Silver Nanoparticles Encapped by Dihydromyricetin: Optimization of Green Synthesis, Characterization, Toxicity, and Anti-MRSA Infection Activities for Zebrafish (Danio rerio)
Abstract
1. Introduction
2. Results and Discussion
2.1. Optimized Green Synthesis of DMY-AgNPs
2.2. Characterization of Silver Nanoparticles
2.2.1. TEM and DLS Analysis
2.2.2. FTIR Analysis
2.2.3. XRD Analysis
2.3. Antibacterial Activity
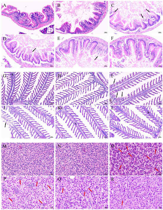
2.4. Toxicity Test
2.5. Therapeutic Efficacy
3. Materials and Methods
3.1. Materials
3.2. Optimized Process of DMY-AgNP Synthesis
3.3. Characterization of Silver Nanoparticles
3.4. Antibacterial Activity
3.5. Toxicity Test
3.6. MRSA-Infected Zebrafish and DMY-AgNPs Treatment
3.7. Statistical Analysis
4. Conclusions
Author Contributions
Funding
Institutional Review Board Statement
Data Availability Statement
Acknowledgments
Conflicts of Interest
References
- Shamprasad, B.R.; Lotha, R.; Nagarajan, S.; Sivasubramanian, A. Metal nanoparticles functionalized with nutraceutical Kaempferitrin from edible Crotalaria juncea, exert potent antimicrobial and antibiofilm effects against Methicillin-resistant Staphylococcus aureus. Sci. Rep. 2022, 12, 7061. [Google Scholar] [CrossRef] [PubMed]
- Sovari, S.N.; Vojnovic, S.; Bogojevic, S.S.; Crochet, A.; Pavic, A.; Nikodinovic-Runic, J.; Zobi, F. Design, synthesis and in vivo evaluation of 3-arylcoumarin derivatives of rhenium(I) tricarbonyl complexes as potent antibacterial agents against methicillin-resistant Staphylococcus aureus (MRSA). Eur. J. Med. Chem. 2020, 205, 112533. [Google Scholar] [CrossRef] [PubMed]
- Lowrence, R.C.; Raman, T.; Makala, H.V.; Ulaganathan, V.; Subramaniapillai, S.G.; Kuppuswamy, A.A.; Mani, A.; Neelakantan, S.C.; Nagarajan, S. Dithiazole thione derivative as competitive NorA efflux pump inhibitor to curtail multi drug resistant clinical isolate of MRSA in a zebrafish infection model. Appl. Microbiol. Biotechnol. 2016, 100, 9265–9281. [Google Scholar] [CrossRef]
- Hassoun, A.; Linden, P.K.; Friedman, B. Incidence, prevalence, and management of MRSA bacteremia across patient populations—A review of recent developments in MRSA management and treatment. Crit. Care 2017, 21, 211. [Google Scholar] [CrossRef] [PubMed]
- Tenover, F.C.; Sinner, S.W.; Segal, R.E.; Huang, V.; Alexandre, S.S.; McGowan, J.E.; Weinstein, M.P. Characterisation of a Staphylococcus aureus strain with progressive loss of susceptibility to vancomycin and daptomycin during therapy. Int. J. Antimicrob. Agents 2009, 33, 564–568. [Google Scholar] [CrossRef] [PubMed][Green Version]
- Shahan, S.M.; Aiad, I.; E-Sukkary, M.M.; Soliman, E.A.; El-Awady, M.Y. Synthesis of newly cationic surfactant based on dimethylaminopropyl amine and their silver nanoparticles: Characterization; surface activity and biological activity. Chin. Chem. Lett. 2017, 28, 264–273. [Google Scholar] [CrossRef]
- Wei, L.Y.; Lu, J.R.; Xu, H.Z.; Patel, A.; Chen, Z.S.; Chen, G.F. Silver nanoparticles: Synthesis, properties, and therapeutic applications. Drug Discov. Today 2015, 20, 595–601. [Google Scholar] [CrossRef]
