In Vitro and In Vivo Evaluation of the Effectiveness and Safety of Amygdalin as a Cancer Therapy
Abstract
1. Introduction
2. Results and Discussion
2.1. Preparation and In Vitro Characterization of Optimum ALN Formulation
2.1.1. Optimization of ALN Formulations
2.1.2. Differential Scanning Calorimetry (DSC)
2.1.3. Transmission Electron Microscopy (TEM)
2.1.4. Zeta Potential
2.1.5. In Vitro Amygdalin Release Kinetics Study
2.2. Preparation and In Vitro Characterization of Optimum ALN Gel Formulation
2.2.1. Viscosity Coefficient Measurement of Optimum ALN Gel Formulation
2.2.2. Release and Permeation Studies of Optimum ALN Gel Formulation

2.3. In Vivo Characterization of Optimum ALN Gel Formulation
2.3.1. Treatment Efficiency of Optimum ALN Gel Formulation
2.3.2. Anti-Tumor Activity of Optimum ALN Gel Formulation
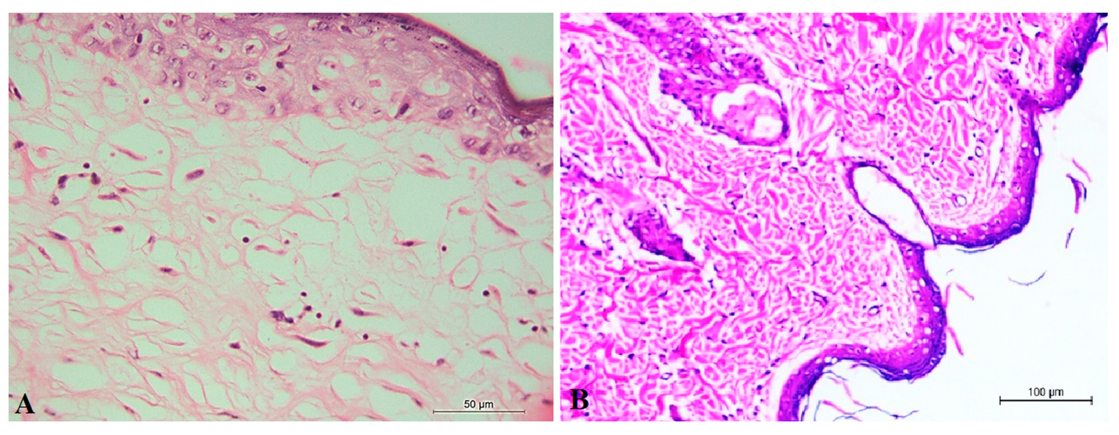
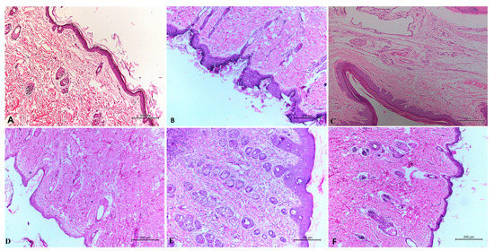
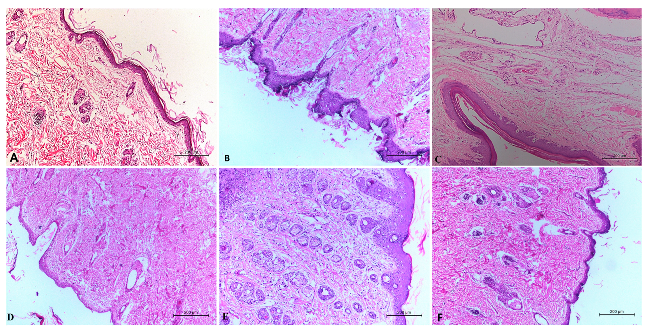
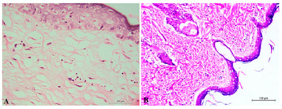
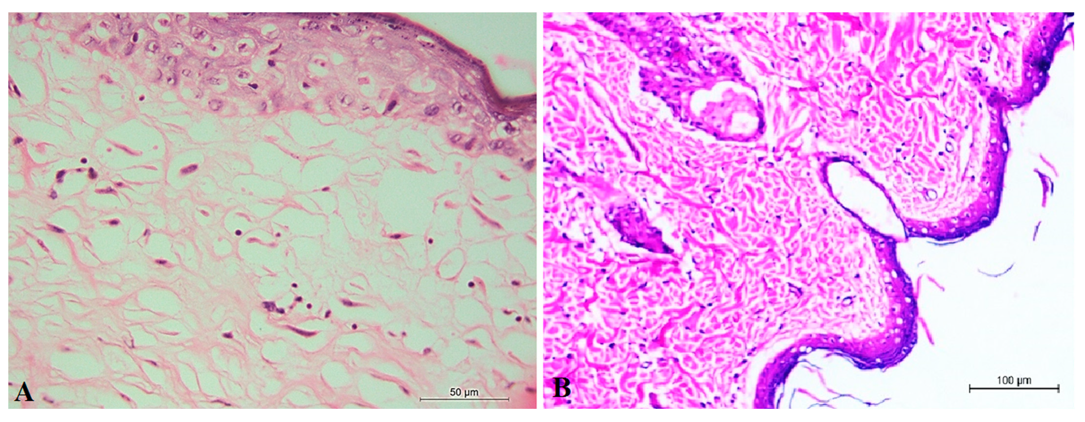
2.3.3. Toxicity of Optimum ALN Gel Formulation
3. Materials and Methods
3.1. Materials
3.2. Preparation and In Vitro Characterization of Optimum Amygdalin-Loaded Niosomes (ALN) Formulation
3.2.1. Preparation of ALN Formulations
3.2.2. Determination of Entrapment Efficiency
3.2.3. Particle Size and Poly Dispersity Index Determination
3.2.4. Differential Scanning Calorimetry (DSC)
3.2.5. Transmission Electron Microscopy (TEM)
3.2.6. Zeta Potential Determination
3.2.7. In Vitro Amygdalin Release Kinetics Study
3.3. Preparation and In Vitro Characterization of Optimum ALN Gel Formulation
3.3.1. Preparation of Optimum ALN Gel Formulation
3.3.2. Viscosity Coefficient Measurement
3.3.3. Ex-Vivo Permeation Study
3.4. In Vivo Characterization of Optimum ALN Gel Formulation
3.4.1. Tumor Induction
3.4.2. Study Plan
3.4.3. Treatment Efficiency of Optimum ALN Gel Formulation
3.4.4. Histopathological Examination of Optimum ALN Gel Formulation
3.5. Statistical Analysis
4. Conclusions
Author Contributions
Funding
Institutional Review Board Statement
Data Availability Statement
Acknowledgments
Conflicts of Interest
References
- Saleem, M.; Asif, J.; Asif, M.; Saleem, U. Amygdalin from apricot kernels induces apoptosis and causes cell cycle arrest in cancer cells: An updated review. Anti Cancer Agents Med. Chem. 2018, 18, 1650–1655. [Google Scholar] [CrossRef] [PubMed]
- Roy, P.; Saikia, B. Cancer and cure: A critical analysis. Indian J. Cancer 2016, 53, 441. [Google Scholar] [PubMed]
