Abstract
Secondary hair follicle stem cells (HFSCs) are essential for cashmere fiber regeneration, yet the molecular mechanisms governing their activation and lineage progression remain poorly understood. Here, we identify S100a4 as a key regulator of secondary HFSCs in cashmere goat. S100a4 expression peaks during anagen and is markedly enriched in secondary HFSCs relative to hair matrix cells (HMCs), suggesting a role in initiating follicle regeneration. Functional assays show that S100a4 promotes HFSCs into a dynamically regulated state that activates stem cell competence while facilitating differentiation, with overexpression upregulating epidermal and follicular differentiation markers (Ivl, Cux1, K14, Klk5), as well as pluripotency genes (Itga6, Krt15), while knockdown suppresses these programs. Proteomic analysis further reveals direct interactions between S100A4 and keratins critical for hair follicle and epidermal development (KRT5, KRT14, KRT8, KRT18), suggesting a structural and regulatory interface through which S100A4 modulates HFSC fate. Collectively, these results establish S100a4 as a central modulator of secondary HFSC function and provide mechanistic insight into the molecular control of hair follicle regeneration, with potential implications for improving cashmere fiber production.
1. Introduction
Cashmere is a fine, resilient fiber of high economic value, produced by secondary hair follicles (SHFs) [1,2], which undergo annual cycles of regeneration driven by secondary hair follicle stem cells (HFSCs). Follicle regeneration depends on the activation, proliferation, and differentiation of these stem cells. HFSCs are capable of self-renewal and multipotent differentiation potential, enabling them to sustain the hair cycle and shape follicle growth. They can migrate to the hair bulb and differentiate into hair matrix cells (HMCs), or move toward the upper follicle to support epidermal renewal and sebaceous gland maintenance. The morphogenesis and cyclic renewal of hair follicles further rely on coordinated regulators and orchestrated signaling pathways, which activates HFSCs and promotes follicle growth.
S100a4 is a member of the S100 family of calcium-binding proteins and can function both intracellularly and extracellularly [3,4]. Intracellularly, it forms non-covalent homodimers, while extracellular S100A4 is secreted as a covalently linked dimer with potent regulatory activity capable of influencing gene expression [5,6]. S100A4 has been implicated in cancer progression and metastasis [7], as well as tissue fibrosis and inflammatory disorders [8]. It is highly expressed in many tumor types and contributes to proliferation, migration, and survival [9,10,11]. Within the skin, S100A4 is detected in the follicular bulge and hair germ [12], and its dysregulation has been associated with systemic sclerosis-related skin fibrosis and psoriasis [13,14]. However, its role in hair follicle development and HFSC function—particularly in cashmere-producing follicles—remains largely unknown.
Keratins are the major intermediate filament proteins of epithelial tissues [15]. They assemble as obligate heteropolymers, with specific keratin pairs providing structural stability in specific epithelial compartments. KRT5/KRT14 characterize basal keratinocytes [16], while KRT1/KRT10 mark differentiating epidermis [17]. These filament networks are essential for mechanical resilience, stress protection, and the regulation of signaling pathways involved in wound repair and apoptosis [18]. In the hair follicle, keratins form the core structural framework of wool and cashmere fibers. In addition to their structural functions, keratins contribute to cell fate decisions and the regulation of signaling. KRT5/KRT14 and KRT8/KRT18 serve as core structural components of epithelial cells and markers of lineage commitment. During epidermal stratification and hair follicle development, cells transition from KRT8/KRT18 to KRT5/KRT14 expression as they commit to specific lineages. These keratins also contribute to pathways essential for tissue regeneration. Both KRT5/KRT14 and KRT8/KRT18 interact with components of the Wnt/β-catenin pathway, underscoring their broader regulatory roles in epithelial homeostasis and morphogenesis [19,20,21].
S100 family proteins act as multifunctional regulators that translate calcium signals into cytoskeletal remodeling and cell fate determination. S100A4 interacts with actin, non-muscle myosin IIA and tropomyosin, modulating filament assembly, turnover, and cytoskeletal organization. These interactions confer cytoskeletal plasticity, enabling dynamic restructuring of the cell’s architecture during migration, wound repair, and differentiation [6,22]. These interactions confer cytoskeletal plasticity, enabling dynamic restructuring of the cell’s architecture during migration, wound repair, and differentiation. Mechanistically, S100A4 modulates myosin II-dependent contractility and actin filament dynamics, influencing tension-sensitive pathways such as RhoA, MAPK/ERK, and NF-κB that regulate gene expression linked to lineage specification [23,24,25]. Similarly, the S100A8/A9 heterodimer interacts with keratin 8, contributing to the reorganization of keratin networks during differentiation and dermatological inflammatory activation [26]. These interactions fine-tune cytoskeletal integrity and signaling, creating a feedback loop that integrates mechanical cues with transcriptional programs governing differentiation. Thus, through their ability to couple calcium sensing with cytoskeletal remodeling, S100A4 and S100A8/A9 function as molecular rheostats that coordinate cytoskeletal dynamics and differentiation across multiple tissue contexts.
In this study, we identify S100a4 as a key modulator of secondary HFSC activity. We demonstrate that S100a4 promotes HFSC differentiation while modulating stem cell pluripotency, yet exerts no detectable effect on proliferation. Mechanistically, S100A4 interacts directly with keratin proteins to influence HFSC behavior. These findings reveal a previously unrecognized role of S100a4 in secondary HFSC and suggest its potential as a target for promoting cashmere growth.
