GPA33-Targeted Trimeric Immunotoxin Exhibits Enhanced Antitumor Activity in Human Colorectal Cancer Xenografts
Abstract
1. Introduction
2. Results
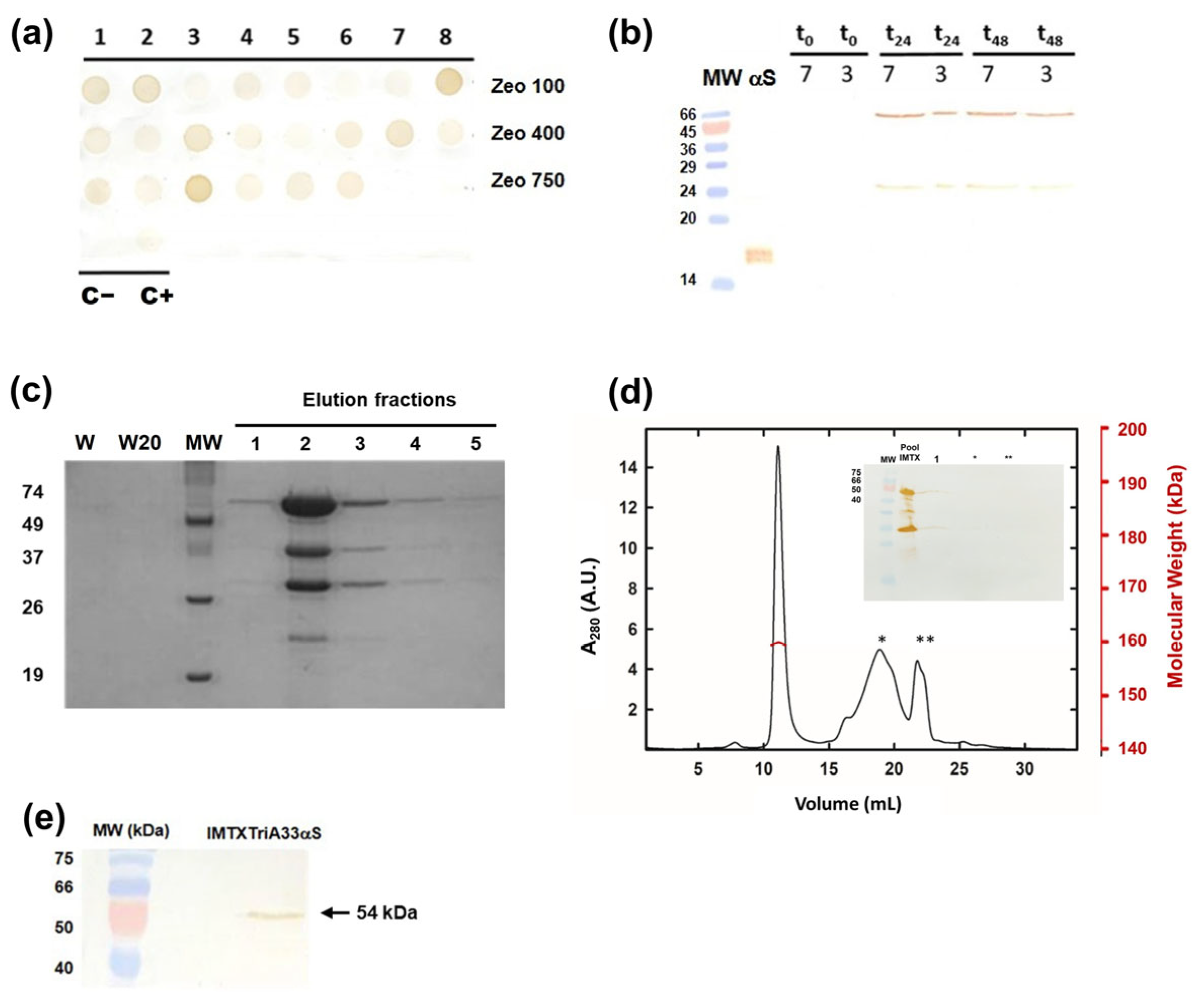
2.1. Trimeric IMTX Design, Expression, and Purification
2.2. Structural Characterization
2.2.1. Oligomerization Study (FPLC)
2.2.2. Secondary Structure Analysis (Circular Dichroism)
2.3. Functional Characterization
2.3.1. Ribonuclease Activity
2.3.2. Functionality of the Targeting Domain
2.3.3. Binding and Internalization of IMTXTriA33As
2.3.4. In Vitro Cytotoxicity Characterization
2.3.5. In Vivo Antitumoral Activity
3. Discussion
4. Materials and Methods
4.1. Plasmid Design
4.2. Protein Production and Purification
4.3. Structural Characterization
4.4. Ribonucleolytic Activity Assay
4.5. Cell Line Cultures
4.6. Flow Cytometry Assays
4.7. Alexa 555 Labeling of IMTXTriA33αS
4.8. Immunofluorescence Microscopy
4.9. Protein Biosynthesis Inhibition Assay
4.10. In Vivo Antitumor Assay
4.11. Statistical Analysis
5. Conclusions
Supplementary Materials
Author Contributions
Funding
Institutional Review Board Statement
Informed Consent Statement
Data Availability Statement
Conflicts of Interest
References
- Alewine, C.; Hassan, R.; Pastan, I. Advances in anticancer immunotoxin therapy. Oncologist 2015, 20, 176–185. [Google Scholar] [CrossRef]
- Nasiri, H.; Valedkarimi, Z.; Aghebati-Maleki, L.; Majidi, J. Antibody-drug conjugates: Promising and efficient tools for targeted cancer therapy. J. Cell. Physiol. 2018, 233, 6441–6457. [Google Scholar] [CrossRef]
- Jiang, X.; Nik Nabil, W.N.; Ze, Y.; Dai, R.; Xi, Z.; Xu, H. Unlocking Natural Potential: Antibody-Drug Conjugates With Naturally Derived Payloads for Cancer Therapy. Phytother. Res. 2024, 39, 789–874. [Google Scholar] [CrossRef]
- Kim, J.S.; Jun, S.Y.; Kim, Y.S. Critical Issues in the Development of Immunotoxins for Anticancer Therapy. J. Pharm. Sci. 2020, 109, 104–115. [Google Scholar] [CrossRef]
- Li, M.; Liu, Z.S.; Liu, X.L.; Hui, Q.; Lu, S.Y.; Qu, L.L.; Li, Y.S.; Zhou, Y.; Ren, H.L.; Hu, P. Clinical targeting recombinant immunotoxins for cancer therapy. Onco Targets Ther. 2017, 10, 3645–3665. [Google Scholar] [CrossRef] [PubMed]
- Akbari, B.; Farajnia, S.; Ahdi Khosroshahi, S.; Safari, F.; Yousefi, M.; Dariushnejad, H.; Rahbarnia, L. Immunotoxins in cancer therapy: Review and update. Int. Rev. Immunol. 2017, 36, 207–219. [Google Scholar] [CrossRef] [PubMed]
- Pizzo, E.; Oliva, R.; Morra, R.; Bosso, A.; Ragucci, S.; Petraccone, L.; Del Vecchio, P.; Di Maro, A. Binding of a type 1 RIP and of its chimeric variant to phospholipid bilayers: Evidence for a link between cytotoxicity and protein/membrane interactions. Biochim. Biophys. Acta Biomembr. 2017, 1859, 2106–2112. [Google Scholar] [CrossRef] [PubMed]
