Improved Graft Function following Desensitization of Anti-AT1R and Autoantibodies in a Heart Transplant Recipient Negative for Donor-Specific Antibodies with Antibody-Mediated Rejection: A Case Report
Abstract
1. Introduction
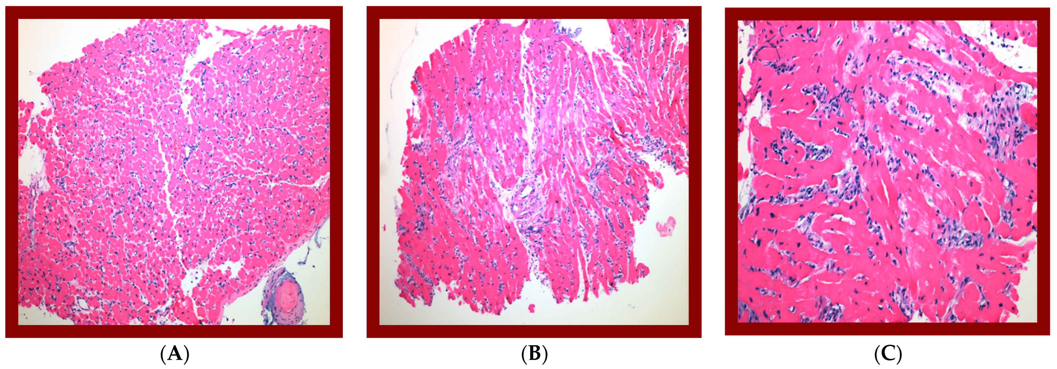
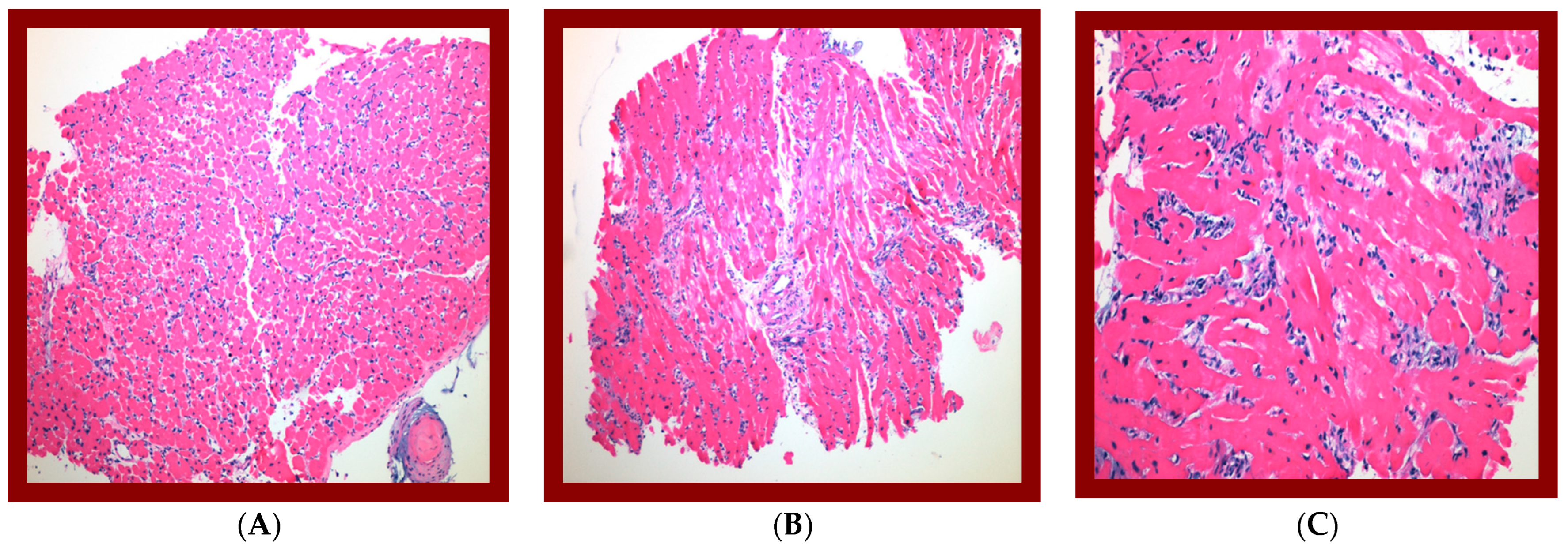
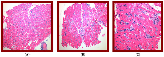
2. Case Presentation
3. Discussion
4. Conclusions
Author Contributions
Funding
Institutional Review Board Statement
Informed Consent Statement
Data Availability Statement
Conflicts of Interest
References
- Zhang, Q.; Reed, E.F. The importance of non-HLA antibodies in transplantation. Nat. Rev. Nephrol. 2016, 12, 484–495. [Google Scholar] [CrossRef]
- Moreno, J.D.; Verma, A.K.; Kopecky, B.J.; Dehner, C.; Kostelecky, N.; Vader, J.M.M.; Lin, C.-Y.; Schilling, J.D. Angiotensin II Type 1 Receptor Antibody-mediated Rejection Following Orthotopic Heart Transplant: A Single-center Experience. Transplantation 2022, 106, 373–380. [Google Scholar] [CrossRef]
- Kobashigawa, J.; Colvin, M.; Potena, L.; Dragun, D.; Crespo-Leiro, M.G.; Delgado, J.F.; Olymbios, M.; Parameshwar, J.; Patel, J.; Reed, E.; et al. The management of antibodies in heart transplantation: An ISHLT consensus document. J. Heart Lung Transpl. 2018, 37, 537–547. [Google Scholar] [CrossRef] [PubMed]
- Smith, J.D.; Banner, N.R.; Hamour, I.M.; Ozawa, M.; Goh, A.; Robinson, D.; Terasaki, P.I.; Rose, M.L. De novo donor HLA-specific antibodies after heart transplantation are an independent predictor of poor patient survival. Am. J. Transpl. 2011, 11, 312–319. [Google Scholar] [CrossRef] [PubMed]
- Clerkin, K.J.; Farr, M.A.; Restaino, S.W.; Zorn, E.; Latif, F.; Vasilescu, E.R.; Marboe, C.C.; Colombo, P.C.; Mancini, D.M. Donor-specific anti-HLA antibodies with antibody-mediated rejection and long-term outcomes following heart transplantation. J. Heart Lung Transpl. 2017, 36, 540–545. [Google Scholar] [CrossRef] [PubMed]
- Le Bas-Bernardet, S.; Hourmant, M.; Coupel, S.; Bignon, J.-D.; Soulillou, J.-P.; Charreau, B. Non-HLA-type endothelial cell reactive alloantibodies in pre-transplant sera of kidney recipients trigger apoptosis. Am. J. Transpl. 2003, 3, 167–177. [Google Scholar] [CrossRef]
- Grafft, C.A.; Cornell, L.D.; Gloor, J.M.; Cosio, F.G.; Gandhi, M.J.; Dean, P.G.; Stegall, M.D.; Amer, H. Antibody-mediated rejection following transplantation from an HLA-identical sibling. Nephrol. Dial. Transpl. 2010, 25, 307–310. [Google Scholar] [CrossRef]
