Assessment of Molecular Markers in Pediatric Ovarian Tumors: Romanian Single-Center Experience
Abstract
1. Introduction
2. Results
2.1. Patients’ Clinical and Pathological Characteristics
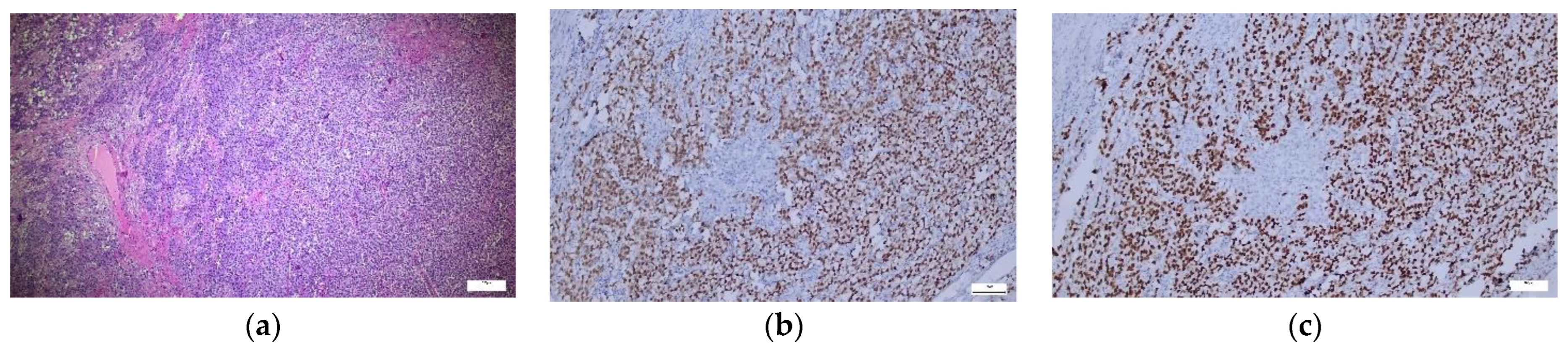
2.2. Patients’ Distribution Based on SALL4/OCT3/4 Immunostaining and Tumor Type and Subtypes
2.3. Patients’ Distributions Based on IHC Staining and the Level of STM
2.4. Patients’ Distributions Based on IHC Markers and CHT
2.5. Patient’s Distributions Based on IHC Markers and Overall Outcomes
3. Discussion
4. Materials and Methods
4.1. Patients
4.2. Immunohistochemical Analysis and Assessment Protocol
4.3. Statistical Analysis
5. Conclusions
Author Contributions
Funding
Institutional Review Board Statement
Informed Consent Statement
Data Availability Statement
Conflicts of Interest
Appendix A
| Studies | Cases N. | C/A u | Year | IHC | GCT | ET | SCST | ||||||
|---|---|---|---|---|---|---|---|---|---|---|---|---|---|
| MT | IT | YST | DG | EC | MGC | Cc | |||||||
| Atilgan et al. [13] | 38 | A | 2023 | + SALL 4 | 1/ 38 | ||||||||
| Wu et al. [16] | 15 | C | 2020 | 1/ 10 | 5/ 5 | ||||||||
| Yang et al. [14] | 91 | A | 2016 | 53 | |||||||||
| Bai et al. [17] | 25 | A, C | 2013 | 1/ 1 | 0/ 24 | ||||||||
| Cao et al. [15] | 251 | A | 2009 | 0/ 12 | 11/ 15 | 16/ 16 | 18/ 18 | 6/ 6 | 13/ 13 | 3/ 111 | 0/ 42 | ||
| Yu et al. [18] | 207 | A | 2016 | + OCT 3/4 | 124 | ||||||||
| Talebagha et al. [29] | 5 | C | 2013 | 3/ 3 | 1/ 1 | 2/ 2 | |||||||
| Cheng et al. [21] | 10 | A | 2010 | 6/6 2/4 | |||||||||
| Abiko et al. [24] | 18 | A, C | 2010 | 9/ 18 | |||||||||
| Zhang et al. [19] | 420 | A | 2010 | 333 | |||||||||
| Chang et al. [22] | 88 | u | 2009 | 0/ 5 | 0/ 9 | 0/ 4 | 7/ 9 | 1/ 1 | 3/ 3 | 1/ 32 | 4/ 25 | ||
| Salonen et al. [23] | 30 | A | 2008 | 0/ 5 | 1/ 4 | 3/ 5 | 1/ 1 | ||||||
| Cheng et al. [20] | 144 | A | 2004 | 0/ 14 | 0/ 4 | 35/ 35 | |||||||
| Mosbech et al. [25] | 9 | C | 2014 | SALL4 OCT3/4 PLAP | 0/1 0/1 0/1 | 1/1 1/1 0/1 | 3/3 0/3 1/3 | 0/4 | |||||
| Miettinen et al. [26] | 95 | u | 2014 | SALL4 OCT3/4 | 23 0 | ||||||||
| Trinh et al. [27] | 87 | A, C | 2012 | SALL4 CD117 OCT3/4 | 5/31 9/31 0/31 | 29/29 29/29 0/29 | 4/25 25/25 23/25 | 0/2 2/2 2/2 | |||||
