Rehabilitation Driven Optimized YOLOv11 Model for Medical X-Ray Fracture Detection
Abstract
Highlights
- A medical X-ray fracture detection model with precise localization based on YOLOv11n is proposed to solve the problems of false localization and poor accuracy in existing models.
- The improved model, trained with an expanded dataset using data augmentation and enhanced with a Bone-MSCA module and Focal-SIoU loss function, outperforms other mainstream single-object detection models, with significant improvements in detection accuracy, recall rate, F1-Score and mean Average Precision 50.
- The proposed model can provide more accurate and reliable fracture detection from X-ray images, which is beneficial for timely and appropriate medical treatment.
- The techniques used in this research, such as data augmentation, the Bone-MSCA module and Focal-SIoU loss function, can be a reference for other medical image detection research, potentially improving the performance of related models.
Abstract
1. Introduction
- (1)
- First of all, multiple public datasets were collected. Subsequently, a data augmentation technique combining random rotation, translation, flipping, and content recognition filling was proposed. This was performed to effectively alleviate the problem of data scarcity and thereby enhance the generalization ability of the model.
- (2)
- Building on the foundation of Multi-Scale Convolutional Attention (MSCA) [18], a Bone-MSCA attention mechanism module was designed. Specifically, this module combines multi-directional convolution, deformable convolution, edge enhancement, and channel attention mechanism. Then, the Bone-MSCA was integrated into the backbone network of the YOLOv11n model. The purpose of this integration was to accurately extract the features of the fracture area. By enhancing the edges of the fracture lines through edge enhancement and adaptively adjusting the feature channels via channel attention, global information was effectively aggregated. As a result, the perception of spatial details in X-ray fracture images was significantly improved.
- (3)
- Finally, the Focal mechanism [19] was combined with Smoothed Intersection over Union (SIoU) [20] as the loss function. This combination aimed to enhance the sensitivity to small fracture areas and optimize the accuracy of bounding-box regression. Consequently, the accuracy of medical X-ray fracture area detection was further improved.
2. Materials and Methods
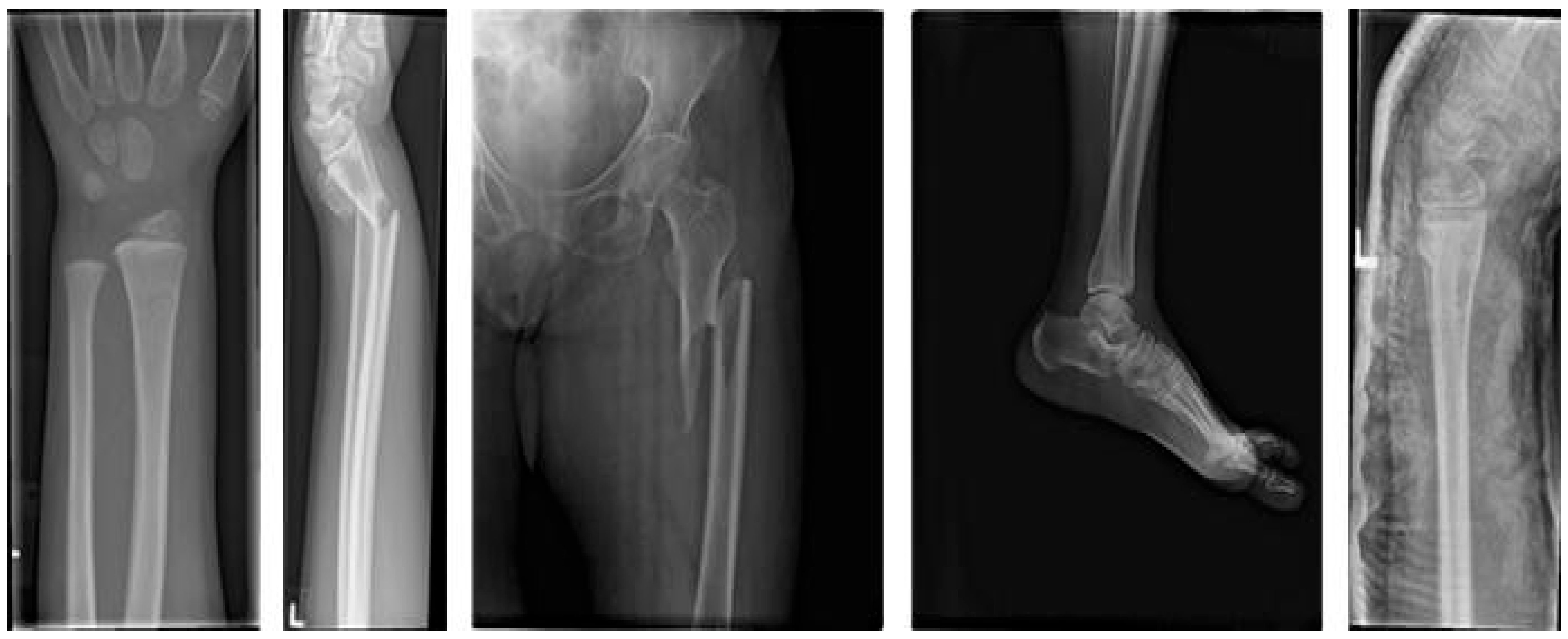
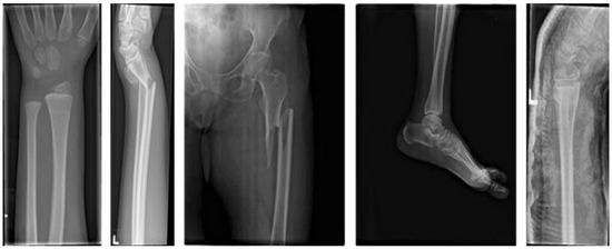
2.1. Acquisition of Medical X-Ray Fracture Images
2.1.1. Blank Area Detection
2.1.2. Edge Color Sampling and Statistical Inference
2.1.3. Final Filling Operation
2.2. Medical X-Ray Fracture Target Detection Model and Its Optimization
2.2.1. YOLOv11n
2.2.2. Optimized Model for Medical X-Ray Fracture Target Detection
