Intimal Sarcoma with MDM2/CDK4 Amplification and p16 Overexpression: A Review of Histological Features in Primary Tumor and Xenograft, with Immunophenotype and Molecular Profiling
Abstract
1. Introduction
2. Results
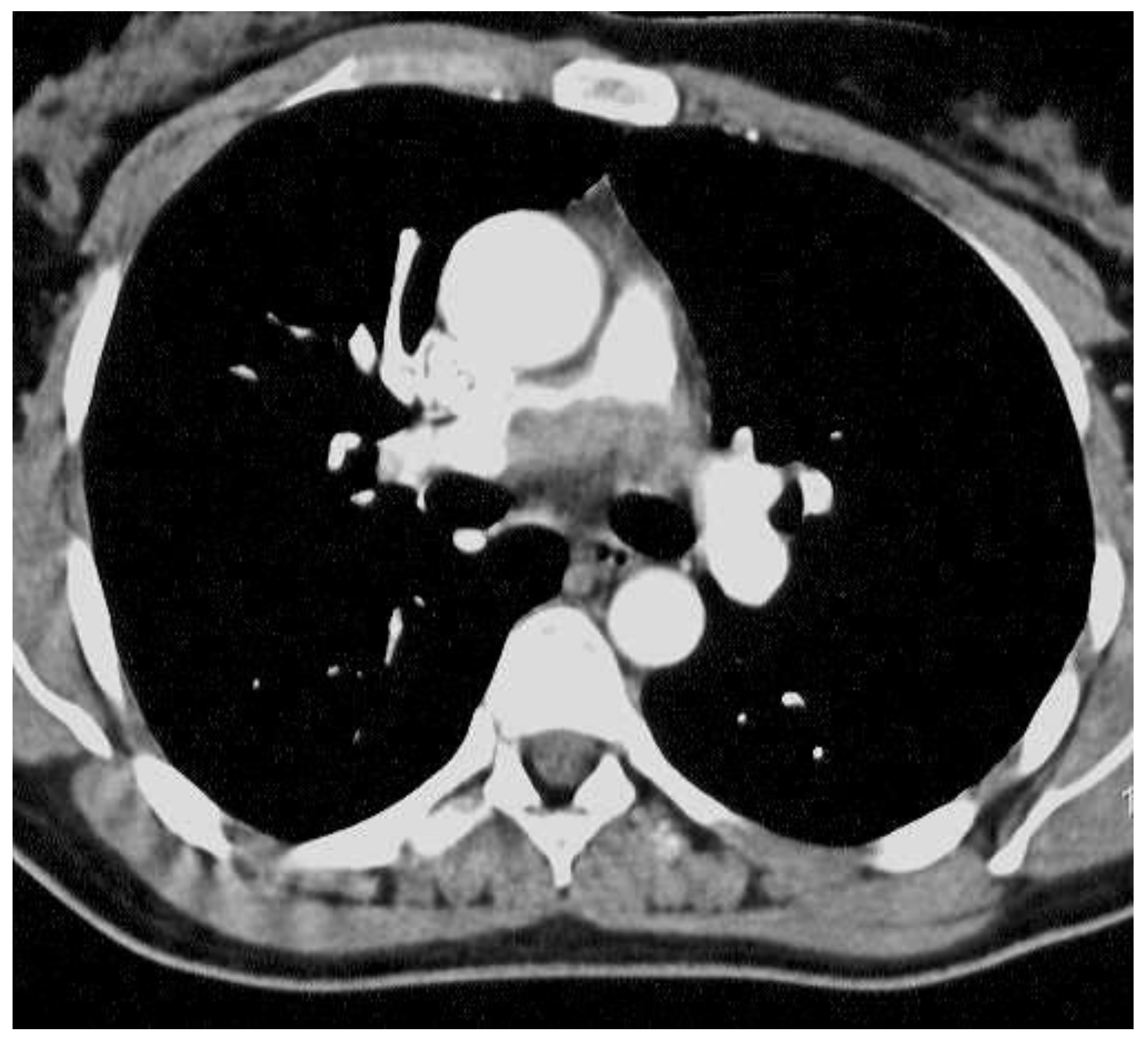
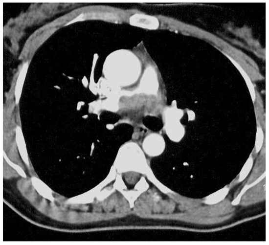
2.1. Clinical Findings
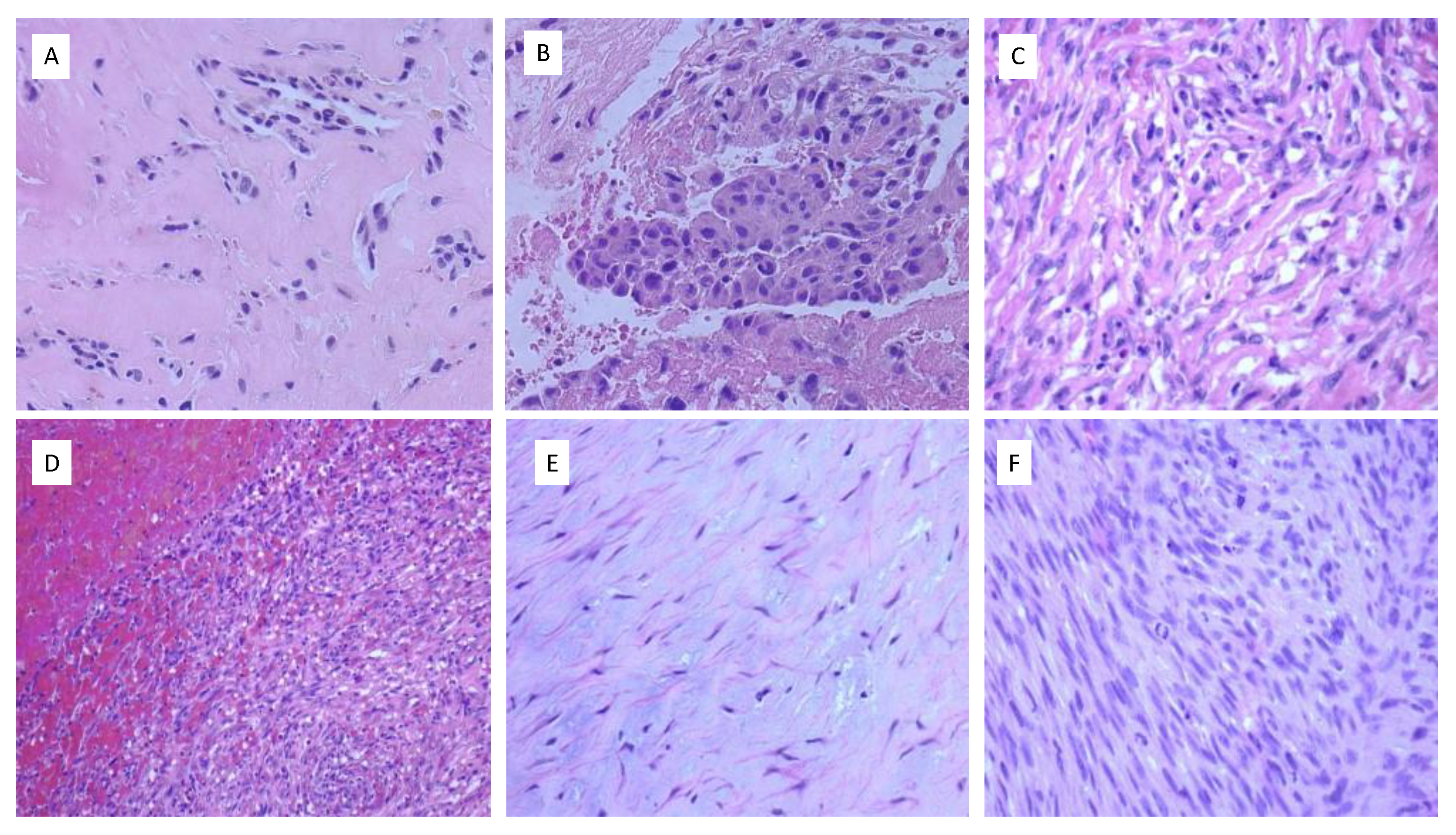
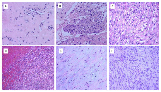
2.2. Histopathological Findings
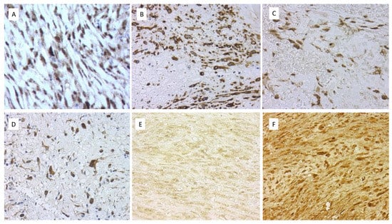
2.3. Immunohistochemical Findings
2.4. Molecular Analysis
3. Discussion
4. Materials and Methods
4.1. Patients and Samples
4.2. Xenograft
4.3. Histopathology
4.4. Immunohistochemistry
4.5. Fluorescence In Situ Hybridization (FISH)
4.6. DNA Isolation
4.7. Next Generation Sequencing (NGS)
5. Conclusions
Supplementary Materials
Author Contributions
Funding
Institutional Review Board Statement
Informed Consent Statement
Data Availability Statement
Conflicts of Interest
References
- Bode-Lesniewska, B.; Debiec-Rychter, M.; Tavora, F. Intimal sarcoma. In WHO Classification of Tumours Editorial Board. WHO Classification of Tumours of Soft Tissue and Bone; IARC Press: Lyon, France, 2020; pp. 315–317. [Google Scholar]
- Blackmon, S.H.; Patel, A.; Reardon, M.J. Management of primary cardiac sarcomas. Expert Rev. Cardiovasc. Ther. 2008, 6, 1217–1222. [Google Scholar] [CrossRef] [PubMed]
- Mandelstamm, M. Über primäre Neubildungen des Herzens. Virchows. Arch. Pathol. Anat. 1923, 245, 43–54. [Google Scholar] [CrossRef]
- Mussot, S.; Ghigna, M.-R.; Mercier, O.; Fabre, D.; Fadel, E.; Le Cesne, A.; Simonneau, G.; Dartevelle, P. Retrospective institutional study of 31 patients treated for pulmonary artery sarcoma. Eur. J. Cardiothorac. Surg. 2013, 43, 787–793. [Google Scholar] [CrossRef] [PubMed]
- Moguillansky, N.I.; Verma, N.; Shah, P.; Knapik, J.; Mohammed, T.-L. Pulmonary artery sarcoma: Case report and review of the literature. Respir. Med. Case Rep. 2019, 27, 100857. [Google Scholar] [CrossRef] [PubMed]
- Neuville, A.; Collin, F.; Bruneval, P.; Parrens, M.; Thivolet, F.; Gomez-Brouchet, A.; Terrier, P.; de Montpreville, V.T.; Le Gall, F.; Hostein, I.; et al. Intimal sarcoma is the most frequent primary cardiac sarcoma: Clinicopathologic and molecular retrospective analysis of 100 primary cardiac sarcomas. Am. J. Surg. Pathol. 2014, 38, 461–469. [Google Scholar] [CrossRef] [PubMed]
