Protocol for Enrichment of Murine Cardiac Junctional Sarcoplasmic Reticulum Vesicles for Mass Spectrometry Analysis
Abstract
1. Introduction
1.1. The Pathophysiological Relevance of the Cardiac jSR Compartment
1.2. A Protocol for the Enrichment of Cardiac jSR Vesicles in Their Native State
1.3. Interspecies Differences in the Cardiac jSR Compartment
2. Results
2.1. Protocol for jSR Vesicles Preparation
Sample Homogenization and Isolation of the Microsomal Fraction
Collection of the Heart Tissue
Homogenization of the Heart Tissue
Sedimentation of Cellular Debris
Quantification of the Protein Content of the SR-Enriched Sample
2.2. Quality Evaluation of the Protocol
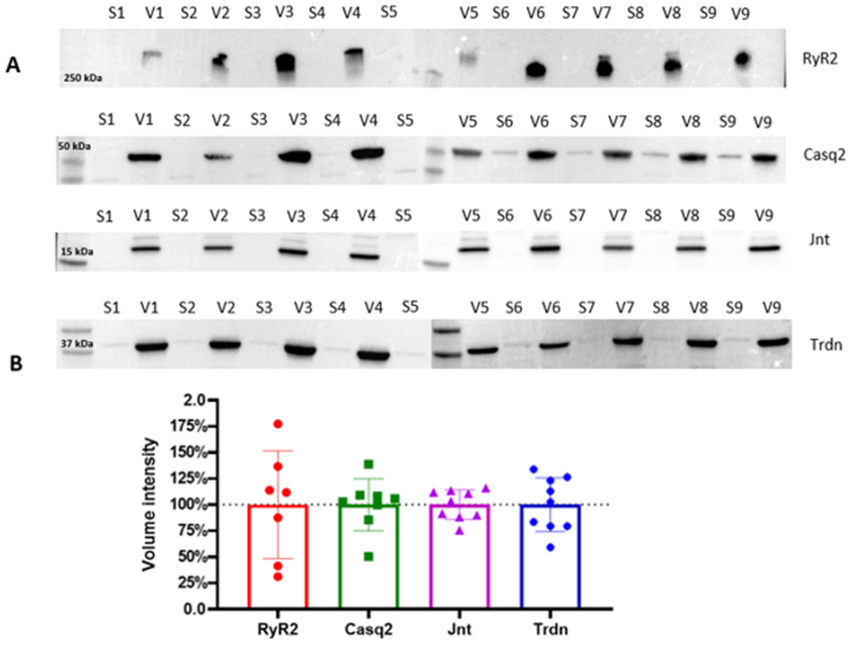
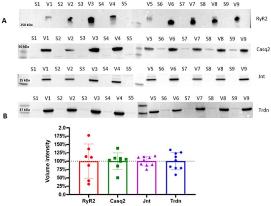
2.2.1. Reproducibility Evaluation of the Protocol
2.2.2. Mass Spectrometry Analysis (nLC-HRMS)
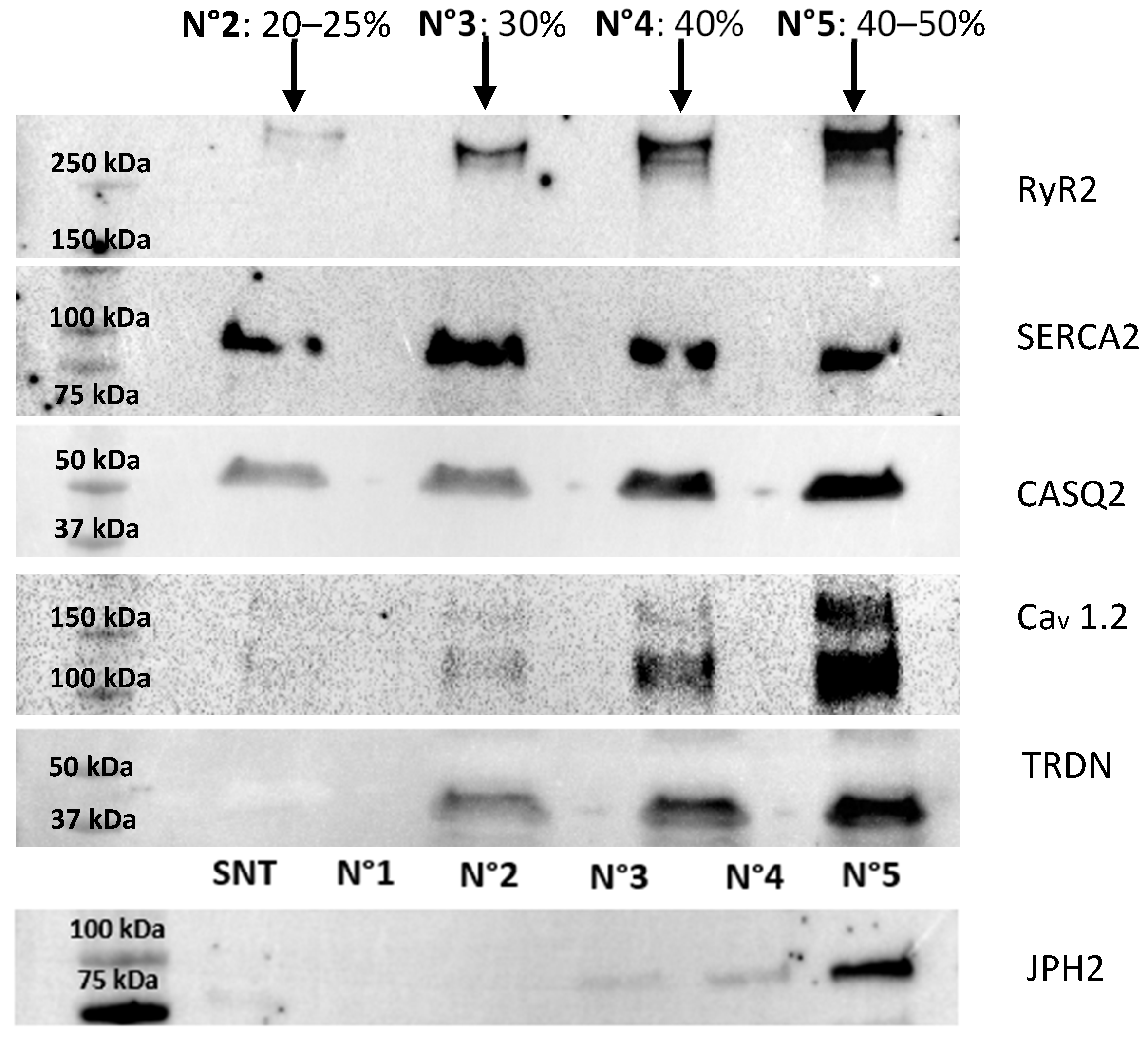
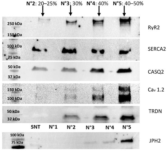
2.3. Fractionation of the SR Vesicles by Density Gradient
2.3.1. Cryo-EM Analysis
2.3.2. Relative Quantification of jSR Vesicles
3. Discussion
4. Materials and Methods
4.1. Materials
- Minilys® beads-beater (Bertin technologies, Montigny-le-Bretonneux, France)
- 2.8 mm zirconium oxide beads (Bertin technologies)
- 2 mL reinforced tubes (Bertin technologies)
- HERMLE Z 216 MK mini centrifuge
- 100 µm cell strainer
- OPTIMA MAX-XP Beckman Coulter; TLA-120.2 rotor
- Hamilton syringe 500 µL
- Pierce BCA Protein Assay Kit (Thermo scientific)
- OPTIMA XPN 90; SW 41 Ti rotor
- Ultra-clear centrifuge tubes (14 × 89 mm) (Beckman Coulter, Brea, CA, USA)
- Polycarbonate centrifuge tubes (11 × 34 mm) (Beckman Coulter)
- Primo multiwell plate 96 well, flat bottom (Euroclone, Milan, Italy)
