Drug Discovery of New Anti-Inflammatory Compounds by Targeting Cyclooxygenases
Abstract
:1. Introduction
2. Results
2.1. Molecular Docking of Compounds
2.2. ADME Pharmacokinetic Properties and Drug-Likeness Descriptors
2.3. Inhibition of COXs
2.4. The Anti-Inflammatory Assay (Carrageenan-Induced Paw Edema in Rats)
2.5. Cytotoxicity on Mouse Macrophage-Like Cell Line (Raw264.7 Cells)
2.6. Histopathological Examination of Rat Paw
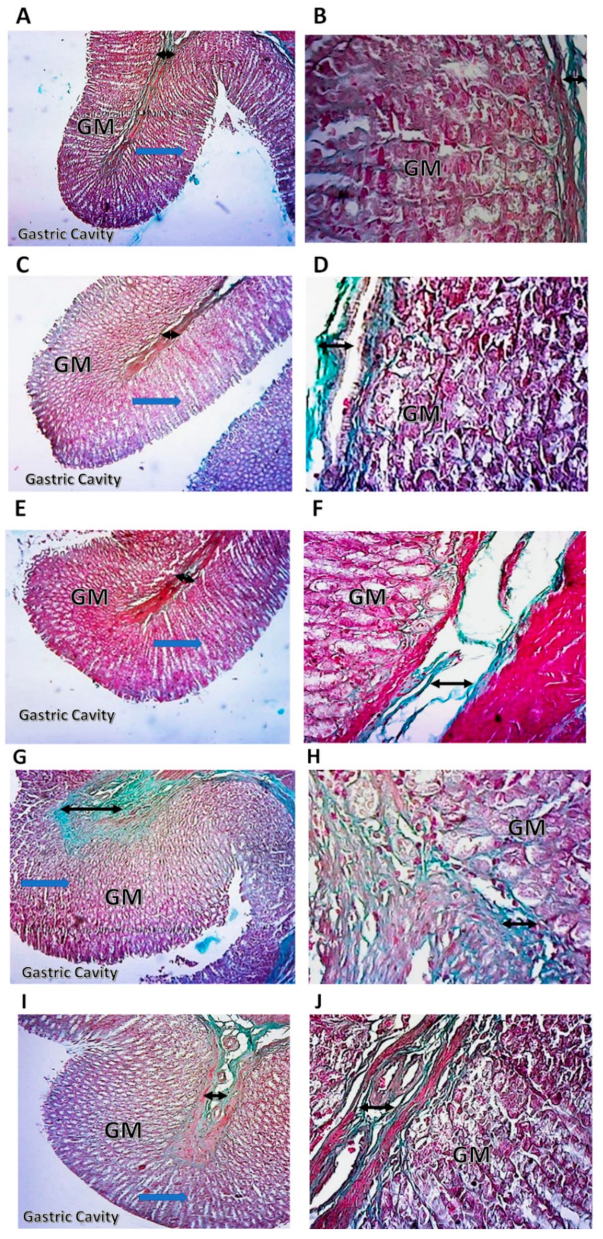
2.7. Histopathological Examination of Rat Stomach
3. Discussion
4. Materials and Methods
4.1. Software, Chemicals and Kits
4.2. Preparation of COX-2 Structure
4.3. Virtual Screening
4.4. Drug-Likeness and ADME Pharmacokinetic Properties and Descriptors
4.5. Enzyme (COXs) Inhibition Assay
4.6. Evaluation of Anti-Inflammatory Actions by Carrageenan Induced Paw Edema in Rats
4.7. Histopathological Examination
4.7.1. Rat Paw
4.7.2. Rat Stomach and Evaluation of the Ulcerogenic Effect of Test Compounds
4.8. In Vitro Cytotoxicity Using Mouse Macrophage-Like Cell Line (Raw264.7 Cells)
4.9. Statistical Analysis
5. Conclusions
6. Patents
Author Contributions
Funding
Institutional Review Board Statement
Informed Consent Statement
Data Availability Statement
Acknowledgments
Conflicts of Interest
References
- Eming, S.A.; Krieg, T.; Davidson, J.M. Inflammation in wound repair: Molecular and cellular mechanisms. J. Investig. Dermatol. 2007, 127, 514–525. [Google Scholar] [CrossRef] [PubMed] [Green Version]
- Serhan, C.N.; Savill, J. Resolution of inflammation: The beginning programs the end. Nat. Immunol. 2005, 6, 1191–1197. [Google Scholar] [CrossRef] [PubMed]
- Tawfik, O.; Sagrillo, C.; Johnson, D.; Dey, S. Decidualization in the bat: Role of leukotrienes and prostaglandins. Prostaglandins Leukot. Med. 1987, 29, 221–227. [Google Scholar] [CrossRef]
- Wolfe, M.M.; Lowe, R.C. Gastric secretions. In Yamada’s Textbook of Gastroenterology; Wiley-Blackwell: Hoboken, NJ, USA, 2015; pp. 399–419. [Google Scholar]
- Domschke, W.; Peskar, B.; Holtermüller, K.; Dammann, H. Prostaglandins and Leukotrienes in Gastrointestinal Diseases; Springer Science & Business Media: Berlin/Heidelberg, Germany, 2012. [Google Scholar]
- Osafo, N.; Agyare, C.; Obiri, D.D.; Antwi, A.O. Mechanism of action of nonsteroidal anti-inflammatory drugs. In Nonsteroidal Anti-Inflammatory Drugs; IntechOpen: London, UK, 2017; pp. 1–15. [Google Scholar]
- Amadio, P., Jr.; Cummings, D.M.; Amadio, P. Nonsteroidal anti-inflammatory drugs: Tailoring therapy to achieve results and avoid toxicity. Postgrad. Med. 1993, 93, 73–97. [Google Scholar] [CrossRef]
