Next Article in Journal
Manganese Overexposure Alters Neurogranin Expression and Causes Behavioral Deficits in Larval Zebrafish
Next Article in Special Issue
Developing Advanced Chimeric Cell Therapy for Duchenne Muscular Dystrophy
Previous Article in Journal
A Nonlinear Relation between Body Mass Index and Long-Term Poststroke Functional Outcome—The Importance of Insulin Resistance, Inflammation, and Insulin-like Growth Factor-Binding Protein-1
Previous Article in Special Issue
The Impact of miR-155-5p on Myotube Differentiation: Elucidating Molecular Targets in Skeletal Muscle Disorders
 
 
Font Type:
Arial Georgia Verdana
Font Size:
Aa Aa Aa
Line Spacing:
Column Width:
Background:
Article

The Influence of a Genetic Variant in CCDC78 on LMNA-Associated Skeletal Muscle Disease

by
Nathaniel P. Mohar
1,2,
Efrem M. Cox
3,4,
Emily Adelizzi
1,5,
Steven A. Moore
3,
Katherine D. Mathews
6,
Benjamin W. Darbro
1,6,* and
Lori L. Wallrath
1,2,*
1
Interdisciplinary Graduate Program in Genetics, University of Iowa, Iowa City, IA 52242, USA
2
Department of Biochemistry and Molecular Biology, Carver College of Medicine, University of Iowa, Iowa City, IA 52242, USA
3
Department of Pathology, Carver College of Medicine, University of Iowa, Iowa City, IA 52242, USA
4
Department of Neurosurgery, UNLV School of Medicine, Las Vegas, NV 89106, USA
5
Department of Anatomy and Cell Biology, Carver College of Medicine, University of Iowa, Iowa City, IA 52242, USA
6
Department of Pediatrics, Carver College of Medicine, University of Iowa, Iowa City, IA 52242, USA
*
Authors to whom correspondence should be addressed.
Int. J. Mol. Sci. 2024, 25(9), 4930; https://doi.org/10.3390/ijms25094930
Submission received: 13 March 2024 / Revised: 12 April 2024 / Accepted: 24 April 2024 / Published: 30 April 2024

Abstract

Mutations in the LMNA gene-encoding A-type lamins can cause Limb–Girdle muscular dystrophy Type 1B (LGMD1B). This disease presents with weakness and wasting of the proximal skeletal muscles and has a variable age of onset and disease severity. This variability has been attributed to genetic background differences among individuals; however, such variants have not been well characterized. To identify such variants, we investigated a multigeneration family in which affected individuals are diagnosed with LGMD1B. The primary genetic cause of LGMD1B in this family is a dominant mutation that activates a cryptic splice site, leading to a five-nucleotide deletion in the mature mRNA. This results in a frame shift and a premature stop in translation. Skeletal muscle biopsies from the family members showed dystrophic features of variable severity, with the muscle fibers of some family members possessing cores, regions of sarcomeric disruption, and a paucity of mitochondria, not commonly associated with LGMD1B. Using whole genome sequencing (WGS), we identified 21 DNA sequence variants that segregate with the family members possessing more profound dystrophic features and muscle cores. These include a relatively common variant in coiled-coil domain containing protein 78 (CCDC78). This variant was given priority because another mutation in CCDC78 causes autosomal dominant centronuclear myopathy-4, which causes cores in addition to centrally positioned nuclei. Therefore, we analyzed muscle biopsies from family members and discovered that those with both the LMNA mutation and the CCDC78 variant contain muscle cores that accumulated both CCDC78 and RyR1. Muscle cores containing mislocalized CCDC78 and RyR1 were absent in the less profoundly affected family members possessing only the LMNA mutation. Taken together, our findings suggest that a relatively common variant in CCDC78 can impart profound muscle pathology in combination with a LMNA mutation and accounts for variability in skeletal muscle disease phenotypes.

1. Introduction

The nuclear lamina is a dense network of intermediate filaments and membrane associated proteins that line the surface of the inner nuclear membrane in eukaryotic cells [1,2,3]. Functions of the nuclear lamina include interacting with the Linker of Nucleus and Cytoskeleton (LINC) complex involved in sensing mechanical stress, making connections with chromatin to regulate gene expression, and enabling nuclear transport by anchoring nuclear pore complexes [4,5,6]. A major component of the nuclear lamina are lamins, which are type V intermediate filaments [1]. Lamins are composed of a globular head domain, an alpha helical rod possessing several linkers, and a tail domain possessing both a nuclear localization sequence (NLS) and an Ig-like fold domain [2,3]. Lamins dimerize through the rod domain; the dimers then form head-to-tail filaments and assemble into higher order structures [1,7]. Lamins are classified into A- and B-types [5,8,9,10]. The B-type lamins, B1 and B2, are encoded by the human genes LMNB1 and LMNB2, respectively, and are constitutively expressed [9]. The human A-type lamins, A and C, are encoded by the LMNA gene, produced via alternative splicing, and expressed upon differentiation [8]. Lamin C is directly translated from LMNA mRNA; however, lamin A is translated as prelamin A and requires additional post-translational processing to become mature lamin A [5,8].
Mutations in the genes encoding lamins result in a diverse class of diseases known as laminopathies [11,12,13]. The majority of laminopathies are caused by LMNA mutations [12]. At least 500 pathogenic variants in LMNA have been reported as causal of at least 16 distinct phenotypes, most of which are inherited in an autosomal dominant fashion [11,13,14,15]. These phenotypes include the early-onset aging syndrome Hutchinson–Gilford Progeria Syndrome (HGPS), striated muscle diseases, lipodystrophy, and peripheral neuropathy [11,13,16]. This genetic heterogeneity is not defined by the protein domain affected, as mutations that cause each disease are dispersed throughout the gene and affect different protein domains [17,18,19], with the exception of a G608G splice site mutation being the primary cause of HGPS [20,21,22].
The LMNA-associated striated muscle diseases include dilated cardiomyopathy (DCM) with conduction defects, Emery–Dreifuss muscular dystrophy Type 2 (EDMD2), lamin-associated congenital muscular dystrophy (L-CMD), and Limb–Girdle muscular dystrophy Type 1B (LGMD1B) [16,23,24,25,26]. According to the Muscular Dystrophy Association, LGMD1B is the most common dominant form of LGMD and accounts for 5-10% of total LGMD cases [25,27]. LGMD is characterized by weakness and atrophy of the proximal muscles around the shoulder and pelvic girdles [28,29]. LGMD1B frequently co-occurs with DCM and arrhythmias, which ultimately can reduce the life expectancy of affected individuals [25,28,30].
A hallmark of striated muscle laminopathies, including LGMD1B, is phenotypic variability [16]. The same LMNA mutation can give rise to clinically distinct phenotypes in different individuals, even among closely related family members [14,17,31,32,33]. Variability exists with age at onset of symptoms, rate of disease progression, and disease severity [32,34,35,36,37,38,39,40,41]. This variability has been attributed to genetic background; however, little progress has been made in identifying genetic background variants that influence the phenotypes of LMNA-associated muscular dystrophy (LMNA-MD) patients [16,42,43,44,45]. Mining whole genome sequencing (WGS) data for variants that co-segregate with a disease trait can identify variants that contribute to phenotypic variability [46,47,48,49].
Here, we describe a four-generation family in which members present with either dominant LGMD, DCM, or both. DNA sequence analysis revealed that affected family members possess a mutation in LMNA that alters LMNA pre-mRNA splicing. Along with this variability in diagnosis, there is variability in the skeletal muscle pathology in this family. Some individuals diagnosed with LGMD1B also possess skeletal muscle cores, a histopathologic phenotype not commonly seen in cases of LMNA-MD or LGMD [25,27,28,50,51]. These individuals have a more pronounced skeletal muscle pathology and are more severely affected than their siblings who lack cores. Thus, the phenotypic variability and the presence of muscle cores was hypothesized to be due to genetic background differences among the family members. To identify such background differences, we mined WGS of the family members and identified a relatively common variant in CCDC78, a known core myopathy gene [50,51,52], that co-segregates with muscle cores. We show that this variant, in combination with the LMNA mutation, causes profound skeletal muscle disease and core myopathy. Thus, a rare LMNA disease-causing mutation appears to sensitize the muscle to effects of a common CCDC78 variant, leading to multiple muscle diseases and a more severe phenotype than the LMNA mutation alone.

2. Results

2.1. Clinical Features of a Multigenerational Family with Cardiac and Skeletal Muscle Defects

In this study, we investigate the genetic basis of disease in a four-generation family with adult-onset LGMD and/or cardiomyopathy (Figure 1). Clinical features of all affected family members are summarized in Table 1. Medical histories are briefly described below.
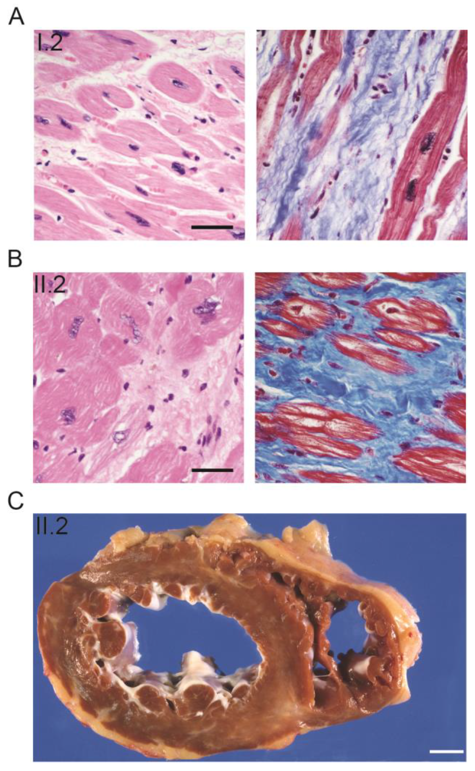
Individual I.2 died of dilated cardiomyopathy confirmed with postmortem examination at age 31 (Figure 2A). A postmortem examination of skeletal muscle was not conducted.
Individual II.1 recalls exercise intolerance in grade school but did not recognize muscle weakness until her mid-twenties when she had difficulty arising from chairs and climbing stairs. She had an implantable cardioverter–defibrillator (ICD) placed at age 50 for abnormal ECG and later developed atrial and ventricular arrhythmias with preserved left ventricular ejection fraction (LVEF). She began using a wheelchair full-time at age 59.
Individual II.2 presented at 29 years old with new-onset near-syncope. Motor function was normal, although an elevated serum creatine kinase (CK) prompted a muscle biopsy. He was followed at an outside hospital until he returned to University of Iowa Hospitals and Clinics (UIHC) at the age of 41. Neuromuscular evaluation as part of transplant discussion due to heart failure detected subtle gait abnormality but he reported no clinical muscle weakness. He underwent ventricular assist device (VAD) followed by heart transplant for heart failure and cardiac arrhythmia at age 43 years. Explanted heart pathology was consistent with the diagnosis of dilated cardiomyopathy (DCM) (Figure 2B,C). He later developed symptomatic muscle weakness (e.g., trouble climbing stairs) by age 45 years. He was able to walk up to a block at age 60 but used power mobility for greater distances.
Individual II.3 had his first abnormal ECG and echocardiogram found on routine cardiac monitoring for an unrelated procedure at age 47 years, and LVEF was decreased to 35–40% upon initial evaluation. He had no cardiac or neuromuscular symptoms. He underwent ICD placement at age 48 years. He started to experience weakness (trouble climbing stairs) at age 55 years. He remained ambulatory with near-normal strength until his health was adversely impacted by unrelated medical illnesses and he died at age 60.
Individual II.4 developed heart failure associated with macrodantin use at ~30 years. Cardiac function recovered, but following hospitalization, she developed hip girdle weakness. At age 50 years, she had normal cardiac function, but an electrophysiology study showed inducible atrial fibrillation, resulting in a pacemaker placement at age 58 years. She lost ambulation around age 60 years, at least in part due to unrelated health problems.
At age 23, Individual III.1 had a normal neurologic examination but reported episodes of unprovoked tachycardia and palpitations. He had normal cardiac function but had paroxysmal atrial fibrillation. An electrophysiology study was reassuring, and he was started on a beta-blocker. When he was 28 years old, he again experienced cardiac palpitations, which were confirmed to be runs of nonsustained ventricular tachycardia. Cardiac MRI with and without contrast was normal and he had an ICD placed. He has no symptoms of skeletal muscle weakness.
Individual III.2 originally presented with mild lower extremity weakness, difficulty running, and easy falling in childhood, but this weakness resolved. He was normal upon exam in adulthood, although he is currently below the age of symptomatic weakness onset of the other males in the family. There is possible significance of male sex in skeletal muscle disease onset in this family, as the two males in generation II retained normal strength much longer than the two females. He is assumed to be presymptomatic.
Individual III.5 has never experienced skeletal muscle weakness. A routine echocardiogram showed decreased function at age 29, and he was managed medically. At 30 years old, cardiac MRI showed LVEF of 35% and an area of linear mid-myocardial delayed enhancement. He remained asymptomatic and underwent preventative ICD placement.
Individual III.6 has never experienced either skeletal muscle weakness or cardiac symptoms but is seen due to the family’s history. A cardiac MRI at age 38 showed normal heart function and no late gadolinium enhancement. He is assumed to be presymptomatic.