- Landi, N.; Ciaramella, V.; Ragucci, S.; Chambery, A.; Ciardiello, F.; Pedone, P.V.; Troiani, T.; Di Maro, A. A Novel EGFR Targeted Immunotoxin Based on Cetuximab and Type 1 RIP Quinoin Overcomes the Cetuximab Resistance in Colorectal Cancer Cells. Toxins 2023, 15, 57. [Google Scholar] [CrossRef]
- Olombrada, M.; Lázaro-Gorines, R.; López-Rodríguez, J.C.; Martínez-Del-Pozo, Á.; Oñaderra, M.; Maestro-López, M.; Lacadena, J.; Gavilanes, J.G.; García-Ortega, L. Fungal Ribotoxins: A Review of Potential Biotechnological Applications. Toxins 2017, 9, 71. [Google Scholar] [CrossRef]
- García-Montoya, C.; García-Linares, S.; Heras-Márquez, D.; Majnik, M.; Laxalde-Fernández, D.; Amigot-Sánchez, R.; Martínez-Del-Pozo, Á.; Palacios-Ortega, J. The interaction of the ribotoxin α-sarcin with complex model lipid vesicles. Arch. Biochem. Biophys. 2024, 751, 109836. [Google Scholar] [CrossRef]
- Lázaro-Gorines, R.; Ruiz-de-la-Herrán, J.; Navarro, R.; Sanz, L.; Álvarez-Vallina, L.; Martínez-Del-Pozo, A.; Gavilanes, J.G.; Lacadena, J. A novel Carcinoembryonic Antigen (CEA)-Targeted Trimeric Immunotoxin shows significantly enhanced Antitumor Activity in Human Colorectal Cancer Xenografts. Sci. Rep. 2019, 9, 11680. [Google Scholar] [CrossRef] [PubMed]
- Narbona, J.; Hernández-Baraza, L.; Gordo, R.G.; Sanz, L.; Lacadena, J. Nanobody-Based EGFR-Targeting Immunotoxins for Colorectal Cancer Treatment. Biomolecules 2023, 13, 1042. [Google Scholar] [CrossRef]
- van Meer, G.; Voelker, D.R.; Feigenson, G.W. Membrane lipids: Where they are and how they behave. Nat. Rev. Mol. Cell Biol. 2008, 9, 112–124. [Google Scholar] [CrossRef]
- Gruenberg, J. Lipids in endocytic membrane transport and sorting. Curr. Opin. Cell Biol. 2003, 15, 382–388. [Google Scholar] [CrossRef]
- Ritter, G.; Cohen, L.S.; Nice, E.C.; Catimel, B.; Burgess, A.W.; Moritz, R.L.; Ji, H.; Heath, J.K.; White, S.J.; Welt, S.; et al. Characterization of posttranslational modifications of human A33 antigen, a novel palmitoylated surface glycoprotein of human gastrointestinal epithelium. Biochem. Biophys. Res. Commun. 1997, 236, 682–686. [Google Scholar] [CrossRef]
- Ritter, G.; Cohen, L.S.; Williams, C.; Richards, E.C., Jr.; Old, L.J.; Welt, S. Serological analysis of human anti-human antibody responses in colon cancer patients treated with repeated doses of humanized monoclonal antibody A33. Cancer Res. 2001, 61, 6851–6859. [Google Scholar]
- Ackerman, M.E.; Chalouni, C.; Schmidt, M.M.; Raman, V.V.; Ritter, G.; Old, L.J.; Mellman, I.; Wittrup, K.D. A33 antigen displays persistent surface expression. Cancer Immunol. Immunother. 2008, 57, 1017–1027. [Google Scholar] [CrossRef]