| Cao et al. [28] | 31 | A | 2009 | SALL4 OCT3/4 PLAP | 4/4 0/4 2/4 | 7/7 7/7 | 1/1 1/1 | 1/1 0/7 | 0/18 | ||||
References
- Ries, L. Cancer Incidence and Survival among Children and Adolescents: United States SEER Program, 1975–1995; National Cancer Institute: Bethesda, MD, USA, 1999. [Google Scholar]
- Hermans, A.J.; Kluivers, K.B.; Janssen, L.M.; Siebers, A.G.; Wijnen, M.H.; Bulten, J.; Massuger, L.F.; Coppus, S.F. Adnexal masses in children, adolescents and women of reproductive age in the Netherlands: A nationwide population-based cohort study. Gynecol. Oncol. 2016, 143, 93–97. [Google Scholar] [CrossRef] [PubMed]
- Cheung, A.N.; Ellenson, L.H.; Gilks, C.B.; Kim, K.R.; Kong, C.S.; Lax, S.F.; Longacre, T.A.; Malpica, A.; McCluggage, W.G.; Oliva, E.; et al. Tumors of the Ovary. In Female Genital Tumours, 5th ed.; WHO Classification of Tumours Editorial Board, Ed.; International Agency for Research on Cancer: Lyon, France, 2020; Volume 4. [Google Scholar]
- Backer, D.; Madern, A.; Oosterhuis, G.C.; Hakvoort-Cammel, J.W.; Hazebroek, F. Ovarian Germ Cell Tumors in Children: A Clinical Study of 66 Patients. Pediatr. Blood Cancer 2006, 46, 459–464. [Google Scholar] [CrossRef] [PubMed]
- Young, R.H. Sex cord-stromal tumors of the ovary and testis: Their similarities and differences with consideration of selected problems. Mod. Pathol. 2005, 18, S81–S98. [Google Scholar] [CrossRef] [PubMed]
- Fresneau, B.; Orbach, D.; Faure-Conter, C.; Verité, C.; Castex, M.P.; Kalfa, N.; Martelli, H.; Patte, C. Sex-Cord Stromal Tumors in Children and Teenagers: Results of the TGM-95 Study. Pediatr. Blood Cancer 2015, 62, 2114–2119. [Google Scholar] [CrossRef] [PubMed]
- Ray-Coquard, I.; Morice, P.; Lorusso, D.; Prat, J.; Oaknin, A.; Pautier, P.; Colombo, N. Non-epithelial ovarian cancer: ESMO Clinical Practice Guidelines for diagnosis, treatment and follow-up. Ann. Oncol. 2018, 29, iv1–iv18. [Google Scholar] [CrossRef] [PubMed]
- Critical Peak Pricing—San Diego Gas & Electric. Available online: https://www.sdge.com/businesses/savings-center/energy-management-programs/demand-response/critical-peak-pricing (accessed on 4 March 2022).
