Effect of Turmerin on Endothelial Denudation by Air Drying
Abstract
:1. Introduction
Materials and Methods
Turmerin preparation
Animals
Lipid peroxidation (MDA levels)
Lipid peroxidation (conjugated diene levels)
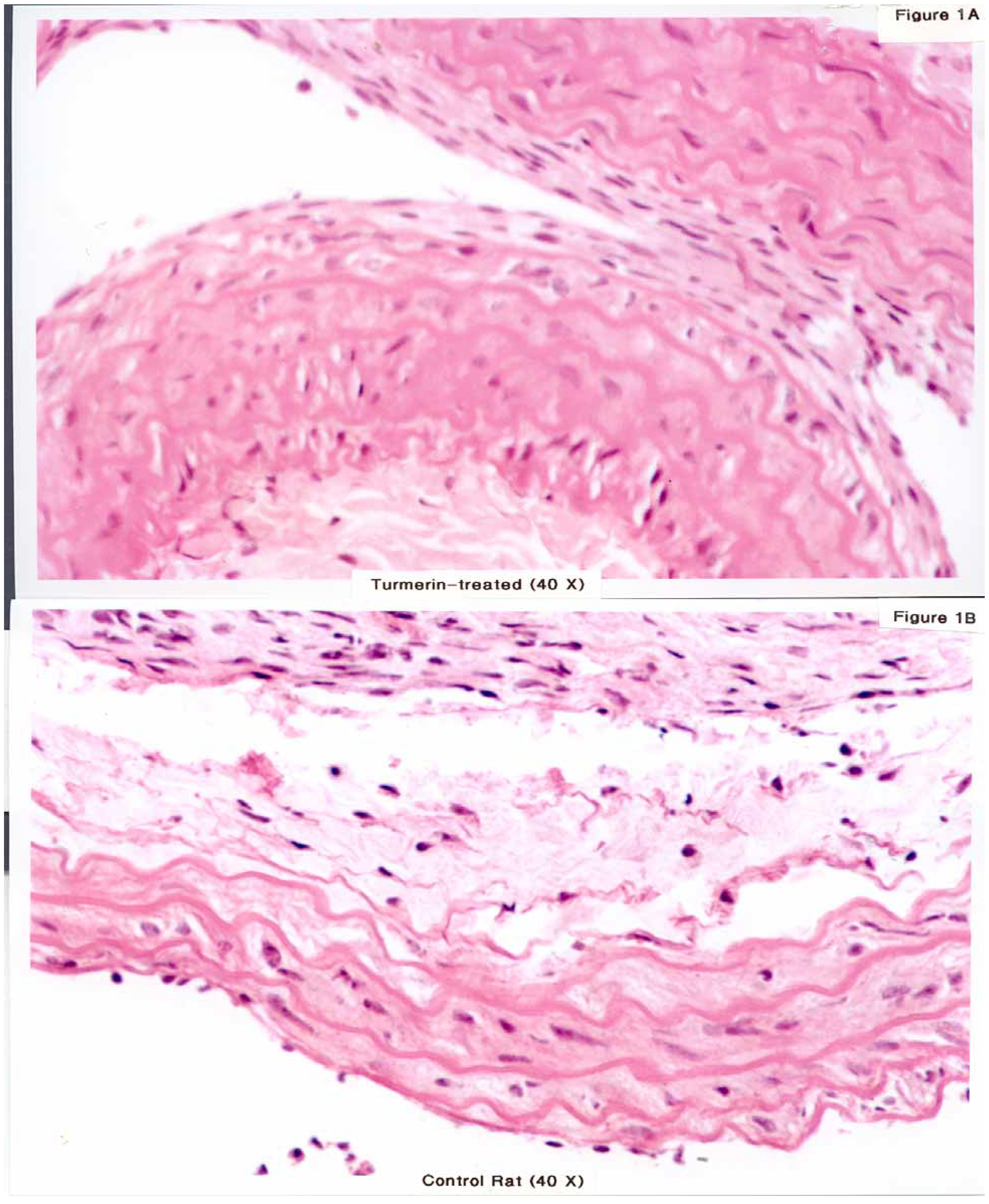
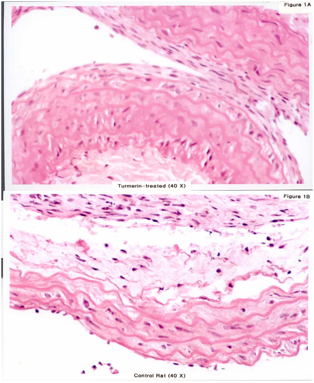
Histology
Statistical Analysis
Results



Discussion
Acknowledgements
References
- Schwartz, S.M.; Ross, R. Cellular proliferation in atherosclerosis and hypertension. Prog. Cardiovasc. Dis. 1984, 26, 355–372. [Google Scholar] [CrossRef] [PubMed]
- Fishman, J. A.; Ryan, G. B.; Karnovsky, M. J. Endothelial regeneration in the rat carotid artery and the significance of endothelial denudation in the pathogenesis of myointimal thickening. Lab. Invest. 1975, 32, 339–351. [Google Scholar] [PubMed]
- Halliwell, B. The role of oxygen radicals in human disease, with particular reference to the vascular system. Haemostasis 1993, 1, 118–126. [Google Scholar]
- Stam, H.; Hulsmann, W. C.; Jongkind, J. F.; van der Kraaij, A. M.; Koster, J. F. Endothelial lesions, dietary composition and lipid peroxidation. Eicosanoids 1989, 2, 1–14. [Google Scholar] [PubMed]
- Huang, H. C.; Jan, T. R.; Yeh, S. F. Inhibitory effect of curcumin, an anti-inflammatory agent, on vascular smooth muscle cell proliferation. Eur. J. Pharmacol. 1992, 22, 381–384. [Google Scholar]
- Miller, J. H.; Reno, W., III; Cohly, H. H. P.; Das, S. K. The effects of turmeric on umbilical endothelial cells. Clin. Res. 1993, 41, 743A. [Google Scholar]
- Rilantono, L. I.; Yuwono, H. S.; Nugrahadi, T. Dietary antioxidative potential in arteries. Clin. Hemorheol. Microcirc. 2000, 23, 113–117. [Google Scholar] [PubMed]
- Quiles, J. L.; Aguilera, C.; Mesa, M. D.; Ramirez-Tortosa, M. C.; Baro, L.; Gil, A. An ethanolic-aqueous extract of Curcuma longa decreases the susceptibility of liver microsomes and mitochondria to lipid peroxidation in atherosclerotic rabbits. Biofactors 1998, 8, 51–57. [Google Scholar] [CrossRef] [PubMed]
- Ramirez-Tortosa, M. C.; Mesa, M. D.; Aguilera, M. C.; Quiles, J. L.; Baro, L.; Ramirez-Tortosa, C. L.; Martinez-Victoria, E.; Gil, A. Oral administration of a turmeric extract inhibits LDL oxidation and has hypocholesterolemic effects in rabbits with experimental atherosclerosis. Atherosclerosis 1999, 147, 371–378. [Google Scholar] [CrossRef] [PubMed]
- Srinivas, L.; Shalini, V. K.; Shylaja, M. Turmerin: a water soluble antioxidant peptide from turmeric [Curcuma longa]. Arch. Biochem. Biophys. 1992, 292, 617–623. [Google Scholar] [CrossRef] [PubMed]