- NanoQuant spectrophotometer (infinite F200 pro, Tecan, Männedorf, Switzerland)
- Laemmli sample buffer 4× (BIORAD, Hercules, CA, USA)
- Mini-PROTEAN TGX Stain-Free Gels (BIORAD)
- Trans-Blot Turbo Transfer Pack (Mini format 0.2 µm PVDF) (BIORAD)
- Trans-blot turbo (BIORAD)
- 10× TBS (BIORAD)
- Tween 20 (BIORAD)
- Precision Plus Protein Standards (Dual Color) (BIORAD)
- Homogenization Buffer:
- 0.5 mM EDTA
- 20 mM Na4O7P2
- 20 mM NaH2PO4
- 1 mM MgCl2
- 10% (w/v) sucrose
- EDTA-free protease inhibitors (Sigma Aldrich, Saint Louis, MO, USA)
- Sucrose-Phase buffers:
- 0.5 mM EDTA
- 20 mM Na4O7P2
- 20 mM NaH2PO4
- 1 mM MgCl2
- 20–25–30–40–50% (w/v) sucrose
- Resuspension Buffer:
- 0.5 mM EDTA
- 20 mM Na4O7P2
- 20 mM NaH2PO4
- 1 mM MgCl2
- 10% (w/v) sucrose
- 400 mM KCl
- EDTA-free protease inhibitors (Sigma Aldrich)
- Dilution Buffer:
- 0.5 mM EDTA
- 20 mM Na4O7P2
- 20 mM NaH2PO4
- 1 mM MgCl2
- 400 mM KCl
- EDTA-free protease inhibitors (Sigma Aldrich)
4.2. Methods
4.2.1. Animal Studies
4.2.2. Tissue Preparation
- Flash-freeze the tissue (mouse heart) by placing it in a reinforced tube already containing 6 zirconium oxide beads and then rapidly place it into liquid nitrogen.
- Extract the tube after at least 5 min and place it on ice.
- Homogenize for 4 cycles of 30 s (with 30 s of pause in between on ice) at 5000 rpm using a Minilys® beads-beater in 1.5 mL of Homogenization Buffer. Tubes shall be filled to their maximum volume to minimize the formation of air bubbles, which could compromise tissue integrity during homogenization.
4.2.3. Centrifugation
- Centrifuge homogenate (including the beads) in a pre-cooled mini-centrifuge at 4 °C at 9000× g (HERMLE Z 216 MK mini centrifuge) for 20 min.
