Apo-Lactoferrin Inhibits the Proteolytic Activity of the 110 kDa Zn Metalloprotease Produced by Mannheimia haemolytica A2
Abstract
1. Introduction
2. Results
2.1. Effect of Apo-bLf on the Growth of M. haemolytica A2
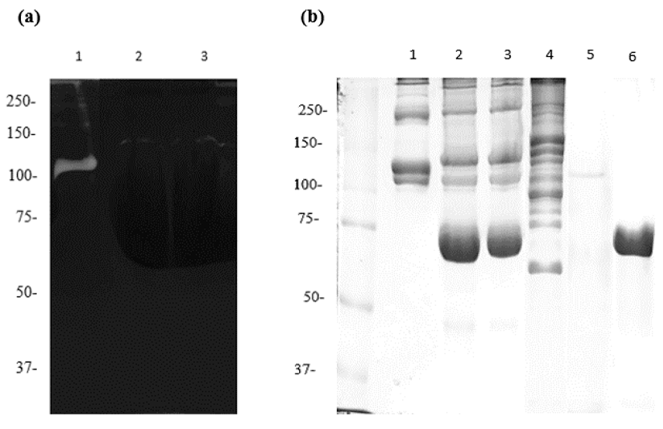
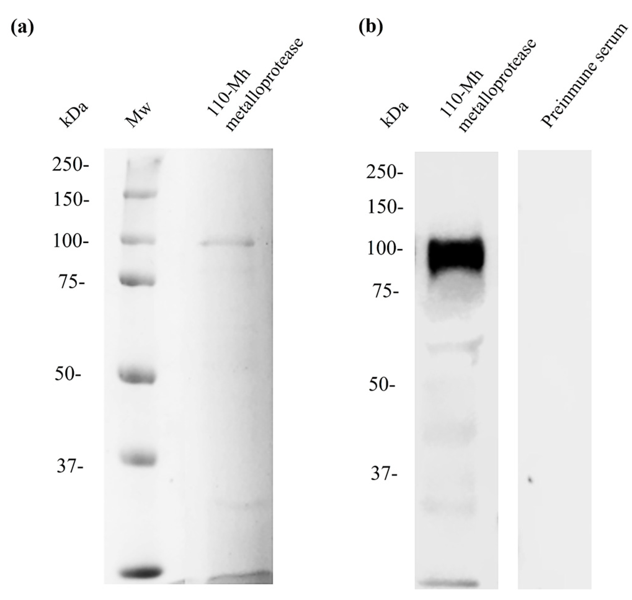
2.2. Bovine Apo-Lactoferrin Inhibits the Secretion of M. haemolytica A2 Proteases, as Detected with an Anti-110 kDa Synthetic Peptide Antibody
2.3. Bovine Apo-Lactoferrin Inhibits the Collagenase Activity of the 110-Mh Metalloprotease of M. haemolytica A2
2.4. Inhibition Assays of the 110-Mh Metalloprotease Activity with Apo-bLf Using Azocoll
2.5. Bovine Lactoferrin Binds with High Affinity to the 110-Mh Metalloprotease, as Determined by In Silico Analysis
2.6. Binding of Bovine Apo-Lf to the 110-Mh Metalloprotease, as Determined by Overlay Blot
3. Discussion
4. Materials and Methods
4.1. Bacterium
4.2. Determination of Subinhibitory Effects of Apo-bLf on the Growth of M. haemolytica A2
4.3. Proteases Obtained from Culture Supernatants of M. haemolytica A2 Incubated with apo-bLf
4.4. Determination and Identification of 110-Mh Metalloprotease from M. haemolytica A2 and Western Blotting
4.5. Effect of Apo-bLf on the 110-Mh Metalloprotease from M. haemolytica A2
4.6. Interaction of the 110-Mh Metalloprotease and bLf In Silico
4.7. Western Blot and Overlay
4.8. Statistical Analysis
5. Conclusions
Author Contributions
Funding
Institutional Review Board Statement
Informed Consent Statement
Data Availability Statement
Acknowledgments
Conflicts of Interest
References
- Frank, G.H.; Smith, P.C. Prevalence of Pasteurella haemolytica in transported calves. Am. J. Vet. Res. 1983, 44, 981–985. [Google Scholar] [PubMed]
- Rice, J.A.; Carrasco-Medina, L.; Hodgins, D.C.; Shewen, P.E. Mannheimia haemolytica and bovine respiratory disease. Anim. Health Res. Rev. 2007, 8, 117–128. [Google Scholar] [CrossRef] [PubMed]
- Singh, K.; Ritchey, J.W.; Confer, A.W. Mannheimia haemolytica: Bacterial-host interactions in bovine pneumonia. Vet. Pathol. 2011, 48, 338–348. [Google Scholar] [CrossRef] [PubMed]
- Zachary, J. Pathologic Basis of Veterinary Disease Expert Consult, 7th ed.; Mosby: Maryland Heights, MO, USA; Elsevier: Amsterdam, The Netherlands, 2022; p. 586. [Google Scholar]
- Samaniego, B.M.; Contreras, J.J.; Jaramillo–Arango, C.; Aguilar–Romero, F.; Vázquez Navarrete, J.; Hernández–Castro, R.; Suárez–Güemes, F.; Tavera, F.T. Resistencia a antimicrobianos en cepas de Mannheimia haemolytica aisladas de exudado nasal de bovinos productores de leche. Vet. Méx. 2012, 43, 123–132. [Google Scholar]
- Olsen, A.S.; Warrass, R.; Douthwaite, S. Macrolide resistance conferred by rRNA mutations in field isolates of Mannheimia haemolytica and Pasteurella multocida. J. Antimicrob. Chemother. 2015, 70, 420–423. [Google Scholar] [CrossRef]
