Promising Antiviral Activity of Agrimonia pilosa Phytochemicals against Severe Acute Respiratory Syndrome Coronavirus 2 Supported with In Vivo Mice Study
Abstract
1. Introduction
2. Results
2.1. Results of LC-ESI-MS/MS Analysis of APEE
2.1.1. Characterization of Detected Compounds
Flavone Subclass
Flavonol Subclass
Flavanone Subclass
DihydroFlavonol Subclass
Flavanols Subclass
Isoflavonoids Subclass
Flavonoid Glycosides
Procyanidins
Cyanidin Glycosides
Anthocyanins
Coumarins
2.2. Antioxidant Activity
2.3. Total Content of Flavonoids and Polyphenols
2.4. Antiviral Activity
2.4.1. Cytotoxicity of APEE on Vero-E6 Cells
2.4.2. Antiviral Activity of APEE
2.4.3. Mechanism of the Antiviral Activity of APEE against SARS-CoV-2
2.5. Immunomodulatory Activity of APEE
2.5.1. MTT Assay on PBMC
2.5.2. qRT-PCR
2.6. In Vivo Studies
2.6.1. Effects of APEE Treatment on Lung Wet-Dry Ratio
2.6.2. Effects of APEE Treatment on MPO Activity
2.6.3. Effects of APEE Treatment on TAC
2.6.4. Effects of APEE Treatment on Lung NO Levels
2.6.5. Effects of APEE Treatment on Lung IL-1β Levels
2.6.6. Effects of APEE Treatment on Serum IL-6 Levels
2.6.7. Effects APEE Treatment on Lung Expression of IL-18 Gene
2.6.8. Effects APEE Treatment on Lung Expression of IL-10 Gene
2.6.9. Effects APEE Treatment on Lung Expression of HO-1 Gene
2.6.10. Effects APEE Treatment on Lung Expression of Caspase-1 Gene
2.6.11. Effects APEE Treatment on Lung Expression of Caspase 3 Gene
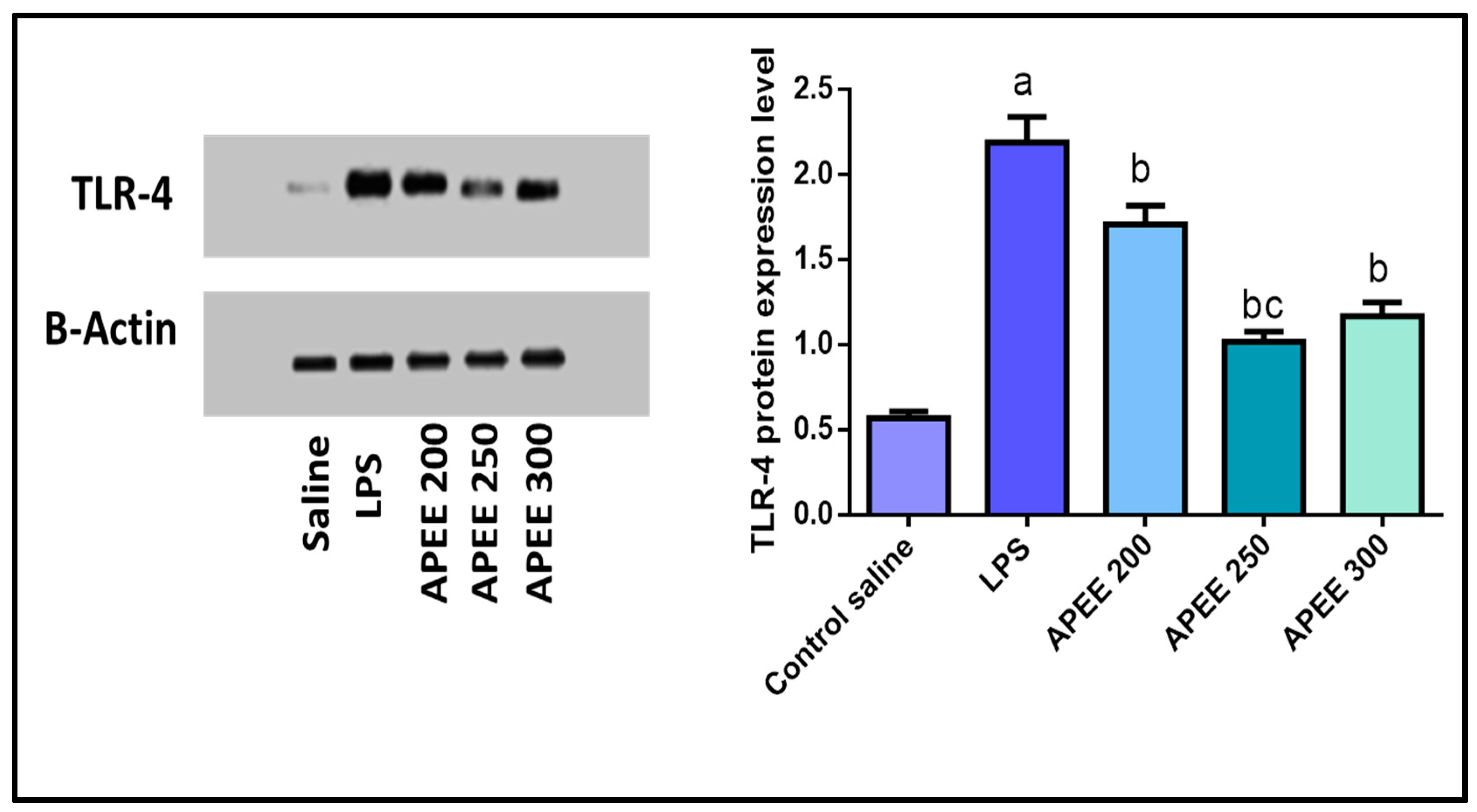
2.6.12. Effect of APEE Treatment on TLR4 Expression
2.6.13. Histopathological Examination of the Lung Tissue
3. Discussion
4. Materials and Methods
4.1. Plant Materials and Extract Preparation
4.2. Animals
4.3. Drugs and Chemicals
4.4. LC-ESI-MS/MS Analysis of APEE
4.5. Antioxidant Activity of APEE
4.5.1. Determination of Total Flavonoids and Polyphenolics Content
4.5.2. The DPPH Radical Scavenging Capacity
4.5.3. The ABTS Radical Scavenging Capacity
4.5.4. Ferric Reducing Antioxidant Potential (FRAP) Assay
4.5.5. Free Radical Scavenging by the Oxygen Radical Absorbance Capacity (ORAC) Assay
4.6. Antiviral Activity of APEE
4.6.1. Virus and Cell Lines
4.6.2. MTT Cytotoxicity Test
4.6.3. Plaque Inhibition Assay
4.6.4. Mechanism(s) of Action
Viral Adsorption
Viral Replication
Virucidal Activity
4.7. Immunomodulatory Activity
4.7.1. Peripheral Blood Mononuclear Cells (PBMCs) Isolation
4.7.2. MTT Cytotoxicity Assay
4.7.3. Quantitative Real-Time PCR (qRT-PCR)
4.8. Induction of Acute Lung Injury by LPS
4.8.1. Sample Collection
4.8.2. Measurement of Lung Wet/Dry Ratio
4.8.3. Determination of Total Antioxidant Enzyme Capacity (TAC)
4.8.4. Determination of Lung Nitric Oxide (NO) Content
4.8.5. Determination of Lung Myeloperoxidase Activity (MPO)
4.8.6. Determination of Lung IL-1β Levels
4.8.7. Determination of Serum IL-6 Levels
4.8.8. qRT-PCR for IL-10, IL-18, HO-1, Capase-1, and Caspase-3 Genes
4.8.9. Western Blot Analysis for Toll-Like Receptor-4
4.8.10. Histopathological Examination of Lung Sections
4.8.11. Statistical Analysis
5. Conclusions
Supplementary Materials
Author Contributions
Funding
Institutional Review Board Statement
Informed Consent Statement
Data Availability Statement
Acknowledgments
Conflicts of Interest
References
- Zhou, P.; Yang, X.-L.; Wang, X.-G.; Hu, B.; Zhang, L.; Zhang, W.; Si, H.-R.; Zhu, Y.; Li, B.; Huang, C.-L. A pneumonia outbreak associated with a new coronavirus of probable bat origin. Nature 2020, 579, 270–273. [Google Scholar] [CrossRef] [PubMed]
- Huang, C.; Wang, Y.; Li, X.; Ren, L.; Zhao, J.; Hu, Y.; Zhang, L.; Fan, G.; Xu, J.; Gu, X. Clinical features of patients infected with 2019 novel coronavirus in Wuhan, China. Lancet 2020, 395, 497–506. [Google Scholar] [CrossRef]
