Exploring the Diversity of Some Microorganisms from Lake Al-Asfar, KSA: The Good, the Bad, and the Pathogenic
Abstract
1. Introduction
2. Materials and Methods
2.1. The Isolation and Purification of Bacterial Strains Associated with Algal Samples from Lake Al-Asfar
2.2. Staining Investigations
2.2.1. Gram Staining
- Crystal Violet: Crystal violet stain is used extensively, enabling cells to take up the dye and stain the bacterial smear.
- Iodine Treatment: Iodine is used as a mordant, combining with the crystal violet to produce a combination that the bacteria are unable to break through.
- Alcohol Decolorization: Differential decolorization occurs after rinsing the slide with alcohol. Gram-negative bacteria are unable to hold the crystal violet–iodine combination, whereas Gram-positive bacteria are able to do so.
- Counterstain with Safranin: Safranin stain is applied to the slide, giving the bleached Gram-negative bacteria a distinct hue.
2.2.2. Spore Stain
- Application of Malachite Green: Malachite green, which is used to stain bacteria, seeps deep into the endospores, filling the smear.
- Heat Application: Malachite green is allowed to more easily penetrate the spores by slightly heating the slide.
- Water Rinse: The extra stain on the slide is washed away with water.
- Safranin Counterstain: The vegetative cells are stained a crimson colour when safranin is added to the slide.
2.2.3. Capsule Stain
- Negative Staining: A negative stain, such as India ink, was used with the bacterial smear to stain the background but not the bacterial capsule.
- Slide Air-Drying: The bacterial cells and unstained capsules are set by letting the slide air-dry.
- Crystal Violet Treatment: To better see the germs, a crystal violet dye is used.
2.3. Vitek 2 for Bacterial Samples Characterisation
Working Method of the VITEK 2 Device
- Sample Preparation:
- 2.
- Inoculation of the ID Card:
- 3.
- Automating in the VITEK 2 System:
- 4.
- Incubation and Monitoring:
- 5.
- Photometric Detection:
- 6.
- Data Interpretation:
- 7.
- Output and Reporting:
2.4. Scanning Electron Microscopy of Bacterial Sample
2.5. Identification of Protozoa and Parasites from Lake Al-Asfar by Light Microscopy
3. Results
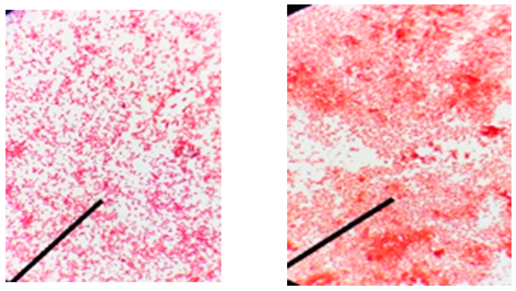
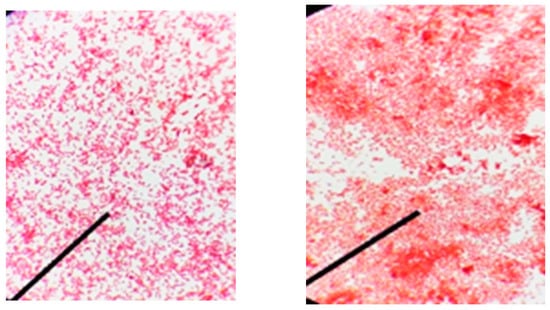
3.1. Gram Staining
3.1.1. Spore Stain
3.1.2. Capsule Stain
3.2. Investigating Bacterial Identity Using VITEK Technology
3.3. Scanning Electron Microscopy
3.4. Protozoa and Parasites Identified by Light Microscopy
4. Discussion
5. Conclusions
Author Contributions
Funding
Institutional Review Board Statement
Data Availability Statement
Acknowledgments
Conflicts of Interest
References
- Sui, X.; Wang, X.; Li, Y.; Ji, H. Remediation of Petroleum-Contaminated Soils with Microbial and Microbial Combined Methods: Advances, Mechanisms, and Challenges. Sustainability 2021, 13, 9267. [Google Scholar] [CrossRef]
- Kumar, L.; Bharadvaja, N. Microbial remediation of heavy metals. In Microbial Bioremediation & Biodegradation; Springer: Singapore, 2020; pp. 49–72. [Google Scholar]
- Ojuederie, O.B.; Babalola, O.O. Microbial and plant-assisted bioremediation of heavy metal polluted environments: A review. Int. J. Environ. Res. Public Health 2017, 14, 1504. Available online: https://www.mdpi.com/1660-4601/14/12/1504/pdf (accessed on 30 December 2024). [CrossRef]
- Patel, A.B.; Shaikh, S.; Jain, K.R.; Desai, C.; Madamwar, D. Polycyclic aromatic hydrocarbons: Sources, toxicity, and remediation approaches. Front. Microbiol. 2020, 11, 562813. [Google Scholar] [CrossRef] [PubMed]
- Suresh, B.; Ravishankar, G.A. Phytoremediation—A novel and promising approach for environmental clean-up. Crit. Rev. Biotechnol. 2004, 24, 97–124. [Google Scholar] [CrossRef] [PubMed]
