Segmentation of Low-Grade Brain Tumors Using Mutual Attention Multimodal MRI
Abstract
1. Introduction
2. Related Work
3. Materials and Methods
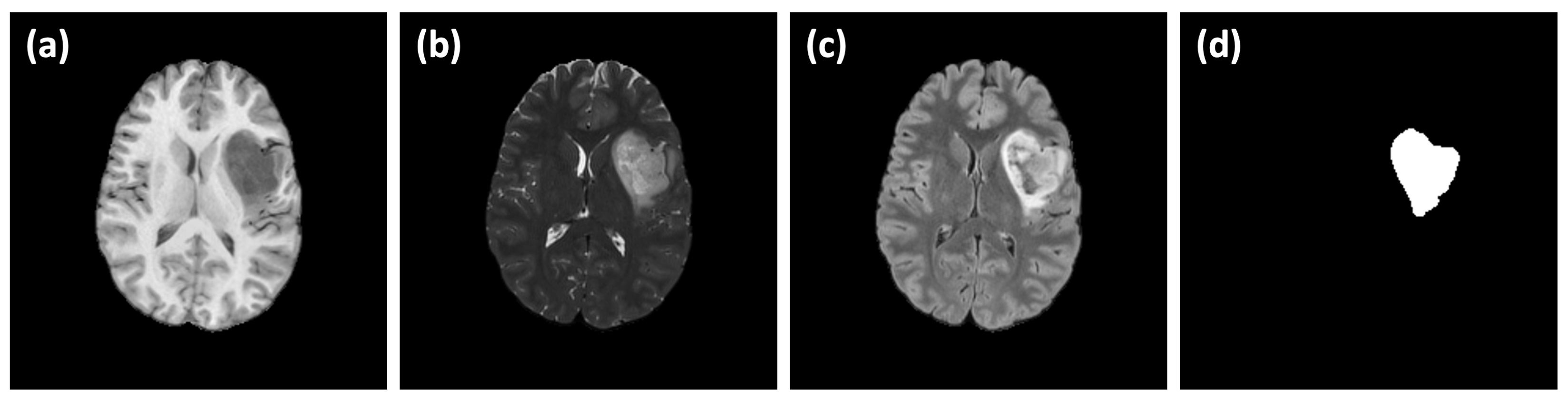
3.1. Image Dataset
3.2. Network Architecture
- Convolution Module (CnvMod): This module consists of a 2D convolution layer with a kernel size of , followed by batch normalization and a Rectified Linear Unit (ReLU). It acts as the basic building block, enabling feature extraction by detecting spatial patterns within each modality.
- Encoder Module (EncMod): The encoder processes input data through a CnvMod, followed by a max pooling layer. This module extracts high-level spatial features and reduces spatial dimensions, ensuring that the model focuses on the most salient information.
- Decoder Module (DecMod): The decoder includes a deconvolution layer to restore the spatial resolution, followed by batch normalization, ReLU activation and a CnvMod. This design allows the model to gradually reconstruct the segmentation map from the learned features, ensuring accurate boundary delineation.
- Mutual Attention Layer: This layer integrates features from multiple data streams, enabling interaction between different modalities. The mutual attention mechanism dynamically weighs the importance of features from each modality, ensuring that complementary information is captured and utilized for segmentation. It enhances the exchange of relevant features between modalities, such as T2w and FLAIR, which may highlight different tumor characteristics.
- Map Module (Map): The map module applies a final 2D convolution layer, followed by a sigmoid activation function, to generate the final segmentation output. This layer ensures that the output is normalized between 0 and 1, representing the probability of each voxel belonging to the tumor region.
