N-Methylpyridinium Porphyrin Complexes as Sensitizers for Sonodynamic Therapy Against Planktonic and Biofilm-Forming Multidrug-Resistant Microbes
Abstract
1. Introduction
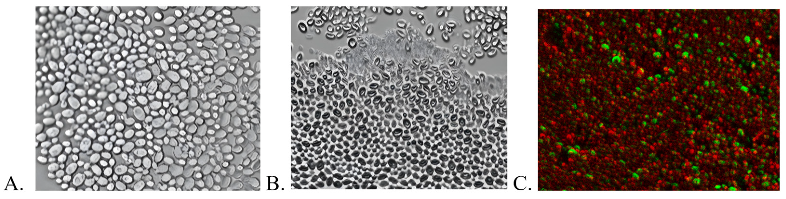
2. Results and Discussion
3. Materials and Methods
3.1. Sonochemistry Measurements
3.1.1. TTF Decomposition Under Sonication in the Presence of the Sensitizer
3.1.2. Sonostabilty of Sensitizers
3.2. Antimicrobial Assay
3.2.1. Microorganisms and Growth Conditions
3.2.2. Determination of the Dark Toxicity of Porphyrins on Planktonic Cells
3.2.3. Sonodynamic Inactivation of Planktonic Cells
3.2.4. Determination of the Dark Toxicity of Porphyrins on Microbial Biofilm
3.2.5. Sonodynamic Inactivation of Microbial Biofilm
3.2.6. Assessment of Biofilm Formation Using Fluorescence Microscopy
3.3. Toxicity Evaluation
3.3.1. Cell Line
3.3.2. Cells Viability
4. Conclusions
Author Contributions
Funding
Institutional Review Board Statement
Informed Consent Statement
Data Availability Statement
Conflicts of Interest
References
- Castro, K.A.D.F.; Ramos, L.; Mesquita, M.; Biazzotto, J.C.; Moura, N.M.M.; Mendes, R.F.; Almeida Paz, F.A.; Tomé, A.C.; Cavaleiro, J.A.S.; Simões, M.M.Q.; et al. Comparison of the Photodynamic Action of Porphyrin, Chlorin, and Isobacteriochlorin Derivatives toward a Melanotic Cell Line. ACS Appl. Bio Mater. 2021, 4, 4925–4935. [Google Scholar] [CrossRef] [PubMed]
- Li, L.; Qin, F.; Wang, Y.; Zhang, Z. Singlet Oxygen Generation Proportion from Triplet State of Porphyrin in Water. Chem. Phys. 2024, 585, 112351. [Google Scholar] [CrossRef]
- Wysocki, M.; Czarczynska-Goslinska, B.; Ziental, D.; Michalak, M.; Güzel, E.; Sobotta, L. Excited State and Reactive Oxygen Species against Cancer and Pathogens: A Review on Sonodynamic and Sono-Photodynamic Therapy. ChemMedChem 2022, 17, e202200185. [Google Scholar] [CrossRef] [PubMed]
- Gamelas, S.R.D.; Moura, N.M.M.; Habraken, Y.; Piette, J.; Neves, M.G.P.M.S.; Faustino, M.A.F. Tetracationic Porphyrin Derivatives against Human Breast Cancer. J. Photochem. Photobiol. B Biol. 2021, 222, 112258. [Google Scholar] [CrossRef] [PubMed]
- Li, M.Y.; Mi, L.; Meerovich, G.; Soe, T.W.; Chen, T.; Than, N.N.; Yan, Y.J.; Chen, Z.L. The Biological Activities of 5,15-Diaryl-10,20-Dihalogeno Porphyrins for Photodynamic Therapy. J Cancer Res Clin Oncol 2022, 148, 2335–2346. [Google Scholar] [CrossRef] [PubMed]
- Wysocki, M.; Ziental, D.; Jozkowiak, M.; Dlugaszewska, J.; Piotrowska-Kempisty, H.; Güzel, E.; Sobotta, L. Porphyrazine/Phthalocyanine Hybrid Complexes—Antibacterial and Anticancer Photodynamic and Sonodynamic Activity. Synth. Met. 2023, 299, 117474. [Google Scholar] [CrossRef]
- Rajchel-Mieldzioć, P.; Tymkiewicz, R.; Sołek, J.; Secomski, W.; Litniewski, J.; Fita, P. Reaction Kinetics of Sonochemical Oxidation of Potassium Hexacyanoferrate(II) in Aqueous Solutions. Ultrason. Sonochemistry 2020, 63, 104912. [Google Scholar] [CrossRef] [PubMed]
