant vesicles (niosomes) and their application in drug delivery. Pharmaceutics 2019, 11, 55. [Google Scholar] [CrossRef] [Green Version]
- Guan, P.; Lu, Y.; Qi, J.; Niu, M.; Lian, R.; Hu, F.; Wu, W. Enhanced oral bioavailability of cyclosporine A by liposomes containing a bile salt. Int. J. Nanomed. 2011, 6, 965. [Google Scholar]
- Wilkhu, J.S.; McNeil, S.E.; Anderson, D.E.; Perrie, Y. Characterization and optimization of bilosomes for oral vaccine delivery. J. Drug Target. 2013, 21, 291–299. [Google Scholar] [CrossRef] [PubMed] [Green Version]
- Ahmed, S.; Kassem, M.A.; Sayed, S. Bilosomes as promising nanovesicular carriers for improved transdermal delivery: Construction, in vitro optimization, ex vivo permeation and in vivo evaluation. Int. J. Nanomed. 2020, 15, 9783. [Google Scholar] [CrossRef]
- Abdelbary, A.A.; Abd-Elsalam, W.H.; Al-Mahallawi, A.M. Fabrication of novel ultradeformable bilosomes for enhanced ocular delivery of terconazole: In vitro characterization, ex vivo permeation and in vivo safety assessment. Int. J. Pharm. 2016, 513, 688–696. [Google Scholar] [CrossRef]
- Zhang, X.; Wu, Y.; Zhang, M.; Mao, J.; Wu, Y.; Zhang, Y.; Yao, J.; Xu, C.; Guo, W.; Yu, B. Sodium cholate-enhanced polymeric micelle system for tumor-targeting delivery of paclitaxel. Int. J. Nanomed. 2017, 12, 8779. [Google Scholar] [CrossRef] [PubMed] [Green Version]
- El Maghraby, G.; Williams, A.; Barry, B. Drug interaction and location in liposomes: Correlation with polar surface areas. Int. J. Pharm. 2005, 292, 179–185. [Google Scholar] [CrossRef] [PubMed]
- Akhoond Zardini, A.; Mohebbi, M.; Farhoosh, R.; Bolurian, S. Production and characterization of nanostructured lipid carriers and solid lipid nanoparticles containing lycopene for food fortification. J. Food Sci. Technol. 2018, 55, 287–298. [Google Scholar] [CrossRef]
- Nazemiyeh, E.; Eskandani, M.; Sheikhloie, H.; Nazemiyeh, H. Formulation and physicochemical characterization of lycopene-loaded solid lipid nanoparticles. Adv. Pharm. Bull. 2016, 6, 235. [Google Scholar] [CrossRef] [Green Version]
- Stojiljkovic, N.; Ilic, S.; Jakovljevic, V.; Stojanovic, N.; Stojnev, S.; Kocic, H.; Stojanovic, M.; Kocic, G. The encapsulation of lycopene in nanoliposomes enhances its protective potential in methotrexate-induced kidney injury model. Oxidative Med. Cell. Longev. 2018, 2018, 2627917. [Google Scholar] [CrossRef]
- Rasul, A.; Khan, M.I.; Rehman, M.U.; Abbas, G.; Aslam, N.; Ahmad, S.; Abbas, K.; Shah, P.A.; Iqbal, M.; Al Subari, A.M.A. In vitro characterization and release studies of combined nonionic surfactant-based vesicles for the prolonged delivery of an immunosuppressant model drug. Int. J. Nanomed. 2020, 15, 7937. [Google Scholar] [CrossRef]
- Allam, A.; Fetih, G. Sublingual fast dissolving niosomal films for enhanced bioavailability and prolonged effect of metoprolol tartrate. Drug Des. Dev. Ther. 2016, 10, 2421. [Google Scholar]
- Gonelimali, F.D.; Lin, J.; Miao, W.; Xuan, J.; Charles, F.; Chen, M.; Hatab, S.R. Antimicrobial properties and mechanism of action of some plant extracts against food pathogens and spoilage microorganisms. Front. Microbiol. 2018, 9, 1639. [Google Scholar] [CrossRef] [PubMed]