3.3. Mutual Attention
3.4. Pre-Processing and Normalization
3.5. Evaluation Metrics
4. Results
4.1. Evaluation of Difference in MRI Sequences
4.2. Performance of Mutual Attention
4.3. Performance of Alternative Combinations
5. Discussion
5.1. Performance Evaluation
5.2. Accuracy of Golden Truth Labels
5.3. Limitations
6. Conclusions
Author Contributions
Funding
Institutional Review Board Statement
Informed Consent Statement
Data Availability Statement
Acknowledgments
Conflicts of Interest
References
- Sathornsumetee, S.; Rich, J.N.; Reardon, D.A. Diagnosis and Treatment of High-Grade Astrocytoma. Neurol. Clin. 2007, 25, 1111–1139. [Google Scholar] [CrossRef] [PubMed]
- Salari, N.; Fatahian, R.; Kazeminia, M.; Hosseinian-Far, A.; Shohaimi, S.; Mohammadi, M. Patients’ survival with astrocytoma after treatment: A systematic review and meta-analysis of clinical trial studies. Indian J. Surg. Oncol. 2022, 13, 329–342. [Google Scholar] [CrossRef] [PubMed]
- Bauer, S.; Wiest, R.; Nolte, L.P.; Reyes, M. A survey of MRI-based medical image analysis for brain tumor studies. Phys. Med. Biol. 2013, 58, R97. [Google Scholar] [CrossRef]
- Yang, Q.; Zhang, H.; Xia, J.; Zhang, X. Evaluation of magnetic resonance image segmentation in brain low-grade gliomas using support vector machine and convolutional neural network. Quant. Imaging Med. Surg. 2021, 11, 300. [Google Scholar] [CrossRef]
- Weizman, L.; Ben Sira, L.; Joskowicz, L.; Constantini, S.; Precel, R.; Shofty, B.; Ben Bashat, D. Automatic segmentation, internal classification, and follow-up of optic pathway gliomas in MRI. Med. Image Anal. 2012, 16, 177–188. [Google Scholar] [CrossRef]
- Cabezas, M.; Oliver, A.; Lladó, X.; Freixenet, J.; Bach Cuadra, M. A review of atlas-based segmentation for magnetic resonance brain images. Comput. Methods Programs Biomed. 2011, 104, e158–e177. [Google Scholar] [CrossRef]
- Jyothi, P.; Singh, A.R. Deep learning models and traditional automated techniques for brain tumor segmentation in MRI: A review. Artif. Intell. Rev. 2023, 56, 2923–2969. [Google Scholar] [CrossRef]
- Anusooya, G.; Bharathiraja, S.; Mahdal, M.; Sathyarajasekaran, K.; Elangovan, M. Self-Supervised Wavelet-Based Attention Network for Semantic Segmentation of MRI Brain Tumor. Sensors 2023, 23, 2719. [Google Scholar] [CrossRef]
- Munir, K.; Frezza, F.; Rizzi, A. Deep Learning Hybrid Techniques for Brain Tumor Segmentation. Sensors 2022, 22, 8201. [Google Scholar] [CrossRef]
- Ahamed, M.F.; Hossain, M.M.; Nahiduzzaman, M.; Islam, M.R.; Islam, M.R.; Ahsan, M.; Haider, J. A review on brain tumor segmentation based on deep learning methods with federated learning techniques. Comput. Med. Imaging Graph. 2023, 110, 102313. [Google Scholar] [CrossRef]
- Fang, L.; Wang, X. Brain tumor segmentation based on the dual-path network of multi-modal MRI images. Pattern Recognit. 2022, 124, 108434. [Google Scholar] [CrossRef]
- Ottom, M.A.; Rahman, H.A.; Dinov, I.D. Znet: Deep Learning Approach for 2D MRI Brain Tumor Segmentation. IEEE J. Transl. Eng. Health Med. 2022, 10, 1800508. [Google Scholar] [CrossRef] [PubMed]
- Ngo, D.K.; Tran, M.T.; Kim, S.H.; Yang, H.J.; Lee, G.S. Multi-task learning for small brain tumor segmentation from MRI. Appl. Sci. 2020, 10, 7790. [Google Scholar] [CrossRef]
- Zhou, Z.; Siddiquee, M.M.R.; Tajbakhsh, N.; Liang, J. Unet++: Redesigning skip connections to exploit multiscale features in image segmentation. IEEE Trans. Med. Imaging 2019, 39, 1856–1867. [Google Scholar] [CrossRef]
