Xanthine Oxidase Inhibitor, Febuxostat Is Effective against 5-Fluorouracil-Induced Parotid Salivary Gland Injury in Rats Via Inhibition of Oxidative Stress, Inflammation and Targeting TRPC1/CHOP Signalling Pathway
Abstract
:1. Introduction
2. Results
2.1. Impact of FEB on the Physical Parameters of 5-FU-Induced Injury of the Parotid Salivary Gland
2.2. Impact of FEB on the Oxidative Stress Parameters of 5-FU-Induced Injury of the Parotid Salivary Gland
2.3. Impact of FEB on Inflammatory Mediators (TNF-α and IL-1β) of 5-FU-Induced Parotid Salivary Gland Injury
2.4. Effect of FEB on TRPC1 and CHOP in 5-FU Induced Parotid Salivary Gland Injury
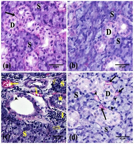
2.5. Histological Results
2.5.1. H&E- and Toluidine-Blue-Stained Sections
2.5.2. Immunohistochemically Stained Sections
2.5.3. Morphometric Results
3. Discussion
4. Materials and Methods
4.1. Drugs & Chemicals
4.2. Animals
4.3. Experimental Design
4.3.1. Animal Grouping
4.3.2. Sampling and Samples Storage
4.4. Assessment of Physical Indicators
4.5. Biochemical Analysis
4.5.1. Assessment of Oxidative Stress Parameters in the Parotid Salivary Gland
4.5.2. Assessment of Inflammatory Parameters in the Parotid Salivary Gland
4.5.3. TRCP1 and CHOP Levels in the Parotid Salivary Gland
4.6. Histopathological and Immunohistochemical Examinations
4.7. Morphometric Analysis
4.8. Statistical Analysis
5. Conclusions
Author Contributions
Funding
Institutional Review Board Statement
Informed Consent Statement
Data Availability Statement
Acknowledgments
Conflicts of Interest
References
- Ferlay, J.; Soerjomataram, I.; Dikshit, R.; Eser, S.; Mathers, C.; Rebelo, M.; Parkin, D.M.; Forman, D.; Bray, F. Cancer Incidence and Mortality Worldwide: Sources, methods and major patterns in GLOBOCAN 2012. Int. J. Cancer 2015, 136, E359–E386. [Google Scholar] [CrossRef] [PubMed]
- Hafez, S.M.N.A.; Elbassuoni, E.; Abdelzaher, W.Y.; Welson, N.N.; Batiha, G.E.-S.; Alzahrani, K.J.; Abdelbaky, F.A.F. Efficacy of vitamin E in protection against methotrexate induced placental injury in albino rats. Biomed. Pharmacother. 2021, 139, 111637. [Google Scholar] [CrossRef] [PubMed]
- Bachmeier, E.; López, M.M.; Linares, J.A.; Brunotto, M.N.; Mazzeo, M.A. 5-Fluorouracil and Cyclophosphamide modify functional activity in submandibular gland of rats. J. Oral Res. 2019, 8, 363–369. [Google Scholar]
- Elmansy, M.N.; Hegazy, E.M. Evaluation of the Apoptotic changes induced by 5-Fluorouracil on the Lingual Mucosa and Salivary glands of male albino rats (Histological, Histomorphometric and Immunohistochemical Study). Egypt. Dent. J. 2020, 66, 2353–2363. [Google Scholar] [CrossRef]
- Fujiwara, R.; Harada, K.; Ferdous, T.; Mishima, K. Amino Acids May Have Protective Effects on Salivary Glands of 5-FU-administered Mice. In Vivo 2022, 36, 198–205. [Google Scholar] [CrossRef] [PubMed]
- Epstein, J.B.; Thariat, J.; Bensadoun, R.J.; Barasch, A.; Murphy, B.A.; Kolnick, L.; Popplewell, L.; Maghami, E. Oral complications of cancer and cancer therapy: From cancer treatment to survivorship. CA Cancer J. Clin. 2012, 62, 400–422. [Google Scholar] [CrossRef]