2.2. Skeletal Muscle Pathology of the Four Generation II Siblings Contains Dystrophic Features

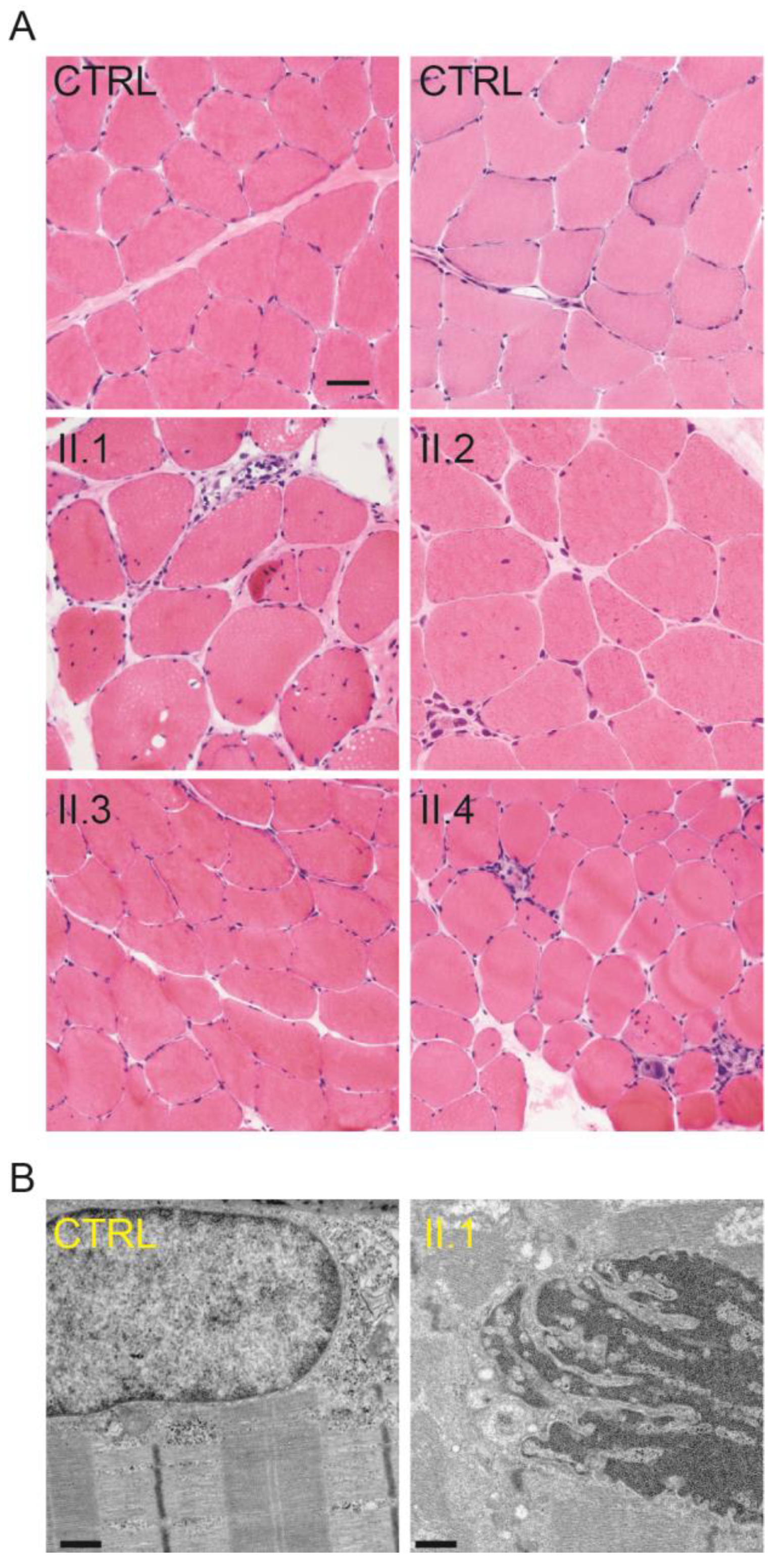
Skeletal muscle biopsies from the four generation II siblings showed dystrophic features including internalized nuclei and fiber size variation that were not present in controls (Figure 3A). These dystrophic features were more pronounced in muscle from individuals II.1, II.2, and II.4 than they were in individual II.3. Electron microscopy revealed nuclear invaginations that were not present in a control, suggesting the disease may be caused by a mutation in a gene encoding a nuclear envelope protein (Figure 3B). Further analysis of the skeletal muscle biopsy tissue included a stain for embryonic myosin heavy chain (eMHC) to identify regenerating fibers (Table S1). Regenerating fibers were clearly seen in individuals II.1, II.2, and II.4, but largely absent in individual II.3 and an unrelated control (Figure 4). This finding is consistent with individual II.3 appearing less dystrophic on the H&E stain and having a milder skeletal muscle phenotype than his siblings.

2.3. A Novel LMNA Variant Was Identified as Causal of These Phenotypes

Clinical diagnostic sequence analyses of genomic DNA from this family revealed a variant in the LMNA gene (OMIM#150330) as a potential cause of the disease phenotypes. The sequence of the LMNA gene in these individuals was evaluated via traditional Sanger sequencing of genomic DNA extracted from peripheral blood leukocytes. The 12 coding exons and the flanking intronic boundaries were amplified with PCR and sequenced in both directions. The patient DNA sequence was compared to the LMNA reference sequence (NM_170707). A heterozygous variant (c.639+1G>A) was found in the LMNA gene of all affected family members of generation II, the affected individual in generation I, and five members of the third generation (III.1, III.2, III.5, III.6, and III.7), resulting in a clinical diagnosis of LGMD1B [26,28,53].
This LMNA mutation is absent in population DNA sequence databases such as gnomAD, suggesting that it is extremely rare. However, this variant has been associated with cardiomyopathy in a literature report [54] and is listed in ClinVar (variant ID 633290) and LOVD (Leiden Open Variation Database), with the LOVD entry representing a previous report of this family [55]. The c.639+1G>A change affects the known in vivo utilized 5′ donor site of intron 3, leading us to hypothesize that the mutation might cause aberrant pre-mRNA splicing [56]. In silico modeling predicted that the alternative splicing caused by this DNA sequence change result in a loss of five nucleotides from the spliced mRNA transcript, a shift in the reading frame, and generation of a premature stop codon after the third codon of the spliced exon four (c.639+1G>A, r.635_639del, [p.Ser212ArgfsX3]) (Figure 5A).
Two experimental approaches were used to test the results of the in silico analysis. The first was a full transcript analysis in which all twelve exons of LMNA were interrogated with semi-quantitative RT-PCR performed on total RNA extracted from cultured fibroblasts from a healthy control individual and individual II.2. Overlapping amplicons spanning all twelve exons of LMNA, including one primer pair designed to amplify LMNA transcript isoform 2 (NM_005572) that gives rise to lamin C proteins, showed no difference in either size or quantity of transcript between control and affected fibroblasts (Figure S1). Furthermore, no abnormally sized amplicons were detected in any of the amplification reactions (Figure S1). Primer sequences used for this analysis are provided in Table S2.
This analysis could not rule out utilization of the cryptic splice site five base pairs upstream as predicted with the in silico analysis. Agarose gel electrophoresis cannot resolve two amplicons that differ in size by only five base pairs. While polyacrylamide gel electrophoresis could resolve this difference, the mutant transcript is unlikely to be detectable on any form of gel if it is degraded by nonsense mediated decay. However, detection of a mutant transcript, even if partially degraded by nonsense mediated decay, can be detected with allele-specific PCR amplification. We designed a PCR primer that would be specific to the mutant exon 3:exon 4 junction in the reverse-transcribed cDNA (Figure 5B). This junction would be missing five base pairs if the cryptic splice site was utilized. Using a nonspecific forward primer coupled with our mutant-specific reverse primer, we performed the PCR amplification reactions at increasingly stringent annealing temperatures, thus increasing the specificity of the mutant primer for the mutant transcript and reducing amplification of wild-type cDNA (Figure 5C). The gradient annealing temperature amplification clearly demonstrated a barely detectable product in the control fibroblasts at higher annealing temperatures but continued robust amplification of a product from the cDNA of the affected fibroblasts.
We then sequenced the amplification products produced with PCR (Figure 5D). Even though the wild-type transcript was preferentially amplified from both the control and affected fibroblasts at lower annealing temperatures, the predicted mutant transcript was detected in the affected cells, but not the control cells. Sequencing the products produced at higher annealing temperatures confirmed that the sole product in the affected fibroblasts was the predicted mutant transcript and that this mutant transcript was produced at very low levels in the control cells. These results confirmed the in silico prediction that cells from affected individuals carrying the c.639+1 G>A mutation in LMNA possess both a wild-type transcript and an aberrantly processed transcript. This aberrant transcript utilizes a cryptic donor splice site five base pairs upstream of the authentic intron three 5′ donor splice site.

2.4. Muscle Cores Are Present in a Subset of the LGMD1B-Affected Individuals

To determine the impact of the LMNA mutation on nuclear envelope protein localization, immunostaining with antibodies to lamin A/C, emerin, and FG-repeat-containing nuclear pore proteins (FG-NUPs) were performed (Table S1). Despite the presence of the LMNA mutation, the localization of lamin A/C was not altered in a patient compared to control (Figure 6A). Consistent with normal lamin A/C localization, the staining with antibodies to emerin and FG-NUPs showed the anticipated nuclear envelope localization (Figure S2A,B).
To further investigate cellular changes associated with the skeletal muscle disease, histochemical staining for cytochrome C oxidase (COX) was performed. Skeletal muscle from individual II.1 showed an area of cytoplasmic pallor on the COX stain that was abnormal relative to controls (Figure 6B). In total, individuals II.1, II.2, and II.4 were found to have this abnormal phenotype while II.3 does not, consistent with the fact that these three individuals had a similar muscle disease presentation while individual II.3 had a relatively mild phenotype. This cytoplasmic pallor (COX negative staining) is consistent with the presence of muscle cores, regions of individual muscle fibers with sarcomeric disruption, and a paucity of mitochondria [50,57,58]. Electron microscopic evaluation of muscle biopsy tissue from individual II.1 further supported the presence of muscle cores, showing a regional loss of the characteristic Z banding pattern accompanied by disruption of the sarcomeric ultrastructure (Figure 6C) [59,60]. Cytoplasmic areas of COX negative staining have been observed for several core myopathies [51,52,61]; however, the presence of muscle cores in LMNA-MD is atypical. Moreover, muscle cores are also not typically part of the pathology of LGMD [28], making this a unique finding within members of this family.

2.5. A Relatively Common Variant in CCDC78 Was Identified in Family Members with Muscle Cores

The variability in skeletal muscle phenotypes in this family and the atypical presence of muscle cores in profoundly affected family members suggest the influence of genetic background. To identify background genetic variants that contribute to this variability, we performed whole genome sequencing (WGS) on six individuals within the family, individuals II.1-4, III.2, and III.5. All sequenced individuals have the LMNA mutation, confirming the prior clinical laboratory test results. To identify variants that segregated with the muscle core phenotype, we compared WGS data from individuals II.1, II.2, and II.4 to that of individuals II.3 and III.5. Individuals II.1, II.2, and II.4 are profoundly affected by muscle disease with cores, while individual II.3 is less profoundly affected and does not have muscle cores and individual III.5 has cardiac disease with no evidence of skeletal muscle involvement. All single nucleotide and small insertion/deletion variants were annotated and filtered for quality control, minor allele frequency <5%, and predicted loss-of-function or missense mutations. The analysis revealed 21 variants with the proper segregation pattern that were rank ordered according to conservation, gene constraint metrics, in silico predictors of pathogenicity, relevant tissue expression, and annotated gene association with the reported phenotype [62,63,64,65,66,67,68,69,70,71,72,73]. A list of these 21 variants in rank order is provided in Table 2.
Of the 21 VUS identified, a variant in the CCDC78 gene (c.712A>C; p.Lys238Gln) was a strong candidate (Figure 7A,B, genotypes shown in Figure 1 and Table 1). A splice site variant in CCDC78 resulting in an in-frame 74-amino-acid insertion has been identified in a family and linked to a dominant congenital myopathy with cores [74]. Affected individuals possessing this splice variant possessed muscle cores that colocalized with an abnormal accumulation of the CCDC78 protein and ryanodine receptor 1 (RyR1) [74]. By contrast, the CCDC78 missense variant identified in the study presented here is relatively common in the population (0.0111 allele frequency, gnomAD v4.0.0, Broad Institute, accessed 14 November 2023) and, therefore, is unlikely to be singularly pathogenic. However, it is possible that the presence of the LMNA mutation sensitizes muscle to this variant in CCDC78, giving rise to profound skeletal muscle disease.

