The Level of Antibodies to Tumor-Associated Glycans in Gastric Cancer Patients Is Lower than in Healthy Donors and Reduces with Age
Abstract
1. Introduction
2. Results
2.1. PGA Printing and Quality Control
2.2. IgM
2.3. IgG
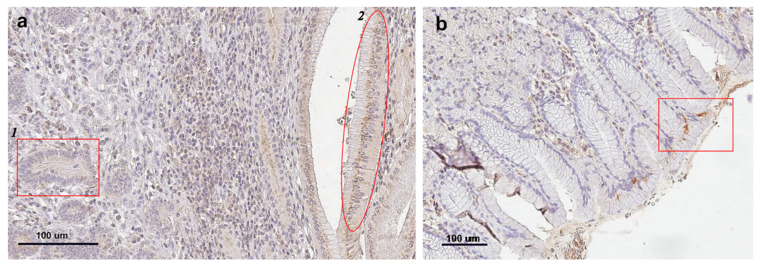
2.4. AGA Interaction with Gastric Tissue
3. Discussion
4. Materials and Methods
4.1. Participants
4.2. Sample Collection and Reagents
4.3. Antibody Analysis Using PGA
4.4. Quantitative Analysis of Total Immunoglobulins
4.5. Isolation of Human Anti-GalNAcα Antibodies
4.6. Immunohistochemistry
4.7. Statistical Analysis
5. Conclusions
Supplementary Materials
Author Contributions
Funding
Institutional Review Board Statement
Informed Consent Statement
Data Availability Statement
Conflicts of Interest
Abbreviations
| GC | Gastric cancer |
| TACAs | Tumor-associated carbohydrate antigens |
| PGA | Printed glycan array |
| nAbs | Naturally occurring antibodies |
| GI | Gastrointestinal |
| AGA | Anti-glycan antibody |
| NMRCO | N.N. Blokhin National Medical Research Centre of Oncology |
| RFUs | Relative fluorescence units |
| ER | Endoplasmic reticulum |
References
- Gagneux, P.; Hennet, T.; Varki, A. Biological Functions of Glycans. In Essentials of Glycobiology, 4th ed.; Varki, A., Cummings, R.D., Esko, J.D., Stanley, P., Hart, G.W., Aebi, M., Darvill, A.G., Kinoshita, T., Packer, N.H., Prestegard, J.H., et al., Eds.; Cold Spring Harbor: New York, NY, USA, 2022; pp. 79–92. [Google Scholar]
- Springer, G. T and Tn, General Carcinoma Autoantigens. Science 1984, 224, 1198–1206. [Google Scholar] [CrossRef] [PubMed]
- Gillmann, K.M.; Temme, J.S.; Marglous, S.; Brown, C.E.; Gildersleeve, J.C. Anti-Glycan Monoclonal Antibodies: Basic Research and Clinical Applications. Curr. Opin. Chem. Biol. 2023, 74, 102281. [Google Scholar] [CrossRef] [PubMed]
- Singhal, A.; Hakomori, S.-I. Molecular Changes in Carbohydrate Antigens Associated with Cancer. BioEssays 1990, 12, 223–230. [Google Scholar] [CrossRef] [PubMed]
- Hakomori, S. Possible Functions of Tumor-Associated Carbohydrate Antigens. Curr. Opin. Immunol. 1991, 3, 646–653. [Google Scholar] [CrossRef]
- Springer, G.F. Immunoreactive T and Tn Epitopes in Cancer Diagnosis, Prognosis, and Immunotherapy. J. Mol. Med. 1997, 75, 594–602. [Google Scholar] [CrossRef]
- Mereiter, S.; Polom, K.; Williams, C.; Polonia, A.; Guergova-Kuras, M.; Karlsson, N.G.; Roviello, F.; Magalhães, A.; Reis, C.A. The Thomsen-Friedenreich Antigen: A Highly Sensitive and Specific Predictor of Microsatellite Instability in Gastric Cancer. J. Clin. Med. 2018, 7, 256. [Google Scholar] [CrossRef]
- Smorodin, E.; Sergeyev, B.; Klaamas, K.; Chuzmarov, V.; Kurtenkov, O. The Relation of the Level of Serum Anti-TF, -Tn and -Alpha-Gal IgG to Survival in Gastrointestinal Cancer Patients. Int. J. Med. Sci. 2013, 10, 1674–1682. [Google Scholar] [CrossRef]
- Munkley, J. The Role of Sialyl-Tn in Cancer. Int. J. Mol. Sci. 2016, 17, 275. [Google Scholar] [CrossRef]