- Groesch, S.; Niederberger, E.; Geisslinger, G. Investigational drugs targeting the prostaglandin E2 signaling pathway for the treatment of inflammatory pain. Expert Opin. Investig. Drugs 2017, 26, 51–61. [Google Scholar] [CrossRef]
- Bjarnason, I.; Scarpignato, C.; Holmgren, E.; Olszewski, M.; Rainsford, K.D.; Lanas, A. Mechanisms of damage to the gastrointestinal tract from nonsteroidal anti-inflammatory drugs. Gastroenterology 2018, 154, 500–514. [Google Scholar] [CrossRef] [Green Version]
- Drossman, D.A.; Corazziari, E.; Delvaux, M.; Spiller, R.; Talley, N.; Thompson, W.; Whitehead, W. Rome III: The Functional Gastrointestinal Disorders, 3rd ed.; Degnon Associates: McLean, VA, USA, 2006. [Google Scholar]
- Green, G.A. Understanding NSAIDs: From aspirin to COX-2. Clin. Cornerstone 2001, 3, 50–60. [Google Scholar] [CrossRef]
- Perazella, M.A.; Eras, J. Are selective COX-2 inhibitors nephrotoxic? Am. J. Kidney Dis. 2000, 35, 937–940. [Google Scholar] [CrossRef]
- Al-Hizab, F.; Kandeel, M. Mycophenolate suppresses inflammation by inhibiting prostaglandin synthases: A study of molecular and experimental drug repurposing. PeerJ 2021, 9, e11360. [Google Scholar] [CrossRef]
- Kandeel, M.; Al-Nazawi, M. Virtual screening and repurposing of FDA approved drugs against COVID-19 main protease. Life Sci. 2020, 251, 117627. [Google Scholar] [CrossRef]
- Kandeel, M.; Yamamoto, M.; Park, B.K.; Al-Taher, A.; Watanabe, A.; Gohda, J.; Kawaguchi, Y.; Oh-Hashi, K.; Kwon, H.-J.; Inoue, J.-i. Discovery of New Potent anti-MERS CoV Fusion Inhibitors. Front. Pharmacol. 2021, 12, 1241. [Google Scholar] [CrossRef]
- Kandeel, M.; Yamamoto, M.; Tani, H.; Kobayashi, A.; Gohda, J.; Kawaguchi, Y.; Park, B.K.; Kwon, H.-J.; Inoue, J.-i.; Alkattan, A. Discovery of New Fusion Inhibitor Peptides against SARS-CoV-2 by Targeting the Spike S2 Subunit. Biomol. Ther. 2021, 29, 282. [Google Scholar] [CrossRef]
- Sağlık, B.N.; Osmaniye, D.; Levent, S.; Çevik, U.A.; Çavuşoğlu, B.K.; Özkay, Y.; Kaplancıklı, Z.A. Design, synthesis and biological assessment of new selective COX-2 inhibitors including methyl sulfonyl moiety. Eur. J. Med. Chem. 2021, 209, 112918. [Google Scholar] [CrossRef] [PubMed]
- Alfayomy, A.M.; Abdel-Aziz, S.A.; Marzouk, A.A.; Shaykoon, M.S.A.; Narumi, A.; Konno, H.; Abou-Seri, S.M.; Ragab, F.A. Design and synthesis of pyrimidine-5-carbonitrile hybrids as COX-2 inhibitors: Anti-inflammatory activity, ulcerogenic liability, histopathological and docking studies. Bioorg. Chem. 2021, 108, 104555. [Google Scholar] [CrossRef]
