Assessment of the Performance of Ultrasonography for Detecting Myofascial Trigger Points
Abstract
1. Introduction
2. Materials and Methods
2.1. Animal Care and Preparation
2.2. Identification of MTrPs
2.3. Electrophysiological Recording of EPN
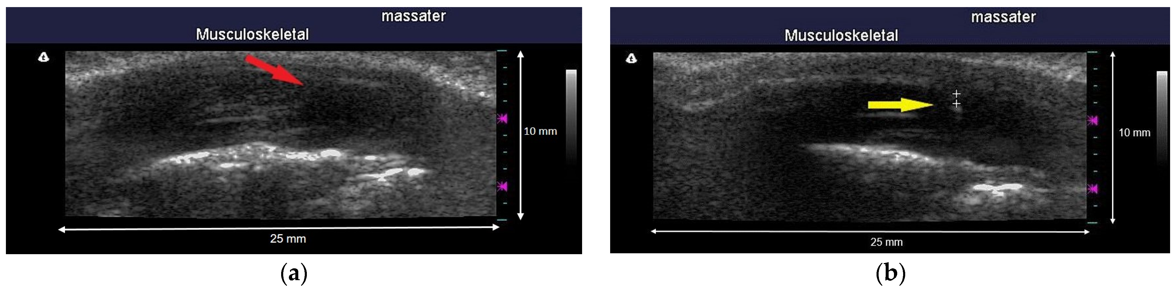
2.4. Ultrasound Imaging
2.5. Experimental Procedures
2.6. Data Analysis
3. Results
4. Discussion
4.1. Hypoechoic Characteristics of MTrPs
4.2. Performance of Ultrasonography
4.3. Clinical Application
4.4. Limitations and Directions for Future Research
5. Conclusions
Author Contributions
Funding
Institutional Review Board Statement
Informed Consent Statement
Data Availability Statement
Acknowledgments
Conflicts of Interest
References
- Manfredini, D.; Guarda-Nardini, L.; Winocur, E.; Piccotti, F.; Ahlberg, J.; Lobbezoo, F. Research diagnostic criteria for temporomandibular disorders: A systematic review of axis I epidemiologic findings. Oral Surg. Oral Med. Oral Pathol. Oral Radiol. Endod. 2011, 112, 453–462. [Google Scholar] [CrossRef] [PubMed]
- Hong, C.Z.; Simons, D.G. Pathophysiologic and electrophysiologic mechanisms of myofascial trigger points. Arch. Phys. Med. Rehabil. 1998, 79, 863–872. [Google Scholar] [CrossRef] [PubMed]
- Simons, D.G.; Travell, J.; Simons, L.S. Travell & Simons Myofascial Pain and Dysfunction: The Trigger Point Manual. Vol. 1. Upper Half of Body, 2nd ed.; Lippincott Williams & Wilkins: Baltimore, MD, USA, 1999. [Google Scholar]
- Shah, J.P.; Thaker, N.; Heimur, J.; Aredo, J.V.; Sikdar, S.; Gerber, L. Myofascial trigger points then and now: A historical and scientific perspective. PM R 2015, 7, 746–761. [Google Scholar] [CrossRef] [PubMed]
- Tough, E.A.; White, A.R.; Richards, S.; Campbell, J. Variability of criteria used to diagnose myofascial trigger point pain syndrome evidence from a review of the literature. Clin. J. Pain 2007, 23, 278–286. [Google Scholar] [CrossRef]
- Lucas, N.; Macaskill, P.; Irwig, L.; Moran, R.; Bogduk, N. Reliability of physical examination for diagnosis of myofascial trigger points: A systematic review of the literature. Clin. J. Pain 2009, 25, 80–89. [Google Scholar] [CrossRef] [PubMed]
- Simons, D.G. Do endplate noise and spikes arise from normal motor endplates? Am. J. Phys. Med. Rehabil. 2001, 80, 134–140. [Google Scholar] [CrossRef]
- Simons, D.G.; Hong, C.Z.; Simons, L.S. Endplate potentials are common to midfiber myofascial trigger points. Am. J. Phys. Med. Rehabil. 2002, 81, 212–222. [Google Scholar] [CrossRef]
- Kuan, T.S.; Hsieh, Y.L.; Chen, S.M.; Chen, J.T.; Yen, W.C.; Hong, C.Z. The myofascial trigger point region: Correlation between the degree of irritability and the prevalence of endplate noise. Am. J. Phys. Med. Rehabil. 2007, 86, 183–189. [Google Scholar] [CrossRef]
- Dommerholt, J.; Shah, J.P.; Ballantyne, J.C.; Rathmell, J.P.; Fishman, S.M. Myofascial Pain Syndrome, 4th ed.; Williams & Wilkins: Baltimore, MD, USA, 2010. [Google Scholar]
- Sikdar, S.; Shah, J.P.; Gebreab, T.; Yen, R.H.; Gilliams, E.; Danoff, J.; Gerber, L.H. Novel applications of ultrasound technology to visualize and characterize myofascial trigger points and surrounding soft tissue. Arch. Phys. Med. Rehabil. 2009, 90, 1829–1838. [Google Scholar] [CrossRef]
- Ballyns, J.J.; Turo, D.; Otto, P.; Shah, J.P.; Hammond, J.; Gebreab, T.; Gerber, L.H.; Sikdar, S. Office-based elastographic technique for quantifying mechanical properties of skeletal muscle. J. Ultrasound Med. 2012, 31, 1209–1219. [Google Scholar] [CrossRef]
- Turo, D.; Otto, P.; Shah, J.P.; Heimur, J.; Gebreab, T.; Zaazhoa, M.; Armstrong, K.; Gerber, L.H.; Sikdar, S. Ultrasonic characterization of the upper trapezius muscle in patients with chronic neck pain. Ultrason. Imaging 2013, 35, 173–187. [Google Scholar] [CrossRef] [PubMed]
