Gene Monitoring in Obesity-Induced Metabolic Dysfunction in Rats: Preclinical Data on Breast Neoplasia Initiation
Abstract
1. Introduction
2. Results
2.1. Metabolic Analyses
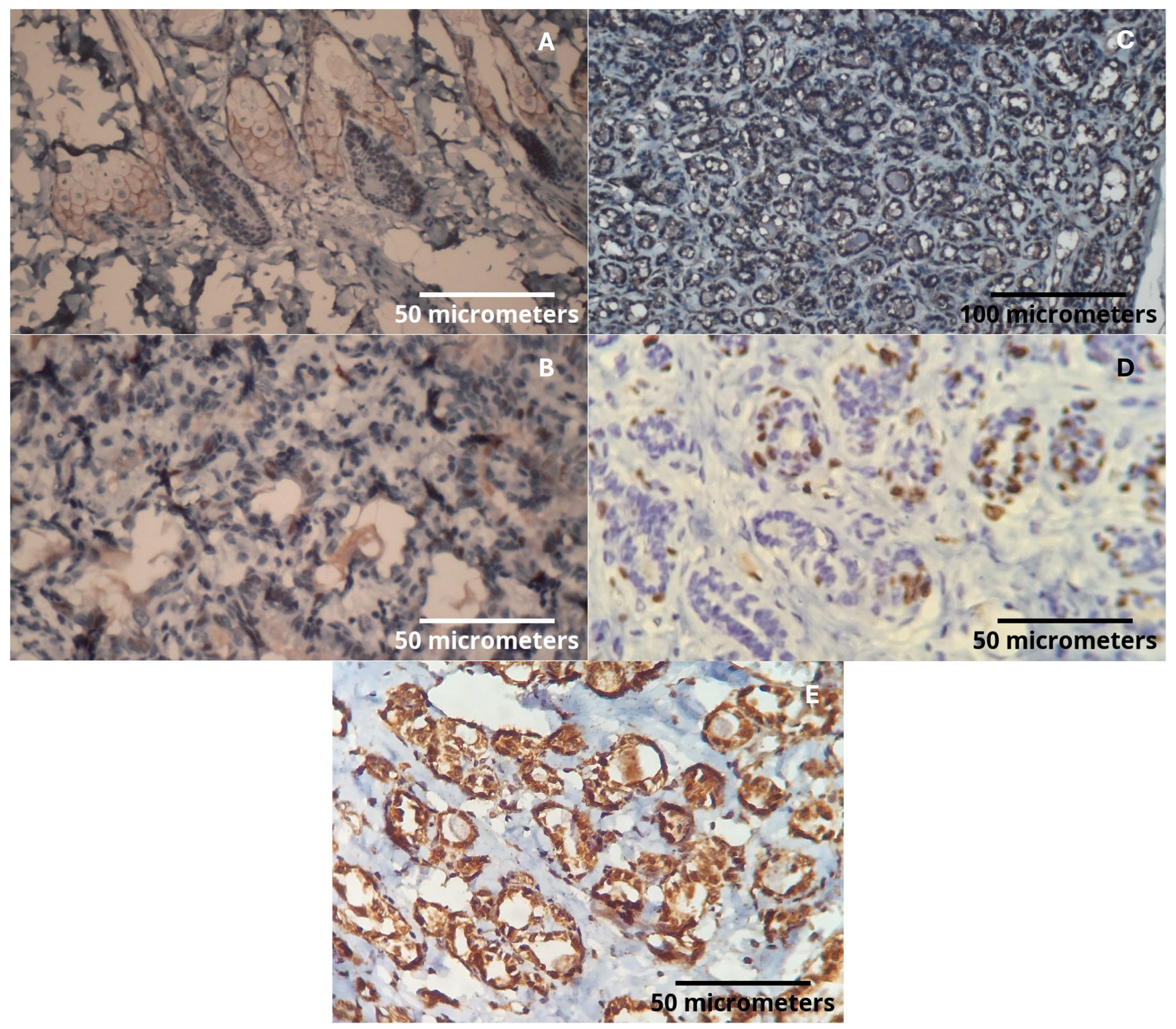
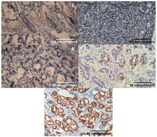
2.2. Histological (Macroscopic and Microscopic Analysis)
2.3. PCR Array Analysis
- (A)
- Comparison: Control group (n = 30 breasts) vs. Cafeteria Diet at 16 weeks (n = 30 breasts).
- Upregulated genes (fold change > 2): Muc1, Twist1.
- Downregulated genes (fold change < 0.5): Abcg2, Ccnd2.
- (B)
- Comparison: Cancer-free Control group (n = 21 breasts) vs. Cancer-free breasts from tumor-bearing Cafeteria Diet rats (n = 15 breasts) at 72 weeks.
- Upregulated genes: Abcg2, Bad, Bcl2, Birc5, Brca1, Cdh1, Cdkn1a, Csf1, Cst6, Egfr, Gata3, Gli1, Gstp1, Hic1, Igf1, Igfbp3, Il6, Krt18, Mmp2, Muc1, Myc, Notch1, Plau, Sfn, Tgfb1, Twist1, Vegfa, and Xbp1.