2.2.3. BF-MSCA Module
2.2.4. Focal-SIoU Loss Function
2.2.5. Training Environment and Methods
3. Results
3.1. Impact of Dataset Expansion on Model Performance
3.2. Performance Comparison of Different Attention Mechanisms
3.3. Comparative Experiment of Loss Functions
3.4. Performance Comparison of BF-YOLOv11n Ablation Experiments
3.5. Comparative Experiments of Mainstream Object Detection Models
4. Conclusions
Author Contributions
Funding
Data Availability Statement
Conflicts of Interest
References
- Lee, J.W.; Cho, J.A.; Roh, Y.J.; Han, M.A.; Jeong, J.U.; Subramanian, S.A.; Kang, E.; Yeom, J.; Lee, C.H.; Kim, S.J. Antibacterial Immunonegative Coating with Biocompatible Materials on a Nanostructured Titanium Plate for Orthopedic Bone Fracture Surgery. Biomater. Res. 2024, 28, 70. [Google Scholar] [CrossRef]
- Sun, P.; Zhao, Y.; Men, J.; Ma, Z.R.; Jiang, H.Z.; Liu, C.Y.; Feng, W. Application of Virtual and Augmented Reality Technology in Hip Surgery: Systematic Review. J. Med. Internet Res. 2023, 25, e37599. [Google Scholar] [CrossRef]
- Bützow, A.; Anttila, T.T.; Haapamäki, V.; Ryhänen, J. A novel segmentation-based deep learning model for enhanced scaphoid fracture detection. Eur. J. Radiol. 2025, 191, 112309. [Google Scholar] [CrossRef]
- Liu, W.M.; Zhang, X.X.; Tang, R.F.; Yu, C.C.; Sun, G.F. Radiomics analysis based on plain X-rays to detect spinal fractures with posterior wall injury. Digit. Health 2025, 11, 20552076251324436. [Google Scholar] [CrossRef] [PubMed]
- Lee, S.; Chun, K.S.; Lee, S.; Park, H.; Le, T.D.; Jung, J.Y. Suppression of immobilisation device on wrist radiography to improve fracture visualisation. Eur. Radiol. 2024, 35, 3418–3428. [Google Scholar] [CrossRef]
- He, J.; Wang, X.Y.; Wang, S.S.; Xie, R.T.; Zhang, Z.M.; Liu, T.M.; Cai, Y.P.; Chen, L. Interpretable deep learning method to predict wound healing progress based on collagen fibers in wound tissue. Comput. Biol. Med. 2025, 191, 110110. [Google Scholar] [CrossRef]
- Xing, P.Y.; Zhang, L.; Wang, T.G.; Wang, L.P.; Xing, W.T.; Wang, W. A deep learning algorithm that aids visualization of femoral neck fractures and improves physician training. Injury 2024, 55, 111997. [Google Scholar] [CrossRef]
- Benjamin, F.; Yi, P.H.; Kijowski, R.; Jan, F. Radiomics and Deep Learning for Disease Detection in Musculoskeletal Radiology: An Overview of Novel MRI- and CT-Based Approaches. Investig. Radiol. 2023, 58, 3–13. [Google Scholar]
- Verk, J.; Hernavs, J.; Klančnik, S. Using a Region-Based Convolutional Neural Network (R-CNN) for Potato Segmentation in a Sorting Process. Foods 2025, 14, 1131. [Google Scholar] [CrossRef] [PubMed]
- Zamanidoost, Y.; Bachir, T.O.; Martel, S. OMS-CNN: Optimized Multi-Scale CNN for Lung Nodule Detection Based on Faster R-CNN. IEEE J. Biomed. Health 2025, 29, 2148–2160. [Google Scholar] [CrossRef] [PubMed]