- Ackerman, M.E.; Pawlowski, D.; Wittrup, K.D. Effect of antigen turnover rate and expression level on antibody penetration into tumor spheroids. Mol. Cancer. Ther. 2008, 7, 2233–2240. [Google Scholar] [CrossRef]
- Rinne, S.S.; Vargas, D.B.; Vaughn, B.A.; Katugampola, S.; Miller, B.W.; Veach, D.R.; Punzalan, B.; de Stanchina, E.; Yaeger, R.; Miranda, I.C.; et al. Comparison of targeting two antigens (GPA33 versus HER2) for (225)Ac-pretargeted alpha-radioimmunotherapy of colorectal cancer. Theranostics 2025, 15, 7489–7500. [Google Scholar] [CrossRef] [PubMed]
- Pereira-Fantini, P.M.; Judd, L.M.; Kalantzis, A.; Peterson, A.; Ernst, M.; Heath, J.K.; Giraud, A.S. A33 antigen-deficient mice have defective colonic mucosal repair. Inflamm. Bowel Dis. 2010, 16, 604–612. [Google Scholar] [CrossRef] [PubMed]
- Heath, J.K.; White, S.J.; Johnstone, C.N.; Catimel, B.; Simpson, R.J.; Moritz, R.L.; Tu, G.F.; Ji, H.; Whitehead, R.H.; Groenen, L.C.; et al. The human A33 antigen is a transmembrane glycoprotein and a novel member of the immunoglobulin superfamily. Proc. Natl. Acad. Sci. USA 1997, 94, 469–474. [Google Scholar] [CrossRef]
- Johnstone, C.N.; Tebbutt, N.C.; Abud, H.E.; White, S.J.; Stenvers, K.L.; Hall, N.E.; Cody, S.H.; Whitehead, R.H.; Catimel, B.; Nice, E.C.; et al. Characterization of mouse A33 antigen, a definitive marker for basolateral surfaces of intestinal epithelial cells. Am. J. Physiol. Gastrointest. Liver Physiol. 2000, 279, G500–G510. [Google Scholar] [CrossRef]
- Johnstone, C.N.; White, S.J.; Tebbutt, N.C.; Clay, F.J.; Ernst, M.; Biggs, W.H.; Viars, C.S.; Czekay, S.; Arden, K.C.; Heath, J.K. Analysis of the regulation of the A33 antigen gene reveals intestine-specific mechanisms of gene expression. J. Biol. Chem. 2002, 277, 34531–34539. [Google Scholar] [CrossRef]
- Mao, Z.; Song, S.; Zhu, Y.; Yi, X.; Zhang, H.; Shang, Y.; Tong, T. Transcriptional regulation of A33 antigen expression by gut-enriched Krüppel-like factor. Oncogene 2003, 22, 4434–4443. [Google Scholar] [CrossRef]
- Rageul, J.; Mottier, S.; Jarry, A.; Shah, Y.; Théoleyre, S.; Masson, D.; Gonzalez, F.J.; Laboisse, C.L.; Denis, M.G. KLF4-dependent, PPARgamma-induced expression of GPA33 in colon cancer cell lines. Int. J. Cancer 2009, 125, 2802–2809. [Google Scholar] [CrossRef] [PubMed]
- Welt, S.; Scott, A.M.; Divgi, C.R.; Kemeny, N.E.; Finn, R.D.; Daghighian, F.; Germain, J.S.; Richards, E.C.; Larson, S.M.; Old, L.J. Phase I/II study of iodine 125-labeled monoclonal antibody A33 in patients with advanced colon cancer. J. Clin. Oncol. 1996, 14, 1787–1797. [Google Scholar] [CrossRef] [PubMed]
