Influence of Anticoagulants on the Dissociation of Cardiac Troponin Complex in Blood Samples
Abstract
1. Introduction
2. Results
2.1. Time Course of Immunochemical Activity of the ITC-Complex in Different Matrices
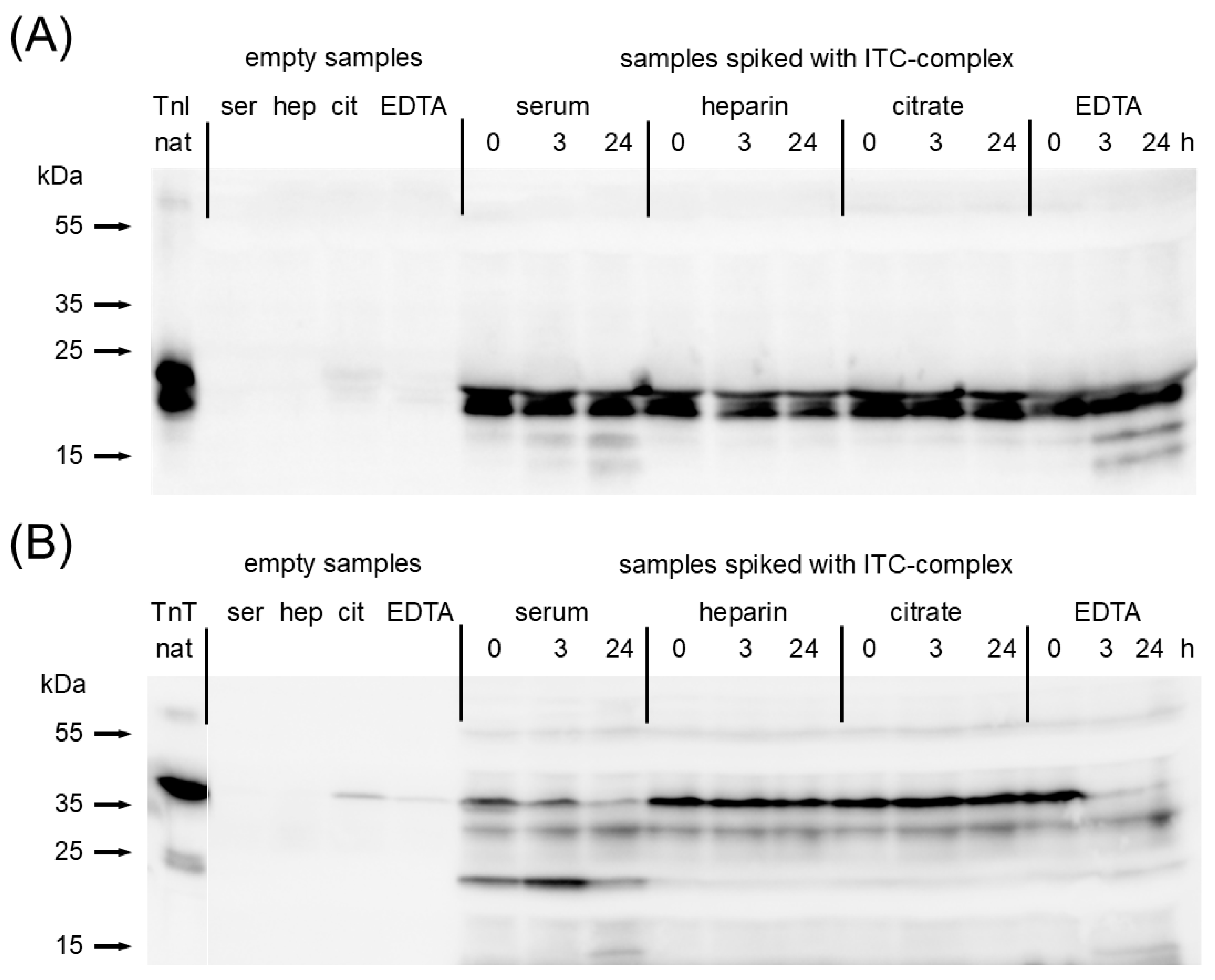
2.2. Investigation of Troponin Degradation via Western Blotting
2.3. Investigation of ITC-Complex Dissociation via Gel Filtration (GF)
2.4. Dissociation of the Endogenous ITC-Complex in Citrate and Heparin Plasma of Patients with AMI
2.5. Influence of Anti-Troponin Autoantibodies on ITC-Complex Dissociation
2.6. Identification of Components That May Promote ITC-Complex Dissociation in Plasma Samples
3. Discussion
4. Materials and Methods
4.1. Reagents
4.2. Blood Samples
4.3. Sandwich Fluoroimmunoassay (FIA)
4.4. Chemiluminescence Immunoassay (CLIA)
4.5. Gel Filtration (GF)
4.6. Immunoextraction of the ITC-Complex and Its Analysis in Western Blotting
5. Conclusions
Author Contributions
Funding
Institutional Review Board Statement
Informed Consent Statement
Data Availability Statement
Conflicts of Interest
References
- Katus, H.A.; Scheffold, T.; Remppis, A.; Zehlein, J. Proteins of the Troponin Complex. Lab. Med. 1992, 23, 311–317. [Google Scholar] [CrossRef]
- Ohtsuki, I. Troponin: Structure, function and dysfunction. Adv. Exp. Med. Biol. 2007, 592, 21–36. [Google Scholar]
- Farah, C.S.; Reinach, F.C. The troponin complex and regulation of muscle contraction. FASEB J. 1995, 9, 755–767. [Google Scholar] [CrossRef]
- Parmacek, M.S.; Solaro, R.J. Biology of the troponin complex in cardiac myocytes. Prog. Cardiovasc. Dis. 2004, 47, 159–176. [Google Scholar] [CrossRef]
- Gordon, A.M.; Ridgway, E.B. Cross-bridges affect both TnC structure and calcium affinity in muscle fibers. Adv. Exp. Med. Biol. 1993, 332, 183–192. [Google Scholar]
- Fuchs, F.; Grabarek, Z. The Ca2+/Mg2+ sites of troponin C modulate crossbridge-mediated thin filament activation in cardiac myofibrils. Biochem. Biophys. Res. Commun. 2011, 408, 697–700. [Google Scholar] [CrossRef]
- Hunkeler, N.M.; Kullman, J.; Murphy, A.M. Troponin I isoform expression in human heart. Circ. Res. 1991, 69, 1409–1414. [Google Scholar] [CrossRef]