2. Results
2.1. Isolation and Culture of Secondary Hair Follicle Stem Cells from Cashmere Goats
To investigate the regulatory mechanisms governing secondary HFSC behavior, we first isolated secondary HFSCs from cashmere goat skin and established a stable in vitro culture system. The isolation procedure yielded a morphologically homogeneous population of small, tightly adherent cells with a high nucleus-to-cytoplasm ratio, consistent with previously described characteristics of HFSCs.
To verify the identity and purity of the isolated cells, we examined the expression of KRT15, a well-established HFSC marker. Immunofluorescence staining showed strong KRT15 positivity in the majority of cells (Figure 1), confirming the successful enrichment of secondary HFSCs (>98). The reliable acquisition of a high-purity HFSC population provided a robust foundation for subsequent functional assays investigating S100a4.
Figure 1.
Identification of cultured SHFSCs in vitro. (A) Immunofluorescence staining for KRT15 (green). (B) Nuclear staining with DAPI (blue). (C) Merged image. Scale bar: 50 μm.
2.2. S100a4 Is Highly Expressed During Anagen and Enriched in Secondary HFSCs
To characterize the potential involvement of S100a4 in hair follicle cycling, we assessed its expression in secondary hair follicles across three distinct phases—anagen (September), catagen (December), and telogen (February). Quantitative analysis revealed a progressively decline in S100a4 expression from anagen to telogen, with statistically significant differences between each phase (Figure 2A). The markedly elevated expression during anagen suggests that S100a4 may contribute to the initiation or maintenance of active follicle regeneration.
Figure 2.
Temporal–spatial expression of S100a4 in SHFs of cashmere goats. (A) Dynamic expression of S100a4 in SHFs across anagen, catagen, and telogen phase. (B) S100a4 expression in secondary HFSCs and HMCs, respectively. n = 3 biological replicates for all groups. Data are presented as means ± SD in all bar graphs. *** p < 0.001. Statistical significance was determined by two-sided Student’s t-test.
We next compared S100a4 expression between two follicular cell populations—secondary HFSCs and hair matrix cells (HMCs). S100a4 levels were substantially higher in HFSCs (Figure 2B), indicating a stem cell enrichment pattern. This differential expression supports the hypothesis that S100a4 plays a regulatory role in HFSC activation, early lineage specification, or cellular transitions related to follicle cycling.
2.3. S100a4 Activates Secondary HFSCs and Facilitates Differentiation
To determine the functional role of S100a4 in secondary HFSCs, we modulated its expression in vitro using both gain- and loss-of-function approaches. Following S100a4 overexpression, secondary HFSCs displayed significantly elevated levels of epidermal and follicular differentiation markers (Ivl, Cux1, Krt14, Klk5) (Figure 3C). Concurrently, pluripotency-associated markers (Itga6, Krt15) were also upregulated (Figure 3D), suggesting that S100a4 promotes HFSCs into a dynamically regulated state that activates stem cell competence while facilitating differentiation.
Figure 3.
S100a4 regulate the activity of secondary HFSCs. (A,B) Expression of S100a4 after S100a4 overexpression (A) or knockdown (B). (C,D) Relative expression of differentiation (C) and pluripotency-related genes (D) as indicated S100a4 over expression. (E,F) Relative expression of differentiation (E) and pluripotency-related genes (F) as indicated following S100a4 knockdown. (G,H) Relative expression of proliferation markers (Ki67, Pcna, Cdk1) after S100a4 over expression (G) or S100a4 knockdown (H). n = 3 biological replicates for all groups. Data are presented as means ± SD in all bar graphs. * p < 0.05, ** p < 0.01, *** p < 0.001. Statistical significance was determined by two-sided Student’s t-test. OECtrl: overexpression control; OES100a4: S100a4 overexpression; shCtrl: knockdown control; shS100a4: S100a4 knockdown.
In contrast, S100a4 knockdown led to marked decreases in both differentiation-related and pluripotency-related genes (Figure 3E,F), indicating impaired lineage commitment along with diminished stem cell characteristics. These findings suggest that S100a4 may function as a molecular rheostat that activates HFSCs in a competent, multipotent state while facilitating their appropriate differentiation during follicle regeneration.
Unlike its clear effects on differentiation and pluripotency, S100a4 did not significantly influence HFSC proliferation. Neither overexpression nor silencing of S100a4 altered the expression of key proliferation markers, including Ki67, Pcna, and Cdk1 (Figure 3G,H).
Collectively, these results identify S100a4 as a multifunctional regulator of secondary HFSCs that regulate stem cell activation and differentiation but exerts no detectable effect on proliferation—properties that are fundamental for orchestrating efficient hair follicle regeneration.