- Boban, M. Novel coronavirus disease (COVID-19) update on epidemiology, pathogenicity, clinical course and treatments. Int. J. Clin. Pract. 2021, 75, e13868. [Google Scholar] [CrossRef]
- Aguilar, R.B.; Hardigan, P.; Mayi, B.; Sider, D.; Piotrkowski, J.; Mehta, J.P.; Dev, J.; Seijo, Y.; Camargo, A.L.; Andux, L. Current understanding of COVID-19 clinical course and investigational treatments. Front. Med. 2020, 7, 638. [Google Scholar] [CrossRef] [PubMed]
- Lin, S.-N.; Rui, J.; Chen, Q.-P.; Zhao, B.; Yu, S.-S.; Li, Z.-Y.; Zhao, Z.-Y.; Wang, Y.; Zhu, Y.-Z.; Xu, J.-W. Effectiveness of potential antiviral treatments in COVID-19 transmission control: A modelling study. Infect. Dis. Poverty 2021, 10, 1–17. [Google Scholar] [CrossRef]
- WHO. WHO Coronavirus (COVID-19) Dashboard (26-4-2021); WHO: Geneva, Switzerland, 2021. [Google Scholar]
- Duman, N.; ALzaidi, Z.; Aynekin, B.; Taskin, D.; Demirors, B.; Yildirim, A.; Sahin, I.O.; Bilgili, F.; Turanli, E.T.; Beccari, T. COVID-19 vaccine candidates and vaccine development platforms available worldwide. J. Pharm. Anal. 2021. [Google Scholar] [CrossRef]
- Sytar, O.; Brestic, M.; Hajihashemi, S.; Skalicky, M.; Kubeš, J.; Lamilla-Tamayo, L.; Ibrahimova, U.; Ibadullayeva, S.; Landi, M. COVID-19 prophylaxis efforts based on natural antiviral plant extracts and their compounds. Molecules 2021, 26, 727. [Google Scholar] [CrossRef]
- Huang, J.; Tao, G.; Liu, J.; Cai, J.; Huang, Z.; Chen, J.-X. Current prevention of COVID-19: Natural products and herbal medicine. Front. Pharmacol. 2020, 11, 1635. [Google Scholar] [CrossRef]
- Kim, J.-J.; Jiang, J.; Shim, D.-W.; Kwon, S.-C.; Kim, T.-J.; Ye, S.-K.; Kim, M.-K.; Shin, Y.-K.; Koppula, S.; Kang, T.-B. Anti-inflammatory and anti-allergic effects of Agrimonia pilosa Ledeb extract on murine cell lines and OVA-induced airway inflammation. J. Ethnopharmacol. 2012, 140, 213–221. [Google Scholar] [CrossRef]
- Kim, S.B.; Hwang, S.H.; Suh, H.-W.; Lim, S.S. Phytochemical analysis of Agrimonia pilosa Ledeb, its antioxidant activity and aldose reductase inhibitory potential. Int. J. Mol. Sci. 2017, 18, 379. [Google Scholar] [CrossRef]
- Zhu, L.; Tan, J.; Wang, B.; He, R.; Liu, Y.; Zheng, C. Antioxidant activities of aqueous extract from Agrimonia pilosa Ledeb and its fractions. Chem. Biodivers. 2009, 6, 1716–1726. [Google Scholar] [CrossRef]
- Kato, H.; Li, W.; Koike, M.; Wang, Y.; Koike, K. Phenolic glycosides from Agrimonia pilosa. Phytochemistry 2010, 71, 1925–1929. [Google Scholar] [CrossRef]
- Pang, H.; Zhu, Y.; Qiao, P.; Wen, D.-Z. Genetic toxicity of Agrimonia pilosa Ledeb in male mouse genital cells. J. Jilin Univ. (Med. Ed.) 2006, 32, 445–447. [Google Scholar]
- Park, J.-H.; Ra, J.-S.; Kwon, J.E.; Her, Y.-M.; Choe, T.H.; Lee, Y.-S.; Suh, H.J.; Shin, S.-Y.; Park, D.W.; Kwak, H.-H. Evaluation of genetic toxicity, acute and sub-chronic oral toxicity and systemic safety of Agrimonia pilosa and Rhus gall 50% ethanolic extract mixture (APRG64) in vitro and in vivo (rodent and non-rodent animal models). Toxicol. Res. 2020, 36, 367–406. [Google Scholar] [CrossRef]
- Shin, W.J.; Lee, K.H.; Park, M.H.; Seong, B.L. Broad-spectrum antiviral effect of Agrimonia pilosa extract on influenza viruses. Microbiol. Immunol. 2010, 54, 11–19. [Google Scholar] [CrossRef] [PubMed]
- Tsimogiannis, D.; Samiotaki, M.; Panayotou, G.; Oreopoulou, V. Characterization of flavonoid subgroups and hydroxy substitution by HPLC-MS/MS. Molecules 2007, 12, 593–606. [Google Scholar] [CrossRef]
