The Influence of N-Acetylcysteine-Enriched Hydrogels on Wound Healing in a Murine Model of Type II Diabetes Mellitus
Abstract
1. Introduction
2. Results
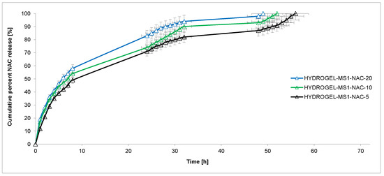
2.1. Hydrogel Characteristics
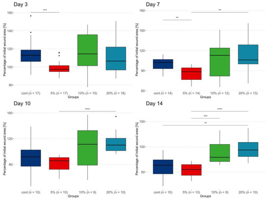
2.2. Wound Measurements
2.3. Morphometry
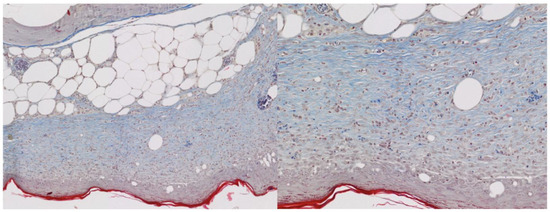
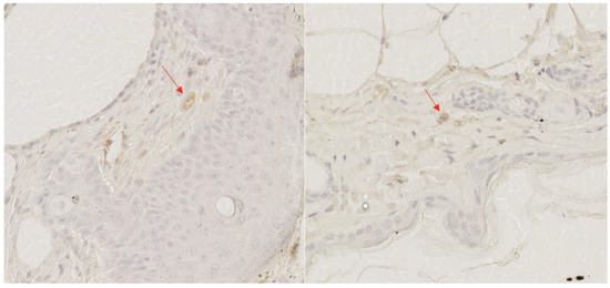
2.4. IHC and Masson’s Trichrome Staining
3. Discussion
4. Materials and Methods
4.1. Animals, Sample Size Calculation and Study Design
4.2. NAC Hydrogel Synthesis
4.2.1. Reagents
4.2.2. Synthesis of є-Caprolactone, Rac-Lactide and Poly(ethylene glycol) Copolymers
4.2.3. Hydrogel Preparation and Characterization
4.2.4. In Vitro Release Studies of N-Acetyl-L-Cysteine from Hydrogels
4.2.5. Measurements
4.3. Surgical Procedure and NAC Administration
4.4. Tissue Harvesting and Histological Staining
4.5. Macroscopic Wound Healing Assessment
4.6. Histomorphometry
4.7. Immunohistochemical Staining and Analysis
4.8. Statistical Analysis
5. Conclusions
Author Contributions
Funding
Institutional Review Board Statement
Informed Consent Statement
Data Availability Statement
Acknowledgments
Conflicts of Interest
References
- Atkuri, K.R.; Mantovani, J.J.; Herzenberg, L.A.; Herzenberg, L.A. N-Acetylcysteine--a safe antidote for cysteine/glutathione deficiency. Curr. Opin. Pharmacol. 2007, 7, 355–359. [Google Scholar] [CrossRef]
- Zafarullah, M.; Li, W.Q.; Sylvester, J.; Ahmad, M. Molecular mechanisms of N-acetylcysteine actions. Cell Mol. Life Sci. 2003, 60, 6–20. [Google Scholar] [CrossRef] [PubMed]
- Samuni, Y.; Goldstein, S.; Dean, O.M.; Berk, M. The chemistry and biological activities of N-acetylcysteine. Biochim. Biophys. Acta 2013, 1830, 4117–4129. [Google Scholar] [CrossRef] [PubMed]
- Dean, O.; Giorlando, F.; Berk, M. N-acetylcysteine in psychiatry: Current therapeutic evidence and potential mechanisms of action. J. Psychiatry Neurosci. 2011, 36, 78–86. [Google Scholar] [CrossRef]
- Janeczek, M.; Moy, L.; Riopelle, A.; Vetter, O.; Reserva, J.; Tung, R.; Swan, J. The Potential Uses of N-acetylcysteine in Dermatology: A Review. J. Clin. Aesthet. Dermatol. 2019, 12, 20–26. [Google Scholar] [PubMed]
- Nakai, K.; Yoneda, K.; Murakami, Y.; Koura, A.; Maeda, R.; Tamai, A.; Ishikawa, E.; Yokoi, I.; Moriue, J.; Moriue, T.; et al. Effects of Topical N-Acetylcysteine on Skin Hydration/Transepidermal Water Loss in Healthy Volunteers and Atopic Dermatitis Patients. Ann. Dermatol. 2015, 27, 450–451. [Google Scholar] [CrossRef]
- Calverley, P.; Rogliani, P.; Papi, A. Safety of N-Acetylcysteine at High Doses in Chronic Respiratory Diseases: A Review. Drug Saf. 2021, 44, 273–290. [Google Scholar] [CrossRef]