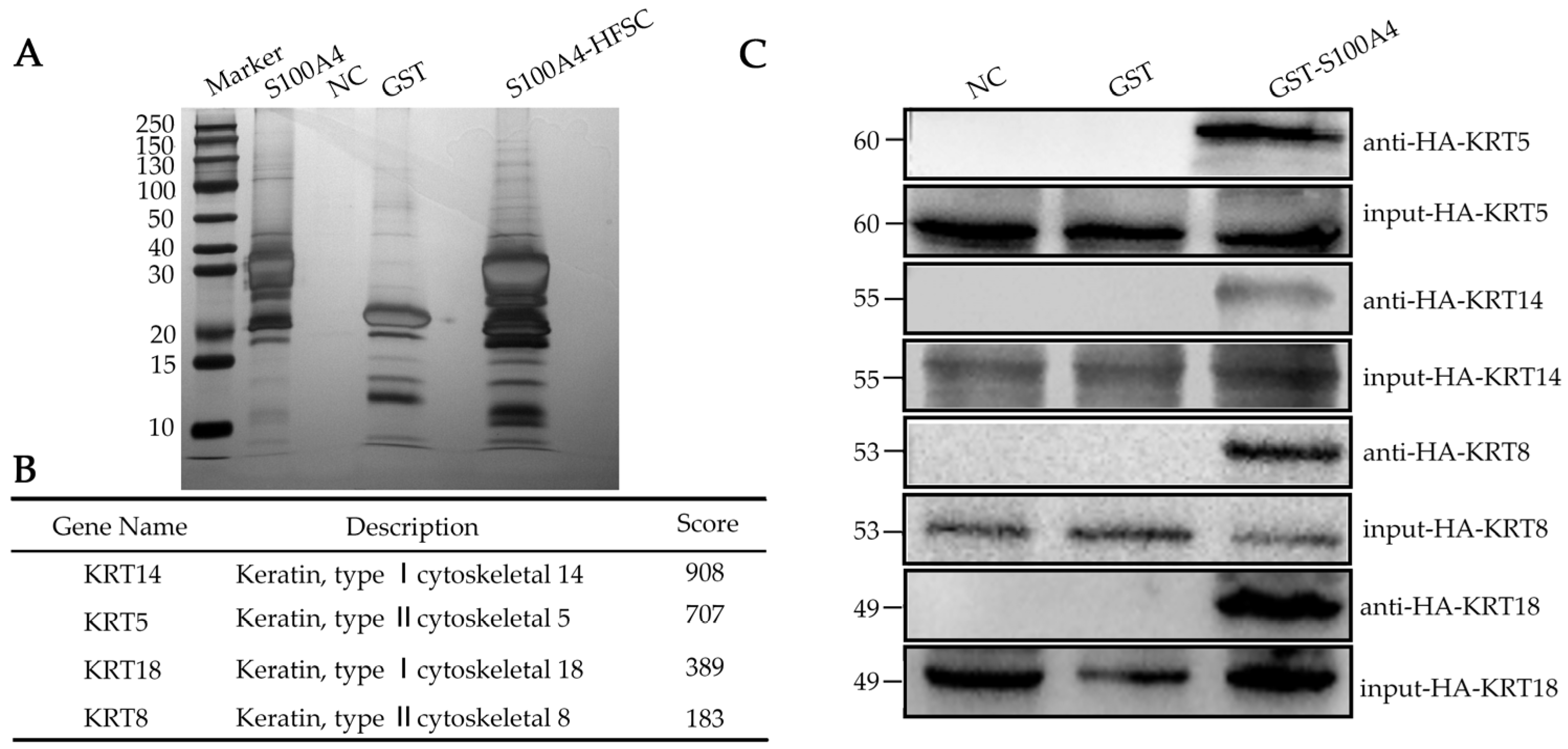
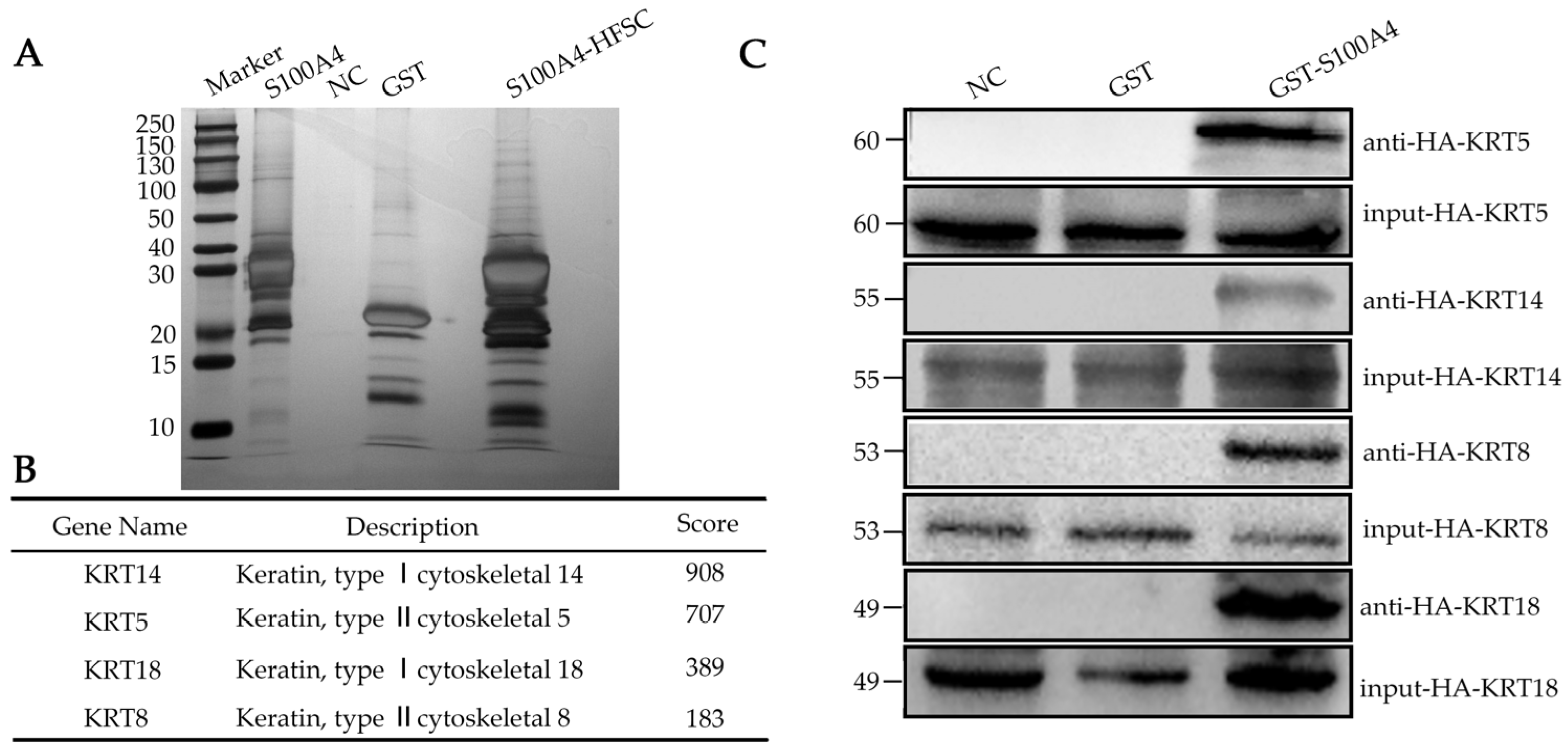
2.4. S100A4 Modulates and Interacts with Keratins Involved in Hair Follicle and Epidermal Development
To elucidate the mechanistic basis of S100A4 function, we performed GST pull-down assays combined with LC–MS/MS to identify S100A4-interacting proteins in secondary HFSCs (Figure 4A). Proteomic analysis revealed that several keratin family members—including KRT5, KRT14, KRT8, and KRT18—were specifically enriched in S100A4-bound fractions (Figure 4B). These keratins are core structural components of epithelial intermediate filaments and serve as markers of lineage commitment during epidermal and hair follicle development.