- Kachlicki, P.; Piasecka, A.; Stobiecki, M.; Marczak, Ł. Structural characterization of flavonoid glycoconjugates and their derivatives with mass spectrometric techniques. Molecules 2016, 21, 1494. [Google Scholar] [CrossRef] [PubMed]
- Nakata, R.; Yoshinaga, N.; Teraishi, M.; Okumoto, Y.; Huffaker, A.; Schmelz, E.A.; Mori, N. A fragmentation study of isoflavones by IT-TOF-MS using biosynthesized isotopes. Biosci. Biotechnol. Biochem. 2018, 82, 1309–1315. [Google Scholar] [CrossRef]
- Flamini, R. Recent applications of mass spectrometry in the study of grape and wine polyphenols. Int. Sch. Res. Not. 2013, 2013. [Google Scholar] [CrossRef]
- Sun, C.; Wang, Y.; Sun, S.; Chen, X.; Shi, X.; Fang, H.; Zhang, Y.; Fang, Z. Fragmentation pathways of protonated coumarin by ESI-QE-Orbitrap-MS/MS coupled with DFT calculations. J. Mass Spectrom. 2020, 55, e4496. [Google Scholar] [CrossRef] [PubMed]
- Tine, Y.; Renucci, F.; Costa, J.; Wélé, A.; Paolini, J. A method for LC-MS/MS profiling of coumarins in Zanthoxylum zanthoxyloides (Lam.) B. Zepernich and Timler extracts and essential oils. Molecules 2017, 22, 174. [Google Scholar] [CrossRef]
- Šuković, D.; Knežević, B.; Gašić, U.; Sredojević, M.; Ćirić, I.; Todić, S.; Mutić, J.; Tešić, Ž. Phenolic profiles of leaves, grapes and wine of grapevine variety vranac (Vitis vinifera L.) from Montenegro. Foods 2020, 9, 138. [Google Scholar] [CrossRef] [PubMed]
- Remali, J.; Aizat, W.M. A review on plant bioactive compounds and their modes of action against coronavirus infection. Front. Pharmacol. 2020, 11, 2256. [Google Scholar] [CrossRef] [PubMed]
- Chen, L.; Kang, Y.-H. Antioxidant activities of Agrimonia pilosa ledeb: In vitro comparative activities of its different fractions. Korean J. Plant Resour. 2014, 27, 642–649. [Google Scholar] [CrossRef][Green Version]
- Mostafa, A.; Kandeil, A.; Elshaier, A.M.M.Y.; Kutkat, O.; Moatasim, Y.; Rashad, A.A.; Shehata, M.; Gomaa, M.R.; Mahrous, N.; Mahmoud, S.H. FDA-approved drugs with potent in vitro antiviral activity against severe acute respiratory syndrome coronavirus 2. Pharmaceuticals 2020, 13, 443. [Google Scholar] [CrossRef] [PubMed]
- Nie, C.; Trimpert, J.; Moon, S.; Haag, R.; Gilmore, K.; Kaufer, B.B.; Seeberger, P.H. In vitro efficacy of Artemisia extracts against SARS-CoV-2. bioRxiv 2021. [Google Scholar] [CrossRef] [PubMed]
- Saito, K.; Fukasawa, M.; Shirasago, Y.; Suzuki, R.; Osada, N.; Yamaji, T.; Wakita, T.; Konishi, E.; Hanada, K. Comparative characterization of Flavivirus production in two cell lines: Human hepatoma-derived Huh7. 5.1–8 and african green monkey kidney-derived vero. PLoS ONE 2020, 15, e0232274. [Google Scholar] [CrossRef]
- Roshdy, W.H.; Rashed, H.A.; Kandeil, A.; Mostafa, A.; Moatasim, Y.; Kutkat, O.; Abo Shama, N.M.; Gomaa, M.R.; El-Sayed, I.H.; El Guindy, N.M. EGYVIR: An immunomodulatory herbal extract with potent antiviral activity against SARS-CoV-2. PLoS ONE 2020, 15, e0241739. [Google Scholar] [CrossRef]
- Zannella, C.; Giugliano, R.; Chianese, A.; Buonocore, C.; Vitale, G.A.; Sanna, G.; Sarno, F.; Manzin, A.; Nebbioso, A.; Termolino, P. Antiviral Activity of Vitis vinifera Leaf Extract against SARS-CoV-2 and HSV-1. Viruses 2021, 13, 1263. [Google Scholar] [CrossRef] [PubMed]
- Plante, K.S.; Dwivedi, V.; Plante, J.A.; Fernandez, D.; Mirchandani, D.; Bopp, N.; Aguilar, P.V.; Park, J.-G.; Tamayo, P.P.; Delgado, J. Antiviral activity of oleandrin and a defined extract of Nerium oleander against SARS-CoV-2. Biomed. Pharmacother. 2021, 138, 111457. [Google Scholar] [CrossRef] [PubMed]
- Jo, S.; Kim, S.; Shin, D.H.; Kim, M.-S. Inhibition of SARS-CoV 3CL protease by flavonoids. J. Enzym. Inhib. Med. Chem. 2020, 35, 145–151. [Google Scholar] [CrossRef]