- Ritchie, J.; Omahony, F.; Garden, A. Guideline for the Management of Ovarian Cysts in Children and Adolescents. Br. Soc. Paediatr. Adolesc. Gynaecol. 2018, 11, 2–11. [Google Scholar]
- Sessa, C.; Schneider, D.T.; Planchamp, F.; Baust, K.; Braicu, E.I.; Concin, N.; Godzinski, J.; McCluggage, W.G.; Orbach, D.; Pautier, P.; et al. ESGO–SIOPE guidelines for the management of adolescents and young adults with non-epithelial ovarian cancers. Lancet Oncol. 2020, 21, e360–e368. [Google Scholar] [CrossRef] [PubMed]
- Schneider, D.T.; Orbach, D.; Ben-Ami, T.; Bien, E.; Bisogno, G.; Brecht, I.B.; Cecchetto, G.; Ferrari, A.; Godzinski, J.; Janic, D.; et al. Consensus recommendations from the EXPeRT/PARTNER groups for the diagnosis and therapy of sex cord stromal tumors in children and adolescents. Pediatr. Blood Cancer 2021, 68, e29017. [Google Scholar] [CrossRef]
- Akakpo, P.K.M.; Derkyi-Kwarteng, L.M.; Quayson, S.E.M.; Gyasi, R.K.M.; Anim, J.T.M. Ovarian Tumors in Children and Adolescents: A 10-Yr Histopathologic Review in Korle-Bu Teaching Hospital, Ghana. Int. J. Gynecol. Pathol. 2016, 35, 333–336. [Google Scholar] [CrossRef]
- Atılgan, A.O.; Özen, Ö.; Reyhan, A.N.H.; Ayhan, A. Clinicopathologic Features and the Loss of ARID1A Expression in Ovarian Seromucinous Borderline Tumors and Seromucinous Carcinomas. Int. J. Surg. Pathol. 2022, 31, 398–408. [Google Scholar] [CrossRef]
- Yang, M.; Xie, X.; Ding, Y. SALL4 is a marker of poor prognosis in serous ovarian carcinoma promoting invasion and metastasis. Oncol. Rep. 2016, 35, 1796–1806. [Google Scholar] [CrossRef]
- Cao, D.; Humphrey, P.A.; Allan, R.W. SALL4 is a novel sensitive and specific marker for metastatic germ cell tumors, with particular utility in detection of metastatic yolk sac tumors. Cancer 2009, 115, 2640–2651. [Google Scholar] [CrossRef] [PubMed]
- Wu, P.; Luo, R.; Sun, B.; Zhao, J.; Xu, Q.; Feng, S.; Chen, X.; Wang, C. SALL4 is a useful marker for pediatric yolk sac tumors. Pediatr. Surg. Int. 2020, 36, 727–734. [Google Scholar] [CrossRef] [PubMed]
- Bai, S.; Wei, S.; Ziober, A.; Yao, Y.; Bing, Z. SALL4 and SF-1 Are Sensitive and Specific Markers for Distinguishing Granulosa Cell Tumors from Yolk Sac Tumors. Int. J. Surg. Pathol. 2012, 21, 121–125. [Google Scholar] [CrossRef] [PubMed]
- Yu, L.; Jiao, Y.-J.; Zhou, L.; Song, W.-Q.; Wu, S.-W.; Wang, D.-N. Expressions of OCT4, Notch1 and DLL4 and their clinical im-plications in epithelial ovarian cancer. Nan Fang Yi Ke Da Xue Xue Bao 2016, 37, 444–450. [Google Scholar] [PubMed]
