Effects of Acetazolamide Combined with or without NaHCO3 on Suppressing Neoplasm Growth, Metastasis and Aquaporin-1 (AQP1) Protein Expression
Abstract
:1. Introduction
2. Methods
2.1 Lewis-lung-carcinoma in vivo model
2.2 Drug treatment and tissue collection
2.3 Carbonic anhydrase activity assay
2.4 Western Blot analysis
2.5 Immunohistochemistry
2.6 Statistical analysis
3. Results
3.1 Effect of acetazolamide with or without NaHCO3 on primary tumor growth and formation of spontaneous lung metastasis
3.2 Effect of acetazolamide with or without NaHCO3 on carbonic anhydrase activity
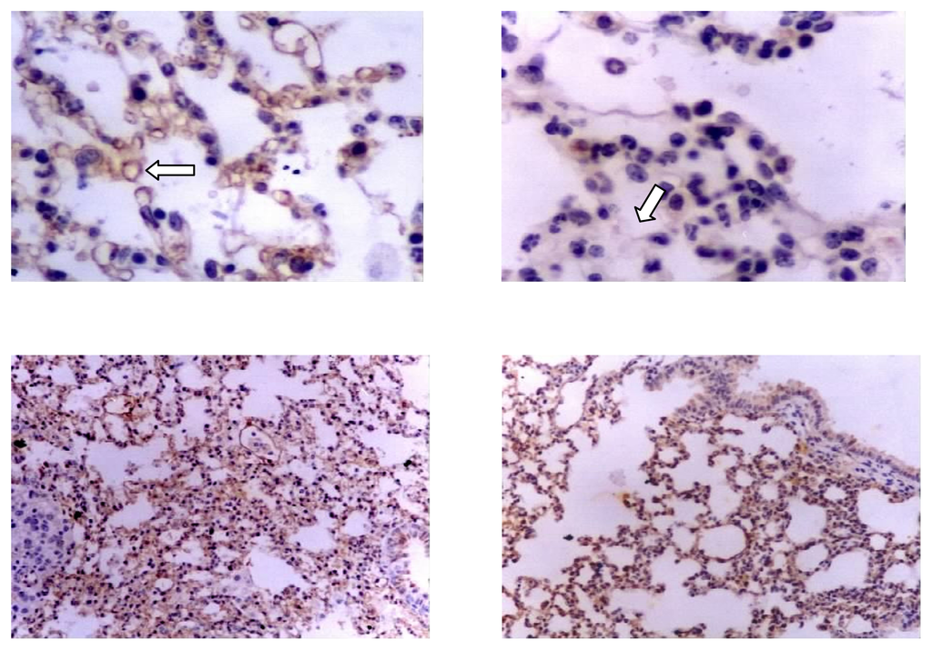
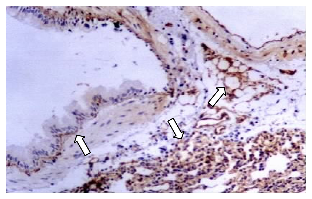
3.3 AQP1 protein expression
3.4 Localization and expression of AQP1 in tumor tissues
4. Discussion



| Group | Number | Tumor weight indexa | Number of Metastasis | Lungs wet weight(mg) | Inhibition rate of lung metastases %b |
|---|---|---|---|---|---|
| C | 9 | 170.8±17.1* | |||
| M | 7 | 25.3±7.3 | 18.6±3.9* | 250.0±30.2 | 0 |
| ABL | 8 | 18.6±3.7*** | 11.0±2.6* | 192.5±17.4* | 72.8 |
| ABM | 9 | 18.0±5.2*** | 7.2±1.9* | 199.7±23.6** | 64.6 |
| ABH | 6 | 19.8±6.5 | 7.2±2.3* | 201.8±38.9*** | 61.0 |
| Number | CA activity in lung (EU/mg prot) | CA activity in primary tumor (EU/mg prot) | |
|---|---|---|---|
| C | 9 | 1.98±0.39 | |
| M | 7 | 2.09±0.42 | 0.99±0.20 |
| B | 9 | 1.68±0.25*** | 0.78±0.20*** |
| AL | 8 | 1.16±0.33* | 0.79±0.23 |
| AM | 7 | 0.95±0.27* | 0.65±0.19** |
| AH | 8 | 0.71±0.25* | 0.57±0.10* |
| ABL | 8 | 0.78±0.24* | 0.89±0.08 |
| ABM | 9 | 1.31±0.26* | 0.77±0.14*** |
| ABH | 6 | 1.98±0.38 | 0.65±0.16** |
Acknowledgement
Abbreviations
| AQP1 | aquaporin-1 |
| CA | Carbonic anhydrase |
References
- Supuran, C. T.; Scozzafava, A. Carbonic anhydrase inhibitors and their therapeutic potential. Exp. Opin. Ther. Patents 2000, 10, 575–600. [Google Scholar]
- Supuran, C. T.; Scozzafava, A. Carbonic anhydrase and matrix metalloproteinase inhibitors: sulfonylated amino acid hydroxamates with MMP inhibitory properties act as efficient inhibitors of CA isozymes I, II, IV, and N-hydroxysulfonamides inhibit both these zinc enzymes. J. Med. Chem 2000, 43, 3677–87. [Google Scholar]
- Stubbs, M.; McSheehy, P. M. J.; Griffiths, J. R.; Bashford, C. L. Causes and consequences of tumour acidity and implications for treatment. Mol. Med. Today 2000, 6, 15–19. [Google Scholar]
- Martinez-Zaguilan, R.; Seftor, E. A.; Seftor, R. E.; Chu, Y. W.; Gillies, R. J.; Hendrix, M. J. Acidic pH enhances the invasive behavior of human melanoma cells. Clin. Exp. Metastasis 1996, 14, 176–186. [Google Scholar]
- Teicher, B. A.; Liu, S. D.; Liu, J. T.; Holden, S. A.; Herman, T. S. A carbonic anhydrase inhibitor as a potential modulator of cancer therapies. Anticancer Res 1993, 13, 1549–1556. [Google Scholar]
- Supuran, C. T.; Scozzafava, A. Carbonic anhydrase inhibitors-Part 94. 1,3,4-Thiadiazole-2- sulfonamide derivatives as antitumor agents? Eur. J. Med. Chem 2000, 35, 867–874. [Google Scholar]
- Nielsen, S.; Smith, B. L.; Christensen, E. L.; Agre, P. Distribution of the aquaporin CHIP in secretory and resorptive epithelia and capillary endothelia. Proc. Natl. Acad. Sci. USA 1993, 90, 7275–7279. [Google Scholar]