- Reinsmoen, N.L.; Lai, C.-H.; Heidecke, H.; Haas, M.; Cao, K.; Ong, G.; Naim, M.; Wang, Q.; Mirocha, J.; Kahwaji, J.; et al. Anti-angiotensin type 1 receptor antibodies associated with antibody mediated rejection in donor HLA antibody negative patients. Transplantation 2010, 90, 1473–1477. [Google Scholar] [CrossRef]
- Hiemann, N.E.; Meyer, R.; Wellnhofer, E.; Schoenemann, C.; Heidecke, H.; Lachmann, N.; Hetzer, R.; Dragun, D. Non-HLA antibodies targeting vascular receptors enhance alloimmune response and microvasculopathy after heart transplantation. Transplantation 2012, 94, 919–924. [Google Scholar] [CrossRef]
- Taniguchi, M.; Rebellato, L.M.; Cai, J.; Hopfield, J.; Briley, K.P.; Haisch, C.E.; Catrou, P.G.; Bolin, P.; Parker, K.; Kendrick, W.T.; et al. Higher risk of kidney graft failure in the presence of anti-angiotensin II type-1 receptor antibodies. Am. J. Transpl. 2013, 13, 2577–2589. [Google Scholar] [CrossRef]
- Reinsmoen, N.L.; Lai, C.-H.; Mirocha, J.; Cao, K.; Ong, G.; Naim, M.; Wang, Q.; Haas, M.; Rafiei, M.; Czer, L.; et al. Increased negative impact of donor HLA-specific together with non-HLA-specific antibodies on graft outcome. Transplantation 2014, 97, 595–601. [Google Scholar] [CrossRef]
- Fuss, A.; Hope, C.M.; Deayton, S.; Bennett, G.D.; Holdsworth, R.; Carroll, R.P.; Coates, P.T.H. C4d-negative antibody-mediated rejection with high anti-angiotensin II type I receptor antibodies in absence of donor-specific antibodies. Nephrology 2015, 20, 467–473. [Google Scholar] [CrossRef]
- Urban, M.; Slavcev, A.; Gazdic, T.; Ivak, P.; Besik, J.; Netuka, I. The impact of angiotensin II type 1 receptor antibodies on post-heart transplantation outcome in Heart Mate II bridged recipients. Interact. Cardiovasc. Thorac. Surg. 2016, 22, 292–297. [Google Scholar] [CrossRef]
- Lefaucheur, C.; Viglietti, D.; Bouatou, Y.; Philippe, A.; Pievani, D.; Aubert, O.; Van Huyen, J.-P.D.; Taupin, J.-L.; Glotz, D.; Legendre, C.; et al. Non-HLA agonistic anti-angiotensin II type 1 receptor antibodies induce a distinctive phenotype of antibody-mediated rejection in kidney transplant recipients. Kidney Int. 2019, 96, 189–201. [Google Scholar] [CrossRef]
- Dragun, D.; Müller, D.N.; Bräsen, J.H.; Fritsche, L.; Nieminen-Kelhä, M.; Dechend, R.; Kintscher, U.; Rudolph, B.; Hoebeke, J.; Eckert, D.; et al. Angiotensin II type 1-receptor activating antibodies in renal-allograft rejection. N. Engl. J. Med. 2005, 352, 558–569. [Google Scholar] [CrossRef]