- Zhang, J.; Li, Y.-L.; Zhou, C.-Y.; Hu, Y.-T.; Chen, H.-Z. Expression of octamer-4 in serous and mucinous ovarian carcinoma. J. Clin. Pathol. 2010, 63, 879–883. [Google Scholar] [CrossRef] [PubMed]
- Cheng, L.; Thomas, A.; Roth, L.M.; Zheng, W.; Michael, H.; Karim, F.W.A. OCT4. Am. J. Surg. Pathol. 2004, 28, 1341–1346. [Google Scholar] [CrossRef] [PubMed]
- Cheng, L.; Zhang, S.; Talerman, A.; Roth, L.M. Morphologic, immunohistochemical, and fluorescence in situ hybridization study of ovarian embryonal carcinoma with comparison to solid variant of yolk sac tumor and immature teratoma. Hum. Pathol. 2010, 41, 716–723. [Google Scholar] [CrossRef] [PubMed]
- Chang, M.C.; Vargas, S.O.; Hornick, J.L.; Hirsch, M.S.; Crum, C.P.; Nucci, M.R. Embryonic Stem Cell Transcription Factors and D2-40 (Podoplanin) as Diagnostic Immunohistochemical Markers in Ovarian Germ Cell Tumors. Int. J. Gynecol. Pathol. 2009, 28, 347–355. [Google Scholar] [CrossRef]
- Salonen, J.; Leminen, A.; Stenman, U.-H.; Bützow, R.; Heikinheimo, M.; Heikinheimo, O. Tissue AP-2γ and Oct-3/4, and Serum CA 125 as Diagnostic and Prognostic Markers of Malignant Ovarian Germ Cell Tumors. Tumor Biol. 2008, 29, 50–56. [Google Scholar] [CrossRef]
- Abiko, K.; Mandai, M.; Hamanishi, J.; Matsumura, N.; Baba, T.; Horiuchi, A.; Mikami, Y.; Yoshioka, S.; Wakasa, T.; Shiozawa, T.; et al. Oct4 Expression in Immature Teratoma of the Ovary. Am. J. Surg. Pathol. 2010, 34, 1842–1848. [Google Scholar] [CrossRef]
- Mosbech, C.H.; Svingen, T.; Nielsen, J.E.; Toft, B.G.; Rechnitzer, C.; Petersen, B.L.; Rajpert-De Meyts, E.; Hoei-Hansen, C.E. Expression pattern of clinically relevant markers in paediatric germ cell- and sex-cord stromal tumours is similar to adult testicular tumours. Virchows Arch. 2014, 465, 567–577. [Google Scholar] [CrossRef]
- Miettinen, M.; Wang, Z.; McCue, P.A.; Sarlomo-Rikala, M.; Rys, J.; Biernat, W.; Lasota, J.; Lee, Y.-S. SALL4 Expression in Germ Cell and Non–Germ Cell Tumors. Am. J. Surg. Pathol. 2014, 38, 410–420. [Google Scholar] [CrossRef]
- Trinh, D.T.; Shibata, K.; Hirosawa, T.; Umezu, T.; Mizuno, M.; Kajiyama, H.; Kikkawa, F. Diagnostic utility of CD117, CD133, SALL4, OCT4, TCL1 and glypican-3 in malignant germ cell tumors of the ovary. J. Obstet. Gynaecol. Res. 2012, 38, 841–848. [Google Scholar] [CrossRef]
- Cao, D.; Li, J.; Guo, C.C.; Allan, R.W.; Humphrey, P.A. SALL4 Is a Novel Diagnostic Marker for Testicular Germ Cell Tumors. Am. J. Surg. Pathol. 2009, 33, 1065–1077. [Google Scholar] [CrossRef]
- Talebagha, S.; Rizk, C.; Elawabdeh, N.; Abramowsky, C.R.; Shehata, B.M. Usefulness of OCT4/3 Immunostain in Pediatric Malignant Germ Cell Tumors. Fetal Pediatr. Pathol. 2012, 32, 82–87. [Google Scholar] [CrossRef]