- Avalos-Gomez, C.; Reyes-Lopez, M.; Ramirez-Rico, G.; Diaz-Aparicio, E.; Zenteno, E.; Gonzalez-Ruiz, C.; de la Garza, M. Effect of apo-lactoferrin on leukotoxin and outer membrane vesicles of Mannheimia haemolytica A2. Vet. Res. 2020, 51, 36. [Google Scholar] [CrossRef]
- Samaniego-Barron, L.; Luna-Castro, S.; Pina-Vazquez, C.; Suarez-Guemes, F.; de la Garza, M. Two outer membrane proteins are bovine lactoferrin-binding proteins in Mannheimia haemolytica A1. Vet. Res. 2016, 47, 93. [Google Scholar] [CrossRef] [PubMed]
- Kowalczyk, P.; Kaczynska, K.; Kleczkowska, P.; Bukowska-Osko, I.; Kramkowski, K.; Sulejczak, D. The Lactoferrin Phenomenon-A Miracle Molecule. Molecules 2022, 27, 2941. [Google Scholar] [CrossRef]
- Ward, P.P.; Paz, E.; Conneely, O.M. Multifunctional roles of lactoferrin: A critical overview. Cell. Mol. Life Sci. 2005, 62, 2540–2548. [Google Scholar] [CrossRef]
- Baker, H.M.; Baker, E.N. A structural perspective on lactoferrin function. Biochem. Cell Biol. 2012, 90, 320–328. [Google Scholar] [CrossRef]
- Ramirez-Rico, G.; Martinez-Castillo, M.; Avalos-Gomez, C.; de la Garza, M. Bovine apo-lactoferrin affects the secretion of proteases in Mannheimia haemolytica A2. Access Microbiol. 2021, 3, 000269. [Google Scholar] [CrossRef] [PubMed]
- Ramirez-Rico, G.; Martinez-Castillo, M.; Ruiz-Mazon, L.; Meneses-Romero, E.P.; Palacios, J.A.F.; Diaz-Aparicio, E.; Abascal, E.N.; de la Garza, M. Identification, Biochemical Characterization, and In Vivo Detection of a Zn-Metalloprotease with Collagenase Activity from Mannheimia haemolytica A2. Int. J. Mol. Sci. 2024, 25, 1289. [Google Scholar] [CrossRef]
- Atkinson, R.K.; Wright, L.G. The involvement of collagenase in the necrosis induced by the bites of some spiders. Comp. Biochem. Physiol. Part C Comp. Pharmacol. 1992, 102, 125–128. [Google Scholar] [CrossRef]
- Kassegne, k.; Hu, W.; Ojcius, D.M.; Sun, D.; Ge, Y.; Zhao, J.; Yang, X.F.; Li, L.; Yan, J. Identification of Collagenase as a Critical Virulence Factor for Invasiveness and Transmission of Pathogenic Leptospira Species. J. Infect. Dis. 2013, 209, 1105–1115. [Google Scholar] [CrossRef]
- Griffin, D.; Chengappa, M.M.; Kuszak, J.; McVey, D.S. Bacterial pathogens of the bovine respiratory disease complex. Vet. Clin. N. Am. Food Anim. Pract. 2010, 26, 381–394. [Google Scholar] [CrossRef] [PubMed]
- Catalano, A.; Iacopetta, D.; Ceramella, J.; Scumaci, D.; Giuzio, F.; Saturnino, C.; Aquaro, S.; Rosano, C.; Sinicropi, M.S. Multidrug Resistance (MDR): A Widespread Phenomenon in Pharmacological Therapies. Molecules 2022, 27, 616. [Google Scholar] [CrossRef] [PubMed]
- Tomita, M.; Wakabayashi, H.; Yamauchi, K.; Teraguchi, S.; Hayasawa, H. Bovine lactoferrin and lactoferricin derived from milk: Production and applications. Biochem. Cell Biol. 2002, 80, 109–112. [Google Scholar] [CrossRef]
- Ashraf, M.F.; Zubair, D.; Bashir, M.N.; Alagawany, M.; Ahmed, S.; Shah, Q.A.; Buzdar, J.A.; Arain, M.A. Nutraceutical and Health-Promoting Potential of Lactoferrin, an Iron-Binding Protein in Human and Animal: Current Knowledge. Biol. Trace Elem. Res. 2024, 202, 56–72. [Google Scholar] [CrossRef] [PubMed]