- Mahmud, N.U.; Gupta, D.R.; Paul, S.K.; Chakraborty, M.; Mehebub, M.S.; Surovy, M.Z.; Rabby, S.M.F.; Rahat, A.A.; Roy, P.C.; Sohrawardy, H.; et al. Daylight-Driven Rechargeable TiO2 Nanocatalysts Suppress Wheat Blast Caused by Magnaporthe oryzae Triticum. Bull. Chem. Soc. Jpn. 2022, 95, 1263–1271. [Google Scholar] [CrossRef]
- Ni, J.; Yang, Z.; Zhang, Y.; Ma, Y.; Xiong, H.J.; Jian, W.J. Aaqueous exposure to silver nanoparticles synthesized by abalone viscera hydrolysates promotes the growth, immunity and gut health of zebrafish (Dania rerio). Front. Microbiol. 2022, 13, 1048216. [Google Scholar] [CrossRef]
- Yin, I.X.; Zhang, J.; Zhao, I.S.; Mei, M.L.; Li, Q.L.; Chu, C.H. The Antibacterial Mechanism of Silver Nanoparticles and Its Application in Dentistry. Int. J. Nanomed. 2020, 15, 2555–2562. [Google Scholar] [CrossRef]
- Bao, S.P.; Tang, W.; Fang, T. Sex-dependent and organ-specific toxicity of silver nanoparticles in livers and intestines of adult zebrafish. Chemosphere 2020, 249, 126172. [Google Scholar] [CrossRef]
- Sun, Y.G.; Yin, Y.D.; Mayers, B.T.; Herricks, T.; Xia, Y.N. Uniform silver nanowires synthesis by reducing AgNO3 with ethylene glycol in the presence of seeds and poly(vinyl pyrrolidone). Chem. Mat. 2002, 14, 4736–4745. [Google Scholar] [CrossRef]
- Kummara, S.; Patil, M.B.; Uriah, T. Synthesis, characterization, biocompatible and anticancer activity of green and chemically synthesized silver nanoparticles—A comparative study. Biomed. Pharmacother. 2016, 84, 10–21. [Google Scholar] [CrossRef] [PubMed]
- Iravani, S.; Korbekandi, H.; Mirmohammadi, S.V.; Zolfaghari, B. Synthesis of silver nanoparticles: Chemical, physical and biological methods. Res. Pharm. Sci. 2014, 9, 385–406. [Google Scholar]
- Ye, L.Y.; Wang, H.J.; Duncan, S.E.; Eigel, W.N.; O’Keefe, S.F. Antioxidant activities of Vine Tea (Ampelopsis grossedentata) extract and its major component dihydromyricetin in soybean oil and cooked ground beef. Food Chem. 2015, 172, 416–422. [Google Scholar] [CrossRef]
- Lyu, Q.; Chen, L.; Lin, S.Y.; Cao, H.; Teng, H. A designed self-microemulsion delivery system for dihydromyricetin and its dietary intervention effect on high-fat-diet fed mice. Food Chem. 2022, 390, 132954. [Google Scholar] [CrossRef] [PubMed]
- Gao, J.H.; Liu, B.G.; Ning, Z.X.; Zhao, R.X.; Zhang, A.Y.; Wu, Q. Characterization and antioxidant activity of flavonoid-rich extracts from leaves of Ampelopsis grossedentata. J. Food Biochem. 2009, 33, 808–820. [Google Scholar] [CrossRef]
- Li, H.L.; Li, Q.S.; Liu, Z.W.; Yang, K.; Chen, Z.X.; Cheng, Q.L.; Wu, L.H. The Versatile Effects of Dihydromyricetin in Health. Evid.-Based Complement. Altern. Med. 2017, 2017, 1053617. [Google Scholar] [CrossRef]
- Li, Z.; Ali, I.; Qiu, J.Y.; Zhao, H.Z.; Ma, W.Y.; Bai, A.Y.; Wang, D.J.; Li, J.C. Eco-Friendly and Facile Synthesis of Antioxidant, Antibacterial and Anticancer Dihydromyricetin-Mediated Silver Nanoparticles. Int. J. Nanomed. 2021, 16, 481–492. [Google Scholar] [CrossRef] [PubMed]
- Lee-Estevez, M.; Figueroa, E.; Cosson, J.; Short, S.E.; Valdebenito, I.; Ulloa-Rodriguez, P.; Farias, J.G. Zebrafish as a useful model for immunological research with potential applications in aquaculture. Rev. Aquac. 2018, 10, 213–223. [Google Scholar] [CrossRef]