2.6. Individuals with the CCDC78 Variant Show Mislocalization of CCDC78

To determine if the CCDC78 missense variant altered localization of the CCDC78 protein, skeletal muscle tissue from affected family members was stained with an antibody to CCDC78 and phalloidin (Table S1). Tissue from control individuals showed CCDC78 localization at the membrane of the muscle fibers and a focus of staining near the nuclear periphery, consistent with published reports of localization of wild-type CCDC78 in muscle [74] (Figure 7C). Similarly, skeletal muscle tissue from individual II.3, who possesses the LMNA mutation but lacks the CCDC78 variant and does not have muscle cores, showed a wild-type localization pattern for CCDC78 (Figure 7C). By contrast, individuals II.1, II.2, and II.4, who possess both the LMNA mutation and the CCDC78 variant and exhibit muscle cores, showed a dramatically different staining pattern. In these individuals, an antibody to CCDC78 stained cytoplasmic cores marked with phalloidin enrichment, suggestive of CCDC78 aggregation (Figure 7D). This abnormal pattern of staining was apparent in a minimum of 8% of muscle fibers in muscle biopsy cross sections (141 out of 1739 fibers, evaluated in individual II.4). Clear visualization of the CCDC78 enrichment was also observed in muscle costained with antibodies to CCDC78 and dystrophin (Table S1), which marks the periphery of the muscle fibers without obscuring the muscle cores (Figure S3).

2.7. CCDC78 Aggregates Colocalize with RYR1 Aggregates in Muscle Cores

In CCDC78-associated congenital myopathy, muscle cores that show aggregates of CCDC78 also contain aggregates of RyR1 [74]. To determine if the muscle biopsies from the individuals with the CCDC78 variant also have aggregates of RyR1, we stained muscle cryosections with antibodies to RyR1 and phalloidin (Table S1). Muscle biopsy tissue from individual II.1 showed the presence of muscle cores as marked by areas of discoloration in the phalloidin staining and intense staining of RyR1 antibodies in these cores (Figure 8A). These features were absent in control muscle tissue (Figure 8A). A double stain of muscle tissue with antibodies against RyR1 and CCDC78 confirmed colocalization of these two proteins in muscle tissue from individual II.1 (see signal overlap in Figure 8B). These antibodies did not show overlap in an unrelated control (Figure 8B). Additionally, muscle biopsy tissue from individual II.3 also showed wild-type localization of CCDC78 and RyR1, demonstrating the specificity of RyR1 accumulation for those family members possessing muscle cores and the CCDC78 variant (Figure S4). RYR1 mutations are the most common cause of core myopathy [50,74]. It is important to note that we did not find RYR1 DNA sequence variants in the family members in this study who underwent WGS. This indicates that mislocalization of RyR1 observed in the muscles of these individuals with the LMNA mutation and CCDC78 variant is not due to a pathogenic variant in RYR1, indicating that the CCDC78 variant is a likely cause of the muscle core pathology.
To determine if the muscle cores were a “sink” for misfolded proteins, we stained muscle tissue from individual II.1 with phalloidin and antibodies to the autophagy chaperone protein p62 that binds unfolded proteins and protein aggregates [75,76,77]. The phalloidin staining showed the characteristic marking of muscle cores; however, p62 did not colocalize with these cores, demonstrating that muscle cores are not generalized sinks for accumulated and likely aggregated proteins (Figure S5). Taken together, these data support that the CCDC78 variant is causal for CCDC78 protein mislocalization and muscle core formation.
Collectively, our data indicate that a subset of individuals in this family diagnosed with LGMD1B due to a mutation in LMNA also have profound muscle weakness and wasting associated with muscle core pathology likely caused by a relatively common variant in CCDC78. Muscle cores are a rare phenotype for LMNA-associated muscle disease, strongly suggesting that these individuals have two separate muscle diseases, LGMD1B and core myopathy. The LMNA mutation appears to sensitize the muscle such that the CCDC78 variant is sufficient to cause muscle cores that accumulate CCDC78 and RyR1 (Figure 9). Our findings provide an example of how individuals with LMNA mutations can exhibit phenotypic variation in muscle disease due to genetic background differences, even among closely related family members.

3. Discussion

We identified a four-generation family with LGMD and cardiomyopathy that was found to possess an LMNA mutation (Figure 1). Individuals in this family present with either skeletal muscle disease, cardiac disease, or both, an established phenotypic pattern of LMNA-associated striated muscle disease [14,15,16,19,23,30,31,32,35,39,42]. The LMNA mutation present in this family is c.639+1G>A, which activates a cryptic splice site between exon three and four, resulting in a frame shift at amino acid 212 and the introduction of a premature stop codon (Figure 5). In addition to the LMNA mutation, a subset of family members has a relatively common CCDC78 variant. These family members exhibit a more profound skeletal muscle disease than the family members with only the LMNA mutation (Figure 7). Thus, the pathogenic LMNA mutation appears to sensitize the muscle to the CCDC78 variant such that individuals with both variants develop two types of muscle disease (Figure 9).
Most LMNA mutations that cause muscle disease result in single amino acid substitutions throughout the length of the lamin A/C protein [12,16,17,23]. While pathogenic splice and nonsense mutations in LMNA have been identified [78,79,80,81,82,83,84,85,86,87], they are generally less common than missense mutations [11,12,13,16,17,23,31,35,37,42,88,89,90,91]. The disease mechanisms of these splice and nonsense mutations remain poorly understood. Missense mutations in LMNA are often considered to be dominant negatives in which the mutant lamins incorporate into the lamina and disrupt the lamin network, resulting in abnormally shaped nuclei [12,13,88,89,90,91]. By contrast, splice or nonsense mutations resulting in a premature stop codon are expected to be functional nulls and result in haploinsufficiency [78,79,80,81,82,83,84,85,86,87]. However, reports of haploinsufficiency in families with these mutations vary, with some reports showing no change in lamin A/C mRNA and protein levels [80,81,83,85]. In these cases, it is possible that there is upregulation of the wild-type LMNA allele, or differences in protein levels exist between the differentiated muscle cells, which would not be evident from western analysis of protein extract from whole muscle tissue [80,81,83,85]. Thus, additional research is required to understand the mechanisms by which splicing defects and nonsense mutations in LMNA cause muscle pathology.
The LMNA splicing mutation sensitizes the muscle physiology such that the relatively common variant in CCDC78 leads to muscle core formation. The presence of muscle cores as part of the pathology of LMNA-MD is highly atypical, with only one published report showing skeletal muscle biopsy tissue from an individual with an LMNA mutation possessing muscle cores [92]. Muscle cores are also not typically part of the pathology of LGMD [28], making the presence of cores a unique finding in this family.
Core myopathies represent a heterogeneous collection of diseases united by the presence of regions within individual muscle fibers lacking oxidative enzyme activity associated with a paucity of mitochondria and with varying degrees of ultrastructural sarcomeric disruption known as muscle cores [50,51,52,59,60]. Core myopathies can be further subdivided into different histopathologic morphologies termed central core disease, minicore or multiminicore myopathy, dusty core disease, and core rod myopathy, with central core disease being the most common [50,51,52]. Most cases of central core disease are caused by mutations in RYR1 [52,61,93]. However, the genetic cause of core myopathies overall is extremely heterogeneous, with at least 15 genes implicated [50]. Overall, the nature of cores has not been well characterized aside from the paucity of mitochondria and ultrastructural sarcomeric disruption within the muscle fibers. More research is required to better understand the mechanisms and pathophysiology of core formation, which is also currently not well understood [50,51].
A link between CCDC78 and core myopathy has been previously reported [74], and CCDC78 is included as a core myopathy gene in review publications [50,94]. Little is known about the endogenous functions of CCDC78. In Xenopus, CCDC78 is a deuterosome-associated protein that is required for centriole amplification [95,96,97]. In skeletal muscle, CCDC78 localizes to the sarcolemma, perinuclear region, and the triad [74], the structural interface between the T-tubule and portions of the sarcoplasmic reticulum [94]. Given that coiled-coil domain-containing proteins are known to play a role in oligomerization of large protein complexes [98,99], it is possible that CCDC78 is necessary for the structural integrity of the triad [94]. We and others have demonstrated that myopathy-associated variants in CCDC78 lead to the mislocalization of RyR1 [74], a calcium channel protein that localizes to the triad [94]. Mislocalization of RyR1 suggests that disruptions in calcium homeostasis and excitation–contraction coupling might be exacerbating factors in individuals in this family with both the LMNA mutation and CCDC78 variant [94]. A direct link between CCDC78 and lamins remains undefined. Whether the DNA variant in CCDC78 and the mutation in LMNA interact genetically or cause separate insults to muscle function requires further investigation.
Whole genome sequencing of six individuals in the family investigated here determined that individuals II.1, II.2, II.4, and III.2 possess the CCDC78 variant, while individuals II.3 and III.5 do not. Further analysis with Sanger sequencing revealed that the CCDC78 variant was not transmitted from individual I.1, suggesting that I.2 is a carrier of the CCDC78 variant. It is likely that individual I.2 did not exhibit skeletal muscle disease because they died young, prior to onset of muscle weakness (Figure 1). We report segregation of the CCDC78 variant only in individuals with muscle core pathology among the four generation II siblings. Individual III.2 also has the variant but has not had a muscle biopsy to confirm the presence of cores. He had an unusual phenotype of mild muscle weakness in childhood that resolved and had normal muscle function in young adulthood. Given the presence of the CCDC78 variant in this individual and their earlier symptoms, it is possible that this individual will develop symptomatic weakness, likely in the next decade.
The CCDC78 variant present in this family is c.712A>C, which is in the coding region of exon 8 of the gene and is predicted to cause the amino acid substitution p.Lys238Gln. This variant is relatively common in the general population, with an allele frequency of 0.0111 and 120 homozygotes reported in the gnomAD database (Broad Institute, accessed 21 November 2023, v4.0.0). Because of the prevalence of this variant, it is unlikely that this variant is individually pathogenic, as the prevalence of the variant far outweighs the prevalence of core myopathy. However, it is possible that the deleterious effect of this variant is enhanced by the rare LMNA mutation that already compromises muscle function in a subset of family members.
In conclusion, our data suggest that the skeletal muscle abnormalities in this family represent two diseases caused by two distinct DNA sequence changes in two different genes. The rare LMNA mutation in this family causes LMGD1B; however, it does not account for the muscle core pathology. The relatively common CCDC78 in this family segregates with core myopathy and the more profound skeletal muscle weakness and wasting (Figure 9). Our results provide additional insight into the variability associated with LMNA-MD by supporting the hypothesis that the wide phenotypic spectrum of LMNA-MD is at least in part driven by DNA sequence variants in the genetic background of affected individuals [16,42,43,44,45]. Identification of these additional genetic variants that contribute to the skeletal muscle pathology can aid in diagnosis and prognostic predictions, be used to stratify individuals in clinical trials, and offer new potential targets for therapy.

4. Materials and Methods

4.1. Patient Recruitment

Family members were identified through the University of Iowa Neuromuscular Multispecialty Clinic and Heart and Vascular Center. Institutional Review Board approval (ID#200510769) was obtained through the University of Iowa. Medical histories were abstracted from the electronic health record.

4.2. Tissue Collection and Analysis

Clinical diagnostic muscle biopsies were processed in a routine fashion for evaluation of cryosections and for embedment in either paraffin or epon blocks. Cryosections were stained with hematoxylin and eosin (H&E) and cytochrome C oxidase (COX). They were also stained with antibodies that evaluate muscle diseases, including dystrophin and embryonic myosin heavy chain (Table S1) [53]. Epon-embedded muscle was evaluated as 1 µm-thick sections stained with toluidine blue and imaged with electron microscopy. Both the autopsied and explanted hearts were grossly evaluated in the standard fashion and fixed in formalin. Selected regions of the hearts were embedded in paraffin blocks and evaluated with H&E and Masson trichrome stains.
Skin biopsies were obtained on a research basis from subjects II.1, II.2, and III.5, and fibroblasts were established using a research protocol approved by the University of Iowa Institutional Review Board for the Wellstone Muscular Dystrophy Specialized Research Center (IRB ID#200510769), expanded by passaging in culture flasks, and cryopreserved. The growing cells were maintained at 37 °C and 5% CO2 in DMEM medium plus 20% fetal bovine serum and 0.5% penicillin–streptomycin (Invitrogen, Carlsbad, CA, USA). Cells in cryovials were stored in liquid N2.

4.3. Identification of the LMNA Variant

The sequence of the LMNA gene was evaluated with traditional Sanger sequencing of genomic DNA extracted from peripheral blood leukocytes of family members. The 12 coding exons and the flanking intronic boundaries were amplified with PCR and sequenced in both directions. The patient DNA sequence was compared to the LMNA reference sequence (NM_170707).