- Din, N.U.; Abdul, B.; Ullah, I.; Waheed, N.; Atiq, A.; Sheikh, N.; Balas, V.E. Brain tumor detection in MRI scans using single shot multibox detector. J. Intell. Fuzzy Syst. 2022, 43, 1985–1993. [Google Scholar] [CrossRef]
- Debsarkar, S.S.; Aronow, B.; Prasath, V.B.S. Advancements in automated nuclei segmentation for histopathology using you only look once-driven approaches: A systematic review. Comput. Biol. Med. 2025, 190, 110072. [Google Scholar] [CrossRef]
- Son, D.M.; Yoon, Y.A.; Kwon, H.J.; An, C.H.; Lee, S.H. Automatic Detection of Mandibular Fractures in Panoramic Radiographs Using Deep Learning. Diagnostics 2021, 11, 933. [Google Scholar] [CrossRef]
- Hržić, F.; Tschauner, S.; Sorantin, E.; Štajduhar, I. Fracture Recognition in Paediatric Wrist Radiographs: An Object Detection Approach. Mathematics 2022, 10, 2939. [Google Scholar] [CrossRef]
- Ahmed, A.; Imran, A.S.; Manaf, A.; Kastrati, Z.; Daudpota, S.M. Enhancing wrist abnormality detection with YOLO: Analysis of state-of-the-art single-stage detection models. Biomed. Signal Process. Control 2024, 93, 106144. [Google Scholar] [CrossRef]
- Zou, J.; Arshad, M.R. Detection of whole body bone fractures based on improved YOLOv7. Biomed. Signal Process. Control 2024, 91, 105995. [Google Scholar] [CrossRef]
- Zheng, Z.; Ryu, B.Y.; Kim, S.E.; Song, D.S.; Kim, S.H.; Park, J.W.; Ro, D.H. Deep learning for automated hip fracture detection and classification: Achieving superior accuracy. Bone Jt. J. 2025, 107-B, 213–220. [Google Scholar] [CrossRef]
- Guo, M.H.; Lu, C.Z.; Hou, Q.B.; Liu, Z.N.; Cheng, M.M.; Hu, S.M. SegNeXt: Rethinking Convolutional Attention Designfor Semantic Segmentation. arXiv 2022, arXiv:2209.08575. [Google Scholar]
- Yang, J.D.; Huang, S.Y.; Wang, H.; Lu, Y.H.; Liu, W.; Shen, Y.; Fu, X.H. A novel 3D lightweight model for COVID-19 lung CT Lesion Segmentation. Med. Eng. Phys. 2025, 137, 104297. [Google Scholar] [CrossRef]
- Dong, C.; Jiang, X.K. An Intelligent Detection Method for Optical Remote Sensing Images Based on Improved YOLOv7. Comput. Mater. Contin. 2023, 77, 3015–3036. [Google Scholar] [CrossRef]
- Abedeen, I.; Rahman, M.A.; Zohra Prottyasha, F.; Ahmed, T.; Chowdhury, T.M.; Shatabda, S. FracAtlas: A Dataset for Fracture Classification, Localization and Segmentation of Musculoskeletal Radiographs. Sci. Data 2023, 10, 521. Available online: https://figshare.com/articles/dataset/The_dataset/22363012/6 (accessed on 5 May 2025). [CrossRef]
- Nagy, E.; Janisch, M.; Hržić, F.; Sorantin, E.; Tschauner, S. A pediatric wrist trauma x-ray dataset (grazpedwri-dx) for machine learning. Sci. Data 2022, 9, 222. [Google Scholar] [CrossRef]
- Rodrigo, M. Bone Fracture Multi-Region X-Ray Data. Dataset. 2024. Available online: https://www.kaggle.com/datasets/bmadushanirodrigo/fracture-multi-region-x-ray-data/data (accessed on 5 May 2025).