- Viola, A.; Munari, F.; Sánchez-Rodríguez, R.; Scolaro, T.; Castegna, A. The metabolic signature of macrophage responses. Front. Immunol. 2019, 10, 1462. [Google Scholar] [CrossRef]
- Dong, J.; Li, J.; Cui, L.; Wang, Y.; Lin, J.; Qu, Y.; Wang, H. Cortisol modulates inflammatory responses in LPS-stimulated RAW264. 7 cells via the NF-κB and MAPK pathways. BMC Vet. Res. 2018, 14, 30. [Google Scholar] [CrossRef]
- Sharifi-Rad, M.; Anil Kumar, N.V.; Zucca, P.; Varoni, E.M.; Dini, L.; Panzarini, E.; Rajkovic, J.; Tsouh Fokou, P.V.; Azzini, E.; Peluso, I. Lifestyle, oxidative stress, and antioxidants: Back and forth in the pathophysiology of chronic diseases. Front. Physiol. 2020, 11, 694. [Google Scholar] [CrossRef]
- Matthay, M.A.; Ware, L.B.; Zimmerman, G.A. The acute respiratory distress syndrome. J. Clin. Investig. 2012, 122, 2731–2740. [Google Scholar] [CrossRef] [PubMed]
- An, X.; Sun, X.; Hou, Y.; Yang, X.; Chen, H.; Zhang, P.; Wu, J. Protective effect of oxytocin on LPS-induced acute lung injury in mice. Sci. Rep. 2019, 9, 1–11. [Google Scholar]
- Imai, Y.; Kuba, K.; Neely, G.G.; Yaghubian-Malhami, R.; Perkmann, T.; van Loo, G.; Ermolaeva, M.; Veldhuizen, R.; Leung, Y.C.; Wang, H. Identification of oxidative stress and Toll-like receptor 4 signaling as a key pathway of acute lung injury. Cell 2008, 133, 235–249. [Google Scholar] [CrossRef] [PubMed]
- Le, Q.U.; Joshi, R.K.; Lay, H.L.; Chang, M. Agrimonia pilosa Ledeb: Phytochemistry, Ethnopharmacology, Pharmacology of an important traditional herbal medicine. J. Pharmacogn. Phytochem. 2018, 7, 3202–3211. [Google Scholar]
- Kim, C.Y.; Yu, Q.-M.; Kong, H.-J.; Lee, J.-Y.; Yang, K.-M.; Seo, J.-S. Antioxidant and anti-inflammatory activities of Agrimonia pilosa Ledeb. extract. Evid.-Based Complement. Altern. Med. 2020, 2020, 8571207. [Google Scholar] [CrossRef]
- Li, C.; Wang, M.; Sui, J.; Zhou, Y.; Chen, W. Protective mechanisms of Agrimonia pilosa Ledeb in dextran sodium sulfate-induced colitis as determined by a network pharmacology approach. Acta Biochim. Biophys. Sin. 2021, 53, 1342–1353. [Google Scholar] [CrossRef]
- Kim, D.-S.; Park, K.-E.; Kwak, Y.-J.; Bae, M.-K.; Bae, S.-K.; Jang, I.-S.; Jang, H.-O. Agrimonia pilosa Ledeb Root Extract: Anti-Inflammatory Activities of the Medicinal Herb in LPS-Induced Inflammation. Am. J. Chin. Med. 2020, 48, 1875–1893. [Google Scholar] [CrossRef] [PubMed]
- Feng, J.-H.; Kim, H.-Y.; Sim, S.-M.; Zuo, G.-L.; Jung, J.-S.; Hwang, S.-H.; Kwak, Y.-G.; Kim, M.-J.; Jo, J.-H.; Kim, S.-C. The Anti-Inflammatory and the Antinociceptive Effects of Mixed Agrimonia pilosa Ledeb. and Salvia miltiorrhiza Bunge Extract. Plants 2021, 10, 1234. [Google Scholar] [CrossRef]
- Jang, H.H.; Nam, S.Y.; Kim, M.J.; Kim, J.B.; Choi, J.S.; Kim, H.R.; Lee, Y.M. Agrimonia pilosa Ledeb. aqueous extract improves impaired glucose tolerance in high-fat diet-fed rats by decreasing the inflammatory response. BMC Complement. Altern. Med. 2017, 17, 442. [Google Scholar] [CrossRef] [PubMed]
- Cecchini, R.; Cecchini, A.L. SARS-CoV-2 infection pathogenesis is related to oxidative stress as a response to aggression. Med. Hypotheses 2020, 143, 110102. [Google Scholar] [CrossRef] [PubMed]
- Karkhanei, B.; Ghane, E.T.; Mehri, F. Evaluation of oxidative stress level: Total antioxidant capacity, total oxidant status and glutathione activity in patients with Covid-19. New Microbes New Infect. 2021, 42, 100897. [Google Scholar] [CrossRef]
- Delgado-Roche, L.; Mesta, F. Oxidative stress as key player in severe acute respiratory syndrome coronavirus (SARS-CoV) infection. Arch. Med Res. 2020, 51, 384–387. [Google Scholar] [CrossRef]
