Electrochemical Biosensing of Glucose Based on the Enzymatic Reduction of Glucose
Abstract
1. Introduction
2. Experimental
2.1. Chemicals
2.2. Electrochemical Measurements
2.3. Aldehyde Reductase Production and Assays
2.4. Electrode Modification
3. Results and Discussion
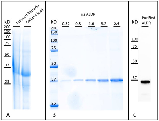
3.1. Characterization of Aldehyde Reductase
3.2. Electrodeposition of Poly(Methylene Green)
3.3. NADPH Electrocatalysis with PMG Modified Gold Electrode
3.4. Catalytic Reduction of Glucose
4. Conclusions
Supplementary Materials
Author Contributions
Funding
Data Availability Statement
Conflicts of Interest
References
- World Health Organization. Global Report on Diabetes; World Health Organization: Geneva, Switzerland, 2016.
- International Diabetes Federation. IDF Diabetes Atlas, 10th ed.; International Diabetes Federation: Brussels, Belgium, 2021. [Google Scholar]
- Rains, J.L.; Jain, S.K. Oxidative Stress, Insulin Signaling, and Diabetes. Free Radic. Biol. Med. 2011, 50, 567–575. [Google Scholar] [CrossRef]
- Muda, R.; Sawicki, P.; Ginszt, M. Perceived Food Palatability, Blood Glucose Level and Future Discounting: Lack of Evidence for Blood Glucose Level’s Impact on Reward Discounting. PLoS ONE 2021, 16, e0255484. [Google Scholar] [CrossRef] [PubMed]
- Teymourian, H.; Barfidokht, A.; Wang, J. Electrochemical Glucose Sensors in Diabetes Management: An Updated Review (2010–2020). Chem. Soc. Rev. 2020, 49, 7671–7709. [Google Scholar] [CrossRef] [PubMed]
- Li, W.; Luo, W.; Li, M.; Chen, L.; Chen, L.; Guan, H.; Yu, M. The Impact of Recent Developments in Electrochemical POC Sensor for Blood Sugar Care. Front. Chem. 2021, 9, 723186. [Google Scholar] [CrossRef] [PubMed]
- Newman, J.D.; Turner, A.P.F. Home Blood Glucose Biosensors: A Commercial Perspective. Biosens. Bioelectron. 2005, 20, 2435–2453. [Google Scholar] [CrossRef]
- Yoo, E.H.; Lee, S.Y. Glucose Biosensors: An Overview of Use in Clinical Practice. Sensors 2010, 10, 4558–4576. [Google Scholar] [CrossRef]
- Borisov, S.M.; Wolfbeis, O.S. Optical Biosensors. Chem. Rev. 2008, 108, 423–461. [Google Scholar] [CrossRef] [PubMed]
- Ramanathan, K.; Jönsson, B.R.; Danielsson, B. Sol-Gel Based Thermal Biosensor for Glucose. Anal. Chim. Acta 2001, 427, 1–10. [Google Scholar] [CrossRef]
- Chen, C.; Xie, Q.; Yang, D.; Xiao, H.; Fu, Y.; Tan, Y.; Yao, S. Recent Advances in Electrochemical Glucose Biosensors: A Review. RSC Adv. 2013, 3, 4473–4491. [Google Scholar] [CrossRef]
- Montagnana, M.; Caputo, M.; Giavarina, D.; Lippi, G. Overview on Self-Monitoring of Blood Glucose. Clin. Chim. Acta 2009, 402, 7–13. [Google Scholar] [CrossRef]
- Zubkovs, V.; Wang, H.; Schuergers, N.; Weninger, A.; Glieder, A.; Cattaneo, S.; Ardemis, A.B. Bioengineering a glucose oxidase nanosensor for near-infrared continuous glucose monitoring. Nanoscale Adv. 2022, 4, 2420–2427. [Google Scholar] [CrossRef] [PubMed]
- Roman, A.; Janier-Dubry, A.; Hanicq, C.; Flament, P.; Vertongen, F.; Stevens, E. Comparison of Accuracy of Glucose-Oxidase-Based and Glucose-Dehydrogenase-Based Point-of-Care Glucometers. Crit. Care 2007, 11, 142. [Google Scholar] [CrossRef][Green Version]
- Tang, Z.; Louie, R.F.; Lee, J.H.; Lee, D.M.; Miller, E.E.; Kost, G.J. Oxygen Effects on Glucose Meter Measurements with Glucose Dehydrogenase-and Oxidase-Based Test Strips for Point-of-Care Testing. Crit. Care Med. 2001, 29, 1062–1070. [Google Scholar] [CrossRef] [PubMed]
- Wang, J. Electrochemical Glucose Biosensors. Chem. Rev. 2008, 108, 814–825. [Google Scholar] [CrossRef] [PubMed]
