Structure-Function Insights into the Dual Role in Nucleobase and Nicotinamide Metabolism and a Possible Use in Cancer Gene Therapy of the URH1p Riboside Hydrolase
Abstract
1. Introduction
2. Results
2.1. The URH1p Protein Is a Member of the NH Structural Homology Group I
2.2. Analysis of the Substrate Specificity of URH1p
2.3. Crystal Structure of URH1p, a Monomeric Group I NH Enzyme
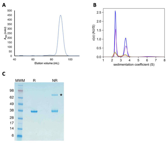
2.4. Specific Amino Acid Substitutions Prevent URH1p Oligomerisation
2.5. Modelling of the URH1p-Substrate Interactions
2.6. Thermal Stability of URH1p
3. Discussion
4. Materials and Methods
4.1. Cloning Expression and Purification
4.2. Analytical Ultracentrifugation
4.3. Circular Dichroism
4.4. Steady-State Kinetic Analysis
4.5. Crystallisation and Structural Determination
4.6. Modelling of Substrate-Enzyme Contacts
5. Conclusions
Supplementary Materials
Author Contributions
Funding
Institutional Review Board Statement
Informed Consent Statement
Data Availability Statement
Acknowledgments
Conflicts of Interest
References
- Belenky, P.; Bogan, K.L.; Brenner, C. NAD+ metabolism in health and disease. Trends Biochem. Sci. 2007, 32, 12–19. [Google Scholar] [CrossRef] [PubMed]
- Fiorentino, F.; Mai, A.; Rotili, D. The role of structural biology in the design of sirtuin activators. Curr. Opin. Struct. Biol. 2023, 82, 102666. [Google Scholar] [CrossRef] [PubMed]
- Waddell, J.; Khatoon, R.; Kristian, T. Cellular and Mitochondrial NAD Homeostasis in Health and Disease. Cells 2023, 12, 1329. [Google Scholar] [CrossRef]
- Wilson, N.; Kataura, T.; Korsgen, M.E.; Sun, C.; Sarkar, S.; Korolchuk, V.I. The autophagy-NAD axis in longevity and disease. Trends Cell Biol. 2023, 33, 788–802. [Google Scholar] [CrossRef] [PubMed]
- Li, F.; Wu, C.; Wang, G. Targeting NAD Metabolism for the Therapy of Age-Related Neurodegenerative Diseases. Neurosci. Bull. 2023, 40, 218–240. [Google Scholar] [CrossRef] [PubMed]
- Mesquita, I.; Varela, P.; Belinha, A.; Gaifem, J.; Laforge, M.; Vergnes, B.; Estaquier, J.; Silvestre, R. Exploring NAD+ metabolism in host-pathogen interactions. Cell. Mol. Life Sci. 2016, 73, 1225–1236. [Google Scholar] [CrossRef] [PubMed]
- de Freitas e Silva, R.; Bassi, G.; Câmara, N.O.S.; Moretti, N.S. Sirtuins: Key pieces in the host response to pathogens’ puzzle. Mol. Immunol. 2023, 160, 150–160. [Google Scholar] [CrossRef] [PubMed]
- Podyacheva, E.; Toropova, Y. The Role of NAD+, SIRTs Interactions in Stimulating and Counteracting Carcinogenesis. Int. J. Mol. Sci. 2023, 24, 7925. [Google Scholar] [CrossRef] [PubMed]
- Koch-Nolte, F.; Reche, P.; Haag, F.; Bazan, F. ADP-ribosyltransferases: Plastic tools for inactivating protein and small molecular weight targets. J. Biotechnol. 2001, 92, 81–87. [Google Scholar] [CrossRef][Green Version]
- de Murcia, G.; Schreiber, V.; Molinete, M.; Saulier, B.; Poch, O.; Masson, M.; Niedergang, C.; de Murcia, J.M. Structure and function of poly(ADP-ribose) polymerase. Mol. Cell. Biochem. 1994, 138, 15–24. [Google Scholar] [CrossRef]