- Downregulated genes: Abcb1a, Ccnd1, Cdh13, Ctnnb1, Erbb2, and Id1.
- (C)
- Comparison: Cancer-free Control group (n = 21 breasts) vs. Cancerous breasts from Cafeteria Diet rats (n = 3 breasts) at 72 weeks.
- Upregulated genes: Brca2, Ccnd2, Cdh1, Egfr, Gata3, Krt5, Muc1, Notch1, Sfrp1, Twist1, and Vegfa.
- Downregulated genes: Abcb1a, Adam23, Atm, Bad, Ccnd1, Ccne1, Cdk2, Cdkn1c, Ctnnb1, Egf, Foxa1, Gli1, Igf1, Krt19, Mapk3, Mapk8, Mgmt1, Mlh1, Mmp9, Nr3c1, Pgr, Plau, Prdm2, Pten, Ptgs2, Rarb, Rb1, Slit2, Snai2, and Tp73.
2.4. qPCR Validation and Expression Dynamics
3. Discussion
4. Materials and Methods
4.1. Cases
- Diet 01: Standard chow for rodents 15 g, Salami 10 g, Bread 02 units, Cheese snack balls 18 units, Marshmallow 01 unit.
- Diet 02: Standard chow for rodents 15 g, Sausage 20 g, Chocolate Cake 22 g, Cornflour biscuits 03 units, Marshmallow 01 unit.
- Diet 03: Standard chow for rodents 15 g, Mortadella 10 g, Bacon chips 15 g, Chocolate wafers 03 units, Marshmallow 01 unit.
4.2. Murinometric Data
4.3. Collection of Biological Material
4.4. Macroscopic and Histological Analysis of the Breasts
- Number of cell layers in terminal bulbs;
- Morphology of ductal cells;
- Evaluation of the presence of Ductal Ectasia and Nuclear Atypia;
- Evaluation of the presence of a lesion/tumor and characteristics of the lesion.
4.5. Analysis of Peripheral Serum Levels
4.6. Immunohistochemical Analysis
4.7. Selection and Analysis of Marker Genes for Breast Cancer Development
4.8. Statistical Analysis
5. Conclusions
Supplementary Materials
Author Contributions
Funding
Institutional Review Board Statement
Informed Consent Statement
Data Availability Statement
Conflicts of Interest
References
- Albini, A.; Bruno, A.; Gallo, C.; Pajardi, G.; Noonan, D.M.; Dallaglio, K. Cancer stem cells and the tumor microenvironment: Interplay in tumor heterogeneity. Connect. Tissue Res. 2015, 56, 414–425. [Google Scholar] [CrossRef]
- Augsten, M. Cancer-associated fibroblasts as another polarized cell type of the tumor microenvironment. Front. Oncol. 2014, 4, 62. [Google Scholar] [CrossRef]
- Kidd, S.; Spaeth, E.; Watson, K.; Burks, J.; Lu, H.; Klopp, A.; Andreeff, M.; Marini, F.C. Origins of the tumor microenvironment: Quantitative assessment of adipose-derived and bone marrow-derived stroma. PLoS ONE 2012, 7, e30563. [Google Scholar] [CrossRef]
- Kolonin, M.G. Role of adipose cells in tumor microenvironment. In The Mechanobiology of Obesity and Related Diseases; Benayahu, D., Gefen, A., Eds.; Springer: Berlin/Heidelberg, Germany, 2014; pp. 271–294. [Google Scholar]
- Santander, A.M.; Lopez-Ocejo, O.; Casas, O.; Agostini, T.; Sanchez, L.; Lamas-Basulto, E.; Carrio, R.; Cleary, M.P.; Gonzalez-Perez, R.R.; Torroella-Kouri, M. Paracrine interactions between adipocytes and tumor cells recruit and modify macrophages to the mammary tumor microenvironment: The role of obesity and inflammation in breast adipose tissue. Cancers 2015, 7, 143–178. [Google Scholar] [CrossRef]
- Wiseman, B.S.; Werb, Z. Stromal effects on mammary gland development and breast cancer. Science 2002, 296, 1046–1049. [Google Scholar] [CrossRef]
- Wyckoff, J.; Wang, W.; Lin, E.Y.; Wang, Y.; Pixley, F.; Stanley, E.R.; Graf, T.; Pollard, J.W.; Segall, J.; CondeelisA, J. paracrine loop between tumor cells and macrophages is required for tumor cell migration in mammary tumors. Cancer Res. 2004, 64, 7022–7029. [Google Scholar] [CrossRef]