Figure 4.
S100A4 interacts with Keratins in secondary HFSCs. (A) S100A4 GST pull down in secondary HFSCs. (B) S100A4 interact with keratins. (C) Immunoblot analysis showing pull-down of keratins KRT5, KRT14, KRT8, and KRT18 by S100A4 in secondary HFSCs.
Western blot validation using eukaryotically expressed keratin proteins confirmed direct physical interactions between S100A4 and each of these keratins (Figure 4C). This finding provides mechanistic insight into S100A4 function, suggesting that S100A4 may regulate HFSC fate by modulating keratin dynamics, cytoskeletal organization, or keratin-mediated signaling pathways.
Given that KRT5/KRT14 mark basal HFSC-like epithelial populations and KRT8/KRT18 are associated with early epithelial progenitors, the interaction network uncovered here implies that S100A4 may influence transitions between distinct HFSC states. By engaging with multiple keratin partners, S100A4 may coordinate structural and signaling events that guide HFSCs toward appropriate epidermal or follicular lineages.
3. Discussion
Our findings identify S100a4 as a previously unrecognized regulator of secondary HFSC activity. S100a4 is highly enriched in secondary HFSCs and exhibits its strongest expression during the anagen phase of secondary hair follicles, consistent with a role in initiating and sustaining the regenerative cycle. Functionally, S100A4 upregulation during early anagen reflects a transient activation state in which HFSCs exhibit increased plasticity, maintaining stem cell competence while permitting differentiation.
These results contrast with extensive evidence from other biological systems in which S100a4 modulates the cell cycle, proliferation, apoptosis, and migration across diverse cell types [27,28]. Likewise, they differ from its well-established role in tumor progression, where elevated S100a4 expression is frequently associated with enhanced proliferative capacity and increased metastatic potential [29,30,31]. In tumor progression, S100A4 interacts with key signaling mediators such as EGFR and β-catenin [31,32], which are critically involved in keratinocyte differentiation and follicular proliferation. The divergence between our findings and previous reports suggests that S100a4 may exert context-dependent, tissue-specific functions, acting not as a general proliferative driver but as a fine-tuned regulator of stem cell state and lineage commitment within the hair follicle niche.
S100A4 appears to play a conserved regulatory role in hair follicle cycling across multiple mammalian species. During the mouse hair cycle, S100a4 exhibits a distinct spatiotemporal expression pattern that correlates with HFSC fate. As follicles transition from telogen to catagen, S100a4 localizes specifically to the bulge region and remains detectable throughout catagen. At the onset of anagen, S100a4 mRNA is re-expressed in the bulge during both spontaneous regeneration and damage-induced activation, such as plucking injury [33]. In human, S100a4 also preferentially expressed in bulge cells compared to differentiated HF keratinocytes (KC) [34]. In cashmere goats, S100A4 expression has been observed in the secondary hair follicles, especially during the new hair initiation, implying a conserved role in follicular cycling among mammals [35]. These dynamic changes suggest that S100a4 may contribute to orchestrating HFSC the transition from quiescence to an active state while also facilitating their differentiation during regeneration.
Previous studies have demonstrated that S100A4 interacts with the cytoskeletal components such as non-muscle myosin heavy chain (NMMHC) IIA, tropomyosin, and actin [23,36], thereby influencing cytoskeletal organization, cell morphology, and migration behavior. Furthermore, S100A4 has been implicated in the phenotypic transitions among keratocytes, fibroblasts, and myofibroblasts during corneal wound healing [37], suggesting a role in modulating cytoskeletal and epithelial–mesenchymal transition (EMT)-associated signaling pathways. Other S100 family members, including S100A8/A9, have been shown to interact with keratins in epithelial cells, mediating Ca2+-dependent reorganization of cytoskeletal filaments, which is critical for differentiation and inflammatory activation [26]. Keratins such as KRT5 and KRT18 have been implicated in controlling stem cell adhesion, polarity, and lineage commitment through their roles in cytoskeletal organization and signal transduction including Wnt/β-catenin and MAPK [38,39]. Mechanistically, in the present study, S100A4 was found to interacts directly with key keratins, including KRT5, KRT14, KRT8, and KRT18—proteins essential for epithelial integrity and hair follicle development [40,41,42,43]. This interaction indicates that S100A4 may influence HFSC behavior not only by modulating keratin expression and organization, but also by affecting keratin-associated signaling pathways that guide stem cell fate decisions.