- Gao, H.; Xiao, F.; Ching, C.B.; Duan, H. One-Step Electrochemical Synthesis of PtNi Nanoparticle-Graphene Nanocomposites for Nonenzymatic Amperometric Glucose Detection. ACS Appl. Mater. Interfaces 2011, 3, 3049–3057. [Google Scholar] [CrossRef] [PubMed]
- Wang, J. Glucose Biosensors: 40 Years of Advances and Challenges. Electroanalysis 2001, 13, 983–988. [Google Scholar] [CrossRef]
- Chmayssem, A.; Petit, L.; Verplanck, N.; Mourier, V.; Vignoud, S.; Engin Vrana, N.; Mailley, P. Characterization of the Impact of Classical Cell-Culture Media on the Response of Electrochemical Sensors. Electroanalysis 2022, 34, 1201–1211. [Google Scholar] [CrossRef]
- Chmayssem, A.; Verplanck, N.; Tanase, C.E.; Costa, G.; Monsalve-Grijalba, K.; Amigues, S.; Alias, M.; Gougis, M.; Mourier, V.; Vignoud, S.; et al. Development of a Multiparametric (Bio)Sensing Platform for Continuous Monitoring of Stress Metabolites. Talanta 2021, 229, 122275. [Google Scholar] [CrossRef]
- Milton, R.D.; Hickey, D.P.; Abdellaoui, S.; Lim, K.; Wu, F.; Tan, B.; Minteer, S.D. Rational Design of Quinones for High Power Density Biofuel Cells. Chem. Sci. 2015, 6, 4867–4875. [Google Scholar] [CrossRef]
- Hers, H.G. L’aldose-reductase. Biochim. Biophys. Acta 1960, 37, 120–126. [Google Scholar] [CrossRef]
- Barski, O.A.; Tipparaju, S.M.; Bhatnagar, A. The Aldo-Keto Reductase Superfamily and Its Role in Drug Metabolism and Detoxification. Drug Metab. Rev. 2008, 40, 553–624. [Google Scholar] [CrossRef] [PubMed]
- Penning, T.M.; Wangtrakuldee, P.; Auchus, R.J. Structural and Functional Biology of Aldo-Keto Reductase Steroid-Transforming Enzymes. Endocr. Rev. 2019, 40, 447–475. [Google Scholar] [CrossRef]
- Tsuruoka, N.; Soto, S.S.; Tahar, A.B.; Zebda, A.; Tsujimura, S. Mediated Electrochemical Oxidation of Glucose via Poly(Methylene Green) Grafted on the Carbon Surface Catalyzed by Flavin Adenine Dinucleotide-Dependent Glucose Dehydrogenase. Colloids Surf. B Biointerfaces 2020, 192, 111065. [Google Scholar] [CrossRef] [PubMed]
- Zhou, D.-M.; Fang, H.-Q.; Chen, H.-Y.; Ju, H.-X.; Wang’, Y. The Electrochemical Polymerization of Methylene Green and Its Electrocatalysis for the Oxidation of NADH. Anal. Chim. Acta 1996, 329, 41–48. [Google Scholar]
- Moore, C.M.; Akers, N.L.; Hill, A.D.; Johnson, Z.C.; Minteer, S.D. Improving the Environment for Immobilized Dehydrogenase Enzymes by Modifying Nafion with Tetraalkylammonium Bromides. Biomacromolecules 2004, 5, 1241–1247. [Google Scholar] [CrossRef] [PubMed]
- Walker, J.M. The Proteomics Protocols Handbook; Humana Press: Totowa, NJ, USA, 2005; ISBN 1592598900. [Google Scholar]
- Lee, D.; Lee, S.; Rho, J.; Jang, W.; Han, S.H.; Chung, T.D. 3D Interdigitated Electrode Array in the Microchannel Free of Reference and Counter Electrodes. Biosens. Bioelectron. 2018, 101, 317–321. [Google Scholar] [CrossRef] [PubMed]
- Barsan, M.M.; Toledo, C.T.; Brett, C.M.A. New Electrode Architectures Based on Poly(Methylene Green) and Functionalized Carbon Nanotubes: Characterization and Application to Detection of Acetaminophen and Pyridoxine. J. Electroanal. Chem. 2015, 736, 8–15. [Google Scholar] [CrossRef]
- Yang, R.; Ruan, C.; Deng, J. A H2O2 Biosensor Based on Immobilization of Horseradish Peroxidase in Electropolymerized Methylene Green Film on GCE. J. Appl. Electrochem. 1998, 28, 1269–1275. [Google Scholar] [CrossRef]
- Ulyanova, Y.V.; Blackwell, A.E.; Minteer, S.D. Poly(Methylene Green) Employed as Molecularly Imprinted Polymer Matrix for Electrochemical Sensing. Analyst 2006, 131, 257–261. [Google Scholar] [CrossRef]