- Adigozali, H.; Shadmehr, A.; Ebrahimi, E.; Rezasoltani, A.; Naderi, F. Reliability of assessment of upper trapezius morphology, its mechanical properties and blood flow in female patients with myofascial pain syndrome using ultrasonography. J. Bodyw. Mov. Ther. 2017, 21, 35–40. [Google Scholar] [CrossRef]
- Lewis, J.; Tehan, P. A blinded pilot study investigating the use of diagnostic ultrasound for detecting active myofascial trigger points. Pain 1999, 79, 39–44. [Google Scholar] [CrossRef] [PubMed]
- Shankar, H.; Reddy, S. Two- and three-dimensional ultrasound imaging to facilitate detection and targeting of taut bands in myofascial pain syndrome. Pain Med. 2012, 13, 971–975. [Google Scholar] [CrossRef] [PubMed]
- Whittaker, J.L. Ultrasound Imaging for Rehabilitation of the Lumbopelvic Region. A Clinical Approach; Elsevier Ltd.: Amsterdam, The Netherlands, 2007. [Google Scholar]
- Zimmermann, M. Ethical guidelines for investigations of experimental pain in conscious animals. Pain 1983, 16, 109–110. [Google Scholar] [CrossRef] [PubMed]
- Zimmermann, M. Ethical considerations in relation to pain in animal experimentation. Acta Physiol. Scand. Suppl. 1986, 554, 221–233. [Google Scholar] [PubMed]
- Hong, C.Z.; Torigoe, Y. Electrophysiologic characteristics of localized twitch responses in responsive bands of rabbit skeletal muscle fibers. J. Musculoskelet. Pain 1994, 2, 17–43. [Google Scholar] [CrossRef]
- Simons, D.G.; Hong, C.Z.; Simons, L.S. Prevalence of spontaneous electrical activity at trigger spots and at control sites in rabbit skeletal muscle. J. Musculoskelet. Pain 1995, 3, 35–48. [Google Scholar] [CrossRef]
- Chen, K.H.; Hong, C.Z.; Kuo, F.C.; Hsu, H.C.; Hsieh, Y.L. Electrophysiologic effects of a therapeutic laser on myofascial trigger spots of rabbit skeletal muscles. Am. J. Phys. Med. Rehabil. 2008, 87, 1006–1014. [Google Scholar] [CrossRef]
- Hsieh, Y.L.; Chou, L.W.; Joe, Y.S.; Hong, C.Z. Spinal cord mechanism involving the remote effects of dry needling on the irritability of myofascial trigger spots in rabbit skeletal muscle. Arch. Phys. Med. Rehabil. 2011, 92, 1098–1105. [Google Scholar] [CrossRef]
- Hsieh, Y.L.; Yang, C.C.; Liu, S.Y.; Chou, L.W.; Hong, C.Z. Remote dose-dependent effects of dry needling at distant myofascial trigger spots of rabbit skeletal muscles on reduction of substance P levels of proximal muscle and spinal cords. BioMed Res. Int. 2014, 982121. [Google Scholar] [CrossRef] [PubMed]
- Wood, P.L. Animal models in analgesic testing. In Analgesics: Neurochemical, Behavioral and Clinical Perspectives (Central Nervous System Pharmacology; Kuhar, M.J., Pasternak, G.W., Eds.; Raven Press: New York, NY, USA, 1984; pp. 175–194. [Google Scholar]
- Jacobson, J.A. Fundamentals of Musculoskeletal Ultrasound; Sunders, Elsevier Inc.: Philadelphia, PA, USA, 2007. [Google Scholar]
- Simons, D.G. Review of enigmatic MTrPs as a common cause of enigmatic musculoskeletal pain and dysfunction. J. Electromyogr. Kinesiol. 2004, 14, 95–107. [Google Scholar] [CrossRef] [PubMed]
- Hong, C.Z. Research on myofascial pain syndrome. Crit. Rev. Phys. Rehabil. Med. 2008, 20, 343–366. [Google Scholar] [CrossRef]
- Mense, S.; Gerwin, R.D. Muscle Pain: Understanding the Mechanisms; Springer: Berlin/Heidelberg, Germany, 2010; pp. 20–60. [Google Scholar]
- Kimura, Y.; Ge, H.Y.; Zhang, Y.; Kimura, M.; Sumikura, H.; Arendt-Nielsen, L. Evaluation of sympathetic vasoconstrictor response following nociceptive stimulation of latent myofascial trigger points in humans. Acta Physiol. 2009, 196, 411–417. [Google Scholar] [CrossRef] [PubMed]
