Somatic DNA Variants in Epilepsy Surgery Brain Samples from Patients with Lesional Epilepsy
Abstract
1. Introduction
2. Results
2.1. Technical Summary
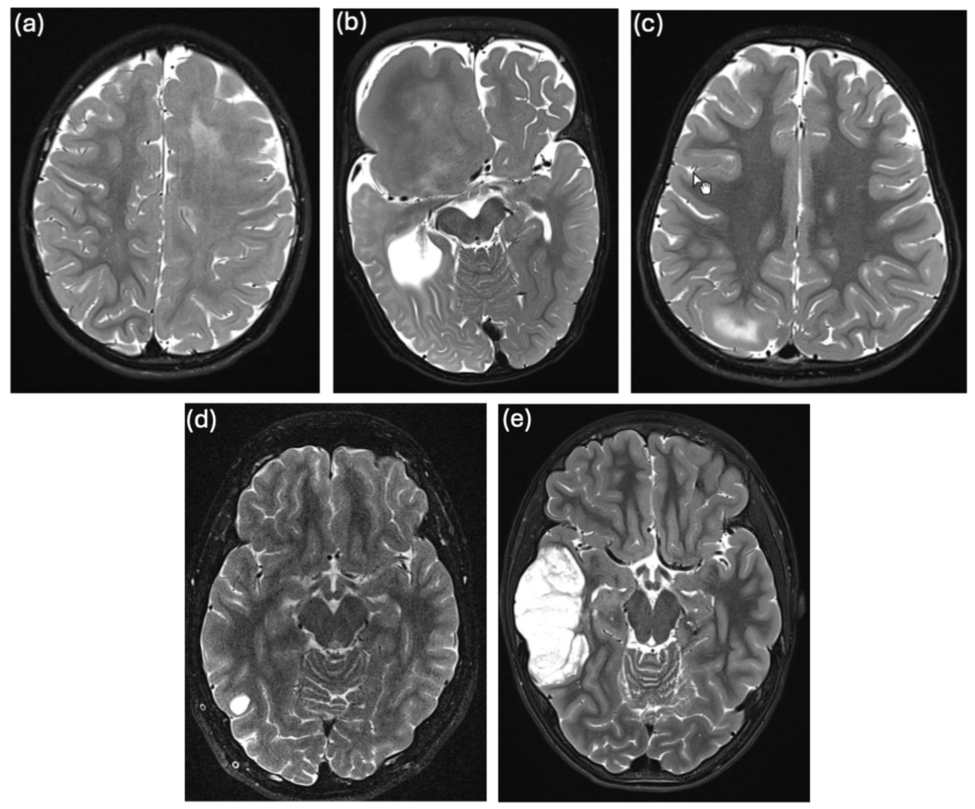
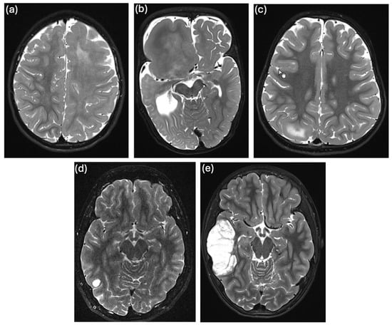
2.2. Description of the Patient Cohort
2.3. Targeted Variant Search by Etiology, Based on Histopathologic/Radiologic Findings
2.3.1. MTOR
2.3.2. PIK3CA
2.3.3. TSC2
2.3.4. FGFR1 & PIK3R1
2.3.5. FGFR1 & NF1
2.4. Search for Variants in Drug Absorption, Distribution, Metabolism, and Excretion (ADME) Genes
2.5. Search for Variants in Novel Genes Guided by the Patient Phenotype
3. Discussion
4. Materials and Methods
4.1. Patient Cohort
4.2. Sample Processing and DNA Extraction
4.3. Whole Exome Sequencing
4.3.1. Bioinformatic Processing of WES Data and Variant Calling
4.3.2. Variant Confirmation
4.3.3. Bioinformatic Processing of TAS Data
5. Conclusions
Supplementary Materials
Author Contributions
Funding
Institutional Review Board Statement
Informed Consent Statement
Data Availability Statement
Acknowledgments
Conflicts of Interest
References
- Mesraoua, B.; Brigo, F.; Lattanzi, S.; Abou-Khalil, B.; Al Hail, H.; Asadi-Pooya, A.A. Drug-Resistant Epilepsy: Definition, Pathophysiology, and Management. J. Neurol. Sci. 2023, 452, 120766. [Google Scholar] [CrossRef] [PubMed]
- Kwan, P.; Arzimanoglou, A.; Berg, A.T.; Brodie, M.J.; Allen Hauser, W.; Mathern, G.; Moshé, S.L.; Perucca, E.; Wiebe, S.; French, J. Definition of Drug Resistant Epilepsy: Consensus Proposal by the Ad Hoc Task Force of the ILAE Commission on Therapeutic Strategies. Epilepsia 2010, 51, 1069–1077. [Google Scholar] [CrossRef]
- Jehi, L.; Yehia, L.; Peterson, C.; Niazi, F.; Busch, R.; Prayson, R.; Ying, Z.; Bingaman, W.; Najm, I.; Eng, C. Preliminary Report: Late Seizure Recurrence Years after Epilepsy Surgery May Be Associated with Alterations in Brain Tissue Transcriptome. Epilepsia Open 2018, 3, 299–304. [Google Scholar] [CrossRef] [PubMed]
- Wong, G.M.; McCray, A.; Hom, K.; Teti, S.; Cohen, N.T.; Gaillard, W.D.; Oluigbo, C.O. Outcomes of Stereoelectroencephalography Following Failed Epilepsy Surgery in Children. Childs Nerv. Syst. 2024, 40, 2471–2482. [Google Scholar] [CrossRef] [PubMed]
- Yardi, R.; Morita-Sherman, M.E.; Fitzgerald, Z.; Punia, V.; Bena, J.; Morrison, S.; Najm, I.; Bingaman, W.; Jehi, L. Long-Term Outcomes of Reoperations in Epilepsy Surgery. Epilepsia 2020, 61, 465–478. [Google Scholar] [CrossRef] [PubMed]
- Tang, F.; Hartz, A.M.S.; Bauer, B. Drug-Resistant Epilepsy: Multiple Hypotheses, Few Answers. Front. Neurol. 2017, 8, 301. [Google Scholar] [CrossRef] [PubMed]