- Carroll, R.P.; Riceman, M.; Hope, C.M.; Zeng, A.; Deayton, S.; Bennett, G.D.; Coates, P. Angiotensin II type-1 receptor antibody (AT1Rab) associated humoral rejection and the effect of peri operative plasma exchange and candesartan. Hum. Immunol. 2016, 77, 1154–1158. [Google Scholar] [CrossRef]
- Philogene, M.C.; Jackson, A.M. Non-HLA antibodies in transplantation: When do they matter? Curr. Opin. Organ. Transpl. 2016, 21, 427–432. [Google Scholar] [CrossRef]
- Slomovich, S.; Bell, J.; Clerkin, K.J.; Habal, M.V.; Griffin, J.M.; Raikhelkar, J.K.; Fried, J.A.; Vossoughi, S.R.; Finnigan, K.; Latif, F.; et al. Extracorporeal photopheresis and its role in heart transplant rejection: Prophylaxis and treatment. Clin. Transpl. 2021, 35, e14333. [Google Scholar] [CrossRef]
- Lehrer, M.S.; Rook, A.H.; Tomaszewski, J.E.; DeNofrio, D. Successful reversal of severe refractory cardiac allograft rejection by photopheresis. J. Heart Lung Transpl. 2001, 20, 1233–1236. [Google Scholar] [CrossRef]
- Savignano, C.; Rinaldi, C.; Tursi, V.; Dolfini, C.; Isola, M.; Livi, U.; De Angelis, V. Extracorporeal photochemotherapy in heart transplant rejection: A single-center experience. Transfus. Apher. Sci. 2017, 56, 520–524. [Google Scholar] [CrossRef]
- Patel, J.; Kittleson, M.; Chang, D.; Kransdorf, E.; Levine, R.; Dimbil, S.; Kao, T.; Czer, L.; Cole, R.; Esmailian, F.; et al. 5-year outcome of photopheresis in heart-transplantation with refractory/persistent rejection. J. Heart Lung Transpl. 2019, 38, S276. [Google Scholar] [CrossRef]
- Costanzo, M.R.; Dipchand, A.; Starling, R.; Anderson, A.; Chan, M.; Desai, S.; Fedson, S.; Fisher, P.; Gonzales-Stawinski, G.; Martinelli, L.; et al. The International Society of Heart and Lung Transplantation Guidelines for the care of heart transplant recipients. J. Heart Lung Transpl. 2010, 29, 914–956. [Google Scholar] [CrossRef] [PubMed]


| Day Post Transplantation | TPE | Steroids | IVIG | Rituximab |
|---|---|---|---|---|
| 255 | Methylprednisolone 1 g | |||
| 256 | ✓ | Methylprednisolone 1 g | 250 mg/kg | |
| 257 | Methylprednisolone 1 g | |||
| 258 | ✓ | Prednisone 50 mg twice daily | 250 mg/kg | |
| 259 | Prednisone 50 mg twice daily | |||
| 260 | ✓ | Prednisone 40 mg | 250 mg/kg | |
| 261 | Prednisone 40 mg | |||
| 262 | ✓ | Prednisone 30 mg | 250 mg/kg | |
| 481 | Methylprednisolone 1 g | |||
| 482 | ✓ | Methylprednisolone 1 g | 250 mg/kg | |
| 483 | Methylprednisolone 1 g | |||
| 484 | ✓ | Prednisone 40 mg | 250 mg/kg | |
| 485 | Prednisone 40 mg | |||
| 486 | ✓ | Prednisone 30 mg | 250 mg/kg | |
| 487 | Prednisone 30 mg | |||