- Kumar, S.; Srinivasan, A.; Nikolajeff, F. Role of infrared spectroscopy and imaging in cancer diagnosis. Curr. Med. Chem. 2018, 25, 1055–1072. [Google Scholar] [CrossRef] [PubMed]
- Jemal, A.; Bray, F.; Melissa, M.; Ferlay, J.; Ward, E.; Forman, D. Global cancer statistics. CA A Cancer J. Clin. 2011, 61, 69–90. [Google Scholar] [CrossRef] [PubMed]
- Ferlay, J.; Soerjomataram, I.; Dikshit, R.; Eser, S.; Mathers, C.; Rebelo, M.; Parkin, D.; Forman, D.; Bray, F. Cancer incidence and mortality worldwide: Sources, methods and major patterns in GLOBOCAN 2012. Int. J. Cancer 2015, 136, E359–E386. [Google Scholar] [CrossRef]
- Sharma, G.; Dave, R.; Sanadya, J.; Sharma, P.; Sharma, K. Various types and management of breast cancer: An overview. J. Adv. Pharm. Technol. Res. 2010, 1, 109. [Google Scholar]
- Vutakuri, N.; Somara, S. Natural and herbal medicine for breast cancer using Elettaria cardamomum (L.) Maton. Int. J. Herb. Med. 2018, 6, 91–96. [Google Scholar]
- El-Masry, T.; Al-Shaalan, N.; Tousson, E.; Buabeid, M.; Al-Ghadeer, A. Potential therapy of vitamin B17 against Ehrlich solid tumor induced changes in Interferon gamma, Nuclear factor kappa B, DNA fragmentation, p53, Bcl2, survivin, VEGF and TNF-α Expressions in mice. Pak. J. Pharm. Sci. 2020, 33, 393–401. [Google Scholar]
- Mitra, S.; Dash, R. Natural products for the management and prevention of breast cancer. Evid. Based Complementary Altern. Med. 2018, 8324696. [Google Scholar] [CrossRef] [PubMed]
- Shanmugama, M.; Leeb, J.; PeiChaia, E.; Kanchi, M.; Kara, S.; Arfuso, F.; Dharmarajan, A.; Kumar, A.; Ramar, P.; Loo, C.; et al. Cancer prevention and therapy through the modulation of transcription factors by bioactive natural compounds. In Seminars in Cancer Biology; Academic Press: Cambridge, MA, USA, 2016; Volume 40, pp. 35–47. [Google Scholar]
- Syed, D.; Adhami, V.; Khan, N.; Khan, M.; Mukhtar, H. Exploring the molecular targets of dietary flavonoid fisetin in cancer. In Seminars in Cancer Biology; Academic Press: Cambridge, MA, USA, 2016; Volume 40, pp. 130–140. [Google Scholar]
- Sinha, D.; Sarkar, N.; Biswas, J.; Bishayee, A. Resveratrol for breast cancer prevention and therapy: Preclinical evidence and molecular mechanisms. In Seminars in Cancer Biology; Academic Press: Cambridge, MA, USA, 2016; Volume 40, pp. 209–232. [Google Scholar]