- Guo, S.; Dipietro, L.A. Factors affecting wound healing. J. Dent. Res. 2010, 89, 219–229. [Google Scholar] [CrossRef] [PubMed]
- Tsai, M.L.; Huang, H.P.; Hsu, J.D.; Lai, Y.R.; Hsiao, Y.P.; Lu, F.J.; Chang, H.R. Topical N-acetylcysteine accelerates wound healing in vitro and in vivo via the PKC/Stat3 pathway. Int. J. Mol. Sci. 2014, 15, 7563–7578. [Google Scholar] [CrossRef]
- Oguz, A.; Uslukaya, O.; Alabalik, U.; Turkoglu, A.; Kapan, M.; Bozdag, Z. Topical N-acetylcysteine improves wound healing comparable to dexpanthenol: An experimental study. Int. Surg. 2015, 100, 656–661. [Google Scholar] [CrossRef]
- Paskal, W.; Paskal, A.M.; Pietruski, P.; Stachura, A.; Pelka, K.; Woessner, A.E.; Quinn, K.P.; Kopka, M.; Galus, R.; Wejman, J.; et al. N-Acetylcysteine Added to Local Anesthesia Reduces Scar Area and Width in Early Wound Healing-An Animal Model Study. Int. J. Mol. Sci. 2021, 22, 7549. [Google Scholar] [CrossRef]
- Paskal, W.; Kopka, M.; Stachura, A.; Paskal, A.M.; Pietruski, P.; Pelka, K.; Woessner, A.E.; Quinn, K.P.; Galus, R.; Wejman, J.; et al. Single Dose of N-Acetylcysteine in Local Anesthesia Increases Expression of HIF1alpha, MAPK1, TGFbeta1 and Growth Factors in Rat Wound Healing. Int. J. Mol. Sci. 2021, 22, 8659. [Google Scholar] [CrossRef]
- Greenhalgh, D.G. Wound healing and diabetes mellitus. Clin. Plast. Surg. 2003, 30, 37–45. [Google Scholar] [CrossRef]
- Aktunc, E.; Ozacmak, V.H.; Ozacmak, H.S.; Barut, F.; Buyukates, M.; Kandemir, O.; Demircan, N. N-acetyl cysteine promotes angiogenesis and clearance of free oxygen radicals, thus improving wound healing in an alloxan-induced diabetic mouse model of incisional wound. Clin. Exp. Dermatol. 2010, 35, 902–909. [Google Scholar] [CrossRef]
- Ozkaya, H.; Omma, T.; Bag, Y.M.; Uzunoglu, K.; Isildak, M.; Duymus, M.E.; Kismet, K.; Senes, M.; Fidanci, V.; Celepli, P.; et al. Topical and Systemic Effects of N-acetyl Cysteine on Wound Healing in a Diabetic Rat Model. Wounds 2019, 31, 91–96. [Google Scholar] [PubMed]
- Michaels, J.t.; Churgin, S.S.; Blechman, K.M.; Greives, M.R.; Aarabi, S.; Galiano, R.D.; Gurtner, G.C. db/db mice exhibit severe wound-healing impairments compared with other murine diabetic strains in a silicone-splinted excisional wound model. Wound Repair. Regen. 2007, 15, 665–670. [Google Scholar] [CrossRef] [PubMed]
- Stachura, A.; Khanna, I.; Krysiak, P.; Paskal, W.; Wlodarski, P. Wound Healing Impairment in Type 2 Diabetes Model of Leptin-Deficient Mice-A Mechanistic Systematic Review. Int. J. Mol. Sci. 2022, 23, 8621. [Google Scholar] [CrossRef] [PubMed]
- Wang, X.; Ge, J.; Tredget, E.E.; Wu, Y. The mouse excisional wound splinting model, including applications for stem cell transplantation. Nat. Protoc. 2013, 8, 302–309. [Google Scholar] [CrossRef]