- Kawasaki, M.; Kuwano, K.; Hagimoto, N.; Matsuba, T.; Kunitake, R.; Tanaka, T.; Maeyama, T.; Hara, N. Protection from lethal apoptosis in lipopolysaccharide-induced acute lung injury in mice by a caspase inhibitor. Am. J. Pathol. 2000, 157, 597–603. [Google Scholar] [CrossRef]
- Huang, W.; Jin, S.; Yang, W.; Tian, S.; Meng, C.; Deng, H.; Wang, H. Protective effect of Agrimonia pilosa polysaccharides on dexamethasone-treated MC3T3-E1 cells via Wnt/β-Catenin pathway. J. Cell. Mol. Med. 2020, 24, 2169–2177. [Google Scholar] [CrossRef] [PubMed]
- Lee, Y.-G.; Kang, K.W.; Hong, W.; Kim, Y.H.; Oh, J.T.; Park, D.W.; Ko, M.; Bai, Y.-F.; Seo, Y.-J.; Lee, S.-M. Potent antiviral activity of Agrimonia pilosa, Galla rhois, and their components against SARS-CoV-2. Bioorg. Med. Chem. 2021, 45, 116329. [Google Scholar] [CrossRef]
- Attallah, N.G.M.; Negm, W.A.; Elekhnawy, E.; Elmongy, E.I.; Altwaijry, N.; El-Haroun, H.; El-Masry, T.A.; El-Sherbeni, S.A. Elucidation of Phytochemical Content of Cupressus macrocarpa Leaves: In Vitro and In Vivo Antibacterial Effect against Methicillin-Resistant Staphylococcus aureus Clinical Isolates. Antibiotics 2021, 10, 890. [Google Scholar] [CrossRef]
- Attard, E. A rapid microtitre plate Folin-Ciocalteu method for the assessment of polyphenols. Open Life Sci. 2013, 8, 48–53. [Google Scholar] [CrossRef]
- Kiranmai, M.; Kumar, C.M.; Mohammed, I. Comparison of total flavanoid content of Azadirachta indica root bark extracts prepared by different methods of extraction. Res. J. Pharm. Biol. Chem. Sci. 2011, 2, 254–261. [Google Scholar]
- Boly, R.; Lamkami, T.; Lompo, M.; Dubois, J.; Guissou, I. DPPH free radical scavenging activity of two extracts from Agelanthus dodoneifolius (Loranthaceae) leaves. Int. J. Toxicol. Pharmacol. Res. 2016, 8, 29–34. [Google Scholar]
- Chen, Z.; Bertin, R.; Froldi, G. EC50 estimation of antioxidant activity in DPPH assay using several statistical programs. Food Chem. 2013, 138, 414–420. [Google Scholar] [CrossRef] [PubMed]
- Arnao, M.B.; Cano, A.; Acosta, M. The hydrophilic and lipophilic contribution to total antioxidant activity. Food Chem. 2001, 73, 239–244. [Google Scholar] [CrossRef]
- Benzie, I.F.; Strain, J.J. The ferric reducing ability of plasma (FRAP) as a measure of “antioxidant power”: The FRAP assay. Anal. Biochem. 1996, 239, 70–76. [Google Scholar] [CrossRef]
- Liang, Z.; Cheng, L.; Zhong, G.-Y.; Liu, R.H. Antioxidant and antiproliferative activities of twenty-four Vitis vinifera grapes. PLoS ONE 2014, 9, e105146. [Google Scholar]
- Payne, S. Methods to study viruses. Viruses 2017, 2017, 37–52. [Google Scholar]
- Zhang, J.; Zhan, B.; Yao, X.; Gao, Y.; Shong, J. Antiviral activity of tannin from the pericarp of Punica granatum L. against genital Herpes virus in vitro. Zhongguo Zhong Yao Ya Zhi Zhongguo Zhongyao Zazhi China J. Chin. Mater. Med. 1995, 20, 556–558, 576, inside backcover. [Google Scholar]
- Kuo, Y.-C.; Lin, L.-C.; Tsai, W.-J.; Chou, C.-J.; Kung, S.-H.; Ho, Y.-H. Samarangenin B from Limonium sinense suppresses herpes simplex virus type 1 replication in Vero cells by regulation of viral macromolecular synthesis. Antimicrob. Agents Chemother. 2002, 46, 2854–2864. [Google Scholar] [CrossRef] [PubMed]
- Schuhmacher, A.; Reichling, J.; Schnitzler, P. Virucidal effect of peppermint oil on the enveloped viruses herpes simplex virus type 1 and type 2 in vitro. Phytomedicine 2003, 10, 504–510. [Google Scholar] [CrossRef]
- Chan-Zapata, I.; Canul-Canche, J.; Fernández-Martín, K.; Martín-Quintal, Z.; Torres-Romero, J.C.; Lara-Riegos, J.C.; Ramírez-Camacho, M.A.; Arana-Argáez, V.E. Immunomodulatory effects of the methanolic extract from Pouteria campechiana leaves in macrophage functions. Food Agric. Immunol. 2018, 29, 386–399. [Google Scholar] [CrossRef]