4.4. In Silico Transcript Analysis

We employed NNSplice, SpliceScan I, NetGene2, GeneSplicer, and MaxEntScan [56,100,101,102,103,104,105,106,107,108], five freely available and frequently used online in silico computational tools, to predict whether the LMNA mutation under study would likely alter the normal pre-mRNA splicing of LMNA [56,100,101,102,103,104,105,106,107,108]. The results obtained were then integrated using GENSCAN (Massachusetts Institute of Technology, Cambridge, MA, USA), SpliceScan II (New Mexico State University, Las Cruces, NM, USA), and ExonScan (Massachusetts Institute of Technology, Cambridge, MA, USA) to predict how the mis-spliced mRNA transcript may differ from the wild-type mRNA [109,110,111,112]. Twenty percent or greater change in the splice site strength/score was considered significant and likely to alter pre-mRNA splicing of the LMNA message [113,114].

4.5. RNA Isolation and RT-PCR Analysis

RNA was extracted from fibroblast cultures (~70–80% confluent) according to the manufacturer’s instructions (TriReagent; Molecular Research Center, Cincinnati, OH, USA and TransMax Nuclear Extraction Kit; Genlantis, San Diego, CA, USA).
cDNA synthesis from the isolated RNA was carried out using oligo dT primers included in the SuperScript III First-Strand Synthesis System (Invitrogen catalogue number 18080-051, Carlsbad, CA, USA). RT-PCR analysis was carried out using 2.5× Eppendorf HotMasterMix (Eppendorf, Hamburg, Germany) according to the manufacturer’s instructions. RT-PCR primers were designed to span exon:exon junctions to prevent amplification of genomic DNA. RT-PCR reaction products were analyzed with 1–2% agarose gel electrophoresis. Primer sequences used for these reactions are available in Table S2.
Sequencing of PCR products amplified from peripheral blood leukocytes and fibroblast-derived cDNA was performed at the University of Iowa Institute of Human Genetics-Genomics Division Core facility following purification with the QIAquick PCR Purification Kit (Qiagen, Germantown, MD, USA).

4.6. Whole Genome Sequencing and Bioinformatic Analysis

DNA extracted from peripheral blood leukocytes for clinical use was obtained from the University of Iowa Hospital and Clinics (UIHC) Molecular Pathology Laboratory with Institutional Review Board approval (IRB#200510769) and treated with RNase H. After treatment, genomic DNA was concentrated using the Zymo Research Genomic DNA Clean & Concentrator Kit (Zymo Research, catalog #D-4010, Irvine, CA, USA) and the amount of DNA was measured using a NanoDrop 2000 (Thermo Scientific, Waltham, MA, USA). DNA samples were electrophoresed on a 1% agarose/TAE gel to ensure that the gDNA was not degraded and concentration was measured again with a Qubit dsDNA HS Assay Kit (Molecular Probes/Life Technologies, catalog #Q32851, Carlsbad, CA, USA) and a Qubit 2.0 Fluorometer to ensure high quality for sequencing. Samples were submitted to the Iowa Institute of Human Genetics-Genomics Division Core facility for whole genome sequencing. Samples were sequenced using an Illumina NovaSeq 6000 with an S4 flow cell. Sequencing was run using paired end reads for 300 cycles for a mean depth of coverage of 35X.
Reads were aligned to the GRCh37/UCSC hg19 reference genome with BWA-MEM, a Burrows–Wheeler aligner, and results were stored in the SAM/BAM format [62]. Single-nucleotide variants and small insertions/deletions were detected using HaplotypeCaller from the Genome Analysis Toolkit (Broad Institute, Cambridge, MA, USA) [115]. Variants were then annotated and filtered in VarSeq for quality control, proper phenotype segregation, a minor allele frequency of <5% in the gnomAD and 1000 Genomes databases [73,116], and to predict loss-of-function or missense mutations (VarSeq [Version 2.3]; Golden Helix, Inc., Bozeman, MT, USA). Retained variants and the genes containing them were then prioritized and ranked using a combination of conservation metrics (GERP, PhyloP), constraint metrics (missense z-score and pLI), in silico predictors of pathogenicity (SIFT, PolyPhen-2, MutationTaster, MutationAssessor, FATHMM, and FATHMM-MKL), relevant tissue expression (GTEx), and PhoRank, a tool available in VarSeq modeled on the Phevor algorithm, that combines phenotype, gene function, and disease information from many ontologies, to prioritize disease-causing alleles [62,63,64,65,66,67,68,69,70,71,72,73].

4.7. Immunostaining of Skeletal Muscle Tissue

Residual frozen tissue from diagnostic human muscle biopsies were obtained from the University of Iowa Wellstone Muscular Dystrophy Specialized Research Center. Cryosections were prepared on glass slides and maintained at −80 °C. Immunostaining was preformed according to a previously published protocol [90]. In brief, slides were placed in blocking buffer [PBS2+ (130 mM NaCl, 3 mM Na2HPO4, 3 mM NaH2PO4, 10 mM EGTA), 0.1% Triton-X100, 0.1% BSA] for 1 h at room temperature. Primary antibodies were diluted in blocking buffer and 40 microliters of primary antibody solution were pipetted onto each sample. Samples were covered with parafilm and incubated in the dark in a sealed humidified chamber for one hour at room temperature. Slides were washed in PBS2+ and stained with appropriate secondary antibodies conjugated to Alexa-488, Rhodamine Red-X, or Texas Red-X (Invitrogen, Thermo Fisher Scientific, Waltham, MA, USA) and under the same conditions as the primary antibody. Slides were washed with PBS2+ and a coverslip mounted with 10 microliters of Vectashield with DAPI (Vector Laboratories, Newark, CA, USA). Slides were imaged on a Leica THUNDER Imager Live Cell & 3D Assay imaging system using a 63X objective (Leica Microsystems, Wetzlar, Germany).

Supplementary Materials

The following supporting information can be downloaded at: https://www.mdpi.com/article/10.3390/ijms25094930/s1.

Author Contributions

Conceptualization, S.A.M., K.D.M., B.W.D. and L.L.W.; methodology, S.A.M., B.W.D. and L.L.W.; formal analysis, N.P.M., E.A., E.M.C. and B.W.D.; investigation, N.P.M., E.A., E.M.C., S.A.M., K.D.M., B.W.D. and L.L.W.; resources, S.A.M., K.D.M., B.W.D. and L.L.W.; data curation, N.P.M., E.M.C., E.A., B.W.D., S.A.M. and K.D.M.; writing—original draft preparation, N.P.M. and E.M.C.; writing—review and editing, S.A.M., K.D.M., B.W.D. and L.L.W.; supervision, S.A.M., K.D.M., B.W.D. and L.L.W.; project administration, S.A.M., K.D.M., B.W.D. and L.L.W.; funding acquisition, S.A.M., K.D.M., B.W.D. and L.L.W. All authors have read and agreed to the published version of the manuscript.

Funding

This research was funded by NIH-NIAMS, grant #R21AR075193 to L.L.W and B.W.D., Muscular Dystrophy Association, Research Grant 22-1061420 to L.L.W., and NIH-GM, grant #T32GM144636 to N.P.M. Biological specimens were supported by the Paul D. Wellstone Muscular Dystrophy Specialized Research Center NIH grant #1U54NS053672 to K.P.C, S.A.M., and K.D.M.

Institutional Review Board Statement

This study was conducted in accordance with the Declaration of Helsinki and approved by the Institutional Review Board of The University of Iowa (ID#200510769, Original Approval: 02/16/2006, Current Approval: 07/06/2023) for the Wellstone Muscular Dystrophy Specialized Research Center (MDSRC).

Informed Consent Statement

Informed consent was obtained from all subjects involved in this study prior to the placement of their samples in the Iowa MDSRC Repository.

Data Availability Statement

The raw data supporting the conclusions of this article will be made available from the authors on request.

Acknowledgments

The authors would like to acknowledge A.A. Stence, B.M. Cabuay, and P.L. Nagy for their foundational research on this project. We also acknowledge P.K. Geyer for use of the Leica Thunder Microscope and the patients and their family members for consenting to this research.

Conflicts of Interest

The authors declare no conflicts of interest.