- Blumcke, I.; Spreafico, R.; Haaker, G.; Coras, R.; Kobow, K.; Bien, C.G.; Pfäfflin, M.; Elger, C.; Widman, G.; Schramm, J.; et al. Histopathological Findings in Brain Tissue Obtained during Epilepsy Surgery. N. Engl. J. Med. 2017, 377, 1648–1656. [Google Scholar] [CrossRef] [PubMed]
- Luyken, C.; Blümcke, I.; Fimmers, R.; Urbach, H.; Elger, C.E.; Wiestler, O.D.; Schramm, J. The Spectrum of Long-Term Epilepsy-Associated Tumors: Long-Term Seizure and Tumor Outcome and Neurosurgical Aspects. Epilepsia 2003, 44, 822–830. [Google Scholar] [CrossRef]
- Rosemberg, S. Long-Term Epilepsy Associated-Tumors (LEATs): What Is New? Arq. Neuropsiquiatr. 2023, 81, 1146–1151. [Google Scholar] [CrossRef]
- Najm, I.; Lal, D.; Alonso Vanegas, M.; Cendes, F.; Lopes-Cendes, I.; Palmini, A.; Paglioli, E.; Sarnat, H.B.; Walsh, C.A.; Wiebe, S.; et al. The ILAE Consensus Classification of Focal Cortical Dysplasia: An Update Proposed by an Ad Hoc Task Force of the ILAE Diagnostic Methods Commission. Epilepsia 2022, 63, 1899–1919. [Google Scholar] [CrossRef] [PubMed]
- Blümcke, I.; Thom, M.; Aronica, E.; Armstrong, D.D.; Vinters, H.V.; Palmini, A.; Jacques, T.S.; Avanzini, G.; Barkovich, A.J.; Battaglia, G.; et al. The Clinicopathologic Spectrum of Focal Cortical Dysplasias: A Consensus Classification Proposed by an Ad Hoc Task Force of the ILAE Diagnostic Methods Commission. Epilepsia 2011, 52, 158–174. [Google Scholar] [CrossRef] [PubMed]
- Engel, J.; McDermott, M.P.; Wiebe, S.; Langfitt, J.T.; Stern, J.M.; Dewar, S.; Sperling, M.R.; Gardiner, I.; Erba, G.; Fried, I.; et al. Early Surgical Therapy for Drug-Resistant Temporal Lobe Epilepsy: A Randomized Trial. JAMA 2012, 307, 922–930. [Google Scholar] [CrossRef] [PubMed]
- Wiebe, S.; Blume, W.T.; Girvin, J.P.; Eliasziw, M. A Randomized, Controlled Trial of Surgery for Temporal-Lobe Epilepsy. N. Engl. J. Med. 2001, 345, 311–318. [Google Scholar] [CrossRef]
- Dwivedi, R.; Ramanujam, B.; Chandra, P.S.; Sapra, S.; Gulati, S.; Kalaivani, M.; Garg, A.; Bal, C.S.; Tripathi, M.; Dwivedi, S.N.; et al. Surgery for Drug-Resistant Epilepsy in Children. N. Engl. J. Med. 2017, 377, 1639–1647. [Google Scholar] [CrossRef] [PubMed]
- Makridis, K.L.; Atalay, D.A.; Thomale, U.-W.; Tietze, A.; Elger, C.E.; Kaindl, A.M. Epilepsy Surgery in the First Six Months of Life: A Systematic Review and Meta-Analysis. Seizure 2022, 96, 109–117. [Google Scholar] [CrossRef] [PubMed]
- Steinlein, O.K. Genetics and Epilepsy. Dialogues Clin. Neurosci. 2008, 10, 29–38. [Google Scholar] [CrossRef]
- Steinlein, O.K.; Mulley, J.C.; Propping, P.; Wallace, R.H.; Phillips, H.A.; Sutherland, G.R.; Scheffer, I.E.; Berkovic, S.F. A Missense Mutation in the Neuronal Nicotinic Acetylcholine Receptor Alpha 4 Subunit Is Associated with Autosomal Dominant Nocturnal Frontal Lobe Epilepsy. Nat. Genet. 1995, 11, 201–203. [Google Scholar] [CrossRef] [PubMed]