- Murphy, B.A. Clinical and economic consequences of mucositis induced by chemotherapy and/or radiatiotherapy. J. Support. Oncol. 2007, 5, 13–21. [Google Scholar]
- Symonds, R.P. Treatment-induced mucositis: An old problem with new remedies. Br. J. Cancer 1998, 77, 1689–1695. [Google Scholar] [CrossRef] [Green Version]
- Kania, E.; Pajak, B.; Orzechowski, A. Calcium homeostasis and ER stress in control of autophagy in cancer cells. BioMed Res Int. 2015, 2015, 352794. [Google Scholar] [CrossRef] [Green Version]
- Sukumaran, P.; Sun, Y.; Zangbede, F.Q.; da Conceicao, V.N.; Mishra, B.; Singh, B.B. TRPC1 expression and function inhibit ER stress and cell death in salivary gland cells. FASEB Bioadv. 2019, 1, 40–50. [Google Scholar] [CrossRef] [Green Version]
- Emiliya, C.; Mariyana, A.; Rossen, B.; Katarina, T.; Zaklina, S.; Adriana, B.; Andrija, S. 3′-Methyl-4-thio-1H-tetrahydropyranspiro-5′-hydantoin platinum complex as a novel potent anticancer agent and xanthine oxidase inhibitor. Arch. Pharm. 2020, 353, e2000039. [Google Scholar]
- Mehmet, A.; Seyithan, T.; Elif, B.; Elif, D.; Hilal, A.; Muslum, A.; Habip, B.; Zeynel, A.K. Radioprotective effect of thymoquinone on salivary gland of rats exposed to total cranial irradiation. Head Neck 2017, 39, 2027–2035. [Google Scholar]
- Nakamura, K.; Natsugoe, S.; Kumanohoso, T.; Shinkawa, T.; Kariyazono, H.; Yamada, K.; Baba, M.; Yoshinaka, H.; Fukumoto, T.; Aikou, T. Prophylactic action of allopurinol against chemotherapy-induced stomatitis—inhibition of superoxide dismutase and proteases. Anti-Cancer Drugs 1996, 7, 235–239. [Google Scholar] [CrossRef] [PubMed]
- Abdel-Aziz, A.M.; El-Tahawy, N.F.G.; Haleem, M.A.S.A.; Mohammed, M.M.; Ali, A.I.; Ibrahim, Y.F. Amelioration of testosterone-induced benign prostatic hyperplasia using febuxostat in rats: The role of VEGF/TGFβ and iNOS/COX-2. Eur. J. Pharmacol. 2020, 889, 173631. [Google Scholar] [CrossRef] [PubMed]
- Yousef, D.M.; Abd El-Fatah, S.S.; Al-Semeh, M.D.; Amira, E. Oxidative Stress Changes Induced by Methotrexate on Parotid Gland Structure of Adult Male Albino Rat: Can Vitamin C Ameliorate These Changes? Med. J. Cairo Univ. 2019, 87, 2555–2565. [Google Scholar]
- Love, B.L.; Barrons, R.; Veverka, A.; Snider, K.M. Urate-Lowering Therapy for Gout: Focus on Febuxostat. Pharmacother. J. Hum. Pharmacol. Drug Ther. 2010, 30, 594–608. [Google Scholar] [CrossRef]
- Garcia-Valladares, I.; Khan, T.; Espinoza, L.R. Efficacy and safety of febuxostat in patients with hyperuricemia and gout. Ther. Adv. Musculoskelet. Dis. 2011, 3, 245–253. [Google Scholar] [CrossRef] [Green Version]
- Mohamed, M.Z.; El Baky, M.F.A.; Hassan, O.A.; Mohammed, H.H.; Abdel-Aziz, A.M. PTEN/PI3K/VEGF signaling pathway involved in the protective effect of xanthine oxidase inhibitor febuxostat against endometrial hyperplasia in rats. Hum. Exp. Toxicol. 2020, 39, 1224–1234. [Google Scholar] [CrossRef]