- Zhang, Y.; Daquinag, A.C.; Amaya-Manzanares, F.; Sirin, O.; Tseng, C.; Kolonin, M.G. Stromal progenitor cells from endogenous adipose tissue contribute to pericytes and adipocytes that populate the tumor microenvironment. Cancer Res. 2012, 72, 5198–5208. [Google Scholar] [CrossRef] [PubMed]
- Hanahan, D.; Coussens, L.M. Accessories to the crime: Functions of cells recruited to the tumor microenvironment. Cancer Cell 2012, 21, 309–322. [Google Scholar] [CrossRef]
- Mittal, S.; Brown, N.J.; Holen, I. The breast tumor microenvironment: Role in cancer development, progression and response to therapy. Expert Rev. Mol. Diagn. 2018, 18, 227–243. [Google Scholar] [CrossRef] [PubMed]
- Finak, G.; Bertos, N.; Pepin, F.; Sadekova, S.; Souleimanova, M.; Zhao, H.; Chen, H.; Omeroglu, G.; Meterissian, S.; Omeroglu, A.; et al. Stromal gene expression predicts clinical outcome in breast cancer. Nat. Med. 2008, 14, 518–527. [Google Scholar] [CrossRef] [PubMed]
- Farmer, P.; Bonnefoi, H.; Anderle, P.; Cameron, D.; Wirapati, P.; Becette, V.; André, S.; Piccart, M.; Campone, M.; Brain, E.; et al. A stroma-related gene signature predicts resistance to neoadjuvant chemotherapy in breast cancer. Nat. Med. 2009, 15, 68–74. [Google Scholar] [CrossRef]
- Camp, J.T.; Elloumi, F.; Roman-Perez, E.; Rein, J.; Stewart, D.A.; Harrell, J.C.; Perou, C.M.; Troester, M.A. Interactions with fibroblasts are distinct in basal-like and luminal breast cancers. Mol. Cancer Res. 2011, 9, 3–13. [Google Scholar] [CrossRef]
- Roskelley, C.D.; Bissell, M.J. The dominance of the microenvironment in breast and ovarian cancer. Semin. Cancer Biol. 2002, 12, 97–104. [Google Scholar] [CrossRef][Green Version]
- Shekhar, M.P.; Werdell, J.; Santner, S.J.; Pauley, R.J.; Tait, L. Breast stroma plays a dominant regulatory role in breast epithelial growth and differentiation: Implications for tumor development and progression. Cancer Res. 2001, 61, 1320–1326. [Google Scholar] [PubMed]
- Gould, M.N. Rodent models for the study of etiology, prevention and treatment of breast cancer. Semin. Cancer Biol. 1995, 6, 147–152. [Google Scholar] [CrossRef] [PubMed]
- Russo, I.H.; Russo, J. Mammary gland neoplasia in long-term rodent studies. Environ. Health Perspect. 1996, 104, 938–967. [Google Scholar] [CrossRef]
- Claro, F., Jr.; Morari, J.; Moreira, L.R.; Sarian, L.O.Z.; Pinto, G.A.; Velloso, L.A.; Pinto-Neto, A.M. Unmanipulated native fat exposed to high-energy diet, but not autologous grafted fat by itself, may lead to overexpression of Ki67 and PAI-1. Springerplus 2015, 4, 279. [Google Scholar] [CrossRef] [PubMed]
- Claro, F., Jr.; Moreira, L.R.; Morari, J.; Sarian, L.O.Z.; Pinto, G.A.; Velloso, L.A.; Pinto-Neto, M. Assessment of the cancer risk of the fat-grafted breast in a murine model. Aesthet. Surg. J. 2017, 37, 603–613. [Google Scholar] [CrossRef]
- Claro, F., Jr.; Morari, J.; Moreira, L.R.; Sarian, L.O.Z.; Velloso, L.A. Breast lipofilling does not pose evidence of chronic inflammation in rats. Aesthet. Surg. J. 2019, 39, NP202–NP212. [Google Scholar] [CrossRef]
- Chang, C.C.; Wu, M.J.; Yang, J.Y.; Camarillo, I.G.; Chang, C.J. Leptin-STAT3-G9a signaling promotes obesity-mediated breast cancer progression. Cancer Res. 2015, 75, 2375–2386. [Google Scholar] [CrossRef]
- Iyengar, P.; Espina, V.; Williams, T.W.; Lin, Y.; Berry, D.; Jelicks, L.A.; Lee, H.; Temple, K.; Graves, R.; Pollard, J. Adipocyte-derived collagen VI affects early mammary tumor progression in vivo. J. Clin. Investig. 2005, 115, 1163–1176. [Google Scholar] [CrossRef]