- Biervert, C.; Schroeder, B.C.; Kubisch, C.; Berkovic, S.F.; Propping, P.; Jentsch, T.J.; Steinlein, O.K. A Potassium Channel Mutation in Neonatal Human Epilepsy. Science 1998, 279, 403–406. [Google Scholar] [CrossRef]
- Mulley, J.C.; Scheffer, I.E.; Petrou, S.; Berkovic, S.F. Channelopathies as a Genetic Cause of Epilepsy. Curr. Opin. Neurol. 2003, 16, 171–176. [Google Scholar] [CrossRef] [PubMed]
- Martin, A.R.; Williams, E.; Foulger, R.E.; Leigh, S.; Daugherty, L.C.; Niblock, O.; Leong, I.U.S.; Smith, K.R.; Gerasimenko, O.; Haraldsdottir, E.; et al. PanelApp Crowdsources Expert Knowledge to Establish Consensus Diagnostic Gene Panels. Nat. Genet. 2019, 51, 1560–1565. [Google Scholar] [CrossRef]
- Lai, D.; Gade, M.; Yang, E.; Koh, H.Y.; Lu, J.; Walley, N.M.; Buckley, A.F.; Sands, T.T.; Akman, C.I.; Mikati, M.A.; et al. Somatic Variants in Diverse Genes Leads to a Spectrum of Focal Cortical Malformations. Brain 2022, 145, 2704–2720. [Google Scholar] [CrossRef] [PubMed]
- Bedrosian, T.A.; Miller, K.E.; Grischow, O.E.; Schieffer, K.M.; LaHaye, S.; Yoon, H.; Miller, A.R.; Navarro, J.; Westfall, J.; Leraas, K.; et al. Detection of Brain Somatic Variation in Epilepsy-Associated Developmental Lesions. Epilepsia 2022, 63, 1981–1997. [Google Scholar] [CrossRef] [PubMed]
- Carton, R.J.; Doyle, M.G.; Kearney, H.; Steward, C.A.; Lench, N.J.; Rogers, A.; Heinzen, E.L.; McDonald, S.; Fay, J.; Lacey, A.; et al. Somatic Variants as a Cause of Drug-Resistant Epilepsy Including Mesial Temporal Lobe Epilepsy with Hippocampal Sclerosis. Epilepsia 2024, 65, 1451–1461. [Google Scholar] [CrossRef]
- Rivera, B.; Gayden, T.; Carrot-Zhang, J.; Nadaf, J.; Boshari, T.; Faury, D.; Zeinieh, M.; Blanc, R.; Burk, D.L.; Fahiminiya, S.; et al. Germline and Somatic FGFR1 Abnormalities in Dysembryoplastic Neuroepithelial Tumors. Acta Neuropathol. 2016, 131, 847–863. [Google Scholar] [CrossRef] [PubMed]
- Stone, T.J.; Keeley, A.; Virasami, A.; Harkness, W.; Tisdall, M.; Izquierdo Delgado, E.; Gutteridge, A.; Brooks, T.; Kristiansen, M.; Chalker, J.; et al. Comprehensive Molecular Characterisation of Epilepsy-Associated Glioneuronal Tumours. Acta Neuropathol. 2018, 135, 115–129. [Google Scholar] [CrossRef] [PubMed]
- Krochmalnek, E.; Accogli, A.; St-Onge, J.; Addour-Boudrahem, N.; Prakash, G.; Kim, S.-H.; Brunette-Clement, T.; Alhajaj, G.; Mougharbel, L.; Bruneau, E.; et al. mTOR Pathway Somatic Pathogenic Variants in Focal Malformations of Cortical Development. Neurol. Genet. 2023, 9, e200103. [Google Scholar] [CrossRef] [PubMed]