- Karmakar, S.; Seshacharyulu, P.; Lakshmanan, I.; Vaz, A.P.; Chugh, S.; Sheinin, Y.M.; Mahapatra, S.; Batra, S.K.; Ponnusamy, M.P. hPaf1/PD2 interacts with OCT3/4 to promote self-renewal of ovarian cancer stem cells. Oncotarget 2017, 8, 14806–14820. [Google Scholar] [CrossRef]
- Van Nieuwenhuysen, E.; Busschaert, P.; Neven, P.; Han, S.N.; Moerman, P.; Liontos, M.; Papaspirou, M.; Kupryjanczyk, J.; Hogdall, C.; Hogdall, E.; et al. The genetic landscape of 87 ovarian germ cell tumors. Gynecol. Oncol. 2018, 151, 61–68. [Google Scholar] [CrossRef]
- Yang, W.-P.; Zou, Y.; Huang, C.-S.; Zhang, S.-Z.; Xiao, Q.; Dai, K.-L.; Zhong, H.-S.; Xiong, X.-J. Clinicopathologic and prognostic study of pediatric immature teratoma. Zhonghua Bing Li Xue Za Zhi 2007, 36, 666–671. [Google Scholar]
- Wang, S.; Jia, J.; Liu, D.; Wang, M.; Wang, Z.; Li, X.; Wang, H.; Rui, Y.; Liu, Z.; Guo, W.; et al. Matrix Metalloproteinase Expressions Play Important role in Prediction of Ovarian Cancer Outcome. Sci. Rep. 2019, 9, 11677. [Google Scholar] [CrossRef]
- Zeng, L.; Qian, J.; Zhu, F.; Wu, F.; Zhao, H.; Zhu, H. The prognostic values of matrix metalloproteinases in ovarian cancer. J. Int. Med. Res. 2019, 48, 0300060519825983. [Google Scholar] [CrossRef]
- Molenda, S.; Sikorska, A.; Florczak, A.; Lorenc, P.; Dams-Kozlowska, H. Oligonucleotide-Based Therapeutics for STAT3 Targeting in Cancer—Drug Carriers Matter. Cancers 2023, 15, 5647. [Google Scholar] [CrossRef]
- Horwitz, V.; Davidson, B.; Stern, D.; Tropé, C.G.; Re’em, T.T.; Reich, R. Ezrin Is Associated with Disease Progression in Ovarian Carcinoma. PLoS ONE 2016, 11, e0162502. [Google Scholar] [CrossRef]
- Karthika, C.; Sureshkumar, R.; Zehravi, M.; Akter, R.; Ali, F.; Ramproshad, S.; Mondal, B.; Tagde, P.; Ahmed, Z.; Khan, F.S.; et al. Multidrug Resistance of Cancer Cells and the Vital Role of P-Glycoprotein. Life 2022, 12, 897. [Google Scholar] [CrossRef]
- Andeen, N.K.; Tretiakova, M.S. Metastatic Treated Malignant Germ Cell Tumors. Appl. Immunohistochem. Mol. Morphol. 2016, 24, 210–214. [Google Scholar] [CrossRef]
- Sun, B.; Xu, L.; Bi, W.; Ou, W.-B. SALL4 Oncogenic Function in Cancers: Mechanisms and Therapeutic Relevance. Int. J. Mol. Sci. 2022, 23, 2053. [Google Scholar] [CrossRef]
- Liu, Y.; Peng, X.; Li, H.; Jiao, W.; Peng, X.; Shao, J.; Xu, Y.; Wang, R.; Wang, W.; Kong, D. STAT3 Inhibitor Napabucasin Inhibits Tumor Growth and Cooperates with Proteasome Inhibition in Human Ovarian Cancer Cells. Recent Pat. Anti-Cancer Drug Discov. 2021, 16, 350–362. [Google Scholar] [CrossRef]