- Diederich, M.; Cerella, C. Non-canonical programmed cell death mechanisms triggered by natural compounds. In Seminars in Cancer Biology; Academic Press: Cambridge, MA, USA, 2016; Volume 40, pp. 4–34. [Google Scholar]
- Shankar, E.; Kanwal, R.; Candamo, M.; Gupta, S. Dietary phytochemicals as epigenetic modifiers in cancer: Promise and challenges. In Seminars in Cancer Biology; Academic Press: Cambridge, MA, USA, 2016; Volume 40, pp. 82–99. [Google Scholar]
- Stock, C.; Pedersen, S.F. Roles of pH and the Na+/H+ exchanger NHE1 in cancer: From cell biology and animal models to an emerging translational perspective? In Seminars in Cancer Biology; Academic Press: Cambridge, MA, USA, 2017; Volume 43, pp. 5–16. [Google Scholar]
- Kallifatidis, G.; Hoy, J.J.; Lokeshwar, B.L. Bioactive natural products for chemoprevention and treatment of castration-resistant prostate cancer. In Seminars in Cancer Biology; Academic Press: Cambridge, MA, USA, 2016; Volume 40, pp. 160–169. [Google Scholar]
- Bak, M.; Gupta, S.; Wahler, J.; Suh, N. Role of dietary bioactive natural products in estrogen receptor-positive breast cancer. In Seminars in Cancer Biology; Academic Press: Cambridge, MA, USA, 2016; Volume 40, pp. 170–191. [Google Scholar]
- Dandawate, P.; Subramaniam, S.; Jensen, R.; Anant, S. Targeting cancer stem cells and signaling pathways by phytochemicals: Novel approach for breast cancer therapy. In Seminars in Cancer Biology; Academic Press: Cambridge, MA, USA, 2016; Volume 40, pp. 192–208. [Google Scholar]
- Bishayee, A.; Sethi, G. Bioactive natural products in cancer prevention and therapy: Progress and promise. In Seminars in Cancer Biology; Academic Press: Cambridge, MA, USA, 2016; Volume 40, pp. 1–3. [Google Scholar]
- Holbeck, S.L.; Collins, J.M.; Doroshow, J.H. Analysis of Food and Drug Administration–approved anticancer agents in the NCI60 panel of human tumor cell lines. Mol. Cancer Ther. 2010, 9, 1451–1460. [Google Scholar] [CrossRef]
- Akhone, M.; Bains, A.; Tosif, M.; Chawla, P.; Fogarasi, M.; Fogarasi, S. Apricot Kernel: Bioactivity, Characterization, Applications, and Health Attributes. Foods 2022, 11, 2184. [Google Scholar] [CrossRef] [PubMed]
- Cassiem, W.; de Kock, M. The anti-proliferative effect of apricot and peach kernel extracts on human colon cancer cells in vitro. BMC Comp. Altern. Med. 2019, 19, 1–12. [Google Scholar] [CrossRef] [PubMed]
- Enculescu, M. Vitamin B17/laetrile/amygdalin (a review). Bull. UASVM Anim. Sci. Biotechnol. 2009, 66, 20–25. [Google Scholar]
