A Small Intestinal Stromal Tumor Detection Method Based on an Attention Balance Feature Pyramid
Abstract
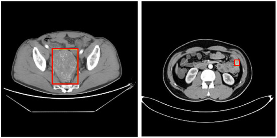
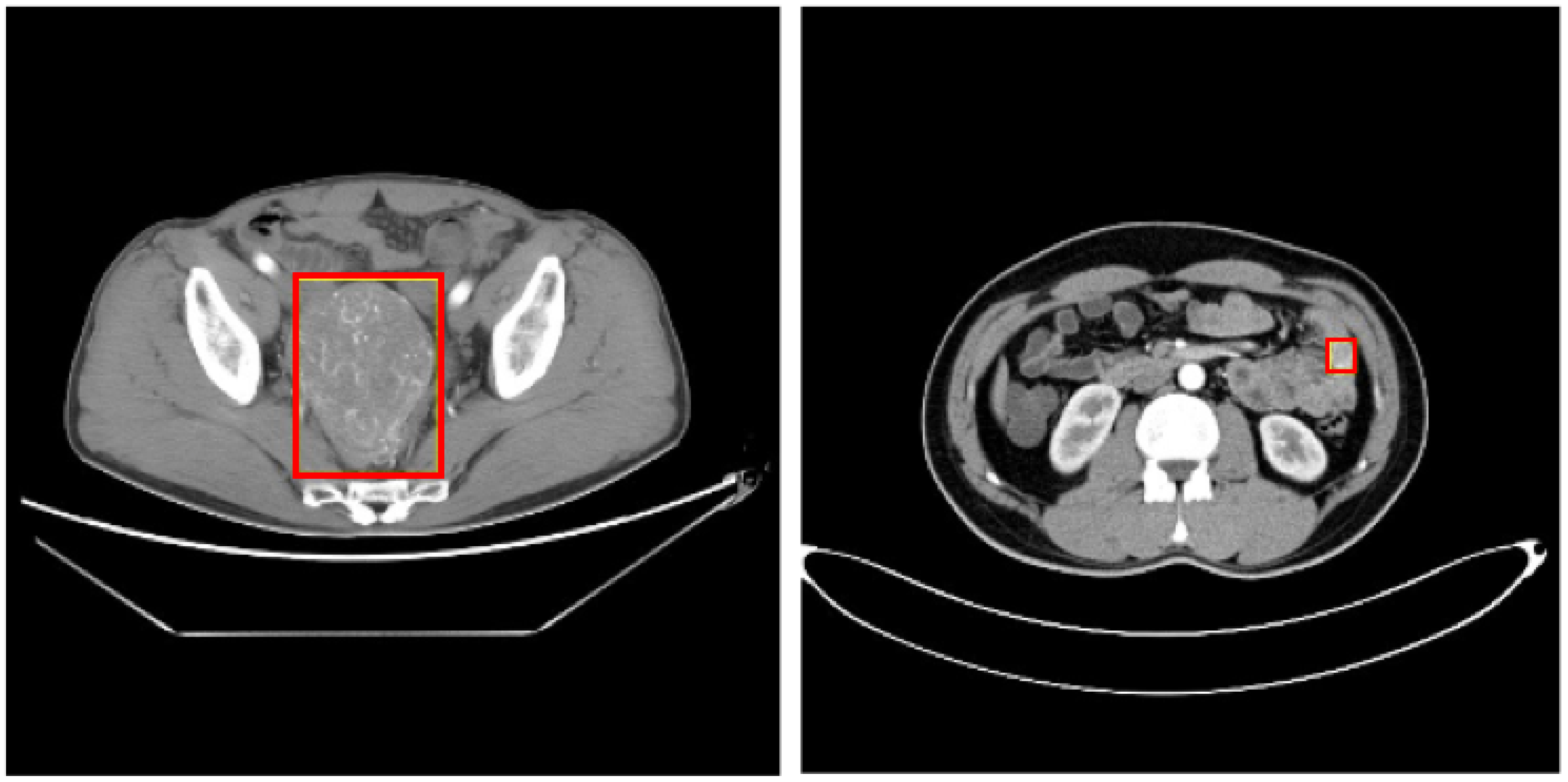
:1. Introduction
2. Related Work
3. The Proposed Method
3.1. Balanced Feature Pyramid
3.2. Attention Mechanism Module
3.3. Attention Balance Feature Pyramid Abfp
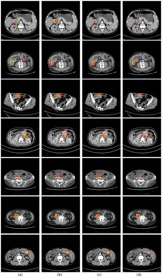
4. Experimental Results and Analysis
4.1. Experimental Data and Environment
4.2. Comparative Experimental Analysis of Algorithms
4.3. Ablation Experiment of Attention Balance Characteristic Pyramid (ABFP)
5. Conclusions
Author Contributions
Funding
Institutional Review Board Statement
Informed Consent Statement
Data Availability Statement
Conflicts of Interest
References
- Gheorghe, G.; Bacalbasa, N.; Ceobanu, G.; Ilie, M.; Enache, V.; Constantinescu, G.; Bungau, S.; Diaconu, C.C. Gastrointestinal stromal tumors—A mini review. J. Pers. Med. 2021, 11, 694. [Google Scholar] [CrossRef] [PubMed]
- Blay, J.Y.; Kang, Y.K.; Nishida, T.; von Mehren, M. Gastrointestinal stromal tumours. Nat. Rev. Dis. Prim. 2021, 7, 22. [Google Scholar] [CrossRef] [PubMed]
- Yang, D.; Zhang, S.; Yan, Z.; Tan, C.; Li, K.; Metaxas, D. Automated anatomical landmark detection on distal femur surface using convolutional neural network. In Proceedings of the 2015 IEEE 12th International Symposium on Biomedical Imaging (ISBI), New York, NY, USA, 16–19 April 2015; pp. 17–21. [Google Scholar]
- De Vos, B.D.; Wolterink, J.M.; De Jong, P.A.; Viergever, M.A.; Išgum, I. 2D image classification for 3D anatomy localization: Employing deep convolutional neural networks. In Proceedings of the Medical Imaging 2016: Image Processing Conference, Athens, Greece, 17–21 October 2016; Volume 9784, pp. 517–523. [Google Scholar]
- Cai, Y.; Landis, M.; Laidley, D.T.; Kornecki, A.; Lum, A.; Li, S. Multi-modal vertebrae recognition using transformed deep convolution network. Comput. Med. Imaging Graph. 2016, 51, 11–19. [Google Scholar] [CrossRef] [PubMed]
- Karaddi, S.H.; Sharma, L.D. Automated multi-class classification of lung diseases from CXR-images using pre-trained convolutional neural networks. Expert Syst. Appl. 2023, 211, 118650. [Google Scholar] [CrossRef]
- Payer, C.; Štern, D.; Bischof, H.; Urschler, M. Regressing heatmaps for multiple landmark localization using CNNs. In Proceedings of the 19th International Conference on Medical Image Computing and Computer-Assisted Intervention (MICCAI 2016), Athens, Greece, 17–21 October 2016; pp. 230–238. [Google Scholar]