- DuPre, S.A.; Redelman, D.; Hunter, K.W., Jr. The mouse mammary carcinoma 4T1: Characterization of the cellular landscape. Int. J. Exp. Pathol. 2007, 88, 351–360. [Google Scholar] [CrossRef]
- Heffelfinger, S.C.; Gear, R.B.; Taylor, K.; Miller, M.A.; Schneider, J.; LaDow, K.; Warshawsky, D. DMBA-induced mammary pathologies are angiogenic in vivo and in vitro. Lab. Investig. 2000, 80, 485–492. [Google Scholar] [CrossRef]
- Nandi, S.; Guzman, R.C.; Yang, J. Hormones and mammary carcinogenesis in mice, rats, and humans: A unifying hypothesis. Proc. Natl. Acad. Sci. USA 1995, 92, 3650–3657. [Google Scholar] [CrossRef] [PubMed]
- Pulaski, B.A.; Ostrand-Rosenberg, S. Mouse 4T1 breast tumor model. Curr. Protoc. Immunol. 2000, 39, 20.2.1–20.2.16. [Google Scholar] [CrossRef] [PubMed]
- Manabe, Y.; Toda, S.; Miyazaki, K.; Sugihara, H. Mature adipocytes, but not preadipocytes, promote the growth of breast carcinoma cells in collagen gel matrix culture through cancer–stromal cell interactions. J. Pathol. 2003, 201, 221–228. [Google Scholar] [CrossRef] [PubMed]
- Magaki, M.; Ishii, H.; Yamasaki, A.; Kitai, Y.; Kametani, S.; Nakai, R.; Dabid, A.; Tsuda, H.; Ohnishi, T. A high-fat diet increases the incidence of mammary cancer in c-Ha-ras proto-oncogene transgenic rats. J. Toxicol. Pathol. 2017, 30, 145–152. [Google Scholar] [CrossRef] [PubMed]
- Russo, J.; Tait, L.; Russo, I.H. Susceptibility of the mammary gland to carcinogenesis. III. The cell of origin of rat mammary carcinoma. Am. J. Pathol. 1983, 113, 50–66. [Google Scholar]
- Russo, J.; Russo, I.H. Atlas and histologic classification of tumors of the rat mammary gland. J. Mammary Gland. Biol. Neoplasia 2000, 5, 187–200. [Google Scholar] [CrossRef]
- Wu, M.J.; Chang, C.J. High-fat diet-induced breast cancer model in rat. Bio-Protocol 2016, 6, e1852. [Google Scholar] [CrossRef]
- Chusyd, D.E.; Wang, D.; Huffman, D.M.; Nagy, T.R. Relationships between rodent white adipose fat pads and human white adipose fat depots. Front. Nutr. 2016, 3, 10. [Google Scholar] [CrossRef]
- Schweizer, R.; Tsuji, W.; Gorantla, V.S.; Marra, K.G.; Rubin, J.P.; Plock, J.A. The role of adipose-derived stem cells in breast cancer progression and metastasis. Stem. Cells Int. 2015, 2015, 120949. [Google Scholar] [CrossRef]
- Russo, J.; Gusterson, B.A.; Rogers, A.E.; Russo, I.H.; Wellings, S.R.; Van Zwieten, M.J. Comparative study of human and rat mammary tumorigenesis. In Pathology Reviews 1990; Springer: Berlin/Heidelberg, Germany, 1990; Volume 62, pp. 217–251. [Google Scholar]
- Behbod, F.; Kittrell, F.S.; LaMarca, H.; Edwards, D.; Kerbawy, S.; Heestand, J.C.; Young, E.; Mukhopadhyay, P.; Yeh, H.-W.; Allred, D.C. An intraductal human-in-mouse transplantation model mimics ductal carcinoma in situ. Breast Cancer Res. 2009, 11, R66. [Google Scholar] [CrossRef]
- Hollenberg, S.M.; Weinberger, C.; Ong, E.S.; Cerelli, G.; Oro, A.; Lebo, R.; Thompson, E.B.; Rosenfeld, M.G.; Evans, R.M. Primary structure and expression of a functional human glucocorticoid receptor cDNA. Nature 1985, 318, 635–641. [Google Scholar] [CrossRef]
- Cavigelli, S.A.; Yee, J.R.; McClintock, M.K. Infant temperament predicts life span in female rats that develop spontaneous tumors. Horm. Behav. 2006, 50, 454–462. [Google Scholar] [CrossRef]
- Shan, L.; Yu, M.; Schut, H.A.; Snyderwine, E.G. Susceptibility of rats to mammary gland carcinogenesis by the food-derived carcinogen PhIP varies with age and is associated with the induction of differential gene expression. Am. J. Pathol. 2004, 165, 191–202. [Google Scholar] [CrossRef] [PubMed]
