Cilostazol Stimulates Angiogenesis and Accelerates Fracture Healing in Aged Male and Female Mice by Increasing the Expression of PI3K and RUNX2
Abstract
1. Introduction
2. Results
2.1. X-ray
2.2. Biomechanics
2.3. µCT
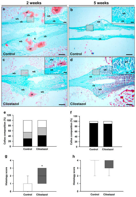
2.4. Histomorphometry and Histology
2.5. Immunohistochemistry
2.6. Western Blot
3. Discussion
4. Materials and Methods
4.1. Animals
4.2. Cilostazol Treatment
4.3. Fracture Model
4.4. X-ray
4.5. Biomechanics
4.6. Micro-Computed Tomography (µCT)
4.7. Histology and Histomorphometry
4.8. Immunohistochemistry
4.9. Western Blot
4.10. Statistical Analysis
Author Contributions
Funding
Institutional Review Board Statement
Informed Consent Statement
Data Availability Statement
Acknowledgments
Conflicts of Interest
References
- Gibon, E.; Lu, L.; Goodman, S.B. Aging, inflammation, stem cells, and bone healing. Stem Cell Res. Ther. 2016, 7, 44. [Google Scholar] [PubMed]
- Green, E.; Lubahn, J.D.; Evans, J. Risk factors, treatment, and outcomes associated with nonunion of the midshaft humerus fracture. J. Surg. Orthop. Adv. 2005, 14, 64–72. [Google Scholar] [PubMed]
- Cauley, J.A.; Thompson, D.E.; Ensrud, K.C.; Scott, J.C.; Black, D. Risk of Mortality Following Clinical Fractures. Osteoporos. Int. 2000, 11, 556–561. [Google Scholar] [CrossRef] [PubMed]
- Menger, M.M.; Laschke, M.W.; Nussler, A.K.; Menger, M.D.; Histing, T. The vascularization paradox of non-union formation. Angiogenesis 2022, 25, 279–290. [Google Scholar] [CrossRef] [PubMed]
- Clark, D.; Nakamura, M.; Miclau, T.; Marcucio, R. Effects of Aging on Fracture Healing. Curr. Osteoporos. Rep. 2017, 15, 601–608. [Google Scholar] [CrossRef] [PubMed]
- Kamiya, T.; Sakaguchi, S. Hemodynamic effects of the antithrombotic drug cilostazol in chronic arterial occlusion in the extremities. Arzneimittelforschung 1985, 35, 1201–1203. [Google Scholar] [PubMed]
- Kim, J.H.; Park, S.H.; Bae, S.S.; Hong, K.W.; Kim, Y.D.; Park, K.P.; Choi, B.T.; Shin, H.K. Combinatorial Effect of Probucol and Cilostazol in Focal Ischemic Mice with Hypercholesterolemia. J. Pharmacol. Exp. Ther. 2011, 338, 451–457. [Google Scholar] [CrossRef] [PubMed]
- Biscetti, F.; Pecorini, G.; Straface, G.; Arena, V.; Stigliano, E.; Rutella, S.; Locatelli, F.; Angelini, F.; Ghirlanda, G.; Flex, A. Cilostazol promotes angiogenesis after peripheral ischemia through a VEGF-dependent mechanism. Int. J. Cardiol. 2013, 167, 910–916. [Google Scholar] [CrossRef]
- Tsutsumimoto, T.; Wakabayashi, S.; Kinoshita, T.; Horiuchi, H.; Takaoka, K. A phosphodiesterase inhibitor, pentoxifylline, enhances the bone morphogenetic protein-4 (BMP-4)-dependent differentiation of osteoprogenitor cells. Bone 2002, 31, 396–401. [Google Scholar] [CrossRef]
- Wakabayashi, S.; Tsutsumimoto, T.; Kawasaki, S.; Kinoshita, T.; Horiuchi, H.; Takaoka, K. Involvement of Phosphodiesterase Isozymes in Osteoblastic Differentiation. J. Bone Miner. Res. 2002, 17, 249–256. [Google Scholar] [CrossRef]
- Herath, S.C.; Lion, T.; Klein, M.; Stenger, D.; Scheuer, C.; Holstein, J.H.; Mörsdorf, P.; Rollmann, M.F.; Pohlemann, T.; Menger, M.D.; et al. Stimulation of angiogenesis by cilostazol accelerates fracture healing in mice. J. Orthop. Res. 2015, 33, 1880–1887. [Google Scholar] [CrossRef] [PubMed]
- Klotz, U. Pharmacokinetics and drug metabolism in the elderly. Drug Metab. Rev. 2009, 41, 67–76. [Google Scholar] [CrossRef] [PubMed]