- Ezzat, M.I.; Hassan, M.; Abdelhalim, M.A.; El-Desoky, A.M.; Mohamed, S.O.; Ezzat, S.M. Immunomodulatory effect of Noni fruit and its isolates: Insights into cell-mediated immune response and inhibition of LPS-induced THP-1 macrophage inflammation. Food Funct. 2021, 12, 3170–3179. [Google Scholar] [CrossRef]
- Nho, J.H.; Jang, J.H.; Lee, H.J.; Yang, B.; Woo, K.W.; Kim, A.H.; Seo, J.W.; Hwang, T.Y.; Cho, H.W.; Jung, H.K. Preventive effect of the water extract of Agrimonia pilosa Ledeb and micronucleus assay-based evaluation of genotoxicity in gastritis animal models. Korean J. Med. Crop Sci. 2019, 27, 136–142. [Google Scholar] [CrossRef]
- Park, S.-H.; Sim, Y.-B.; Kang, Y.-J.; Lee, J.-K.; Lim, S.-S.; Suh, H.-W. Effect of Agrimonia pilosa Ledeb extract on the antinociception and mechanisms in mouse. Korean J. Physiol. Pharmacol. 2012, 16, 119–123. [Google Scholar] [CrossRef]
- Koracevic, D.; Koracevic, G.; Djordjevic, V.; Andrejevic, S.; Cosic, V. Method for the measurement of antioxidant activity in human fluids. J. Clin. Pathol. 2001, 54, 356–361. [Google Scholar] [CrossRef]
- El-Mahdy, N.A.; El-Sayad, M.E.S.; El-Kadem, A.H.; Abu-Risha, S.E.S. Targeting IL-10, ZO-1 gene expression and IL-6/STAT-3 trans-signaling by a combination of atorvastatin and mesalazine to enhance anti-inflammatory effects and attenuates progression of oxazolone-induced colitis. Fundam. Clin. Pharmacol. 2021, 35, 143–155. [Google Scholar] [CrossRef] [PubMed]
- Livak, K.J.; Schmittgen, T.D. Analysis of relative gene expression data using real-time quantitative PCR and the 2− ΔΔCT method. Methods 2001, 25, 402–408. [Google Scholar] [CrossRef] [PubMed]
- Pound, J.D. Immunochemical Protocols; Springer Science & Business Media: Berlin/Heidelberg, Germany, 1998; Volume 80. [Google Scholar]
- Lillehoj, E.P.; Malik, S.V. Antibody Techniques; Academic Press: San Diego, CA, USA, 1994. [Google Scholar]











| No. | Rt min | [M − H]− | [M + H]+ | MS2 Ions m/z | Identification |
|---|---|---|---|---|---|
| 1 | 1.14 | 173 | 83, 155, 173 | Shikimic acid | |
| 2 | 1.43 | 179 | 123, 179 | Esculetin | |
| 3 | 2.25 | 359 | 117, 134, 163, 176, 181, 185, 290, 359 | Rosmarinic acid | |
| 4 | 4.06 | 229 | 137, 229 | Resveratrol | |
| 5 | 4.52 | 579 | 84, 123, 127, 135, 139,147, 161, 163, 229, 243, 253, 257, 271, 273, 275, 283, 287, 289, 291, 299, 301, 391, 409, 421, 589 | Procyanidin B1 | |
| 6 | 4.77 | 291 | 115, 119, 123, 139, 143,147, 161, 165, 207, 291 | Catechin | |
| 7 | 5.16 | 611 | 267, 287, 303, 355, 356, 449, 465, 611 | Hesperetin-7-O-neohesperidoside | |
| 8 | 5.34 | 595 | 270, 475, 481, 529, 595 | Apigenin-6-C-glucoside-7-O-glucoside | |
| 9 | 5.44 | 355 | 145, 163, 355 | Chlorogenic acid | |
| 10 | 5.55 | 291 | 119, 123, 139, 147, 151, 165, 207, 263, 261 | Epicatechin | |
| 11 | 9.36 | 655 | 331, 333.2. 493, 494 | Malvidin-3,5-di-O-glucoside chloride | |
| 12 | 5.88 | 593 | 107, 163, 167, 189, 255, 265, 283, 287, 301, 342, 430, 446, 463 | Acacetin-7-O-rutinoside | |
| 13 | 6.10 | 579 | 112, 579 | Procyanidin B2 | |
| 14 | 6.11 | 449 | 199, 299, 300, 310, 323, 325, 329, 337, 339, 349, 353, 377, 383, 395,431, 449 | Luteolin-6-C-glucoside | |
| 15 | 6.23 | 609 | 293, 401, 454, 465, 563, 577, 607, 609 | Luteolin-3′,7-di-O-glucoside | |
| 16 | 6.28 | 597 | 303,465 | Quercetin-3-O-arabinoglucoside | |
| 17 | 6.39 | 591 | 283, 429 | Acacetin-7-O-rutinoside isomer | |
| 18 | 6.50 | 625 | 301, 463, 625 | Quercetin- 3,4′-O-di-glucopyranoside | |
| 19 | 6.54 | 463 | 218, 271, 300, 301, 394, 463 | Delphinidin-3-O-glucopyranoside | |