- Srinivas, L.; Shalini, V. K. DNA damage by smoke: protection by turmeric and other inhibitors of ROS. Free Radic. Biol. Med. 1991, 1, 277–283. [Google Scholar] [CrossRef]
- Van Pelt-Verkuil, E.; van Pelt, W.; Jense, D. Morphometry of air-drying-induced arteriosclerosis in rat carotid artery. Effect of air-flow rate. Arteriosclerosis 1983, 3, 44–51. [Google Scholar] [CrossRef]
- Ohkawa, H.; Ohishi, N.; Yagi, K. Assay for lipid peroxides in animal tissues by thiobarbituric acid reaction. Anal. Biochem. 1979, 95, 351–358. [Google Scholar] [CrossRef] [PubMed]
- Wang, C.; Salahudeen, A. K. Lipid peroxidation accompanies cyclosporine nephrotoxicity: effects of vitamin E. Kidney Int. 1995, 47, 927–934. [Google Scholar] [CrossRef] [PubMed]
- Schwartz, S. M.; Gajdusek, C. M.; Reidy, M. A.; Selden, S. C., III; Haudenschild, C. C. Maintenance of integrity in aortic endothelium. Fed. Proc. 1980, 39, 2618–2625. [Google Scholar] [PubMed]
- Inoue, K.; Cynshi, O.; Kawabe, Y.; Nakamura, M.; Miyauchi, K.; Kimura, T.; Daida, H.; Hamakubo, T.; Yamaguchi, H.; Kodama, T. Effect of BO-653 and probucol on c-MYC and PDGF-A messenger RNA of the iliac artery after balloon denudation in cholesterol-fed rabbits. Atherosclerosis 2002, 161, 353–363. [Google Scholar] [CrossRef] [PubMed]
- Cohly, H. H. P.; Taylor, A.; Angel, M. F.; Salahudeen, A. K. Effect of turmeric, turmerin and curcumin on H2O2-induced renal epithelial (LLC-PK1) cell injury. Free Radic. Biol. Med. 1998, 24, 49–54. [Google Scholar] [CrossRef] [PubMed]
© 2002 by MDPI (http://www.mdpi.org).
Share and Cite
Cohly, H.H.P.; Hammet, C.; Angel, M.F.; Kanji, V.; Taylor, A.; Benghuzzi, H.; Markov, A.K. Effect of Turmerin on Endothelial Denudation by Air Drying. Int. J. Mol. Sci. 2002, 3, 985-991. https://doi.org/10.3390/i3090985
Cohly HHP, Hammet C, Angel MF, Kanji V, Taylor A, Benghuzzi H, Markov AK. Effect of Turmerin on Endothelial Denudation by Air Drying. International Journal of Molecular Sciences. 2002; 3(9):985-991. https://doi.org/10.3390/i3090985
Chicago/Turabian StyleCohly, H. H. P., C. Hammet, M. F. Angel, V. Kanji, A. Taylor, H. Benghuzzi, and A. K. Markov. 2002. "Effect of Turmerin on Endothelial Denudation by Air Drying" International Journal of Molecular Sciences 3, no. 9: 985-991. https://doi.org/10.3390/i3090985
APA StyleCohly, H. H. P., Hammet, C., Angel, M. F., Kanji, V., Taylor, A., Benghuzzi, H., & Markov, A. K. (2002). Effect of Turmerin on Endothelial Denudation by Air Drying. International Journal of Molecular Sciences, 3(9), 985-991. https://doi.org/10.3390/i3090985