- Abud, H.E.; Johnstone, C.N.; Tebbutt, N.C.; Heath, J.K. The murine A33 antigen is expressed at two distinct sites during development, the ICM of the blastocyst and the intestinal epithelium. Mech. Dev. 2000, 98, 111–114. [Google Scholar] [CrossRef]
- Joosten, C.E.; Cohen, L.S.; Ritter, G.; Batt, C.A.; Shuler, M.L. Glycosylation profiles of the human colorectal cancer A33 antigen naturally expressed in the human colorectal cancer cell line SW1222 and expressed as recombinant protein in different insect cell lines. Biotechnol. Prog. 2004, 20, 1273–1279. [Google Scholar] [CrossRef]
- Damasceno, L.M.; Anderson, K.A.; Ritter, G.; Cregg, J.M.; Old, L.J.; Batt, C.A. Cooverexpression of chaperones for enhanced secretion of a single-chain antibody fragment in Pichia pastoris. Appl. Microbiol. Biotechnol. 2007, 74, 381–389. [Google Scholar] [CrossRef] [PubMed]
- Damasceno, L.M.; Lee, F.; Ritter, G.; Old, L.; Batt, C. High-level expression of a phage display-derived scFv in Pichia pastoris. Methods Mol. Biol. 2009, 562, 225–236. [Google Scholar] [CrossRef]
- Carter, P.J.; Rajpal, A. Designing antibodies as therapeutics. Cell 2022, 185, 2789–2805. [Google Scholar] [CrossRef]
- Xiao, J.; Chen, X.; Wan, Y.; Guo, Z.; Ren, X.; Huang, H. The generation of a novel HER2-targeting nano PE25 immunotoxin with superior anti-tumor activity and high productivity. J. Immunol. Methods 2025, 539, 113849. [Google Scholar] [CrossRef]
- Tapia-Galisteo, A.; Sánchez Rodríguez, Í.; Aguilar-Sopeña, O.; Harwood, S.L.; Narbona, J.; Ferreras Gutierrez, M.; Navarro, R.; Martín-García, L.; Corbacho, C.; Compte, M.; et al. Trispecific T-cell engagers for dual tumor-targeting of colorectal cancer. Oncoimmunology 2022, 11, 2034355. [Google Scholar] [CrossRef]
- Shapir Itai, Y.; Barboy, O.; Salomon, R.; Bercovich, A.; Xie, K.; Winter, E.; Shami, T.; Porat, Z.; Erez, N.; Tanay, A.; et al. Bispecific dendritic-T cell engager potentiates anti-tumor immunity. Cell 2024, 187, 375–389.e18. [Google Scholar] [CrossRef] [PubMed]
- El-Sayes, N.; Vito, A.; Mossman, K. Tumor Heterogeneity: A Great Barrier in the Age of Cancer Immunotherapy. Cancers 2021, 13, 806. [Google Scholar] [CrossRef]
- Blanco-Toribio, A.; Sainz-Pastor, N.; Álvarez-Cienfuegos, A.; Merino, N.; Cuesta, Á.M.; Sánchez-Martín, D.; Bonet, J.; Santos-Valle, P.; Sanz, L.; Oliva, B.; et al. Generation and characterization of monospecific and bispecific hexavalent trimerbodies. Mabs 2013, 5, 70–79. [Google Scholar] [CrossRef] [PubMed]
- Compte, M.; Harwood, S.L.; Muñoz, I.G.; Navarro, R.; Zonca, M.; Perez-Chacon, G.; Erce-Llamazares, A.; Merino, N.; Tapia-Galisteo, A.; Cuesta, A.M.; et al. A tumor-targeted trimeric 4-1BB-agonistic antibody induces potent anti-tumor immunity without systemic toxicity. Nat. Commun. 2018, 9, 4809. [Google Scholar] [CrossRef]