- Goldbeck, J.C.; Victoria, F.N.; Motta, A.; Savegnago, L.; Jacob, R.G.; Perin, G.; Lenardao, E.J.; da Silva, W.P. Bioactivity and morphological changes of bacterial cells after exposure to 3-(p-chlorophenyl) thio citronellal. LWT Food Sci. Technol. 2014, 59, 813–819. [Google Scholar] [CrossRef] [Green Version]
- Abdelaziz, A.A.; Elbanna, T.E.; Sonbol, F.I.; Gamaleldin, N.M.; El Maghraby, G.M. Optimization of niosomes for enhanced antibacterial activity and reduced bacterial resistance: In vitro and in vivo evaluation. Expert Opin. Drug Deliv. 2015, 12, 163–180. [Google Scholar] [CrossRef] [PubMed]
- Aditya, N.; Espinosa, Y.G.; Norton, I.T. Encapsulation systems for the delivery of hydrophilic nutraceuticals: Food application. Biotechnol. Adv. 2017, 35, 450–457. [Google Scholar] [CrossRef] [PubMed] [Green Version]
- Ahmad, R.; Srivastava, S.; Ghosh, S.; Khare, S.K. Phytochemical delivery through nanocarriers: A review. Colloids Surf. B Biointerfaces 2021, 197, 111389. [Google Scholar] [CrossRef] [PubMed]
- Sultan, A.A.; El-Gizawy, S.A.; Osman, M.A.; El Maghraby, G.M. Niosomes for oral delivery of nateglinide: In situ–in vivo correlation. J. Liposome Res. 2018, 28, 209–217. [Google Scholar] [CrossRef] [PubMed]
- Yu, J.; Rao, L.; Zhan, L.; Zhou, Y.; Guo, Y.; Wu, X.; Song, Z.; Yu, F. Antibiofilm Activity of Small-Molecule ZY-214-4 Against Staphylococcus aureus. Front. Microbiol. 2021, 91, 618922. [Google Scholar] [CrossRef] [PubMed]
- Waterhouse, A.; Bertoni, M.; Bienert, S.; Studer, G.; Tauriello, G.; Gumienny, R.; Heer, F.T.; de Beer, T.A.P.; Rempfer, C.; Bordoli, L.; et al. SWISS-MODEL: Homology modelling of protein structures and complexes. Nucleic Acids Res. 2018, 46, W296–W303. [Google Scholar] [CrossRef] [PubMed] [Green Version]
- Ashraf, K.U.; Nygaard, R.; Vickery, O.N.; Erramilli, S.K.; Herrera, C.M.; McConville, T.H.; Petrou, V.I.; Giacometti, S.I.; Dufrisne, M.B.; Nosol, K.; et al. Structural basis of lipopolysaccharide maturation by the O-antigen ligase. Nature 2022, 604, 371–376. [Google Scholar] [CrossRef] [PubMed]
- Dovala, D.; Rath, C.M.; Hu, Q.; Sawyer, W.S.; Shia, S.; Elling, R.A.; Knapp, M.S.; Metzger, L.E. Structure-guided enzymology of the lipid A acyltransferase LpxM reveals a dual activity mechanism. Proc. Natl. Acad. Sci. USA 2016, 113, E6064–E6071. [Google Scholar] [CrossRef] [Green Version]
- Trott, O.; Olson, A.J. AutoDock Vina: Improving the speed and accuracy of docking with a new scoring function, efficient optimization, and multithreading. J. Comput. Chem. 2010, 31, 455–461. [Google Scholar] [CrossRef] [PubMed] [Green Version]
- DeRoo, S.S.; Pudalov, N.J.; Fu, L.Y. Planning for a COVID-19 vaccination program. JAMA 2020, 323, 2458–2459. [Google Scholar] [CrossRef] [PubMed]
- Seleem, N.M.; Abd El Latif, H.K.; Shaldam, M.A.; El-Ganiny, A. Drugs with new lease of life as quorum sensing inhibitors: For combating MDR Acinetobacter baumannii infections. Eur. J. Clin. Microbiol. Infect. Dis. 2020, 39, 1687–1702. [Google Scholar] [CrossRef] [PubMed]
- Sultan, A.A.; El-Gizawy, S.A.; Osman, M.A.; El Maghraby, G.M. Peceosomes for oral delivery of glibenclamide: In vitro in situ correlation. J. Drug Deliv. Sci. Technol. 2017, 41, 303–309. [Google Scholar] [CrossRef]
- Abdelbary, A.A.; AbouGhaly, M.H. Design and optimization of topical methotrexate loaded niosomes for enhanced management of psoriasis: Application of Box–Behnken design, in-vitro evaluation and in-vivo skin deposition study. Int. J. Pharm. 2015, 485, 235–243. [Google Scholar] [CrossRef]