- Lu, C.; Hansen, E.; Sapozhnikova, A.; Hu, D.; Miclau, T.; Marcucio, R.S. Effect of age on vascularization during fracture repair. J. Orthop. Res. 2008, 26, 1384–1389. [Google Scholar] [CrossRef] [PubMed]
- Hori, A.; Shibata, R.; Morisaki, K.; Murohara, T.; Komori, K. Cilostazol Stimulates Revascularisation in Response to Ischaemia via an eNOS-Dependent Mechanism. Eur. J. Vasc. Endovasc. Surg. 2012, 43, 62–65. [Google Scholar] [CrossRef] [PubMed]
- Guntur, A.R.; Rosen, C.J. The skeleton: A multi-functional complex organ. New insights into osteoblasts and their role in bone formation: The central role of PI3Kinase. J. Endocrinol. 2011, 211, 123–130. [Google Scholar] [CrossRef] [PubMed]
- Scanlon, V.; Walia, B.; Yu, J.; Hansen, M.; Drissi, H.; Maye, P.; Sanjay, A. Loss of Cbl-PI3K interaction modulates the periosteal response to fracture by enhancing osteogenic commitment and differentiation. Bone 2017, 95, 124–135. [Google Scholar] [CrossRef] [PubMed]
- Mohamed, M.Z.; Hafez, H.M.; Zenhom, N.M.; Mohammed, H.H. Cilostazol alleviates streptozotocin-induced testicular injury in rats via PI3K/Akt pathway. Life Sci. 2018, 198, 136–142. [Google Scholar] [CrossRef]
- Shi, M.-Q.; Su, F.-F.; Xu, X.; Liu, X.-T.; Wang, H.-T.; Zhang, W.; Li, X.; Lian, C.; Zheng, Q.-S.; Feng, Z.-C. Cilostazol suppresses angiotensin II-induced apoptosis in endothelial cells. Mol. Med. Rep. 2016, 13, 2597–2605. [Google Scholar] [CrossRef]
- Komori, T. Regulation of Proliferation, Differentiation and Functions of Osteoblasts by Runx2. Int. J. Mol. Sci. 2019, 20, 1694. [Google Scholar] [CrossRef]
- Zelzer, E.; Glotzer, D.J.; Hartmann, C.; Thomas, D.; Fukai, N.; Soker, S.; Olsen, B.R. Tissue specific regulation of VEGF expression during bone development requires Cbfa1/Runx2. Mech. Dev. 2001, 106, 97–106. [Google Scholar] [CrossRef]
- Tu, Q.; Zhang, J.; James, L.; Dickson, J.; Tang, J.; Yang, P.; Chen, J. Cbfa1/Runx2-deficiency delays bone wound healing and locally delivered Cbfa1/Runx2 promotes bone repair in animal models. Wound Repair Regen. 2007, 15, 404–412. [Google Scholar] [CrossRef] [PubMed]
- Kwong, F.N.K.; Hoyland, J.A.; Evans, C.H.; Freemont, A.J. Regional and cellular localisation of BMPs and their inhibitors’ expression in human fractures. Int. Orthop. 2009, 33, 281–288. [Google Scholar] [CrossRef] [PubMed]
- Mi, M.; Jin, H.; Wang, B.; Yukata, K.; Sheu, T.-J.; Ke, Q.H.; Tong, P.; Im, H.-J.; Xiao, G.; Chen, D. Chondrocyte BMP2 signaling plays an essential role in bone fracture healing. Gene 2013, 512, 211–218. [Google Scholar] [CrossRef] [PubMed]
- Cheng, H.; Jiang, W.; Phillips, F.M.; Haydon, R.C.; Peng, Y.; Zhou, L.; Luu, H.H.; An, N.; Breyer, B.; Vanichakarn, P.; et al. Osteogenic Activity of the Fourteen Types of Human Bone Morphogenetic Proteins (BMPs). J. Bone Joint Surg. 2003, 85, 1544–1552. [Google Scholar] [CrossRef] [PubMed]
- Kloen, P.; Di Paola, M.; Borens, O.; Richmond, J.; Perino, G.; Helfet, D.; Goumans, M. BMP signaling components are expressed in human fracture callus. Bone 2003, 33, 362–371. [Google Scholar] [CrossRef] [PubMed]
- Fataccioli, V.; Abergel, V.; Wingertsmann, L.; Neuville, P.; Spitz, E.; Adnot, S.; Calenda, V.; Teiger, E. Stimulation of Angiogenesis by Cyr61 Gene: A New Therapeutic Candidate. Hum. Gene Ther. 2002, 13, 1461–1470. [Google Scholar] [CrossRef]
- Histing, T.; Stenger, D.; Scheuer, C.; Metzger, W.; Garcia, P.; Holstein, J.H.; Klein, M.; Pohlemann, T.; Menger, M.D. Pantoprazole, a Proton Pump Inhibitor, Delays Fracture Healing in Mice. Calcif. Tissue Int. 2012, 90, 507–514. [Google Scholar] [CrossRef]