- Lee, H.M.; Moon, A. Amygdalin regulates apoptosis and adhesion in Hs578T triple-negative breast cancer cells. Biomol. Ther. 2016, 24, 62. [Google Scholar] [CrossRef] [PubMed]
- Amaya-Salcedo, J.C.; Cárdenas-González, O.E.; Gómez-Castaño, J.A. Solid-to-liquid extraction and HPLC/UV determination of amygdalin of seeds of apple (Malus pumila Mill): Comparison between traditional-solvent and microwave methodologies. Acta Agronómica 2018, 67, 381–388. [Google Scholar]
- El-Masry, T.; Al-Shaalan, N.; Tousson, E.; Buabeid, M.; Alyousef, A. The therapeutic and antineoplastic effects of vitamin B17 against the growth of solid-form Ehrlich tumours and the associated changes in oxidative stress, DNA damage, apoptosis and proliferation in mice. Pak. J. Pharm. Sci. 2019, 32, 2801–2810. [Google Scholar] [PubMed]
- Moradipoodeh, B.; Jamalan, M.; Zeinali, M.; Fereidoonnezhad, M.; Mohammadzadeh, G. In vitro and in silico anticancer activity of amygdalin on the SK-BR-3 human breast cancer cell line. Mol. Biol. Rep. 2019, 46, 6361–6370. [Google Scholar] [PubMed]
- Mosayyebi, B.; Imani, M.; Mohammadi, L.; Akbarzadeh, A.; Zarghami, N.; Alizadeh, E.; Rahmati, M. Comparison Between β-Cyclodextrin-Amygdalin Nanoparticle and Amygdalin Effects on Migration and Apoptosis of MCF-7 Breast Cancer Cell Line. J. Clust. Sci. 2022, 33, 935–947. [Google Scholar] [CrossRef]
- Sohail, R.; Abbas, S.R. Evaluation of amygdalin-loaded alginate-chitosan nanoparticles as biocompatible drug delivery carriers for anticancerous efficacy. Int. J. Biol. Macromol. 2020, 153, 36–45. [Google Scholar] [CrossRef] [PubMed]
- Shi, J.; Chen, Q.; Xu, M.; Xia, M.; Zheng, T.; Teng, J.; Li, M.; Fan, L. Recent updates and future perspectives about amygdalin as a potential anticancer agent: A review. Cancer Med. 2019, 8, 3004–3011. [Google Scholar] [CrossRef] [PubMed]
- Dang, T.; Nguyen, C.; Tran, P.N. Physician beware: Severe cyanide toxicity from amygdalin tablets ingestion. Case Rep. Emerg. Med. 2017, 4289527. [Google Scholar] [CrossRef] [PubMed]
- Hea, X.; Wua, L.; Wang, W.; Xie, P.; Wang, Y. Amygdalin-A pharmacological and toxicological review. J. Ethnopharmacol. 2020, 254, 112717. [Google Scholar] [CrossRef] [PubMed]
- Gamal, A.; Kharshoum, R.; Sayed, O.; El-Ela, F.; Salem, H. Control of basal cell carcinoma via positively charged ethosomes of Vismodegib: In vitro and in vivo studies. J. Drug Deliv. Sci. Technol. 2020, 56, 101556. [Google Scholar] [CrossRef]