- Habib, B.A.; Sayed, S.; Elsayed, G.M. Enhanced transdermal delivery of ondansetron using nanovesicular systems: Fabrication, characterization, optimization and ex-vivo permeation study-Box-Cox transformation practical example. Eur. J. Pharm. Sci. 2018, 115, 352–361. [Google Scholar] [CrossRef]
- Khan, K. The concept of dissolution efficiency. J. Pharm. Pharmacol. 1975, 27, 48–49. [Google Scholar] [CrossRef]
- Higuchi, T. Mechanism of sustained-action medication. Theoretical analysis of rate of release of solid drugs dispersed in solid matrices. J. Pharm. Sci. 1963, 52, 1145–1149. [Google Scholar] [CrossRef]
- Costa, P.; Lobo, J.M.S. Modeling and comparison of dissolution profiles. Eur. J. Pharm. Sci. 2001, 13, 123–133. [Google Scholar] [CrossRef]
- CLSI. Performance Standards for Antimicrobial Susceptibility Testing, 30th ed.; Supplement M100; Clinical and Laboratory Standards Institute: Wayne, NJ, USA, 2020. [Google Scholar]
- Negm, W.A.; El-Kadem, A.H.; Elekhnawy, E.; Attallah, N.G.; Al-Hamoud, G.A.; El-Masry, T.A.; Zayed, A. Wound-Healing Potential of Rhoifolin-Rich Fraction Isolated from Sanguisorba officinalis Roots Supported by Enhancing Re-Epithelization, Angiogenesis, Anti-Inflammatory, and Antimicrobial Effects. Pharmaceuticals 2022, 15, 178. [Google Scholar] [CrossRef]
- Magiorakos, A.-P.; Srinivasan, A.; Carey, R.B.; Carmeli, Y.; Falagas, M.; Giske, C.; Harbarth, S.; Hindler, J.; Kahlmeter, G.; Olsson-Liljequist, B. Multidrug-resistant, extensively drug-resistant and pandrug-resistant bacteria: An international expert proposal for interim standard definitions for acquired resistance. Clin. Microbiol. Infect. 2012, 18, 268–281. [Google Scholar] [CrossRef] [PubMed] [Green Version]
- Attallah, N.G.; Elekhnawy, E.; Negm, W.A.; Hussein, I.A.; Mokhtar, F.A.; Al-Fakhrany, O.M. In Vivo and In Vitro Antimicrobial Activity of Biogenic Silver Nanoparticles against Staphylococcus aureus Clinical Isolates. Pharmaceuticals 2022, 15, 194. [Google Scholar] [CrossRef] [PubMed]
- Elekhnawy, E.; Negm, W.A.; El-Aasr, M.; Kamer, A.A.; Alqarni, M.; Batiha, G.E.-S.; Obaidullah, A.J.; Fawzy, H.M. Histological assessment, anti-quorum sensing, and anti-biofilm activities of Dioon spinulosum extract: In vitro and in vivo approach. Sci. Rep. 2022, 12, 180. [Google Scholar] [CrossRef] [PubMed]
- Van Hoek, M.L.; Kaushal, A.; Bishop, B.M.; Barksdale, S.M. Intraperitoneal treatment with antimicrobial peptide rescues mice from a pulmonary Francisella infection. bioRxiv 2019. [Google Scholar] [CrossRef]
- Alotaibi, B.; Negm, W.A.; Elekhnawy, E.; El-Masry, T.A.; Elharty, M.E.; Saleh, A.; Abdelkader, D.H.; Mokhtar, F.A. Antibacterial activity of nano zinc oxide green-synthesised from Gardenia thailandica triveng. Leaves against Pseudomonas aeruginosa clinical isolates: In vitro and in vivo study. Artif. Cells Nanomed. Biotechnol. 2022, 50, 96–106. [Google Scholar] [CrossRef]
- Alert, O. Guidance for Industry Estimating the Maximum Safe Starting Dose in Initial Clinical Trials for Therapeutics in Adult Healthy Volunteers; U.S. Department of Health and Human Services Food and Drug Administration Center for Drug Evaluation and Research (CDER): Silver Spring, MD, USA, 2005.