- Krishnaraj, C.; Harper, S.L.; Yun, S.I. In Vivo toxicological assessment of biologically synthesized silver nanoparticles in adult Zebrafish (Danio rerio). J. Hazard. Mater. 2016, 301, 480–491. [Google Scholar] [CrossRef]
- Mosselhy, D.A.; He, W.; Li, D.; Meng, Y.P.; Feng, Q.L. Silver nanoparticles: In vivo toxicity in zebrafish embryos and a comparison to silver nitrate. J. Nanopart. Res. 2016, 18, 222. [Google Scholar] [CrossRef]
- Krishnaraj, C.; Jagan, E.G.; Rajasekar, S.; Selvakumar, P.; Kalaichelvan, P.T.; Mohan, N. Synthesis of silver nanoparticles using Acalypha indica leaf extracts and its antibacterial activity against water borne pathogens. Colloids Surf. B-Biointerfaces 2010, 76, 50–56. [Google Scholar] [CrossRef] [PubMed]
- Parvathalu, K.; Kumar, D.N.; Rajitha, K.; Kishan, M.G.; Kumar, B.N.; Bhemarajam, J.; Naidu, S.R.; Merlinsheeba, G.L.; Mandal, P.; Banne, S.; et al. Facile Synthesis of Silver Nanoparticles Using Green Tea Leaf Extract and Evolution of Antibacterial Activity. Plasmonics 2023, 18, 1837–1845. [Google Scholar] [CrossRef]
- Mie, G. Beiträge zur Optik trüber Medien, speziell kolloidaler Metallösungen. Ann. Phys. 2006, 330, 377–445. [Google Scholar] [CrossRef]
- Link, S.; El-Sayed, M.A. Spectral properties and relaxation dynamics of surface plasmon electronic oscillations in gold and silver nanodots and nanorods. J. Phys. Chem. B 1999, 103, 8410–8426. [Google Scholar] [CrossRef]
- Khalil, M.A.; El-Shanshoury, A.R.; Alghamdi, M.A.; Alsalmi, F.A.; Mohamed, S.F.; Sun, J.Z.; Ali, S.S. Biosynthesis of Silver Nanoparticles by Marine Actinobacterium Nocardiopsis dassonvillei and Exploring Their Therapeutic Potentials. Front. Microbiol. 2022, 12, 705673. [Google Scholar] [CrossRef]
- Verma, A.; Mehata, M.S. Controllable synthesis of silver nanoparticles using Neem leaves and their antimicrobial activity. J. Radiat. Res. Appl. Sci. 2016, 9, 109–115. [Google Scholar] [CrossRef]
- Bergal, A.; Matar, G.H.; Andaç, M. Olive and green tea leaf extracts mediated green synthesis of silver nanoparticles (AgNPs): Comparison investigation on characterizations and antibacterial activity. BioNanoScience 2022, 12, 307–321. [Google Scholar] [CrossRef]
- Ahmad, M.Z.; Saeed, A.M.; Elnoubi, O.A.E.; Alasiri, A.S.; Abdel-Wahab, B.A.; Alqahtani, A.A.; Pathak, K.; Saikia, R.; Kakoti, B.B.; Das, A. Chitosan-based topical formulation integrated with green-synthesized silver nanoparticles utilizing Camellia sinensis leaf extracts: A promising approach for managing infected wounds. Int. J. Biol. Macromol. 2024, 257, 128573. [Google Scholar] [CrossRef]
- Krishnan, N.; Velramar, B.; Pandiyan, R.; Velu, R.K. Anti-pseudomonal and anti-endotoxic effects of surfactin-stabilized biogenic silver nanocubes ameliorated wound repair in streptozotocin-induced diabetic mice. Artif. Cells Nanomed. Biotechnol. 2018, 46, 488–499. [Google Scholar] [CrossRef]
- Yousefbeyk, F.; Dabirian, S.; Ghanbarzadeh, S.; Koohi, D.E.; Yazdizadeh, P.; Ghasemi, S. Green synthesis of silver nanoparticles from Stachys byzantina K. Koch: Characterization, antioxidant, antibacterial, and cytotoxic activity. Part. Sci. Technol. 2022, 40, 219–232. [Google Scholar] [CrossRef]