- Wang, J.; Chen, K.; Xu, R.; Liu, Z.; Loy, C.C.; Lin, D.H. CARAFE: Content-Aware ReAssembly of Features. In Proceedings of the 2019 IEEE/CVF International Conference on Computer Vision (ICCV), Seoul, Republic of Korea, 27 October–2 November 2019; pp. 3007–3016. [Google Scholar] [CrossRef]
- Khanam, R.; Hussain, M. YOLOv11: An Overview of the Key Architectural Enhancements. arXiv 2024, arXiv:2410.17725. [Google Scholar] [CrossRef]
- Choi, M.; Kim, D.Y.; Hong, J.M. Convolutional neural network-based method for the real-time detection of reflex syncope during head-up tilt test. Comput. Methods Programs Biomed. 2025, 264, 108622. [Google Scholar] [CrossRef]
- Liu, Y.H.; Zheng, Y.Q.; Shao, Z.F.; Wei, T.; Cui, T.C.; Xu, R. Defect detection of the surface of wind turbine blades combining attention mechanism. Adv. Eng. Inf. 2024, 59, 102292. [Google Scholar] [CrossRef]
- Guan, S.W.; Wang, J.J.; Wang, X.L.; Ding, C.; Liang, H.Y.; Wei, Q. Dynamic gesture recognition during human-robot interaction in autonomous earthmoving machinery used for construction. Adv. Eng. Inf. 2025, 65, 103315. [Google Scholar] [CrossRef]
- Rehman, M.U.; Eesaar, H.; Abbas, Z.; Seneviratne, L.; Hussain, I.; Chong, K.T. Advanced drone-based weed detection using feature-enriched deep learning approach. Knowl.-Based Syst. 2024, 305, 112655. [Google Scholar] [CrossRef]
- Liu, Y.H.; Zheng, Y.Q.; Wei, T.; Li, Y.B. Lightweight algorithm based on you only look once version 5 for multiple class defect detection on wind turbine blade surfaces. Eng. Appl. Artif. Intell. 2024, 138, 109422. [Google Scholar] [CrossRef]
- Tang, B.Y.; Zhou, J.P.; Zhao, C.J.; Pan, Y.C.; Lu, Y.; Liu, C.; Ma, K.; Sun, X.G.; Zhang, R.F.; Gu, X.H. Using UAV-based multispectral images and CGS-YOLO algorithm to distinguish maize seeding from weed. Artif. Intell. Agric. 2025, 15, 162–181. [Google Scholar] [CrossRef]
- Gopalan, K.; Srinivasan, S.; Pragya, P.; Singh, M.; Mathivanan, S.K.; Moorthy, U. Corn leaf disease diagnosis: Enhancing accuracy with resnet152 and grad-cam for explainable AI. BMC Plant Biol. 2025, 25, 440. [Google Scholar] [CrossRef]
- Wang, C.Y.; Yeh, I.H.; Liao, H.Y.M. YOLOv9: Learning What You Want to Learn Using Programmable Gradient Information. arXiv 2024, arXiv:2402.13616. [Google Scholar] [CrossRef]
- Wei, W.M.; Huang, Y.; Zheng, J.C.; Rao, Y.Y.; Wei, Y.P.; Tan, X.Y.; OuYang, H.Y. YOLOv11-based multi-task learning for enhanced bone fracture detection and classification in X-ray images. J. Radiat. Res. Appl. Sci. 2025, 18, 101309. [Google Scholar] [CrossRef]
- Tariq, M.; Choi, K. YOLO11-Driven Deep Learning Approach for Enhanced Detection and Visualization of Wrist Fractures in X-Ray Images. Mathematics 2025, 13, 1419. [Google Scholar] [CrossRef]
- Tian, Y.J.; Ye, Q.X.; Doermann, D. YOLOv12: Attention-Centric Real-Time Object Detectors. arXiv 2025, arXiv:2502.12524. [Google Scholar]