- Rizzino, A. Sox2 and Oct-3/4: A versatile pair of master regulators that orchestrate the self-renewal and pluripotency of embryonic stem cells. Wiley Interdiscip. Rev. Syst. Biol. Med. 2009, 1, 228–236. [Google Scholar] [CrossRef]
- Hsu, L.-J.; Liu, C.-L.; Kuo, M.-L.; Shen, C.-N.; Shen, C.-R. An Alternative Cell Therapy for Cancers: Induced Pluripotent Stem Cell (iPSC)-Derived Natural Killer Cells. Biomedicines 2021, 9, 1323. [Google Scholar] [CrossRef]
- Lin, T.-C.; Wang, K.-H.; Chuang, K.-H.; Kao, A.-P.; Kuo, T.-C. Oct-4 induces cisplatin resistance and tumor stem cell-like properties in endometrial carcinoma cells. Taiwan J. Obstet. Gynecol. 2023, 62, 16–21. [Google Scholar] [CrossRef]
- Abouelnazar, F.A.; Zhang, X.; Wang, M.; Zhang, J.; Yu, D.; Zang, X.; Zhang, J.; Li, Y.; Xu, J.; Yang, Q.; et al. The new advance of SALL4 in cancer: Function, regulation, and implication. J. Clin. Lab. Anal. 2023, 37, e24927. [Google Scholar] [CrossRef] [PubMed]
- Schmidtova, S.; Dorssers, L.C.J.; Kalavska, K.; Gillis, A.J.M.; Oosterhuis, J.W.; Stoop, H.; Miklikova, S.; Kozovska, Z.; Burikova, M.; Gercakova, K.; et al. Napabucasin overcomes cisplatin resistance in ovarian germ cell tumor-derived cell line by inhibiting cancer stemness. Cancer Cell Int. 2020, 20, 364. [Google Scholar] [CrossRef] [PubMed]



| Parameter/Age | Total | 0–11 Years | 12–18 Years | p |
|---|---|---|---|---|
| Number of patients | 64 (100%) | 28 (43.8%) | 36 (56.3%) | - |
| Origin (No., %) | ||||
| Rural | 40 (62.5%) | 23 (82.1%) | 17 (47.2%) | 0.005 * |
| Urban | 24 (37.5%) | 5 (17.9%) | 19 (52.8%) | |
| WHO Classification (No., %) | ||||
| Epithelial tumors | 7 (10.9%) | 2 (7.1%) | 5 (13.9%) | 0.665 * |
| Germinal cell tumors | 54 (84.4%) | 25 (89.3%) | 29 (80.6%) | |
| Sex cord stromal tumors | 3 (4.7%) | 1 (3.6%) | 2 (5.6%) | |
| Serum tumor markers (STM) (No., %) | ||||
| Elevated AFP | 10 (20.8%) | 5 (26.3%) | 5 (17.2%) | 0.487 * |
| Elevated hCG | 15 (31.9%) | 8 (44.4%) | 7 (24.1%) | 0.202 * |
| Elevated LDH | 6 (21.4%) | 1 (12.5%) | 5 (25%) | 0.640 * |
| Location (No., %) | ||||
| Left | 29 (45.3%) | 12 (42.9%) | 17 (47.2%) | 0.914 * |
| Right | 32 (50%) | 15 (53.6%) | 17 (47.2%) | |
| Bilateral | 3 (4.7%) | 1 (3.6%) | 2 (5.6%) | |
| Chemotherapy (No., %) | 17 (26.6%) | 7 (25%) | 10 (27.8%) | 1.000 * |
| Outcome (No., %) | ||||
| Unfavorable | 2 (3.1%) | 0 (0%) | 2 (5.6%) | 0.500 * |
| Favorable | 62 (96.9%) | 28 (100%) | 34 (94.4%) | |
| Metastasis at admission (No., %) | 2 (3.1%) | 1 (3.6%) | 1 (2.8%) | 1.000 * |