- Goldblum, J.R.; Rice, T.W. Epithelioid angiosarcoma of the pulmonary artery. Hum. Pathol. 1995, 26, 1275–1277. [Google Scholar] [CrossRef]
- Sebenik, M.; Ricci, A.; Jr DiPasquale, B.; Mody, K.; Pytel, P.; Jee, K.J.; Knuutila, S.; Scholes, J. Undifferentiated intimal sarcoma of large systemic blood vessels: Report of 14 cases with immunohistochemical profile and review of the literature. Am. J. Surg. Pathol. 2005, 29, 1184–1193. [Google Scholar] [CrossRef]
- Nonomura, A.; Kurumaya, H.; Kono, N.; Nakanuma, Y.; Ohta, G.; Terahata, S.; Matsubara, F.; Matsuda, T.; Asaka, T.; Nishino, T. Primary pulmonary artery sarcoma. Report of two autopsy cases studied by immunohistochemistry and electron microscopy, and review of 110 cases reported in the literature. Acta Pathol. Jpn. 1988, 38, 883–896. [Google Scholar] [CrossRef]
- Burke, A.P.; Virmani, R. Sarcomas of the great vessels. A clinicopathologic study. Cancer 1993, 71, 1761–1773. [Google Scholar] [CrossRef]
- Hottenrott, G.; Mentzel, T.; Peters, A.; Schröder, A.; Katenkamp, D. Intravascular (“intimal”) epithelioid angiosarcoma: Clinicopathological and immunohistochemical analysis of three cases. Virchows Arch. 1999, 435, 473–478. [Google Scholar] [CrossRef]
- Bode-Lesniewska, B.; Zhao, J.; Speel, E.; Biraima, A.; Turina, M.; Komminoth, P.; Heitz, P. Gains of 12q13-14 and overexpression of mdm2 are frequent findings in intimal sarcomas of the pulmonary artery. Virchows Arch. 2001, 438, 57–65. [Google Scholar] [CrossRef]
- Dewaele, B.; Floris, G.; Finalet-Ferreiro, J.; Fletcher, C.D.; Coindre, J.M.; Guillou, L.; Hogendoorn, P.C.; Wozniak, A.; Vanspauwen, V.; Schöffski, P.; et al. Coactivated platelet-derived growth factor receptor {alpha} and epidermal growth factor receptor are potential therapeutic targets in intimal sarcoma. Cancer Res. 2010, 70, 7304–7314. [Google Scholar] [CrossRef] [PubMed]
- Koelsche, C.; Benhamida, J.K.; Kommoss, F.K.F.; Stichel, D.; Jones, D.T.W.; Pfister, S.M.; Heilig, C.E.; Fröhling, S.; Stenzinger, A.; Buslei, R.; et al. Intimal sarcomas and undifferentiated cardiac sarcomas carry mutually exclusive MDM2, MDM4, and CDK6 amplifications and share a common DNA methylation signature. Mod. Pathol. 2021, 34, 2122–2129. [Google Scholar] [CrossRef] [PubMed]