- Ferreira, J.A.; Magalhães, A.; Gomes, J.; Peixoto, A.; Gaiteiro, C.; Fernandes, E.; Santos, L.L.; Reis, C.A. Protein Glycosylation in Gastric and Colorectal Cancers: Toward Cancer Detection and Targeted Therapeutics. Cancer Lett. 2017, 387, 32–45. [Google Scholar] [CrossRef]
- Fernandes, E.; Sores, J.; Cotton, S.; Peixoto, A.; Ferreira, D.; Freitas, R.; Reis, C.A.; Santos, L.L.; Ferreira, J.A. Esophageal, Gastric and Colorectal Cancers: Looking beyond Classical Serological Biomarkers towards Glycoproteomics-Assisted Precision Oncology. Theranostics 2020, 10, 4903–4928. [Google Scholar] [CrossRef]
- Muraca, F.; Gomes, F.G.; Moreira, G.M.S.G.; Ocker, M. Tumor-Associated Carbohydrate Antigens (TACA) as Novel Targets for Anticancer Therapy. In Handbook of Cancer and Immunology; Rezaei, N., Ed.; Springer International Publishing: Cham, Switzerland, 2024; pp. 1–21. [Google Scholar] [CrossRef]
- Bray, J.; MacLean, G.D.; Dusel, F.J.; McPherson, T.A. Decreased Levels of Circulating Lytic Anti-T in the Serum of Patients with Metastatic Gastrointestinal Cancer: A Correlation with Disease Burden. Clin. Exp. Immunol. 1982, 47, 176–182. [Google Scholar] [PubMed]
- Vos, G.H.; Rose, E.F.; Vos, D. Antibody Responses to T-Activated Red Cells in Children from High- and Low-Risk Areas of Cancer of the Oesophagus in Transkei. S. Afr. Med. J. 1981, 60, 56–60. [Google Scholar] [PubMed]
- Kurtenkov, O.; Klaamas, K.; Mensdorff-Pouilly, S.; Miljukhina, L.; Shljapnikova, L.; Chužmarov, V. Humoral Immune Response to MUC1 and to the Thomsen-Friedenreich (TF) Glycotope in Patients with Gastric Cancer: Relation to Survival. Acta Oncol. 2007, 46, 316–323. [Google Scholar] [CrossRef] [PubMed]
- Tikhonov, A.A.; Savvateeva, E.N.; Chernichenko, M.A.; Maslennikov, V.V.; Sidorov, D.V.; Rubina, A.Y.; Kushlinskii, N.E. Analysis of Anti-Glycan IgG and IgM Antibodies in Colorectal Cancer. Bull. Exp. Biol. Med. 2019, 166, 489–493. [Google Scholar] [CrossRef]
- Marglous, S.; Brown, C.E.; Padler-Karavani, V.; Cummings, R.D.; Gildersleeve, J.C. Serum Antibody Screening Using Glycan Arrays. Chem. Soc. Rev. 2024, 53, 2603–2642. [Google Scholar] [CrossRef]
- Bovin, N.V. Natural Antibodies to Glycans. Biochemistry 2013, 78, 786–797. (In Russian) [Google Scholar] [CrossRef]
- Butvilovskaya, V.I.; Popletaeva, S.B.; Chechetkin, V.R.; Zubtsova, Z.I.; Tsybulskaya, M.V.; Samokhina, L.O.; Vinnitskii, L.I.; Ragimov, A.A.; Pozharitskaya, E.I.; Grigor’eva, G.A.; et al. Multiplex Determination of Serological Signatures in the Sera of Colorectal Cancer Patients Using Hydrogel Biochips. Cancer Med. 2016, 5, 1361–1372. [Google Scholar] [CrossRef]
- Jacob, F.; Goldstein, D.R.; Bovin, N.V.; Pochechueva, T.; Spengler, M.; Caduff, R.; Fink, D.; Vuskovic, M.I.; Huflejt, M.E.; Heinzelmann-Schwarz, V. Serum Antiglycan Antibody Detection of Nonmucinous Ovarian Cancers by Using a Printed Glycan Array. Int. J. Cancer 2012, 130, 138–146. [Google Scholar] [CrossRef]