- Ronneberger, O.; Fischer, P.; Brox, T. U-net: Convolutional networks for biomedical image segmentation. In Proceedings of the Medical Image Computing and Computer-Assisted Intervention–MICCAI 2015: 18th International Conference, Munich, Germany, 5–9 October 2015; Proceedings, Part III 18. Springer: Berlin/Heidelberg, Germany, 2015; pp. 234–241. [Google Scholar] [CrossRef]
- Xu, D.; Zhou, X.; Niu, X.; Wang, J. Automatic segmentation of low-grade glioma in MRI image based on UNet++ model. J. Phys. Conf. Ser. 2020, 1693, 012135. [Google Scholar] [CrossRef]
- Vafaeikia, P.; Wagner, M.W.; Hawkins, C.; Tabori, U.; Ertl-Wagner, B.B.; Khalvati, F. MRI-based end-to-end pediatric low-grade glioma segmentation and classification. Can. Assoc. Radiol. J. 2024, 75, 153–160. [Google Scholar] [CrossRef]
- Ali, M.B.; Bai, X.; Gu, I.Y.H.; Berger, M.S.; Jakola, A.S. A Feasibility Study on Deep Learning Based Brain Tumor Segmentation Using 2D Ellipse Box Areas. Sensors 2022, 22, 5292. [Google Scholar] [CrossRef]
- Naser, M.A.; Deen, M.J. Brain tumor segmentation and grading of lower-grade glioma using deep learning in MRI images. Comput. Biol. Med. 2020, 121, 103758. [Google Scholar] [CrossRef]
- Sun, J.; Peng, Y.; Guo, Y.; Li, D. Segmentation of the multimodal brain tumor image used the multi-pathway architecture method based on 3D FCN. Neurocomputing 2021, 423, 34–45. [Google Scholar] [CrossRef]
- Das, S.; Nayak, G.; Saba, L.; Kalra, M.; Suri, J.S.; Saxena, S. An artificial intelligence framework and its bias for brain tumor segmentation: A narrative review. Comput. Biol. Med. 2022, 143, 105273. [Google Scholar] [CrossRef]
- Pereira, S.; Pinto, A.; Alves, V.; Silva, C.A. Brain Tumor Segmentation Using Convolutional Neural Networks in MRI Images. IEEE Trans. Med. Imaging 2016, 35, 1240–1251. [Google Scholar] [CrossRef] [PubMed]
- Kistler, M.; Bonaretti, S.; Pfahrer, M.; Niklaus, R.; Büchler, P. The virtual skeleton database: An open access repository for biomedical research and collaboration. J. Med. Internet Res. 2013, 15, e245. [Google Scholar] [CrossRef] [PubMed]
- Menze, B.H.; Jakab, A.; Bauer, S.; Kalpathy-Cramer, J.; Farahani, K.; Kirby, J.; Burren, Y.; Porz, N.; Slotboom, J.; Wiest, R.; et al. The multimodal brain tumor image segmentation benchmark (BRATS). IEEE Trans. Med. Imaging 2014, 34, 1993–2024. [Google Scholar] [CrossRef] [PubMed]
- Havaei, M.; Davy, A.; Warde-Farley, D.; Biard, A.; Courville, A.; Bengio, Y.; Pal, C.; Jodoin, P.M.; Larochelle, H. Brain tumor segmentation with Deep Neural Networks. Med. Image Anal. 2017, 35, 18–31. [Google Scholar] [CrossRef] [PubMed]
- Ben naceur, M.; Saouli, R.; Akil, M.; Kachouri, R. Fully Automatic Brain Tumor Segmentation using End-To-End Incremental Deep Neural Networks in MRI images. Comput. Methods Programs Biomed. 2018, 166, 39–49. [Google Scholar] [CrossRef]
- Baid, U.; Ghodasara, S.; Mohan, S.; Bilello, M.; Calabrese, E.; Colak, E.; Farahani, K.; Kalpathy-Cramer, J.; Kitamura, F.C.; Pati, S.; et al. The rsna-asnr-miccai brats 2021 benchmark on brain tumor segmentation and radiogenomic classification. arXiv 2021, arXiv:2107.02314. [Google Scholar] [CrossRef]
- Ribalta Lorenzo, P.; Nalepa, J.; Bobek-Billewicz, B.; Wawrzyniak, P.; Mrukwa, G.; Kawulok, M.; Ulrych, P.; Hayball, M.P. Segmenting brain tumors from FLAIR MRI using fully convolutional neural networks. Comput. Methods Programs Biomed. 2019, 176, 135–148. [Google Scholar] [CrossRef]
