An Improved RNA Extraction Protocol for Rye Grain Full-Length Transcriptome Sequencing
Abstract
1. Introduction
2. Results and Discussion
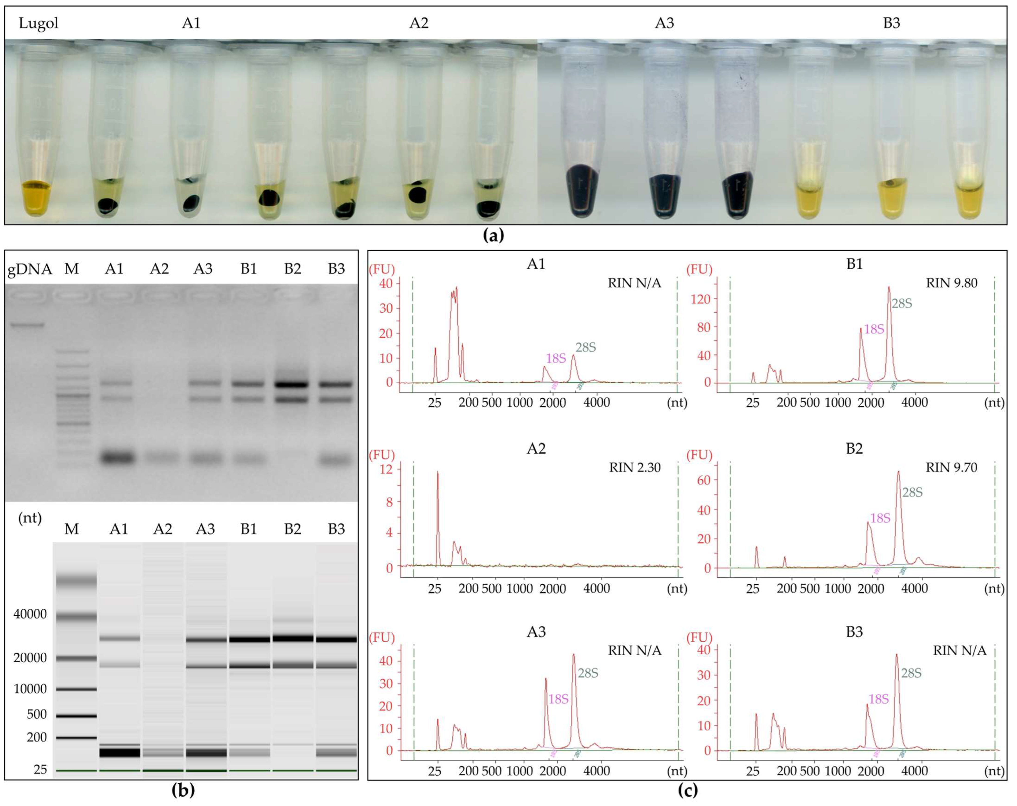
2.1. Protocols for High-Quality Total RNA Extraction
2.2. Inhibition Test
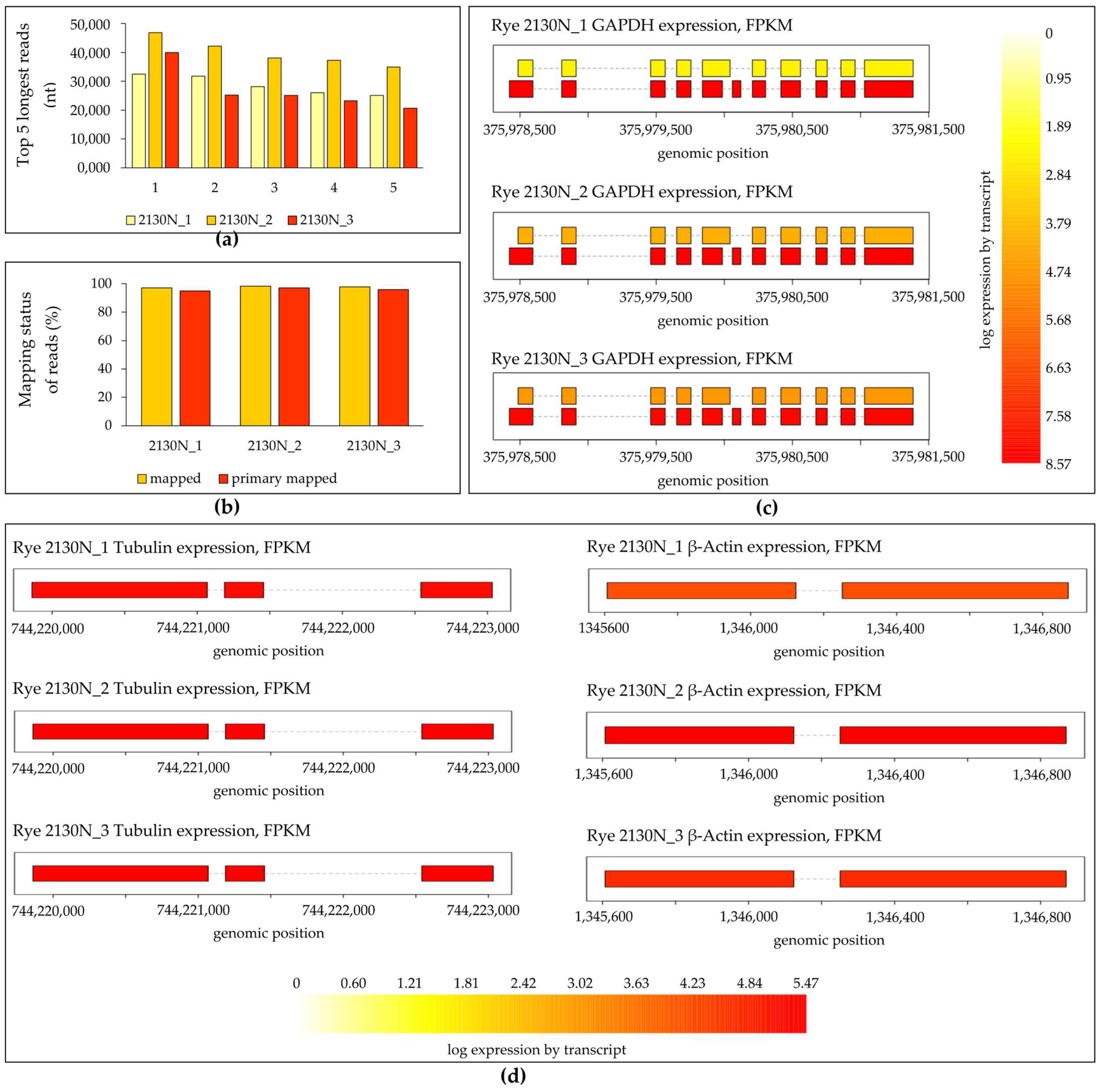
2.3. Transcriptome Sequencing by Oxford Nanopore Technologies
3. Materials and Methods
3.1. Plant Material
3.2. Total RNA Extraction Using Tri Reagent Solution
3.3. Step-by-Step Protocol for Total RNA Extraction Using LiSTE Buffer and Tri Reagent Solution
- Freeze rye grains in liquid nitrogen and store −80 °C. Grind into a fine powder in liquid nitrogen using a sterilized mortar and pestle.
- Suspend 50–75 mg of the powder in 300 µL of LiSTE buffer (150 mM LiCl, 1% SDS, 50 mM Tris-HCl (pH 8.0), and 5 mM EDTA (pH 8.0)). Mix thoroughly and place on ice.
- Add 300 µL of a mixture of acidic phenol (pH 4.3) (Sigma-Aldrich, Schnelldorf, Germany) and chloroform (1:1). Mix thoroughly and place on ice for 5 min and mix occasionally.
- Centrifuge at 10,000× g for 10 min at 4 °C. Carefully transfer 270 µL of the aqueous phase to a new tube and add 270 µL of chloroform. Mix thoroughly and place on ice for 5 min and mix occasionally.
- Centrifuge at 10,000× g for 10 min at 4 °C. Carefully transfer 200 µL of the aqueous phase to a new tube containing 1 mL of a Tri Reagent Solution. Mix thoroughly and incubate at room temperature for 5 min.
- Add 100 µL of a BCP, mix for 10 s using a vortex, and incubate at room temperature for 10 min.