- Inoue, M.-K.; Yamamotoya, T.; Nakatsu, Y.; Ueda, K.; Inoue, Y.; Matsunaga, Y.; Sakoda, H.; Fujishiro, M.; Ono, H.; Morii, K.; et al. The Xanthine Oxidase Inhibitor Febuxostat Suppresses the Progression of IgA Nephropathy, Possibly via Its Anti-Inflammatory and Anti-Fibrotic Effects in the gddY Mouse Model. Int. J. Mol. Sci. 2018, 19, 3967. [Google Scholar] [CrossRef] [Green Version]
- Bir, S.C.; Kolluru, G.K.; McCarthy, P.; Shen, X.; Pardue, S.; Pattillo, C.B.; Kevil, C.G. Hydrogen Sulfide Stimulates Ischemic Vascular Remodeling Through Nitric Oxide Synthase and Nitrite Reduction Activity Regulating Hypoxia-Inducible Factor-1α and Vascular Endothelial Growth Factor–Dependent Angiogenesis. J. Am. Heart Assoc. 2012, 1, e004093. [Google Scholar] [CrossRef] [Green Version]
- Refaie, M.M.; Shehata, S.; Bayoumi, A.; El-Tahawy, N.F.G.; Abdelzaher, W.Y. The IL-6/STAT Signaling Pathway and PPARα Are Involved in Mediating the Dose-Dependent Cardioprotective Effects of Fenofibrate in 5-Fluorouracil-Induced Cardiotoxicity. Cardiovasc. Drugs Ther. 2021. [Google Scholar] [CrossRef] [PubMed]
- Gulcin, I.; Beydemir, S. Phenolic compounds as antioxidants: Carbonic anhydrase isoenzymes inhibitors. Mini Rev. Med. Chem. 2013, 13, 408–430. [Google Scholar] [PubMed]
- Bomfin, L.E.; Braga, C.M.; Oliveira, T.A.; Martins, C.S.; Foschetti, D.A.; Santos, A.A.; Costa, D.V.; Leitão, R.F.; Brito, G.A. 5-Fluorouracil induces inflammation and oxidative stress in the major salivary glands affecting salivary flow and saliva composition. Biochem. Pharmacol. 2017, 145, 34–45. [Google Scholar] [CrossRef] [PubMed]
- El-Sheikh, A.; Abdelzaher, W.; Gad, A.; Abdel-Gaber, S. Purine versus non-purine xanthine oxidase inhibitors against cyclophosphamide-induced cardiac and bone marrow toxicity in rats. Hum. Exp. Toxicol. 2020, 39, 249–261. [Google Scholar] [CrossRef] [PubMed]
- Mangerich, A.; Dedon, P.; Fox, J.G.; Tannenbaum, S.R.; Wogan, G.N. Chemistry meets biology in colitis-associated carcinogenesis. Free Radic. Res. 2013, 47, 958–986. [Google Scholar] [CrossRef] [PubMed] [Green Version]
- Devrim, E.; Avc, A.; Ergüder, I.B.; Karagenç, N.; Külah, B.; Durak, I. Activities of Xanthine Oxidase and Superoxide Dismutase Enzymes in Rat Intestinal Tissues in Sepsis. J. Trauma Inj. Infect. Crit. Care 2008, 64, 733–735. [Google Scholar] [CrossRef]
- Takahiro, M.; Akihiro, S.; Lusi, X.; Jiahe, Q.; Asako, N.-T.; Yoshiko, O.; Masahiro, K.; Osamu, I. Febuxostat amliorates high salt intake-induced hypertension and renal damage in Dahl salt sensitive rats. J. Hypertens. 2022, 40, 327–337. [Google Scholar]
- Barbosa, S.; Pereira, V.; Wong, D.; Santana, A.; Lucetti, L.; Carvalho, L.; Barbosa, C.; Callado, R.; Silva, C.; Lopes, C.; et al. Amifostine reduces inflammation and protects against 5-fluorouracil-induced oral mucositis and hyposalivation. Braz. J. Med. Biol. Res. 2019, 52, e8251. [Google Scholar] [CrossRef]
- Haddad, J.J. Redox regulation of pro-inflammatory cytokines and IκB-α/NF-κB nuclear translocation and activation. Biochem. Biophys. Res. Commun. 2002, 296, 847–856. [Google Scholar] [CrossRef]
- Nessa, N.; Kobara, M.; Toba, H.; Adachi, T.; Yamamoto, T.; Kanamura, N.; Pezzotti, G.; Nakata, T. Febuxostat Attenuates the Progression of Periodontitis in Rats. Pharmacology 2021, 106, 294–304. [Google Scholar] [CrossRef]