- Shahied, L.S.; Tang, Y.; Alpaugh, R.K.; Somer, R.; Greenspon, D.; Weiner, L.M. Bispecific minibodies targeting HER2/neu and CD16 exhibit improved tumor lysis when placed in a divalent tumor antigen binding format. J. Biol. Chem. 2004, 279, 53907–53914. [Google Scholar] [CrossRef]
- Sánchez-Martín, D.; Cuesta, A.M.; Fogal, V.; Ruoslahti, E.; Alvarez-Vallina, L. The multicompartmental p32/gClqR as a new target for antibody-based tumor targeting strategies. J. Biol. Chem. 2011, 286, 5197–5203. [Google Scholar] [CrossRef] [PubMed]
- Rubio-Pérez, L.; Frago, S.; Compte, M.; Navarro, R.; Harwood, S.L.; Lázaro-Gorines, R.; Gómez-Rosel, M.; Hangiu, O.; Silva-Pilipich, N.; Vanrell, L.; et al. Characterization of a Trispecific PD-L1 Blocking Antibody That Exhibits EGFR-Conditional 4-1BB Agonist Activity. Antibodies 2024, 13, 34. [Google Scholar] [CrossRef]
- Boudko, S.P.; Sasaki, T.; Engel, J.; Lerch, T.F.; Nix, J.; Chapman, M.S.; Bächinger, H.P. Crystal structure of human collagen XVIII trimerization domain: A novel collagen trimerization Fold. J. Mol. Biol. 2009, 392, 787–802. [Google Scholar] [CrossRef]
- Muyldermans, S. Nanobodies: Natural single-domain antibodies. Annu. Rev. Biochem. 2013, 82, 775–797. [Google Scholar] [CrossRef]
- Alvarez-Cienfuegos, A.; Nuñez-Prado, N.; Compte, M.; Cuesta, A.M.; Blanco-Toribio, A.; Harwood, S.L.; Villate, M.; Merino, N.; Bonet, J.; Navarro, R.; et al. Intramolecular trimerization, a novel strategy for making multispecific antibodies with controlled orientation of the antigen binding domains. Sci. Rep. 2016, 6, 28643. [Google Scholar] [CrossRef]
- Carreras-Sangrà, N.; Tomé-Amat, J.; García-Ortega, L.; Batt, C.A.; Oñaderra, M.; Martínez-del-Pozo, A.; Gavilanes, J.G.; Lacadena, J. Production and characterization of a colon cancer-specific immunotoxin based on the fungal ribotoxin α-sarcin. Protein Eng. Des. Sel. 2012, 25, 425–435. [Google Scholar] [CrossRef]
- Tomé-Amat, J.; Olombrada, M.; Ruiz-de-la-Herrán, J.; Pérez-Gómez, E.; Andradas, C.; Sánchez, C.; Martínez, L.; Martínez-Del-Pozo, Á.; Gavilanes, J.G.; Lacadena, J. Efficient in vivo antitumor effect of an immunotoxin based on ribotoxin α-sarcin in nude mice bearing human colorectal cancer xenografts. Springerplus 2015, 4, 168. [Google Scholar] [CrossRef]
- Ruiz-de-la-Herrán, J.; Tomé-Amat, J.; Lázaro-Gorines, R.; Gavilanes, J.G.; Lacadena, J. Inclusion of a Furin Cleavage Site Enhances Antitumor Efficacy against Colorectal Cancer Cells of Ribotoxin α-Sarcin- or RNase T1-Based Immunotoxins. Toxins 2019, 11, 593. [Google Scholar] [CrossRef]
- Rashad, Y.; Alt, E.U.; Izadpanah, R.; Qin, X.; Braun, S.E. Clinically approved immunotoxins targeting hematological cancers: “the best of both worlds”. Front. Pharmacol. 2025, 16, 1569502. [Google Scholar] [CrossRef] [PubMed]