- Liu, Y.; Han, F.; Xie, Y.; Wang, Y. Comparative antimicrobial activity and mechanism of action of bovine lactoferricin-derived synthetic peptides. Biometals 2011, 24, 1069–1078. [Google Scholar] [CrossRef] [PubMed]
- Sundar, S.; Piramanayagam, S.; Natarajan, J. A comprehensive review on human disease-causing bacterial proteases and their impeding agents. Arch. Microbiol. 2023, 205, 276. [Google Scholar] [CrossRef]
- Miyoshi, S.; Shinoda, S. Microbial metalloproteases and pathogenesis. Microbes Infect. 2000, 2, 91–98. [Google Scholar] [CrossRef] [PubMed]
- Lee, C.W.; Lo, R.Y.; Shewen, P.E.; Mellors, A. The detection of the sialoglycoprotease gene and assay for sialoglycoprotease activity among isolates of Pasteurella haemolytica A1 strains, serotypes A13, A14, T15 and A16. FEMS Microbiol. Lett. 1994, 121, 199–205. [Google Scholar] [CrossRef] [PubMed]
- Rosales-Islas, V.; Ramirez-Paz, Y.P.G.A.; Montes-Garcia, F.; Vazquez-Cruz, C.; Sanchez-Alonso, P.; Zenteno, E.; Negrete-Abascal, E. Isolation and characterization of a Mannheimiahaemolytica secreted serine protease that degrades sheep and bovine fibrinogen. Microb. Pathog. 2024, 192, 106706. [Google Scholar] [CrossRef] [PubMed]
- Ramírez-Rico, G.; Martínez-Castillo, M.; González-Ruíz, C.; Luna-Castro, S.; de la Garza, M. Mannheimia haemolytica A2 secretes different proteases into the culture medium and in outer membrane vesicles. Microb. Pathog. 2017, 113, 276–281. [Google Scholar] [CrossRef] [PubMed]
- Nakayama, K.; Otsuki, K.; Yakuwa, K.; Hasegawa, A.; Sawada, M.; Mitsukawa, K.; Chiba, H.; Nagatsuka, M.; Okai, T. Recombinant human lactoferrin inhibits matrix metalloproteinase (MMP-2, MMP-3, and MMP-9) activity in a rabbit preterm delivery model. J. Obstet. Gynaecol. Res. 2008, 34, 931–934. [Google Scholar] [CrossRef] [PubMed]
- Zwirzitz, A.; Reiter, M.; Skrabana, R.; Ohradanova-Repic, A.; Majdic, O.; Gutekova, M.; Cehlar, O.; Petrovcikova, E.; Kutejova, E.; Stanek, G.; et al. Lactoferrin is a natural inhibitor of plasminogen activation. J. Biol. Chem. 2018, 293, 8600–8613. [Google Scholar] [CrossRef] [PubMed]
- Baker, H.M.; Baker, C.J.; Smith, C.A.; Baker, E.N. Metal substitution in transferrins: Specific binding of cerium(IV) revealed by the crystal structure of cerium-substituted human lactoferrin. J. Biol. Inorg. Chem. 2000, 5, 692–698. [Google Scholar] [CrossRef]
- Superti, F.; Siciliano, R.; Rega, B.; Giansanti, F.; Valenti, P.; Antonini, G. Involvement of bovine lactoferrin metal saturation, sialic acid and protein fragments in the inhibition of rotavirus infection. Biochim. Biophys. Acta 2001, 1528, 107–115. [Google Scholar] [CrossRef]
- Marchetti, M.; Pisani, S.; Antonini, G.; Valenti, P.; Seganti, L.; Orsi, N. Metal complexes of bovine lactoferrin inhibit in vitro replication of herpes simplex virus type 1 and 2. Biometals 1998, 11, 89–94. [Google Scholar] [CrossRef]