Our findings indicate that S100a4 influences both stem cell activation and differentiation. The transient upregulation of S100a4 following skin injury and hair regrowth suggests a role in regeneration rather than steady-state maintenance. In this context, S100a4 may function to modulate HFSC states by promoting cellular plasticity and transitions between multipotent and lineage-committed states. Similar to its reported roles in phenotypic transitions [37], S100a4 may help maintain cells in a dynamically unstable or transitional condition conducive to tissue remodeling. Future studies, such as single-cell analyses or co-immunofluorescence will be valuable to clarify how S100a4 regulate these processes.
Together, our study identifies S100A4 as a modulator of HFSC state transitions, influencing cytoskeletal architecture and signaling to regulate stem cell activation and differentiation. These findings reveal a previously unrecognized function for S100a4 in secondary HFSC biology and highlight its potential as a target for enhancing cashmere fiber production.
4. Materials and Methods
4.1. Experimental Animals
All experimental cashmere goats were from the Department of Agricultural and Rural Affairs of Liaoning Province, Shenyang. Six cashmere goats (three male and three female) that were 1.5 years old were selected in October.
4.2. Cell Isolation and Culture
Secondary HFSCs were isolated as previously described [44]. Secondary HFSCs and hair matrix cells were cultured in DMEM/F12 (Gibco, Grand Island, NY, USA), 10% Foetal Bovine Serum (Mylscience Biotechnology Co., Ltd., Shenyang, China), 10 ng/mL EGF, 10 ng/mL insulin, and 0.4 µg/mL hydrocortisone.
4.3. Immunofluorescence Assay of Secondary HFSCs
Secondary HFSCs at passage 2 were seeded into 6-well plates and cultured for 24 h. Cells were then fixed with 4% paraformaldehyde for 10 min at room temperature, permeabilized with 0.5% Triton X-100 for 20 min, and blocked with 1% BSA (Boster, Pleasanton, CA, USA) at room temperature for 1 h. After blocking, cells were incubated overnight at 4 °C with an anti-KRT15 primary antibody (1:250, Proteintech, Rosemont, IL, USA). After antibody incubation, samples were washed three times with PBS for 5 min each at room temperature. Following washing, cells were incubated with Goat Anti-Rabbit IgG H&L (Alexa Fluor 488) (1:1000, Abcam, Cambridge, UK) for 2 h at room temperature. Nuclei were counterstained with DAPI (Sangon Biotech, Shanghai, China) for 10 min, and images were acquired using a fluorescence microscope.
4.4. Cell Culture and Treatment
To knockdown or increase S100a4, S100a4-specific shRNA was cloned into vector PLVX or S100a4 was inserted into the MSCV vector. And then lentiviral transfection was conducted to achieve S100a4 overexpression (OES100a4) or S100a4 knockdown (shS100a4), scramble sequence to achieve overexpression control (OECtrl) or S100a4 knockdown control (shCtrl). The primers used are shown in Table S1. Lentiviral construct pSPAX2 and pMD2G were co-transfected into HEK293T cells using LipoFiter (Hanbio, Shanghai, China) to obtain lentiviral particles. The secondary HFSCs were infected with OES100a4 or shS100a4 lentiviral, stable clones of knockdown cells were selected with puromycin (Hanbio, Shanghai, China).
4.5. Quantitative Real-Time PCR
Total RNA was extracted from secondary HFSCs using RNAiso (Takara, Beijing, China). cDNA was synthesized from the extracted RNA using PrimeScript™ RT (Takara, Dalian, China), following the manufacturer’s recommended protocol. Quantitative real-time PCR (RT-qPCR) was performed with SYBR Premix Ex Taq II (Takara, Dalian, China). Relative mRNA expression levels of target genes were calculated using the 2−ΔΔCt method, with Gapdh serving as the internal reference control. Statistical analyses were conducted using SPSS software (v.15.0). Data are presented as mean ± SD, and statistical significance was set at p < 0.05. The detailed sequences of the primers used in this study are provided in Table S2.
4.6. GST Pull-Down Assay and LC-MS/MS Analysis
Protein extracts for GST pull-down assays were isolated from secondary HFSCs and HEK293T cells using a cell protein extraction kit (Epizyme, Shanghai, China). For exogenous protein expression, HEK293T cells were transfected with pCMV-N-HA-KRT5, pCMV-N-HA-KRT14, pCMV-N-HA-KRT8, or pCMV-N-HA-KRT18 plasmids. Subsequently, GST-tag resin alone (NC), purified GST (GST), and GST-S100A4 were incubated under identical conditions with HA-KRT5, KRT14, KRT8, and KRT18 fusion proteins overnight at 4 °C. After overnight incubation at 4 °C, beads were washed three times for 5 min each with binding buffer (50 mM Tris-HCl, 200 mM NaCl, 10 mM MgCl2, 0.1% NP-40, 1 mM DTT, 1 mM EDTA), centrifuged at 4 °C, 1000× g for 10 s between washes, and then eluted with elution buffer and Laemmli loading buffer (Sigma-Aldrich, Sydney, NSW, Australia). Finally, the eluted protein samples were analyzed by LC–MS/MS and immunoblotting for protein identification and validation. All the primers used for GST pull-down are listed in Table S3.