- Anderson, P.A.; Malouf, N.N.; Oakeley, A.E.; Pagani, E.D.; Allen, P.D. Troponin T isoform expression in humans. A comparison among normal and failing adult heart, fetal heart, and adult and fetal skeletal muscle. Circ. Res. 1991, 69, 1226–1233. [Google Scholar] [CrossRef] [PubMed]
- Thygesen, K.; Alpert, J.S.; Jaffe, A.S.; Chaitman, B.R.; Bax, J.J.; Morrow, D.A.; White, H.D.; ESC Scientific Document Group. Fourth universal definition of myocardial infarction (2018). Eur. Heart J. 2019, 40, 237–269. [Google Scholar] [CrossRef]
- Apple, F.S.; Sandoval, Y.; Jaffe, A.S.; Ordonez-Llanos, J. Cardiac Troponin Assays: Guide to Understanding Analytical Characteristics and Their Impact on Clinical Care. Clin. Chem. 2017, 63, 73–81. [Google Scholar] [CrossRef]
- Tucker, J.F.; Collins, R.A.; Anderson, A.J.; Hauser, J.; Kalas, J.; Apple, F.S. Early diagnostic efficiency of cardiac troponin I and Troponin T for acute myocardial infarction. Acad. Emerg. Med. 1997, 4, 13–21. [Google Scholar] [CrossRef]
- Tanaka, H.; Abe, S.; Yamashita, T.; Arima, S.; Saigo, M.; Nakao, S.; Toda, H.; Nomoto, K.; Tahara, M. Serum levels of cardiac troponin I and troponin T in estimating myocardial infarct size soon after reperfusion. Coron. Artery Dis. 1997, 8, 433–439. [Google Scholar] [CrossRef]
- Ben Ayed, S.; Godet, G.; Foglietti, M.J.; Bernard, M. Specificity of cardiac markers troponin I and T in excluding postoperative myocardial infarction. Ann. Clin. Biochem. 1997, 34, 559–560. [Google Scholar] [CrossRef] [PubMed]
- Katrukha, I.A.; Kogan, A.E.; Vylegzhanina, A.V.; Kharitonov, A.V.; Tamm, N.N.; Filatov, V.L.; Bereznikova, A.V.; Koshkina, E.V.; Katrukha, A.G. Full-size cardiac troponin I and its proteolytic fragments in blood of patients with acute myocardial infarction: Antibody selection for assay development. Clin. Chem. 2018, 64, 1104–1112. [Google Scholar] [CrossRef]
- Katrukha, I.A.; Riabkova, N.S.; Kogan, A.E.; Vylegzhanina, A.V.; Mukharyamova, K.S.; Bogomolova, A.P.; Zabolotskii, A.I.; Koshkina, E.V.; Bereznikova, A.V.; Katrukha, A.G. Fragmentation of human cardiac troponin T after acute myocardial infarction. Clin. Chim. Acta 2023, 542, 117281. [Google Scholar] [CrossRef]
- Vylegzhanina, A.V.; Kogan, A.E.; Katrukha, I.A.; Koshkina, E.V.; Bereznikova, A.V.; Filatov, V.L.; Bloshchitsyna, M.N.; Bogomolova, A.P.; Katrukha, A.G. Full-Size and Partially Truncated Cardiac Troponin Complexes in the Blood of Patients with Acute Myocardial Infarction. Clin. Chem. 2019, 65, 882–892. [Google Scholar] [CrossRef]