- Bhandari, S.; Poudel, D.K.; Marahatha, R.; Dawadi, S.; Khadayat, K.; Phuyal, S.; Shrestha, S.; Gaire, S.; Basnet, K.; Khadka, U.; et al. Microbial enzymes used in bioremediation. J. Chem. 2021. [Google Scholar] [CrossRef]
- Elumalai, P.; Parthipan, P.; Huang, M.; Muthukumar, B.; Cheng, L.; Govarthanan, M.; Rajasekar, A. Enhanced biodegradation of hydrophobic organic pollutants by the bacterial consortium: Impact of enzymes and biosurfactants. Environ. Pollut. 2021, 289, 117956. [Google Scholar] [CrossRef]
- Igiri, B.E.; Okoduwa, S.I.; Idoko, G.O.; Akabuogu, E.P.; Adeyi, A.O.; Ejiogu, I.K. Toxicity and bioremediation of heavy metals contaminated ecosystem from tannery wastewater: A review. J. Toxicol. 2018, 2018, 2568038. [Google Scholar] [CrossRef] [PubMed]
- Chekroun, K.B.; Sánchez, E.; Baghour, M. The role of algae in bioremediation of organic pollutants. Int. Res. J. Public Environ. Health 2014, 1, 19–32. [Google Scholar]
- Altammar, F.; El Semary, N.; Aldayel, M. The Use of Some Species of Bacteria and Algae in the Bioremediation of Pollution Caused by Hydrocarbons and Some Heavy Metals in Al Asfar Lake Water. Sustainability 2024, 16, 7896. [Google Scholar] [CrossRef]
- Hussein, A.H.; El Mahmoudi, A.S.; Al Naeem, A.A. Assessment of the Heavy Metals in Al Asfar Lake, Al-Hassa, Saudi Arabia. Water Environ. Res. 2016, 88, 142–151. [Google Scholar] [CrossRef] [PubMed]
- Fahmy, G.H.; Fathi, A.A. Limnological studies on the wetland Lake, Al-Asfar, with special references to heavy metal accumulation by fish. Am. J. Environ. Sci. 2011, 7, 515. [Google Scholar]
- Kebede, A.; Abebe, B.; Zewdie, T. Study on Prevalence of Ectoparasites of Poultry in and Around Jimma Town. Eur. J. Biol. Sci. 2017, 9, 18–26. [Google Scholar]
- Patz, J.A.; Graczyk, T.K.; Geller, N.; Vittor, A.Y. Effects of environmental change on emerging parasitic diseases. Int. J. Parasitol. 2000, 30, 1395–1405. Available online: https://pubmed.ncbi.nlm.nih.gov/11113264/ (accessed on 30 December 2024). [CrossRef] [PubMed]
- El Semary, N.A. Anabaena and Associated Bacteria: Molecular Approaches to Studying Microbial Community Structure and Taxonomy. Ph.D. Thesis, University of Bristol, Bristol, UK, 2005. [Google Scholar]
- Khalifa, A.; Aldayel, M. Metabolic diversity of the diesel oil-degrading bacterium Achromobacter pulmonis HDK3 obtained from Eastern region of Saudi Arabia. Asian J. Microbiol. Biotechnol. Environ. Sci. 2018, 20, 778–785. [Google Scholar]
- Younis, N.S.; Bakir, E.M.; Mohamed, M.E.; El Semary, N.A. Cyanobacteria as nanogold factories II: Chemical reactivity and anti-myocardial infraction properties of customized gold nanoparticles biosynthesized by Cyanothece sp. Mar. Drugs 2019, 17, 402. [Google Scholar] [CrossRef]
- Das, N.; Chandran, P. Microbial Degradation of Petroleum Hydrocarbon Contaminants: An Overview. Biotechnol. Res. Int. 2011, 2011, 941810. [Google Scholar] [CrossRef] [PubMed]
- Park, S.Y.; Kim, K.M.; Lee, J.H.; Seo, S.J.; Lee, I.H. Extracellular Gelatinase of Enterococcus faecalis Destroys a Defense System in Insect Hemolymph and Human Serum. Infect. Immun. 2007, 75, 1861–1869. [Google Scholar] [CrossRef]
- Wang, R.; Li, H.; Liu, Y.; Chen, J.; Peng, F.; Jiang, Z.; Liu, J.; Song, H. Efficient removal of azo dyes by Enterococcus faecalis R1107 and its application in simulated textile effluent treatment. Ecotoxicol. Environ. Saf. 2022, 238, 113577. [Google Scholar] [CrossRef] [PubMed]
- Teng, Y.; Wang, X.; Li, L.; Li, Z.; Luo, Y. Rhizobia and their bio-partners as novel drivers for functional remediation in contaminated soils. Front. Plant Sci. 2015, 6, 32. [Google Scholar] [CrossRef]