- Menger, M.M.; Bremer, P.; Scheuer, C.; Rollmann, M.F.; Braun, B.J.; Herath, S.C.; Orth, M.; Später, T.; Pohlemann, T.; Menger, M.D.; et al. Pantoprazole impairs fracture healing in aged mice. Sci. Rep. 2020, 10, 22376. [Google Scholar] [CrossRef]
- Homburger, F.; Russfield, A.B.; Weisburger, J.H.; Lim, S.; Chak, S.; Weisburger, E.K. Aging Changes in CD-1 HaM/ICR Mice Reared Under Standard Laboratory Conditions 2. JNCI J. Natl. Cancer Inst. 1975, 55, 37–45. [Google Scholar] [CrossRef]
- Kawamoto, T.; Kawamoto, K. Preparation of thin frozen sections from nonfixed and undecalcified hard tissues using Kawamot’s film method (2012). Methods Mol. Biol. 2014, 1130, 149–164. [Google Scholar]
- Gerstenfeld, L.C.; Wronski, T.J.; O Hollinger, J.; A Einhorn, T. Application of Histomorphometric Methods to the Study of Bone Repair. J. Bone Miner. Res. 2005, 20, 1715–1722. [Google Scholar] [CrossRef] [PubMed]








| 2 Weeks | 5 Weeks | |
|---|---|---|
| Trabecular thickness (mm) | ||
| Control | 0.12 ± 6.53 × 10−3 | 0.18 ± 14.67 × 10−3 | 
| Cilostazol | 0.11 ± 8.84 × 10−3 | 0.21 ± 6.8 × 10−3 | 
| Trabecular number (1/mm) | ||
| Control | 2.34 ± 0.25 | 2.38 ± 0.10 | 
| Cilostazol | 1.8 ± 0.18 | 2.84 ± 0.21 | 
| Disclaimer/Publisher’s Note: The statements, opinions and data contained in all publications are solely those of the individual author(s) and contributor(s) and not of MDPI and/or the editor(s). MDPI and/or the editor(s) disclaim responsibility for any injury to people or property resulting from any ideas, methods, instructions or products referred to in the content. | 
© 2024 by the authors. Licensee MDPI, Basel, Switzerland. This article is an open access article distributed under the terms and conditions of the Creative Commons Attribution (CC BY) license (https://creativecommons.org/licenses/by/4.0/).
Share and Cite
Menger, M.M.; Emmerich, M.; Scheuer, C.; Hans, S.; Ehnert, S.; Nüssler, A.K.; Herath, S.C.; Steinestel, K.; Menger, M.D.; Histing, T.; et al. Cilostazol Stimulates Angiogenesis and Accelerates Fracture Healing in Aged Male and Female Mice by Increasing the Expression of PI3K and RUNX2. Int. J. Mol. Sci. 2024, 25, 755. https://doi.org/10.3390/ijms25020755
Menger MM, Emmerich M, Scheuer C, Hans S, Ehnert S, Nüssler AK, Herath SC, Steinestel K, Menger MD, Histing T, et al. Cilostazol Stimulates Angiogenesis and Accelerates Fracture Healing in Aged Male and Female Mice by Increasing the Expression of PI3K and RUNX2. International Journal of Molecular Sciences. 2024; 25(2):755. https://doi.org/10.3390/ijms25020755
Chicago/Turabian StyleMenger, Maximilian M., Maximilian Emmerich, Claudia Scheuer, Sandra Hans, Sabrina Ehnert, Andreas K. Nüssler, Steven C. Herath, Konrad Steinestel, Michael D. Menger, Tina Histing, and et al. 2024. "Cilostazol Stimulates Angiogenesis and Accelerates Fracture Healing in Aged Male and Female Mice by Increasing the Expression of PI3K and RUNX2" International Journal of Molecular Sciences 25, no. 2: 755. https://doi.org/10.3390/ijms25020755
APA StyleMenger, M. M., Emmerich, M., Scheuer, C., Hans, S., Ehnert, S., Nüssler, A. K., Herath, S. C., Steinestel, K., Menger, M. D., Histing, T., & Laschke, M. W. (2024). Cilostazol Stimulates Angiogenesis and Accelerates Fracture Healing in Aged Male and Female Mice by Increasing the Expression of PI3K and RUNX2. International Journal of Molecular Sciences, 25(2), 755. https://doi.org/10.3390/ijms25020755
 
        




 
       