- Temme, J.S.; Butler, D.L.; Gildersleeve, J.C. Anti-Glycan Antibodies: Roles in Human Disease. Biochem. J. 2021, 478, 1485–1509. [Google Scholar] [CrossRef]
- Muthana, S.M.; Gildersleeve, J.C. Factors Affecting Anti-Glycan IgG and IgM Repertoires in Human Serum. Sci. Rep. 2016, 6, 19509. [Google Scholar] [CrossRef]
- Buonomano, R.; Tinguely, C.; Rieben, R.; Mohacsi, P.J.; Nydegger, U.E. Quantitation and Characterization of Anti-Galα1–3Gal Antibodies in Sera of 200 Healthy Persons. Xenotransplantation 1999, 6, 173–180. [Google Scholar] [CrossRef] [PubMed]
- Bray, F.; Laversanne, M.; Sung, H.; Ferlay, J.; Siegel, R.L.; Soerjomataram, I.; Jemal, A. Global Cancer Statistics 2022: GLOBOCAN Estimates of Incidence and Mortality Worldwide for 36 Cancers in 185 Countries. CA Cancer J. Clin. 2024, 74, 229–263. [Google Scholar] [CrossRef] [PubMed]
- Jardim, S.R.; de Souza, L.M.P.; de Souza, H.S.P. The Rise of Gastrointestinal Cancers as a Global Phenomenon: Unhealthy Behavior or Progress? Int. J. Environ. Res. Public Health 2023, 20, 3640–3663. [Google Scholar] [CrossRef] [PubMed]
- Mansorunov, D.Z.; Alimov, A.A.; Apanovich, N.V.; Kuzevanova, A.Y.; Bogush, T.A.; Stilidi, I.S.; Karpukhin, A.V. Gastric Cancer Immunotherapy. Russ. J. Biother. 2019, 18, 6–16. (In Russian) [Google Scholar] [CrossRef]
- Pohle, T.; Brändlein, S.; Ruoff, N.; Müller-Hermelink, H.K.; Vollmers, H.P. Lipoptosis: Tumor-Specific Cell Death by Antibody-Induced Intracellular Lipid Accumulation. Cancer Res. 2004, 64, 3900–3906. [Google Scholar] [CrossRef]
- Vollmers, H.P.; Brändlein, S. Nature’s Best Weapons to Fight Cancer. Revival of Human Monoclonal IgM Antibodies. Hum. Antibodies 2002, 11, 131–142. [Google Scholar] [CrossRef]
- Beutner, U.; Lorenz, U.; Illert, B.; Rott, L.; Timmermann, W.; Vollmers, H.P.; Müller-Hermelink, H.K.; Thiede, A.; Ulrichs, K. Neoadjuvant Therapy of Gastric Cancer with the Human Monoclonal IgM Antibody SC-1: Impact on the Immune System. Oncol. Rep. 2008, 19, 761–769. [Google Scholar] [CrossRef]
- Hensel, F.; Timmermann, W.; Von Rahden, B.H.A.; Rosenwald, A.; Brandlein, S.; Illert, B. Ten-Year Follow-up of a Prospective Trial for the Targeted Therapy of Gastric Cancer with the Human Monoclonal Antibody PAT-SC1. Oncol. Rep. 2014, 31, 1059–1066. [Google Scholar] [CrossRef]
- Vuskovic, M.I.; Xu, H.; Bovin, N.V.; Pass, H.I.; Huflejt, M.E. Processing and Analysis of Serum Antibody Binding Signals from Printed Glycan Arrays for Diagnostic and Prognostic Applications. Int. J. Bioinform. Res. Appl. 2011, 7, 402. [Google Scholar] [CrossRef]
- Tupitsyn, N.N.; Udalova, Y.A.; Galanina, O.E.; Kadagidze, Z.G.; Borovkova, N.B.; Podolsky, V.V.; Shinkarev, S.A.; Gadetskaya, N.A.; Letyagin, V.P.; Obukhova, P.S.; et al. Tumor-Associated Glycan Lewis C in Breast Cancer. Immunol. Hemopoiesis 2009, 2, 45–54. (In Russian) [Google Scholar]
- Bovin, N.; Obukhova, P.; Shilova, N.; Rapoport, E.; Popova, I.; Navakouski, M.; Unverzagt, C.; Vuskovic, M.; Huflejt, M. Repertoire of Human Natural Anti-Glycan Immunoglobulins. Do We Have Auto-Antibodies? Biochim. Biophys. Acta Gen. Subj. 2012, 1820, 1373–1382. [Google Scholar] [CrossRef]