- Centrifuge at 12,000× g for 10 min at 4 °C. Carefully transfer 500 µL of the aqueous phase to a new tube and add 500 µL of isopropanol (B1) or 250 µL of isopropanol and 250 µL of high-salt precipitation solution (B2). Mix gently by inverting the tube and incubate at room temperature for 5 min.
- Centrifuge at 8000× g for 10 min at 4 °C. Remove the supernatant and wash the pellet with 1 mL of 75% ethanol.
- Centrifuge at 7500× g for 5 min at 4 °C. Remove the ethanol.
- Centrifuge at 7500× g for 1 min at 4 °C. Remove residual ethanol using a 10 µL pipette. Air-dry the total RNA pellet and dissolve it in 100 µL of ultrapure molecular biology-grade water. Incubate the samples at 4 °C, gently mixing every 15 min until the total RNA pellet is completely dissolved (approximately 1 to 2 h).
3.4. Protocol for Total RNA Extraction Using SDS Extraction Buffer, Tri Reagent Solution, and Direct-zol RNA Extraction Kit
3.5. RT-qPCR Inhibition Test
3.6. Library Preparation with Oxford Nanopore Sequencing
4. Conclusions
Supplementary Materials
Author Contributions
Funding
Institutional Review Board Statement
Informed Consent Statement
Data Availability Statement
Conflicts of Interest
References
- Sultan, M.; Amstislavskiy, V.; Risch, T.; Schuette, M.; Dökel, S.; Ralser, M.; Balzereit, D.; Lehrach, H.; Yaspo, M.-L. Influence of RNA extraction methods and library selection schemes on RNA-seq data. BMC Genom. 2014, 15, 675. [Google Scholar] [CrossRef] [PubMed]
- Puchta, M.; Boczkowska, M.; Groszyk, J. Low RIN Value for RNA-Seq Library Construction from Long-Term Stored Seeds: A Case Study of Barley Seeds. Genes 2020, 11, 1190. [Google Scholar] [CrossRef] [PubMed]
- Patwa, N.; Penning, B.W. Environmental impact on cereal crop grain damage from pre-harvest sprouting and late maturity alpha-amylase. In Sustainable Agriculture in the Era of Climate Change; Springer: Berlin/Heidelberg, Germany, 2020; pp. 23–41. [Google Scholar]
- Zhang, D.; Zhang, M.; Liang, J. RGB1 regulates grain development and starch accumulation through its effect on OsYUC11-mediated auxin biosynthesis in rice endosperm cells. Front. Plant Sci. 2021, 12, 585174. [Google Scholar] [CrossRef]
- Prescott, A.; Martin, C. A rapid method for the quantitative assessment of levels of specific mRNAs in plants. Plant Mol. Biol. Report. 1986, 4, 219–224. [Google Scholar] [CrossRef]
- Tamagnone, L.; Merida, A.; Parr, A.; Mackay, S.; Culianez-Macia, F.A.; Roberts, K.; Martin, C. The AmMYB 308 and AmMYB330 transcription factors from Antirrhinum regulate phenylpropanoid and lignin biosynthesis in transgenic tobacco. Plant Cell 1998, 10, 135–154. [Google Scholar] [CrossRef] [PubMed]
- Martin, C.; Prescott, A.; Mackay, S.; Bartlett, J.; Vrijlandt, E. Control of anthocyanin biosynthesis in flowers of Antirrhinum majus. Plant J. 1991, 1, 37–49. [Google Scholar] [CrossRef]
- Sturm, A.; Chrispeels, M.J. cDNA cloning of carrot extracellular beta-fructosidase and its expression in response to wounding and bacterial infection. Plant Cell 1990, 2, 1107–1119. [Google Scholar] [CrossRef]
- Sancenón, V.; Puig, S.; Mira, H.; Thiele, D.J.; Peñarrubia, L. Identification of a copper transporter family in Arabidopsis thaliana. Plant Mol. Biol. 2003, 51, 577–587. [Google Scholar] [CrossRef]