- Patrone, M.; Galasyn, G.S.; Kerin, F.; Nyitray, M.M.; Parkin, D.W.; Stockman, B.J.; Degano, M. A riboside hydrolase that salvages both nucleobases and nicotinamide in the auxotrophic parasite Trichomonas vaginalis. J. Biol. Chem. 2023, 299, 105077. [Google Scholar] [CrossRef] [PubMed]
- Bieganowski, P.; Brenner, C. Discoveries of Nicotinamide Riboside as a Nutrient and Conserved NRK Genes Establish a Preiss-Handler Independent Route to NAD+ in Fungi and Humans. Cell 2004, 117, 495–502. [Google Scholar] [CrossRef] [PubMed]
- Belenky, P.; Racette, F.G.; Bogan, K.L.; McClure, J.M.; Smith, J.S.; Brenner, C. Nicotinamide riboside promotes Sir2 silencing and extends lifespan via Nrk and Urh1/Pnp1/Meu1 pathways to NAD+. Cell 2007, 129, 473–484. [Google Scholar] [CrossRef] [PubMed]
- Wielgus-Kutrowska, B.; Kulikowska, E.; Wierzchowski, J.; Bzowska, A.; Shugar, D. Nicotinamide riboside, an unusual, non-typical, substrate of purified purine-nucleoside phosphorylases. Eur. J. Biochem. 1997, 243, 408–414. [Google Scholar] [CrossRef] [PubMed]
- Belenky, P.; Christensen, K.C.; Gazzaniga, F.; Pletnev, A.A.; Brenner, C. Nicotinamide Riboside and Nicotinic Acid Riboside Salvage in Fungi and Mammals. J. Biol. Chem. 2009, 284, 158–164. [Google Scholar] [CrossRef] [PubMed]
- Dewey, V.; Kidder, G.W. Partial purification and properties of a nucleoside hydrolase from Crithidia. Arch. Biochem. Biophys. 1973, 157, 380–3877. [Google Scholar] [CrossRef] [PubMed]
- Gopaul, D.N.; Meyer, S.L.; Degano, M.; Sacchettini, J.C.; Schramm, V.L. Inosine-uridine nucleoside hydrolase from Crithidia fasciculata. Genetic characterisation, crystallisation, and identification of histidine 241 as a catalytic site residue. Biochemistry 1996, 35, 5963–5970. [Google Scholar] [CrossRef]
- Giabbai, B.; Degano, M. Crystal structure to 1.7 a of the Escherichia coli pyrimidine nucleoside hydrolase YeiK, a novel candidate for cancer gene therapy. Struct. Lond. Engl. 2004, 12, 739–749. [Google Scholar] [CrossRef]
- Parkin, D.W. Purine-specific nucleoside N-ribohydrolase from Trypanosoma brucei brucei. Purification, specificity, and kinetic mechanism. J. Biol. Chem. 1996, 271, 21713–21719. [Google Scholar] [CrossRef][Green Version]
- Versées, W.; Decanniere, K.; Pellé, R.; Depoorter, J.; Brosens, E.; Parkin, D.W.; Steyaert, J. Structure and function of a novel purine specific nucleoside hydrolase from Trypanosoma vivax. J. Mol. Biol. 2001, 307, 1363–1379. [Google Scholar] [CrossRef]
- Vandemeulebroucke, A.; Minici, C.; Bruno, I.; Muzzolini, L.; Tornaghi, P.; Parkin, D.W.; Versées, W.; Steyaert, J.; Degano, M. Structure and mechanism of the 6-oxopurine nucleosidase from Trypanosoma brucei brucei. Biochemistry 2010, 49, 8999–9010. [Google Scholar] [CrossRef] [PubMed]
- Muzzolini, L.; Versées, W.; Tornaghi, P.; Van Holsbeke, E.; Steyaert, J.; Degano, M. New insights into the mechanism of nucleoside hydrolases from the crystal structure of the Escherichia coli YbeK protein bound to the reaction product. Biochemistry 2006, 45, 773–782. [Google Scholar] [CrossRef]