- Nikulin, M.P.; Shilova, N.V.; Lipatnikov, A.D.; Stilidi, I.S.; Semyanikhina, A.V.; Bovin, N.V.; Tupitsyn, N.N. Innate IgM Antibodies to Mannose in Patients with Gastric Cancer. Cancer Biol. Med. 2023, 21, 20230156. [Google Scholar] [CrossRef] [PubMed]
- Iwai, T.; Kudo, T.; Kawamoto, R.; Kubota, T.; Togayachi, A.; Hiruma, T.; Okada, T.; Kawamoto, T.; Morozumi, K.; Marimatsu, H. Core 3 Synthase Is Down-Regulated in Colon Carcinoma and Profoundly Suppresses the Metastatic Potential of Carcinoma Cells. Proc. Natl. Acad. Sci. USA 2005, 102, 4572–4577. [Google Scholar] [CrossRef] [PubMed]
- Tikhonov, A.; Smoldovskaya, O.; Feyzkhanova, G.; Kushlinskii, N.; Rubina, A. Glycan-Specific Antibodies as Potential Cancer Biomarkers: A Focus on Microarray Applications. Clin. Chem. Lab. Med. 2020, 58, 1611–1622. [Google Scholar] [CrossRef] [PubMed]
- Castronovo, V.; Colin, C.; Parent, B.; Foidart, J.-M.; Lambotte, R.; Mahieu, P. Possible Role of Human Natural Anti-Gal Antibodies in the Natural Antitumor Defense System. J. Nat. Cancer Inst. 1989, 81, 212–216. [Google Scholar] [CrossRef]
- Obukhova, P.S.; Ziganshina, M.M.; Shilova, N.V.; Chinarev, A.A.; Pazynina, G.V.; Nokel, A.Y.; Terenteva, A.V.; Khasbiullina, N.R.; Sukhikh, G.T.; Ragimov, A.A.; et al. Antibodies Against Unusual Forms of Sialylated Glycans. Acta Nat. 2022, 14, 85–92. [Google Scholar] [CrossRef]
- Dobrochaeva, K.; Khasbiullina, N.; Shilova, N.; Antipova, N.; Obukhova, P.; Ovchinnikova, T.; Galanina, O.; Blixt, O.; Kunz, H.; Filatov, A.; et al. Specificity of Human Natural Antibodies Referred to as Anti-Tn. Mol. Immunol. 2020, 120, 74–82. [Google Scholar] [CrossRef]
- Holodick, N.E.; Rodríguez-Zhurbenko, N.; Hernández, A.M. Defining Natural Antibodies. Front. Immunol. 2017, 8, 872. [Google Scholar] [CrossRef]
- Hakomori, S. Tumor-Associated Carbohydrate Antigens. Annu. Rev. Immunol. 1984, 2, 103–126. [Google Scholar] [CrossRef]
- Galili, U.; Macher, B.A. Interaction Between Anti-Gal and Human Tumor Cells: A Natural Defens Mechanism? J. Natl. Cancer Inst. 1989, 81, 178–179. [Google Scholar] [CrossRef]
- Tupitsyn, N. Central Role of Innate B-Cell Immunity in Cancer Prevention. Adv. Biol. Chem. 2021, 11, 12–14. [Google Scholar] [CrossRef]
- Vollmers, H.P.; Brändlein, S. The “Early Birds”: Natural IgM Antibodies and Immune Surveillance. Histol. Histopathol. 2005, 20, 927–937. [Google Scholar] [CrossRef] [PubMed]
- Rodriguez-Zhurbenko, N.; Quach, T.D.; Hopkins, T.J.; Rothstein, T.L.; Hernandez, A.M. Human B-1 Cells and B-1 Cell Antibodies Change With Advancing Age. Front. Immunol. 2019, 10, 483. [Google Scholar] [CrossRef] [PubMed]
- Khasbiullina, N.R.; Bovin, N.V. Hypotheses of the Origin of Natural Antibodies: A Glycobiologist’s Opinion. Biochemistry 2015, 80, 820–835. (In Russian) [Google Scholar] [CrossRef]