- Ghesu, F.C.; Georgescu, B.; Mansi, T.; Neumann, D.; Hornegger, J.; Comaniciu, D. An artificial agent for anatomical landmark detection in medical images. In Proceedings of the 19th International Conference on Medical Image Computing and Computer-Assisted Intervention (MICCAI 2016), Athens, Greece, 17–21 October 2016; pp. 229–237. [Google Scholar]
- Rehman, A.; Khan, M.A.; Saba, T.; Mehmood, Z.; Tariq, U.; Ayesha, N. Microscopic brain tumor detection and classification using 3D CNN and feature selection architecture. Microsc. Res. Tech. 2021, 84, 133–149. [Google Scholar] [CrossRef] [PubMed]
- Ghesu, F.C.; Georgescu, B.; Zheng, Y.; Hornegger, J.; Comaniciu, D. Marginal space deep learning: Efficient architecture for detection in volumetric image data. In Proceedings of the 18th International Conference on Medical Image Computing and Computer-Assisted Intervention (MICCAI 2015), Munich, Germany, 5–9 October 2015; pp. 710–718. [Google Scholar]
- Baumgartner, C.F.; Kamnitsas, K.; Matthew, J.; Smith, S.; Kainz, B.; Rueckert, D. Real-time standard scan plane detection and localisation in fetal ultrasound using fully convolutional neural networks. In Proceedings of the 19th International Conference on Medical Image Computing and Computer-Assisted Intervention (MICCAI 2016), Athens, Greece, 17–21 October 2016; pp. 203–211. [Google Scholar]
- Agnes, S.A.; Anitha, J. Efficient multiscale fully convolutional UNet model for segmentation of 3D lung nodule from CT image. J. Med. Imaging 2022, 9, 052402. [Google Scholar] [CrossRef] [PubMed]
- Gyawali, P.K.; Ghimire, S.; Bajracharya, P.; Li, Z.; Wang, L. Semi-supervised medical image classification with global latent mixing. In Proceedings of the 23rd International Conference on Medical Image Computing and Computer Assisted Intervention (MICCAI 2020), Lima, Peru, 4–8 October 2020; pp. 604–613. [Google Scholar]
- Roth, H.R.; Lee, C.T.; Shin, H.C.; Seff, A.; Kim, L.; Yao, J.; Lu, L.; Summers, R.M. Anatomy-specific classification of medical images using deep convolutional nets. In Proceedings of the 2015 IEEE 12th International Symposium on Biomedical Imaging (ISBI), New York, NY, USA, 16–19 April 2015; pp. 101–104. [Google Scholar]
- Fu, Y.; Lei, Y.; Wang, T.; Curran, W.J.; Liu, T.; Yang, X. A review of deep learning based methods for medical image multi-organ segmentation. Phys. Med. 2021, 85, 107–122. [Google Scholar] [CrossRef] [PubMed]
- Barbu, A.; Lu, L.; Roth, H.; Seff, A.; Summers, R.M. An analysis of robust cost functions for CNN in computer-aided diagnosis. Comput. Methods Biomech. Biomed. Eng. Imaging Vis. 2018, 6, 253–258. [Google Scholar] [CrossRef]
- Teramoto, A.; Fujita, H.; Yamamuro, O.; Tamaki, T. Automated detection of pulmonary nodules in PET/CT images: Ensemble false-positive reduction using a convolutional neural network technique. Med. Phys. 2016, 43, 2821–2827. [Google Scholar] [CrossRef] [PubMed]