- Pipette the supernatant through a 100 µm cell strainer positioned on top of a 50 mL Falcon, positioned on ice.
4.2.4. Ultracentrifugation
- Move the filtered supernatant to a 1.5 mL polycarbonate centrifuge tube and ultracentrifuge it at 4 °C for 1 h at 200,000× g (Beckman Coulter OPTIMA MAX-XP, TLA-120.2 rotor).
4.2.5. Pellet Resuspension
- Remove about 1 mL of supernatant with a 200 µL micropipette, without touching the pellet. Always keep the sample on ice.
- Resuspend the remaining pellet carefully in 200 µL of Resuspension Buffer using a 500 µL Hamilton syringe.
4.2.6. Protein Quantification
- To determine the protein concentration of each sample using Pierce BCA Protein Assay Kit (Thermo Scientific), mix 5 µL of sample with 5 µL of SDS 10% (w/v) in a dedicated 0.5 mL tube.
- Prepare a serial 1:1 dilution of albumin (BSA) standards, starting from a maximum concentration of 2 mg/mL.
- Prepare BCA working reagents (WR) according to manufacturer instructions: Use the following formula to determine the total volume of WR required for the assay: (# standards + # unknowns) × (# replicates) × (volume of WR per sample) = total volume WR required.
- Prepare WR by mixing 50 parts of BCA reagent A with 1 part of BCA reagent B (50:1, Reagent A:B).
- Put 190 µL of WR and 10 µL of BSA standards and sample into a 96 multiwell plate, flat-bottom.
- Cover the plate and incubate at 37 °C for 20 min.
- Set the spectrophotometer (NanoQuant) to 595 nm absorbance.
- Prepare a standard curve by plotting the 595 nm measurement for each BSA standard vs. its concentration in µg/mL. Use the standard curve to determine the protein concentration of each unknown sample.