4.7. Statistical Analysis
The t-test was employed to analyze the significance of RT-qPCR data, and GraphPad Prism software (v.8.0.1) was used in the dual-luciferase reporter assay. A p value of <0.05 was considered statistically significant.
5. Conclusions
In summary, this study identifies S100a4 as a central regulator of secondary HFSC activity in cashmere goats. We show that S100a4 is highly enriched in secondary HFSCs and exhibits dynamic, stage-specific expression throughout the hair cycle, underscoring its importance in coordinating secondary hair follicle regeneration. Functionally, S100A4 functions as a modulator of HFSC state transitions, influencing cytoskeletal architecture and signaling to regulate stem cell activation and differentiation. These findings advance our understanding of the molecular mechanisms governing hair follicle cycling and highlight S100a4 as a promising target for strategies aimed at improving cashmere fiber production.
Supplementary Materials
The following supporting information can be downloaded at: https://www.mdpi.com/article/10.3390/ijms27020849/s1.
Author Contributions
H.X. conceived the idea; X.L., B.L., J.W., Y.L., Y.W., H.Y. and J.Z. prepared the samples and performed the experiments; H.X. and X.L. wrote the manuscript; H.X. and S.Z. revised the manuscript; H.X. designed the experiments and supervised the research. All authors have read and agreed to the published version of the manuscript.
Funding
This work was supported by Liaoning Revitalization Talents Program (No. XLYC1907199).
Institutional Review Board Statement
All the experimental goats were fed with Cashmere goat standard feed (NY/T 2893-2016). The animal study protocol was approved by the Ethics Committee of Shenyang Agricultural University, China (ID no. 24070905, Approval Date: 9 July 2024).
Informed Consent Statement
Not applicable.
Data Availability Statement
The original contributions presented in this study are included in the article/Supplementary Materials. Further inquiries can be directed to the corresponding author.
Acknowledgments
We thank all of the authors listed in this manuscript.
Conflicts of Interest
The authors declare no conflicts of interest.
References
- Wang, M.; Dai, H.; Sheng, S.; Liu, Y.; Zhang, S.; Bai, W.; Xue, H. Discovery and Functional Analysis of Secondary Hair Follicle miRNAs during Annual Cashmere Growth. Int. J. Mol. Sci. 2023, 24, 1063. [Google Scholar] [CrossRef] [PubMed]
- Liu, Y.; Wang, M.; Liu, Z.; Liang, X.; Sheng, S.; Dai, H.; Zhang, J.; Zhang, S.; Zhang, X.; Xue, H. Transcriptional signatures of secondary hair follicles during annual cashmere growth. Sci. Data 2024, 11, 1427. [Google Scholar] [CrossRef] [PubMed]
- Dahlmann, M.; Kobelt, D.; Walther, W.; Mudduluru, G.; Stein, U. S100A4 in Cancer Metastasis: Wnt Signaling-Driven Interventions for Metastasis Restriction. Cancers 2016, 8, 59. [Google Scholar] [CrossRef]
- Schäfer, B.W.; Heizmann, C.W. The S100 family of EF-hand calcium-binding proteins: Functions and pathology. Trends Biochem. Sci. 1996, 21, 134–140. [Google Scholar] [CrossRef] [PubMed]
- Kiss, B.; Duelli, A.; Radnai, L.; Kékesi, K.A.; Katona, G.; Nyitray, L. Crystal structure of the S100A4-nonmuscle myosin IIA tail fragment complex reveals an asymmetric target binding mechanism. Proc. Natl. Acad. Sci. USA 2012, 109, 6048–6053. [Google Scholar] [CrossRef]
- Helfman, D.M.; Kim, E.J.; Lukanidin, E.; Grigorian, M. The metastasis associated protein S100A4: Role in tumour progression and metastasis. Br. J. Cancer 2005, 92, 1955–1958. [Google Scholar] [CrossRef]
- Fei, F.; Qu, J.; Zhang, M.; Li, Y.; Zhang, S. S100A4 in cancer progression and metastasis: A systematic review. Oncotarget 2017, 8, 73219–73239. [Google Scholar] [CrossRef]
- Fei, F.; Qu, J.; Li, C.; Wang, X.; Li, Y.; Zhang, S. Role of metastasis-induced protein S100A4 in human non-tumor pathophysiologies. Cell Biosci. 2017, 7, 64. [Google Scholar] [CrossRef]
- Zou, M.; Al-Baradie, R.S.; Al-Hindi, H.; Farid, N.R.; Shi, Y. S100A4 (Mts1) gene overexpression is associated with invasion and metastasis of papillary thyroid carcinoma. Br. J. Cancer 2005, 93, 1277–1284. [Google Scholar] [CrossRef]
- Herwig, N.; Belter, B.; Wolf, S.; Haase-Kohn, C.; Pietzsch, J. Interaction of extracellular S100A4 with RAGE prompts prometastatic activation of A375 melanoma cells. J. Cell. Mol. Med. 2016, 20, 825–835. [Google Scholar] [CrossRef]