| Subsequent metastasis (No., %) | 4 (6.3%) | 1 (3.6%) | 3 (8.3%) | 0.625 * |
| Recurrence (No., %) | 1 (1.6%) | 0 (0%) | 1 (2.8%) | 1.000 * |
| Death (No., %) | 2 (3.1%) | 0 (0%) | 2 (5.6%) | 0.500 * |
| Follow-up period | ||||
| Mean ± SD | 27.42 ± 28.14 | 35.04 ± 35.23 | 21.5 ± 19.64 | 0.326 ** |
| Median (IQR) | 18 (5.25–38) | 27 (2.5–59.75) | 15 (7.25–34) | |
| OS (months) (Mean (95% C.I.)) | 132.3 (124.7–140) | 138 | 89.4 (80.8–98.1) | 0.227 *** |
| PFS (months) (Mean (95% C.I.)) | 126.6 (115.7–137.4) | 131.1 (117.9–144.2) | 85.7 (74.3–97) | 0.435 *** |
| Tumor Type SALL4 | SALL4 Negative | SALL4 Positive | p * | ||
|---|---|---|---|---|---|
| Nr. | % | Nr. | % | ||
| ETs | 3 | 6.7% | 4 | 21.1% | 0.162 |
| GCTs | 39 | 86.7% | 15 | 78.9% | |
| SCSTs | 3 | 6.7% | 0 | 0% | |
| Tumor Type OCT 3/4 | OCT 3/4 Negative | OCT 3/4 Positive | p * | ||
| Nr. | % | Nr. | % | ||
| ET | 7 | 11.7% | 0 | 0% | 1.000 |
| GCTs | 50 | 83.3% | 4 | 100% | |
| SCSTs | 3 | 50% | 0 | 0% | |
| Tumor Subtype SALL4 | SALL4 Negative | SALL4 Positive | p * | ||
| Nr. | % | Nr. | % | ||
| Adenocarcinoma | 0 | 0% | 2 | 10.5% | <0.001 |
| Dysgerminoma | 0 | 0% | 4 | 21.1% | |
| EC | 0 | 0% | 1 | 5.3% | |
| EMBTs | 1 | 2.2% | 1 | 5.3% | |
| Mixed GCTs | 0 | 0% | 2 | 10.5% | |
| Mixed SCST | 1 | 2.2% | 0 | 0% | |
| Pure SCST | 2 | 4.4% | 0 | 0% | |
| Serous Cyst | 1 | 2.2% | 0 | 0% | |
| SBT | 1 | 2.2% | 1 | 5.3% | |
| Immature Teratoma | 6 | 13.3% | 7 | 36.8% | |
| Mature Teratoma | 33 | 73.3% | 0 | 0% | |
| YST | 0 | 0% | 1 | 5.3% | |
| Tumor Subtype OCT ¾ | OCT 3/4 Negative | OCT 3/4 Positive | p * | ||
| Nr. | % | Nr. | % | ||
| Adenocarcinoma | 2 | 3.3% | 0 | 0% | 0.002 |
| Dysgerminoma | 1 | 1.7% | 3 | 75% | |
| EC | 1 | 1.7% | 0 | 0% | |
| EMBT | 2 | 3.3% | 0 | 0% | |
| Mixed GCT | 1 | 1.7% | 1 | 25% | |
| Mixed SCST | 1 | 1.7% | 0 | 0% | |
| Pure SCST | 2 | 3.3% | 0 | 0% | |
| Serous Cyst | 1 | 1.7% | 0 | 0% | |
| SBT | 2 | 3.3% | 0 | 0% | |
| Immature Teratoma | 13 | 21.7% | 0 | 0% | |
| Mature Teratoma | 33 | 55% | 0 | 0% | |
| YST | 1 | 1.7% | 0 | 0% | |
| Protocol No./SALL4 | SALL4 Negative | SALL4 Positive | p * | |||
|---|---|---|---|---|---|---|
| Nr. | % | Nr. | % | |||
| One protocol | 5 | 100% | 9 | 75% | 0.515 | |
| Two protocols | 0 | 0% | 3 | 25% | ||
| Protocol No./OCT 3/4 | OCT 3/4 Negative | OCT 3/4 Positive | p * | |||
| Nr. | % | Nr. | % | |||
| One protocol | 12 | 92.3% | 2 | 50% | 0.121 | |
| Two protocols | 1 | 7.7% | 2 | 50% | ||
| * Fisher’s Exact Test | ||||||
| Comparison of the CHT Sessions Based on the Marker Immunostaining | ||||||
| Sessions No. /SALL4 | Mean ± SD | Median (IQR) | Mean Rank | p * | ||