- Chung, C.; Yang, X.; Bae, T.; Vong, K.I.; Mittal, S.; Donkels, C.; Westley Phillips, H.; Li, Z.; Marsh, A.P.L.; Breuss, M.W.; et al. Comprehensive Multi-Omic Profiling of Somatic Mutations in Malformations of Cortical Development. Nat. Genet. 2023, 55, 209–220. [Google Scholar] [CrossRef]
- Lim, J.S.; Kim, W.; Kang, H.-C.; Kim, S.H.; Park, A.H.; Park, E.K.; Cho, Y.-W.; Kim, S.; Kim, H.M.; Kim, J.A.; et al. Brain Somatic Mutations in MTOR Cause Focal Cortical Dysplasia Type II Leading to Intractable Epilepsy. Nat. Med. 2015, 21, 395–400. [Google Scholar] [CrossRef] [PubMed]
- Xie, M.; Wang, X.; Duan, Z.; Luan, G. Low-Grade Epilepsy-Associated Neuroepithelial Tumors: Tumor Spectrum and Diagnosis Based on Genetic Alterations. Front. Neurosci. 2023, 16, 1071314. [Google Scholar] [CrossRef]
- Becker, L.-L.; Makridis, K.L.; Abad-Perez, A.T.; Thomale, U.-W.; Tietze, A.; Elger, C.E.; Horn, D.; Kaindl, A.M. The Importance of Routine Genetic Testing in Pediatric Epilepsy Surgery. Epilepsia Open 2024, 9, 800–807. [Google Scholar] [CrossRef]
- Richards, S.; Aziz, N.; Bale, S.; Bick, D.; Das, S.; Gastier-Foster, J.; Grody, W.W.; Hegde, M.; Lyon, E.; Spector, E.; et al. Standards and Guidelines for the Interpretation of Sequence Variants: A Joint Consensus Recommendation of the American College of Medical Genetics and Genomics and the Association for Molecular Pathology. Genet. Med. Off. J. Am. Coll. Med. Genet. 2015, 17, 405. [Google Scholar] [CrossRef] [PubMed]
- Lai, A.; Soucy, A.; El Achkar, C.M.; Barkovich, A.J.; Cao, Y.; DiStefano, M.; Evenson, M.; Guerrini, R.; Knight, D.; Lee, Y.-S.; et al. The ClinGen Brain Malformation Variant Curation Expert Panel: Rules for Somatic Variants in AKT3, MTOR, PIK3CA, and PIK3R2. Genet. Med. 2022, 24, 2240–2248. [Google Scholar] [CrossRef] [PubMed]
- Pirozzi, F.; Berkseth, M.; Shear, R.; Gonzalez, L.; Timms, A.E.; Sulc, J.; Pao, E.; Oyama, N.; Forzano, F.; Conti, V.; et al. Profiling PI3K-AKT-MTOR Variants in Focal Brain Malformations Reveals New Insights for Diagnostic Care. Brain 2022, 145, 925. [Google Scholar] [CrossRef] [PubMed]
- Garcia, C.A.B.; Carvalho, S.C.S.; Yang, X.; Ball, L.L.; George, R.D.; James, K.N.; Stanley, V.; Breuss, M.W.; Thomé, U.; Santos, M.V.; et al. mTOR Pathway Somatic Variants and the Molecular Pathogenesis of Hemimegalencephaly. Epilepsia Open 2020, 5, 97–106. [Google Scholar] [CrossRef] [PubMed]
- MONDO:0008287; Disease ID for Polysyndactyly with Peculiar Skull Shape; Greig Cephalosyndactyly Syndrome; Greig Cephalopolysyndactyly Syndrome; Gcps; Polysyndactyly with Peculiars Skull shape; Greig Syndrome Greig Cephalopolysyndactyly Syndrome. Available online: http://purl.obolibrary.org/obo/MONDO_0008287 (accessed on 16 January 2025).