- Jenkinson, S.R.; Barraclough, R.; West, C.R.; Rudland, P.S. S100A4 regulates cell motility and invasion in an in vitro model for breast cancer metastasis. Br. J. Cancer 2004, 90, 253–262. [Google Scholar] [CrossRef]
- Ito, M.; Kizawa, K. Expression of calcium-binding S100 proteins A4 and A6 in regions of the epithelial sac associated with the onset of hair follicle regeneration. J. Investig. Dermatol. 2001, 116, 956–963. [Google Scholar] [CrossRef][Green Version]
- Trinh-Minh, T.; Györfi, A.H.; Tomcik, M.; Tran-Manh, C.; Zhou, X.; Dickel, N.; Tümerdem, B.S.; Kreuter, A.; Burmann, S.N.; Borchert, S.V.; et al. Effect of Anti-S100A4 Monoclonal Antibody Treatment on Experimental Skin Fibrosis and Systemic Sclerosis-Specific Transcriptional Signatures in Human Skin. Arthritis Rheumatol. 2024, 76, 783–795. [Google Scholar] [CrossRef]
- Zibert, J.R.; Skov, L.; Thyssen, J.P.; Jacobsen, G.K.; Grigorian, M. Significance of the S100A4 protein in psoriasis. J. Investig. Dermatol. 2010, 130, 150–160. [Google Scholar] [CrossRef]
- Toivola, D.M.; Boor, P.; Alam, C.; Strnad, P. Keratins in health and disease. Curr. Opin. Cell Biol. 2015, 32, 73–81. [Google Scholar] [CrossRef] [PubMed]
- Ruiz García, S.; Deprez, M.; Lebrigand, K.; Cavard, A.; Paquet, A.; Arguel, M.J.; Magnone, V.; Truchi, M.; Caballero, I.; Leroy, S.; et al. Novel dynamics of human mucociliary differentiation revealed by single-cell RNA sequencing of nasal epithelial cultures. Development 2019, 146, dev177428. [Google Scholar] [CrossRef] [PubMed]
- Ho, M.; Thompson, B.; Fisk, J.N.; Nebert, D.W.; Bruford, E.A.; Vasiliou, V.; Bunick, C.G. Update of the keratin gene family: Evolution, tissue-specific expression patterns, and relevance to clinical disorders. Hum. Genom. 2022, 16, 1. [Google Scholar] [CrossRef]
- Schweizer, J.; Bowden, P.E.; Coulombe, P.A.; Langbein, L.; Lane, E.B.; Magin, T.M.; Maltais, L.; Omary, M.B.; Parry, D.A.; Rogers, M.A.; et al. New consensus nomenclature for mammalian keratins. J. Cell Biol. 2006, 174, 169–174. [Google Scholar] [CrossRef] [PubMed]
- Shi, R.; Liu, L.; Wang, F.; He, Y.; Niu, Y.; Wang, C.; Zhang, X.; Zhang, X.; Zhang, H.; Chen, M.; et al. Downregulation of cytokeratin 18 induces cellular partial EMT and stemness through increasing EpCAM expression in breast cancer. Cell. Signal. 2020, 76, 109810. [Google Scholar] [CrossRef]
- Le Henaff, C.; Faria Da Cunha, M.; Hatton, A.; Tondelier, D.; Marty, C.; Collet, C.; Zarka, M.; Geoffroy, V.; Zatloukal, K.; Laplantine, E.; et al. Genetic deletion of keratin 8 corrects the altered bone formation and osteopenia in a mouse model of cystic fibrosis. Hum. Mol. Genet. 2016, 25, 1281–1293. [Google Scholar] [CrossRef]
- Du, H.; Wang, X.; Dong, R.; Hu, D.; Xiong, Y. miR-601 inhibits proliferation, migration and invasion of prostate cancer stem cells by targeting KRT5 to inactivate the Wnt signaling pathway. Int. J. Clin. Exp. Pathol. 2019, 12, 4361–4379. [Google Scholar]
- Li, Z.H.; Bresnick, A.R. The S100A4 metastasis factor regulates cellular motility via a direct interaction with myosin-IIA. Cancer Res. 2006, 66, 5173–5180. [Google Scholar] [CrossRef] [PubMed][Green Version]
- Donato, R.; Cannon, B.R.; Sorci, G.; Riuzzi, F.; Hsu, K.; Weber, D.J.; Geczy, C.L. Functions of S100 proteins. Curr. Mol. Med. 2013, 13, 24–57. [Google Scholar] [CrossRef]
- Zhang, W.; Gunst, S.J. S100A4 is activated by RhoA and catalyses the polymerization of non-muscle myosin, adhesion complex assembly and contraction in airway smooth muscle. J. Physiol. 2020, 598, 4573–4590. [Google Scholar] [CrossRef]
- Xue, T.; Song, Y.; Zhao, J.; Fan, G.; Liu, Z. Inhibition of S100A4 decreases neurotoxic astrocyte reactivity and attenuates neuropathic pain via the TLR4/NF-κB pathway in a rat model of spinal nerve ligation. J. Headache Pain 2025, 26, 97. [Google Scholar] [CrossRef]
- Goebeler, M.; Roth, J.; van den Bos, C.; Ader, G.; Sorg, C. Increase of calcium levels in epithelial cells induces translocation of calcium-binding proteins migration inhibitory factor-related protein 8 (MRP8) and MRP14 to keratin intermediate filaments. Biochem. J. 1995, 309, 419–424. [Google Scholar] [CrossRef] [PubMed]
- Andersen, K.; Smith-Sørensen, B.; Pedersen, K.B.; Hovig, E.; Myklebost, O.; Fodstad, Ø.; Maelandsmo, G.M. Interferon-gamma suppresses S100A4 transcription independently of apoptosis or cell cycle arrest. Br. J. Cancer 2003, 88, 1995–2001. [Google Scholar] [CrossRef][Green Version]
