A Highly Selective Turn-on Fluorescent Probe for the Detection of Aluminum and Its Application to Bio-Imaging
Abstract
1. Introduction
2. Materials and Methods
2.1. HPLC Methods
2.2. Synthesis of the Probe
2.3. Compound Stock and Storage
2.4. Drosophila S2 Cell Culture and Experiments
2.5. Al3+ Detection in Malpighian Tubules
2.6. Confocal Fluorescence Imaging
3. Results and Discussion
3.1. Fluorescence Spectra of Detecting Al3+
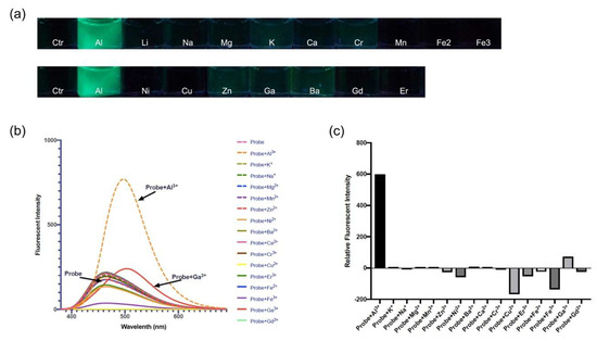
3.2. Selectivity Over Metal Ions
3.3. Detection Range
3.4. Job’s Plot
3.5. UV-vis Spectra
3.6. Application of Probe Al-II for Aluminum Detection in Living Cells
3.7. Imaging of Al3+ in Drosophila Malpighian Tubules Using Al-II Probe
4. Conclusions
Supplementary Materials
Author Contributions
Funding
Conflicts of Interest
References
- Krewski, D.; Yokel, R.A.; Nieboer, E.; Borchelt, D.; Cohen, J.; Harry, J.; Kacew, S.; Lindsay, J.; Mahfouz, A.M.; Rondeau, V. Human health risk assessment for aluminium, aluminium oxide, and aluminium hydroxide. J. Toxicol. Environ. Health B Crit. Rev. 2007, 10, 1–269. [Google Scholar] [CrossRef] [PubMed]
- Inostroza-Blancheteau, C.; Rengel, Z.; Alberdi, M.; de la Luz Mora, M.; Aquea, F.; Arce-Johnson, P.; Reyes-Diaz, M. Molecular and physiological strategies to increase aluminum resistance in plants. Mol. Biol. Rep. 2012, 39, 2069–2079. [Google Scholar] [CrossRef] [PubMed]
- Mohseni, H.K.; Chettle, D.R. A History of In Vivo Neutron Activation Analysis in Measurement of Aluminum in Human Subjects. J. Alzheimers. Dis. 2016, 50, 913–926. [Google Scholar] [CrossRef] [PubMed]
- Perl, D.P.; Brody, A.R. Alzheimer’s disease: X-ray spectrometric evidence of aluminum accumulation in neurofibrillary tangle-bearing neurons. Science 1980, 208, 297–299. [Google Scholar] [CrossRef]
- Tavakoli, O.; Yoshida, H. Effective recovery of harmful metal ions from squid wastes using subcritical and supercritical water treatments. Environ. Sci. Technol. 2005, 39, 2357–2363. [Google Scholar] [CrossRef]
- Lou, Z.; Li, P.; Song, P.; Han, K. Ratiometric fluorescence imaging of cellular hypochlorous acid based on heptamethine cyanine dyes. Analyst 2013, 138, 6291–6295. [Google Scholar] [CrossRef]
- Blackburn, A.C.; Doe, W.F.; Buffinton, G.D. Protein carbonyl formation on mucosal proteins in vitro and in dextran sulfate-induced colitis. Free Radic. Biol. Med. 1999, 27, 262–270. [Google Scholar] [CrossRef]
- Soroka, K.; Vithanage, R.S.; Phillips, D.A.; Walker, B.; Dasgupta, P.K. Fluorescence properties of metal complexes of 8-Hydroxyquinoline-5-sulfonic acid and chromatographic applications. Anal. Chem. 1987, 59, 629–636. [Google Scholar] [CrossRef]
- Valeur, B.; Leray, I. Design principles of fluorescent molecular sensors for cation recognition. Coord. Chem. Rev. 2000, 205, 3–40. [Google Scholar] [CrossRef]
- Wang, Y.; Hou, L.J.; Wu, Y.B.; Shi, L.L.; Shang, Z.B.; Jin, W.J. Alizarin Complexone as a highly selective ratiometric fluorescent probe for Al3+ detection in semi-aqueous solution. J. Photoch. Photobio. A 2014, 281, 40–46. [Google Scholar] [CrossRef]
- Li, M.X.; Zhang, X.; Fan, Y.H.; Bi, C.F. A novel fluorescent probe based on rhodamine hydrazone derivatives bearing a thiophene group for Al3+. Luminescence 2016, 31, 851–855. [Google Scholar] [CrossRef]