| Negative (p = 0.238 **) | 3.8 ± 1.79 | 4 (2.5–5) | - | 0.001 | ||
| Positive (p = 0.064 **) | 8.08 ± 1.93 | 8 (6.5–10) | - | |||
| OCT 3/4 | Mean ± SD | Median (IQR) | Mean Rank | p *** | ||
| Negative (p = 0.370 **) | 6.15 ± 2.73 | 6 (4–8.5) | 7.77 | 0.079 | ||
| Positive (p = 0.024 **) | 9 ± 1.15 | 9 (8–10) | 13.00 | |||
| Metastasis/SALL4 | SALL4 Negative | SALL Positive | p * | ||
|---|---|---|---|---|---|
| Nr. | % | Nr. | % | ||
| Absent | 45 | 100% | 15 | 78.9% | 0.006 |
| Present | 0 | 0% | 4 | 21.1% | |
| Metastasis/OCT 3/4 | OCT 3/4 Negative | OCT 3/4 Positive | p * | ||
| Nr. | % | Nr. | % | ||
| Absent | 58 | 96.7% | 2 | 50% | 0.017 |
| Present | 2 | 3.3% | 2 | 50% | |
Disclaimer/Publisher’s Note: The statements, opinions and data contained in all publications are solely those of the individual author(s) and contributor(s) and not of MDPI and/or the editor(s). MDPI and/or the editor(s) disclaim responsibility for any injury to people or property resulting from any ideas, methods, instructions or products referred to in the content. |
© 2024 by the authors. Licensee MDPI, Basel, Switzerland. This article is an open access article distributed under the terms and conditions of the Creative Commons Attribution (CC BY) license (https://creativecommons.org/licenses/by/4.0/).
Share and Cite
Bîcă, O.; Ciongradi, C.I.; Benchia, D.; Sârbu, I.; Alecsa, M.; Cristofor, A.E.; Bîcă, D.E.; Lozneanu, L. Assessment of Molecular Markers in Pediatric Ovarian Tumors: Romanian Single-Center Experience. Int. J. Mol. Sci. 2024, 25, 6752. https://doi.org/10.3390/ijms25126752
Bîcă O, Ciongradi CI, Benchia D, Sârbu I, Alecsa M, Cristofor AE, Bîcă DE, Lozneanu L. Assessment of Molecular Markers in Pediatric Ovarian Tumors: Romanian Single-Center Experience. International Journal of Molecular Sciences. 2024; 25(12):6752. https://doi.org/10.3390/ijms25126752
Chicago/Turabian StyleBîcă, Ovidiu, Carmen Iulia Ciongradi, Diana Benchia, Ioan Sârbu, Mirabela Alecsa, Alexandra Elena Cristofor, Delia Elena Bîcă, and Ludmila Lozneanu. 2024. "Assessment of Molecular Markers in Pediatric Ovarian Tumors: Romanian Single-Center Experience" International Journal of Molecular Sciences 25, no. 12: 6752. https://doi.org/10.3390/ijms25126752
APA StyleBîcă, O., Ciongradi, C. I., Benchia, D., Sârbu, I., Alecsa, M., Cristofor, A. E., Bîcă, D. E., & Lozneanu, L. (2024). Assessment of Molecular Markers in Pediatric Ovarian Tumors: Romanian Single-Center Experience. International Journal of Molecular Sciences, 25(12), 6752. https://doi.org/10.3390/ijms25126752