- Gamal, A.; Sayed, O.; El-Ela, F.; Kharshoum, R.; Salem, H. Treatment of basal cell carcinoma via binary ethosomes of vismodegib: In vitro and in vivo studies. AAPS PharmSciTech 2020, 21, 1–11. [Google Scholar]
- Alkilani, A.Z.; McCrudden, M.T.; Donnelly, R.F. Transdermal drug delivery: Innovative pharmaceutical developments based on disruption of the barrier properties of the stratum corneum. Pharmaceutics 2015, 7, 438–470. [Google Scholar] [CrossRef]
- Rehman, K.; Zulfakar, M.H. Recent advances in gel technologies for topical and transdermal drug delivery. Drug Dev. Ind. Pharm. 2014, 40, 433–440. [Google Scholar] [CrossRef]
- Manosroi, A.; Wongtrakul, P.; Manosroi, J.; Sakai, H.; Sugawara, F.; Yuasa, M.; Abe, M. Characterization of vesicles prepared with various non-ionic surfactants mixed with cholesterol. Colloids. Surf. B Biointerfaces 2003, 30, 129–138. [Google Scholar] [CrossRef]
- Kazi, K.; Mandal, A.; Biswas, N.; Guha, A.; Chatterjee, S.; Behera, M.; Kuotsu, K. Niosome: A future of targeted drug delivery systems. J. Adv. Pharm. Technol. Res. 2010, 1, 374. [Google Scholar]
- Nowroozi, F.; Almasi, A.; Javidi, J.; Haeri, A.; Dadashzadeh, S. Effect of surfactant type, cholesterol content and various downsizing methods on the particle size of niosomes. Iran. J. Pharm. Res. IJPR 2018, 17 (Suppl. S2), 1. [Google Scholar]
- Bnyan, R.; ftikhar Khan, I.; Ehtezazi, T.; Saleem, I.; Gordon, S.; O’Neill, F.; Roberts, M. Surfactant effects on lipid-based vesicles properties. J. Pharm. Sci. 2018, 107, 1237–1246. [Google Scholar] [CrossRef]
- Chaw, C.S.; Kim, K.Y.A. Effect of formulation compositions on niosomal preparations. Pharm. Dev. Technol. 2013, 18, 667–672. [Google Scholar] [CrossRef] [PubMed]
- Chauhan, M.K.; Bhatt, N. Bioavailability enhancement of polymyxin B with novel drug delivery: Development and optimization using quality-by-design approach. J. Pharm. Sci. 2019, 108, 1521–1528. [Google Scholar] [CrossRef] [PubMed]
- Waddad, A.; Abbad, S.; Yu, F.; Munyendo, W.; Wang, J.; Lv, H.; Zhoua, J. Formulation, characterization and pharmacokinetics of Morin hydrate niosomes prepared from various non-ionic surfactants. Int. J. Pharm. 2013, 456, 446–458. [Google Scholar] [CrossRef]
- Homaei, M. Preparation and Characterization of Giant Niosomes. Master’s Thesis, Chalmers University of Technology, Gothenburg, Sweden, September 2016. [Google Scholar]
- Abdelbary, G.; El-Gendy, N. Niosome-encapsulated gentamicin for ophthalmic controlled delivery. AAPS Pharmscitech 2008, 9, 740–747. [Google Scholar] [CrossRef] [PubMed]