- Jiang, Y.; Sun, L.L.; Ren, G.Z.; Niu, X.; Hu, W.Z.; Hu, Z.Q. A New Fluorescence Turn-On Probe for Aluminum(III) with High Selectivity and Sensitivity, and its Application to Bioimaging. ChemistryOpen 2015, 4, 378–382. [Google Scholar] [CrossRef] [PubMed]
- Xiao, H.; Chen, K.; Jiang, N.; Cui, D.; Yin, G.; Wang, J.; Wang, R. A highly selective turn-on fluorescent probe for Al(III) based on coumarin and its application in vivo. Analyst 2014, 139, 1980–1986. [Google Scholar] [CrossRef]
- Peng, H.; Shen, K.; Mao, S.; Shi, X.; Xu, Y.; Aderinto, S.O.; Wu, H. A Highly Selective and Sensitive Fluorescent Turn-on Probe for Al3+ Based on Naphthalimide Schiff Base. J. Fluoresc. 2017, 27, 1191–1200. [Google Scholar] [CrossRef]
- Ahmed, M.; Faisal, M.; Ihsan, A.; Naseer, M.M. Fluorescent organic nanoparticles (FONs) as convenient probes for metal ion detection in aqueous medium. Analyst 2019, 144, 2480–2497. [Google Scholar] [CrossRef] [PubMed]
- Hsieh, W.H.; Wan, C.-F.; Liao, D.-J.; Wu, A.-T. A turn-on Schiff base fluorescence sensor for zinc ion. Tetrahedron Lett. 2012, 53, 5848–5851. [Google Scholar] [CrossRef]
- Jia, T.-J.; Cao, W.; Zheng, X.-J.; Jin, L.-P. A turn-on chemosensor based on naphthol–triazole for Al(III) and its application in bioimaging. Tetrahedron Lett. 2013, 54, 3471–3474. [Google Scholar] [CrossRef]
- Chen, Y.; Jiang, J. Decoding the phosphorylation code in Hedgehog signal transduction. Cell Res. 2013, 23, 186–200. [Google Scholar] [CrossRef] [PubMed]
- In, B.; Hwang, G.W.; Lee, K.H. Highly sensitive and selective detection of Al(III) ions in aqueous buffered solution with fluorescent peptide-based sensor. Bioorg. Med. Chem. Lett. 2016, 26, 4477–4482. [Google Scholar] [CrossRef]
- Li, C.-Y.; Zhou, Y.; Li, Y.-F.; Zou, C.-X.; Kong, X.-F. Efficient FRET-based colorimetric and ratiometric fluorescent chemosensor for Al3+ in living cells. Sens. Actuators, B 2013, 186, 360–366. [Google Scholar] [CrossRef]
- Ezhumalai, D.; Mathivanan, I.; Chinnadurai, A. Turn on macrocyclic chemosensor for Al(3+) ion with facile synthesis and application in live cell imaging. Spectrochim. Acta A Mol. Biomol. Spectrosc. 2018, 199, 209–219. [Google Scholar] [CrossRef]
- Li, Z.; Liu, C.; Wang, J.; Wang, S.; Xiao, L.; Jing, X. A selective diaminomaleonitrile-based dual channel emissive probe for Al3+ and its application in living cell imaging. Spectrochim. Acta A Mol. Biomol. Spectrosc. 2019, 212, 349–355. [Google Scholar] [CrossRef]
- Zhou, F.; Wang, H.; Liu, P.; Hu, Q.; Wang, Y.; Liu, C.; Hu, J. A highly selective and sensitive turn-on probe for aluminum(III) based on quinoline Schiff’s base and its cell imaging. Spectrochim. Acta A Mol. Biomol. Spectrosc. 2018, 190, 104–110. [Google Scholar] [CrossRef]
- Gupta, S.R.; Singh, P.; Koch, B.; Singh, V.P. A water soluble, highly sensitive and selective fluorescent probe for Al3+ ions and its application in live cell imaging. J. Photochem. Photobiol. A 2017, 348, 246–254. [Google Scholar] [CrossRef]
- Balamurugan, G.; Velmathi, S.; Thirumalaivasan, N.; Wu, S.P. New phenazine based AIE probes for selective detection of aluminium(iii) ions in presence of other trivalent metal ions in living cells. Analyst 2017, 142, 4721–4726. [Google Scholar] [CrossRef]