- Goldoni, P.; Sinibaldi, L.; Valenti, P.; Orsi, N. Metal complexes of lactoferrin and their effect on the intracellular multiplication of Legionella pneumophila. Biometals 2000, 13, 15–22. [Google Scholar] [CrossRef]
- Newsome, A.L.; Johnson, J.P.; Seipelt, R.L.; Thompson, M.W. Apolactoferrin inhibits the catalytic domain of matrix metalloproteinase-2 by zinc chelation. Biochem. Cell Biol. 2007, 85, 563–572. [Google Scholar] [CrossRef] [PubMed]
- Luna-Castro, S.; Aguilar-Romero, F.; Samaniego-Barron, L.; Godinez-Vargas, D.; de la Garza, M. Effect of bovine apo-lactoferrin on the growth and virulence of Actinobacillus pleuropneumoniae. Biometals 2014, 27, 891–903. [Google Scholar] [CrossRef]
- Gomez, H.F.; Ochoa, T.J.; Carlin, L.G.; Cleary, T.G. Human lactoferrin impairs virulence of Shigella flexneri. J. Infect. Dis. 2003, 187, 87–95. [Google Scholar] [CrossRef] [PubMed]
- Gonzalez-Ruiz, C.; Tenorio-Gutierrez, V.; Trigo-Tavera, F.; Reyes-Lopez, M.; Leon-Sicairos, N.; Godinez-Vargas, D.; De la Garza-Amaya, M. Characterization of Microvesicles of Mannheimia haemolytica Serotype A1 (Reference Strain) and Serotype A2 (Field Isolate). J. Anim. Vet. Adv. 2007, 6, 1172–1182. [Google Scholar]
- Luber, P.; Bartelt, E.; Genschow, E.; Wagner, J.; Hahn, H. Comparison of broth microdilution, E Test, and agar dilution methods for antibiotic susceptibility testing of Campylobacter jejuni and Campylobacter coli. J. Clin. Microbiol. 2003, 41, 1062–1068. [Google Scholar] [CrossRef] [PubMed]
- Duong-Ly, K.C.; Gabelli, S.B. Salting out of proteins using ammonium sulfate precipitation. Methods Enzymol. 2014, 541, 85–94. [Google Scholar] [CrossRef]
- Bradford, M.M. A rapid and sensitive method for the quantitation of microgram quantities of protein utilizing the principle of protein-dye binding. Anal. Biochem. 1976, 72, 248–254. [Google Scholar] [CrossRef]
- Saha, S.; Raghava, G.P.S. BcePred: Prediction of Continuous B-Cell Epitopes in Antigenic Sequences Using Physico-chemical Properties. In Artificial Immune Systems. ICARIS 2004; Lecture Notes in Computer Science; Springer: Berlin/Heidelberg, Germany, 2004; Volume 3239, pp. 197–204. [Google Scholar]
- Saha, S.; Raghava, G.P. Prediction of continuous B-cell epitopes in an antigen using recurrent neural network. Proteins 2006, 65, 40–48. [Google Scholar] [CrossRef] [PubMed]
- Saha, S.; Raghava, G.P. Prediction methods for B-cell epitopes. Methods Mol. Biol. 2007, 409, 387–394. [Google Scholar] [CrossRef]
- Wilkins, M.R.; Gasteiger, E.; Bairoch, A.; Sanchez, J.C.; Williams, K.L.; Appel, R.D.; Hochstrasser, D.F. Protein identification and analysis tools in the ExPASy server. Methods Mol. Biol. 1999, 112, 531–552. [Google Scholar] [CrossRef]
- Ideno, S.; Sakai, K.; Yunoki, M.; Kubota-Koketsu, R.; Inoue, Y.; Nakamura, S.; Yasunaga, T.; Okuno, Y.; Ikuta, K. Immunization of rabbits with synthetic peptides derived from a highly conserved beta-sheet epitope region underneath the receptor binding site of influenza a virus. Biologics 2013, 7, 233–241. [Google Scholar] [CrossRef]