- Altman, M.O.; Gagneux, P. Absence of Neu5Gc and Presence of Anti-Neu5Gc Antibodies in Humans—An Evolutionary Perspective. Front. Immunol. 2019, 10, 789. [Google Scholar] [CrossRef] [PubMed]
- Blanco, R.; Muñoz, J.P. The Role of Non-Human Sialic Acid Neu5Gc-Containing Glycoconjugates in Human Tumors: A Review of Clinical and Experimental Evidence. Biomolecules 2025, 15, 253. [Google Scholar] [CrossRef]
- Isemura, M.; Sato, N.; Munakata, H.; Aikawa, J.; Ototani, N.; Yosizawa, Z.; Sakuma, A.; Masuda, T.; Aoyagi, Y.; Ichida, F. Glycosaminoglycans of Human Colonic Mucosa and Colonic Adenocarcinoma. Tohoku J. Exp. Med. 1984, 142, 89–95. [Google Scholar] [CrossRef]
- Rye, P.; Walker, R. Prognostic Value of a Breast Cancer-Associated Glycoprotein Detected by Monoclonal Antibody LU-BCRU-G7. Eur. J. Cancer 1994, 30, 1007–1012. [Google Scholar] [CrossRef]
- Rye, P.D.; Bovin, N.V.; Vlasova, E.V.; Walker, R.A. Monoclonal Antibody LU-BCRU-G7 against a Breast Tumour-Associated Glycoprotein Recognizes the Disaccharide Galβ1-3GlcNAc. Glycobiology 1995, 5, 385–389. [Google Scholar] [CrossRef]
- Chulkova, S.V.; Grivtsova, L.Y.; Stylidi, I.S.; Tupitsyn, N.N.; Galaeva, Z.M. Splenectomy in Gastric Cancer: Influence of B Lymphocytes. In Normal and Malignant B-Cell; Aribi, M., Ed.; IntechOpen: London, UK, 2018; pp. 79–92. [Google Scholar] [CrossRef]
- Vollmers, H.P.; Brändlein, S. Natural Antibodies and Cancer. J. Autoimmun. 2007, 29, 295–302. [Google Scholar] [CrossRef]
- Bondareva, M.; Budzinski, L.; Durek, P.; Witkowski, M.; Angermair, S.; Ninnemann, J.; Kreye, J.; Letz, P.; Ferreira-Gomes, M.; Semin, I.; et al. Cross-Regulation of Antibody Responses against the SARS-CoV-2 Spike Protein and Commensal Microbiota via Molecular Mimicry. Cell Host Microbe 2023, 31, 1866–1881.e10. [Google Scholar] [CrossRef]
- Gill, D.J.; Tham, K.M.; Chia, J.; Wang, S.C.; Steentoft, C.; Clausen, H.; Bard-Chapeau, E.A.; Bard, F.A. Initiation of GalNAc-Type O-Glycosylation in the Endoplasmic Reticulum Promotes Cancer Cell Invasiveness. Proc. Natl. Acad. Sci. USA 2013, 110, E3152–E3161. [Google Scholar] [CrossRef]
- Koca, D.; Abedi-Ardekani, B.; LeMaoult, J.; Guyon, L. Peritumoral Tissue (PTT): Increasing Need for Naming Convention. Br. J. Cancer 2024, 131, 1111–1115. [Google Scholar] [CrossRef] [PubMed]
- Aran, D.; Camarda, R.; Odegaard, J.; Paik, H.; Oskotsky, B.; Krings, G.; Goga, A.; Sirota, M.; Butte, A.J. Comprehensive Analysis of Normal Adjacent to Tumor Transcriptomes. Nat. Commun. 2017, 8, 1077. [Google Scholar] [CrossRef] [PubMed]
- Sorokin, M.; Buzdin, A.A.; Guryanova, A.; Efimov, V.; Suntsova, M.V.; Zolotovskaia, M.A.; Koroleva, E.V.; Sekacheva, M.I.; Tkachev, V.S.; Garazha, A.; et al. Large-Scale Assessment of Pros and Cons of Autopsy-Derived or Tumor-Matched Tissues as the Norms for Gene Expression Analysis in Cancers. Comput. Struct. Biotechnol. J. 2023, 21, 3964–3986. [Google Scholar] [CrossRef] [PubMed]
- Groux-Degroote, S.; Cavdarli, S.; Uchimura, K.; Allain, F.; Delannoy, P. Glycosylation Changes in Inflammatory Diseases. Adv. Protein Chem. Struct. Biol. 2020, 119, 111–156. [Google Scholar] [CrossRef]