- Kurek, K.C.; Luks, V.L.; Ayturk, U.M.; Alomari, A.I.; Fishman, S.J.; Spencer, S.A.; Mulliken, J.B.; Bowen, M.E.; Yamamoto, G.L.; Kozakewich, H.P.W.; et al. Somatic Mosaic Activating Mutations in PIK3CA Cause CLOVES Syndrome. Am. J. Hum. Genet. 2012, 90, 1108–1115. [Google Scholar] [CrossRef] [PubMed]
- D’Gama, A.M.; Geng, Y.; Couto, J.A.; Martin, B.; Boyle, E.A.; LaCoursiere, C.M.; Hossain, A.; Hatem, N.E.; Barry, B.; Kwiatkowski, D.J.; et al. mTOR Pathway Mutations Cause Hemimegalencephaly and Focal Cortical Dysplasia. Ann. Neurol. 2015, 77, 720–725. [Google Scholar] [CrossRef] [PubMed]
- Moya-Mendez, M.E.; Mueller, D.M.; Pratt, M.; Bonner, M.; Elliott, C.; Hunanyan, A.; Kucera, G.; Bock, C.; Prange, L.; Jasien, J.; et al. Early Onset Severe ATP1A2 Epileptic Encephalopathy: Clinical Characteristics and Underlying Mutations. Epilepsy Behav. 2021, 116, 107732. [Google Scholar] [CrossRef]
- Costa, C.; Prontera, P.; Sarchielli, P.; Tonelli, A.; Bassi, M.T.; Cupini, L.M.; Caproni, S.; Siliquini, S.; Donti, E.; Calabresi, P. A Novel ATP1A2 Gene Mutation in Familial Hemiplegic Migraine and Epilepsy. Cephalalgia 2014, 34, 68–72. [Google Scholar] [CrossRef]
- Córdoba, N.M.; Lince-Rivera, I.; Gómez, J.L.R.; Rubboli, G.; De la Rosa, S.O. ATP1A2-Related Epileptic Encephalopathy and Movement Disorder: Clinical Features of Three Novel Patients. Epileptic Disord. 2024, 26, 332–340. [Google Scholar] [CrossRef]
- Vetro, A.; Nielsen, H.N.; Holm, R.; Hevner, R.F.; Parrini, E.; Powis, Z.; Møller, R.S.; Bellan, C.; Simonati, A.; Lesca, G.; et al. ATP1A2- and ATP1A3-Associated Early Profound Epileptic Encephalopathy and Polymicrogyria. Brain 2021, 144, 1435–1450. [Google Scholar] [CrossRef]
- Qin, W.; Chan, J.A.; Vinters, H.V.; Mathern, G.W.; Franz, D.N.; Taillon, B.E.; Bouffard, P.; Kwiatkowski, D.J. Analysis of TSC Cortical Tubers by Deep Sequencing of TSC1, TSC2 and KRAS Demonstrates That Small Second-Hit Mutations in These Genes Are Rare Events. Brain Pathol. 2010, 20, 1096–1105. [Google Scholar] [CrossRef] [PubMed]
- Jones, A.C.; Shyamsundar, M.M.; Thomas, M.W.; Maynard, J.; Idziaszczyk, S.; Tomkins, S.; Sampson, J.R.; Cheadle, J.P. Comprehensive Mutation Analysis of TSC1 and TSC2-and Phenotypic Correlations in 150 Families with Tuberous Sclerosis. Am. J. Hum. Genet. 1999, 64, 1305–1315. [Google Scholar] [CrossRef] [PubMed]
- Strizheva, G.D.; Carsillo, T.; Kruger, W.D.; Sullivan, E.J.; Ryu, J.H.; Henske, E.P. The Spectrum of Mutations in TSC1 and TSC2 in Women with Tuberous Sclerosis and Lymphangiomyomatosis. Am. J. Respir. Crit. Care Med. 2001, 163, 253–258. [Google Scholar] [CrossRef] [PubMed]
- Lim, J.S.; Gopalappa, R.; Kim, S.H.; Ramakrishna, S.; Lee, M.; Kim, W.; Kim, J.; Park, S.M.; Lee, J.; Oh, J.-H.; et al. Somatic Mutations in TSC1 and TSC2 Cause Focal Cortical Dysplasia. Am. J. Hum. Genet. 2017, 100, 454–472. [Google Scholar] [CrossRef] [PubMed]
- Jha, R.; Kurup, A.; Kovilapu, U.B.; Ranjan, R.; Sondhi, V. Somatic Mutations Involving TSC 1 and TSC2 Genes in Two Children with Focal Cortical Dysplasia. Brain Dev. 2022, 44, 166–172. [Google Scholar] [CrossRef]
- Hart, K.C.; Robertson, S.C.; Kanemitsu, M.Y.; Meyer, A.N.; Tynan, J.A.; Donoghue, D.J. Transformation and Stat Activation by Derivatives of FGFR1, FGFR3, and FGFR4. Oncogene 2000, 19, 3309–3320. [Google Scholar] [CrossRef] [PubMed]