- Katrukha, I.A.; Kogan, A.E.; Vylegzhanina, A.V.; Serebryakova, M.V.; Koshkina, E.V.; Bereznikova, A.V.; Katrukha, A.G. Thrombin-mediated degradation of human cardiac troponin T. Clin. Chem. 2017, 63, 1094–1100. [Google Scholar] [CrossRef]
- Vylegzhanina, A.V.; Kogan, A.E.; Katrukha, I.A.; Antipova, O.V.; Kara, A.N.; Bereznikova, A.V.; Koshkina, E.V.; Katrukha, A.G. Anti-Cardiac Troponin Autoantibodies Are Specific to the Conformational Epitopes Formed by Cardiac Troponin I and Troponin T in the Ternary Troponin Complex. Clin. Chem. 2017, 63, 343–350. [Google Scholar] [CrossRef]
- Vroemen, W.H.M.; Denessen, E.J.S.; van Doorn, W.P.T.M.; Pelzer, K.E.J.M.; Hackeng, T.M.; Litjens, E.J.R.; Henskens, Y.M.C.; van der Sande, F.M.; Wodzig, W.K.W.H.; Kooman, J.P.; et al. Differences in Cardiac Troponin T Composition in Myocardial Infarction and End-Stage Renal Disease Patients: A Blood Tube Effect? J. Appl. Lab. Med. 2024; online ahead of print. [Google Scholar] [CrossRef]
- Wu, A.H.; Feng, Y.J.; Moore, R.; Apple, F.S.; McPherson, P.H.; Buechler, K.F.; Bodor, G. Characterization of cardiac troponin subunit release into serum after acute myocardial infarction and comparison of assays for troponin T and I. Clin. Chem. 1998, 44, 1198–1208. [Google Scholar] [CrossRef]
- Starnberg, K.; Jeppsson, A.; Lindahl, B.; Hammarsten, O. Revision of the troponin T release mechanism from damaged human myocardium. Clin. Chem. 2014, 60, 1098–1104. [Google Scholar] [CrossRef]
- van Wijk, X.M.R.; Claassen, S.; Enea, N.S.; Li, P.; Yang, S.; Brouwer, M.A.; Cramer, G.E.; Zuk, R.; Lynch, K.L.; Wu, A.H.B. Cardiac troponin I is present in plasma of type 1 myocardial infarction patients and patients with troponin I elevations due to other etiologies as complex with little free I. Clin. Biochem. 2019, 73, 35–43. [Google Scholar] [CrossRef] [PubMed]
- Damen, S.A.J.; Cramer, G.E.; Dieker, H.J.; Gehlmann, H.; Ophuis, T.J.M.O.; Aengevaeren, W.R.M. Cardiac Troponin Composition Characterization after Non ST-Elevation Myocardial Infarction: Relation with Culprit Artery, Ischemic Time Window, and Severity of Injury. Clin. Chem. 2021, 67, 227–236. [Google Scholar] [CrossRef] [PubMed]