- Chmayssem, A.; Tanase, C.E.; Verplanck, N.; Gougis, M.; Mourier, V.; Zebda, A.; Ghaemmaghami, A.M.; Mailley, P. New Microfluidic System for Electrochemical Impedance Spectroscopy Assessment of Cell Culture Performance: Design and Development of New Electrode Material. Biosensors (Basel) 2022, 12, 452. [Google Scholar] [CrossRef]
- Bonfin, C.S.; Franco, J.H.; de Andrade, A.R. Ethanol Bioelectrooxidation in a Robust Poly(Methylene Green-Pyrrole)- Mediated Enzymatic Biofuel Cell. J. Electroanal. Chem. 2019, 844, 43–48. [Google Scholar] [CrossRef]
- Arechederra, M.N.; Jenkins, C.; Rincón, R.A.; Artyushkova, K.; Atanassov, P.; Minteer, S.D. Chemical Polymerization and Electrochemical Characterization of Thiazines for NADH Electrocatalysis Applications. Electrochim. Acta 2010, 55, 6659–6664. [Google Scholar] [CrossRef]
- Meredith, M.T.; Giroud, F.; Minteer, S.D. Azine/Hydrogel/Nanotube Composite-Modified Electrodes for NADH Catalysis and Enzyme Immobilization. Electrochim. Acta 2012, 72, 207–214. [Google Scholar] [CrossRef]
- Al-Jawadi, E.; Pöller, S.; Haddad, R.; Schuhmann, W. NADH Oxidation Using Modified Electrodes Based on Lactate and Glucose Dehydrogenase Entrapped between an Electrocatalyst Film and Redox Catalyst-Modified Polymers. Microchim. Acta 2012, 177, 405–410. [Google Scholar] [CrossRef]
- Dai, Z.H.; Liu, F.X.; Lu, G.F.; Bao, J.C. Electrocatalytic Detection of NADH and Ethanol at Glassy Carbon Electrode Modified with Electropolymerized Films from Methylene Green. J. Solid State Electrochem. 2008, 12, 175–180. [Google Scholar] [CrossRef]
- Hassan, M.H.; Vyas, C.; Grieve, B.; Bartolo, P. Recent Advances in Enzymatic and Non-Enzymatic Electrochemical Glucose Sensing. Sensors 2021, 21, 4672. [Google Scholar] [CrossRef]
- Wanf, H.-C.; Lee, A.-R. Recent Developments in Blood Glucose Sensors. J. Food Drug Anal. 2015, 23, 191–200. [Google Scholar]






Publisher’s Note: MDPI stays neutral with regard to jurisdictional claims in published maps and institutional affiliations. |
© 2022 by the authors. Licensee MDPI, Basel, Switzerland. This article is an open access article distributed under the terms and conditions of the Creative Commons Attribution (CC BY) license (https://creativecommons.org/licenses/by/4.0/).
Share and Cite
Soranzo, T.; Ben Tahar, A.; Chmayssem, A.; Zelsmann, M.; Vadgama, P.; Lenormand, J.-L.; Cinquin, P.; K. Martin, D.; Zebda, A. Electrochemical Biosensing of Glucose Based on the Enzymatic Reduction of Glucose. Sensors 2022, 22, 7105. https://doi.org/10.3390/s22197105
Soranzo T, Ben Tahar A, Chmayssem A, Zelsmann M, Vadgama P, Lenormand J-L, Cinquin P, K. Martin D, Zebda A. Electrochemical Biosensing of Glucose Based on the Enzymatic Reduction of Glucose. Sensors. 2022; 22(19):7105. https://doi.org/10.3390/s22197105
Chicago/Turabian StyleSoranzo, Thomas, Awatef Ben Tahar, Ayman Chmayssem, Marc Zelsmann, Pankaj Vadgama, Jean-Luc Lenormand, Phillipe Cinquin, Donald K. Martin, and Abdelkader Zebda. 2022. "Electrochemical Biosensing of Glucose Based on the Enzymatic Reduction of Glucose" Sensors 22, no. 19: 7105. https://doi.org/10.3390/s22197105
APA StyleSoranzo, T., Ben Tahar, A., Chmayssem, A., Zelsmann, M., Vadgama, P., Lenormand, J.-L., Cinquin, P., K. Martin, D., & Zebda, A. (2022). Electrochemical Biosensing of Glucose Based on the Enzymatic Reduction of Glucose. Sensors, 22(19), 7105. https://doi.org/10.3390/s22197105