- Cinti, S. The adipose organ at a glance. Dis. Model. Mech. 2012, 5, 588–594. [Google Scholar] [CrossRef]
- Fantuzzi, G.; Mazzone, T. Adipose Tissue and Adipokines in Health and Disease; Humana Press: Totowa, NJ, USA, 2007. [Google Scholar]
- Jia, X.-H.; Du, Y.; Mao, D.; Wang, Z.-L.; He, Z.-Q.; Qiu, J.-D.; Ma, X.-B.; Shang, W.-T.; Ding, D.; Tian, J. Zoledronic acid prevents the tumor-promoting effects of mesenchymal stem cells via MCP-1-dependent recruitment of macrophages. Oncotarget 2015, 6, 26018–26028. [Google Scholar] [CrossRef] [PubMed]
- Garcia, C.M.d.S.; Araújo MRd Lopes, M.T.P.; Ferreira, M.N.; Cassali, G.D. Morphological and immunophenotypical characterization of murine mammary carcinoma 4T1. Braz. J. Vet. Pathol. 2014, 7, 158–165. [Google Scholar]
- Hermes, G.L.; Delgado, B.; Tretiakova, M.; McClintock, M.K. Social isolation dysregulates endocrine and behavioral stress while increasing malignant burden of spontaneous mammary tumors. Proc. Natl. Acad. Sci. USA 2009, 106, 22393–22398. [Google Scholar] [CrossRef]
- Hermes, G.L.; Rosenthal, L.; Montag, A.; McClintock, M.K. Social isolation and the inflammatory response: Sex differences in the enduring effects of a prior stressor. Am. J. Physiol. Regul. Integr. Comp. Physiol. 2006, 290, R273–R282. [Google Scholar] [CrossRef]
- Theriau, C.F.; Connor, M.K. Voluntary physical activity counteracts the proliferative tumor growth microenvironment created by adipose tissue via high-fat diet feeding in female rats. Physiol. Rep. 2017, 5, e13359. [Google Scholar] [CrossRef]
- ThyagaRajan, S.; Tran, L.; Molinaro, C.A.; Gridley, D.S.; Felten, D.L.; Bellinger, D.L. Prevention of mammary tumor development through neuroimmunomodulation in the spleen and lymph nodes of old female Sprague-Dawley rats by L-Deprenyl. Neuroimmunomodulation 2013, 20, 141–151. [Google Scholar] [CrossRef] [PubMed]
- Kilkenny, C.; Browne, W.J.; Cuthill, I.C.; Emerson, M.; Altman, D.G. Improving bioscience research reporting: The ARRIVE guidelines for reporting animal research. PLoS Biol. 2010, 8, e1000412. [Google Scholar] [CrossRef] [PubMed]
- University of Washington. Tumor Growth Monitoring and Endpoint Criteria in Research Animals. Available online: https://sites.uw.edu/oawrss/iacuc/policies/tumor-growth-monitoring-and-endpoint-criteria-in-research-animals (accessed on 3 February 2017).
- Goularte, J.F.; Ferreira, M.B.; Sanvitto, G.L. Effects of food pattern change and physical exercise on cafeteria diet-induced obesity in female rats. Br. J. Nutr. 2012, 108, 1511–1518. [Google Scholar] [CrossRef] [PubMed]
- Conselho Nacional de Controle de Experimentação Animal (CONCEA). Anexo da Resolução Normativa nº 33, de 17 de maio de 2016. Available online: https://www.gov.br/mcti/pt-br/composicao/conselhos/concea/arquivos/arquivo/legislacao/anexo_res_normativa-33.pdf (accessed on 3 February 2017).
- Quinn, R. Comparing rat′s to human′s age: How old is my rat in people years? Nutrition 2005, 21, 775–777. [Google Scholar] [CrossRef]
- Andreollo, N.A.; Santos, E.F.; Araujo, M.R.; Lopes, L.R. Rat′s age versus human′s age: What is the relationship? Arq. Bras. Cir. Dig. 2012, 25, 49–51. [Google Scholar] [CrossRef]














| Rats | Age at Extraction (Weeks of Life) | Phase of Life | Weight | NAL (cm) | Lee Index | FBG | VIF (mL) | WPF (g) | Cause of Death |
|---|---|---|---|---|---|---|---|---|---|
| CB011 | 16 | Very Young | 258.20 | 20.70 | 0.00 | 81.00 | 2.00 | 3.09 | SE |
| CB012 | 16 | 256.87 | 20.70 | 0.00 | 75.00 | 3.00 | 6.06 | SE | |
| CB013 | 16 | 216.68 | 20.60 | 0.00 | 57.00 | 1.00 | 1.18 | SE | |