- Longo, V.; Jacobson, J.A.; Fessell, D.P.; Mautner, K. Ultrasound findings of delayed-onset muscle soreness. J. Ultrasound Med. 2016, 35, 2517–2521. [Google Scholar] [CrossRef]
- Ricci, V.; Ricci, C.; Gervasoni, F.; Cocco, G.; Andreoli, A.; Özçakar, L. From Histoanatomy to Sonography in Myofascial Pain Syndrome: A EURO-MUSCULUS/USPRM Approach. Am. J. Phys. Med. Rehabil. 2023, 102, 92–97. [Google Scholar] [CrossRef]
- Pirri, C.; Pirri, N.; Stecco, C.; Macchi, V.; Porzionato, A.; De Caro, R.; Özçakar, L. Sono-palpation and sono-Tinel in musculoskeletal ultrasound examination: Use all “sono-senses”. A systematic review. Med. Ultrason. 2023, 25, 325–329. [Google Scholar] [CrossRef]
- Hsieh, Y.L.; Hong, C.Z.; Chou, L.W.; Yang, S.A.; Yang, C.C. Fluence-dependent effects of low-level laser therapy in myofascial trigger spots on modulation of biochemicals associated with pain in a rabbit model. Lasers Med. Sci. 2015, 30, 209–216. [Google Scholar] [CrossRef]
- Hsieh, Y.L.; Kao, M.J.; Kuan, T.S.; Chen, S.M.; Chen, J.T.; Hong, C.Z. Dry needling to a key myofascial trigger point may reduce the irritability of satellite MTrPs. Am. J. Phys. Med. Rehabil. 2007, 86, 397–403. [Google Scholar] [CrossRef]
- Vulfsons, S.; Ratmansky, M.; Kalichman, L. Trigger point needling: Techniques and outcome. Curr. Pain Headache Rep. 2012, 16, 407–412. [Google Scholar] [CrossRef]
- Ji, H.M.; Kim, H.J.; Han, S.J. Extracorporeal shock wave therapy in myofascial pain syndrome of upper trapezius. Ann. Rehabil. Med. 2012, 36, 675–680. [Google Scholar] [CrossRef] [PubMed]
- Sarrafzadeh, J.; Ahmadi, A.; Yassin, M. The effects of pressure release, phonophoresis of hydrocortisone, and ultrasound on upper trapezius latent myofascial trigger point. Arch. Phys. Med. Rehabil. 2012, 93, 72–77. [Google Scholar] [CrossRef] [PubMed]


| EPN | ||||
|---|---|---|---|---|
| Positive | Negative | Total | ||
| US Image | Positive | 148 | 2 | 150 |
| Negative | 0 | 28 | 28 | |
| Total | 148 | 30 | 178 | |
| US Image | ||||
|---|---|---|---|---|
| Positive | Negative | Total | ||
| EPN | Positive | 148 | 0 | 148 |
| Negative | 18 | 12 | 30 | |
| Total | 166 | 12 | 178 | |
| Ss | Sc | PPV | NPV | PLR | NLR | A | P | ||
|---|---|---|---|---|---|---|---|---|---|
| Stage | 1 | 100% | 93.3% | 98.7% | 100% | 15 | 0 | 98.9% | 98.7% |
| 2 | 100% | 40% | 89.2% | 100% | 1.67 | 0 | 89.9% | 89.2% | |
Disclaimer/Publisher’s Note: The statements, opinions and data contained in all publications are solely those of the individual author(s) and contributor(s) and not of MDPI and/or the editor(s). MDPI and/or the editor(s) disclaim responsibility for any injury to people or property resulting from any ideas, methods, instructions or products referred to in the content. |
© 2024 by the authors. Licensee MDPI, Basel, Switzerland. This article is an open access article distributed under the terms and conditions of the Creative Commons Attribution (CC BY) license (https://creativecommons.org/licenses/by/4.0/).
Share and Cite
Chen, H.-Y.; Hong, C.-Z.; Hsieh, Y.-L. Assessment of the Performance of Ultrasonography for Detecting Myofascial Trigger Points. Sensors 2024, 24, 718. https://doi.org/10.3390/s24030718
Chen H-Y, Hong C-Z, Hsieh Y-L. Assessment of the Performance of Ultrasonography for Detecting Myofascial Trigger Points. Sensors. 2024; 24(3):718. https://doi.org/10.3390/s24030718
Chicago/Turabian StyleChen, Han-Yu, Chang-Zern Hong, and Yueh-Ling Hsieh. 2024. "Assessment of the Performance of Ultrasonography for Detecting Myofascial Trigger Points" Sensors 24, no. 3: 718. https://doi.org/10.3390/s24030718
APA StyleChen, H.-Y., Hong, C.-Z., & Hsieh, Y.-L. (2024). Assessment of the Performance of Ultrasonography for Detecting Myofascial Trigger Points. Sensors, 24(3), 718. https://doi.org/10.3390/s24030718