- Sancenón, V.; Puig, S.; Mateu-Andrés, I.; Dorcey, E.; Thiele, D.J.; Peñarrubia, L. The Arabidopsis copper transporter COPT1 functions in root elongation and pollen development. J. Biol. Chem. 2004, 279, 15348–15355. [Google Scholar] [CrossRef]
- Gasparis, S.; Kała, M.; Przyborowski, M.; Orczyk, W.; Nadolska-Orczyk, A. Artificial microRNA-based specific gene silencing of grain hardness genes in polyploid cereals appeared to be not stable over transgenic plant generations. Front. Plant Sci. 2017, 7, 2017. [Google Scholar] [CrossRef]
- Zalewski, W.; Galuszka, P.; Gasparis, S.; Orczyk, W.; Nadolska-Orczyk, A. Silencing of the HvCKX1 gene decreases the cytokinin oxidase/dehydrogenase level in barley and leads to higher plant productivity. J. Exp. Bot. 2010, 61, 1839–1851. [Google Scholar] [CrossRef] [PubMed]
- Groszyk, J.; Przyborowski, M. Inhibition of the Glycogen Synthase Kinase 3 Family by the Bikinin Alleviates the Long-Term Effects of Salinity in Barley. Int. J. Mol. Sci. 2022, 23, 11644. [Google Scholar] [CrossRef] [PubMed]
- Groszyk, J.; Szechyńska-Hebda, M. Brassinazole Resistant 1 Activity Is Organ-Specific and Genotype-Dependent in Barley Seedlings. Int. J. Mol. Sci. 2021, 22, 13572. [Google Scholar] [CrossRef]
- Vennapusa, A.R.; Somayanda, I.M.; Doherty, C.J.; Jagadish, S.K. A universal method for high-quality RNA extraction from plant tissues rich in starch, proteins and fiber. Sci. Rep. 2020, 10, 16887. [Google Scholar] [CrossRef] [PubMed]
- Hadi, M.; Stacy, E.A. An optimized RNA extraction method for diverse leaves of Hawaiian Metrosideros, a hypervariable tree species complex. Appl. Plant Sci. 2023, 11, e11518. [Google Scholar] [CrossRef]
- Yang, F.; Wang, G.; Xu, W.; Hong, N. A rapid silica spin column-based method of RNA extraction from fruit trees for RT-PCR detection of viruses. J. Virol. Methods 2017, 247, 61–67. [Google Scholar] [CrossRef]
- Pingault, L.; Albrecht, T.; Broders, K.; Rushton, J.; Louis, J.; Nachappa, P.; Nalam, V.J. Plant responses to wheat curl mites and wheat streak mosaic virus (WSMV): First evidence of virus tolerance in wheat. bioRxiv 2024. [Google Scholar] [CrossRef]
- Bernardo, P.; Frey, T.S.; Barriball, K.; Paul, P.A.; Willie, K.; Mezzalama, M.; Kimani, E.; Mugambi, C.; Wangai, A.; Prasanna, B.M. Detection of diverse maize chlorotic mottle virus isolates in maize seed. Plant Dis. 2021, 105, 1596–1601. [Google Scholar] [CrossRef]
- Hougs, L.; Gatto, F.; Goerlich, O.; Grohmann, L.; Lieske, K.; Mazzara, M.; Narendja, F.; Ovesna, J.; Papazova, N.; Scholtens, I. Verification of analytical methods for GMO testing when implementing interlaboratory validated methods. In Testing and Analysis of GMO-containing Foods and Feed; CRC Press: Boca Raton, FL, USA,, 2019; pp. 245–266. [Google Scholar]
- Rabanus-Wallace, M.T.; Hackauf, B.; Mascher, M.; Lux, T.; Wicker, T.; Gundlach, H.; Baez, M.; Houben, A.; Mayer, K.F.X.; Guo, L.; et al. Chromosome-scale genome assembly provides insights into rye biology, evolution and agronomic potential. Nat. Genet. 2021, 53, 564–573. [Google Scholar] [CrossRef]
- Li, H. Minimap2: Pairwise alignment for nucleotide sequences. Bioinformatics 2018, 34, 3094–3100. [Google Scholar] [CrossRef]