- Liu, X.; Tan, Q.; Wen, J.; Wang, X.; Yang, G.; Li, Y.; Lu, M.; Ye, W.; Si, A.; Ma, S.; et al. Improving the cytotoxicity of immunotoxins by reducing the affinity of the antibody in acidic pH. J. Transl. Med. 2023, 21, 572. [Google Scholar] [CrossRef] [PubMed]
- Wang, X.; Ding, Y.; Li, S.; Wang, F.; Yang, L.; Zhang, H.; Hong, Z. Conditionally activated immunotoxins with prolonged half-life can enhance the anti-tumor activity. Int. J. Pharm. 2025, 669, 125003. [Google Scholar] [CrossRef] [PubMed]
- Goulet, D.R.; Atkins, W.M. Considerations for the Design of Antibody-Based Therapeutics. J. Pharm. Sci. 2020, 109, 74–103. [Google Scholar] [CrossRef]
- Tomé-Amat, J.; Herrero-Galán, E.; Oñaderra, M.; Martínez-Del-Pozo, Á.; Gavilanes, J.G.; Lacadena, J. Preparation of an engineered safer immunotoxin against colon carcinoma based on the ribotoxin hirsutellin A. FEBS J. 2015, 282, 2131–2141. [Google Scholar] [CrossRef]
- Cuesta, A.M.; Sainz-Pastor, N.; Bonet, J.; Oliva, B.; Alvarez-Vallina, L. Multivalent antibodies: When design surpasses evolution. Trends Biotechnol. 2010, 28, 355–362. [Google Scholar] [CrossRef]
- Rios, X.; Compte, M.; Gómez-Vallejo, V.; Cossío, U.; Baz, Z.; Morcillo, M.; Ramos-Cabrer, P.; Alvarez-Vallina, L.; Llop, J. Immuno-PET Imaging and Pharmacokinetics of an Anti-CEA scFv-based Trimerbody and Its Monomeric Counterpart in Human Gastric Carcinoma-Bearing Mice. Mol. Pharm. 2019, 16, 1025–1035. [Google Scholar] [CrossRef] [PubMed]
- Mikkelsen, K.; Harwood, S.L.; Compte, M.; Merino, N.; Mølgaard, K.; Lykkemark, S.; Alvarez-Mendez, A.; Blanco, F.J.; Álvarez-Vallina, L. Carcinoembryonic Antigen (CEA)-Specific 4-1BB-Costimulation Induced by CEA-Targeted 4-1BB-Agonistic Trimerbodies. Front. Immunol. 2019, 10, 1791. [Google Scholar] [CrossRef]
- Navarro, R.; Frago, S.; Hangiu, O.; Erce-Llamazares, A.; Lázaro-Gorines, R.; Morcillo, M.A.; Rodriguez-Peralto, J.L.; Sanz, L.; Compte, M.; Alvarez-Vallina, L. Pharmacokinetics and safety of LEAD-452, an EGFR-specific 4-1BB-agonistic trimerbody in non-human primates. Toxicol. Appl. Pharmacol. 2024, 487, 116961. [Google Scholar] [CrossRef] [PubMed]
- Kao, R.; Martínez-Ruiz, A.; Martínez del Pozo, A.; Crameri, R.; Davies, J. Mitogillin and related fungal ribotoxins. Methods Enzymol. 2001, 341, 324–335. [Google Scholar] [CrossRef] [PubMed]
- Olombrada, M.; Medina, P.; Budia, F.; Gavilanes, J.G.; Martínez-Del-Pozo, Á.; García-Ortega, L. Characterization of a new toxin from the entomopathogenic fungus Metarhizium anisopliae: The ribotoxin anisoplin. Biol. Chem. 2017, 398, 135–142. [Google Scholar] [CrossRef]