- Petersen, C.; Møller, L.B. The RihA, RihB, and RihC ribonucleoside hydrolases of Escherichia coli. Substrate specificity, gene expression, and regulation. J. Biol. Chem. 2001, 276, 884–894. [Google Scholar] [CrossRef] [PubMed]
- Minici, C.; Cacciapuoti, G.; De Leo, E.; Porcelli, M.; Degano, M. New determinants in the catalytic mechanism of nucleoside hydrolases from the structures of two isozymes from Sulfolobus solfataricus. Biochemistry 2012, 51, 4590–4599. [Google Scholar] [CrossRef] [PubMed]
- Parkin, D.W.; Horenstein, B.A.; Abdulah, D.R.; Estupiñán, B.; Schramm, V.L. Nucleoside hydrolase from Crithidia fasciculata. Metabolic role, purification, specificity, and kinetic mechanism. J. Biol. Chem. 1991, 266, 20658–20665. [Google Scholar] [CrossRef] [PubMed]
- Arivett, B.; Farone, M.; Masiragani, R.; Burden, A.; Judge, S.; Osinloye, A.; Minici, C.; Degano, M.; Robinson, M.; Kline, P. Characterisation of inosine-uridine nucleoside hydrolase (RihC) from Escherichia coli. Biochim. Biophys. Acta 2014, 1844, 656–662. [Google Scholar] [CrossRef] [PubMed]
- Degano, M.; Gopaul, D.N.; Scapin, G.; Schramm, V.L.; Sacchettini, J.C. Three-dimensional structure of the inosine-uridine nucleoside N-ribohydrolase from Crithidia fasciculata. Biochemistry 1996, 35, 5971–5981. [Google Scholar] [CrossRef] [PubMed]
- Kurtz, J.-E.; Exinger, F.; Erbs, P.; Jund, R. The URH1 uridine ribohydrolase of Saccharomyces cerevisiae. Curr. Genet. 2002, 41, 132–141. [Google Scholar] [CrossRef]
- Mazzella, L.J.; Parkin, D.W.; Tyler, P.C.; Furneaux, R.H.; Schramm, V.L. Mechanistic Diagnoses of N-Ribohydrolases and Purine Nucleoside Phosphorylase. J. Am. Chem. Soc. 1996, 118, 2111–2112. [Google Scholar] [CrossRef]
- Degano, M. Structure, Oligomerisation and Activity Modulation in N-Ribohydrolases. Int. J. Mol. Sci. 2022, 23, 2576. [Google Scholar] [CrossRef]
- Magni, G. Uridine nucleosidase from yeast. Methods Enzymol. 1978, 51, 290–296. [Google Scholar] [CrossRef] [PubMed]
- Magni, G.; Fioretti, E.; Ipata, P.L.; Natalini, P. Bakers’ yeast uridine nucleosidase. Purification, composition, and physical and enzymatic properties. J. Biol. Chem. 1975, 250, 9–13. [Google Scholar] [CrossRef] [PubMed]
- Huysmans, G.; Ranquin, A.; Wyns, L.; Steyaert, J.; Van Gelder, P. Encapsulation of therapeutic nucleoside hydrolase in functionalised nanocapsules. J. Control. Release Off. J. Control. Release Soc. 2005, 102, 171–179. [Google Scholar] [CrossRef] [PubMed]
- Ranquin, A.; Versées, W.; Meier, W.; Steyaert, J.; Van Gelder, P. Therapeutic nanoreactors: Combining chemistry and biology in a novel triblock copolymer drug delivery system. Nano Lett. 2005, 5, 2220–2224. [Google Scholar] [CrossRef] [PubMed]
- Iovane, E.; Giabbai, B.; Muzzolini, L.; Matafora, V.; Fornili, A.; Minici, C.; Giannese, F.; Degano, M. Structural basis for substrate specificity in group I nucleoside hydrolases. Biochemistry 2008, 47, 4418–4426. [Google Scholar] [CrossRef] [PubMed]
- Fornili, A.; Giabbai, B.; Garau, G.; Degano, M. Energy landscapes associated with macromolecular conformational changes from endpoint structures. J. Am. Chem. Soc. 2010, 132, 17570–17577. [Google Scholar] [CrossRef] [PubMed]