4.2.7. Sucrose Density Gradient
- Starting from the 50% (w/v) sucrose buffer, layer with a P200 micropipette 1 mL of each Sucrose-Phase Buffer in decreasing sucrose percentage order (i.e., the order is 50%, 40%, 30%, 25%, and 20% (w/v) sucrose). Each sucrose-containing buffer has to be layered with care, avoiding mixing with other phases, in an ultra-clear centrifuge tube. The interfaces between the phases should be visible under a source of light.
- The sample (previously resuspended in 10% sucrose buffer, as specified for Resuspension Buffer) is layered on top of the sucrose gradient.
- Ultracentrifuge at 4 °C for 1 h at 100,000× g in a swinging-bucket rotor (OPTIMA XPN 90; SW 41 Ti rotor).
4.2.8. Fractionation
- Fractionate the sucrose density gradient by carefully removing successive layers from the top of the tube with a micropipette. The volume of each fraction is 1 mL for a total of N = 6 fractions. Position each fraction within a 1.5 mL polycarbonate centrifuge tube.
4.2.9. Sucrose Removal
- Ultracentrifuge all fractions at 4 °C for 1.5 h at 200,000× g using an OPTIMA MAX-XP ultracentrifuge (TLA-120.2 rotor) in a polycarbonate centrifuge tube. This step is critical because residual sucrose could interfere with downstream processes or analyses, such as Mass Spectrometry.
4.2.10. jSR Vesicles Resuspension
- Remove the supernatant of all fractions with a micropipette, without touching the pellet.
- Resuspend the resulting pellet in 200 µL of Dilution Buffer with a 500 µL Hamilton syringe on ice. Samples can be flash-frozen in liquid nitrogen and then stored at −80 °C, before further analysis.
- The total protein content from each fraction is measured using the Pierce BCA Protein Assay Kit (Thermo Scientific). The first and last fractions of the gradient (the lightest contains 10% of sucrose; the heaviest contains 50% of sucrose) should be devoid of proteins, and thus can be discarded after protein quantification.
4.2.11. SDS-PAGE and Western Blot
- Take 30 µg of the total protein sample. Mix with Laemmli Sample Buffer with 1 part of buffer and 3 parts of sample, then incubate at 90 °C for 5 min.
- Run the acrylamide precast gel until the dye front reaches the reference line.
- Place the PVDF Mini membrane and bottom stack on the cassette base for the transfer.
- Place gel on top of the membrane.
- Place the second wetted transfer stack on top of the gel.
- Close and lock the cassette lid and insert it into the instrument (Trans-blot Turbo, BIORAD, Hercules, CA, USA) and begin transfer with the following program: 25 limit (V); 1.3 const (A); 7 time (min).
- Carefully transfer the membrane to a suitable container to proceed with the following steps.
- Leave the membrane for 1 h with 5% milk in Tris-buffered saline with 1% of Tween 20 (TBS-T) (w/v).
- Wash the membrane at least 3 times, 5 min each, with a suitable amount of TBS-T buffer.
- Incubate the membrane with the desired primary antibody. We suggest, especially for the CRU primary antibody, overnight incubation for a good resolution.
- Wash the membrane with TBS-T for 2 h, changing the buffer at least 3 times.
- Incubate the membrane with the secondary antibody for 1 h.
- Wash the membrane with TBS-T for 1 h, changing the buffer at least 3 times.
4.2.12. MS Sample Processing and Digestion
- A total of 3 μL of 100 mM dithiothreitol (DTT) (final concentration: 5 mM), incubated at 55 °C for 30 min.
- A total of 6 μL of 150 mM iodoacetamide (IAA) (final concentration: 5 mM), incubated in the dark for 20 min.
- NB. Excessive IAA may affect the subsequent step of trypsin digestion, and hence any variation in the amount of IAA used may keep this effect into account.
- A total of 5 μL of 0.2 μg/μL trypsin, incubated at 37 °C overnight.
- A total of 1 μL of 100% trifluoroacetic acid (TFA).
- A total of 35 μL of the peptide mixture;
- ZipTip purification according to the manufacturer’s protocol;
- SpeedVac centrifugation at 30 °C;
- Elution in 20 μL of 0.1% formic acid.
4.2.13. MS Measurement
4.2.14. MS Data Processing and Evaluation
- Max. Equal Modifications Per Peptide: 3.
- Max. Dynamic Modifications Per Peptide: 4.