- Olmo, N.; Turnay, J.; González de Buitrago, G.; López de Silanes, I.; Gavilanes, J.G.; Lizarbe, M.A. Cytotoxic mechanism of the ribotoxin alpha-sarcin. Induction of cell death via apoptosis. Eur. J. Biochem. 2001, 268, 2113–2123. [Google Scholar] [CrossRef]






| IC50 (nM) | IC50 Decrease (Nº Folds) Trimeric vs Monomeric IMTX | p Value | |
|---|---|---|---|
| IMTXTriA33αS | 0.75 (30.0) | 40 | <0.001 |
| IMTXTriCEAαS * | 6.0 (60.0) | 10 | <0.001 |
| VHHTriEGFRαS ** | 10 (300.0) | 30 | <0.001 |
| Group | Tumor Volume (mm3) Day 13 | p Value | Tumor Volumen Decrease (Nº folds) | Comparison | p Value |
|---|---|---|---|---|---|
| PBS | 2970 | - | |||
| TRIA33-25 | 839.1 ± 246.4 | <0.001 | 3.5 | ||
| TRIA33-50 | 442 ± 61.81 | <0.001 | 6.7 | A33-50 ** vs TRIA33-50 | <0.01 |
| TRIA33-100 | 256.6 ± 60.1 | <0.001 | 11.6 | A33-100 ** vs TRIA33-100 | <0.01 |
| PBS * | 1960.4 ± 403.8 | - | |||
| TRICEA-25 * | 414.9 ± 75.3 | <0.001 | 4.7 | ||
| TRICEA-50 * | 300.6 ± 52.5 | <0.001 | 6.5 |
Disclaimer/Publisher’s Note: The statements, opinions and data contained in all publications are solely those of the individual author(s) and contributor(s) and not of MDPI and/or the editor(s). MDPI and/or the editor(s) disclaim responsibility for any injury to people or property resulting from any ideas, methods, instructions or products referred to in the content. |
© 2026 by the authors. Licensee MDPI, Basel, Switzerland. This article is an open access article distributed under the terms and conditions of the Creative Commons Attribution (CC BY) license.
Share and Cite
Ruiz-de-la-Herrán, J.; Narbona, J.; Gordo, R.G.; Sanz, L.; Lacadena, J. GPA33-Targeted Trimeric Immunotoxin Exhibits Enhanced Antitumor Activity in Human Colorectal Cancer Xenografts. Int. J. Mol. Sci. 2026, 27, 764. https://doi.org/10.3390/ijms27020764
Ruiz-de-la-Herrán J, Narbona J, Gordo RG, Sanz L, Lacadena J. GPA33-Targeted Trimeric Immunotoxin Exhibits Enhanced Antitumor Activity in Human Colorectal Cancer Xenografts. International Journal of Molecular Sciences. 2026; 27(2):764. https://doi.org/10.3390/ijms27020764
Chicago/Turabian StyleRuiz-de-la-Herrán, Javier, Javier Narbona, Rubén G. Gordo, Laura Sanz, and Javier Lacadena. 2026. "GPA33-Targeted Trimeric Immunotoxin Exhibits Enhanced Antitumor Activity in Human Colorectal Cancer Xenografts" International Journal of Molecular Sciences 27, no. 2: 764. https://doi.org/10.3390/ijms27020764
APA StyleRuiz-de-la-Herrán, J., Narbona, J., Gordo, R. G., Sanz, L., & Lacadena, J. (2026). GPA33-Targeted Trimeric Immunotoxin Exhibits Enhanced Antitumor Activity in Human Colorectal Cancer Xenografts. International Journal of Molecular Sciences, 27(2), 764. https://doi.org/10.3390/ijms27020764