- Ziental, D.; Wysocki, M.; Michalak, M.; Dlugaszewska, J.; Güzel, E.; Sobotta, L. The Dual Synergy of Photodynamic and Sonodynamic Therapy in the Eradication of Methicillin-Resistant Staphylococcus Aureus. Appl. Sci. 2023, 13, 3810. [Google Scholar] [CrossRef]
- Ogilby, P.R. Singlet Oxygen: There Is Indeed Something New under the Sun. Chem. Soc. Rev. 2010, 39, 3181. [Google Scholar] [CrossRef] [PubMed]
- Yang, B.; Chen, Y.; Shi, J. Reactive Oxygen Species (ROS)-Based Nanomedicine. Chem. Rev. 2019, 119, 4881–4985. [Google Scholar] [CrossRef] [PubMed]
- Akbar, A.; Khan, S.; Chatterjee, T.; Ghosh, M. Unleashing the Power of Porphyrin Photosensitizers: Illuminating Breakthroughs in Photodynamic Therapy. J. Photochem. Photobiol. B Biol. 2023, 248, 112796. [Google Scholar] [CrossRef] [PubMed]
- Um, W.; Pramod Kumar, E.K.; Lee, J.; Kim, C.H.; You, D.G.; Park, J.H. Recent Advances in Nanomaterial-Based Augmented Sonodynamic Therapy of Cancer. Chem. Commun. 2021, 57, 2854–2866. [Google Scholar] [CrossRef] [PubMed]
- Canaparo, R.; Foglietta, F.; Barbero, N.; Serpe, L. The Promising Interplay between Sonodynamic Therapy and Nanomedicine. Adv. Drug Deliv. Rev. 2022, 189, 114495. [Google Scholar] [CrossRef] [PubMed]
- Chen, J.; Zhou, Q.; Cao, W. Multifunctional Porphyrin-Based Sonosensitizers for Sonodynamic Therapy. Adv. Funct. Mater. 2024, 34, 2405844. [Google Scholar] [CrossRef]
- Le Guern, F.; Ouk, T.-S.; Yerzhan, I.; Nurlykyz, Y.; Arnoux, P.; Frochot, C.; Leroy-Lhez, S.; Sol, V. Photophysical and Bactericidal Properties of Pyridinium and Imidazolium Porphyrins for Photodynamic Antimicrobial Chemotherapy. Molecules 2021, 26, 1122. [Google Scholar] [CrossRef] [PubMed]
- Tovmasyan, A.; Batinic-Haberle, I.; Benov, L. Antibacterial Activity of Synthetic Cationic Iron Porphyrins. Antioxidants 2020, 9, 972. [Google Scholar] [CrossRef] [PubMed]
- Huang, Y.-Y.; Sharma, S.K.; Dai, T.; Chung, H.; Yaroslavsky, A.; Garcia-Diaz, M.; Chang, J.; Chiang, L.Y.; Hamblin, M.R. Can Nanotechnology Potentiate Photodynamic Therapy? Nanotechnol. Rev. 2012, 1, 111–146. [Google Scholar] [CrossRef] [PubMed]
- Wysocki, M.; Ziental, D.; Biyiklioglu, Z.; Jozkowiak, M.; Baş, H.; Dlugaszewska, J.; Piotrowska-Kempisty, H.; Güzel, E.; Sobotta, L. Non-Peripheral Octasubstituted Zinc(II) Phthalocyanines Bearing Pyridinepropoxy Substituents—Antibacterial, Anticancer Photodynamic and Sonodynamic Activity. J. Inorg. Biochem. 2025, 262, 112751. [Google Scholar] [CrossRef] [PubMed]
- Giuntini, F.; Foglietta, F.; Marucco, A.M.; Troia, A.; Dezhkunov, N.V.; Pozzoli, A.; Durando, G.; Fenoglio, I.; Serpe, L.; Canaparo, R. Insight into Ultrasound-Mediated Reactive Oxygen Species Generation by Various Metal-Porphyrin Complexes. Free Radic. Biol. Med. 2018, 121, 190–201. [Google Scholar] [CrossRef] [PubMed]