- Dynamic Modification: Oxidation/+15.995 Da (M).
- Static Modification: Carbamidomethyl/+57.021 Da (C).
- N-Terminal Modification: Acetyl/+42.011 Da (N-Terminus).
- N-Terminal Modification: Met-loss/−131.040 Da (M).
- N-Terminal Modification: Met-loss + Acetyl/−89.030 Da (M).
- Protein level: peptide ≥ 2.
- Peptide level: Xcorr ≥ 2.2; Rank = 1; Confidence = high.
- PSMs level: Xcorr ≥ 2.2.
4.2.15. Cryo-EM Imaging
Supplementary Materials
Author Contributions
Funding
Institutional Review Board Statement
Informed Consent Statement
Data Availability Statement
Acknowledgments
Conflicts of Interest
Abbreviations
| CASQ2 | Calsequestrin 2 |
| CICR | Calcium-Induced Calcium-Release |
| CPVT | Catecholaminergic Polymorphic Ventricular Tachycardia |
| CRU | Ca2+ Release Unit |
| ECC | Excitation–Contraction Coupling |
| HRC | Histidine-Rich Calcium-Binding Protein |
| JNT | Junctin |
| JPH2 | Junctophilin 2 |
| jSR | Junctional Sarcoplasmic Reticulum |
| lSR | Longitudinal Sarcoplasmic Reticulum |
| MS | Mass Spectrometry |
| RyR2 | Ryanodine Receptor type 2 |
| SDS | Sodium Dodecyl Sulfate |
| SERCA | Sarco(endo)plasmic Reticulum Ca2—ATPase |
| S | Supernatant |
| SR | Sarcoplasmic Reticulum |
| TBS | Tris-Buffered saline |
| TRDN | Triadin |
| VT | Ventricular Arrhythmia |
| WB | Western Blot |
| WT | Wild-Type |
References
- Flucher, B.E.; Takekura, H.; Franzini-Armstrong, C. Development of the excitation-contraction coupling apparatus in skeletal muscle: Association of sarcoplasmic reticulum and transverse tubules with myofibrils. Dev. Biol. 1993, 160, 135–147. [Google Scholar] [CrossRef] [PubMed]
- Franzini-Armstrong, C. Structure of sarcoplasmic reticulum. Fed. Proc. 1980, 39, 2403–2409. [Google Scholar] [PubMed]
- Fleischer, S.; Inui, M. Biochemistry and biophysics of excitation-contraction coupling. Annu. Rev. Biophys. Biophys. Chem. 1989, 18, 333–364. [Google Scholar] [CrossRef] [PubMed]
- Sorrentino, V. Sarcoplasmic reticulum: Structural determinants and protein dynamics. Int. J. Biochem. Cell Biol. 2011, 43, 1075–1078. [Google Scholar] [CrossRef] [PubMed]
- Rossini, M.; Filadi, R. Sarcoplasmic Reticulum-Mitochondria Kissing in Cardiomyocytes: Ca2+, ATP, and Undisclosed Secrets. Front. Cell Dev. Biol. 2020, 8, 532. [Google Scholar] [CrossRef] [PubMed]
- Guttipatti, P.; Saadallah, N.; Ji, R.; Avula, U.M.R.; Goulbourne, C.N.; Wan, E.Y. Quantitative 3D Electron Microscopy Characterization of Mitochondrial Structure, Mitophagy, and Organelle Interactions in Murine Atrial Fibrillation. J. Struct. Biol. 2024, 216, 108110. [Google Scholar] [CrossRef] [PubMed]
- Bers, D.M.; Shannon, T.R. Calcium movements inside the sarcoplasmic reticulum of cardiac myocytes. J. Mol. Cell Cardiol. 2013, 58, 59–66. [Google Scholar] [CrossRef] [PubMed] [PubMed Central]
- Eisner, D.A.; Caldwell, J.L.; Kistamás, K.; Trafford, A.W. Calcium and Excitation-Contraction Coupling in the Heart. Circ. Res. 2017, 121, 181–195. [Google Scholar] [CrossRef] [PubMed] [PubMed Central]
- Ríos, E.; Ma, J.J.; González, A. The mechanical hypothesis of excitation-contraction (EC) coupling in skeletal muscle. J. Muscle Res. Cell Motil. 1991, 12, 127–135. [Google Scholar] [CrossRef] [PubMed]