| Name | Version Information |
|---|---|
| System | Ubuntu 22.04.3 LTS |
| Operating System Kernel | GNU/Linux 5.15.0-124-generic |
| Central Processing Unit | Intel® Xeon® Platinum 8365A CPU |
| Graphics Processing Unit | NVIDIA GeForce RTX 3090 24 GB |
| Python | 3.11.10 |
| Deep-learning Frameworks and Libraries | Pytorch 2.4.0, Cuda 12.1.1, cuDNN 9.1.0 |
| Loss Functions | p/% | R/% | F1 | mAP50/% |
|---|---|---|---|---|
| CIoU | 89.23 | 85.37 | 87.26 | 91.64 |
| Focal-IoU | 90.10 | 86.29 | 88.15 | 92.08 |
| SIoU | 80.33 | 92.26 | 85.88 | 91.83 |
| Focal-CIoU | 90.75 | 86.44 | 88.54 | 92.22 |
| Focal-SIoU | 92.08 | 85.86 | 88.86 | 92.38 |
| Bone-MSCA | Focal-SIoU | p/% | R/% | F1 | mAP50/% |
|---|---|---|---|---|---|
| / | / | 89.23 | 85.37 | 87.26 | 91.64 |
| √ | / | 93.19 | 85.26 | 89.05 | 92.51 |
| / | √ | 92.08 | 85.86 | 88.86 | 92.38 |
| √ | √ | 93.56 | 86.29 | 89.78 | 92.88 |
| Detection Models | p/% | R/% | F1 | mAP50/% | Parameters/106 | GFLOPs/109 | Inference/ms |
|---|---|---|---|---|---|---|---|
| SSD | 79.68 | 26.35 | 39.60 | 59.81 | 26.28 | 62.7 | 28.40 |
| YOLOv8n | 60.75 | 91.37 | 72.98 | 91.55 | 3.01 | 8.1 | 3.5 |
| YOLOv9t | 52.66 | 92.15 | 67.02 | 91.89 | 1.97 | 7.6 | 3.3 |
| YOLOv10n | 90.33 | 84.09 | 87.10 | 91.05 | 2.71 | 8.2 | 2.4 |
| YOLOv11n | 89.23 | 85.37 | 87.26 | 91.64 | 2.58 | 6.3 | 1.8 |
| YOLOv11n + ResNet_GAM | 93.47 | 85.90 | 89.53 | 92.53 | 5.39 | 15.2 | 4.3 |
| YOLOv12n | 74.95 | 90.02 | 81.80 | 91.42 | 2.56 | 6.3 | 2.1 |
| BF-YOLOv11n | 93.56 | 86.29 | 89.78 | 92.88 | 2.70 | 6.4 | 2.2 |
Disclaimer/Publisher’s Note: The statements, opinions and data contained in all publications are solely those of the individual author(s) and contributor(s) and not of MDPI and/or the editor(s). MDPI and/or the editor(s) disclaim responsibility for any injury to people or property resulting from any ideas, methods, instructions or products referred to in the content. |
© 2025 by the authors. Licensee MDPI, Basel, Switzerland. This article is an open access article distributed under the terms and conditions of the Creative Commons Attribution (CC BY) license (https://creativecommons.org/licenses/by/4.0/).
Share and Cite
Zhang, W.; Ji, S. Rehabilitation Driven Optimized YOLOv11 Model for Medical X-Ray Fracture Detection. Sensors 2025, 25, 5793. https://doi.org/10.3390/s25185793
Zhang W, Ji S. Rehabilitation Driven Optimized YOLOv11 Model for Medical X-Ray Fracture Detection. Sensors. 2025; 25(18):5793. https://doi.org/10.3390/s25185793
Chicago/Turabian StyleZhang, Wenqi, and Shijun Ji. 2025. "Rehabilitation Driven Optimized YOLOv11 Model for Medical X-Ray Fracture Detection" Sensors 25, no. 18: 5793. https://doi.org/10.3390/s25185793
APA StyleZhang, W., & Ji, S. (2025). Rehabilitation Driven Optimized YOLOv11 Model for Medical X-Ray Fracture Detection. Sensors, 25(18), 5793. https://doi.org/10.3390/s25185793