- Peng, J.; Kim, D.D.; Patel, J.B.; Zeng, X.; Huang, J.; Chang, K.; Xun, X.; Zhang, C.; Sollee, J.; Wu, J.; et al. Deep learning-based automatic tumor burden assessment of pediatric high-grade gliomas, medulloblastomas, and other leptomeningeal seeding tumors. Neuro-Oncology 2021, 24, 289–299. [Google Scholar] [CrossRef]
- Zhang, J.; Zeng, J.; Qin, P.; Zhao, L. Brain tumor segmentation of multi-modality MR images via triple intersecting U-Nets. Neurocomputing 2021, 421, 195–209. [Google Scholar] [CrossRef]
- Zhu, Z.; Sun, M.; Qi, G.; Li, Y.; Gao, X.; Liu, Y. Sparse Dynamic Volume TransUNet with multi-level edge fusion for brain tumor segmentation. Comput. Biol. Med. 2024, 172, 108284. [Google Scholar] [CrossRef]
- Cheng, Y.; Zheng, Y.; Wang, J. CFNet: Automatic multi-modal brain tumor segmentation through hierarchical coarse-to-fine fusion and feature communication. Biomed. Signal Process. Control 2025, 99, 106876. [Google Scholar] [CrossRef]
- Hervey-Jumper, S.L.; Berger, M.S. Maximizing safe resection of low-and high-grade glioma. J. Neuro-Oncol. 2016, 130, 269–282. [Google Scholar] [CrossRef] [PubMed]
- Tan, A.C.; Ashley, D.M.; López, G.Y.; Malinzak, M.; Friedman, H.S.; Khasraw, M. Management of glioblastoma: State of the art and future directions. CA Cancer J. Clin. 2020, 70, 299–312. [Google Scholar] [CrossRef] [PubMed]
- Calabrese, E.; Villanueva-Meyer, J.E.; Rudie, J.D.; Rauschecker, A.M.; Baid, U.; Bakas, S.; Cha, S.; Mongan, J.T.; Hess, C.P. The University of California San Francisco preoperative diffuse glioma MRI dataset. Radiol. Artif. Intell. 2022, 4, e220058. [Google Scholar] [CrossRef] [PubMed]
- Lebovitz, S.; Levina, N.; Lifshitz-Assaf, H. Is AI ground tructh really true? The dangerous of training and evaluating AI tools based on expert’s know-what. MIS Q. 2021, 45, 1501–1526. [Google Scholar] [CrossRef]
- Jacob, J.; Ciccarelli, O.; Barkhof, F.; Alexander, D.C. Disentangling human error from the ground truth in segmentation of medical images. Adv. Neural Inf. Process. Syst. 2021, 33, 15750–15762. [Google Scholar] [CrossRef]
- Wang, Y.; Han, X.; Li, C.; Luo, L.; Yin, Q.; Zhang, J.; Peng, G.; Shi, D.; He, M. Impact of Gold-Standard Label Errors on Evaluating Performance of Deep Learning Models in Diabetic Retinopathy Screening: Nationwide Real-World Validation Study. J. Med. Internet Res. 2024, 26, e52506. [Google Scholar] [CrossRef]
- Rashed, E.A.; Gomez-Tames, J.; Hirata, A. End-to-end semantic segmentation of personalized deep brain structures for non-invasive brain stimulation. Neural Netw. 2020, 125, 233–244. [Google Scholar] [CrossRef]







| Ref. | Year | Tumor Type | Network Architecture | MRI Sequences | Subjects/Dataset | Dc |
|---|---|---|---|---|---|---|
| [22] | 2016 | LGG, HGG | Multilayer CNN | T1w, T1c, T2w, FLAIR | BraTS2013 [23] | 0.88, 0.83, 0.77 * |
| BraTS2015 [24] | 0.78, 0.65, 0.75 * | |||||
| [25] | 2017 | LGG, HGG | InputCascadeCNN | T1w, T1c, T2w, FLAIR | BraTS2013 | 0.88, 0.79, 0.73 * |
| [26] | 2018 | LGG, HGG | 2CNet, 3CNet, EnsembleNet | T1c, T2w, FLAIR | BraTS2017 [27] | 0.88 |
| [28] | 2019 | Stages II-IV | FCNN | FLAIR | 11 | 0.8 |
| [16] | 2020 | LGG | U-Net | FLAIR | 3929 | 0.8521 |
| U-Net++ | 0.8910 | |||||
| [29] | 2021 | pHGG | 3D U-Net | T1c, FLAIR | 794 | 0.724 |