- Abdellatif, K.R.; Abdelall, E.K.; Elshemy, H.A.; Lamie, P.F.; Elnahaas, E.; Amin, D.M. Design, synthesis of new anti-inflammatory agents with a pyrazole core: COX-1/COX-2 inhibition assays, anti-inflammatory, ulcerogenic, histopathological, molecular Modeling, and ADME studies. J. Mol. Struct. 2021, 1240, 130554. [Google Scholar] [CrossRef]
- Abolhasani, H.; Zarghi, A.; Movahhed, T.K.; Abolhasani, A.; Daraei, B.; Dastmalchi, S. Design, synthesis and biological evaluation of novel indanone containing spiroisoxazoline derivatives with selective COX-2 inhibition as anticancer agents. Bioorg. Med. Chem. 2021, 32, 115960. [Google Scholar] [CrossRef]
- Bekheit, M.S.; Mohamed, H.A.; Abdel-Wahab, B.F.; Fouad, M.A. Design and synthesis of new 1, 4, 5-trisubstituted triazole-bearing benzenesulphonamide moiety as selective COX-2 inhibitors. Med. Chem. Res. 2021, 30, 1125–1138. [Google Scholar] [CrossRef]
- Nesaragi, A.R.; Kamble, R.R.; Dixit, S.; Kodasi, B.; Hoolageri, S.R.; Bayannavar, P.K.; Dasappa, J.P.; Vootla, S.; Joshi, S.D.; Kumbar, V.M. Green synthesis of therapeutically active 1, 3, 4-oxadiazoles as antioxidants, selective COX-2 inhibitors and their in silico studies. Bioorg. Med. Chem. Lett. 2021, 43, 128112. [Google Scholar] [CrossRef] [PubMed]
- Yehiyan, A.; Barman, S.; Varia, H.; Pettit, S. Short-course high-dose ibuprofen causing both early and delayed jejunal perforations in a non-smoking man. BMJ Case Rep. 2017, 2017. [Google Scholar] [CrossRef] [Green Version]
- Risty, G.M.; Najarian, M.M.; Shapiro, S.B. Multiple indomethacin-induced jejunal ulcerations with perforation: A case report with histology. Am. Surg. 2007, 73, 344–346. [Google Scholar] [CrossRef]
- Schmidt, M.; Sørensen, H.T.; Pedersen, L. Diclofenac use and cardiovascular risks: Series of nationwide cohort studies. BMJ Clin. Res. Ed. 2018, 362, k3426. [Google Scholar] [CrossRef] [PubMed] [Green Version]
- Goldstein, I.M.; Snyderman, R.; Gallin, J.I. Inflammation: Basic Principles and Clinical Correlates; Raven Press: Ely, MN, USA, 1992. [Google Scholar]
- Gunaydin, C.; Bilge, S.S. Effects of nonsteroidal anti-inflammatory drugs at the molecular level. Eurasian J. Med. 2018, 50, 116. [Google Scholar] [CrossRef] [PubMed]
- Yonezawa, Y.; Kihara, T.; Ibi, K.; Senshu, M.; Nejishima, H.; Takeda, Y.; Imai, K.; Ogawa, H. Olive-derived hydroxytyrosol shows anti-inflammatory effect without gastric damage in rats. Biol. Pharm. Bull. 2019, 42, 1120–1127. [Google Scholar] [CrossRef] [PubMed] [Green Version]
- Schrödinger, Inc. Maestro. 2017. Available online: https://www.schrodinger.com/products/maestro (accessed on 13 February 2022).