- Lucas, C.-H.G.; Gupta, R.; Doo, P.; Lee, J.C.; Cadwell, C.R.; Ramani, B.; Hofmann, J.W.; Sloan, E.A.; Kleinschmidt-DeMasters, B.K.; Lee, H.S.; et al. Comprehensive Analysis of Diverse Low-Grade Neuroepithelial Tumors with FGFR1 Alterations Reveals a Distinct Molecular Signature of Rosette-Forming Glioneuronal Tumor. Acta Neuropathol. Commun. 2020, 8, 151. [Google Scholar] [CrossRef]
- Wolking, S.; Moreau, C.; McCormack, M.; Krause, R.; Krenn, M.; Berkovic, S.; Cavalleri, G.L.; Delanty, N.; Depondt, C.; Johnson, M.R.; et al. Assessing the Role of Rare Genetic Variants in Drug-resistant, Non-lesional Focal Epilepsy. Ann. Clin. Transl. Neurol. 2021, 8, 1376–1387. [Google Scholar] [CrossRef] [PubMed]
- Wolking, S.; Schulz, H.; Nies, A.T.; McCormack, M.; Schaeffeler, E.; Auce, P.; Avbersek, A.; Becker, F.; Klein, K.M.; Krenn, M.; et al. Pharmacoresponse in Genetic Generalized Epilepsy: A Genome-Wide Association Study. Pharmacogenomics 2020, 21, 325–335. [Google Scholar] [CrossRef]
- Hombach, D.; Schuelke, M.; Knierim, E.; Ehmke, N.; Schwarz, J.M.; Fischer-Zirnsak, B.; Seelow, D. MutationDistiller: User-Driven Identification of Pathogenic DNA Variants. Nucleic Acids Res. 2019, 47, W114–W120. [Google Scholar] [CrossRef] [PubMed]
- Gerasimenko, A.; Baldassari, S.; Baulac, S. mTOR Pathway: Insights into an Established Pathway for Brain Mosaicism in Epilepsy. Neurobiol. Dis. 2023, 182, 106144. [Google Scholar] [CrossRef] [PubMed]
- Sanders, M.W.C.B.; Koeleman, B.P.C.; Brilstra, E.H.; Jansen, F.E.; Baldassari, S.; Chipaux, M.; Sim, N.S.; Ko, A.; Kang, H.-C.; Blümcke, I.; et al. Somatic Variant Analysis of Resected Brain Tissue in Epilepsy Surgery Patients. Epilepsia 2024, 65, e209–e215. [Google Scholar] [CrossRef] [PubMed]
- Blümcke, I.; Aronica, E.; Miyata, H.; Sarnat, H.B.; Thom, M.; Roessler, K.; Rydenhag, B.; Jehi, L.; Krsek, P.; Wiebe, S.; et al. International Recommendation for a Comprehensive Neuropathologic Workup of Epilepsy Surgery Brain Tissue: A Consensus Task Force Report from the ILAE Commission on Diagnostic Methods. Epilepsia 2016, 57, 348–358. [Google Scholar] [CrossRef] [PubMed]
- Nguyen, L.H.; Xu, Y.; Nair, M.; Bordey, A. The mTOR Pathway Genes MTOR, Rheb, Depdc5, Pten, and Tsc1 Have Convergent and Divergent Impacts on Cortical Neuron Development and Function. eLife 2024, 12, RP91010. [Google Scholar] [CrossRef] [PubMed]
- Liu, J.; Lin, F.; Sun, Y.; Liu, X. Clinicopathological Analysis of Rosette-Forming Glioneuronal Tumors. Diagn. Pathol. 2024, 19, 39. [Google Scholar] [CrossRef] [PubMed]
- Yang, Y.; Yang, L. Somatic Structural Variation Signatures in Pediatric Brain Tumors. Cell Rep. 2023, 42, 113276. [Google Scholar] [CrossRef] [PubMed]
- Lefever, S.; Rihani, A.; Van der Meulen, J.; Pattyn, F.; Van Maerken, T.; Van Dorpe, J.; Hellemans, J.; Vandesompele, J. Cost-Effective and Robust Genotyping Using Double-Mismatch Allele-Specific Quantitative PCR. Sci. Rep. 2019, 9, 2150. [Google Scholar] [CrossRef]
- Peng, X.; Dorman, K.S. Accurate Estimation of Molecular Counts from Amplicon Sequence Data with Unique Molecular Identifiers. Bioinformatics 2023, 39, btad002. [Google Scholar] [CrossRef] [PubMed]
- Baldassari, S.; Ribierre, T.; Marsan, E.; Adle-Biassette, H.; Ferrand-Sorbets, S.; Bulteau, C.; Dorison, N.; Fohlen, M.; Polivka, M.; Weckhuysen, S.; et al. Dissecting the Genetic Basis of Focal Cortical Dysplasia: A Large Cohort Study. Acta Neuropathol. 2019, 138, 885–900. [Google Scholar] [CrossRef]
- Li, H.; Durbin, R. Fast and Accurate Long-Read Alignment with Burrows-Wheeler Transform. Bioinformatics 2010, 26, 589–595. [Google Scholar] [CrossRef]