- Institute for Health Metrics and Evaluation (IHME). Global Burden of Disease 2021: Findings from the GBD 2021 Study; IHME: Seattle, WA, USA, 2024. [Google Scholar]
- Edmonds, M.; Manu, C.; Vas, P. The current burden of diabetic foot disease. J. Clin. Orthop. Trauma. 2021, 17, 88–93. [Google Scholar] [CrossRef] [PubMed]
- Everett, E.; Mathioudakis, N. Update on management of diabetic foot ulcers. Ann. N. Y. Acad. Sci. 2018, 1411, 153–165. [Google Scholar] [CrossRef]
- Schwalfenberg, G.K. N-Acetylcysteine: A Review of Clinical Usefulness (an Old Drug with New Tricks). J. Nutr. Metab. 2021, 2021, 9949453. [Google Scholar] [CrossRef]
- Kasinski, A.; Zielinska-Pisklak, M.; Oledzka, E.; Sobczak, M. Smart Hydrogels—Synthetic Stimuli-Responsive Antitumor Drug Release Systems. Int. J. Nanomed. 2020, 15, 4541–4572. [Google Scholar] [CrossRef]
- Zagorska-Dziok, M.; Sobczak, M. Hydrogel-Based Active Substance Release Systems for Cosmetology and Dermatology Application: A Review. Pharmaceutics 2020, 12, 396. [Google Scholar] [CrossRef]
- Kasinski, A.; Swierczek, A.; Zielinska-Pisklak, M.; Kowalczyk, S.; Plichta, A.; Zgadzaj, A.; Oledzka, E.; Sobczak, M. Dual-Stimuli-Sensitive Smart Hydrogels Containing Magnetic Nanoparticles as Antitumor Local Drug Delivery Systems-Synthesis and Characterization. Int. J. Mol. Sci. 2023, 24, 6906. [Google Scholar] [CrossRef] [PubMed]
- Agarwal, P.; Greene, D.G.; Sherman, S.; Wendl, K.; Vega, L.; Park, H.; Shimanovich, R.; Reid, D.L. Structural characterization and developability assessment of sustained release hydrogels for rapid implementation during preclinical studies. Eur. J. Pharm. Sci. 2021, 158, 105689. [Google Scholar] [CrossRef] [PubMed]
- Steffens, D.; Braghirolli, D.I.; Maurmann, N.; Pranke, P. Update on the main use of biomaterials and techniques associated with tissue engineering. Drug Discov. Today 2018, 23, 1474–1488. [Google Scholar] [CrossRef]
- Kamoun, E.A.; Kenawy, E.S.; Chen, X. A review on polymeric hydrogel membranes for wound dressing applications: PVA-based hydrogel dressings. J. Adv. Res. 2017, 8, 217–233. [Google Scholar] [CrossRef] [PubMed]
- Muthuramalingam, K.; Choi, S.I.; Hyun, C.; Kim, Y.M.; Cho, M. beta-Glucan-Based Wet Dressing for Cutaneous Wound Healing. Adv. Wound Care 2019, 8, 125–135. [Google Scholar] [CrossRef] [PubMed]
- Sun, G.; Zhang, X.; Shen, Y.I.; Sebastian, R.; Dickinson, L.E.; Fox-Talbot, K.; Reinblatt, M.; Steenbergen, C.; Harmon, J.W.; Gerecht, S. Dextran hydrogel scaffolds enhance angiogenic responses and promote complete skin regeneration during burn wound healing. Proc. Natl. Acad. Sci. USA 2011, 108, 20976–20981. [Google Scholar] [CrossRef]