| CB021 | 16 | 257.72 | 20.50 | 0.00 | 58.00 | 2.00 | 2.81 | SE | |
| CB023 | 16 | 261.24 | 21.30 | 0.00 | 82.00 | 2.00 | 3.94 | SE | |
| CB031 | 25 | 237.70 | 22.00 | 0.00 | 68.00 | 1.50 | 3.32 | SE | |
| C0B32 | 25 | 278.43 | 21.00 | 0.00 | 67.00 | 1.50 | 3.18 | SE | |
| CB033 | 25 | 276.15 | 22.00 | 0.00 | 74.00 | 1.50 | 1.88 | SE | |
| CA021 | 26 | 260.07 | 21.00 | 0.00 | 70.25 | 1.00 | 1.45 | SE | |
| Mean | 255.90 | 21.09 | 0.00 | 70.25 | 1.72 | 2.99 | NA | ||
| CB051 | 52 | Reproductive Age | 343.50 | 21.60 | 0.00 | 66.00 | nr | nr | SE |
| CB043 | 72 | 447.00 | 21.50 | 0.00 | 92.00 | 11.50 | 24.50 | SE | |
| CB052 | 72 | 362.30 | 22.50 | 0.00 | 90.00 | 9.40 | 9.40 | SE | |
| CB053 | 72 | 397.40 | 21.00 | 0.00 | 92.00 | 5.50 | 12.50 | SE | |
| CA022 | 73 | 329.40 | 21.50 | 0.00 | 88.00 | 4.00 | 7.00 | SE | |
| CA032 | 73 | 369.90 | 21.50 | 0.00 | 85.00 | 2.50 | 5.30 | SE | |
| Mean | 374.92 | 21.60 | 0.00 | 85.50 | 6.58 | 11.74 | NA | ||
| CA031 | 89 | Reproductive Senescence | 332.60 | 22.50 | 0.00 | 96.00 | nr | nr | SE |
| CA053 | 89 | 353.70 | 21.50 | 0.00 | 76.00 | nr | nr | SE | |
| CA041 | 99 | 275.90 | nr | nr | nr | nr | nr | Death | |
| CA011 | 101 | 303.70 | nr | nr | nr | nr | nr | SE | |
| CA033 | 102 | 292.00 | 21.50 | 0.00 | 97.00 | 2.00 | 0.90 | SE | |
| CA052 | 102 | 368.70 | 20.50 | 0.00 | 89.00 | 9.00 | 2.60 | SE | |
| CB022 | 102 | 299.60 | 21.00 | 0.00 | 102.00 | 5.00 | 2.00 | SE | |
| CB041 | 102 | 343.60 | 20.00 | 0.00 | 77.00 | 10.00 | 1.70 | SE | |
| CB042 | 101 | 286.10 | 20.50 | 0.00 | 89.00 | 3.00 | 0.00 | SE | |
| CA012 | 103 | 293.70 | nr | nr | nr | nr | nr | SE | |
| CA013 | 103 | 333.60 | nr | nr | nr | nr | nr | SE | |
| CA023 | 104 | 329.70 | nr | nr | nr | nr | nr | SE | |
| CA042 | 104 | 337.40 | nr | nr | nr | nr | nr | SE | |
| CA043 | 104 | 308.50 | nr | nr | nr | nr | nr | SE | |
| CA051 | 104 | 321.40 | nr | nr | nr | nr | nr | SE | |
| Mean | 318.68 | 21.07 | 0.00 | 89.43 | 5.80 | 1.44 | NA |
| Rats | Age at Extraction (Weeks of Life) | Phase of Life | Weight | NAL (cm) | Lee Index | FBG | VIF (mL) | WPF (g) | Cause of Death |
|---|---|---|---|---|---|---|---|---|---|
| DB061 | 16 | Very Young | 353.52 | 22.40 | 0.00 | 68.00 | 8.00 | 11.19 | SE |
| DB062 | 16 | 378.95 | 22.30 | 0.00 | 81.00 | 12.50 | 17.60 | SE | |
| DB063 | 16 | 346.44 | 22.90 | 0.00 | 81.00 | 7.50 | 11.92 | SE | |
| DB071 | 16 | 302.35 | 21.10 | 0.00 | 81.00 | 5.00 | nr | SE | |
| DB073 | 16 | 282.02 | 21.70 | 0.00 | 77.00 | 4.50 | 6.57 | SE | |
| DB081 | 25 | 421.73 | 23.00 | 0.00 | 82.00 | 10.50 | 13.77 | SE | |
| DB082 | 25 | 432.59 | 21.50 | 0.00 | 87.00 | 10.50 | 18.02 | SE | |
| DB083 | 25 | 489.13 | 24.00 | 0.00 | 91.00 | 12.00 | 17.95 | SE | |
| DA071 | 26 | 363.58 | 22.00 | 0.00 | 71.00 | 5.50 | 15.71 | SE | |
| Mean | 374.48 | 22.32 | 0.00 | 79.89 | 8.44 | 14.09 | NA | ||
| DB103 | 52 | Reproductive Age | 526.10 | 22.30 | 0.00 | 73.00 | nr | nr | SE |
| DA091 | 53 | 368.30 | 21.50 | 0.00 | 77.00 | nr | nr | SE | |
| DB091 | 72 | 506.30 | 23.50 | 0.00 | 80.00 | 5.50 | 20.20 | SE | |
| DB101 | 72 | 577.30 | 23.00 | 0.00 | 88.00 | 17.00 | 33.00 | SE | |
| DA063 | 73 | 407.60 | 22.50 | 0.00 | 93.00 | 3.50 | 24.00 | SE | |
| DA072 | 73 | 508.10 | 23.50 | 0.00 | 98.00 | 14.00 | 45.70 | SE | |
| Mean | 482.28 | 22.72 | 0.00 | 84.83 | 10.00 | 30.73 | NA | ||
| DA082 | 83 | Reproductive Senescence | 299.30 | 21.00 | 0.00 | nr | nr | nr | ES |
| DA092 | 84 | 361.10 | 22.00 | 0.00 | nr | nr | nr | Death | |