- Ding, W.-H.; Wang, D.; Zheng, X.-J.; Ding, W.-J.; Zheng, J.-Q.; Mu, W.-H.; Cao, W.; Jin, L.-P. A turn-on fluorescence chemosensor for Al3+, F− and CN− ions, and its application in cell imaging. Sens. Actuators, B 2015, 209, 359–367. [Google Scholar] [CrossRef]
- Saini, A.K.; Sharma, V.; Mathur, P.; Shaikh, M.M. The development of fluorescence turn-on probe for Al(III) sensing and live cell nucleus-nucleoli staining. Sci. Rep. 2016, 6, 34807. [Google Scholar] [CrossRef]
- Liu, Y.; Bi, A.; Gao, T.; Cao, X.; Gao, F.; Rong, P.; Wang, W.; Zeng, W. A novel self-assembled nanoprobe for the detection of aluminum ions in real water samples and living cells. Talanta 2019, 194, 38–45. [Google Scholar] [CrossRef]
- Li, C.L.; Lu, P.H.; Fu, S.F.; Wu, A.T. A Highly Selective and Sensitive Fluorescent Chemosensor for Detecting Al3+ Ion in Aqueous Solution and Plant Systems. Sensors 2019, 19. [Google Scholar] [CrossRef]
- Tian, H.; Qiao, X.; Zhang, Z.L.; Xie, C.Z.; Li, Q.Z.; Xu, J.Y. A high performance 2-hydroxynaphthalene Schiff base fluorescent chemosensor for Al3+ and its applications in imaging of living cells and zebrafish in vivo. Spectrochim. Acta A Mol. Biomol. Spectrosc. 2019, 207, 31–38. [Google Scholar] [CrossRef]
- Devirgiliis, C.; Zalewski, P.D.; Perozzi, G.; Murgia, C. Zinc fluxes and zinc transporter genes in chronic diseases. Mutat. Res. 2007, 622, 84–93. [Google Scholar] [CrossRef]
- Xiao, G.; Zhou, B. What can flies tell us about zinc homeostasis? Arch. Biochem. Biophys. 2016, 611, 134–141. [Google Scholar] [CrossRef]









| Mechanism | Application | Reference |
|---|---|---|
| FRET | Cultured Cell | [20] |
| PET | Cultured Cell | [21,22,23] |
| CHEF | Cultured Cell | [23,24] |
| AIEE | Cultured Cell | [25] |
| ESIPT | Cultured Cell | [23,26,27,28] |
| ESIPT | Bacteria (E. coli) | [12] |
| ESIPT | Plant (rice seedlings) | [29] |
| ESIPT | Cultured Cell and zebrafish | [13,30] |
| ESIPT | Cultured Cell and Drosophila | Present work |
© 2019 by the authors. Licensee MDPI, Basel, Switzerland. This article is an open access article distributed under the terms and conditions of the Creative Commons Attribution (CC BY) license (http://creativecommons.org/licenses/by/4.0/).
Share and Cite
Wang, L.; Yang, J.; Wang, H.; Ran, C.; Su, Y.; Zhao, L. A Highly Selective Turn-on Fluorescent Probe for the Detection of Aluminum and Its Application to Bio-Imaging. Sensors 2019, 19, 2423. https://doi.org/10.3390/s19112423
Wang L, Yang J, Wang H, Ran C, Su Y, Zhao L. A Highly Selective Turn-on Fluorescent Probe for the Detection of Aluminum and Its Application to Bio-Imaging. Sensors. 2019; 19(11):2423. https://doi.org/10.3390/s19112423
Chicago/Turabian StyleWang, Liguo, Jing Yang, Huan Wang, Chongzhao Ran, Ying Su, and Long Zhao. 2019. "A Highly Selective Turn-on Fluorescent Probe for the Detection of Aluminum and Its Application to Bio-Imaging" Sensors 19, no. 11: 2423. https://doi.org/10.3390/s19112423
APA StyleWang, L., Yang, J., Wang, H., Ran, C., Su, Y., & Zhao, L. (2019). A Highly Selective Turn-on Fluorescent Probe for the Detection of Aluminum and Its Application to Bio-Imaging. Sensors, 19(11), 2423. https://doi.org/10.3390/s19112423