- Liu, T.; Tan, M.; Tong, Y.; Torigian, D.A.; Udupa, J.K. An anatomy-based iteratively searching convolutional neural network for organ localization in CT images. In Proceedings of the Medical Imaging 2022: Image Processing, San Diego, CA, USA, 21–27 March 2022; Volume 12032, pp. 583–590. [Google Scholar]
- Udupa, J.K.; Liu, T.; Jin, C.; Zhao, L.; Odhner, D.; Tong, Y.; Agrawal, V.; Pednekar, G.; Nag, S.; Kotia, T.; et al. Combining natural and artificial intelligence for robust automatic anatomy segmentation: Application in neck and thorax auto-contouring. Med. Phys. 2022, 49, 7118–7149. [Google Scholar] [CrossRef] [PubMed]
- Wang, D.; Wang, C.; Masters, L.; Barnett, M. Masked multi-task network for case-level intracranial hemorrhage classification in brain ct volumes. In Proceedings of the 23rd International Conference on Medical Image Computing and Computer Assisted Intervention (MICCAI 2020), Lima, Peru, 4–8 October 2020; pp. 145–154. [Google Scholar]
- Ju, J.; Li, J.; Chang, Z.; Liang, Y.; Guan, Z.; Xu, P.; Xie, F.; Wang, H. Incorporating multi-stage spatial visual cues and active localization offset for pancreas segmentation. Pattern Recognit. Lett. 2023, 170, 85–92. [Google Scholar] [CrossRef]
- Yang, Q.; Cao, Z.; Jiang, Y.; Sun, H.; Gu, X.; Xie, F.; Miao, F.; Gao, G. Semi-Supervised Gastrointestinal Stromal Tumor Detection via Self-Training. Electronics 2023, 12, 904. [Google Scholar] [CrossRef]
- Zhang, B.; Zhu, F.; Li, P.; Zhu, J. Artificial intelligence-assisted endoscopic ultrasound in the diagnosis of gastrointestinal stromal tumors: A meta-analysis. Surg. Endosc. 2022, 37, 1649–1657. [Google Scholar] [CrossRef] [PubMed]
- Paramenshachari, B.; Kumar, D.S. SVM Based Brain Tumor Detection and Classification System. In Proceedings of the 2022 IEEE 2nd Mysore Sub Section Internation Conference, Mysuru, India, 16–17 October 2022; pp. 1–4. [Google Scholar]
- Harrison, P.; Park, K. Tumor detection in breast histopathological images using faster r-cnn. In Proceedings of the 2021 International Symposium on Medical Robotics (ISMR), Atlanta, GA, USA, 17–19 November 2021; pp. 1–7. [Google Scholar]
- Umer, J.; Irtaza, A.; Nida, N. MACCAI LiTS17 liver tumor segmentation using RetinaNet. In Proceedings of the 2020 IEEE 23rd International Multitopic Conference (INMIC), Bahawalpur, Pakistan, 5–7 November 2020; pp. 1–5. [Google Scholar]