- El Beaino, M.; Fares, J.; Malek, A.; Hachem, R. Sphingomonas paucimobilis-related bone and soft-tissue infections: A systematic review. Int. J. Infect. Dis. 2018, 77, 68–73. [Google Scholar] [CrossRef] [PubMed]
- Hao, X.; Zhu, J.; Rensing, C.; Liu, Y.; Gao, S.; Chen, W.; Huang, Q.; Liu, Y.-R. Recent advances in exploring the heavy metal(loid) resistant microbiome. Comput. Struct. Biotechnol. J. 2021, 19, 94–109. [Google Scholar]
- Al Mousa, A.; Aldayel, M.; Genena, M.M.; El-Moaty, Z.A.; Khalifa, A. Bacterial Diversity in Al-Asfar Lake, Al Ahsa Oasis, Saudi Arabia. J. Pure Appl. Microbiol. 2024, 18, 1358–1371. [Google Scholar] [CrossRef]
- Marcogliese, D.J. Parasites of the superorganism: Are they indicators of ecosystem health? Int. J. Parasitol. 2005, 35, 705–716. [Google Scholar] [CrossRef]
- Mostafa, O.M.S.; Abd El-Hady, N.A.A.; Nigm, A.M.H. Protozoa as Bioindicator for the Water Quality Assessment (Mini Review). Egypt. J. Aquat. Biol. Fish. 2023, 27, 805–813. [Google Scholar] [CrossRef]
- Poulin, R.; Valtonen, E.T. The predictability of helminth community structure in space: A comparison of fish populations from adjacent lakes. Int. J. Parasitol. 2002, 32, 1235–1243. [Google Scholar] [CrossRef] [PubMed]
- Luqman, M.; Awan, M.U.F.; Muhammad, S.; Daud, S.; Yousafzai, A.; Arooj, F. Microbial pollution in inland recreational freshwaters of Quetta, Pakistan: An initial report. J. Water Health 2022, 20, 575–588. [Google Scholar] [CrossRef] [PubMed]
- Jiang, J.-G.; Wu, S.-G.; Shen, Y.-F. Effects of seasonal succession and water pollution on the protozoan community structure in an eutrophic lake. Chemosphere 2007, 66, 523–532. [Google Scholar] [CrossRef] [PubMed]
- Sures, B.; Siddall, R.; Taraschewski, H. Parasites as accumulation indicators of heavy metal pollution. Parasitol. Today 1999, 15, 16–21. [Google Scholar] [CrossRef]
- Le Yen, T.T.; Rijsdijk, L.; Sures, B.; Jan, H.A. Accumulation of persistent organic pollutants in parasites. Chemosphere 2014, 108, 145–151. [Google Scholar] [CrossRef] [PubMed]
- Hotez, P.J. Neglected Infections of Poverty in the United States of America. PLoS Neglected Trop. Dis. 2008, 2, e256. [Google Scholar] [CrossRef]
- Ahmed, A.; Ijaz, M.; Ayyub, R.M.; Ghaffar, A.; Ghauri, H.N.; Aziz, M.U.; Ali, S.; Altaf, M.; Awais, M.; Naveed, M.; et al. Balantidium coli in domestic animals: An emerging protozoan pathogen of zoonotic significance. Acta Trop. 2020, 203, 105298. [Google Scholar] [CrossRef] [PubMed]
- Dzik, J.M. The Role of Environmental Factors in the Transmission of Soil-Transmitted Helminths. Parasitology 2010, 137, 85–95. [Google Scholar]
- Garnier, J.; Pacheco, F.; Oger, P. Role of protozoa in nutrient cycling in aquatic ecosystems. Hydrobiologia 2015, 745, 1–14. [Google Scholar]
- Foissner, W. Protozoa as bioindicators: A case study from a moderately polluted river. J. Appl. Protozool. 1999, 25, 153–163. [Google Scholar]
- Khan, N.A. Euglena: A Unique Model Organism for Studies in Biology and Biotechnology. Nat. Rev. Microbiol. 2009, 7, 218–226. [Google Scholar]
- Carpenter, S.R.; Caraco, N.F.; Correll, D.L.; Howarth, R.W.; Sharpley, A.N.; Smith, V.H. Nonpoint pollution of surface waters with phosphorus and nitrogen. Ecol. Appl. 1998, 8, 559–568. [Google Scholar] [CrossRef]
- Gomez, F.; Pizarro, G. Heavy metal accumulation in aquatic protozoa: Environmental implications. Environ. Pollut. 2017, 231, 1093–1100. [Google Scholar]
- El-Tohamy, W.S.; Taher, M.E.; Ghoneim, A.M.; Hopcroft, R.R. Protozoan communities serve as a strong indicator of water quality in the Nile River. Sci. Rep. 2024, 14, 16382. [Google Scholar] [CrossRef] [PubMed]