| 20 | 6.58 | 593 | 285, 431 | Acacetin-7-O-neohesperidoside | |
| 21 | 6.72 | 611 | 303, 465, 611 | Rutin | |
| 22 | 6.73 | 451 | 153, 163, 179, 289 | Eriodictyol-7-O-glucoside | |
| 23 | 6.78 | 451 | 107, 149, 153, 167, 195, 215, 243, 271, 289 | Okanin-4′-O-glucoside | |
| 24 | 6.83 | 623 | 161, 315, 461, 623 | Isorhamnetin-3-O-rutinoside | |
| 25 | 6.85 | 433 | 165, 271, 283, 284, 295, 297, 309, 313, 323, 337, 343, 349, 351, 361, 367, 379, 415, 433 | Apigenin-8-C-glucoside | |
| 26 | 6.89 | 581 | 287, 449 | Cyanidin -3-O-(2‴-O-xylopyranosyl-beta glucopyranoside) | |
| 27 | 6.99 | 463 | 301, | Isoquercitrin | |
| 28 | 7.06 | 611 | 303 | Hyperoside | |
| 29 | 7.10 | 341 | 179 | Esculin | |
| 30 | 7.13 | 451 | 107, 149, 150, 153, 167, 195, 215, 243, 271, 288, 289 | Isookanin-7-glucoside | |
| 31 | 7.23 | 477 | 209, 227, 364, 431, 433, 477 | Isorhamnetin-3-O-glucoside | |
| 32 | 7.26 | 417 | 417 | Daidzin-8-C-glucoside | |
| 33 | 7.33 | 447 | 285, 299, 300, 301, 447 | Quercetin-7-O-rhamnoside | |
| 34 | 7.33 | 595 | 287, 449, 595 | Kaempferol-3-O-rutinoside | |
| 35 | 7.41 | 417 | 255, 398, 417 | 4′-hydroxyisoflavone-7-glucoside | |
| 36 | 7.49 | 449 | 287 | Cyanidin-3-glucoside | |
| 37 | 7.68 | 135 | 79, 135 | Cinnamyl alcohol | |
| 38 | 7.74 | 133 | 51, 53, 57, 59, 70, 72, 73, 75, 77, 79, 91, 103, 105, 115, 116, 117, 118, 131, 133 | Cinnamaldehyde | |
| 39 | 7.78 | 449 | 71, 85, 287, 303 | Quercitrin | |
| 40 | 7.78 | 611 | 285, 565, 611 | Neohesperedin dihydrochalcone | |
| 41 | 7.87 | 433 | 266, 271, 433 | Apigenin-7-O-glucoside | |
| 42 | 7.89 | 435 | 81, 227, 255, 273, 303, 435 | Naringenin-7-O-glucoside | |
| 43 | 8.32 | 595 | 265, 269, 594.6, 595 | Eriodictyol-7-O-neohesperidoside | |
| 44 | 8.43 | 479 | 303 | Quercetin-3-O-gluccouronide | |
| 45 | 8.53 | 433 | 71, 85, 287 | Afzelin | |
| 46 | 8.75 | 461 | 183, 208, 223, 225, 237, 324, 331, 392, 443, 461 | Kaempferol-3-O-glucouroide | |
| 47 | 8.94 | 463 | 107, 163, 167, 189, 255, 265, 283, 287, 301, 342, 430, 446, 463 | Peonidine-3-O-glucoside chloride | |
| 48 | 9.17 | 431 | 237, 257, 269 | Ononin | |
| 49 | 9.20 | 593 | 284, 285, 385, 547, 593 | Kaempferol-3-O-(6-p-coumaryl)-glucoside | |
| 50 | 9.75 | 303 | 149, 153, 229, 257, 285, 303 | Quercetin | |
| 51 | 10.88 | 303 | 153, 177, 303 | Hesperetin | |
| 52 | 10.40 | 286.9 | 289 | 153, 163, 289 | 3′,4′,5,7-tetrahydroxy flavanone (Eriodictyol) |
| 53 | 10.44 | 445 | 164, 195, 207, 235, 237, 445 | Baicalen-7-O-glucuronide | |
| 54 | 10.76 | 285 | 133, 153, 242, 270, 285 | Acacetin | |
| 55 | 11.16 | 271 | 119, 153, 271 | Apigenin | |
| 56 | 11.43 | 287 | 121, 135, 149, 153, 157, 184, 203, 213, 231, 259, 287 | Luteolin | |
| 57 | 11.53 | 305 | 70, 112, 116, 153, 179, 200, 244, 270, 287, 305 | Taxifolin | |
| 58 | 11.62 | 449 | 287, 387, 449 | Eriodictyol-7-O-glucoside | |
| 59 | 11.76 | 299 | 119, 135, 179, 253, 298, 299 | Kaempferide | |
| 60 | 11.94 | 181 | 51, 68, 83, 91, 103, 121, 138, 149, 163, 181 | Caffeic acid | |
| 61 | 12.37 | 271 | 153, 243, 253, 271 | Genistein | |
| 62 | 12.60 | 179 | 67, 91, 95, 105, 115, 123, 131, 133, 147, 163, 179 | Daphnetin | |
| 63 | 12.63 | 269 | 115, 136, 137, 149, 181, 191, 209, 213, 223, 225, 237, 257, 269 | Formononetin | |
| 64 | 12.89 | 273 | 81, 147, 153, 227, 273 | Naringenin | |
| 65 | 12.90 | 255 | 81, 137, 199, 227, 255 | Daidzein | |
| 66 | 13.03 | 219 | 176, 219 | 4-Methylumbelliferyl acetate | |
| 67 | 13.09 | 153 | 65, 108, 109, 112, 153 | 3,4-Dihydroxybenzoic acid | |
| 68 | 13.23 | 449 | 291, 449 | Luteolin-8-C-glucoside | |
| 69 | 14.16 | 285 | 84, 268, 285 | Acacetin isomer | |
| 70 | 14.58 | 219 | 77 | 4-Methylumbelliferone | |
| 71 | 15.06 | 289 | 153, 163 | Aromadendrin | |