References

  1. Ahn, J.; Jo, I.; Kang, S.M.; Hong, S.; Kim, S.; Jeong, S.; Kim, Y.H.; Park, B.J.; Ha, N.C. Structural basis for lamin assembly at the molecular level. Nat. Commun. 2019, 10, 3757. [Google Scholar] [CrossRef]
  2. Tenga, R.; Medalia, O. Structure and unique mechanical aspects of nuclear lamin filaments. Curr. Opin. Struct. Biol. 2020, 64, 152–159. [Google Scholar] [CrossRef]
  3. Turgay, Y.; Medalia, O. The structure of lamin filaments in somatic cells as revealed by cryo-electron tomography. Nucleus 2017, 8, 475–481. [Google Scholar] [CrossRef]
  4. Dechat, T.; Pfleghaar, K.; Sengupta, K.; Shimi, T.; Shumaker, D.K.; Solimando, L.; Goldman, R.D. Nuclear lamins: Major factors in the structural organization and function of the nucleus and chromatin. Genes Dev. 2008, 22, 832–853. [Google Scholar] [CrossRef]
  5. Dittmer, T.A.; Misteli, T. The lamin protein family. Genome Biol. 2011, 12, 222. [Google Scholar] [CrossRef]
  6. Gruenbaum, Y.; Margalit, A.; Goldman, R.D.; Shumaker, D.K.; Wilson, K.L. The nuclear lamina comes of age. Nat. Rev. Mol. Cell Biol. 2005, 6, 21–31. [Google Scholar] [CrossRef] [PubMed]
  7. Sobo, J.M.; Alagna, N.S.; Sun, S.X.; Wilson, K.L.; Reddy, K.L. Lamins: The backbone of the nucleocytoskeleton interface. Curr. Opin. Cell Biol. 2024, 86, 102313. [Google Scholar] [CrossRef] [PubMed]
  8. Lin, F.; Worman, H.J. Structural organization of the human gene encoding nuclear lamin A and nuclear lamin C. J. Biol. Chem. 1993, 268, 16321–16326. [Google Scholar] [CrossRef]
  9. Lin, F.; Worman, H.J. Structural organization of the human gene (LMNB1) encoding nuclear lamin B1. Genomics 1995, 27, 230–236. [Google Scholar] [CrossRef]
  10. Wydner, K.L.; McNeil, J.A.; Lin, F.; Worman, H.J.; Lawrence, J.B. Chromosomal assignment of human nuclear envelope protein genes LMNA, LMNB1, and LBR by fluorescence in situ hybridization. Genomics 1996, 32, 474–478. [Google Scholar] [CrossRef]
  11. Worman, H.J. Nuclear lamins and laminopathies. J. Pathol. 2012, 226, 316–325. [Google Scholar] [CrossRef]
  12. Worman, H.J.; Courvalin, J.C. How do mutations in lamins A and C cause disease? J. Clin. Investig. 2004, 113, 349–351. [Google Scholar] [CrossRef]
  13. Worman, H.J.; Ostlund, C.; Wang, Y. Diseases of the nuclear envelope. Cold Spring Harb. Perspect. Biol. 2010, 2, a000760. [Google Scholar] [CrossRef]
  14. Crasto, S.; My, I.; Di Pasquale, E. The Broad Spectrum of LMNA Cardiac Diseases: From Molecular Mechanisms to Clinical Phenotype. Front. Physiol. 2020, 11, 761. [Google Scholar] [CrossRef]
  15. Lu, J.T.; Muchir, A.; Nagy, P.L.; Worman, H.J. LMNA cardiomyopathy: Cell biology and genetics meet clinical medicine. Dis. Model. Mech. 2011, 4, 562–568. [Google Scholar] [CrossRef]
  16. Worman, H.J.; Bonne, G. “Laminopathies”: A wide spectrum of human diseases. Exp. Cell Res. 2007, 313, 2121–2133. [Google Scholar] [CrossRef]
  17. Hinz, B.E.; Walker, S.G.; Xiong, A.; Gogal, R.A.; Schnieders, M.J.; Wallrath, L.L. In Silico and In Vivo Analysis of Amino Acid Substitutions That Cause Laminopathies. Int. J. Mol. Sci. 2021, 22, 11226. [Google Scholar] [CrossRef]
  18. Ben Yaou, R.; Yun, P.; Dabaj, I.; Norato, G.; Donkervoort, S.; Xiong, H.; Nascimento, A.; Maggi, L.; Sarkozy, A.; Monges, S.; et al. International retrospective natural history study of LMNA-related congenital muscular dystrophy. Brain Commun. 2021, 3, fcab075. [Google Scholar] [CrossRef]
  19. Mounkes, L.; Kozlov, S.; Burke, B.; Stewart, C.L. The laminopathies: Nuclear structure meets disease. Curr. Opin. Genet. Dev. 2003, 13, 223–230. [Google Scholar] [CrossRef]
  20. Cao, H.; Hegele, R.A. LMNA is mutated in Hutchinson-Gilford progeria (MIM 176670) but not in Wiedemann-Rautenstrauch progeroid syndrome (MIM 264090). J. Hum. Genet. 2003, 48, 271–274. [Google Scholar] [CrossRef]
  21. De Sandre-Giovannoli, A.; Bernard, R.; Cau, P.; Navarro, C.; Amiel, J.; Boccaccio, I.; Lyonnet, S.; Stewart, C.L.; Munnich, A.; Le Merrer, M.; et al. Lamin a truncation in Hutchinson-Gilford progeria. Science 2003, 300, 2055. [Google Scholar] [CrossRef] [PubMed]
  22. Eriksson, M.; Brown, W.T.; Gordon, L.B.; Glynn, M.W.; Singer, J.; Scott, L.; Erdos, M.R.; Robbins, C.M.; Moses, T.Y.; Berglund, P.; et al. Recurrent de novo point mutations in lamin A cause Hutchinson-Gilford progeria syndrome. Nature 2003, 423, 293–298. [Google Scholar] [CrossRef] [PubMed]
  23. Shin, J.Y.; Worman, H.J. Molecular Pathology of Laminopathies. Annu. Rev. Pathol. 2022, 17, 159–180. [Google Scholar] [CrossRef]
  24. Bonne, G.; Di Barletta, M.R.; Varnous, S.; Becane, H.M.; Hammouda, E.H.; Merlini, L.; Muntoni, F.; Greenberg, C.R.; Gary, F.; Urtizberea, J.A.; et al. Mutations in the gene encoding lamin A/C cause autosomal dominant Emery-Dreifuss muscular dystrophy. Nat. Genet. 1999, 21, 285–288. [Google Scholar] [CrossRef] [PubMed]
  25. Carboni, N.; Mateddu, A.; Marrosu, G.; Cocco, E.; Marrosu, M.G. Genetic and clinical characteristics of skeletal and cardiac muscle in patients with lamin A/C gene mutations. Muscle Nerve 2013, 48, 161–170. [Google Scholar] [CrossRef] [PubMed]
  26. Muchir, A.; Bonne, G.; van der Kooi, A.J.; van Meegen, M.; Baas, F.; Bolhuis, P.A.; de Visser, M.; Schwartz, K. Identification of mutations in the gene encoding lamins A/C in autosomal dominant limb girdle muscular dystrophy with atrioventricular conduction disturbances (LGMD1B). Hum. Mol. Genet. 2000, 9, 1453–1459. [Google Scholar] [CrossRef] [PubMed]
  27. Wicklund, M.P.; Kissel, J.T. The limb-girdle muscular dystrophies. Neurol. Clin. 2014, 32, 729–749, ix. [Google Scholar] [CrossRef]
  28. Mathews, K.D.; Moore, S.A. Limb-girdle muscular dystrophy. Curr. Neurol. Neurosci. Rep. 2003, 3, 78–85. [Google Scholar] [CrossRef] [PubMed]
  29. Angelini, C. LGMD. Identification, description and classification. Acta Myol. 2020, 39, 207–217. [Google Scholar] [CrossRef]
  30. Groh, W.J. Arrhythmias in the muscular dystrophies. Heart Rhythm. 2012, 9, 1890–1895. [Google Scholar] [CrossRef]
  31. Petillo, R.; D’Ambrosio, P.; Torella, A.; Taglia, A.; Picillo, E.; Testori, A.; Ergoli, M.; Nigro, G.; Piluso, G.; Nigro, V.; et al. Novel mutations in LMNA A/C gene and associated phenotypes. Acta Myol. 2015, 34, 116–119. [Google Scholar] [PubMed]
  32. Brodsky, G.L.; Muntoni, F.; Miocic, S.; Sinagra, G.; Sewry, C.; Mestroni, L. Lamin A/C gene mutation associated with dilated cardiomyopathy with variable skeletal muscle involvement. Circulation 2000, 101, 473–476. [Google Scholar] [CrossRef]
  33. Carboni, N.; Mura, M.; Marrosu, G.; Cocco, E.; Ahmad, M.; Solla, E.; Mateddu, A.; Maioli, M.A.; Marini, S.; Nissardi, V.; et al. Muscle MRI findings in patients with an apparently exclusive cardiac phenotype due to a novel LMNA gene mutation. Neuromuscul. Disord. 2008, 18, 291–298. [Google Scholar] [CrossRef] [PubMed]
  34. Anderson, C.L.; Langer, E.R.; Routes, T.C.; McWilliams, S.F.; Bereslavskyy, I.; Kamp, T.J.; Eckhardt, L.L. Most myopathic lamin variants aggregate: A functional genomics approach for assessing variants of uncertain significance. NPJ Genom. Med. 2021, 6, 103. [Google Scholar] [CrossRef]
  35. Lazarte, J.; Jurgens, S.J.; Choi, S.H.; Khurshid, S.; Morrill, V.N.; Weng, L.C.; Nauffal, V.; Pirruccello, J.P.; Halford, J.L.; Hegele, R.A.; et al. LMNA Variants and Risk of Adult-Onset Cardiac Disease. J. Am. Coll. Cardiol. 2022, 80, 50–59. [Google Scholar] [CrossRef] [PubMed]
  36. Lin, E.W.; Brady, G.F.; Kwan, R.; Nesvizhskii, A.I.; Omary, M.B. Genotype-phenotype analysis of LMNA-related diseases predicts phenotype-selective alterations in lamin phosphorylation. FASEB J. 2020, 34, 9051–9073. [Google Scholar] [CrossRef]
  37. Scharner, J.; Lu, H.C.; Fraternali, F.; Ellis, J.A.; Zammit, P.S. Mapping disease-related missense mutations in the immunoglobulin-like fold domain of lamin A/C reveals novel genotype-phenotype associations for laminopathies. Proteins 2014, 82, 904–915. [Google Scholar] [CrossRef] [PubMed]
  38. Storey, E.C.; Fuller, H.R. Genotype-Phenotype Correlations in Human Diseases Caused by Mutations of LINC Complex-Associated Genes: A Systematic Review and Meta-Summary. Cells 2022, 11, 4065. [Google Scholar] [CrossRef]
  39. Bonne, G.; Mercuri, E.; Muchir, A.; Urtizberea, A.; Becane, H.M.; Recan, D.; Merlini, L.; Wehnert, M.; Boor, R.; Reuner, U.; et al. Clinical and molecular genetic spectrum of autosomal dominant Emery-Dreifuss muscular dystrophy due to mutations of the lamin A/C gene. Ann. Neurol. 2000, 48, 170–180. [Google Scholar] [CrossRef] [PubMed]
  40. Mercuri, E.; Poppe, M.; Quinlivan, R.; Messina, S.; Kinali, M.; Demay, L.; Bourke, J.; Richard, P.; Sewry, C.; Pike, M.; et al. Extreme variability of phenotype in patients with an identical missense mutation in the lamin A/C gene: From congenital onset with severe phenotype to milder classic Emery-Dreifuss variant. Arch. Neurol. 2004, 61, 690–694. [Google Scholar] [CrossRef]
  41. Rankin, J.; Auer-Grumbach, M.; Bagg, W.; Colclough, K.; Nguyen, T.D.; Fenton-May, J.; Hattersley, A.; Hudson, J.; Jardine, P.; Josifova, D.; et al. Extreme phenotypic diversity and nonpenetrance in families with the LMNA gene mutation R644C. Am. J. Med. Genet. Part A 2008, 146A, 1530–1542. [Google Scholar] [CrossRef] [PubMed]
  42. Cesar, S.; Coll, M.; Fiol, V.; Fernandez-Falgueras, A.; Cruzalegui, J.; Iglesias, A.; Moll, I.; Perez-Serra, A.; Martinez-Barrios, E.; Ferrer-Costa, C.; et al. LMNA-related muscular dystrophy: Identification of variants in alternative genes and personalized clinical translation. Front. Genet. 2023, 14, 1135438. [Google Scholar] [CrossRef] [PubMed]
  43. Meinke, P.; Mattioli, E.; Haque, F.; Antoku, S.; Columbaro, M.; Straatman, K.R.; Worman, H.J.; Gundersen, G.G.; Lattanzi, G.; Wehnert, M.; et al. Muscular dystrophy-associated SUN1 and SUN2 variants disrupt nuclear-cytoskeletal connections and myonuclear organization. PLoS Genet. 2014, 10, e1004605. [Google Scholar] [CrossRef] [PubMed]
  44. Granger, B.; Gueneau, L.; Drouin-Garraud, V.; Pedergnana, V.; Gagnon, F.; Ben Yaou, R.; Tezenas du Montcel, S.; Bonne, G. Modifier locus of the skeletal muscle involvement in Emery-Dreifuss muscular dystrophy. Hum. Genet. 2011, 129, 149–159. [Google Scholar] [CrossRef] [PubMed]
  45. Lamar, K.M.; McNally, E.M. Genetic Modifiers for Neuromuscular Diseases. J. Neuromuscul. Dis. 2014, 1, 3–13. [Google Scholar] [CrossRef] [PubMed]
  46. Rahit, K.; Tarailo-Graovac, M. Genetic Modifiers and Rare Mendelian Disease. Genes 2020, 11, 239. [Google Scholar] [CrossRef] [PubMed]
  47. Blauwendraat, C.; Reed, X.; Krohn, L.; Heilbron, K.; Bandres-Ciga, S.; Tan, M.; Gibbs, J.R.; Hernandez, D.G.; Kumaran, R.; Langston, R.; et al. Genetic modifiers of risk and age at onset in GBA associated Parkinson’s disease and Lewy body dementia. Brain 2020, 143, 234–248. [Google Scholar] [CrossRef]
  48. Ryan, N.M.; Lihm, J.; Kramer, M.; McCarthy, S.; Morris, S.W.; Arnau-Soler, A.; Davies, G.; Duff, B.; Ghiban, E.; Hayward, C.; et al. DNA sequence-level analyses reveal potential phenotypic modifiers in a large family with psychiatric disorders. Mol. Psychiatry 2018, 23, 2254–2265. [Google Scholar] [CrossRef]
  49. Wilk, M.A.; Braun, A.T.; Farrell, P.M.; Laxova, A.; Brown, D.M.; Holt, J.M.; Birch, C.L.; Sosonkina, N.; Wilk, B.M.; Worthey, E.A. Applying whole-genome sequencing in relation to phenotype and outcomes in siblings with cystic fibrosis. Mol. Case Stud. 2020, 6, a004531. [Google Scholar] [CrossRef]
  50. Ogasawara, M.; Nishino, I. A review of core myopathy: Central core disease, multiminicore disease, dusty core disease, and core-rod myopathy. Neuromuscul. Disord. 2021, 31, 968–977. [Google Scholar] [CrossRef]
  51. Topaloglu, H. Core myopathies—A short review. Acta Myol. 2020, 39, 266–273. [Google Scholar] [CrossRef]
  52. Mathews, K.D.; Moore, S.A. Multiminicore myopathy, central core disease, malignant hyperthermia susceptibility, and RYR1 mutations: One disease with many faces? Arch. Neurol. 2004, 61, 27–29. [Google Scholar] [CrossRef] [PubMed]
  53. Moore, S.A.; Shilling, C.J.; Westra, S.; Wall, C.; Wicklund, M.P.; Stolle, C.; Brown, C.A.; Michele, D.E.; Piccolo, F.; Winder, T.L.; et al. Limb-girdle muscular dystrophy in the United States. J. Neuropathol. Exp. Neurol. 2006, 65, 995–1003. [Google Scholar] [CrossRef] [PubMed]
  54. van Rijsingen, I.A.; Nannenberg, E.A.; Arbustini, E.; Elliott, P.M.; Mogensen, J.; Hermans-van Ast, J.F.; van der Kooi, A.J.; van Tintelen, J.P.; van den Berg, M.P.; Grasso, M.; et al. Gender-specific differences in major cardiac events and mortality in lamin A/C mutation carriers. Eur. J. Hear. Fail. 2013, 15, 376–384. [Google Scholar] [CrossRef] [PubMed]
  55. Darbro, B.; Cox, E.M.; Stence, A.A.; Cabuay, B.M.; Mathews, K.D.; Nagy, P.L.; Moore, S.A. In silico and experimental analysis of a novel intronic LMNA DNA variation implicated in Limb Girdle Muscular Dystrophy Type 1B and Dilated Cardiomyopathy. In Proceedings of the 60th Annual Meeting of the American Society of Human Genetics, Washington, DC, USA, 2–6 November 2010. Abstract 847F. [Google Scholar]
  56. Hartmann, L.; Theiss, S.; Niederacher, D.; Schaal, H. Diagnostics of pathogenic splicing mutations: Does bioinformatics cover all bases? Front. Biosci. 2008, 13, 3252–3272. [Google Scholar] [CrossRef] [PubMed]
  57. Joyce, N.C.; Oskarsson, B.; Jin, L.W. Muscle biopsy evaluation in neuromuscular disorders. Phys. Med. Rehabil. Clin. N. Am. 2012, 23, 609–631. [Google Scholar] [CrossRef] [PubMed]
  58. Nix, J.S.; Moore, S.A. What Every Neuropathologist Needs to Know: The Muscle Biopsy. J. Neuropathol. Exp. Neurol. 2020, 79, 719–733. [Google Scholar] [CrossRef] [PubMed]
  59. Hayashi, K.; Miller, R.G.; Brownell, A.K. Central core disease: Ultrastructure of the sarcoplasmic reticulum and T-tubules. Muscle Nerve 1989, 12, 95–102. [Google Scholar] [CrossRef] [PubMed]
  60. Palmucci, L.; Schiffer, D.; Monga, G.; Mollo, F.; de Marchi, M. Central core disease: Histochemical and ultrastructural study of muscle biopsies of father and daughter. J. Neurol. 1978, 218, 55–62. [Google Scholar] [CrossRef]
  61. Lawal, T.A.; Todd, J.J.; Meilleur, K.G. Ryanodine Receptor 1-Related Myopathies: Diagnostic and Therapeutic Approaches. Neurotherapeutics 2018, 15, 885–899. [Google Scholar] [CrossRef]
  62. Li, H.; Durbin, R. Fast and accurate short read alignment with Burrows-Wheeler transform. Bioinformatics 2009, 25, 1754–1760. [Google Scholar] [CrossRef]
  63. Cooper, G.M.; Stone, E.A.; Asimenos, G.; Program, N.C.S.; Green, E.D.; Batzoglou, S.; Sidow, A. Distribution and intensity of constraint in mammalian genomic sequence. Genome Res. 2005, 15, 901–913. [Google Scholar] [CrossRef] [PubMed]
  64. Pollard, K.S.; Hubisz, M.J.; Rosenbloom, K.R.; Siepel, A. Detection of nonneutral substitution rates on mammalian phylogenies. Genome Res. 2010, 20, 110–121. [Google Scholar] [CrossRef] [PubMed]
  65. Ng, P.C.; Henikoff, S. SIFT: Predicting amino acid changes that affect protein function. Nucleic Acids Res. 2003, 31, 3812–3814. [Google Scholar] [CrossRef] [PubMed]
  66. Adzhubei, I.; Jordan, D.M.; Sunyaev, S.R. Predicting functional effect of human missense mutations using PolyPhen-2. Curr. Protoc. Hum. Genet. 2013, 76, 7–20. [Google Scholar] [CrossRef]
  67. Schwarz, J.M.; Rodelsperger, C.; Schuelke, M.; Seelow, D. MutationTaster evaluates disease-causing potential of sequence alterations. Nat. Methods 2010, 7, 575–576. [Google Scholar] [CrossRef]