- Sun, G. Pro-Regenerative Hydrogel Restores Scarless Skin during Cutaneous Wound Healing. Adv. Healthcare Mater. 2017, 6, 1700659. [Google Scholar] [CrossRef]
- Alibolandi, M.; Mohammadi, M.; Taghdisi, S.M.; Abnous, K.; Ramezani, M. Synthesis and preparation of biodegradable hybrid dextran hydrogel incorporated with biodegradable curcumin nanomicelles for full thickness wound healing. Int. J. Pharm. 2017, 532, 466–477. [Google Scholar] [CrossRef]
- Zagorska-Dziok, M.; Kleczkowska, P.; Oledzka, E.; Figat, R.; Sobczak, M. Poly(chitosan-ester-ether-urethane) Hydrogels as Highly Controlled Genistein Release Systems. Int. J. Mol. Sci. 2021, 22, 3339. [Google Scholar] [CrossRef]
- Dash, S.; Murthy, P.N.; Nath, L.; Chowdhury, P. Kinetic modeling on drug release from controlled drug delivery systems. Acta Pol. Pharm. 2010, 67, 217–223. [Google Scholar]
- Montes, L.F.; Wilborn, W.H.; Montes, C.M. Topical acne treatment with acetylcysteine: Clinical and experimental effects. Skinmed 2012, 10, 348–351. [Google Scholar]
- Montero, P.; Roger, I.; Estornut, C.; Milara, J.; Cortijo, J. Influence of dose and exposition time in the effectiveness of N-Acetyl-l-cysteine treatment in A549 human epithelial cells. Heliyon 2023, 9, e15613. [Google Scholar] [CrossRef]
- Parasassi, T.; Brunelli, R.; Bracci-Laudiero, L.; Greco, G.; Gustafsson, A.C.; Krasnowska, E.K.; Lundeberg, J.; Lundeberg, T.; Pittaluga, E.; Romano, M.C.; et al. Differentiation of normal and cancer cells induced by sulfhydryl reduction: Biochemical and molecular mechanisms. Cell Death Differ. 2005, 12, 1285–1296. [Google Scholar] [CrossRef]
- Fan, W.; Yang, X.; Huang, F.; Tong, X.; Zhu, L.; Wang, S. Identification of CD206 as a potential biomarker of cancer stem-like cells and therapeutic agent in liver cancer. Oncol. Lett. 2019, 18, 3218–3226. [Google Scholar] [CrossRef] [PubMed]
- Wilmes, V.; Kur, I.M.; Weigert, A.; Verhoff, M.A.; Gradhand, E.; Kauferstein, S. iNOS expressing macrophages co-localize with nitrotyrosine staining after myocardial infarction in humans. Front. Cardiovasc. Med. 2023, 10, 1104019. [Google Scholar] [CrossRef] [PubMed]
- Khan, M.A.B.; Hashim, M.J.; King, J.K.; Govender, R.D.; Mustafa, H.; Al Kaabi, J. Epidemiology of Type 2 Diabetes—Global Burden of Disease and Forecasted Trends. J. Epidemiol. Glob. Health 2020, 10, 107–111. [Google Scholar] [CrossRef] [PubMed]
- Davidson, J.M.; Yu, F.; Opalenik, S.R. Splinting Strategies to Overcome Confounding Wound Contraction in Experimental Animal Models. Adv. Wound Care 2013, 2, 142–148. [Google Scholar] [CrossRef] [PubMed]
- Hu, Y.; Xiong, Y.; Tao, R.; Xue, H.; Chen, L.; Lin, Z.; Panayi, A.C.; Mi, B.; Liu, G. Advances and perspective on animal models and hydrogel biomaterials for diabetic wound healing. Biomater. Transl. 2022, 3, 188–200. [Google Scholar] [CrossRef] [PubMed]