- Alotaibi, B.; Negm, W.A.; Elekhnawy, E.; El-Masry, T.A.; Elseady, W.S.; Saleh, A.; Alotaibi, K.N.; El-Sherbeni, S.A. Antibacterial, Immunomodulatory, and Lung Protective Effects of Boswelliadalzielii Oleoresin Ethanol Extract in Pulmonary Diseases: In Vitro and in Vivo Studies. Antibiotics 2021, 10, 1444. [Google Scholar] [CrossRef]














| Receptor | Grid Box (x, y, z) | Affinity (kcal/mol) | ||
|---|---|---|---|---|
| Center | Size | Lycopene | LAM | |
| LAL | 129.3, 150.5, 133.6 | 15, 24, 23 | −5.8 | −5.4 |
| LBMT | −14.8, −11.0, 10.0 | 19.5, 25.9, 22.0 | −5.4 | −5.6 |
| Formulation | Z-Average (nm) | PDI * | ZP * (mV) | EE * (%) | RE * (%) |
|---|---|---|---|---|---|
| F1 | 587 (74.3) | 0.762 (0.02) | −37.3 (4.4) | 94.3 (0.5) | 16.9 (1.5) |
| F2 | 485.8 (35.3) | 0.522 (0.05) | −38.3 (4.0) | 93.2 (0.6) | 17.4 (1.4) |
| F3 | 653.1 (167.4) | 0.747 (0.22) | −42.0 (5.3) | 89.1 (0.12) | 21.3 (1.9) |
| F4 | 672.7 (135.7) | 0.756 (0.09) | −43.9 (5.3) | 87.6 (1.2) | 27.6 (2.3) |
| Control | - | - | - | - | 19.7 (1.3) |
| Formulation | Zero-Order | 1st Order | Higuchi | Korsmeyer–Peppas |
|---|---|---|---|---|
| F1 | 0.891 (0.046) | 0.817 (0.085) | 0.984 (0.008) | 0.965 (0.012) |
| F2 | 0.902 (0.024) | 0.848 (0.074) | 0.986 (0.003) | 0.965 (0.02) |
| F3 | 0.916 (0.02) | 0.832 (0.101) | 0.992 (0.002) | 0.986 (0.007) |
| F4 | 0.835 (0.007) | 0.838 (0.066) | 0.981 (0.005) | 0.979 (0.014) |
| Control | 0.937 (0.007) | 0.872 (0.04) | 0.991 (0.002) | 0.989 (0.004) |
| Isolate Code | MIC Value (µg/mL) | Isolate Code | MIC Value (µg/mL) | ||||||||
|---|---|---|---|---|---|---|---|---|---|---|---|
| Free Lycopene | F1 | F2 | F3 | F4 | Free Lycopene | F1 | F2 | F3 | F4 | ||
| K1 | 1024 | 8 | 16 | 512 | 1024 | K17 | 512 | 8 | 8 | 512 | 512 |
| K2 | 1024 | 8 | 8 | 1024 | 512 | K18 | 2048 | 16 | 16 | 1024 | 1024 |
| K3 | 2048 | 32 | 16 | 1024 | 1024 | K19 | 1024 | 16 | 8 | 512 | 1024 |
| K4 | 512 | 32 | 16 | 512 | 512 | K20 | 512 | 32 | 32 | 512 | 512 |
| K5 | 2048 | 8 | 8 | 1024 | 2048 | K21 | 2048 | 16 | 8 | 2048 | 1024 |
| K6 | 1024 | 16 | 16 | 1024 | 1024 | K22 | 1024 | 32 | 16 | 512 | 1024 |
| K7 | 1024 | 16 | 16 | 512 | 1024 | K23 | 2048 | 16 | 16 | 1024 | 2048 |
| K8 | 512 | 8 | 16 | 512 | 512 | K24 | 512 | 32 | 32 | 512 | 512 |
| K9 | 2048 | 32 | 32 | 1024 | 2048 | K25 | 2048 | 32 | 16 | 2048 | 1024 |
| K10 | 1024 | 8 | 16 | 1024 | 512 | K26 | 1024 | 16 | 32 | 512 | 1024 |