- Jorgensen, W.L.; Duffy, E.M. Prediction of drug solubility from structure. Adv. Drug Deliv. Rev. 2002, 54, 355–366. [Google Scholar] [CrossRef]
- Zarghi, A.; Arfaei, S. Selective COX-2 Inhibitors: A Review of Their Structure-Activity Relationships. Iran. J. Pharm. Res. IJPR 2011, 10, 655–683. [Google Scholar] [PubMed]
- Patrono, C. Cardiovascular effects of cyclooxygenase-2 inhibitors: A mechanistic and clinical perspective. Br. J. Clin. Pharmacol. 2016, 82, 957–964. [Google Scholar] [CrossRef] [PubMed]
- Bello, A.E.; Holt, R.J. Cardiovascular risk with non-steroidal anti-inflammatory drugs: Clinical implications. Drug Saf. 2014, 37, 897–902. [Google Scholar] [CrossRef] [Green Version]
- Posadas, I.; Bucci, M.; Roviezzo, F.; Rossi, A.; Parente, L.; Sautebin, L.; Cirino, G. Carrageenan-induced mouse paw oedema is biphasic, age-weight dependent and displays differential nitric oxide cyclooxygenase-2 expression. Br. J. Pharmacol. 2004, 142, 331–338. [Google Scholar] [CrossRef]
- Winter, C.A.; Risley, E.A.; Nuss, G.W. Carrageenin-induced edema in hind paw of the rat as an assay for antiinflammatory drugs. Proc. Soc. Exp. Biol. Med. 1962, 111, 544–547. [Google Scholar] [CrossRef]
- Tries, S.; Neupert, W.; Laufer, S. The mechanism of action of the new antiinflammatory compound ML3000: Inhibition of 5-LOX and COX-1/2. Inflamm. Res. 2002, 51, 135–143. [Google Scholar] [CrossRef]
- Oh-Hashi, K.; Soga, A.; Naruse, Y.; Takahashi, K.; Kiuchi, K.; Hirata, Y. Elucidating post-translational regulation of mouse CREB3 in Neuro2a cells. Mol. Cell. Biochem. 2018, 448, 287–297. [Google Scholar] [CrossRef] [PubMed]
- Barbosa, L.M.; Amaral-Machado, L.; Félix-Silva, J.; Oliveira, W.N.; Alencar, É.N.; Rocha, K.B.; da Cunha Medeiros, A.; Rocha, H.A.; Fernandes-Pedrosa, M.F.; Egito, E.S. Bullfrog Oil Reduces the Carrageenan-induced Edema in Wistar Rats by in vitro Reduction of Inflammatory Mediators. J. Oleo Sci. 2020, 69, 133–142. [Google Scholar] [CrossRef] [PubMed] [Green Version]








| Compound # | Docking Score (kcal/mol) | Glide H Bond | Glide Lipo | Glide Ligand Efficiency |
|---|---|---|---|---|
| 1 | −13.645 | −0.908 | −3.705 | −0.471 |
| 2 | −12.442 | −0.172 | −5.079 | −0.444 |
| 3 | −12.523 | −0.73 | −3.433 | −0.482 |
| 4 | −12.41 | 0 | −5.106 | −0.477 |
| 5 | −13.14 | −0.87 | −5.373 | −0.453 |
| 6 | −13.408 | 0 | −3.123 | −0.583 |
| 7 | −13.222 | −0.813 | −4.053 | −0.509 |
| Acceptable Range | Compound 1 | Compound 2 | Compound 3 | Compound 4 | Compound 5 | Compound 6 | Compound 7 | |
|---|---|---|---|---|---|---|---|---|
| Mol-Mw | 130–725 | 392.457 | 376.372 | 357.368 | 371.779 | 387.483 | 359.44 | 312.368 |
| Donor HB | 0–6 | 2 | 2 | 3 | 3 | 1 | 1 | 1 |
| Accept HB | 2–20 | 6.5 | 6.45 | 9.5 | 6.25 | 5.25 | 6.15 | 6.7 |
| Human oral absorption % | >80 high<30 low | 91.392 | 63.711 | 41.441 | 60.987 | 100 | 100 | 61.58 |