- Blackmon, S.H.; Rice, D.C.; Correa, A.M.; Mehran, R.; Putnam, J.B.; Smythe, W.R.; Walkes, J.-C.; Walsh, G.L.; Moran, C.; Singh, H.; et al. Management of Primary Pulmonary Artery Sarcomas. Ann. Thorac. Surg. 2009, 87, 977–984. [Google Scholar] [CrossRef] [PubMed]
- Ito, Y.; Maeda, D.; Yoshida, M.; Yoshida, A.; Kudo-Asabe, Y.; Nanjyo, H.; Izumi, C.; Yamamoto, F.; Inoue, M.; Shibata, H.; et al. Cardiac intimal sarcoma with PDGFRbeta mutation and co-amplification of PDGFRalpha and MDM2: An autopsy case analyzed by whole-exome sequencing. Virchows Arch. 2017, 471, 423–428. [Google Scholar] [CrossRef] [PubMed]
- Roszik, J.; Khan, A.; Conley, A.P.; Livingston, J.A.; Groisberg, R.; Ravi, V.; Carmagnani Pestana, R.; Sen, S.; Subbiah, V. Unique Aberrations in Intimal Sarcoma Identified by Next-Generation Sequencing as Potential Therapy Targets. Cancers 2019, 11, 1283. [Google Scholar] [CrossRef] [PubMed]
- Yamada, Y.; Kinoshita, I.; Miyazaki, Y.; Tateishi, Y.; Kuboyama, Y.; Iwasaki, T.; Kohashi, K.; Yamamoto, H.; Ishihara, S.; Toda, Y.; et al. Myxoid type and non-myxoid type of intimal sarcoma in large vessels and heart: Review of histological and genetic profiles of 20 cases. Virchows Arch. 2022, 480, 919–925. [Google Scholar] [CrossRef]
- Machado, I.; Morales, G.N.; Cruz, J.; Lavernia, J.; Giner, F.; Navarro, S.; Ferrandez, A.; Llombart-Bosch, A. Solitary fibrous tumor: A case series identifying pathological adverse factors-implications for risk stratification and classification. Virchows Arch. 2020, 476, 597–607. [Google Scholar] [CrossRef]
- Mushtaq, I.; Bhat, G.R.; Rah, B.; Besina, S.; Zahoor, S.; Wani, M.A.; Shah, M.A.; Bashir, S.; Farooq, M.; Rather, R.A.; et al. Telomere Attrition with Concomitant hTERT Overexpression Involved in the Progression of Gastric Cancer May Have Prognostic and Clinical Implications in High-Risk Population Group from North India. Front. Oncol. 2022, 12, 919351. [Google Scholar] [CrossRef]
- Tamborini, E.; Casieri, P.; Miselli, F.; Orsenigo, M.; Negri, T.; Piacenza, C.; Stacchiotti, S.; Gronchi, A.; Pastorino, U.; Pierotti, M.A.; et al. Analysis of potential receptor tyrosine kinase targets in intimal and mural sarcomas. J. Pathol. 2007, 212, 227–235. [Google Scholar] [CrossRef]
- Sciot, R. MDM2 Amplified Sarcomas: A Literature Review. Diagnostics 2021, 11, 496. [Google Scholar] [CrossRef]