- Faul, F.; Erdfelder, E.; Lang, A.G.; Buchner, A. G*Power 3: A flexible statistical power analysis program for the social, behavioral, and biomedical sciences. Behav. Res. Methods 2007, 39, 175–191. [Google Scholar] [CrossRef] [PubMed]
- Sobczak, M. Enzyme-catalyzed ring-opening polymerization of cyclic esters in the presence of poly (ethylene glycol). J. Appl. Polym. Sci. 2012, 125, 3602–3609. [Google Scholar] [CrossRef]
- Piotrowska, U.; Oledzka, E.; Zgadzaj, A.; Bauer, M.; Sobczak, M. A novel delivery system for the controlled Release~ of antimicrobial peptides: Citropin 1.1 and temporin A. Polymers 2018, 10, 489. [Google Scholar] [CrossRef]
- Piotrowska, U.; Sobczak, M.; Oledzka, E.; Combes, C. Effect of ionic liquids on the structural, thermal, and in vitro degradation properties of poly (ε-caprolactone) synthesized in the presence of Candida antarctica lipase B. J. Appl. Polym. Sci. 2016, 133. [Google Scholar] [CrossRef]
- Mahanta, A.K.; Mittal, V.; Singh, N.; Dash, D.; Malik, S.; Kumar, M.; Maiti, P. Polyurethane-grafted chitosan as new biomaterials for controlled drug delivery. Macromolecules 2015, 48, 2654–2666. [Google Scholar] [CrossRef]
- Kukoc-Modun, L.; Radić, N. Spectrophotometric Determination of N-Acetyl-L-Cysteine and N-(2-Mercaptopropionyl)-Glycine in Pharmaceutical Preparations. Int. J. Anal. Chem. 2011, 2011, 140756. [Google Scholar] [CrossRef] [PubMed]
- Sullivan, S.R.; Underwood, R.A.; Gibran, N.S.; Sigle, R.O.; Usui, M.L.; Carter, W.G.; Olerud, J.E. Validation of a model for the study of multiple wounds in the diabetic mouse (db/db). Plast. Reconstr. Surg. 2004, 113, 953–960. [Google Scholar] [CrossRef]
- Lemo, N.; Marignac, G.; Reyes-Gomez, E.; Lilin, T.; Crosaz, O.; Ehrenfest, D.D. Cutaneous reepithelialization and wound contraction after skin biopsies in rabbits: A mathematical model for healing and remodelling index. Veterinarski Arhiv 2010, 80, 637–652. [Google Scholar]
- Schencke, C.; Vasconcellos, A.; Sandoval, C.; Torres, P.; Acevedo, F.; Del Sol, M. Morphometric evaluation of wound healing in burns treated with Ulmo (Eucryphia cordifolia) honey alone and supplemented with ascorbic acid in guinea pig (Cavia porcellus). Burn. Trauma. 2016, 4, 25. [Google Scholar] [CrossRef]
- Bankhead, P.; Loughrey, M.B.; Fernandez, J.A.; Dombrowski, Y.; McArt, D.G.; Dunne, P.D.; McQuaid, S.; Gray, R.T.; Murray, L.J.; Coleman, H.G.; et al. QuPath: Open source software for digital pathology image analysis. Sci. Rep. 2017, 7, 16878. [Google Scholar] [CrossRef] [PubMed]









| No. | Zero-Order Model | First-Order Model | Korsmeyer–Peppas Model | NAC Transport Mechanism | |
|---|---|---|---|---|---|
| R2 | R2 | R2 | n | ||