- Liu, X.; Ong, H.L.; Ambudkar, I. TRP Channel Involvement in Salivary Glands—Some Good, Some Bad. Cells 2018, 7, 74. [Google Scholar] [CrossRef] [PubMed] [Green Version]
- Ahmed, S.M.; Fouad, F.E. Possible protective effect of platelet-rich plasma on a model of cisplatin-induced nephrotoxicity in rats: A light and transmission electron microscopic study. J. Cell. Physiol. 2019, 234, 10470–10480. [Google Scholar] [CrossRef] [PubMed]
- Sun, Y.; Birnbaumer, L.; Singh, B.B. TRPC1 regulates calcium-activated chloride channels in salivary gland cells. J. Cell. Physiol. 2015, 230, 2848–2856. [Google Scholar] [CrossRef] [PubMed]
- He, L.; Fan, Y.; Xiao, W.; Chen, T.; Wen, J.; Dong, Y.; Wang, Y.; Li, S.; Xue, R.; Zheng, L.; et al. Febuxostat attenuates ER stress mediated kidney injury in a rat model of hyperuricemic nephropathy. Oncotarget 2017, 8, 111295–111308. [Google Scholar] [CrossRef] [Green Version]
- Mihai, D.; Ungurianu, A.; Ciotu, C.; Fischer, M.; Olaru, O.; Nitulescu, G.; Andrei, C.; Zbarcea, C.; Zanfirescu, A.; Seremet, O.; et al. Effects of Venlafaxine, Risperidone and Febuxostat on Cuprizone-Induced Demyelination, Behavioral Deficits and Oxidative Stress. Int. J. Mol. Sci. 2021, 22, 7183. [Google Scholar] [CrossRef]
- Ran, J.; Xu, G.; Ma, H.; Xu, H.; Liu, Y.; Tan, R.; Zhu, P.; Song, J.; Lao, G. Febuxostat Attenuates Renal Damage besides Exerting Hypouricemic Effect in Streptozotocin-Induced Diabetic Rats. Int. J. Nephrol. 2017, 2017, 1–9. [Google Scholar] [CrossRef]
- Marklund, S.; Marklund, G. Involvement of the Superoxide Anion Radical in the Autoxidation of Pyrogallol and a Convenient Assay for Superoxide Dismutase. Eur. J. Biochem. 1974, 47, 469–474. [Google Scholar] [CrossRef]
- Moron, M.; Depierre, J.; Mannervik, B. Levels of glutathione, glutathione reductase and glutathione S-transferase activities in rat lung and liver. Biochim. Biophys. Acta (BBA)-Gen. Subj. 1979, 582, 67–78. [Google Scholar] [CrossRef]
- Buege, J.; Aust, S. Microsomal lipid peroxidation. Methods Enzymol. 1978, 52, 302–310. [Google Scholar]
- Ridnour, L.A.; Sim, J.E.; Hayward, M.A.; Wink, D.A.; Martin, S.M.; Buettner, G.; Spitz, D. A Spectrophotometric Method for the Direct Detection and Quantitation of Nitric Oxide, Nitrite, and Nitrate in Cell Culture Media. Anal. Biochem. 2000, 281, 223–229. [Google Scholar] [CrossRef] [Green Version]
- Abdelzaher, W.Y.; Ahmed, S.M.; Welson, N.N.; Alsharif, K.F.; Batiha, G.E.; Labib, D.A. Dapsone Ameliorates Isoproterenol-Induced Myocardial Infarction via Nrf2/HO-1; TLR4/TNF-α Signaling Pathways and the Suppression of Oxidative Stress, Inflammation, and Apoptosis in Rats. Front. Pharmacol. 2021, 12, 1230. [Google Scholar] [CrossRef] [PubMed]
- El-Naseery, N.I.; Elewa, Y.H.A.; Ichii, O.; Kon, Y. An experimental study of menopause induced by bilateral ovariectomy and mechanistic effects of mesenchymal stromal cell therapy on the parotid gland of a rat model. Ann. Anat.-Anat. Anz. 2018, 220, 9–20. [Google Scholar] [CrossRef] [PubMed] [Green Version]