- World Medical Association. World Medical Association Declaration of Helsinki: Ethical principles for medical research involving human subjects. JAMA 2013, 310, 2191–2194. [Google Scholar] [CrossRef] [PubMed]






Disclaimer/Publisher’s Note: The statements, opinions and data contained in all publications are solely those of the individual author(s) and contributor(s) and not of MDPI and/or the editor(s). MDPI and/or the editor(s) disclaim responsibility for any injury to people or property resulting from any ideas, methods, instructions or products referred to in the content. |
© 2024 by the authors. Licensee MDPI, Basel, Switzerland. This article is an open access article distributed under the terms and conditions of the Creative Commons Attribution (CC BY) license (https://creativecommons.org/licenses/by/4.0/).
Share and Cite
Riabkova, N.S.; Kogan, A.E.; Katrukha, I.A.; Vylegzhanina, A.V.; Bogomolova, A.P.; Alieva, A.K.; Pevzner, D.V.; Bereznikova, A.V.; Katrukha, A.G. Influence of Anticoagulants on the Dissociation of Cardiac Troponin Complex in Blood Samples. Int. J. Mol. Sci. 2024, 25, 8919. https://doi.org/10.3390/ijms25168919
Riabkova NS, Kogan AE, Katrukha IA, Vylegzhanina AV, Bogomolova AP, Alieva AK, Pevzner DV, Bereznikova AV, Katrukha AG. Influence of Anticoagulants on the Dissociation of Cardiac Troponin Complex in Blood Samples. International Journal of Molecular Sciences. 2024; 25(16):8919. https://doi.org/10.3390/ijms25168919
Chicago/Turabian StyleRiabkova, Natalia S., Alexander E. Kogan, Ivan A. Katrukha, Alexandra V. Vylegzhanina, Agnessa P. Bogomolova, Amina K. Alieva, Dmitry V. Pevzner, Anastasia V. Bereznikova, and Alexey G. Katrukha. 2024. "Influence of Anticoagulants on the Dissociation of Cardiac Troponin Complex in Blood Samples" International Journal of Molecular Sciences 25, no. 16: 8919. https://doi.org/10.3390/ijms25168919
APA StyleRiabkova, N. S., Kogan, A. E., Katrukha, I. A., Vylegzhanina, A. V., Bogomolova, A. P., Alieva, A. K., Pevzner, D. V., Bereznikova, A. V., & Katrukha, A. G. (2024). Influence of Anticoagulants on the Dissociation of Cardiac Troponin Complex in Blood Samples. International Journal of Molecular Sciences, 25(16), 8919. https://doi.org/10.3390/ijms25168919