- Larsson, J.M.H.; Karlsson, H.; Crespo, J.G.; Johansson, M.E.V.; Eklund, L.; Sjövall, H.; Hansson, G.C. Altered O-Glycosylation Profile of MUC2 Mucin Occurs in Active Ulcerative Colitis and Is Associated with Increased Inflammation. Inflamm. Bowel Dis. 2011, 17, 2299–2307. [Google Scholar] [CrossRef]
- Lauren, P. The Two Histological Main Types of Gastric Carcinoma: Diffuse and So-called Intestinal-type Carcinoma. Acta Pathol. Microbiol. Scand. 1965, 64, 31–49. [Google Scholar] [CrossRef]
- Obukhova, P.; Tsygankova, S.; Chinarev, A.; Shilova, N.; Nokel, A.; Kosma, P.; Bovin, N. Are There Specific Antibodies against Neu5Gc Epitopes in the Blood of Healthy Individuals? Glycobiology 2020, 30, 395–406, Erratum in Glycobiology 2020, 30, 415. https://doi.org/10.1093/glycob/cwaa004. [Google Scholar] [CrossRef]
- Shilova, N.V.; Galanina, O.E.; Polyakova, S.M.; Nokel, A.Y.; Pazynina, G.V.; Golovchenko, V.V.; Patova, O.A.; Mikshina, P.V.; Gorshkova, T.A.; Bovin, N.V. Specificity of Widely Used Lectins as Probed with Oligosaccharide and Plant Polysaccharide Arrays. Histochem. Cell Biol. 2024, 162, 495–510. [Google Scholar] [CrossRef]
- Jazayeri, M.H.; Pourfathollah, A.A.; Rasaee, M.J.; Porpak, Z.; Jafari, M.E. The Concentration of Total Serum IgG and IgM in Sera of Healthy Individuals Varies at Different Age Intervals. Biomed. Aging Pathol. 2013, 3, 241–245. [Google Scholar] [CrossRef]


| Glycan ID | Glycan Structure (General Name) | SNFG Representation 1 | Glycan Characteristics | Potential Clinical Applications |
|---|---|---|---|---|
| 4 | GalNAcα1-O-Ser (Tn-Ser 2) | ![]() | Core fragment of complex mucin glycans. Involved in adhesion and invasion. | Diagnosis, therapeutic target, prognosis |
| 5 | GalNAcα (Tn) | ![]() | Analog of Tn. | Diagnosis, therapeutic target, prognosis |
| 52 | Neu5Gcα | ![]() | Xenogenic antigen acquired through diet (red meat) as part of complex glycoconjugates. Hydrolyzed to monosaccharides in cells and incorporated into human glycoconjugates via CMP derivatives, competing with Neu5Ac. | Diagnosis, therapeutic target |
| 78 | Galα1-3GalNAcα (Tαα) | ![]() | Core structure of bronchial mucin glycans (teratocarcinoma cells). | Diagnosis, therapeutic target |
| 85 | Galβ1-3GlcNAcβ (LeC) | ![]() | Terminal fragment of N-glycan chains. Identified in own studies. | Prognosis, therapy, prevention |
| 88 | Galβ1-3GalNAcβ (Tββ) | ![]() | Terminal part of ganglio-series glycosphingolipid asialo-GM1. | Diagnosis |
| 89 | Galβ1-3GalNAcα (TF) | ![]() | Core part of mucin glycans. | Anti-TF antibody level may refine diagnostic accuracy |
| 172 | Neu5Acα2-6GalNAcα (SiaTn) | ![]() | Disaccharide component of mucin glycans. | Diagnosis |
| 174 | Neu5Gcα2-6GalNAcα (Neu5Gc-Tn) | ![]() | Disaccharide component of mucin glycans (see no. 52). | Under investigation |
| 223 | Galα1-4Galβ1-4Glcβ (Pk) | ![]() | Glycan of blood group P system. | Diagnosis, therapeutic target |