| Groups | ΔBW | Parotid wt (gm) | Parotid Index (%) |
|---|---|---|---|
| Control | 18.38 ± 5.854 | 0.34 ± 0.09 | 10 ± 0.0 |
| FEB | 16.88 ± 4.35 | 0.32 ± 0.64 | 10 ± 0.0 |
| 5-FU | 10.00 ± 7.42 ab | 0.07 ± 0.02 ab | 3.3 ± 0.39 ab |
| FEB + 5-FU | 17.63 ± 5.29 c | 0.29 ± 0.076 c | 8.6 ± 0.84 c |
| Groups | MDA (nmol/g Tissue) | SOD (U/g Tissue) | GSH (μmol/g Tissue) | NOx (nmol/g Tissue) |
|---|---|---|---|---|
| Control | 8.53 ± 1.08 | 371 ± 18.9 | 23.25± 2.61 | 7.42 ± 0.76 |
| FEB | 8.73 ±0.86 | 339 ± 39.2 | 22.54 ± 1.24 | 7.26 ± 0.87 |
| 5-FU | 17.56 ± 1.45 ab | 149 ± 16.75 ab | 17.81 ± 1.51 ab | 16.08 ± 0.71 ab |
| FEB + 5-FU | 9.62 ± 0.30 c | 339 ± 45.95 c | 22.83 ± 1.44 c | 10.80 ± 1.67 c |
| Groups | TNF-α (Pg/mg Tissue) | IL-1β (Pg/mg Tissue) |
|---|---|---|
| Control | 46.23 ±3.24 | 22.42 ±1.72 |
| FEB | 49.06 ±4.34 | 22.93 ± 1.9 |
| 5-FU | 78.02 ± 7.01 ab | 41.23± 4.76 ab |
| FEB + 5-FU | 51.87 ± 2.08 c | 23.50 ±1.87 c |
| Groups | Area% of α-SMA |
|---|---|
| Control | 2.19 ± 1.28 |
| FEB | 2.16 ± 1.06 |
| 5-FU | 9.26 ± 1.94 ab |
| FEB + 5-FU | 4.53 ± 1.03 abc |
Publisher’s Note: MDPI stays neutral with regard to jurisdictional claims in published maps and institutional affiliations. |
© 2022 by the authors. Licensee MDPI, Basel, Switzerland. This article is an open access article distributed under the terms and conditions of the Creative Commons Attribution (CC BY) license (https://creativecommons.org/licenses/by/4.0/).
Share and Cite
Abdelzaher, W.Y.; Nassan, M.A.; Ahmed, S.M.; Welson, N.N.; El-Saber Batiha, G.; Khalaf, H.M. Xanthine Oxidase Inhibitor, Febuxostat Is Effective against 5-Fluorouracil-Induced Parotid Salivary Gland Injury in Rats Via Inhibition of Oxidative Stress, Inflammation and Targeting TRPC1/CHOP Signalling Pathway. Pharmaceuticals 2022, 15, 232. https://doi.org/10.3390/ph15020232
Abdelzaher WY, Nassan MA, Ahmed SM, Welson NN, El-Saber Batiha G, Khalaf HM. Xanthine Oxidase Inhibitor, Febuxostat Is Effective against 5-Fluorouracil-Induced Parotid Salivary Gland Injury in Rats Via Inhibition of Oxidative Stress, Inflammation and Targeting TRPC1/CHOP Signalling Pathway. Pharmaceuticals. 2022; 15(2):232. https://doi.org/10.3390/ph15020232
Chicago/Turabian StyleAbdelzaher, Walaa Yehia, Mohamed A. Nassan, Sabreen Mahmoud Ahmed, Nermeen N. Welson, Gaber El-Saber Batiha, and Hanaa Mohamed Khalaf. 2022. "Xanthine Oxidase Inhibitor, Febuxostat Is Effective against 5-Fluorouracil-Induced Parotid Salivary Gland Injury in Rats Via Inhibition of Oxidative Stress, Inflammation and Targeting TRPC1/CHOP Signalling Pathway" Pharmaceuticals 15, no. 2: 232. https://doi.org/10.3390/ph15020232
APA StyleAbdelzaher, W. Y., Nassan, M. A., Ahmed, S. M., Welson, N. N., El-Saber Batiha, G., & Khalaf, H. M. (2022). Xanthine Oxidase Inhibitor, Febuxostat Is Effective against 5-Fluorouracil-Induced Parotid Salivary Gland Injury in Rats Via Inhibition of Oxidative Stress, Inflammation and Targeting TRPC1/CHOP Signalling Pathway. Pharmaceuticals, 15(2), 232. https://doi.org/10.3390/ph15020232