- Kassem, M.; Megahed, M.; Abu Elyazid, S.; Abd-Allah, F.; Abdelghany, T.; Al-Abd, A.; El-Say, K. Enhancing the therapeutic efficacy of tamoxifen citrate loaded span-based nano-vesicles on human breast adenocarcinoma cells. AAPS PharmSciTech 2018, 19, 1529–1543. [Google Scholar] [CrossRef]
- Witika, B.A.; Walker, R. Preformulation characterization and identification of excipients for nevirapine loaded niosomes. Die Pharm. Int. J. Pharm. Sci. 2021, 76, 77–83. [Google Scholar]
- Arafa, M.G.; Ayoub, B.M. DOE optimization of nano-based carrier of pregabalin as hydrogel: New therapeutic & chemometric approaches for controlled drug delivery systems. Sci. Rep. 2017, 7, 1–15. [Google Scholar]
- Mohawed, O.A.; El-Ashmoony, M.; Elgazayerly, O.N. Niosome-encapsulated clomipramine for transdermal controlled delivery. Int. J. Pharm. Pharm. Sci. 2014, 6, 567–575. [Google Scholar]
- Gamal, A.; Saeed, H.; Abo El-Ela, F.; Salem, H. Improving the antitumor activity and bioavailability of sonidegib for the treatment of skin cancer. Pharmaceutics 2021, 13, 1560. [Google Scholar] [CrossRef]
- Shuwaili, A.H.A.; Rasool, B.K.A.; Abdulrasool, A.A. Optimization of elastic transfersomes formulations for transdermal delivery of pentoxifylline. Eur. J. Pharm. Biopharm. 2016, 102, 101–114. [Google Scholar] [CrossRef]
- Weber, E.; Moyers-González, M.; Burghelea, T.I. Thermorheological properties of a carbopol gel under shear. J. Non-Newton. Fluid Mech. 2012, 183, 14–24. [Google Scholar] [CrossRef]
- Kushla, G.P.; Zatz, J.L.; Mills, O.H.; Berger, R.S. Noninvasive assessment of anesthetic activity of topical lidocaine formulations. J. Pharm. Sci. 1993, 82, 1118–1122. [Google Scholar] [CrossRef] [PubMed]
- Salem, H.; Kharshoum, R.; El-Ela, F.; Gamal, A.; Abdellatif, K. Evaluation and optimization of pH-responsive niosomes as a carrier for efficient treatment of breast cancer. Drug Deliv. Transl. Res. 2018, 8, 633–644. [Google Scholar] [CrossRef]
- Gamal, A.; Saeed, H.; Sayed, O.; Kharshoum, R.; Salem, H. Proniosomal microcarriers: Impact of constituents on the physicochemical properties of proniosomes as a new approach to enhance inhalation efficiency of dry powder inhalers. AAPS PharmSciTech 2020, 21, 1–12. [Google Scholar] [CrossRef]
- Zhang, Y.; Huo, M.; Zhou, J.; Zou, A.; Li, W.; Yao, C.; Xie, S. DDSolver: An add-in program for modeling and comparison of drug dissolution profiles. AAPS J. 2010, 12, 263–271. [Google Scholar] [CrossRef] [PubMed]