| K11 | 1024 | 32 | 16 | 1024 | 1024 | K27 | 1024 | 32 | 32 | 512 | 512 |
| K12 | 2048 | 8 | 8 | 1024 | 2048 | K28 | 1024 | 8 | 16 | 512 | 512 |
| K13 | 512 | 32 | 16 | 512 | 512 | K29 | 512 | 8 | 16 | 512 | 512 |
| K14 | 1024 | 16 | 8 | 1024 | 1024 | K30 | 1024 | 32 | 32 | 1024 | 1024 |
| K15 | 1024 | 16 | 8 | 1024 | 1024 | K31 | 2048 | 16 | 16 | 2048 | 1024 |
| K16 | 2048 | 32 | 16 | 1024 | 1024 | K32 | 2048 | 32 | 32 | 1024 | 1024 |
| Formulation | Span 60 | Cholesterol | NaCh | Lycopene | Water ad |
|---|---|---|---|---|---|
| F1 | 2 | 0.5 | - | 0.03 | 50 |
| F2 | 2 | 0.5 | 0.2 | 0.03 | 50 |
| F3 | 2 | 0.5 | 0.51 | 0.03 | 50 |
| F4 | 2 | 0.5 | 0.82 | 0.03 | 50 |
| Control * | - | - | - | 0.03 | 50 |
Publisher’s Note: MDPI stays neutral with regard to jurisdictional claims in published maps and institutional affiliations. |
© 2022 by the authors. Licensee MDPI, Basel, Switzerland. This article is an open access article distributed under the terms and conditions of the Creative Commons Attribution (CC BY) license (https://creativecommons.org/licenses/by/4.0/).
Share and Cite
Binsuwaidan, R.; Sultan, A.A.; Negm, W.A.; Attallah, N.G.M.; Alqahtani, M.J.; Hussein, I.A.; Shaldam, M.A.; El-Sherbeni, S.A.; Elekhnawy, E. Bilosomes as Nanoplatform for Oral Delivery and Modulated In Vivo Antimicrobial Activity of Lycopene. Pharmaceuticals 2022, 15, 1043. https://doi.org/10.3390/ph15091043
Binsuwaidan R, Sultan AA, Negm WA, Attallah NGM, Alqahtani MJ, Hussein IA, Shaldam MA, El-Sherbeni SA, Elekhnawy E. Bilosomes as Nanoplatform for Oral Delivery and Modulated In Vivo Antimicrobial Activity of Lycopene. Pharmaceuticals. 2022; 15(9):1043. https://doi.org/10.3390/ph15091043
Chicago/Turabian StyleBinsuwaidan, Reem, Amal A. Sultan, Walaa A. Negm, Nashwah G. M. Attallah, Moneerah J. Alqahtani, Ismail A. Hussein, Moataz A. Shaldam, Suzy A. El-Sherbeni, and Engy Elekhnawy. 2022. "Bilosomes as Nanoplatform for Oral Delivery and Modulated In Vivo Antimicrobial Activity of Lycopene" Pharmaceuticals 15, no. 9: 1043. https://doi.org/10.3390/ph15091043
APA StyleBinsuwaidan, R., Sultan, A. A., Negm, W. A., Attallah, N. G. M., Alqahtani, M. J., Hussein, I. A., Shaldam, M. A., El-Sherbeni, S. A., & Elekhnawy, E. (2022). Bilosomes as Nanoplatform for Oral Delivery and Modulated In Vivo Antimicrobial Activity of Lycopene. Pharmaceuticals, 15(9), 1043. https://doi.org/10.3390/ph15091043