| HYDROGEL-MS1-NAC-5 pH 7.4 | 0.912 | 0.905 | 0.951 | 0.561 | non-Fickian transport |
| HYDROGEL-MS1-NAC-10 pH 7.4 | 0.929 | 0.903 | 0.988 | 0.612 | non-Fickian transport |
| HYDROGEL-MS1-NAC-20 pH 7.4 | 0.835 | 0.989 | 0.998 | 0.536 | non-Fickian transport |
| HYDROGEL-MS1-NAC-5 pH 5.5 | 0.918 | 0.909 | 0.956 | 0.540 | non-Fickian transport |
| HYDROGEL-MS1-NAC-10 pH 5.5 | 0.861 | 0.954 | 0.996 | 0.486 | non-Fickian transport |
| HYDROGEL-MS1-NAC-20 pH 5.5 | 0.873 | 0.925 | 0.997 | 0.464 | non-Fickian transport |
| Timepoint | Control | 5% NAC | 10% NAC | 20% NAC | p-Value * | |
|---|---|---|---|---|---|---|
| Day 3 | Median (IQR) | 112.8 (106–118.7) | 97.3 (94.8–101.5) | 114.4 (101.3–135.6) | 106.4 (96.6–121.9) | 0.009 |
| Min–max | 91.2–156.4 | 87.3–115.9 | 77.8–146.7 | 87.4–150.7 | ||
| Day 7 | Median (IQR) | 102.3 (92.9–106.8) | 88.5 (76.6–94.3) | 112.9 (81.9–123.8) | 106 (100–128.7) | 0.005 |
| Min–max | 81.3–114.2 | 66.4–99.7 | 65.5–151.1 | 71–160.9 | ||
| Day 10 | Median (IQR) | 91.8 (77.1–102.5) | 85.7 (72.3–90.7) | 111.3 (78.9–132.6) | 110 (101.3–120.6) | 0.005 |
| Min–max | 46.3–138.7 | 57.8–94.7 | 55.8–156.8 | 96.5–154.5 | ||
| Day 14 | Median (IQR) | 63.4 (46.2-74.1) | 54.8 (43.3–64.7) | 79 (70.6–104.7) | 93.6 (80.5–108.7) | <0.001 |
| Min–max | 22–93.2 | 31.9–71.9 | 63.9–132.4 | 67.5–136.7 | ||
| Day 17 | Median (IQR) | 52.6 (45.2–67.3) | 41.4 (40.7–57.8) | 63 (57.9–68.6) | 83.5 (60.1–86.5) | 0.11 |
| Min–max | 19.7–74.8 | 24–68.9 | 50.9–70.8 | 56.5–100 | ||
| Day 21 | Median (IQR) | 0 (0–9.48) | 37.9 (3.76–40.8) | 14.3 (6.15–54.9) | 57.9 (44.2–57.9) | 0.33 |
| Min–max | 0–65.3 | 0–48.3 | 3.3–61.2 | 2.5–59.9 | ||
| Day 24 | Median (IQR) | 0 (0–0) | 0 (0–23.5) | 0 (0–0) | 40.5 (19.3–42) | 0.42 |
| Min–max | 0–51.7 | 0–49.2 | 0–46.5 | 0–48.5 | ||
| Day 28 | Median (IQR) | 0 (0–0) | 0 (0–0) | 0 (0–0) | 0 (0–41.9) | 0.89 |
| Min–max | 0–56.4 | 0–59.4 | 0-44.5 | 0–57.5 |
| Timepoint | Group | Epidermis Thickness [µm] | p-Value | Neoepidermis Thickness [µm] | p-Value | Dermal Proliferation Area [µm2] | p-Value |
|---|---|---|---|---|---|---|---|
| Day 3 | Control | 32.7 ± 14.2 | 0.07 | 53.9 ± 26.1 | 0.6 | - | |
| 5% NAC | 21.7 ± 7.75 | 57.5 ± 14.7 | - | ||||
| 10% NAC | 32.3 ± 19.4 | 53.8 ± 14 | - | ||||
| 20% NAC | 31 ± 11.9 | 61.3 ± 15.3 | - | ||||
| Day 7 | Control | 31.8 ± 21.2 | 0.03 | 96.9 ± 22.1 | <0.001 | 57,551 ± 29,408 | 0.003 |
| 5% NAC | 46 ± 33.8 | 104 ± 39.3 | 144,333 ± 28,204 *** | ||||
| 10% NAC | 24.5 ± 9.45 * | 60.6 ± 18.1 ** | 55,845 ± 33,352 | ||||
| 20% NAC | 40 ± 24 | 120 ± 20.3 | 50,684 ± 20,496 | ||||
| Day 14 | Control | 45.8 ± 22.5 | 0.08 | 95.1 ± 33.3 | 0.4 | 248,247 ± 166,097 | 0.88 ** |
| 5% NAC | 49.3 ± 23.9 | 92.4 ± 44.9 | 379,831 ± 225,357 | ||||