- Poplin, R.; Ruano-Rubio, V.; DePristo, M.A.; Fennell, T.J.; Carneiro, M.O.; der Auwera, G.A.V.; Kling, D.E.; Gauthier, L.D.; Levy-Moonshine, A.; Roazen, D.; et al. Scaling Accurate Genetic Variant Discovery to Tens of Thousands of Samples. bioRxiv 2018. [Google Scholar] [CrossRef]
- Benjamin, D.; Sato, T.; Cibulskis, K.; Getz, G.; Stewart, C.; Lichtenstein, L. Calling Somatic SNVs and Indels with Mutect2. bioRxiv 2019. [Google Scholar] [CrossRef]
- Boßelmann, C.M.; Leu, C.; Lal, D. Technological and Computational Approaches to Detect Somatic Mosaicism in Epilepsy. Neurobiol. Dis. 2023, 184, 106208. [Google Scholar] [CrossRef] [PubMed]
- Steinhaus, R.; Proft, S.; Schuelke, M.; Cooper, D.N.; Schwarz, J.M.; Seelow, D. MutationTaster2021. Nucleic Acids Res. 2021, 49, W446–W451. [Google Scholar] [CrossRef]
- Genomes Project Consortium. The Genomes Project Consortium, A Global Reference for Human Genetic Variation. Nature 2015, 526, 68–74. [Google Scholar] [CrossRef] [PubMed]
- Lek, M.; Karczewski, K.J.; Minikel, E.V.; Samocha, K.E.; Banks, E.; Fennell, T.; O’Donnell-Luria, A.H.; Ware, J.S.; Hill, A.J.; Cummings, B.B.; et al. Analysis of Protein-Coding Genetic Variation in 60,706 Humans. Nature 2016, 536, 285–291. [Google Scholar] [CrossRef] [PubMed]
- Karczewski, K.J.; Francioli, L.C.; Tiao, G.; Cummings, B.B.; Alföldi, J.; Wang, Q.; Collins, R.L.; Laricchia, K.M.; Ganna, A.; Birnbaum, D.P.; et al. The Mutational Constraint Spectrum Quantified from Variation in 141,456 Humans. Nature 2020, 581, 434–443. [Google Scholar] [CrossRef]
- Suvakov, M.; Panda, A.; Diesh, C.; Holmes, I.; Abyzov, A. CNVpytor: A Tool for Copy Number Variation Detection and Analysis from Read Depth and Allele Imbalance in Whole-Genome Sequencing. GigaScience 2021, 10, giab074. [Google Scholar] [CrossRef]
- Sanger, F.; Nicklen, S.; Coulson, A.R. DNA Sequencing with Chain-Terminating Inhibitors. Proc. Natl. Acad. Sci. USA 1977, 74, 5463–5467. [Google Scholar] [CrossRef] [PubMed]
- Livak, K.J.; Schmittgen, T.D. Analysis of Relative Gene Expression Data Using Real-Time Quantitative PCR and the 2(-Delta Delta C(T)) Method. Methods 2001, 25, 402–408. [Google Scholar] [CrossRef]


| Brain Sample/Individual | Group | Age at Surgery [Years] | Radiologic/Histologic Diagnosis | Pathogenic Germline Variant in Blood (Gene/Region) | Pathogenic Somatic Variant in Brain (Gene) * | Coverage Brain WES | Number of Somatic Variants in Brain WES After Mutect2 Filtering |
|---|---|---|---|---|---|---|---|
| 1 | A | 8.8 | cMRI: RE; histology: consistent with RE | no | no | 100× | 53 |
| 2 | A | 14.5 | cMRI: RE; histology: reactive gliosis, consistent with RE | no | no | 100× | 253 |
| 3 | B | 2.5 | cMRI: HMEG; histology: reactive gliosis | no | MTOR | 100× | 127 |
| 4 | B | 1.9 | cMRI: focal megalencephaly; histology: reactive changes | Gli3 (NM_000168.6), c.4430_4439del (het), p.S1477fs | PIK3CA | 100× | 145 |
| 5 | B | 3.5 | cMRI: FCD; histology: FCDIIb | ATP1A2 (NM000702.4), c.2827C>T (het), p.Q943* | TSC2 | 100× | 217 |
| 6 | B | 1.9 | cMRI: FCD; histology: FCDIIb | nd | no | 100× | 250 |
| 7 | B | 10.5 | cMRI: PMG, hemiatrophy; no histology | Del2p15 | no | 100× | 181 |
| 8 | B | 0.5 | cMRI: TSC; histology: TSC | TSC2 (NM_000548.5), c.4606C>T (het), p.Q1536* and Del17q12 | no | 100× | 149 |
| 9 | B | 16.9 | cMRI: FCD; histology: FCDIIa | no | no | 100× | 118 |
| 10 | B | 5.3 | cMRI: TSC; histology: TSC | TSC1 (NM_000368.5), c.2257dup (het), p.S753Kfs*8 | no | 500× | 9058 |
| 11 | B | 0.3 | cMRI: FCD; histology: FCDIIb | no | no | 500× | 11,241 |
| 12 | B | 4.5 | cMRI: complex MCD, PMG; histology: connective tissue 1 | no | no | 500× | 10,700 |