- Agaram, N.P.; Zhang, L.; Sung, Y.-S.; Singer, S.; Stevens, T.; Prieto-Granada, C.N.; Bishop, J.A.; Wood, B.A.; Swanson, D.; Dickson, B.C.; et al. GLI1-amplifications expand the spectrum of soft tissue neoplasms defined by GLI1 gene fusions. Mod. Pathol. 2019, 32, 1617–1626. [Google Scholar] [CrossRef] [PubMed]
- Stein, U.; Eder, C.; Karsten, U.; Haensch, W.; Walther, W.; Schlag, P.M. GLI gene expression in bone and soft tissue sarcomas of adult patients correlates with tumor grade. Cancer Res. 1999, 59, 1890–1895. [Google Scholar] [PubMed]
- Barretina, J.; Taylor, B.S.; Banerji, S.; Ramos, A.H.; Lagos-Quintana, M.; DeCarolis, P.L.; Shah, K.; Socci, N.D.; Weir, B.A.; Ho, A.; et al. Subtype-specific genomic alterations define new targets for soft-tissue sarcoma therapy. Nat. Genet. 2010, 42, 715–721. [Google Scholar] [CrossRef] [PubMed]
- Taylor, B.S.; Barretina, J.; Maki, R.G.; Antonescu, C.R.; Singer, S.; Ladanyi, M. Advances in sarcoma genomics and new therapeutic targets. Nat. Rev. Cancer 2011, 11, 541–557. [Google Scholar] [CrossRef]
- Erba, H.P.; Becker, P.S.; Shami, P.J.; Grunwald, M.R.; Flesher, D.L.; Zhu, M.; Rasmussen, E.; Henary, H.A.; Anderson, A.A.; Wang, E.S. Phase 1b study of the MDM2 inhibitor AMG 232 with or without trametinib in relapsed/refractory acute myeloid leukemia. Blood Adv. 2019, 3, 1939–1949. [Google Scholar] [CrossRef]
- Wang, W.; Hu, B.; Qin, J.-J.; Cheng, J.-W.; Li, X.; Rajaei, M.; Fan, J.; Yang, X.-R.; Zhang, R. A novel inhibitor of MDM2 oncogene blocks metastasis of hepatocellular carcinoma and overcomes chemoresistance. Genes Dis. 2019, 6, 419–430. [Google Scholar] [CrossRef]
- Frezza, A.M.; Assi, T.; Vullo, S.L.; Ben-Ami, E.; Dufresne, A.; Yonemori, K.; Noguchi, E.; Siontis, B.; Ferraro, R.; Teterycz, P.; et al. Systemic treatments in MDM2 positive intimal sarcoma: A multicentre experience with anthracycline, gemcitabine, and pazopanib within the World Sarcoma Network. Cancer 2019, 126, 98–104. [Google Scholar] [CrossRef]
- Chakravarty, D.; Gao, J.; Phillips, S.; Kundra, R.; Zhang, H.; Wang, J.; Rudolph, J.E.; Yaeger, R.; Soumerai, T.; Nissan, M.H.; et al. OncoKB: A Precision Oncology Knowledge Base. JCO Precis. Oncol. 2017, 2017, PO.17.00011. [Google Scholar] [CrossRef]
- The AACR Project GENIE Consortium. AACR Project GENIE: Powering precision medicine through an international consortium. Cancer Discov. 2017, 7, 818–831. [Google Scholar] [CrossRef]