- Arvanitis, D.A.; Vafiadaki, E.; Sanoudou, D.; Kranias, E.G. Histidine-Rich Calcium Binding Protein: The New Regulator of Sarcoplasmic Reticulum Calcium Cycling. J. Mol. Cell Cardiol. 2011, 50, 43–49. [Google Scholar] [CrossRef]
- Franzini-Armstrong, C.; Protasi, F.; Tijskens, P. The assembly of calcium release units in cardiac muscle. Ann. N. Y. Acad. Sci. 2005, 1047, 76–85. [Google Scholar] [CrossRef] [PubMed]
- Rossi, A.E.; Dirksen, R.T. Sarcoplasmic reticulum: The dynamic calcium governor of muscle. Muscle Nerve 2006, 33, 715–731. [Google Scholar] [CrossRef] [PubMed]
- Rani, S.; Park, C.S.; Sreenivasaiah, P.K.; Kim, D.H. Characterization of Ca2+-Dependent Protein-Protein Interactions within the Ca2+ Release Units of Cardiac Sarcoplasmic Reticulum. Mol. Cells 2016, 39, 149–155. [Google Scholar] [CrossRef] [PubMed] [PubMed Central]
- Reid, D.S.; Tynan, M.; Braidwood, L.; Fitzgerald, G.R. Bidirectional tachycardia in a child. A study using His bundle electrography. Br. Heart J. 1975, 37, 339–344. [Google Scholar] [CrossRef] [PubMed]
- Coumel, P.F.J.; Lucet, V.; Attuel, P. Catecholamine-induced severe ventricular arrhythmias with Adams-Stokes syndrome in children: Report of four cases. Br. Heart J. 1978, 40, 28–37. [Google Scholar]
- Denegri, M.; Avelino-Cruz, J.E.; Boncompagni, S.; De Simone, S.A.; Auricchio, A.; Villani, L.; Volpe, P.; Protasi, F.; Napolitano, C.; Priori, S.G. Viral gene transfer rescues arrhythmogenic phenotype and ultrastructural abnormalities in adult calsequestrin-null mice with inherited arrhythmias. Circ. Res. 2012, 110, 663–668. [Google Scholar] [CrossRef] [PubMed]
- Cacheux, M.; Fauconnier, J.; Thireau, J.; Osseni, A.; Brocard, J.; Roux-Buisson, N.; Brocard, J.; Fauré, J.; Lacampagne, A.; Marty, I. Interplay between Triadin and Calsequestrin in the Pathogenesis of CPVT in the Mouse. Mol. Ther. 2020, 28, 171–179. [Google Scholar] [CrossRef] [PubMed] [PubMed Central]
- Priori, S.G.; Napolitano, C.; Tiso, N.; Memmi, M.; Vignati, G.; Bloise, R.; Sorrentino, V.; Danieli, G.A. Mutations in the cardiac ryanodine receptor gene (hRyR2) underlie catecholaminergic polymorphic ventricular tachycardia. Circulation 2001, 103, 196–200. [Google Scholar] [CrossRef] [PubMed]
- Henriquez, E.; Hernandez, E.A.; Mundla, S.R.; Wankhade, D.H.; Saad, M.; Ketha, S.S.; Penke, Y.; Martinez, G.C.; Ahmed, F.S.; Hussain, M.S. Catecholaminergic Polymorphic Ventricular Tachycardia and Gene Therapy: A Comprehensive Review of the Literature. Cureus 2023, 15, e47974. [Google Scholar] [CrossRef] [PubMed] [PubMed Central]
- Lahat, H.; Pras, E.; Olender, T.; Avidan, N.; Ben-Asher, E.; Man, O.; Levy-Nissenbaum, E.; Khoury, A.; Lorber, A.; Goldman, B.; et al. A missense mutation in a highly conserved region of CASQ2 is associated with autosomal recessive catecholamine-induced polymorphic ventricular tachycardia in Bedouin families from Israel. Am. J. Hum. Genet. 2001, 69, 1378–1384. [Google Scholar] [CrossRef] [PubMed] [PubMed Central]