- Wang, Z.; Zhang, X. Chemopreventive activity of honokiol against 7, 12-dimethylbenz [a] anthracene-induced mammary cancer in female Sprague Dawley rats. Front. Pharmacol. 2017, 8, 320. [Google Scholar] [CrossRef] [PubMed]
- Russo, I.H.; Russo, J. Developmental stage of the rat mammary gland as determinant of its susceptibility to 7, 12-dimethylbenz [a] anthracene. J. Natl. Cancer Inst. 1978, 61, 1439–1449. [Google Scholar] [PubMed]
- Kwon, Y.; Ye, D.; Baek, H.; Chun, Y. 7, 12-Dimethylbenz [α] anthracene increases cell proliferation and invasion through induction of Wnt/β-catenin signaling and EMT process. Environ. Toxicol. 2018, 33, 729–742. [Google Scholar] [CrossRef] [PubMed]
- Kerdelhué, B.; Forest, C.; Coumoul, X. Dimethyl-Benz (a) anthracene: A mammary carcinogen and a neuroendocrine disruptor. Biochim. Open 2016, 3, 49–55. [Google Scholar] [CrossRef]
- Shaker, D.S.; Shaker, M.A.; Hanafy, M.S. Cellular uptake, cytotoxicity and in-vivo evaluation of Tamoxifen citrate loaded niosomes. Int. J. Pharm. 2015, 493, 285–294. [Google Scholar] [CrossRef]
- Abo El-Ela, F.; Hussein, K.; El-Banna, H.; Gamal, A.; Rouby, S.; Menshawy, A.; EL-Nahass, E.; Anwar, S.; Zeinhom, M.; Salem, H.F.; et al. Treatment of Brucellosis in Guinea Pigs via a Combination of Engineered Novel pH-Responsive Curcumin Niosome Hydrogel and Doxycycline-Loaded Chitosan–Sodium Alginate Nanoparticles: An In Vitro and In Vivo Study. AAPS PharmSciTech 2020, 21, 1–11. [Google Scholar] [CrossRef] [PubMed]







| Formulation Code | X1 | X2 | X3 | Y1 (%) (Mean ± SD) | Y2 (nm) (Mean ± SD) | Y3 (Mean ± SD) |
|---|---|---|---|---|---|---|
| F1 | 14.9 | 2:1 | 1:0.1 | 22.32 ± 0.84 | 349.80 ± 4.51 | 0.710 ± 0.01 |
| F2 | 14.9 | 1:1 | 1:0.1 | 28.82 ± 4.30 | 330.23 ± 10.05 | 0.610 ± 0.02 |
| F3 | 14.9 | 1:2 | 0 | 17.53 ± 1.10 | 395.33 ± 8.60 | 0.730 ± 0.02 |
| F4 | 4.7 | 1:2 | 1:0.1 | 5.97 ± 1.05 | 175.50 ± 17.12 | 0.253 ± 0.03 |
| F5 | 9.8 | 1:2 | 1:0.1 | 46.32 ± 0.84 | 192.43 ± 2.52 | 0.303 ± 0.02 |
| F6 | 14.9 | 1:2 | 1:0.1 | 66.52 ± 0.57 | 269.30 ± 9.58 | 0.331 ± 0.01 |
| F7 | 14.9 | 1:2 | 1:0.2 | 48.76 ± 0.45 | 343.07 ± 16.07 | 0.523 ± 0.01 |
| Models | Formulation Code | ||||
|---|---|---|---|---|---|
| Free Amygdalin Solution | Optimum ALN | Free Amygdalin Gel | Optimum ALN Gel | ||
| Zero-order | R2 | 0.8306 | 0.8931 | 0.8301 | 0.9813 |
| AIC | 74.16 | 68.9844 | 70.5037 | 43.3294 | |
| MSC | 1.1574 | 1.7850 | 1.1545 | 3.5498 | |
| First-order | R2 | 0.9810 | 0.9778 | 0.9719 | 0.9666 |