  68. Reva, B.; Antipin, Y.; Sander, C. Predicting the functional impact of protein mutations: Application to cancer genomics. Nucleic Acids Res. 2011, 39, e118. [Google Scholar] [CrossRef] [PubMed]
  69. Shihab, H.A.; Gough, J.; Cooper, D.N.; Stenson, P.D.; Barker, G.L.; Edwards, K.J.; Day, I.N.; Gaunt, T.R. Predicting the functional, molecular, and phenotypic consequences of amino acid substitutions using hidden Markov models. Hum. Mutat. 2013, 34, 57–65. [Google Scholar] [CrossRef]
  70. Shihab, H.A.; Rogers, M.F.; Gough, J.; Mort, M.; Cooper, D.N.; Day, I.N.; Gaunt, T.R.; Campbell, C. An integrative approach to predicting the functional effects of non-coding and coding sequence variation. Bioinformatics 2015, 31, 1536–1543. [Google Scholar] [CrossRef]
  71. Consortium, G.T. The Genotype-Tissue Expression (GTEx) project. Nat. Genet. 2013, 45, 580–585. [Google Scholar] [CrossRef]
  72. Singleton, M.V.; Guthery, S.L.; Voelkerding, K.V.; Chen, K.; Kennedy, B.; Margraf, R.L.; Durtschi, J.; Eilbeck, K.; Reese, M.G.; Jorde, L.B.; et al. Phevor combines multiple biomedical ontologies for accurate identification of disease-causing alleles in single individuals and small nuclear families. Am. J. Hum. Genet. 2014, 94, 599–610. [Google Scholar] [CrossRef] [PubMed]
  73. Karczewski, K.J.; Francioli, L.C.; Tiao, G.; Cummings, B.B.; Alfoldi, J.; Wang, Q.; Collins, R.L.; Laricchia, K.M.; Ganna, A.; Birnbaum, D.P.; et al. The mutational constraint spectrum quantified from variation in 141,456 humans. Nature 2020, 581, 434–443. [Google Scholar] [CrossRef]
  74. Majczenko, K.; Davidson, A.E.; Camelo-Piragua, S.; Agrawal, P.B.; Manfready, R.A.; Li, X.; Joshi, S.; Xu, J.; Peng, W.; Beggs, A.H.; et al. Dominant mutation of CCDC78 in a unique congenital myopathy with prominent internal nuclei and atypical cores. Am. J. Hum. Genet. 2012, 91, 365–371. [Google Scholar] [CrossRef] [PubMed]
  75. Katsuragi, Y.; Ichimura, Y.; Komatsu, M. p62/SQSTM1 functions as a signaling hub and an autophagy adaptor. FEBS J. 2015, 282, 4672–4678. [Google Scholar] [CrossRef]
  76. Jeong, S.J.; Zhang, X.; Rodriguez-Velez, A.; Evans, T.D.; Razani, B. p62/SQSTM1 and Selective Autophagy in Cardiometabolic Diseases. Antioxid. Redox Signal. 2019, 31, 458–471. [Google Scholar] [CrossRef]
  77. Lamark, T.; Svenning, S.; Johansen, T. Regulation of selective autophagy: The p62/SQSTM1 paradigm. Essays Biochem. 2017, 61, 609–624. [Google Scholar] [CrossRef]
  78. Sedaghat-Hamedani, F.; Rebs, S.; Kayvanpour, E.; Zhu, C.; Amr, A.; Muller, M.; Haas, J.; Wu, J.; Steinmetz, L.M.; Ehlermann, P.; et al. Genotype Complements the Phenotype: Identification of the Pathogenicity of an LMNA Splice Variant by Nanopore Long-Read Sequencing in a Large DCM Family. Int. J. Mol. Sci. 2022, 23, 12230. [Google Scholar] [CrossRef]
  79. Rogozhina, Y.; Mironovich, S.; Shestak, A.; Adyan, T.; Polyakov, A.; Podolyak, D.; Bakulina, A.; Dzemeshkevich, S.; Zaklyazminskaya, E. New intronic splicing mutation in the LMNA gene causing progressive cardiac conduction defects and variable myopathy. Gene 2016, 595, 202–206. [Google Scholar] [CrossRef]
  80. Widyastuti, H.P.; Norden-Krichmar, T.M.; Grosberg, A.; Zaragoza, M.V. Gene expression profiling of fibroblasts in a family with LMNA-related cardiomyopathy reveals molecular pathways implicated in disease pathogenesis. BMC Med. Genet. 2020, 21, 152. [Google Scholar] [CrossRef]
  81. Zaragoza, M.V.; Fung, L.; Jensen, E.; Oh, F.; Cung, K.; McCarthy, L.A.; Tran, C.K.; Hoang, V.; Hakim, S.A.; Grosberg, A. Exome Sequencing Identifies a Novel LMNA Splice-Site Mutation and Multigenic Heterozygosity of Potential Modifiers in a Family with Sick Sinus Syndrome, Dilated Cardiomyopathy, and Sudden Cardiac Death. PLoS ONE 2016, 11, e0155421. [Google Scholar] [CrossRef]
  82. Ito, K.; Patel, P.N.; Gorham, J.M.; McDonough, B.; DePalma, S.R.; Adler, E.E.; Lam, L.; MacRae, C.A.; Mohiuddin, S.M.; Fatkin, D.; et al. Identification of pathogenic gene mutations in LMNA and MYBPC3 that alter RNA splicing. Proc. Natl. Acad. Sci. USA 2017, 114, 7689–7694. [Google Scholar] [CrossRef]
  83. Al-Saaidi, R.; Rasmussen, T.B.; Palmfeldt, J.; Nissen, P.H.; Beqqali, A.; Hansen, J.; Pinto, Y.M.; Boesen, T.; Mogensen, J.; Bross, P. The LMNA mutation p.Arg321Ter associated with dilated cardiomyopathy leads to reduced expression and a skewed ratio of lamin A and lamin C proteins. Exp. Cell Res. 2013, 319, 3010–3019. [Google Scholar] [CrossRef]
  84. Carmosino, M.; Gerbino, A.; Schena, G.; Procino, G.; Miglionico, R.; Forleo, C.; Favale, S.; Svelto, M. The expression of Lamin A mutant R321X leads to endoplasmic reticulum stress with aberrant Ca(2+) handling. J. Cell. Mol. Med. 2016, 20, 2194–2207. [Google Scholar] [CrossRef]
  85. Geiger, S.K.; Bar, H.; Ehlermann, P.; Walde, S.; Rutschow, D.; Zeller, R.; Ivandic, B.T.; Zentgraf, H.; Katus, H.A.; Herrmann, H.; et al. Incomplete nonsense-mediated decay of mutant lamin A/C mRNA provokes dilated cardiomyopathy and ventricular tachycardia. J. Mol. Med. 2008, 86, 281–289. [Google Scholar] [CrossRef]
  86. Kato, K.; Ohno, S.; Sonoda, K.; Fukuyama, M.; Makiyama, T.; Ozawa, T.; Horie, M. LMNA Missense Mutation Causes Nonsense-Mediated mRNA Decay and Severe Dilated Cardiomyopathy. Circ. Genom. Precis. Med. 2020, 13, 435–443. [Google Scholar] [CrossRef]
  87. Tao, J.; Duan, J.; Pi, X.; Wang, H.; Li, S. A splicing LMNA mutation causing laminopathies accompanied by aortic valve malformation. J. Clin. Lab. Anal. 2021, 35, e23736. [Google Scholar] [CrossRef] [PubMed]
  88. Shaw, N.M.; Rios-Monterrosa, J.L.; Fedorchak, G.R.; Ketterer, M.R.; Coombs, G.S.; Lammerding, J.; Wallrath, L.L. Effects of mutant lamins on nucleo-cytoskeletal coupling in Drosophila models of LMNA muscular dystrophy. Front. Cell Dev. Biol. 2022, 10, 934586. [Google Scholar] [CrossRef]
  89. Dialynas, G.; Shrestha, O.K.; Ponce, J.M.; Zwerger, M.; Thiemann, D.A.; Young, G.H.; Moore, S.A.; Yu, L.; Lammerding, J.; Wallrath, L.L. Myopathic lamin mutations cause reductive stress and activate the nrf2/keap-1 pathway. PLoS Genet. 2015, 11, e1005231. [Google Scholar] [CrossRef] [PubMed]
  90. Dialynas, G.; Flannery, K.M.; Zirbel, L.N.; Nagy, P.L.; Mathews, K.D.; Moore, S.A.; Wallrath, L.L. LMNA variants cause cytoplasmic distribution of nuclear pore proteins in Drosophila and human muscle. Hum. Mol. Genet. 2012, 21, 1544–1556. [Google Scholar] [CrossRef]
  91. Coombs, G.S.; Rios-Monterrosa, J.L.; Lai, S.; Dai, Q.; Goll, A.C.; Ketterer, M.R.; Valdes, M.F.; Uche, N.; Benjamin, I.J.; Wallrath, L.L. Modulation of muscle redox and protein aggregation rescues lethality caused by mutant lamins. Redox Biol. 2021, 48, 102196. [Google Scholar] [CrossRef] [PubMed]
  92. Park, Y.E.; Hayashi, Y.K.; Goto, K.; Komaki, H.; Hayashi, Y.; Inuzuka, T.; Noguchi, S.; Nonaka, I.; Nishino, I. Nuclear changes in skeletal muscle extend to satellite cells in autosomal dominant Emery-Dreifuss muscular dystrophy/limb-girdle muscular dystrophy 1B. Neuromuscul. Disord. 2009, 19, 29–36. [Google Scholar] [CrossRef] [PubMed]
  93. Robinson, R.; Carpenter, D.; Shaw, M.A.; Halsall, J.; Hopkins, P. Mutations in RYR1 in malignant hyperthermia and central core disease. Hum. Mutat. 2006, 27, 977–989. [Google Scholar] [CrossRef]
  94. Dowling, J.J.; Lawlor, M.W.; Dirksen, R.T. Triadopathies: An emerging class of skeletal muscle diseases. Neurotherapeutics 2014, 11, 773–785. [Google Scholar] [CrossRef]
  95. Tang, T.K. Centriole biogenesis in multiciliated cells. Nat. Cell Biol. 2013, 15, 1400–1402. [Google Scholar] [CrossRef]
  96. Kim, S.K.; Brotslaw, E.; Thome, V.; Mitchell, J.; Ventrella, R.; Collins, C.; Mitchell, B. A role for Cep70 in centriole amplification in multiciliated cells. Dev. Biol. 2021, 471, 10–17. [Google Scholar] [CrossRef]
  97. Klos Dehring, D.A.; Vladar, E.K.; Werner, M.E.; Mitchell, J.W.; Hwang, P.; Mitchell, B.J. Deuterosome-mediated centriole biogenesis. Dev. Cell 2013, 27, 103–112. [Google Scholar] [CrossRef] [PubMed]
  98. Truebestein, L.; Leonard, T.A. Coiled-coils: The long and short of it. Bioessays 2016, 38, 903–916. [Google Scholar] [CrossRef]
  99. Hartmann, M.D. Functional and Structural Roles of Coiled Coils. Fibrous Proteins Struct. Mech. 2017, 82, 63–93. [Google Scholar] [CrossRef]
  100. Brunak, S.; Engelbrecht, J.; Knudsen, S. Prediction of human mRNA donor and acceptor sites from the DNA sequence. J. Mol. Biol. 1991, 220, 49–65. [Google Scholar] [CrossRef]
  101. Buratti, E.; Chivers, M.; Kralovicova, J.; Romano, M.; Baralle, M.; Krainer, A.R.; Vorechovsky, I. Aberrant 5′ splice sites in human disease genes: Mutation pattern, nucleotide structure and comparison of computational tools that predict their utilization. Nucleic Acids Res. 2007, 35, 4250–4263. [Google Scholar] [CrossRef]
  102. Churbanov, A.; Rogozin, I.B.; Deogun, J.S.; Ali, H. Method of predicting splice sites based on signal interactions. Biol. Direct 2006, 1, 10. [Google Scholar] [CrossRef] [PubMed][Green Version]
  103. Eng, L.; Coutinho, G.; Nahas, S.; Yeo, G.; Tanouye, R.; Babaei, M.; Dork, T.; Burge, C.; Gatti, R.A. Nonclassical splicing mutations in the coding and noncoding regions of the ATM Gene: Maximum entropy estimates of splice junction strengths. Hum. Mutat. 2004, 23, 67–76. [Google Scholar] [CrossRef] [PubMed]
  104. Hebsgaard, S.M.; Korning, P.G.; Tolstrup, N.; Engelbrecht, J.; Rouze, P.; Brunak, S. Splice site prediction in Arabidopsis thaliana pre-mRNA by combining local and global sequence information. Nucleic Acids Res. 1996, 24, 3439–3452. [Google Scholar] [CrossRef] [PubMed]
  105. Pertea, M.; Lin, X.; Salzberg, S.L. GeneSplicer: A new computational method for splice site prediction. Nucleic Acids Res. 2001, 29, 1185–1190. [Google Scholar] [CrossRef]
  106. Reese, M.G.; Eeckman, F.H.; Kulp, D.; Haussler, D. Improved splice site detection in Genie. J. Comput. Biol. 1997, 4, 311–323. [Google Scholar] [CrossRef] [PubMed]
  107. Wimmer, K.; Roca, X.; Beiglbock, H.; Callens, T.; Etzler, J.; Rao, A.R.; Krainer, A.R.; Fonatsch, C.; Messiaen, L. Extensive in silico analysis of NF1 splicing defects uncovers determinants for splicing outcome upon 5′ splice-site disruption. Hum. Mutat. 2007, 28, 599–612. [Google Scholar] [CrossRef] [PubMed]
  108. Yeo, G.; Burge, C.B. Maximum entropy modeling of short sequence motifs with applications to RNA splicing signals. J. Comput. Biol. 2004, 11, 377–394. [Google Scholar] [CrossRef] [PubMed]
  109. Burge, C.; Karlin, S. Prediction of complete gene structures in human genomic DNA. J. Mol. Biol. 1997, 268, 78–94. [Google Scholar] [CrossRef] [PubMed]
  110. Burge, C.B.; Karlin, S. Finding the genes in genomic DNA. Curr. Opin. Struct. Biol. 1998, 8, 346–354. [Google Scholar] [CrossRef]
  111. Churbanov, A.; Vorechovsky, I.; Hicks, C. A method of predicting changes in human gene splicing induced by genetic variants in context of cis-acting elements. BMC Bioinform. 2010, 11, 22. [Google Scholar] [CrossRef]
  112. Fairbrother, W.G.; Yeh, R.F.; Sharp, P.A.; Burge, C.B. Predictive identification of exonic splicing enhancers in human genes. Science 2002, 297, 1007–1013. [Google Scholar] [CrossRef] [PubMed]
  113. Holla, O.L.; Nakken, S.; Mattingsdal, M.; Ranheim, T.; Berge, K.E.; Defesche, J.C.; Leren, T.P. Effects of intronic mutations in the LDLR gene on pre-mRNA splicing: Comparison of wet-lab and bioinformatics analyses. Mol. Genet. Metab. 2009, 96, 245–252. [Google Scholar] [CrossRef] [PubMed]
  114. Houdayer, C.; Dehainault, C.; Mattler, C.; Michaux, D.; Caux-Moncoutier, V.; Pages-Berhouet, S.; d’Enghien, C.D.; Lauge, A.; Castera, L.; Gauthier-Villars, M.; et al. Evaluation of in silico splice tools for decision-making in molecular diagnosis. Hum. Mutat. 2008, 29, 975–982. [Google Scholar] [CrossRef] [PubMed]
  115. Van der Auwera, G.A.; Carneiro, M.O.; Hartl, C.; Poplin, R.; Del Angel, G.; Levy-Moonshine, A.; Jordan, T.; Shakir, K.; Roazen, D.; Thibault, J.; et al. From FastQ data to high confidence variant calls: The Genome Analysis Toolkit best practices pipeline. Curr. Protoc. Bioinform. 2013, 43, 11.10.1–11.10.33. [Google Scholar] [CrossRef]
  116. Genomes Project, C.; Auton, A.; Brooks, L.D.; Durbin, R.M.; Garrison, E.P.; Kang, H.M.; Korbel, J.O.; Marchini, J.L.; McCarthy, S.; McVean, G.A.; et al. A global reference for human genetic variation. Nature 2015, 526, 68–74. [Google Scholar] [CrossRef]
Figure 1. The pedigree of a family with dominant skeletal muscle and cardiac disease is shown. AO, age at onset (years) for skeletal muscle disease on the left and cardiac disease on the right; #, LVEF of the individual reduced to 35% upon initial examination and age of onset is presumed to be earlier than reported.
Figure 1. The pedigree of a family with dominant skeletal muscle and cardiac disease is shown. AO, age at onset (years) for skeletal muscle disease on the left and cardiac disease on the right; #, LVEF of the individual reduced to 35% upon initial examination and age of onset is presumed to be earlier than reported.
Ijms 25 04930 g001
Figure 2. Cardiac pathology of two family members with heart failure. (A) Photomicrographs of cardiac tissue from the autopsy of I.2 stained with hematoxylin and eosin (left) and Masson trichrome (right); illustrates myocardial fibrosis, hypertrophic cardiomyocytes, and large, pleomorphic myocyte nuclei. (B) Photomicrographs of tissue from the explanted heart from individual II.2; illustrates features of chronic heart failure like individual I.2. Scale bar for all photomicrographs = 50 µm. (C) Gross photograph of the explanted heart from individual II.2; depicts ventricular dilation and scarring of the left ventricular wall and interventricular septum (grey–white regions within the dark brown cardiac muscle). Scale bar = 1 cm.
Figure 2. Cardiac pathology of two family members with heart failure. (A) Photomicrographs of cardiac tissue from the autopsy of I.2 stained with hematoxylin and eosin (left) and Masson trichrome (right); illustrates myocardial fibrosis, hypertrophic cardiomyocytes, and large, pleomorphic myocyte nuclei. (B) Photomicrographs of tissue from the explanted heart from individual II.2; illustrates features of chronic heart failure like individual I.2. Scale bar for all photomicrographs = 50 µm. (C) Gross photograph of the explanted heart from individual II.2; depicts ventricular dilation and scarring of the left ventricular wall and interventricular septum (grey–white regions within the dark brown cardiac muscle). Scale bar = 1 cm.
Ijms 25 04930 g002
Figure 3. Skeletal muscle tissue from individuals in generation II exhibit dystrophic features. (A) Cryosections of muscle biopsies from individuals II.1, II.2, and II.4 stained with H&E show abnormal variation in fiber size and increased internal nuclei relative to the “no diagnostic abnormality” controls (CTRL), as well as scattered muscle fibers undergoing necrosis or regeneration. Note that the cryosection of muscle biopsy from individual II.3 shows milder dystrophic features. Scale bar for all photomicrographs = 50 µm. (B) Electron microscopy of muscle biopsy tissue from individual II.1 depicts nuclear invaginations that are not present in muscle from a control (CTRL). Scale bar = 1 µm.