- Kopecná, M.; Blaschke, H.; Kopecny, D.; Vigouroux, A.; Koncitíková, R.; Novák, O.; Kotland, O.; Strnad, M.; Moréra, S.; von Schwartzenberg, K. Structure and function of nucleoside hydrolases from Physcomitrella patens and maize catalyzing the hydrolysis of purine, pyrimidine, and cytokinin ribosides. Plant Physiol. 2013, 163, 1568–1583. [Google Scholar] [CrossRef]
- Greenfield, N.J. Using circular dichroism collected as a function of temperature to determine the thermodynamics of protein unfolding and binding interactions. Nat. Protoc. 2006, 1, 2527–2535. [Google Scholar] [CrossRef] [PubMed]
- Prabhu, N.V.; Sharp, K.A. Heat Capacity in Proteins. Annu. Rev. Phys. Chem. 2005, 56, 521–548. [Google Scholar] [CrossRef]
- Trammell, S.A.J.; Schmidt, M.S.; Weidemann, B.J.; Redpath, P.; Jaksch, F.; Dellinger, R.W.; Li, Z.; Abel, E.D.; Migaud, M.E.; Brenner, C. Nicotinamide riboside is uniquely and orally bioavailable in mice and humans. Nat. Commun. 2016, 7, 12948. [Google Scholar] [CrossRef]
- Horenstein, B.A.; Parkin, D.W.; Estupiñán, B.; Schramm, V.L. Transition-state analysis of nucleoside hydrolase from Crithidia fasciculata. Biochemistry 1991, 30, 10788–10795. [Google Scholar] [CrossRef] [PubMed]
- Horenstein, B.A.; Schramm, V.L. Correlation of the molecular electrostatic potential surface of an enzymatic transition state with novel transition-state inhibitors. Biochemistry 1993, 32, 9917–9925. [Google Scholar] [CrossRef]
- Degano, M.; Almo, S.C.; Sacchettini, J.C.; Schramm, V.L. Trypanosomal nucleoside hydrolase. A novel mechanism from the structure with a transition-state inhibitor. Biochemistry 1998, 37, 6277–6285. [Google Scholar] [CrossRef] [PubMed]
- Vandemeulebroucke, A.; Versées, W.; De Vos, S.; Van Holsbeke, E.; Steyaert, J. Pre-steady-state analysis of the nucleoside hydrolase of Trypanosoma vivax. Evidence for half-of-the-sites reactivity and rate-limiting product release. Biochemistry 2003, 42, 12902–12908. [Google Scholar] [CrossRef] [PubMed]
- Babu, M.; Arnold, R.; Bundalovic-Torma, C.; Gagarinova, A.; Wong, K.S.; Kumar, A.; Stewart, G.; Samanfar, B.; Aoki, H.; Wagih, O.; et al. Quantitative genome-wide genetic interaction screens reveal global epistatic relationships of protein complexes in Escherichia coli. PLoS Genet. 2014, 10, e1004120. [Google Scholar] [CrossRef] [PubMed]
- Arifuzzaman, M.; Maeda, M.; Itoh, A.; Nishikata, K.; Takita, C.; Saito, R.; Ara, T.; Nakahigashi, K.; Huang, H.-C.; Hirai, A.; et al. Large-scale identification of protein-protein interaction of Escherichia coli K-12. Genome Res. 2006, 16, 686–691. [Google Scholar] [CrossRef] [PubMed]
- Pinedo, H.M.; Peters, G.F. Fluorouracil: Biochemistry and pharmacology. J. Clin. Oncol. Off. J. Am. Soc. Clin. Oncol. 1988, 6, 1653–1664. [Google Scholar] [CrossRef] [PubMed]
- Chu, E.; Callender, M.A.; Farrell, M.P.; Schmitz, J.C. Thymidylate synthase inhibitors as anticancer agents: From bench to bedside. Cancer Chemother. Pharmacol. 2003, 52 (Suppl. 1), S80–S89. [Google Scholar] [CrossRef] [PubMed]