- Sharma, A.; Sagar, A.; Rana, J.; Rani, R. Green synthesis of silver nanoparticles and its antibacterial activity using fungus Talaromyces purpureogenus isolated from Taxus baccata Linn. Micro Nano Syst. Lett. 2022, 10, 2. [Google Scholar] [CrossRef]
- Zhou, L.F.; Zhao, X.X.; Li, M.X.; Yan, L.; Lu, Y.; Jiang, C.M.; Liu, Y.L.; Pan, Z.L.; Shi, J.L. Antibacterial and wound healing-promoting effect of sponge-like chitosan-loaded silver nanoparticles biosynthesized by iturin. Int. J. Biol. Macromol. 2021, 181, 1183–1195. [Google Scholar] [CrossRef] [PubMed]
- Vignesh, V.; Anbarasi, K.F.; Karthikeyeni, S.; Sathiyanarayanan, G.; Subramanian, P.; Thirumurugan, R. A superficial phyto-assisted synthesis of silver nanoparticles and their assessment on hematological and biochemical parameters in Labeo rohita (Hamilton, 1822). Colloids Surf. A-Physicochem. Eng. Asp. 2013, 439, 184–192. [Google Scholar] [CrossRef]
- Adhikari, A.; Lamichhane, L.; Adhikari, A.; Gyawali, G.; Acharya, D.; Baral, E.R.; Chhetri, K. Green Synthesis of Silver Nanoparticles Using Artemisia vulgaris Extract and Its Application toward Catalytic and Metal-Sensing Activity. Inorganics 2022, 10, 113. [Google Scholar] [CrossRef]
- El-Aassar, M.R.; Ibrahim, O.M.; Fouda, M.M.G.; El-Beheri, N.G.; Agwa, M.M. Wound healing of nanofiber comprising Polygalacturonic/Hyaluronic acid embedded silver nanoparticles: In vitro and in vivo studies. Carbohydr. Polym. 2020, 238, 116175. [Google Scholar] [CrossRef] [PubMed]
- Li, D.D.; Liu, P.L.; Hao, F.; Lv, Y.; Xiong, W.; Yan, C.; Wu, Y.; Luo, H. Preparation and application of silver/chitosan-sepiolite materials with antimicrobial activities and low cytotoxicity. Int. J. Biol. Macromol. 2022, 210, 337–349. [Google Scholar] [CrossRef] [PubMed]
- Hamdy, S.M.; Danial, A.W.; Halawani, E.M.; Shoreit, A.A.M.; Hesham, A.; El-Rab, S. Biofabrication strategy of silver-nanodrug conjugated polyhydroxybutyrate degrading probiotic and its application as a novel wound dressing. Int. J. Biol. Macromol. 2023, 250, 126219. [Google Scholar] [CrossRef] [PubMed]
- Wang, L.L.; Hu, C.; Shao, L.Q. The antimicrobial activity of nanoparticles: Present situation and prospects for the future. Int. J. Nanomed. 2017, 12, 1227–1249. [Google Scholar] [CrossRef]
- Rai, M.; Yadav, A.; Gade, A. Silver nanoparticles as a new generation of antimicrobials. Biotechnol. Adv. 2009, 27, 76–83. [Google Scholar] [CrossRef]
- Sharma, V.K.; Yngard, R.A.; Lin, Y. Silver nanoparticles: Green synthesis and their antimicrobial activities. Adv. Colloids Interface Sci. 2009, 145, 83–96. [Google Scholar] [CrossRef] [PubMed]
- Kawai, M.; Yamada, S.; Ishidoshiro, A.; Oyamada, Y.; Ito, H.; Yamagishi, J.-I. Cell-wall thickness: Possible mechanism of acriflavine resistance in meticillin-resistant Staphylococcus aureus. J. Med. Microbiol. 2009, 58, 331–336. [Google Scholar] [CrossRef] [PubMed]
- Ramachandran, R.; Krishnaraj, C.; Sivakumar, A.S.; Prasannakumar, P.; Kumar, V.K.A.; Shim, K.S.; Song, C.G.; Yun, S.I. Anticancer activity of biologically synthesized silver and gold nanoparticles on mouse myoblast cancer cells and their toxicity against embryonic zebrafish. Mater. Sci. Eng. C-Mater. Biol. Appl. 2017, 73, 674–683. [Google Scholar] [CrossRef]