Figure 3. Skeletal muscle tissue from individuals in generation II exhibit dystrophic features. (A) Cryosections of muscle biopsies from individuals II.1, II.2, and II.4 stained with H&E show abnormal variation in fiber size and increased internal nuclei relative to the “no diagnostic abnormality” controls (CTRL), as well as scattered muscle fibers undergoing necrosis or regeneration. Note that the cryosection of muscle biopsy from individual II.3 shows milder dystrophic features. Scale bar for all photomicrographs = 50 µm. (B) Electron microscopy of muscle biopsy tissue from individual II.1 depicts nuclear invaginations that are not present in muscle from a control (CTRL). Scale bar = 1 µm.
Ijms 25 04930 g003
Figure 4. Skeletal muscle tissue from individual II.3 shows fewer regenerating fibers than muscle tissue from their siblings. Cryosections of muscle biopsy tissue from generation II family members stained with antibodies against merosin and embryonic myosin heavy chain (eMHC) show regenerating fibers present in individuals II.1, II.2, and II.4 that are not present in individual II.3 or from a control (CTRL). Scale bar for all photomicrographs = 50 µm.
Figure 4. Skeletal muscle tissue from individual II.3 shows fewer regenerating fibers than muscle tissue from their siblings. Cryosections of muscle biopsy tissue from generation II family members stained with antibodies against merosin and embryonic myosin heavy chain (eMHC) show regenerating fibers present in individuals II.1, II.2, and II.4 that are not present in individual II.3 or from a control (CTRL). Scale bar for all photomicrographs = 50 µm.
Ijms 25 04930 g004
Figure 5. PCR was used to validate the effect of the LMNA mutation on pre-mRNA splicing. (A) A linear diagram of LMNA gene with the location of the altered nucleotide shown by the arrow. A linear diagram of the lamin A/C protein with the protein domains and the location of the resulting amino acid substitution indicated by the arrow. (B) PCR primers were designed to detect the presence of a predicted spliced mRNA lacking the five terminal nucleotides of exon three (predicted with in silico analysis) in fibroblasts of an affected family member. A PCR primer was designed to differentially amplify this mutant transcript and wild-type transcript. (C) RT-PCR analysis of total mRNA extracted from fibroblasts of a control and an affected family member using the mutant transcript specific primer. The annealing temperature of the PCR reaction was increased from 58 °C to nearly 67 °C resulting in differential amplification of the wild-type transcript (highest efficiency at lower temperatures) and mutant transcript (high efficiency at both lower and higher temperatures). (D) Sanger sequencing of DNA amplification products from RT-PCR analysis at 58 °C and 66.6 °C is shown. Both the primary (most abundant) and secondary (less abundant) transcript sequences are highlighted. Sequencing using the forward primer revealed that the predicted mutant transcript is present and can be enriched at higher annealing temperatures. The results of the sequencing analysis provide evidence that the predicted mutant transcript is produced at significant levels in the fibroblasts from an affected family member, and that it may also be produced in the control fibroblasts at a very low level.
Figure 5. PCR was used to validate the effect of the LMNA mutation on pre-mRNA splicing. (A) A linear diagram of LMNA gene with the location of the altered nucleotide shown by the arrow. A linear diagram of the lamin A/C protein with the protein domains and the location of the resulting amino acid substitution indicated by the arrow. (B) PCR primers were designed to detect the presence of a predicted spliced mRNA lacking the five terminal nucleotides of exon three (predicted with in silico analysis) in fibroblasts of an affected family member. A PCR primer was designed to differentially amplify this mutant transcript and wild-type transcript. (C) RT-PCR analysis of total mRNA extracted from fibroblasts of a control and an affected family member using the mutant transcript specific primer. The annealing temperature of the PCR reaction was increased from 58 °C to nearly 67 °C resulting in differential amplification of the wild-type transcript (highest efficiency at lower temperatures) and mutant transcript (high efficiency at both lower and higher temperatures). (D) Sanger sequencing of DNA amplification products from RT-PCR analysis at 58 °C and 66.6 °C is shown. Both the primary (most abundant) and secondary (less abundant) transcript sequences are highlighted. Sequencing using the forward primer revealed that the predicted mutant transcript is present and can be enriched at higher annealing temperatures. The results of the sequencing analysis provide evidence that the predicted mutant transcript is produced at significant levels in the fibroblasts from an affected family member, and that it may also be produced in the control fibroblasts at a very low level.
Ijms 25 04930 g005
Figure 6. Skeletal muscles from affected family members show the anticipated localization of nuclear envelope proteins; however, profoundly affected individuals have muscle cores. (A) Skeletal muscle biopsies from patient II.4 and an unrelated control (CTRL75) stained with an antibody against lamin A/C showed the anticipated localization at the nuclear periphery. The enlarged region of the full images is indicated by the yellow box. Scale bar on full images = 30 µm, Zoomed images = 5 µm. (B) Individuals profoundly affected with skeletal muscle disease such as II.1 show cytoplasmic regions of pallor with cytochrome C oxidase (COX)-staining, indicated by the blue arrows. The lack of staining indicates areas devoid of mitochondria which are known as muscle cores. Scale bar = 50 µm. (C) Electron microscopy of skeletal muscle biopsy tissue from individual II.1 depicts the regional disruption of skeletal muscle sarcomeric ultrastructure, including Z banding, which is indicative of muscle cores. Such disorganization was not observed in muscle from a control individual (CTRL). Scale bar = 1 µm.
Figure 6. Skeletal muscles from affected family members show the anticipated localization of nuclear envelope proteins; however, profoundly affected individuals have muscle cores. (A) Skeletal muscle biopsies from patient II.4 and an unrelated control (CTRL75) stained with an antibody against lamin A/C showed the anticipated localization at the nuclear periphery. The enlarged region of the full images is indicated by the yellow box. Scale bar on full images = 30 µm, Zoomed images = 5 µm. (B) Individuals profoundly affected with skeletal muscle disease such as II.1 show cytoplasmic regions of pallor with cytochrome C oxidase (COX)-staining, indicated by the blue arrows. The lack of staining indicates areas devoid of mitochondria which are known as muscle cores. Scale bar = 50 µm. (C) Electron microscopy of skeletal muscle biopsy tissue from individual II.1 depicts the regional disruption of skeletal muscle sarcomeric ultrastructure, including Z banding, which is indicative of muscle cores. Such disorganization was not observed in muscle from a control individual (CTRL). Scale bar = 1 µm.
Ijms 25 04930 g006
Figure 7. A CCDC78 variant causes accumulation of CCDC78 in muscle cores. (A) A diagram of a portion of the CCDC78 gene is shown at the left. The coding exons (numbered boxes) and the location of the nucleotide affected by the sequence variant are indicated. A linear diagram of the CCDC78 protein structure with the location of the predicted amino acid substitution indicated at the right. (B) The AlphaFold predicted structure of CCDC78 with lysine 238 indicated in green, which is changed to glutamine by the sequence variant. (C) Skeletal muscle biopsy tissue from an unrelated control (CTRL 18A, top) and a family member (II.3) with the LMNA variant but lacking the CCDC78 variant shows CCDC78 localization to the periphery of muscle fibers and uniform phalloidin staining throughout the cytoplasm. Scale bars = 30 µm. + = evidence of ice-crystal artifacts from tissue preservation (D) Skeletal muscle biopsy tissue from family members (II.1, II.2, and II.4) with the CCDC78 variant reveals aggregates of CCDC78 that localize to muscle cores marked by phalloidin enrichment (arrows). Scale bars = 30 µm.
Figure 7. A CCDC78 variant causes accumulation of CCDC78 in muscle cores. (A) A diagram of a portion of the CCDC78 gene is shown at the left. The coding exons (numbered boxes) and the location of the nucleotide affected by the sequence variant are indicated. A linear diagram of the CCDC78 protein structure with the location of the predicted amino acid substitution indicated at the right. (B) The AlphaFold predicted structure of CCDC78 with lysine 238 indicated in green, which is changed to glutamine by the sequence variant. (C) Skeletal muscle biopsy tissue from an unrelated control (CTRL 18A, top) and a family member (II.3) with the LMNA variant but lacking the CCDC78 variant shows CCDC78 localization to the periphery of muscle fibers and uniform phalloidin staining throughout the cytoplasm. Scale bars = 30 µm. + = evidence of ice-crystal artifacts from tissue preservation (D) Skeletal muscle biopsy tissue from family members (II.1, II.2, and II.4) with the CCDC78 variant reveals aggregates of CCDC78 that localize to muscle cores marked by phalloidin enrichment (arrows). Scale bars = 30 µm.
Ijms 25 04930 g007
Figure 8. RyR1 also accumulates and colocalizes with CCDC78 in muscle cores of individuals with the CCDC78 variant. (A) Skeletal muscle biopsy tissue from individual II.1 stained with antibodies against phalloidin and RyR1 depicts accumulation of RyR1 localized in muscle cores indicated by the yellow arrows that are absent in an unrelated control (CTRL75). Scale bar = 30 µm. (B) Skeletal muscle biopsy tissue from individual II.1 stained with antibodies against CCDC78 and RyR1 reveals colocalization of CCDC78 with the RyR1 in muscle cores indicated by the yellow arrows. There are no cores and no colocalization of CCDC78 and RyR1 in an unrelated control (CTRL39). Scale bar = 30 µm.
Figure 8. RyR1 also accumulates and colocalizes with CCDC78 in muscle cores of individuals with the CCDC78 variant. (A) Skeletal muscle biopsy tissue from individual II.1 stained with antibodies against phalloidin and RyR1 depicts accumulation of RyR1 localized in muscle cores indicated by the yellow arrows that are absent in an unrelated control (CTRL75). Scale bar = 30 µm. (B) Skeletal muscle biopsy tissue from individual II.1 stained with antibodies against CCDC78 and RyR1 reveals colocalization of CCDC78 with the RyR1 in muscle cores indicated by the yellow arrows. There are no cores and no colocalization of CCDC78 and RyR1 in an unrelated control (CTRL39). Scale bar = 30 µm.
Ijms 25 04930 g008
Figure 9. Summary of the genotype–phenotype relationship between LMNA and CCDC78. Individuals in the broader population with only the relatively common CCDC78 variant are healthy. Individuals with the LMNA mutation present in this family have monogenic LGMD1B. When the CCDC78 variant exists in combination with the LMNA mutation, the LMNA mutation sensitizes the muscle to the deleterious effects of the CCDC78 variant, leading to core myopathy in addition to LGMD1B.
Figure 9. Summary of the genotype–phenotype relationship between LMNA and CCDC78. Individuals in the broader population with only the relatively common CCDC78 variant are healthy. Individuals with the LMNA mutation present in this family have monogenic LGMD1B. When the CCDC78 variant exists in combination with the LMNA mutation, the LMNA mutation sensitizes the muscle to the deleterious effects of the CCDC78 variant, leading to core myopathy in addition to LGMD1B.
Ijms 25 04930 g009
Table 1. Clinical summaries of family members with the LMNA c.639+1G>A variant.
Table 1. Clinical summaries of family members with the LMNA c.639+1G>A variant.
Patient ID
(Age at Last Evaluation)
Sex Age at Onset of Symptomatic Muscle
Weakness (Years)
Age at Fulltime Wheelchair
Current Motor Ability
(Years)
Age at First
Abnormal
Echocardiogram (Years)
Age of ICD
Placement
(Years)
CK (U/L) 2Skeletal
Muscle
Pathology
(Age at Biopsy; Years)
CCDC78
c.712A>C
Variant
I.2
(deceased at age 31)
FemaleN/AN/A27Not Done>600Not evaluatedNot tested 5
II.1
(60 years)
Femalemid 20s59Normal
echocardiogram at 59
50617Mildly
dystrophic with cores
(34)
Present
II.2
(62 years)
Male45Able to walk short distances at 60 On initial
evaluation at 41 1
Not Done 11000Mildly
dystrophic with cores
(29) 3
Present
II.3
(60 years, deceased at age 60)
Male50–55Ambulatory at age 60 with nearly normal strength47 448281Type II fiber predominance, rare necrotic
fibers
(47) 3
Absent
II.4
(65 years)
Female~30 6068 58610Mildly
dystrophic with cores
(31)
Present
III.1
(28 years)
Male N/A No weakness at 28 Normal cMRI at 28 28, for symptomatic
arrhythmia
N/ANo biopsyNot tested
III.2
(32 years)
Male N/ANo weakness at 32 Normal echocardiogram at 32 N/AN/ANo biopsyNot tested
III.5
(30 years)
Male N/ANo weakness at 31 2930288No biopsyPresent
III.6
(38 years)
MaleN/ANo weakness at 38 Normal cMRI at 38 N/A813No biopsyNot tested
1: Heart transplantation at age 43. 2: Earliest recorded value. 3: Conducted because of family history of muscle weakness, patient had normal strength at the time of biopsy. 4: LVEF decreased to 35–40% upon initial evaluation, onset age presumed to be earlier. 5: Samples from this individual were not available for testing; however, it is likely that they possess the CCDC78 variant given that it is absent in individual I.1. Individual I.2 died before developing skeletal muscle weakness.
Table 2. Predicted effects of DNA sequence variants identified via whole genome sequencing.
Table 2. Predicted effects of DNA sequence variants identified via whole genome sequencing.
Gene
Symbol
Mutation TypeTranscript ConsequenceProtein
Consequence
gnmoAD
Allele
Frequency 1
CCDC78Missensec.712A>Cp.Lys238Gln1.11 × 0−2
VPS13ASplice regionc.385+6_385+15delGAAAACAGTAPotential
splicing effect
5.39 × 10−3
AXIN1Missensec.1948G>Ap.Gly650Ser1.87 × 10−2
TMC4Stop retainedc.2120G>Ap.Ter707=1.58 × 10−2
PTPRDMissensec.2341A>Gp.Thr781Ala2.74 × 10−2
TDO2Missensec.685A>Cp.Asn229His3.87 × 10−2
SPIN1Splice regionc.590-8delTPotential
splicing effect
2.39 × 10−1
SPIN1Splice regionc.590-9_590-8delTTPotential
splicing effect
1.26 × 10−1
ZNF343Missensec.1373C>Tp.Thr458Met5.65 × 10−3
WDR90Splice regionc.1380-8G>APotential
splicing effect
3.36 × 10−2
FNIP2Missensec.1615G>Cp.Gly539Arg1.02 × 10−2
WNK2In-frame deletionc.4190_4204delATGGAGCAGCTCCAGp.Asp1397_Pro1401del2.56 × 10−4
KIF27Missensec.2579G>Ap.Arg860Gln3.50 × 10−3
RNF151Splice regionc.149+8C>TPotential
splicing effect
4.71 × 10−3
ZNF75APremature start codon gainc.540C>Tp.Tyr180=1.16 × 10−2
RPL3LMissensec.784G>Ap.Val262Met2.86 × 10−2
SIRPDMissensec.206G>Ap.Gly69Glu9.42 × 10−5
HEXDMissensec.1299C>Tp.Ala433=Not reported
JMJD8Splice regionc.323-6C>TPotential
splicing effect
3.36 × 10−2
PRR35Missensec.1504G>Ap.Gly502Ser3.03 × 10−2
TUT7Missensec.1679G>Ap.Arg560Gln4.80 × 10−3
1, Accessed on 4 April 2024, gnomAD v4.0.0.
Disclaimer/Publisher’s Note: The statements, opinions and data contained in all publications are solely those of the individual author(s) and contributor(s) and not of MDPI and/or the editor(s). MDPI and/or the editor(s) disclaim responsibility for any injury to people or property resulting from any ideas, methods, instructions or products referred to in the content.