| DA101 | 89 | 440.80 | 23.00 | 0.00 | nr | nr | nr | Death | |
| DA081 | 89 | 464.60 | 22.50 | 0.00 | 90.00 | nr | nr | SE | |
| DB102 | 92 | 288.80 | nr | nr | nr | nr | nr | Death | |
| DA062 | 94 | 258.40 | nr | nr | nr | nr | nr | Death | |
| DA093 | 94 | 491.70 | nr | nr | nr | nr | nr | Death | |
| DA102 | 94 | 315.90 | nr | nr | nr | nr | nr | Death | |
| DA061 | 95 | 322.40 | nr | nr | nr | nr | nr | Death | |
| DA073 | 96 | 456.90 | nr | nr | nr | nr | nr | Death | |
| DB072 | 99 | 341.30 | 22.50 | 0.00 | nr | nr | nr | ES | |
| DB092 | 101 | 472.50 | 22.40 | 0.00 | 84.00 | 14.00 | 56.90 | SE | |
| DB093 | 101 | 405.30 | 21.00 | 0.00 | 111.00 | 14.00 | 66.00 | SE | |
| DA103 | 102 | 319.50 | 21.50 | 0.00 | 93.00 | 7.00 | 3.80 | SE | |
| DA083 | 102 | 493.10 | 20.00 | 0.00 | 81.00 | 19.00 | 21.70 | SE | |
| Mean | 382.11 | 21.77 | 0.00 | 91.80 | 13.50 | 37.10 | NA | ||
| p (Control vs. Cafeteria Diet) | 0.011 * | 0.352 | 0.396 | 0.362 | 0.022 * | 0.046 * | <0.001 * |
| CI95% | ||||||||||
|---|---|---|---|---|---|---|---|---|---|---|
| N | Mean | SD | SE | Lower Limit | Upper Limit | Min. | Max. | Sig. | p | |
| Adiponectin, μg/mL | Control | 14 | 19.906 | 9.553 | 2.553 | 14.39 | 25.421 | 8.79 | 45.94 | 0.106 |
| Diet | 13 | 26.998 | 12.332 | 3.42 | 19.546 | 34.451 | 2.99 | 42.89 | ||
| IGF-1, ng/mL | Control | 14 | 140.521 | 137.249 | 36.681 | 61.276 | 219.766 | 34.64 | 518.71 | 0.838 |
| Diet | 14 | 149.388 | 83.643 | 22.355 | 101.094 | 197.682 | 37.91 | 316.01 | ||
| LIF (Leukemia inhibitory factor), pg/mL | Control | 5 | 106.494 | 148.817 | 66.553 | −78.287 | 291.275 | 9.85 | 370.43 | 0.504 |
| Diet | 5 | 58.442 | 37.697 | 16.858 | 11.636 | 105.248 | 15.25 | 105.82 | ||
| Leptin *, ng/mL | Control | 14 | 2.135 | 3.165 | 0.846 | 0.308 | 3.962 | 0.13 | 12.69 | <0.001 * |
| Diet | 13 | 8.487 | 4.292 | 1.191 | 5.893 | 11.081 | 3.18 | 15.73 | ||
| Peptide C, ng/mL | Control | 13 | 49.419 | 78.426 | 21.751 | 2.026 | 96.811 | 0.775 | 288.001 | 0.8 |
| Diet | 13 | 43.245 | 37.654 | 10.443 | 20.491 | 65.999 | 1.55 | 124.455 | ||
| Insulin, ng/ml | Control | 3 | 305.477 | 423.488 | 244.501 | −746.526 | 1357.48 | 54.44 | 794.42 | 0.19 |
| Diet | 6 | 70.005 | 46.288 | 18.897 | 21.428 | 118.582 | 2.31 | 124.32 | ||
| Estrone (E1), pg/mL | Control | 7 | 0.657 | 0.205 | 0.077 | 0.468 | 0.846 | 0.302 | 0.884 | 0.944 |
| Diet | 9 | 0.666 | 0.27 | 0.09 | 0.458 | 0.873 | 0.242 | 1.031 | ||
| CRP (C-Reactive Protein), μg/mL | Control | 4 | 386.97 | 402.703 | 201.351 | −253.82 | 1027.76 | 39.46 | 876.46 | 0.562 |
| Diet | 9 | 518.339 | 351.357 | 117.119 | 248.262 | 788.416 | 27.37 | 1090.14 | ||
| Gene Name | Assay IDT DNA Technologies | Ref Seq | Exon Boundary |
|---|---|---|---|
| Brca2 | Rn.PT.58.7981753 | NM_031542(1) | 7–9 |
| Hif-1ɑ | Rn.PT.58.12503723 | NM_024359(1) | 5–6 |
| Id-1 | Rn.PT.58.37482699.g | NM_012797(1) | 1–2 |
| Krt5 | Rn.PT.58.45199866 | NM_183333(1) | 6–8 |
| Mmp2 | Rn.PT.58.8937436 | NM_031054(1) | 10–11 |
| Muc1 | Rn.PT.58.45226306 | NM_012602(1) | 6–7 |
| Nr3c1 | Rn.PT.58.35361161 | NM_012576(1) | 7–8 |
| Thbs1 | Rn.PT.58.44657050 | NM_001013062(1) | 5–6 |
| Timp-1 | Rn.PT.58.23885446 | NM_053819(1) | 2–4 |
| Twist-1 | Rn.PT.58.10199852.gs | NM_053530(1) | 1–2 |
| Vegf-ɑ | Rn.PT.58.34830017 | NM_001110334(1) | 5c-9 |
| Gene Name | Assay Thermo Fisher | Ref Seq | Exon Boundary |
| β-actin | Rn00667869_m1 | NM_031144.3 | 4–5 |
| Cox-2 | Rn01483830_g1 | NM_017232.3 | 9–10 |
| Gapdh | Rn99999916_s1 | NM_017008.4 | 3–3 |
| Tgfβ-1 | Rn00572010_m1 | NM_021578.2 | 1–2 |