- Seiler, M.; Yoshimi, A.; Darman, R.; Chan, B.; Keaney, G.; Thomas, M.; Agrawal, A.A.; Caleb, B.; Csibi, A.; Sean, E.; et al. H3B-8800, an orally available small-molecule splicing modulator, induces lethality in spliceosome-mutant cancers. Nat. Med. 2018, 24, 497–504. [Google Scholar] [CrossRef]




| Case 1 | Case 2 | Case 3 | |
|---|---|---|---|
| Age (years) | 47 | 67 | 47 |
| Gender | M | F | F |
| Location | Pulmonary artery | Right atrium | Pulmonary artery |
| First local recurrence (months) | 14 | 36 | 12 |
| Metastasis location | Lung and liver | Lung and brain | Lung and brain |
| Follow up (months) | 69 | 51 | 96 |
| Outcome | DOD | DOD | DOD |
| Case 1 | Recurrence Case 1 | Case 2 | Case 3 | Xenograft Case 3 | |
|---|---|---|---|---|---|
| Histological pattern | Scant myxoid and pleomorphic tumor with extensive thrombotic areas | Spindle cell and inflammatory (eosinophils and neutrophils) and hyalinized stroma | Epithelioid, pleomorphic, and inflammatory stroma (plasma cells); prominent nucleoli (Reed–Sternberg-like cells) | Spindle and pleomorphic cells; hemorrhagic and thrombotic fields; myxoid and hyalinized | More spindle and pleomorphic features |
| Mitosis/10HPF | 15 | 10 | 4 | 8 | 6 |
| IHC profile | |||||
| MDM2 | + | + | + | + | + |
| CDK4 | + | + | + | + | + |
| Pan-TRK | - | - | - | + | + |
| H-TERT | + | + | - | + | + |
| KI67 | 25% | 25% | 10% | 10% | 25% |
| FLI-1 | + | + | + | + | + |
| CD31 | - | - | + | + | + |
| CD34 | - | - | - | - | - |
| ERG | - | + | - | + | + |
| CD117 | + | + | + | + | + |
| SMA | - | + | + | + | + |
| DESMIN | - | - | - | + | + |
| H-caldesmon | - | - | - | - | - |
| Factor VIII | - | - | - | + | - |
| D2.40 (podoplanin) | + | + | - | + | - |
| C-MYC | + | + | + | + | + |
| EMA | - | - | - | +/- | +/- |
| CK(AE1/AE3) | - | - | - | - | - |
| MyoD1 | - | - | - | - | - |
| p53 | 2% | 1% | 5% | 5% | 25% |
| p16 | + | + | + | + | + |
| S100 | - | - | - | - | - |
| FOS-B | - | - | - | - | - |
| EGFR | - | - | - | - | - |
| PDGFRA | + | + | + | + | + |
| GLI-1 | cytoplasmic | cytoplasmic | cytoplasmic | cytoplasmic | cytoplasmic |
| STAT-6 | cytoplasmic | cytoplasmic | cytoplasmic | cytoplasmic | cytoplasmic |