- Marabelli, C.; Santiago, D.J.; Priori, S.G. The Structural-Functional Crosstalk of the Calsequestrin System: Insights and Pathological Implications. Biomolecules 2023, 13, 1693. [Google Scholar] [CrossRef] [PubMed] [PubMed Central]
- Priori, S.G.; Mazzanti, A.; Santiago, D.J.; Kukavica, D.; Trancuccio, A.; Kovacic, J.C. Precision Medicine in Catecholaminergic Polymorphic Ventricular Tachycardia: JACC Focus Seminar 5/5. J. Am. Coll. Cardiol. 2021, 77, 2592–2612. [Google Scholar] [CrossRef] [PubMed]
- Sanslone, W.R.; Bertrand, H.A.; Yu, B.P.; Masoro, E.J. Lipid Components of Sarcotubular Membranes. J. Cell. Physiol. 1972, 79, 97–101. [Google Scholar] [CrossRef]
- Carvajal, C.; Yan, J.; Nani, A.; DeSantiago, J.; Wan, X.; Deschenes, I.; Ai, X.; Fill, M. Isolated Cardiac Ryanodine Receptor Function Is Species Specific. J. Membr. Biol. 2024, 257, 25–36. [Google Scholar] [CrossRef]
- Zissimopoulos, S.; Seifan, S.; Maxwell, C.; Williams, A.J.; Lai, F.A. Disparities in the Association of the Ryanodine Receptor and the FK506-Binding Proteins in Mammalian Heart. J. Cell Sci. 2012, 125, 1759–1769. [Google Scholar] [CrossRef]
- Gross, R.W. Identification of Plasmalogen as the Major Phospholipid Constituent of Cardiac Sarcoplasmic Reticulum. Biochemistry 1985, 24, 1662–1668. [Google Scholar] [CrossRef] [PubMed]
- Maulik, N.; Bagchi, D.; Ihm, W.J.; Cordis, G.A.; Das, D.K. Fatty Acid Profiles of Plasmalogen Choline and Ethanolamine Glycerophospholipids in Pig and Rat Hearts. J. Pharm. Biomed. Anal. 1995, 14, 49–56. [Google Scholar] [CrossRef]
- Murphy, R.M.; Mollica, J.P.; Beard, N.A.; Knollmann, B.C.; Lamb, G.D. Quantification of Calsequestrin 2 (CSQ2) in Sheep Cardiac Muscle and Ca2+-Binding Protein Changes in CSQ2 Knockout Mice. Am. J. Physiol. Heart Circ. Physiol. 2011, 300, H595–H604. [Google Scholar] [CrossRef]
- Giroud, S.; Frare, C.; Strijkstra, A.; Boerema, A.; Arnold, W.; Ruf, T. Membrane Phospholipid Fatty Acid Composition Regulates Cardiac SERCA Activity in a Hibernator, the Syrian Hamster (Mesocricetus auratus). PLoS ONE 2013, 8, e63111. [Google Scholar] [CrossRef]
- Linscheid, N.; Santos, A.; Poulsen, P.C.; Mills, R.W.; Calloe, K.; Leurs, U.; Ye, J.Z.; Stolte, C.; Thomsen, M.B.; Bentzen, B.H.; et al. Quantitative Proteome Comparison of Human Hearts with Those of Model Organisms. PLoS Biol. 2021, 19, e3001144. [Google Scholar] [CrossRef]
- Chen, W.; Kudryashev, M. Structure of RyR1 in native membranes. EMBO Rep. 2020, 21, e49891. [Google Scholar] [CrossRef] [PubMed] [PubMed Central]
- Lai, F.A.; Erickson, H.P.; Rousseau, E.; Liu, Q.Y.; Meissner, G. Purification and reconstitution of the calcium release channel from skeletal muscle. Nature 1988, 331, 315–319. [Google Scholar] [CrossRef] [PubMed]
- Maurya, S.; Mills, R.W.; Kahnert, K.; Chiang, D.Y.; Bertoli, G.; Lundegaard, P.R.; Duran, M.P.-H.; Zhang, M.; Rothenberg, E.; George, A.L.; et al. Outlining Cardiac Ion Channel Protein Interactors and Their Signature in the Human Electrocardiogram. Nat. Cardiovasc. Res. 2023, 2, 673–692. [Google Scholar] [CrossRef] [PubMed]
- Bers, D. Excitation-Contraction Coupling and Cardiac Contractile Force, 2nd ed.; Springer-Science: Berlin/Heidelberg, Germany, 2001. [Google Scholar]