| Pai-1 | Rn01481341_m1 | NM_012620.1 | 7–8 |
| Energy Value kj/100 g | Carbohydrate g/100 g | Protein g/100 g | Total Fat g/100 g | Sodium g/100 g | |
|---|---|---|---|---|---|
| Cheese Snack Ball (Pepsico, Brazil) | 1948 | 72 | 6.4 | 17.2 | 676 |
| Bacon Flavored Snack Troféu (Santa Helena, Brazil) | 2200 | 56 | 8.8 | 30 | 1040 |
| Wheatflour Biscuit (Zadimel, Brazil) | 1793 | 73 | 8 | 10.7 | 300 |
| Chocolate cake (Nutrella, Brazil) | 1798 | 55 | 5 | 21.7 | 141.7 |
| Coca- cola (Coca-cola, Brazil) | 178 | 11 | 0 | 0 | 5 |
| Guaraná Soda (Antartica, Brazil) | 168 | 10 | 0 | 0 | 5.5 |
| Italian Salame (Sadia, Brazil) | 1822 | 2 | 22 | 38 | 1140 |
| Mixed Sausage (Sadia, Brazil) | 1554 | 1.4 | 16 | 34 | 1342 |
| Bread (Nutrella, Brazil) | 1328 | 54 | 11.2 | 6.2 | 300 |
| Chocolate Waffer (Bauducco, Brazil) | 2176 | 63 | 5 | 27 | 113 |
| Mortadella (Frimesa, Brazil) | 845 | 2 | 12 | 16 | 1545 |
| Marshmallow (Fini, Brazil) | 1423 | 80 | 5 | 0 | 46 |
| Antibody | Model | Brand | Catalog Number | Dilution Ratio | Control |
|---|---|---|---|---|---|
| Estrogen receptor (ER) | 1D5 | Invitrogen (Carlsbad, CA, USA) Thermofisher (Waltham, MA, USA) | MA5-13191 | 1:50 | Normal mammary epithelia |
| Progesterone receptor (PR) | Alpha PR6 | Invitrogen Thermofisher | MA1-411 | 1:150 | Normal mammary epithelia |
| HER2/C-ERB B2 | policlonal | Dako (Glostrup, Denmark) | A0485 | 1:200 | Sebaceous gland |
| Ki67 | SP6 | Roche (Basel, Switzerland) | M3060 | Pure | Epidermic basal layer |
| PAI-1 | policlonal | Abcam (Cambridge, UK) | ab66705 | 1:100 | Human placenta |
Disclaimer/Publisher’s Note: The statements, opinions and data contained in all publications are solely those of the individual author(s) and contributor(s) and not of MDPI and/or the editor(s). MDPI and/or the editor(s) disclaim responsibility for any injury to people or property resulting from any ideas, methods, instructions or products referred to in the content. |
© 2025 by the authors. Licensee MDPI, Basel, Switzerland. This article is an open access article distributed under the terms and conditions of the Creative Commons Attribution (CC BY) license (https://creativecommons.org/licenses/by/4.0/).
Share and Cite
Claro, F., Jr.; Morari, J.; de Angelis, C.; Vanzela, E.C.; Schiozer, W.A.; Velloso, L.; Sarian, L.O.Z. Gene Monitoring in Obesity-Induced Metabolic Dysfunction in Rats: Preclinical Data on Breast Neoplasia Initiation. Int. J. Mol. Sci. 2025, 26, 7296. https://doi.org/10.3390/ijms26157296
Claro F Jr., Morari J, de Angelis C, Vanzela EC, Schiozer WA, Velloso L, Sarian LOZ. Gene Monitoring in Obesity-Induced Metabolic Dysfunction in Rats: Preclinical Data on Breast Neoplasia Initiation. International Journal of Molecular Sciences. 2025; 26(15):7296. https://doi.org/10.3390/ijms26157296
Chicago/Turabian StyleClaro, Francisco, Jr., Joseane Morari, Camila de Angelis, Emerielle Cristine Vanzela, Wandir Antonio Schiozer, Lício Velloso, and Luis Otavio Zanatta Sarian. 2025. "Gene Monitoring in Obesity-Induced Metabolic Dysfunction in Rats: Preclinical Data on Breast Neoplasia Initiation" International Journal of Molecular Sciences 26, no. 15: 7296. https://doi.org/10.3390/ijms26157296
APA StyleClaro, F., Jr., Morari, J., de Angelis, C., Vanzela, E. C., Schiozer, W. A., Velloso, L., & Sarian, L. O. Z. (2025). Gene Monitoring in Obesity-Induced Metabolic Dysfunction in Rats: Preclinical Data on Breast Neoplasia Initiation. International Journal of Molecular Sciences, 26(15), 7296. https://doi.org/10.3390/ijms26157296