| 72 | 16.27 | 271 | 113, 169, 271 | Baicalen | |
| 73 | 16.73 | 493 | 331 | Malvidin-3-O-galactoside | |
| 74 | 17.48 | 317 | 302, 303 | 3-O-methyl quercetin | |
| 75 | 17.49 | 317 | 149, 167, 317 | Rhamnetin | |
| 76 | 17.55 | 317 | 153, 163, 317 | Isorhamnetin | |
| 77 | 17.71 | 287 | 153, 161 | Isosakuranetin | |
| 78 | 20.15 | 273 | 85, 131, 273 | 16-Hydroxyhexadecanoic acid | |
| 79 | 22.59 | 209 | 79, 107, 135, 148, 163, 191, 209 | 3,4-dimethoxy cinnamic acid | |
| 80 | 23.14 | 299 | 299 | Methyl octadecanoate | |
| 81 | 23.42 | 281 | 119, 281 | Linoleic acid |
| Mode of Action | Conc.* (mg/mL) | Virus Control (PFU/mL) | Viral Titer Post-Treatment (PFU/mL) | Viral Inhibition (%) |
|---|---|---|---|---|
| Virucidal | 0.25 | 4.5 × 105 | 0.2 × 105 | 95.6% |
| 0.125 | 0.4 × 105 | 91.1% | ||
| 0.0625 | 0.4 × 105 | 91.1% | ||
| 0.0312 | 0.5 × 105 | 88.9% | ||
| Replication | 0.25 | 1.0 × 105 | 0.75 × 105 | 25% |
| 0.125 | 0.85 × 105 | 15% | ||
| 0.0625 | 0.9 × 105 | 10% | ||
| 0.0312 | 1.0 × 105 | 0% | ||
| Adsorption | 0.25 | 1.33 × 105 | 0.25 × 105 | 81.2% |
| 0.125 | 0.45 × 105 | 66.2% | ||
| 0.0625 | 0.69 × 105 | 48.1% | ||
| 0.0312 | 1.03 × 105 | 22.6% |
| Lung W/D Ratio | Lung NO Content (nmol/g Tissue) | Serum TAC (Mm/L) | Lung MPO Activity (µM/min/g Tissue) | |
|---|---|---|---|---|
| Control saline | 7.6 ± 1.1 | 12.6 ± 0.85 | 1.92 ± 0.12 | 2.81 ± 0.29 |
| LPS | 11.5 ± 0.85 a | 23.6 ± 1.6 a | 0.53 ± 0.085 a | 11.36 ± 0.77 a |
| APEE 200 | 9.5 ± 0.94 b | 17.8 ± 1.3 b | 0.9 ± 0.06 b | 6.8 ± 0.84 b |
| APEE 250 | 7.8 ± 1.01 bc | 13.1 ± 1.1 bc | 1.89 ± 0.15 bcd | 3.01 ± 0.29 bcd |
| APEE 250 | 8.5 ± 0.81 b | 15 ± 1.5 b | 1.5 ± 0.18 b | 3.85 ± 0.36 b |
Publisher’s Note: MDPI stays neutral with regard to jurisdictional claims in published maps and institutional affiliations. |
© 2021 by the authors. Licensee MDPI, Basel, Switzerland. This article is an open access article distributed under the terms and conditions of the Creative Commons Attribution (CC BY) license (https://creativecommons.org/licenses/by/4.0/).
Share and Cite
Attallah, N.G.M.; El-Kadem, A.H.; Negm, W.A.; Elekhnawy, E.; El-Masry, T.A.; Elmongy, E.I.; Altwaijry, N.; Alanazi, A.S.; Al-Hamoud, G.A.; Ragab, A.E. Promising Antiviral Activity of Agrimonia pilosa Phytochemicals against Severe Acute Respiratory Syndrome Coronavirus 2 Supported with In Vivo Mice Study. Pharmaceuticals 2021, 14, 1313. https://doi.org/10.3390/ph14121313
Attallah NGM, El-Kadem AH, Negm WA, Elekhnawy E, El-Masry TA, Elmongy EI, Altwaijry N, Alanazi AS, Al-Hamoud GA, Ragab AE. Promising Antiviral Activity of Agrimonia pilosa Phytochemicals against Severe Acute Respiratory Syndrome Coronavirus 2 Supported with In Vivo Mice Study. Pharmaceuticals. 2021; 14(12):1313. https://doi.org/10.3390/ph14121313
Chicago/Turabian StyleAttallah, Nashwah G. M., Aya H. El-Kadem, Walaa A. Negm, Engy Elekhnawy, Thanaa A. El-Masry, Elshaymaa I. Elmongy, Najla Altwaijry, Ashwag S. Alanazi, Gadah Abdulaziz Al-Hamoud, and Amany E. Ragab. 2021. "Promising Antiviral Activity of Agrimonia pilosa Phytochemicals against Severe Acute Respiratory Syndrome Coronavirus 2 Supported with In Vivo Mice Study" Pharmaceuticals 14, no. 12: 1313. https://doi.org/10.3390/ph14121313
APA StyleAttallah, N. G. M., El-Kadem, A. H., Negm, W. A., Elekhnawy, E., El-Masry, T. A., Elmongy, E. I., Altwaijry, N., Alanazi, A. S., Al-Hamoud, G. A., & Ragab, A. E. (2021). Promising Antiviral Activity of Agrimonia pilosa Phytochemicals against Severe Acute Respiratory Syndrome Coronavirus 2 Supported with In Vivo Mice Study. Pharmaceuticals, 14(12), 1313. https://doi.org/10.3390/ph14121313