| AIC | 52.6823 | 53.2812 | 52.5032 | 49.1558 | |
| MSC | 3.3502 | 3.3553 | 2.9546 | 2.9672 | |
| Higuchi | R2 | 0.9944 | 0.9099 | 0.9939 | 0.8702 |
| AIC | 40.2658 | 67.2772 | 36.825 | 62.7321 | |
| MSC | 4.5919 | 1.9557 | 4.5224 | 1.6095 | |
| Korsmeyer–Peppas | R2 | 0.999 | 0.9521 | 0.9985 | 0.9830 |
| AIC | 24.6978 | 62.9484 | 24.4751 | 44.3785 | |
| MSC | 6.1487 | 2.3886 | 5.7574 | 3.4449 | |
| Weibull | R2 | 0.9843 | 0.997 | 0.9920 | 0.9873 |
| AIC | 54.7420 | 36.8968 | 43.4813 | 43.5044 | |
| MSC | 3.1442 | 4.9938 | 3.8568 | 3.5323 | |
| Hixson–Crowell | R2 | 0.9709 | 0.9720 | 0.9477 | 0.9750 |
| AIC | 57.0082 | 55.5794 | 58.7300 | 46.2607 | |
| MSC | 2.9176 | 3.1255 | 2.3319 | 3.2567 | |
| Formulation Code | Viscosity Coefficient (cP) | Release (%) | Flux (µg.cm−2.h−1) |
|---|---|---|---|
| Free amygdalin solution | 98.24 ± 1.36 | ||
| Optimum ALN | 74.36 ± 1.07 | ||
| Free amygdalin gel | 137.43 ± 1.46 | 80.17 ± 1.78 | 1.76 ± 0.04 |
| Optimum ALN gel | 169.04 ± 1.06 | 60.45 ± 1.11 | 3.54 ± 0.03 |
Publisher’s Note: MDPI stays neutral with regard to jurisdictional claims in published maps and institutional affiliations. |
© 2022 by the authors. Licensee MDPI, Basel, Switzerland. This article is an open access article distributed under the terms and conditions of the Creative Commons Attribution (CC BY) license (https://creativecommons.org/licenses/by/4.0/).
Share and Cite
El-Ela, F.I.A.; Gamal, A.; Elbanna, H.A.; ElBanna, A.H.; Salem, H.F.; Tulbah, A.S. In Vitro and In Vivo Evaluation of the Effectiveness and Safety of Amygdalin as a Cancer Therapy. Pharmaceuticals 2022, 15, 1306. https://doi.org/10.3390/ph15111306
El-Ela FIA, Gamal A, Elbanna HA, ElBanna AH, Salem HF, Tulbah AS. In Vitro and In Vivo Evaluation of the Effectiveness and Safety of Amygdalin as a Cancer Therapy. Pharmaceuticals. 2022; 15(11):1306. https://doi.org/10.3390/ph15111306
Chicago/Turabian StyleEl-Ela, Fatma I. Abo, Amr Gamal, Hossny Awad Elbanna, Ahmed H. ElBanna, Heba F. Salem, and Alaa S. Tulbah. 2022. "In Vitro and In Vivo Evaluation of the Effectiveness and Safety of Amygdalin as a Cancer Therapy" Pharmaceuticals 15, no. 11: 1306. https://doi.org/10.3390/ph15111306
APA StyleEl-Ela, F. I. A., Gamal, A., Elbanna, H. A., ElBanna, A. H., Salem, H. F., & Tulbah, A. S. (2022). In Vitro and In Vivo Evaluation of the Effectiveness and Safety of Amygdalin as a Cancer Therapy. Pharmaceuticals, 15(11), 1306. https://doi.org/10.3390/ph15111306