| Rule of five | Maximum 4 | 0 | 0 | 0 | 0 | 0 | 0 | 0 |
| Qplog P o/w | Maximum 3 | 3.886 | 1.274 | 0.168 | 2.367 | 4.446 | 3.65 | 0.623 |
| QPlogHERG | Concern below −5 | −3.629 | −4.202 | −1.498 | −3.234 | −7.581 | −6.219 | −4.404 |
| QPlogKp | −8.0–−0.1 | −2.236 | −4.012 | −5.679 | −4.871 | −2.982 | −2.777 | −4.137 |
| QPPCaco | <25 poor>500 great | 213.531 | 43.389 | 5.69 | 13.419 | 442.32 | 926.454 | 53.849 |
| QPlogBB | −3.0–1.2 | −0.742 | −0.713 | −2.218 | −1.663 | −0.232 | 0.089 | −0.395 |
| QPPMDCK | <25 poor>500 great | 118.581 | 23.433 | 3.263 | 14.645 | 226.628 | 912.502 | 29.595 |
| QPlogKhsa | −1.5–1.5 | 0.21 | −0.056 | −0.83 | −0.067 | 0.77 | 0.211 | −0.253 |
| SASA | 300–1000 | 640.252 | 624.75 | 609.578 | 586.73 | 712.49 | 655.337 | 584.481 |
| FISA | 7.0–330.0 | 112.838 | 122.221 | 265.073 | 239.562 | 78.779 | 44.92 | 112.33 |
| Carcinogenicity in mouse | Negative | Negative | Negative | Negative | Negative | Negative | Negative | Negative |
| Carcinogenicity in rat | Negative | Negative | Negative | Negative | Negative | Negative | Negative | Negative |
| COX-1 | COX-2 | SI | |
|---|---|---|---|
| Celecoxib | 14.7 ± 1.045 | 0.045 ± 0.005 | 326.6 |
| Rofecoxib | 14.5 ± 1.125 | 0.025 ± 0.005 | 580 |
| Indomethacin | 0.1 ± 0.015 | 0.0725 ± 0.01 | 1.38 |
| Diclofenac | 0.05 ± 0.006 | 0.02 ± 0.001 | 2.5 |
| Compound 1 | 11.68 ± 1.2 | 0.068 ± 0.008 | 171.8 |
| Compound 2 | 12.22 ± 1.1 | 0.048 ± 0.002 | 254.5 |
| Compound 3 | 11.11 ± 1.1 | 0.06 ± 0.003 | 194.91 |
| Compound 4 | 7.62 ± 0.05 | 0.21 ± 0.01 | 36.3 |
| Compound 5 | 10.57 ± 0.33 | 0.08 ± 0.009 | 132.64 |
| Compound 6 | 11.52 ± 0.13 | 0.06 ± 0.075 | 190.88 |
| Compound 7 | 9.19 ± 0.046 | 0.097 ± 0.015 | 95.068 |
Publisher’s Note: MDPI stays neutral with regard to jurisdictional claims in published maps and institutional affiliations. |
© 2022 by the authors. Licensee MDPI, Basel, Switzerland. This article is an open access article distributed under the terms and conditions of the Creative Commons Attribution (CC BY) license (https://creativecommons.org/licenses/by/4.0/).
Share and Cite
Burayk, S.; Oh-hashi, K.; Kandeel, M. Drug Discovery of New Anti-Inflammatory Compounds by Targeting Cyclooxygenases. Pharmaceuticals 2022, 15, 282. https://doi.org/10.3390/ph15030282
Burayk S, Oh-hashi K, Kandeel M. Drug Discovery of New Anti-Inflammatory Compounds by Targeting Cyclooxygenases. Pharmaceuticals. 2022; 15(3):282. https://doi.org/10.3390/ph15030282
Chicago/Turabian StyleBurayk, Shady, Kentaro Oh-hashi, and Mahmoud Kandeel. 2022. "Drug Discovery of New Anti-Inflammatory Compounds by Targeting Cyclooxygenases" Pharmaceuticals 15, no. 3: 282. https://doi.org/10.3390/ph15030282
APA StyleBurayk, S., Oh-hashi, K., & Kandeel, M. (2022). Drug Discovery of New Anti-Inflammatory Compounds by Targeting Cyclooxygenases. Pharmaceuticals, 15(3), 282. https://doi.org/10.3390/ph15030282