| 488 | ✓ | Prednisone 20 mg | 250 mg/kg | |
| 489 | Prednisone 20 mg | |||
| 490 | ✓ | Prednisone 10 mg | 1 g/kg | |
| 491 | Prednisone 5 mg daily thereafter | 375 mg/m2 |
Disclaimer/Publisher’s Note: The statements, opinions and data contained in all publications are solely those of the individual author(s) and contributor(s) and not of MDPI and/or the editor(s). MDPI and/or the editor(s) disclaim responsibility for any injury to people or property resulting from any ideas, methods, instructions or products referred to in the content. |
© 2024 by the authors. Licensee MDPI, Basel, Switzerland. This article is an open access article distributed under the terms and conditions of the Creative Commons Attribution (CC BY) license (https://creativecommons.org/licenses/by/4.0/).
Share and Cite
Jung, R.; Ly, K.; Taniguchi, M.; Arriola, A.G.; Gravante, C.; Shinn, D.; Mathew, L.; Hamad, E.; Geier, S.; Liacini, A. Improved Graft Function following Desensitization of Anti-AT1R and Autoantibodies in a Heart Transplant Recipient Negative for Donor-Specific Antibodies with Antibody-Mediated Rejection: A Case Report. Int. J. Mol. Sci. 2024, 25, 2218. https://doi.org/10.3390/ijms25042218
Jung R, Ly K, Taniguchi M, Arriola AG, Gravante C, Shinn D, Mathew L, Hamad E, Geier S, Liacini A. Improved Graft Function following Desensitization of Anti-AT1R and Autoantibodies in a Heart Transplant Recipient Negative for Donor-Specific Antibodies with Antibody-Mediated Rejection: A Case Report. International Journal of Molecular Sciences. 2024; 25(4):2218. https://doi.org/10.3390/ijms25042218
Chicago/Turabian StyleJung, Regina, Kevin Ly, Michiko Taniguchi, Aileen Grace Arriola, Christopher Gravante, Derek Shinn, Leena Mathew, Eman Hamad, Steven Geier, and Abdelhamid Liacini. 2024. "Improved Graft Function following Desensitization of Anti-AT1R and Autoantibodies in a Heart Transplant Recipient Negative for Donor-Specific Antibodies with Antibody-Mediated Rejection: A Case Report" International Journal of Molecular Sciences 25, no. 4: 2218. https://doi.org/10.3390/ijms25042218
APA StyleJung, R., Ly, K., Taniguchi, M., Arriola, A. G., Gravante, C., Shinn, D., Mathew, L., Hamad, E., Geier, S., & Liacini, A. (2024). Improved Graft Function following Desensitization of Anti-AT1R and Autoantibodies in a Heart Transplant Recipient Negative for Donor-Specific Antibodies with Antibody-Mediated Rejection: A Case Report. International Journal of Molecular Sciences, 25(4), 2218. https://doi.org/10.3390/ijms25042218