| Name of Bacteria | Classification | Form | Gram + or - | VITEK Similarity Percentage |
|---|---|---|---|---|
| Sphingomonas paucimobilis | Alphaproteobacteria | rod | Gram-negative | 95% |
| Rhizobium Radiobacter | Alphaproteobacteria | rod | Gram-negative | 99% |
| Enterococcus faecalis | Firmicutes (Lactic Acid Bacteria) | coccoid | Gram-positive | 96% |
| Protozoa and Microscopic Animal Parasites Identitified | Classification | General Characteristics |
|---|---|---|
| Entamoeba histolytica | Kingdom: Protista Phylum: Amoebozoa Class: Lobosa | - Pathogenic Protozoan - Causes amoebic dysentery - Cysts are resilient in freshwater environments |
| Balantidium coli | Kingdom: Protista Phylum: Ciliophora Class: Litostomatea | - Largest Protozoan parasite of humans - Causes balantidiasis - Transmission through contaminated water or food |
| Ascaris lumbricoides | Kingdom: Animalia Phylum: Nematoda Class: Rhabditia | - Soil-transmitted helminth - Causes ascariasis - Eggs are resistant and can survive in soil for years |
| Amoeba sp. | Kingdom: Protista Phylum: Amoebozoa | - Unicellular organism - Move using pseudopodia - Can be free-living or parasiti |
| Paramecium sp. | Kingdom: Protista Phylum: Ciliophora | - Ciliated Protozoan - Move using cilia - Plays a role in microbial balance and decomposition |
| Fasciola sp. | Kingdom: Animalia Phylum: Platyhelminths | -Lives in liver of sheep and cattle and can be passed in dung used as manure And can find its way to agricultural wastewater |
| Cryptosporidium sp. | Kingdom: Protista Phylum Apicomplexa, | motile parasite of common occurrence in wastewater |
| Protists of shared Algae/animals characteristics | Classification | characteristics |
| Euglena sp. | Kingdom: Protista Phylum: Euglenozoa | - Flagellated organism - Capable of photosynthesis - Can thrive in various aquatic environments |
| Gymnodinium sp. | Kingdom: Protista Phylum: Dinoflagellata | - Marine and freshwater dinoflagellate - Some species are toxic - Can cause harmful algal blooms |
Disclaimer/Publisher’s Note: The statements, opinions and data contained in all publications are solely those of the individual author(s) and contributor(s) and not of MDPI and/or the editor(s). MDPI and/or the editor(s) disclaim responsibility for any injury to people or property resulting from any ideas, methods, instructions or products referred to in the content. |
© 2025 by the authors. Licensee MDPI, Basel, Switzerland. This article is an open access article distributed under the terms and conditions of the Creative Commons Attribution (CC BY) license (https://creativecommons.org/licenses/by/4.0/).
Share and Cite
Tammar, F.A.; Semary, N.E.; Aldayel, M.F.; Althumairy, D.; Alfayad, G. Exploring the Diversity of Some Microorganisms from Lake Al-Asfar, KSA: The Good, the Bad, and the Pathogenic. Diversity 2025, 17, 37. https://doi.org/10.3390/d17010037
Tammar FA, Semary NE, Aldayel MF, Althumairy D, Alfayad G. Exploring the Diversity of Some Microorganisms from Lake Al-Asfar, KSA: The Good, the Bad, and the Pathogenic. Diversity. 2025; 17(1):37. https://doi.org/10.3390/d17010037
Chicago/Turabian StyleTammar, Fatimah Al, Nermin El Semary, Munirah F. Aldayel, Duaa Althumairy, and Gowhara Alfayad. 2025. "Exploring the Diversity of Some Microorganisms from Lake Al-Asfar, KSA: The Good, the Bad, and the Pathogenic" Diversity 17, no. 1: 37. https://doi.org/10.3390/d17010037
APA StyleTammar, F. A., Semary, N. E., Aldayel, M. F., Althumairy, D., & Alfayad, G. (2025). Exploring the Diversity of Some Microorganisms from Lake Al-Asfar, KSA: The Good, the Bad, and the Pathogenic. Diversity, 17(1), 37. https://doi.org/10.3390/d17010037