- Ziental, D.; Czarczynska-Goslinska, B.; Wysocki, M.; Ptaszek, M.; Sobotta, Ł. Advances and Perspectives in Use of Semisolid Formulations for Photodynamic Methods. Eur. J. Pharm. Biopharm. 2024, 204, 114485. [Google Scholar] [CrossRef] [PubMed]
- Domínguez, A.B.; Ziental, D.; Dlugaszewska, J.; Sobotta, L.; Torres, T.; Rodríguez-Morgade, M.S. Multicationic Ruthenium Phthalocyanines as Photosensitizers for Photodynamic Inactivation of Multiresistant Microbes. Eur. J. Med. Chem. 2025, 285, 117214. [Google Scholar] [CrossRef] [PubMed]
- Banin, E.; Vasil, M.L.; Greenberg, E.P. Iron and Pseudomonas Aeruginosa Biofilm Formation. Proc. Natl. Acad. Sci. USA 2005, 102, 11076–11081. [Google Scholar] [CrossRef] [PubMed]
- Almeida, R.S.; Wilson, D.; Hube, B. Candida Albicans Iron Acquisition within the Host. FEMS Yeast Res. 2009, 9, 1000–1012. [Google Scholar] [CrossRef] [PubMed]
- Sun, D.; Pang, X.; Cheng, Y.; Ming, J.; Xiang, S.; Zhang, C.; Lv, P.; Chu, C.; Chen, X.; Liu, G.; et al. Ultrasound-Switchable Nanozyme Augments Sonodynamic Therapy against Multidrug-Resistant Bacterial Infection. ACS Nano 2020, 14, 2063–2076. [Google Scholar] [CrossRef] [PubMed]
- Zhuang, D.; Hou, C.; Bi, L.; Han, J.; Hao, Y.; Cao, W.; Zhou, Q. Sonodynamic Effects of Hematoporphyrin Monomethyl Ether on Staphylococcus Aureus in Vitro. FEMS Microbiol. Lett. 2014, 361, 174–180. [Google Scholar] [CrossRef] [PubMed]
- Erriu, M.; Blus, C.; Szmukler-Moncler, S.; Buogo, S.; Levi, R.; Barbato, G.; Madonnaripa, D.; Denotti, G.; Piras, V.; Orrù, G. Microbial Biofilm Modulation by Ultrasound: Current Concepts and Controversies. Ultrason. Sonochemistry 2014, 21, 15–22. [Google Scholar] [CrossRef] [PubMed]
- Barra, F.; Roscetto, E.; Soriano, A.A.; Vollaro, A.; Postiglione, I.; Pierantoni, G.M.; Palumbo, G.; Catania, M.R. Photodynamic and Antibiotic Therapy in Combination to Fight Biofilms and Resistant Surface Bacterial Infections. Int. J. Mol. Sci. 2015, 16, 20417–20430. [Google Scholar] [CrossRef] [PubMed]
- Nett, J.; Lincoln, L.; Marchillo, K.; Massey, R.; Holoyda, K.; Hoff, B.; VanHandel, M.; Andes, D. Putative Role of β-1,3 Glucans in Candida Albicans Biofilm Resistance. Antimicrob. Agents Chemother. 2007, 51, 510–520. [Google Scholar] [CrossRef] [PubMed]
- Kofuji, K.; Aoki, A.; Tsubaki, K.; Konishi, M.; Isobe, T.; Murata, Y. Antioxidant Activity of β-Glucan. Int. Sch. Res. Not. 2012, 2012, 125864. [Google Scholar] [CrossRef] [PubMed]
- Xu, P.-Y.; Kumar Kankala, R.; Wang, S.-B.; Chen, A.-Z. Sonodynamic Therapy-Based Nanoplatforms for Combating Bacterial Infections. Ultrason. Sonochemistry 2023, 100, 106617. [Google Scholar] [CrossRef] [PubMed]
- Kinoshita, M.; Hynynen, K. Mechanism of Porphyrin-Induced Sonodynamic Effect: Possible Role of Hyperthermia. Radiat. Res. 2006, 165, 299–306. [Google Scholar] [CrossRef] [PubMed]