- Sarkar, B.; Verma, S.K.; Akhtar, J.; Netam, S.P.; Gupta, S.K.; Panda, P.K.; Mukherjee, K. Molecular aspect of silver nanoparticles regulated embryonic development in Zebrafish (Danio rerio) by Oct-4 expression. Chemosphere 2018, 206, 560–567. [Google Scholar] [CrossRef]
- Wu, Y.A.; Zhou, Q.F.; Li, H.C.; Liu, W.; Wang, T.; Jiang, G.B. Effects of silver nanoparticles on the development and histopathology biomarkers of Japanese medaka (Oryzias latipes) using the partial-life test. Aquat. Toxicol. 2010, 100, 160–167. [Google Scholar] [CrossRef]
- OECD. Test. No. 236: Fish. Embryo Acute Toxicity (FET) Test; OECD: Paris, France, 2013. [Google Scholar] [CrossRef]
- Sangabathuni, S.; Murthy, R.V.; Chaudhary, P.M.; Subramani, B.; Toraskar, S.; Kikkeri, R. Mapping the Glyco-Gold Nanoparticles of Different Shapes Toxicity, Biodistribution and Sequestration in Adult Zebrafish. Sci. Rep. 2017, 7, 4239. [Google Scholar] [CrossRef]
- Augustyniak, M.; Babczynska, A.; Dziewiecka, M.; Flasz, B.; Karpeta-Kaczmarek, J.; Kedziorski, A.; Mazur, B.; Edek, K.R.; Alian, R.S.; Skowronek, M.; et al. Does age pay off? Effects of three-generational experiments of nanodiamond exposure and withdrawal in wild and longevity-selected model animals. Chemosphere 2022, 303, 12. [Google Scholar] [CrossRef]
- Hu, J.J.; Lin, W.T.; Lin, B.J.; Wu, K.M.; Fan, H.B.; Yu, Y.X. Persistent DNA methylation changes in zebrafish following graphene quantum dots exposure in surface chemistry-dependent manner. Ecotox. Environ. Saf. 2019, 169, 370–375. [Google Scholar] [CrossRef] [PubMed]
- Zhou, W.; Tian, D.D.; He, J.; Yan, X.B.; Zhao, J.; Yuan, X.Y.; Peng, S.Q. Prolonged exposure to carbon nanoparticles induced methylome remodeling and gene expression in zebrafish heart. J. Appl. Toxicol. 2019, 39, 322–332. [Google Scholar] [CrossRef]
- Farahpour, M.R.; Pirkhezr, E.; Ashrafian, A.; Sonboli, A. Accelerated healing by topical administration of Salvia officinalis essential oil on Pseudomonas aeruginosa and Staphylococcus aureus infected wound model. Biomed. Pharmacother. 2020, 128, 9. [Google Scholar] [CrossRef]
- Bujak, T.; Niziol-Lukaszewska, Z.; Gawel-Beben, K.; Seweryn, A.; Kucharek, M.; Rybczynska-Tkaczyk, K.; Matysiak, M. The application of different Stevia rebaudiana leaf extracts in the “green synthesis” of AgNPs. Green. Chem. Lett. Rev. 2015, 8, 78–87. [Google Scholar] [CrossRef]
- Dametto, F.S.; Fior, D.; Idalencio, R.; Rosa, J.G.S.; Fagundes, M.; Marqueze, A.; Barreto, R.E.; Piato, A.; Barcellos, L.J.G. Feeding regimen modulates zebrafish behavior. PeerJ 2018, 6, 17. [Google Scholar] [CrossRef] [PubMed]
- Zhang, Q.H.; Dong, X.H.; Chen, B.; Zhang, Y.H.; Zu, Y.; Li, W.M. Zebrafish as a useful model for zoonotic Vibrio parahaemolyticus pathogenicity in fish and human. Dev. Comp. Immunol. 2016, 55, 159–168. [Google Scholar] [CrossRef] [PubMed]
- Clark, N.J.; Boyle, D.; Eynon, B.P.; Handy, R.D. Dietary exposure to silver nitrate compared to two forms of silver nanoparticles in rainbow trout: Bioaccumulation potential with minimal physiological effects. Environ. Sci.-Nano 2019, 6, 1393–1405. [Google Scholar] [CrossRef]