- Preston, G. M.; Carroll, T. P.; Guggino, W. B.; Agre, P. Appearance of water channels in Xenopus oocytes expressing red cell CHIP28 protein. Science 1992, 256, 385–387. [Google Scholar]
- Hasegawa, H.; Lian, S. C.; Finkbeiner, W. E.; Verkman, A. S. Extrarenal tissue distribution of CHIP28 water channels by in situ hybridization and antibody staining. Am. J. Physiol 1994, 266, C893–903. [Google Scholar]
- Endo, M.; Jain, R. K.; Witwer, B.; Brown, D. Water channel (aquaporin1) expression and distribution in mammary carcinomas and gioblastomas. Microvasc. Res 1999, 58, 89–98. [Google Scholar]
- Yuan, F.; Salehi, H. A.; Boucher, Y.; Vasthare, U. S.; Tuma, R. F.; Jain, R. K. Vascular permeability and microcirculation of gliomas and mammary carcinomas transplanted in rat and mouse cranial windows. Cancer Res 1994, 54, 4564–4568. [Google Scholar]
- Hobbs, S. K.; Monsky, W. L.; Yuan, F.; Roberts, W. G.; Griffith, L.; Torchilin, V.P.; Jain, R. K. Regulation of transport pathways in tumor vessels: Role of tumor type and microenvironment. Proc. Natl. Acad. Sci. USA 1998, 95, 4607–4612. [Google Scholar]
- Zhang, P.; Li, X. J. Biological research progress of carbonic anhydrase. Sheng Li Ke Xue Jin Zhan 1997, 28, 359–361. [Google Scholar]
- Li, X. J.; Yu, H. M.; Koide, S. S. Regulation of water channel gene (AQP-CHIP) expression by estradiol and anordiol in rat uterus. Acta Pharmaceutica Sinica 1997, 32, 586–592. [Google Scholar]
- Yamamoto, T.; Sasaki, S.; Fushimi, K.; Ishibashi, K.; Yaoita, E.; Kawasaki, K.; Fujinaka, H.; Marumo, F.; Kihara, I. Expression of AQP family in rat kidneys during development and maturation. Am. J. Physiol 1997, 272, F198–204. [Google Scholar]
- Nakhoul, N. L.; Davis, B. A.; Romero, M. F.; Boron, W. F. Effect of expressing the water channel aquaporin-1 on the CO2 permeability of Xenopus oocytes. Am. J. Physiol 1998, 274, C543–548. [Google Scholar]
- Parkkila, S.; Rajaniemi, H.; Parkkila, A. K.; Kivela, J.; Waheed, A.; Pastorekova, S.; Pastorek, J.; Sly, W. S. Carbonic anhydrase inhibitor suppresses invasion of renal cancer cells in vitro. Proc. Natl. Acad. Sci. USA 2000, 97, 2220–2224. [Google Scholar]
- Mu, S. M.; Yu, H. M.; Zou, W. Z.; Li, X. J. Localization of three water transport relevant proteins in rat kidney and their changes in response to acetazolamide. Chinese Medical Journal 2001, 114, 47–47, (Netprint).. [Google Scholar]
- Yu, H. M.; Sun, B. M.; Bai, Q.; Koide, S. S.; Li, X. J. Influence of acetazolamide on AQP1 gene expression in testis and on sperm count/motility in epididymis of rats. Arch. Androl 2002, 48, 281–294. [Google Scholar]
- Xiang, Y.; Ma, B.; Li, T.; Yu, H. M.; Li, X. J. Acetazolamide suppresses tumor metastases and protein alteration of lung in mice bearing Lewis lung carcinoma. Acta Pharmacologica Sinica 2002, 23, 745–751. [Google Scholar]
- Ma, B.; Xiang, Y.; Mu, S.M.; Li, T.; Yu, H.M.; Li, X.J. Effects of acetazolamide and anordiol on osmotic water permeability in AQP1-cRNA injected Xenopus oocyte. Acta Pharmacologica Sinica 2004, 25, 90–97. [Google Scholar]