- Done, S.; Khademi, A. Cascade R-CNN for MIDOG Challenge. Biomedical Image Registration, Domain Generalisation and Out-of-Distribution Analysis: MICCAI 2021 Challenges: MIDOG 2021, MOOD 2021, and Learn2Reg 2021. Held in Conjunction with MICCAI 2021, Strasbourg, France, 27 September–1 October 2021; Springer: Berlin/Heidelberg, Germany, 2022; Volume 13166, p. 81. [Google Scholar]
- Yang, Z.; Liu, S.; Hu, H.; Wang, L.; Lin, S. Reppoints: Point set representation for object detection. In Proceedings of the IEEE/CVF International Conference on Computer Vision, Seoul, Republic of Korea, 27 October–2 November 2019; pp. 9657–9666. [Google Scholar]
- Yan, K.; Wang, X.; Lu, L.; Zhang, L.; Harrison, A.P.; Bagheri, M.; Summers, R.M. Deep lesion graphs in the wild: Relationship learning and organization of significant radiology image findings in a diverse large-scale lesion database. In Proceedings of the IEEE Conference on Computer Vision and Pattern Recognition, Salt Lake City, UT, USA, 18–23 June 2018; pp. 9261–9270. [Google Scholar]
- Luo, X.; Cheng, Z.; Ni, Q.; Tao, R.; Shi, Y. Defect detection algorithm for fabric based on deformable convolutional network. Text. Res. J. 2023, 93, 2342–2354. [Google Scholar] [CrossRef]
- Asha, V.; Sreeja, S.; Saju, B.; Desai, P.; Pavan, K.; Kumari, G. Brain Tumor Detection using Mask RCNN. In Proceedings of the 2023 7th International Conference on Computing Methodologies and Communication (ICCMC), Erode, India, 21–23 February 2023; pp. 500–504. [Google Scholar]






| Model | Backbone | Neck | AP | AP0.75 | AP0.50 | AR |
|---|---|---|---|---|---|---|
| Faster RCNN [25] | ResNet 101 | FPN | 0.547 | 0.636 | 0.866 | 0.615 |
| Mask RCNN [31] | ResNet 101 | FPN | 0.556 | 0.642 | 0.847 | 0.624 |
| RetinaNet [26] | ResNet 101 | FPN | 0.526 | 0.597 | 0.846 | 0.619 |
| ResNet 101+SE | FPN | 0.551 | 0.634 | 0.853 | 0.640 | |
| ResNet 101 + CBAM | FPN | 0.549 | 0.596 | 0.891 | 0.648 | |
| ResNet101 + DCN | FPN | 0.553 | 0.632 | 0.873 | 0.638 | |
| ResNet 101 | FPN + ABFP | 0.550 | 0.612 | 0.886 | 0.651 | |
| ResNet 101 + DCN | FPN + ABFP | 0.574 | 0.662 | 0.900 | 0.662 | |
| RepPoints [28] | ResNet 101 | FPN | 0.540 | 0.584 | 0.885 | 0.624 |
| ResNet 101 + SE | FPN | 0.554 | 0.628 | 0.885 | 0.637 | |
| ResNet 101 + CBAM | FPN | 0.560 | 0.620 | 0.906 | 0.647 | |
| ResNet 101 + DCN | FPN | 0.549 | 0.594 | 0.886 | 0.638 | |
| ResNet 101 | FPN + ABFP | 0.550 | 0.604 | 0.882 | 0.669 | |
| ResNet 101 + DCN | FPN + ABFP | 0.574 | 0.633 | 0.924 | 0.649 | |
| Cascade RCNN [27] | ResNet 101 | FPN | 0.591 | 0.694 | 0.847 | 0.652 |
| ResNet 101 + SE | FPN | 0.598 | 0.708 | 0.862 | 0.659 | |
| ResNet 101 + CBAM | FPN | 0.610 | 0.713 | 0.898 | 0.682 | |
| ResNet 101 + DCN | FPN | 0.601 | 0.703 | 0.855 | 0.663 | |
| ResNet 101 | FPN + ABFP | 0.604 | 0.706 | 0.907 | 0.678 | |