- Pasternack, R.F.; Gibbs, E.J.; Villafranca, J.J. Interactions of Porphyrins with Nucleic Acids. Biochemistry 1983, 22, 2406–2414. [Google Scholar] [CrossRef] [PubMed]






| Compounds | 1 | 2 | 3 | 4 | 5 |
|---|---|---|---|---|---|
| k (min−1) | 0.04 | 0.01 | 0.012 | 0.049 | 0.003 |
| t0.5 | 192.9 | 64.8 | 55.7 | 14.1 | 253.3 |
| Ln (A) | 0.021 | 0.02 | 0.012 | 0.011 | 0.021 |
| Compounds | TTF | TTF in the Presence of | ||||
|---|---|---|---|---|---|---|
| 1 | 2 | 3 | 4 | 5 | ||
| k (min−1) | 0.012 | 0.017 | 0.013 | 0.010 | 0.014 | 0.017 |
| t0.5 | 59.4 | 41.3 | 52.0 | 70.574 | 48.301 | 41.360 |
| Ln (A) | 0.002 | 0.013 | 0.001 | 0.009 | −0.004 | 0.009 |
Disclaimer/Publisher’s Note: The statements, opinions and data contained in all publications are solely those of the individual author(s) and contributor(s) and not of MDPI and/or the editor(s). MDPI and/or the editor(s) disclaim responsibility for any injury to people or property resulting from any ideas, methods, instructions or products referred to in the content. |
© 2025 by the authors. Licensee MDPI, Basel, Switzerland. This article is an open access article distributed under the terms and conditions of the Creative Commons Attribution (CC BY) license (https://creativecommons.org/licenses/by/4.0/).
Share and Cite
Ziental, D.; Giuntini, F.; Wysocki, M.; Talarska-Kulczyk, P.; Kubicka, A.; Dlugaszewska, J.; Sobotta, L. N-Methylpyridinium Porphyrin Complexes as Sensitizers for Sonodynamic Therapy Against Planktonic and Biofilm-Forming Multidrug-Resistant Microbes. Int. J. Mol. Sci. 2025, 26, 6949. https://doi.org/10.3390/ijms26146949
Ziental D, Giuntini F, Wysocki M, Talarska-Kulczyk P, Kubicka A, Dlugaszewska J, Sobotta L. N-Methylpyridinium Porphyrin Complexes as Sensitizers for Sonodynamic Therapy Against Planktonic and Biofilm-Forming Multidrug-Resistant Microbes. International Journal of Molecular Sciences. 2025; 26(14):6949. https://doi.org/10.3390/ijms26146949
Chicago/Turabian StyleZiental, Daniel, Francesca Giuntini, Marcin Wysocki, Patrycja Talarska-Kulczyk, Agata Kubicka, Jolanta Dlugaszewska, and Lukasz Sobotta. 2025. "N-Methylpyridinium Porphyrin Complexes as Sensitizers for Sonodynamic Therapy Against Planktonic and Biofilm-Forming Multidrug-Resistant Microbes" International Journal of Molecular Sciences 26, no. 14: 6949. https://doi.org/10.3390/ijms26146949
APA StyleZiental, D., Giuntini, F., Wysocki, M., Talarska-Kulczyk, P., Kubicka, A., Dlugaszewska, J., & Sobotta, L. (2025). N-Methylpyridinium Porphyrin Complexes as Sensitizers for Sonodynamic Therapy Against Planktonic and Biofilm-Forming Multidrug-Resistant Microbes. International Journal of Molecular Sciences, 26(14), 6949. https://doi.org/10.3390/ijms26146949