| 10% NAC | 60.9 ± 21.9 | 96.3 ± 38.7 | 279,145 ± 99,181 | ||||
| 20% NAC | 51.7 ± 17.8 | 108 ± 39.2 | 416,778 ± 332,634 | ||||
| Day 28 | Control | 24.4 ± 16.7 | 0.01 | 55.1 ± 20.6 | 0.2 | 246,033 ± 111,744 | 0.54 ** |
| 5% NAC | 27.7 ± 15.1 | 60 ± 16.8 | 441,084 ± 293,005 | ||||
| 10% NAC | 38 ± 21 | 69.7 ± 34.5 | 521,948 ± 468,316 | ||||
| 20% NAC | 26.2 ± 14 | 63.4 ± 27.6 | 307,195 ± 323,883 |
| iNOS | CD206 | |||||||||
|---|---|---|---|---|---|---|---|---|---|---|
| Timepoint | Control | 5% NAC | 10% NAC | 20% NAC | p-Value | Control | 5% NAC | 10% NAC | 20% NAC | p-Value |
| Day 3 | 17.6 (13.6–29.9) | 16.4 (15.8–40.8) | 24.8 (22.2–27.3) | 38 (34.5–46.6) | 0.46 | 39.8 (33.9–47.6) | 43.8 (24.9–59.8) | 53 (50.8–56.2) | 44.5 (40.6–52.5) | 0.72 |
| Day 7 | 19.6 (17.7–24.3) | 15.3 (11–19.9) | 13.7 (13.5–15.8) | 10 (9.4–17.1) | 0.57 | 32.4 (22.9–40.3) | 30.2 (19.4–41.2) | 30.3 (26.6–36.8) | 36.1 (31.3–38.2) | 0.98 |
| Day 14 | 19.3 (15.2–22.9) | 26.2 (19.4–41.5) | 20.1 (16.5–23) | 21.6 (19.9–22.9) | 0.73 | 20.3 (16.3–39) | 22.6 (19.3–22.8) | 14.6 (11.7–27.7) | 17.6 (10.6–26.3) | 0.59 |
| Day 28 | 23.8 (16.6–32.1) | 29.4 (20.6–45.4) | 18 (10.6–23.2) | 24.9 (10.6–23.2) | 0.39 | 19.7 (18–33.3) | 10.2 (9.1–29.9) | 14.8 (8.6–16.5) | 18.3 (14.4–19.1) | 0.3 |
| Timepoint | Group | Directional Variance | p-Value | Local Directional Variance | p-Value | Collagen Density | p-Value |
|---|---|---|---|---|---|---|---|
| Day 3 | Control | 0.83 ± 0.05 | 0.21 | 0.65 ± 0.04 | 0.24 | 0.55 ± 0.12 | 0.17 |
| 5% NAC | 0.76 ± 0.06 | 0.55 ± 0.13 | 0.47 ± 0.25 | ||||
| 10% NAC | 0.85 ± 0.12 | 0.62 ± 0.1 | 0.45 ± 0.13 | ||||
| 20% NAC | 0.76 ± 0.09 | 0.61 ± 0.04 | 0.66 ± 0.08 | ||||
| Day 7 | Control | 0.75 ± 0.12 | 0.15 | 0.61 ± 0.07 | 0.19 | 0.68 ± 0.15 | 0.25 |
| 5% NAC | 0.81 ± 0.05 | 0.66 ± 0.04 | 0.61 ± 0.14 | ||||
| 10% NAC | 0.79 ± 0.09 | 0.61 ± 0.07 | 0.58 ± 0.09 | ||||
| 20% NAC | 0.86 ± 0.06 | 0.67 ± 0.04 | 0.52 ± 0.14 | ||||
| Day 14 | Control | 0.72 ± 0.07 | 0.27 | 0.59 ± 0.05 | 0.66 | 0.45 ± 0.13 | 0.54 |
| 5% NAC | 0.75 ± 0.08 | 0.58 ± 0.07 | 0.47 ± 0.18 | ||||
| 10% NAC | 0.79 ± 0.08 | 0.61 ± 0.06 | 0.49 ± 0.15 | ||||
| 20% NAC | 0.79 ± 0.09 | 0.61 ± 0.08 | 0.57 ± 0.22 | ||||
| Day 28 | Control | 0.74 ± 0.13 | 0.07 | 0.59 ± 0.06 | 0.04 | 0.65 ± 0.13 | 0.007 |
| 5% NAC | 0.73 ± 0.11 | 0.55 ± 0.06 | 0.47 ± 0.09 | ||||
| 10% NAC | 0.83 ± 0.05 | 0.63 ± 0.05 * | 0.66 ± 0.15 | ||||
| 20% NAC | 0.7 ± 0.09 | 0.57 ± 0.06 | 0.53 ± 0.11 |
| Timepoint | Group | Directional Variance | p-Value | Local Directional Variance | p-Value | Collagen Density | p-Value |
|---|---|---|---|---|---|---|---|
| Day 3 | Control | 0.77 ± 0.15 | 0.05 | 0.6 ± 0.1 | 0.18 | 0.53 ± 0.1 | 0.95 |
| 5% NAC | 0.68 ± 0.03 | 0.5 ± 0.12 | 0.48 ± 0.28 | ||||