- Towbin, H.; Staehelin, T.; Gordon, J. Electrophoretic transfer of proteins from polyacrylamide gels to nitrocellulose sheets: Procedure and some applications. Proc. Natl. Acad. Sci. USA 1979, 76, 4350–4354. [Google Scholar] [CrossRef] [PubMed]
- Negrete-Abascal, E.; Tenorio, V.R.; Serrano, J.J.; Garcia, C.; de la Garza, M. Secreted proteases from Actinobacillus pleuropneumoniae serotype 1 degrade porcine gelatin, hemoglobin and immunoglobulin A. Can. J. Vet. Res. 1994, 58, 83–86. [Google Scholar] [PubMed]
- Chavira, R., Jr.; Burnett, T.J.; Hageman, J.H. Assaying proteinases with azocoll. Anal. Biochem. 1984, 136, 446–450. [Google Scholar] [CrossRef]
- Hall, R.A. Studying protein-protein interactions via blot overlay or Far Western blot. Methods Mol. Biol. 2004, 261, 167–174. [Google Scholar] [CrossRef]






Disclaimer/Publisher’s Note: The statements, opinions and data contained in all publications are solely those of the individual author(s) and contributor(s) and not of MDPI and/or the editor(s). MDPI and/or the editor(s) disclaim responsibility for any injury to people or property resulting from any ideas, methods, instructions or products referred to in the content. |
© 2024 by the authors. Licensee MDPI, Basel, Switzerland. This article is an open access article distributed under the terms and conditions of the Creative Commons Attribution (CC BY) license (https://creativecommons.org/licenses/by/4.0/).
Share and Cite
Ramírez-Rico, G.; Ruiz-Mazón, L.; Reyes-López, M.; Rivillas Acevedo, L.; Serrano-Luna, J.; de la Garza, M. Apo-Lactoferrin Inhibits the Proteolytic Activity of the 110 kDa Zn Metalloprotease Produced by Mannheimia haemolytica A2. Int. J. Mol. Sci. 2024, 25, 8232. https://doi.org/10.3390/ijms25158232
Ramírez-Rico G, Ruiz-Mazón L, Reyes-López M, Rivillas Acevedo L, Serrano-Luna J, de la Garza M. Apo-Lactoferrin Inhibits the Proteolytic Activity of the 110 kDa Zn Metalloprotease Produced by Mannheimia haemolytica A2. International Journal of Molecular Sciences. 2024; 25(15):8232. https://doi.org/10.3390/ijms25158232
Chicago/Turabian StyleRamírez-Rico, Gerardo, Lucero Ruiz-Mazón, Magda Reyes-López, Lina Rivillas Acevedo, Jesús Serrano-Luna, and Mireya de la Garza. 2024. "Apo-Lactoferrin Inhibits the Proteolytic Activity of the 110 kDa Zn Metalloprotease Produced by Mannheimia haemolytica A2" International Journal of Molecular Sciences 25, no. 15: 8232. https://doi.org/10.3390/ijms25158232
APA StyleRamírez-Rico, G., Ruiz-Mazón, L., Reyes-López, M., Rivillas Acevedo, L., Serrano-Luna, J., & de la Garza, M. (2024). Apo-Lactoferrin Inhibits the Proteolytic Activity of the 110 kDa Zn Metalloprotease Produced by Mannheimia haemolytica A2. International Journal of Molecular Sciences, 25(15), 8232. https://doi.org/10.3390/ijms25158232