| 13 | C | 8.5 | cMRI: FCD, HC atrophy; histology: focal cortical gliosis 2, HS type I 3 | no | no | 100× | 171 |
| 14 | D | 2.5 | cMRI: unilateral cavernous venous malformation; histology: cavernous dilatation of vessels, consistent with venous angioma | no | no | 500× | 6723 |
| 15 | E | 16.7 | cMRI: LGGNT; histology: DNET or RGNT | nd | FGFR1, PIK3R1 | 100× | 120 |
| 16 | E | 13.9 | cMRI: DNET; histology: DNET | nd | FGFR1 | 100× | 340 |
| 17 | E | 9.0 | cMRI: DNET, MVNT or other GNT; histology: LGGNT | nd | no | 100× | 158 |
| 18 | E | 9.2 | cMRI: glial tumor; histology: glial tumor | no | no | 500× | 21,988 |
| 19 | F | 14.7 | cMRI: partial MCA infarction; histology: acute hypoxic-ischemic infarction | no | no | 100× | 120 |
| 20 | F | 15.0 | cMRI: ICA occlusion; no histology | no | no | 100× | 176 |
| Brain Sample/Individual | Group | Gene/Variant | VAF Brain WES | VAF in Blood and in fb | Validation Method (VAF Brain if Applicable) |
|---|---|---|---|---|---|
| 3 | B | MTOR (NM_004958) c.6644C>T, p.S2215F, | 13% | blood 0% | TAS (7.5%) DMAS qPCR (1.6%) |
| 4 | B | PIK3CA (NM_006218) c.1624G>A, p.E542K, | 29% | blood 0% | Sanger |
| 5 | B | TSC2 (NM_000548) c.3442C>T, p.Q1148*, | 3% | blood 0% fb 6–7.5% | TAS (2.5%) DMAS qPCR (1.7%) |
| 15 | E | FGFR1 (NM_023110) c.1966A>G, p.K656E, PIK3R1 (NM_181523) c.1690A>G, p.N564D | 36% 33% | fb 0% fb 0% | Sanger Sanger |
| 16 | E | FGFR1 (NM_023110) c.1966A>G, p.K656E | 24% | fb 0% | Sanger |
Disclaimer/Publisher’s Note: The statements, opinions and data contained in all publications are solely those of the individual author(s) and contributor(s) and not of MDPI and/or the editor(s). MDPI and/or the editor(s) disclaim responsibility for any injury to people or property resulting from any ideas, methods, instructions or products referred to in the content. |
© 2025 by the authors. Licensee MDPI, Basel, Switzerland. This article is an open access article distributed under the terms and conditions of the Creative Commons Attribution (CC BY) license (https://creativecommons.org/licenses/by/4.0/).
Share and Cite
Schwarz, J.M.; Becker, L.-L.; Wahle, M.; Faßbender, J.; Thomale, U.-W.; Tietze, A.; Morales-Gonzalez, S.; Knierim, E.; Schuelke, M.; Kaindl, A.M. Somatic DNA Variants in Epilepsy Surgery Brain Samples from Patients with Lesional Epilepsy. Int. J. Mol. Sci. 2025, 26, 815. https://doi.org/10.3390/ijms26020815
Schwarz JM, Becker L-L, Wahle M, Faßbender J, Thomale U-W, Tietze A, Morales-Gonzalez S, Knierim E, Schuelke M, Kaindl AM. Somatic DNA Variants in Epilepsy Surgery Brain Samples from Patients with Lesional Epilepsy. International Journal of Molecular Sciences. 2025; 26(2):815. https://doi.org/10.3390/ijms26020815
Chicago/Turabian StyleSchwarz, Jana Marie, Lena-Luise Becker, Monika Wahle, Jessica Faßbender, Ulrich-Wilhelm Thomale, Anna Tietze, Susanne Morales-Gonzalez, Ellen Knierim, Markus Schuelke, and Angela M. Kaindl. 2025. "Somatic DNA Variants in Epilepsy Surgery Brain Samples from Patients with Lesional Epilepsy" International Journal of Molecular Sciences 26, no. 2: 815. https://doi.org/10.3390/ijms26020815
APA StyleSchwarz, J. M., Becker, L.-L., Wahle, M., Faßbender, J., Thomale, U.-W., Tietze, A., Morales-Gonzalez, S., Knierim, E., Schuelke, M., & Kaindl, A. M. (2025). Somatic DNA Variants in Epilepsy Surgery Brain Samples from Patients with Lesional Epilepsy. International Journal of Molecular Sciences, 26(2), 815. https://doi.org/10.3390/ijms26020815