- Kovaka, S.; Zimin, A.V.; Pertea, G.M.; Razaghi, R.; Salzberg, S.L.; Pertea, M. Transcriptome assembly from long-read RNA-seq alignments with StringTie2. Genome Biol. 2019, 20, 278. [Google Scholar] [CrossRef] [PubMed]
- Frazee, A.C.; Pertea, G.; Jaffe, A.E.; Langmead, B.; Salzberg, S.L.; Leek, J.T. Ballgown bridges the gap between transcriptome assembly and expression analysis. Nat. Biotechnol. 2015, 33, 243–246. [Google Scholar] [CrossRef] [PubMed]
- Pertea, G.; Pertea, M. GFF utilities: GffRead and GffCompare. F1000Research 2020, 9. [Google Scholar] [CrossRef]




| Protocols | Concentration (ng/µL) | Absorbance Ratio | Final Concentration Total RNA (µg) per 50 mg | |
|---|---|---|---|---|
| A260/A280 | A260/A230 | |||
| A1 | 148–190 | 1.93–2.04 | 0.32–0.58 | 15–19 |
| A2 | 35–88 | 1.52–1.83 | 0.08–0.19 | 3–9 |
| A3 | 75–177 | 1.73–1.84 | 1.21–1.52 | 7–18 |
| B1 | 385–457 | 1.95–1.96 | 1.94–2.18 | 38–46 |
| B2 | 186–215 | 2.03–2.09 | 1.29–1.82 | 18–21 |
| B3 | 134–191 | 1.90–1.92 | 2.03–2.11 | 13–19 |
| Parameters | 2130N_1 | 2130N_2 | 2130N_3 |
|---|---|---|---|
| Median read length | 781.0 | 894.0 | 760.0 |
| Median read quality | 10.5 | 10.6 | 10.5 |
| Number of reads | 202,946.0 | 1,000,582.0 | 535,489.0 |
| Read length N50 | 1101.0 | 1249.0 | 1067.0 |
| STDEV read length | 681.9 | 724.8 | 650.6 |
| Total bases | 185,553,375.0 | 1,026,826,650.0 | 486,986,614.0 |
| Total bases aligned | 127,181,617.0 | 733,471,879.0 | 336,523,718.0 |
| Feature | Novel/All | Novel Feature Percentage |
|---|---|---|
| Exons | 62,253/218,514 | (28.5%) |
| Introns | 37,094/155,685 | (23.8%) |
| Loci | 22,823/57,167 | (39.9%) |
Disclaimer/Publisher’s Note: The statements, opinions and data contained in all publications are solely those of the individual author(s) and contributor(s) and not of MDPI and/or the editor(s). MDPI and/or the editor(s) disclaim responsibility for any injury to people or property resulting from any ideas, methods, instructions or products referred to in the content. |
© 2024 by the authors. Licensee MDPI, Basel, Switzerland. This article is an open access article distributed under the terms and conditions of the Creative Commons Attribution (CC BY) license (https://creativecommons.org/licenses/by/4.0/).
Share and Cite
Jazowska, J.; Przyborowski, M.; Wojciechowski, M.; Groszyk, J. An Improved RNA Extraction Protocol for Rye Grain Full-Length Transcriptome Sequencing. Int. J. Mol. Sci. 2024, 25, 13188. https://doi.org/10.3390/ijms252313188
Jazowska J, Przyborowski M, Wojciechowski M, Groszyk J. An Improved RNA Extraction Protocol for Rye Grain Full-Length Transcriptome Sequencing. International Journal of Molecular Sciences. 2024; 25(23):13188. https://doi.org/10.3390/ijms252313188
Chicago/Turabian StyleJazowska, Justyna, Mateusz Przyborowski, Marek Wojciechowski, and Jolanta Groszyk. 2024. "An Improved RNA Extraction Protocol for Rye Grain Full-Length Transcriptome Sequencing" International Journal of Molecular Sciences 25, no. 23: 13188. https://doi.org/10.3390/ijms252313188
APA StyleJazowska, J., Przyborowski, M., Wojciechowski, M., & Groszyk, J. (2024). An Improved RNA Extraction Protocol for Rye Grain Full-Length Transcriptome Sequencing. International Journal of Molecular Sciences, 25(23), 13188. https://doi.org/10.3390/ijms252313188