Share and Cite

MDPI and ACS Style

Mohar, N.P.; Cox, E.M.; Adelizzi, E.; Moore, S.A.; Mathews, K.D.; Darbro, B.W.; Wallrath, L.L. The Influence of a Genetic Variant in CCDC78 on LMNA-Associated Skeletal Muscle Disease. Int. J. Mol. Sci. 2024, 25, 4930. https://doi.org/10.3390/ijms25094930

AMA Style

Mohar NP, Cox EM, Adelizzi E, Moore SA, Mathews KD, Darbro BW, Wallrath LL. The Influence of a Genetic Variant in CCDC78 on LMNA-Associated Skeletal Muscle Disease. International Journal of Molecular Sciences. 2024; 25(9):4930. https://doi.org/10.3390/ijms25094930

Chicago/Turabian Style

Mohar, Nathaniel P., Efrem M. Cox, Emily Adelizzi, Steven A. Moore, Katherine D. Mathews, Benjamin W. Darbro, and Lori L. Wallrath. 2024. "The Influence of a Genetic Variant in CCDC78 on LMNA-Associated Skeletal Muscle Disease" International Journal of Molecular Sciences 25, no. 9: 4930. https://doi.org/10.3390/ijms25094930

APA Style

Mohar, N. P., Cox, E. M., Adelizzi, E., Moore, S. A., Mathews, K. D., Darbro, B. W., & Wallrath, L. L. (2024). The Influence of a Genetic Variant in CCDC78 on LMNA-Associated Skeletal Muscle Disease. International Journal of Molecular Sciences, 25(9), 4930. https://doi.org/10.3390/ijms25094930

Note that from the first issue of 2016, this journal uses article numbers instead of page numbers. See further details here.

Article Metrics

Back to TopTop