- Durinikova, E.; Plava, J.; Tyciakova, S.; Skvara, P.; Stanova, A.V.; Kozovska, Z.; Kucerova, L.; Matuskova, M. Cytotoxic response of 5-fluorouracil-resistant cells to gene- and cell-directed enzyme/prodrug treatment. Cancer Gene Ther. 2018, 25, 285–299. [Google Scholar] [CrossRef]
- Schuck, P. Size-distribution analysis of macromolecules by sedimentation velocity ultracentrifugation and lamm equation modeling. Biophys. J. 2000, 78, 1606–1619. [Google Scholar] [CrossRef]
- Kabsch, W. XDS. Acta Crystallogr. D Biol. Crystallogr. 2010, 66, 125–132. [Google Scholar] [CrossRef] [PubMed]
- Evans, P.R.; Murshudov, G.N. How good are my data and what is the resolution? Acta Crystallogr. D Biol. Crystallogr. 2013, 69, 1204–1214. [Google Scholar] [CrossRef] [PubMed]
- Vonrhein, C.; Flensburg, C.; Keller, P.; Sharff, A.; Smart, O.; Paciorek, W.; Womack, T.; Bricogne, G. Data processing and analysis with the autoPROC toolbox. Acta Crystallogr. D Biol. Crystallogr. 2011, 67, 293–302. [Google Scholar] [CrossRef] [PubMed]
- Karplus, P.A.; Diederichs, K. Linking crystallographic model and data quality. Science 2012, 336, 1030–1033. [Google Scholar] [CrossRef]
- Vagin, A.; Teplyakov, A. Molecular replacement with MOLREP. Acta Crystallogr. D Biol. Crystallogr. 2010, 66, 22–25. [Google Scholar] [CrossRef] [PubMed]
- Emsley, P.; Lohkamp, B.; Scott, W.G.; Cowtan, K. Features and development of Coot. Acta Crystallogr. D Biol. Crystallogr. 2010, 66, 486–501. [Google Scholar] [CrossRef] [PubMed]
- Murshudov, G.N.; Skubák, P.; Lebedev, A.A.; Pannu, N.S.; Steiner, R.A.; Nicholls, R.A.; Winn, M.D.; Long, F.; Vagin, A.A. REFMAC5 for the refinement of macromolecular crystal structures. Acta Crystallogr. D Biol. Crystallogr. 2011, 67, 355–367. [Google Scholar] [CrossRef]
- Chen, V.B.; Arendall, W.B.; Headd, J.J.; Keedy, D.A.; Immormino, R.M.; Kapral, G.J.; Murray, L.W.; Richardson, J.S.; Richardson, D.C. MolProbity: All-atom structure validation for macromolecular crystallography. Acta Crystallogr. D Biol. Crystallogr. 2010, 66, 12–21. [Google Scholar] [CrossRef] [PubMed]
- Krissinel, E. Stock-based detection of protein oligomeric states in jsPISA. Nucleic Acids Res. 2015, 43, W314–W319. [Google Scholar] [CrossRef] [PubMed]
- Hanwell, M.D.; Curtis, D.E.; Lonie, D.C.; Vandermeersch, T.; Zurek, E.; Hutchison, G.R. Avogadro: An advanced semantic chemical editor, visualisation, and analysis platform. J. Cheminform. 2012, 4, 17. [Google Scholar] [CrossRef]









| kcat (s−1) | KM (µM) | kcat/KM (×105 M−1·s−1) | KIS (µM) | |
|---|---|---|---|---|
| Uridine | 284 ± 14 | 1400 ± 143 | 2.0 ± 0.2 | - |
| Nicotinamide riboside | 17.5 ± 1.5 | 45 ± 6 | 3.9 ± 0.6 | 136 ± 23 |
| Cytidine | 12 ± 1.7 | 1020 ± 80 | 0.12 ± 0.02 | - |
| 5-fluorouridine | 162 ± 10 | 467 ± 19 | 3.5 ± 0.4 | - |
| Inosine | <0.001 | n.d. | n.d | - |
| Data Collection | |||
|---|---|---|---|
| Beamline | ID23-2 ESRF | ||
| Wavelength (Å) | 0.87313 | ||
| Unit cell parameters (Å) | a = b = 140.284 c = 81.343 α = β = 90° γ = 120° | ||