| 254 | GlcNAcβ1- 6(Galβ1-3)GalNAcα (core 2) | ![]() | Core fragment of mucin glycans. | Under investigation |
| 267 | GlcNAcβ1-3Galβ1- 3GlcNAcβ (GlcNAcβ3’LeC) | ![]() | Analog of LeC [32,33]. | Under investigation |
| Glycan ID | Glycan Structure (General Name) | SNFG Representation 1 | Glycan Characteristics | Potential Clinical Applications |
|---|---|---|---|---|
| 17 | Manα-Gly 1 | ![]() | Identified in our studies [34]. | Diagnosis, therapeutic target |
| 18 | Manβ-Gly | ![]() | Identified in our studies [34]. | Diagnosis, therapeutic target |
| 36 | Manβ | ![]() | Analog of Manβ-Gly (no. 18; see above). | Diagnosis, therapeutic target |
| 41 | 6-O-Su-GalNAcα 2 | ![]() | Identified in our studies [34]. | Under investigation |
| 113 | GlcNAcβ1-3GalNAcα (core 3) | ![]() | Core structure of mucin glycans. Selected based on literature data [35]. | Under investigation |
| 114 | GlcNAcβ1-3Manβ-Gly | ![]() | Core fragment of N-glycan chains. Antibodies detected in our studies [19]. | Under investigation |
| 122 | Manα1-6Manβ-Gly | ![]() | Core fragment of N-glycan chains. Selected in our studies [34]. | Under investigation |
| 123 | Manβ1-4GlcNAcβ-Gly | ![]() | Core fragment of N-glycan chains. Selected based on literature data [36]. | Diagnosis |
| 222 | Galα1-3Galβ1-4GlcNAcβ (Galili) | ![]() | Galili xenoantigen [37]. | Therapeutic target |
| 258 | (Manα1)2-3,6Manβ-Gly | ![]() | Core fragment of N-glycan chains [34]. | Under investigation |
| 299 | Neu5Acα2-3Galβ1-3GlcNAcβ (3’SiaLeC) | ![]() | Terminal fragment of N-glycan chains. Selected based on our studies [33,38]. | Under investigation |
| Parameter | GC Patients | Healthy Donors |
|---|---|---|
| Age, years (Median (Q1–Q3)) | 43.00 (38.50–48.00) | 39.50 (37.25–43.00) |
| Number of subjects | 31 | 30 |
| p | 0.061 | |
| Gender | ||
| Male (n (%)) | 16 (51.6) | 24 (80) |
| Female (n (%)) | 15 (48.4) | 6 (20) |
| Disease Stage | ||
| Stage I (n (%)) | 3 (9.7) | − |
| Stage II (n (%)) | 7 (22.6) | − |
| Stage III (n (%)) | 9 (29.0) | − |
| Stage IV (n (%)) | 12 (38.7) | − |
| Parameter | Category | Number in Group | Percentage of Patients, % |
|---|---|---|---|
| Age | Median: 61 years (range: 27–80) | ||
| Gender | Male | 125 | 53.2 |
| Female | 110 | 46.8 | |
| Age groups | 20–29 years | 4 | 1.7 |
| 30–39 years | 11 | 4.7 | |
| 40–49 years | 20 | 8.5 | |
| 50–59 years | 65 | 27.7 | |
| 60–69 years | 83 | 35.3 | |
| 70–80 years | 52 | 22.1 | |
| Stage | Stage I | 37 | 15.7 |
| Stage II | 59 | 25.1 | |
| Stage III | 77 | 32.8 | |
| Stage IV | 62 | 26.4 | |
| T category | T1 | 41 | 17.4 |
| T2 | 12 | 5.1 | |
| T3 | 42 | 17.9 | |
| T4 | 140 | 59.6 | |
| N category (assessed in 209 patients) | N0 | 89 | 42.6 |
| N1 | 45 | 21.5 | |
| N2 | 39 | 18.7 | |
| N3 | 36 | 17.2 | |
| M category | M0 | 183 | 77.9 |
| M1 | 52 | 22.1 | |
| Lauren Classification [61] (assessed in 112 patients) | Intestinal type | 54 | 48.2 |
| Diffuse type | 51 | 45.5 | |
| Mixed type | 7 | 6.2 | |