Disclaimer/Publisher’s Note: The statements, opinions and data contained in all publications are solely those of the individual author(s) and contributor(s) and not of MDPI and/or the editor(s). MDPI and/or the editor(s) disclaim responsibility for any injury to people or property resulting from any ideas, methods, instructions or products referred to in the content. |
© 2023 by the authors. Licensee MDPI, Basel, Switzerland. This article is an open access article distributed under the terms and conditions of the Creative Commons Attribution (CC BY) license (https://creativecommons.org/licenses/by/4.0/).
Share and Cite
Giner, F.; Machado, I.; Rubio-Martínez, L.A.; López-Guerrero, J.A.; Claramunt-Alonso, R.; Navarro, S.; Ferrández, A.; Mayordomo-Aranda, E.; Llombart-Bosch, A. Intimal Sarcoma with MDM2/CDK4 Amplification and p16 Overexpression: A Review of Histological Features in Primary Tumor and Xenograft, with Immunophenotype and Molecular Profiling. Int. J. Mol. Sci. 2023, 24, 7535. https://doi.org/10.3390/ijms24087535
Giner F, Machado I, Rubio-Martínez LA, López-Guerrero JA, Claramunt-Alonso R, Navarro S, Ferrández A, Mayordomo-Aranda E, Llombart-Bosch A. Intimal Sarcoma with MDM2/CDK4 Amplification and p16 Overexpression: A Review of Histological Features in Primary Tumor and Xenograft, with Immunophenotype and Molecular Profiling. International Journal of Molecular Sciences. 2023; 24(8):7535. https://doi.org/10.3390/ijms24087535
Chicago/Turabian StyleGiner, Francisco, Isidro Machado, Luis Alberto Rubio-Martínez, José Antonio López-Guerrero, Reyes Claramunt-Alonso, Samuel Navarro, Antonio Ferrández, Empar Mayordomo-Aranda, and Antonio Llombart-Bosch. 2023. "Intimal Sarcoma with MDM2/CDK4 Amplification and p16 Overexpression: A Review of Histological Features in Primary Tumor and Xenograft, with Immunophenotype and Molecular Profiling" International Journal of Molecular Sciences 24, no. 8: 7535. https://doi.org/10.3390/ijms24087535
APA StyleGiner, F., Machado, I., Rubio-Martínez, L. A., López-Guerrero, J. A., Claramunt-Alonso, R., Navarro, S., Ferrández, A., Mayordomo-Aranda, E., & Llombart-Bosch, A. (2023). Intimal Sarcoma with MDM2/CDK4 Amplification and p16 Overexpression: A Review of Histological Features in Primary Tumor and Xenograft, with Immunophenotype and Molecular Profiling. International Journal of Molecular Sciences, 24(8), 7535. https://doi.org/10.3390/ijms24087535