| Space group | P63 | ||
| Diffraction limits (Å) | a* = b* = 3.73 c* = 2.41 | ||
| Resolution range (Å) | 121.49–2.60 | 121.49–9.13 | 2.89–2.6 |
| Rpim | 0.167 | 0.025 | 0.988 |
| Total reflections | 177,292 | 8483 | 7714 |
| Unique reflections | 13,763 | 687 | 688 |
| Multiplicity | 12.9 | 12.3 | 11.2 |
| Mean I/σ(I) | 5.9 | 16.9 | 1.8 |
| Completeness (spherical, %) | 49.0 | 99.6 | 9.3 |
| Completeness (ellipsoidal, %) | 94.1 | 99.6 | 81.8 |
| CC1/2 | 0.981 | 0.996 | 0.570 |
| Refinement statistics | |||
| Resolution range (Å) | 121.49–2.74 | ||
| N. of reflections (free set) | 12,828 (714) | ||
| Rcrys | 0.188 | ||
| Rfree | 0.225 | ||
| rmsd bonds (Å) | 0.003 | ||
| rmsd angles (°) | 0.907 | ||
| N. of atoms | 5,280 | ||
| B-factors (Å2) | |||
| Protein | 11.0 | ||
| Solvent | 21.4 | ||
| Tris | 22.7 | ||
| Geometry analysis | |||
| Ramachandran plot statistics (% favoured, outliers) | 97.1, 0.3 | ||
| Molprobity score | 1.69 | ||
| Clashscore | 6.18 | ||
Disclaimer/Publisher’s Note: The statements, opinions and data contained in all publications are solely those of the individual author(s) and contributor(s) and not of MDPI and/or the editor(s). MDPI and/or the editor(s) disclaim responsibility for any injury to people or property resulting from any ideas, methods, instructions or products referred to in the content. |
© 2024 by the authors. Licensee MDPI, Basel, Switzerland. This article is an open access article distributed under the terms and conditions of the Creative Commons Attribution (CC BY) license (https://creativecommons.org/licenses/by/4.0/).
Share and Cite
Carriles, A.A.; Muzzolini, L.; Minici, C.; Tornaghi, P.; Patrone, M.; Degano, M. Structure-Function Insights into the Dual Role in Nucleobase and Nicotinamide Metabolism and a Possible Use in Cancer Gene Therapy of the URH1p Riboside Hydrolase. Int. J. Mol. Sci. 2024, 25, 7032. https://doi.org/10.3390/ijms25137032
Carriles AA, Muzzolini L, Minici C, Tornaghi P, Patrone M, Degano M. Structure-Function Insights into the Dual Role in Nucleobase and Nicotinamide Metabolism and a Possible Use in Cancer Gene Therapy of the URH1p Riboside Hydrolase. International Journal of Molecular Sciences. 2024; 25(13):7032. https://doi.org/10.3390/ijms25137032
Chicago/Turabian StyleCarriles, Alejandra Angela, Laura Muzzolini, Claudia Minici, Paola Tornaghi, Marco Patrone, and Massimo Degano. 2024. "Structure-Function Insights into the Dual Role in Nucleobase and Nicotinamide Metabolism and a Possible Use in Cancer Gene Therapy of the URH1p Riboside Hydrolase" International Journal of Molecular Sciences 25, no. 13: 7032. https://doi.org/10.3390/ijms25137032
APA StyleCarriles, A. A., Muzzolini, L., Minici, C., Tornaghi, P., Patrone, M., & Degano, M. (2024). Structure-Function Insights into the Dual Role in Nucleobase and Nicotinamide Metabolism and a Possible Use in Cancer Gene Therapy of the URH1p Riboside Hydrolase. International Journal of Molecular Sciences, 25(13), 7032. https://doi.org/10.3390/ijms25137032