- Brion, L. P.; Schwartz, J. H.; Zavilowitz, B. J.; Schwartz, G. J. Micro-method for the measurement of carbonic anhydrase activity in cellular homogenates. Anal. Biochem 1988, 175, 289–297. [Google Scholar]
- Lu, A.; Yu, H.; Chen, K.; Koide, S. S.; Li, X. Alteration in brain proteins following occlusion of the middle cerebral artery in rat. Life Sci 1999, 65, 493–500. [Google Scholar]
- Xiang, Y.; Ma, B.; Yu, H. M.; Li, X. J. The protein profile of acetazolamide-treated sera in mice bearing Lewis neoplasm. Life Sci 2004, 75, 1277–1285. [Google Scholar]
- Webb, S. D.; Sherratt, J. A.; Fish, R. G. Mathematical modelling of tumour acidity: regulation of intracellular pH. J. Theor. Biol 1999, 196, 237–250. [Google Scholar]
- Ivanov, S. V.; Kuzmin, I.; Wei, M. H.; Pack, S.; Geil, L.; Johnson, B. E.; Stanbridge, E. J.; Lerman, M. I. Down-regulation of transmembrane carbonic anhydrases in renal cell carcinoma cell lines by wild-type von Hippel-Lindau transgenes. Proc. Natl. Acad. Sci. USA 1998, 95, 12596–12601. [Google Scholar]
- Ivanov, S.; Liao, S. Y.; Ivanova, A.; Danilkovitch-Miagkova, A.; Tarasova, N.; Weirich, G.; Merrill, M. J.; Proescholdt, M. A.; Oldfield, E. H.; Lee, J.; Zavada, J.; Waheed, A.; Sly, W.; Lerman, M. I.; Stanbridge, E. J. Expression of hypoxia-inducible cell-surface transmembrane carbonic anhydrases in human cancer. Am. J. Pathol 2001, 158, 905–919. [Google Scholar]
- Takenawa, J.; Kaneko, Y.; Kishishita, M.; Higashitsuji, H.; Nishiyama, H.; Terachi, T.; Arai, Y.; Yoshida, O.; Fukumoto, M.; Fujita, J. Transcript levels of aquaporin 1 and carbonic anhydrase IV as predictive indicators for prognosis of renal cell carcinoma patients after nephrectomy. Int. J. Cancer 1998, 79, 1–7. [Google Scholar]
- Xiang, Y.; Ma, B.; Li, T.; Gao, J. W.; Yu, H. M.; Li, X. J. Acetazolamide inhibits aquaporin1 protein expression and angiogenesis. Acta Pharmacologica Sinica 2004, 25, 812–816. [Google Scholar]
© 2007 by MDPI Reproduction is permitted for noncommercial purposes.
Share and Cite
Li, X.-J.; Xiang, Y.; Ma, B.; Qi, X.-Q. Effects of Acetazolamide Combined with or without NaHCO3 on Suppressing Neoplasm Growth, Metastasis and Aquaporin-1 (AQP1) Protein Expression. Int. J. Mol. Sci. 2007, 8, 229-240. https://doi.org/10.3390/i8030229
Li X-J, Xiang Y, Ma B, Qi X-Q. Effects of Acetazolamide Combined with or without NaHCO3 on Suppressing Neoplasm Growth, Metastasis and Aquaporin-1 (AQP1) Protein Expression. International Journal of Molecular Sciences. 2007; 8(3):229-240. https://doi.org/10.3390/i8030229
Chicago/Turabian StyleLi, Xue-Jun, Yang Xiang, Bing Ma, and Xiao-Qiang Qi. 2007. "Effects of Acetazolamide Combined with or without NaHCO3 on Suppressing Neoplasm Growth, Metastasis and Aquaporin-1 (AQP1) Protein Expression" International Journal of Molecular Sciences 8, no. 3: 229-240. https://doi.org/10.3390/i8030229
APA StyleLi, X.-J., Xiang, Y., Ma, B., & Qi, X.-Q. (2007). Effects of Acetazolamide Combined with or without NaHCO3 on Suppressing Neoplasm Growth, Metastasis and Aquaporin-1 (AQP1) Protein Expression. International Journal of Molecular Sciences, 8(3), 229-240. https://doi.org/10.3390/i8030229