| ResNet 101 + DCN | FPN + ABFP | 0.614 | 0.731 | 0.920 | 0.687 |
| Model | Neck | AP | AP0.75 | AP0.50 | AR |
|---|---|---|---|---|---|
| Retinanet + ResNet101 | FPN | 0.526 | 0.597 | 0.846 | 0.619 |
| FPN + ABFP | 0.550 | 0.612 | 0.886 | 0.651 | |
| BIFPN | 0.531 | 0.615 | 0.845 | 0.624 | |
| BIFPN + ABFP | 0.562 | 0.643 | 0.908 | 0.668 | |
| PAFPN | 0.542 | 0.618 | 0.880 | 0.647 | |
| PAFPN + ABFP | 0.559 | 0.622 | 0.925 | 0.663 |
| Model | Neck | AP | AP0.75 | AP0.50 | AR |
|---|---|---|---|---|---|
| RetinaNet | FPN | 0.304 | 0.337 | 0.519 | 0.579 |
| FPN + ABFP | 0.338 | 0.379 | 0.570 | 0.584 | |
| RepPoints | FPN | 0.305 | 0.340 | 0.517 | 0.585 |
| FPN + ABFP | 0.345 | 0.387 | 0.587 | 0.599 | |
| Cascade RCNN | FPN | 0.318 | 0.363 | 0.539 | 0.537 |
| FPN + ABFP | 0.348 | 0.400 | 0.573 | 0.544 |
| Model | BFP | CA | SA | AP | AP0.75 | AP0.50 | AR |
|---|---|---|---|---|---|---|---|
| ABFP | 0.526 | 0.597 | 0.846 | 0.619 | |||
| √ | 0.529 | 0.601 | 0.856 | 0.630 | |||
| √ | √ | 0.539 | 0.590 | 0.874 | 0.639 | ||
| √ | √ | √ | 0.550 | 0.612 | 0.886 | 0.651 |
Disclaimer/Publisher’s Note: The statements, opinions and data contained in all publications are solely those of the individual author(s) and contributor(s) and not of MDPI and/or the editor(s). MDPI and/or the editor(s) disclaim responsibility for any injury to people or property resulting from any ideas, methods, instructions or products referred to in the content. |
© 2023 by the authors. Licensee MDPI, Basel, Switzerland. This article is an open access article distributed under the terms and conditions of the Creative Commons Attribution (CC BY) license (https://creativecommons.org/licenses/by/4.0/).
Share and Cite
Xie, F.; Ju, J.; Zhang, T.; Wang, H.; Liu, J.; Wang, J.; Zhou, Y.; Zhao, X. A Small Intestinal Stromal Tumor Detection Method Based on an Attention Balance Feature Pyramid. Sensors 2023, 23, 9723. https://doi.org/10.3390/s23249723
Xie F, Ju J, Zhang T, Wang H, Liu J, Wang J, Zhou Y, Zhao X. A Small Intestinal Stromal Tumor Detection Method Based on an Attention Balance Feature Pyramid. Sensors. 2023; 23(24):9723. https://doi.org/10.3390/s23249723
Chicago/Turabian StyleXie, Fei, Jianguo Ju, Tongtong Zhang, Hexu Wang, Jindong Liu, Juan Wang, Yang Zhou, and Xuesong Zhao. 2023. "A Small Intestinal Stromal Tumor Detection Method Based on an Attention Balance Feature Pyramid" Sensors 23, no. 24: 9723. https://doi.org/10.3390/s23249723
APA StyleXie, F., Ju, J., Zhang, T., Wang, H., Liu, J., Wang, J., Zhou, Y., & Zhao, X. (2023). A Small Intestinal Stromal Tumor Detection Method Based on an Attention Balance Feature Pyramid. Sensors, 23(24), 9723. https://doi.org/10.3390/s23249723