| [30] | 2021 | LGG, HGG | MU-Net | T1w, T1c, T2w, FLAIR | BraTS2015 | 0.82, 0.68, 0.61 * |
| [17] | 2024 | pLGG | 2-step U-Net | FLAIR | 288 | 0.795 |
| [31] | 2024 | LGG, HGG | SDV-TUNet | T1w, T1c, T2w, FLAIR | BraTS2020 [27] | 0.9022, 0.8920, 0.8248 * |
| BraTS2021 [27] | 0.9310, 0.9099, 0.8764 * | |||||
| [32] | 2025 | LGG, HGG | CFNet | T1w, T1c, T2w, FLAIR | BraTS2019 [27] | 0.9089, 0.9052, 0.9061 * |
| BraTS2020 | 0.9160, 0.9046, 0.9029 * |
| Modality | Dc |
|---|---|
| T1w | 0.6647 |
| T1w (contrast) | 0.6648 |
| T2w | 0.6789 |
| FLAIR | 0.9100 |
| DWI | 0.6647 |
| SWI | 0.6648 |
| Fold | Modality | Dc | Ac | Re | Pr | IoU | Vc | Hd |
|---|---|---|---|---|---|---|---|---|
| Fold-1 | Single | 0.8569 | 0.8645 | 0.9562 | 0.9006 | 0.8645 | 0.9672 | 38.05 |
| Dual | 0.9472 | 0.9012 | 0.9806 | 0.9178 | 0.9012 | 0.9667 | 52.46 | |
| Fold-2 | Single | 0.8383 | 0.7374 | 0.9188 | 0.8019 | 0.7374 | 0.8819 | 44.30 |
| Dual | 0.9033 | 0.8309 | 0.9346 | 0.8835 | 0.8309 | 0.9493 | 66.77 | |
| Fold-3 | Single | 0.8631 | 0.7964 | 0.8899 | 0.8316 | 0.8128 | 0.9131 | 28.48 |
| Dual | 0.8409 | 0.7964 | 0.8435 | 0.8391 | 0.8377 | 0.9744 | 39.45 | |
| Fold-4 | Single | 0.6778 | 0.5584 | 0.9740 | 0.5638 | 0.5584 | 0.6919 | 34.45 |
| Dual | 0.8665 | 0.7775 | 0.9765 | 0.7926 | 0.7898 | 0.8884 | 69.31 | |
| Fold-5 | Single | 0.7444 | 0.6573 | 0.8539 | 0.7329 | 0.6573 | 0.8494 | 41.50 |
| Dual | 0.7959 | 0.7061 | 0.8286 | 0.8427 | 0.7061 | 0.8416 | 40.60 | |
| Average | Single | 0.7961 | 0.7234 | 0.9185 | 0.7662 | 0.7261 | 0.8607 | 37.35 |
| Dual | 0.8707 | 0.8024 | 0.9127 | 0.8552 | 0.8131 | 0.9241 | 53.71 | |
| Average * | Single | 0.7827 | 0.7082 | 0.9243 | 0.7531 | 0.7087 | 0.8502 | 39.13 |
| Dual | 0.8767 | 0.8036 | 0.9266 | 0.8583 | 0.8082 | 0.9140 | 56.57 |
| Dc | Ac | Re | |||||||
|---|---|---|---|---|---|---|---|---|---|
| T1c | T2w | FLAIR | T1c | T2w | FLAIR | T1c | T2w | FLAIR | |
| T1w | 0.0271 | 0.7835 | 0.4751 | 0.0140 | 0.6913 | 0.3761 | 0.0155 | 0.8911 | 0.4208 |
| T1c | 0.7727 | 0.8656 | 0.6771 | 0.7836 | 0.9052 | 0.9138 | |||
| T2w | 0.8707 | 0.8024 | 0.9127 | ||||||
Disclaimer/Publisher’s Note: The statements, opinions and data contained in all publications are solely those of the individual author(s) and contributor(s) and not of MDPI and/or the editor(s). MDPI and/or the editor(s) disclaim responsibility for any injury to people or property resulting from any ideas, methods, instructions or products referred to in the content. |
© 2024 by the authors. Licensee MDPI, Basel, Switzerland. This article is an open access article distributed under the terms and conditions of the Creative Commons Attribution (CC BY) license (https://creativecommons.org/licenses/by/4.0/).
Share and Cite
Seshimo, H.; Rashed, E.A. Segmentation of Low-Grade Brain Tumors Using Mutual Attention Multimodal MRI. Sensors 2024, 24, 7576. https://doi.org/10.3390/s24237576
Seshimo H, Rashed EA. Segmentation of Low-Grade Brain Tumors Using Mutual Attention Multimodal MRI. Sensors. 2024; 24(23):7576. https://doi.org/10.3390/s24237576
Chicago/Turabian StyleSeshimo, Hiroyuki, and Essam A. Rashed. 2024. "Segmentation of Low-Grade Brain Tumors Using Mutual Attention Multimodal MRI" Sensors 24, no. 23: 7576. https://doi.org/10.3390/s24237576
APA StyleSeshimo, H., & Rashed, E. A. (2024). Segmentation of Low-Grade Brain Tumors Using Mutual Attention Multimodal MRI. Sensors, 24(23), 7576. https://doi.org/10.3390/s24237576