| 10% NAC | 0.71 ± 0.12 | 0.53 ± 0.08 | 0.52 ± 0.09 | ||||
| 20% NAC | 0.87 ± 0.04 | 0.62 ± 0.05 | 0.53 ± 0.11 | ||||
| Day 7 | Control | 0.72 ± 0.12 | 0.09 | 0.59 ± 0.08 | 0.04 | 0.59 ± 0.16 | 0.84 |
| 5% NAC | 0.79 ± 0.07 | 0.65 ± 0.03 | 0.58 ± 0.1 | ||||
| 10% NAC | 0.84 ± 0.03 | 0.63 ± 0.03 | 0.55 ± 0.04 | ||||
| 20% NAC | 0.82 ± 0.08 | 0.67 ± 0.03 | 0.54 ± 0.09 | ||||
| Day 14 | Control | 0.67 ± 0.06 | 0.09 | 0.56 ± 0.05 | 0.69 | 0.51 ± 0.08 | 0.84 |
| 5% NAC | 0.77 ± 0.07 | 0.57 ± 0.07 | 0.49 ± 0.11 | ||||
| 10% NAC | 0.76 ± 0.11 | 0.6 ± 0.07 | 0.52 ± 0.13 | ||||
| 20% NAC | 0.76 ± 0.07 | 0.59 ± 0.07 | 0.55 ± 0.19 | ||||
| Day 28 | Control | 0.79 ± 0.06 | 0.66 | 0.62 ± 0.05 | 0.23 | 0.65 ± 0.09 | 0.72 |
| 5% NAC | 0.73 ± 0.11 | 0.56 ± 0.07 | 0.64 ± 0.1 | ||||
| 10% NAC | 0.75 ± 0.14 | 0.56 ± 0.08 | 0.6 ± 0.14 | ||||
| 20% NAC | 0.77 ± 0.05 | 0.6 ± 0.05 | 0.67 ± 0.09 |
Disclaimer/Publisher’s Note: The statements, opinions and data contained in all publications are solely those of the individual author(s) and contributor(s) and not of MDPI and/or the editor(s). MDPI and/or the editor(s) disclaim responsibility for any injury to people or property resulting from any ideas, methods, instructions or products referred to in the content. |
© 2024 by the authors. Licensee MDPI, Basel, Switzerland. This article is an open access article distributed under the terms and conditions of the Creative Commons Attribution (CC BY) license (https://creativecommons.org/licenses/by/4.0/).
Share and Cite
Stachura, A.; Sobczak, M.; Kędra, K.; Kopka, M.; Kopka, K.; Włodarski, P.K. The Influence of N-Acetylcysteine-Enriched Hydrogels on Wound Healing in a Murine Model of Type II Diabetes Mellitus. Int. J. Mol. Sci. 2024, 25, 9986. https://doi.org/10.3390/ijms25189986
Stachura A, Sobczak M, Kędra K, Kopka M, Kopka K, Włodarski PK. The Influence of N-Acetylcysteine-Enriched Hydrogels on Wound Healing in a Murine Model of Type II Diabetes Mellitus. International Journal of Molecular Sciences. 2024; 25(18):9986. https://doi.org/10.3390/ijms25189986
Chicago/Turabian StyleStachura, Albert, Marcin Sobczak, Karolina Kędra, Michał Kopka, Karolina Kopka, and Paweł K. Włodarski. 2024. "The Influence of N-Acetylcysteine-Enriched Hydrogels on Wound Healing in a Murine Model of Type II Diabetes Mellitus" International Journal of Molecular Sciences 25, no. 18: 9986. https://doi.org/10.3390/ijms25189986
APA StyleStachura, A., Sobczak, M., Kędra, K., Kopka, M., Kopka, K., & Włodarski, P. K. (2024). The Influence of N-Acetylcysteine-Enriched Hydrogels on Wound Healing in a Murine Model of Type II Diabetes Mellitus. International Journal of Molecular Sciences, 25(18), 9986. https://doi.org/10.3390/ijms25189986