- Lee, C.Y.; Hsin, M.C.; Chen, P.N.; Lin, C.W.; Wang, P.H.; Yang, S.F.; Hsiao, Y.H. Arctiin Inhibits Cervical Cancer Cell Migration and Invasion through Suppression of S100A4 Expression via PI3K/Akt Pathway. Pharmaceutics 2022, 14, 365. [Google Scholar] [CrossRef]
- Zhang, G.; Yin, Y.; Hu, H.; Tian, M.; Ding, C.; Yu, S. S100A4 regulates ferroptosis to suppress cell proliferation via the SLC7A11-GSH axis but facilitates Brucella infection in RAW264.7 macrophages. Int. J. Biol. Macromol. 2025, 333, 148831. [Google Scholar] [CrossRef]
- Mishra, S.K.; Siddique, H.R.; Saleem, M. S100A4 calcium-binding protein is key player in tumor progression and metastasis: Preclinical and clinical evidence. Cancer Metastasis Rev. 2012, 31, 163–172. [Google Scholar] [CrossRef] [PubMed]
- Hou, S.; Tian, T.; Qi, D.; Sun, K.; Yuan, Q.; Wang, Z.; Qin, Z.; Wu, Z.; Chen, Z.; Zhang, J. S100A4 promotes lung tumor development through β-catenin pathway-mediated autophagy inhibition. Cell Death Dis. 2018, 9, 277. [Google Scholar] [CrossRef]
- Klingelhöfer, J.; Møller, H.D.; Sumer, E.U.; Berg, C.H.; Poulsen, M.; Kiryushko, D.; Soroka, V.; Ambartsumian, N.; Grigorian, M.; Lukanidin, E.M. Epidermal growth factor receptor ligands as new extracellular targets for the metastasis-promoting S100A4 protein. FEBS J. 2009, 276, 5936–5948. [Google Scholar] [CrossRef]
- Ito, M.; Kizawa, K.; Toyoda, M.; Morohashi, M. Label-retaining cells in the bulge region are directed to cell death after plucking, followed by healing from the surviving hair germ. J. Investig. Dermatol. 2002, 119, 1310–1316. [Google Scholar] [CrossRef]
- Rittié, L.; Stoll, S.W.; Kang, S.; Voorhees, J.J.; Fisher, G.J. Hedgehog signaling maintains hair follicle stem cell phenotype in young and aged human skin. Aging Cell 2009, 8, 738–751. [Google Scholar] [CrossRef]
- Li, Y.; Li, W.; Zhang, J.; Ji, D.; Zhang, G.; Yang, B. Identification of genes influencing formation of the Type III Brush Hair in Yangtze River Delta white goats by differential display of mRNA. Gene 2013, 526, 205–209. [Google Scholar] [CrossRef] [PubMed]
- Biri-Kovács, B.; Kiss, B.; Vadászi, H.; Gógl, G.; Pálfy, G.; Török, G.; Homolya, L.; Bodor, A.; Nyitray, L. Ezrin interacts with S100A4 via both its N- and C-terminal domains. PLoS ONE 2017, 12, e0177489. [Google Scholar] [CrossRef] [PubMed]
- Ryan, D.G.; Taliana, L.; Sun, L.; Wei, Z.G.; Masur, S.K.; Lavker, R.M. Involvement of S100A4 in stromal fibroblasts of the regenerating cornea. Investig. Ophthalmol. Vis. Sci. 2003, 44, 4255–4262. [Google Scholar] [CrossRef] [PubMed][Green Version]
- Fuchs, E.; Cleveland, D.W. A structural scaffolding of intermediate filaments in health and disease. Science 1998, 279, 514–519. [Google Scholar] [CrossRef]
- McGinn, O.; Ward, A.V.; Fettig, L.M.; Riley, D.; Ivie, J.; Paul, K.V.; Kabos, P.; Finlay-Schultz, J.; Sartorius, C.A. Cytokeratin 5 alters β-catenin dynamics in breast cancer cells. Oncogene 2020, 39, 2478–2492. [Google Scholar] [CrossRef]
- Blanpain, C.; Fuchs, E. Epidermal stem cells of the skin. Annu. Rev. Cell Dev. Biol. 2006, 22, 339–373. [Google Scholar] [CrossRef]
- Fuchs, E. Scratching the surface of skin development. Nature 2007, 445, 834–842. [Google Scholar] [CrossRef] [PubMed]
- Liu, G.; Liu, R.; Tang, X.; Cao, J.; Zhao, S.; Yu, M. Expression profiling reveals genes involved in the regulation of wool follicle bulb regression and regeneration in sheep. Int. J. Mol. Sci. 2015, 16, 9152–9166. [Google Scholar] [CrossRef]
- Moll, R.; Divo, M.; Langbein, L. The human keratins: Biology and pathology. Histochem. Cell Biol. 2008, 129, 705–733. [Google Scholar] [CrossRef] [PubMed]
- Li, Y.; Jin, M.; Gao, Y.; Lu, L.; Cao, J.; Liu, Y.; Chen, Y.; Wang, X. Efficient establishment of an optimized culture condition for cashmere goat primary hair follicle stem cells. J. Anim. Sci. 2023, 101, skad235, Erratum in J. Anim. Sci. 2024, 102, skad212.. [Google Scholar] [CrossRef] [PubMed]
Disclaimer/Publisher’s Note: The statements, opinions and data contained in all publications are solely those of the individual author(s) and contributor(s) and not of MDPI and/or the editor(s). MDPI and/or the editor(s) disclaim responsibility for any injury to people or property resulting from any ideas, methods, instructions or products referred to in the content. |
© 2026 by the authors. Licensee MDPI, Basel, Switzerland. This article is an open access article distributed under the terms and conditions of the Creative Commons Attribution (CC BY) license.