| WHO histological type | Well-differentiated adenocarcinoma | 8 | 3.4 |
| Moderately differentiated adenocarcinoma | 70 | 29.8 | |
| Poorly differentiated adenocarcinoma | 68 | 28.9 | |
| Signet-ring cell carcinoma | 53 | 22.6 | |
| Mixed type | 36 | 15.3 | |
| Parameter | Category | Number in Group | Percentage of Donors, % |
|---|---|---|---|
| Age | Median—34 years (range: 21–56) | ||
| Gender | Male | 49 | 64.5 |
| Female | 27 | 35.5 | |
| Age Groups | 20–29 years | 25 | 32.9 |
| 30–39 years | 32 | 42.1 | |
| 40–49 years | 15 | 19.7 | |
| 50–59 years | 4 | 5.3 | |
Disclaimer/Publisher’s Note: The statements, opinions and data contained in all publications are solely those of the individual author(s) and contributor(s) and not of MDPI and/or the editor(s). MDPI and/or the editor(s) disclaim responsibility for any injury to people or property resulting from any ideas, methods, instructions or products referred to in the content. |
© 2026 by the authors. Licensee MDPI, Basel, Switzerland. This article is an open access article distributed under the terms and conditions of the Creative Commons Attribution (CC BY) license.
Share and Cite
Nikulin, M.P.; Lipatnikov, A.D.; Nokel, A.Y.; Polyakova, S.M.; Tsygankova, S.V.; Pazynina, G.V.; Semyanikhina, A.V.; Ogorodnikova, E.V.; Rogozhin, D.V.; Rossomakhina, O.M.; et al. The Level of Antibodies to Tumor-Associated Glycans in Gastric Cancer Patients Is Lower than in Healthy Donors and Reduces with Age. Int. J. Mol. Sci. 2026, 27, 800. https://doi.org/10.3390/ijms27020800
Nikulin MP, Lipatnikov AD, Nokel AY, Polyakova SM, Tsygankova SV, Pazynina GV, Semyanikhina AV, Ogorodnikova EV, Rogozhin DV, Rossomakhina OM, et al. The Level of Antibodies to Tumor-Associated Glycans in Gastric Cancer Patients Is Lower than in Healthy Donors and Reduces with Age. International Journal of Molecular Sciences. 2026; 27(2):800. https://doi.org/10.3390/ijms27020800
Chicago/Turabian StyleNikulin, Maxim P., Alexander D. Lipatnikov, Alexei Yu. Nokel, Svetlana M. Polyakova, Svetlana V. Tsygankova, Galina V. Pazynina, Alexandra V. Semyanikhina, Elena V. Ogorodnikova, Dmitry V. Rogozhin, Olesya M. Rossomakhina, and et al. 2026. "The Level of Antibodies to Tumor-Associated Glycans in Gastric Cancer Patients Is Lower than in Healthy Donors and Reduces with Age" International Journal of Molecular Sciences 27, no. 2: 800. https://doi.org/10.3390/ijms27020800
APA StyleNikulin, M. P., Lipatnikov, A. D., Nokel, A. Y., Polyakova, S. M., Tsygankova, S. V., Pazynina, G. V., Semyanikhina, A. V., Ogorodnikova, E. V., Rogozhin, D. V., Rossomakhina, O. M., Atiakshin, D. A., Patsap, O. I., Stilidi, I. S., Bovin, N. V., Buchwalow, I., Tiemann, M., & Shilova, N. V. (2026). The Level of Antibodies to Tumor-Associated Glycans in Gastric Cancer Patients Is Lower than in Healthy Donors and Reduces with Age. International Journal of Molecular Sciences, 27(2), 800. https://doi.org/10.3390/ijms27020800
