- Jones, L.R.; Besch, H.R., Jr.; Fleming, J.W.; McConnaughey, M.M.; Watanabe, A.M. Separation of vesicles of cardiac sarcolemma from vesicles of cardiac sarcoplasmic reticulum. Comparative biochemical analysis of component activities. J. Biol. Chem. 1979, 254, 530–539. [Google Scholar] [CrossRef] [PubMed]
- Raschke, S.; Guan, J.; Iliakis, G. Application of alkaline sucrose gradient centrifugation in the analysis of DNA replication after DNA damage. Methods Mol. Biol. 2009, 521, 329–342. [Google Scholar] [CrossRef] [PubMed]
- Mitchell, R.D.; Palade, P.; Fleischer, S. Purification of morphologically intact triad structures from skeletal muscle. J. Cell Biol. 1983, 96, 1008–1016. [Google Scholar] [CrossRef] [PubMed] [PubMed Central]
- Jones, L.R.; Cala, S.E. Biochemical evidence for functional heterogeneity of cardiac sarcoplasmic reticulum vesicles. J. Biol. Chem. 1981, 256, 11809–11818. [Google Scholar] [CrossRef] [PubMed]
- Rosemblatt, M.; Hidalgo, C.; Vergara, C.; Ikemoto, N. Immunological and biochemical properties of transverse tubule membranes isolated from rabbit skeletal muscle. J. Biol. Chem. 1981, 256, 8140–8148. [Google Scholar] [CrossRef] [PubMed]
- Ohlendieck, K.; Ervasti, J.M.; Snook, J.B.; Campbell, K.P. Dystrophin-glycoprotein complex is highly enriched in isolated skeletal muscle sarcolemma. J. Cell Biol. 1991, 112, 135–148. [Google Scholar] [CrossRef] [PubMed] [PubMed Central]








Disclaimer/Publisher’s Note: The statements, opinions and data contained in all publications are solely those of the individual author(s) and contributor(s) and not of MDPI and/or the editor(s). MDPI and/or the editor(s) disclaim responsibility for any injury to people or property resulting from any ideas, methods, instructions or products referred to in the content. |
© 2025 by the authors. Licensee MDPI, Basel, Switzerland. This article is an open access article distributed under the terms and conditions of the Creative Commons Attribution (CC BY) license (https://creativecommons.org/licenses/by/4.0/).
Share and Cite
Di Antonio, C.; Marabelli, C.; Bongianino, R.; Priori, S.G. Protocol for Enrichment of Murine Cardiac Junctional Sarcoplasmic Reticulum Vesicles for Mass Spectrometry Analysis. Int. J. Mol. Sci. 2025, 26, 8602. https://doi.org/10.3390/ijms26178602
Di Antonio C, Marabelli C, Bongianino R, Priori SG. Protocol for Enrichment of Murine Cardiac Junctional Sarcoplasmic Reticulum Vesicles for Mass Spectrometry Analysis. International Journal of Molecular Sciences. 2025; 26(17):8602. https://doi.org/10.3390/ijms26178602
Chicago/Turabian StyleDi Antonio, Chiara, Chiara Marabelli, Rossana Bongianino, and Silvia G. Priori. 2025. "Protocol for Enrichment of Murine Cardiac Junctional Sarcoplasmic Reticulum Vesicles for Mass Spectrometry Analysis" International Journal of Molecular Sciences 26, no. 17: 8602. https://doi.org/10.3390/ijms26178602
APA StyleDi Antonio, C., Marabelli, C., Bongianino, R., & Priori, S. G. (2025). Protocol for Enrichment of Murine Cardiac Junctional Sarcoplasmic Reticulum Vesicles for Mass Spectrometry Analysis. International Journal of Molecular Sciences, 26(17), 8602. https://doi.org/10.3390/ijms26178602