- Lotha, R.; Shamprasad, B.R.; Sundaramoorthy, N.S.; Ganapathy, R.; Nagarajan, S.; Sivasubramanian, A. Zero valent silver nanoparticles capped with capsaicinoids containing Capsicum annuum extract, exert potent anti-biofilm effect on food borne pathogen Staphylococcus aureus and curtail planktonic growth on a zebrafish infection model. Microb. Pathog. 2018, 124, 291–300. [Google Scholar] [CrossRef] [PubMed]
- Ren, M.S.; Zhou, Y.; Tu, T.; Jiang, D.K.; Pang, M.A.; Li, Y.W.; Luo, Y.; Yao, X.P.; Yang, Z.X.; Wang, Y. RVG Peptide-Functionalized Favipiravir Nanoparticle Delivery System Facilitates Antiviral Therapy of Neurotropic Virus Infection in a Mouse Model. Int. J. Mol. Sci. 2023, 24, 5851. [Google Scholar] [CrossRef]
- Souiade, L.; Domingo-Diez, J.; Alcaide, C.; Gámez, B.; Gámez, L.; Ramos, M.; Olmedo, J.J.S. Improving the Efficacy of Magnetic Nanoparticle-Mediated Hyperthermia Using Trapezoidal Pulsed Electromagnetic Fields as an In Vitro Anticancer Treatment in Melanoma and Glioblastoma Multiforme Cell Lines. Int. J. Mol. Sci. 2023, 24, 15933. [Google Scholar] [CrossRef]






Disclaimer/Publisher’s Note: The statements, opinions and data contained in all publications are solely those of the individual author(s) and contributor(s) and not of MDPI and/or the editor(s). MDPI and/or the editor(s) disclaim responsibility for any injury to people or property resulting from any ideas, methods, instructions or products referred to in the content. |
© 2024 by the authors. Licensee MDPI, Basel, Switzerland. This article is an open access article distributed under the terms and conditions of the Creative Commons Attribution (CC BY) license (https://creativecommons.org/licenses/by/4.0/).
Share and Cite
Qi, L.-X.; Wang, X.-T.; Huang, J.-P.; Yue, T.-Y.; Lu, Y.-S.; San, D.-M.; Xu, Y.-X.; Han, Y.-T.; Guo, X.-Y.; Xie, W.-D.; et al. Silver Nanoparticles Encapped by Dihydromyricetin: Optimization of Green Synthesis, Characterization, Toxicity, and Anti-MRSA Infection Activities for Zebrafish (Danio rerio). Int. J. Mol. Sci. 2024, 25, 5255. https://doi.org/10.3390/ijms25105255
Qi L-X, Wang X-T, Huang J-P, Yue T-Y, Lu Y-S, San D-M, Xu Y-X, Han Y-T, Guo X-Y, Xie W-D, et al. Silver Nanoparticles Encapped by Dihydromyricetin: Optimization of Green Synthesis, Characterization, Toxicity, and Anti-MRSA Infection Activities for Zebrafish (Danio rerio). International Journal of Molecular Sciences. 2024; 25(10):5255. https://doi.org/10.3390/ijms25105255
Chicago/Turabian StyleQi, Ling-Xiao, Xue-Ting Wang, Jin-Ping Huang, Ting-Yan Yue, Yun-Shu Lu, Dong-Mei San, Yu-Xun Xu, Ya-Tong Han, Xiang-Yi Guo, Wei-Dong Xie, and et al. 2024. "Silver Nanoparticles Encapped by Dihydromyricetin: Optimization of Green Synthesis, Characterization, Toxicity, and Anti-MRSA Infection Activities for Zebrafish (Danio rerio)" International Journal of Molecular Sciences 25, no. 10: 5255. https://doi.org/10.3390/ijms25105255
APA StyleQi, L.-X., Wang, X.-T., Huang, J.-P., Yue, T.-Y., Lu, Y.-S., San, D.-M., Xu, Y.-X., Han, Y.-T., Guo, X.-Y., Xie, W.-D., & Zhou, Y.-X. (2024). Silver Nanoparticles Encapped by Dihydromyricetin: Optimization of Green Synthesis, Characterization, Toxicity, and Anti-MRSA Infection Activities for Zebrafish (Danio rerio). International Journal of Molecular Sciences, 25(10), 5255. https://doi.org/10.3390/ijms25105255

