Drug Selection and Posology, Optimal Therapies and Risk/Benefit Assessment in Medicine: The Paradigm of Iron-Chelating Drugs
Abstract
1. Introduction
2. Design and Developmental Aspects of Chelating Drugs for the Elimination of Excess Iron
3. The Aim of Iron Chelation Therapy in Thalassemia and the Design of Effective Chelation Protocols
4. Toxicity Concerns and Limitations in the Use of Iron-Chelating Drugs
5. Effective and Optimal Iron Chelation Therapies in Iron-Loaded and Non-Iron-Loaded Patients
6. Drug Interactions and Metabolic Changes Affecting the Safety and Efficacy of Iron Chelation Therapy
7. Future Prospects for the Design of Optimal Chelation Protocols in Patients with Excess Iron Toxicity
8. Conclusions
Funding
Acknowledgments
Conflicts of Interest
Abbreviations
| ADME | absorption, distribution, metabolism and elimination |
| ADMET | absorption, distribution, metabolism, elimination and toxicity |
| DF | Deferoxamine |
| DFRA | Deferasirox |
| DTPA | diethylenetriaminepentaacetic acid |
| EDTA | ethylenediaminetetraacetic acid |
| EID | excess iron deposition |
| ICOC | International committee on chelation |
| L1 | Deferiprone |
| MRI | magnetic resonance imaging |
| TM | Thalassemia major |
| TI | Thalassemia intermedia |
| SCD | Sickle cell disease |
References
- Dos Santos Neres, J.S.; Yahouédéhou, S.C.M.A.; Goncalves, M.S. Effectiveness of Pharmacokinetic-Guided Hydroxyurea Dose In-dividualization in Patients with Sickle Cell Anemia: A Mini-Review. Pharmaceuticals 2023, 16, 857. [Google Scholar] [CrossRef] [PubMed]
- Perez, N.; Langlest, F.; Mallet, L.; De Pieri, M.; Sentissi, O.; Thorens, G.; Seragnoli, F.; Zullino, D.; Kirschner, M.; Kaiser, S.; et al. Psilocybin-assisted therapy for depression: A systematic review and dose-response meta-analysis of human studies. Eur. Neuropsychopharmacol. 2023, 76, 61–76. [Google Scholar] [CrossRef] [PubMed]
- Chaurasia, M.; Singh, R.; Sur, S.; Flora, S.J.S. A review of FDA approved drugs and their formulations for the treatment of breast cancer. Front. Pharmacol. 2023, 14, 1184472. [Google Scholar] [CrossRef] [PubMed]
- Yang, Y.-Z.; Cheng, Q.-H.; Zhang, A.-R.; Yang, X.; Zhang, Z.-Z.; Guo, H.-Z. Efficacy and safety of single- and double-dose intravenous tranexamic acid in hip and knee arthroplasty: A systematic review and meta-analysis. J. Orthop. Surg. Res. 2023, 18, 593. [Google Scholar] [CrossRef] [PubMed]
- Bobillo, S.; Wilson, M.R.; Cwynarski, K. Controversies in central nervous system prophylaxis of high-risk diffuse large B-cell lymphoma. Curr. Opin. Oncol. 2023, 35, 382–388. [Google Scholar] [CrossRef] [PubMed]
- Chai, W.; Wang, S.; Zhang, D. Optimal dose of perineural dexamethasone for the prolongation of analgesia for peripheral nerve blocks: Protocol for a systematic review and meta-analysis. BMJ Open 2023, 13, e072598. [Google Scholar] [CrossRef] [PubMed]
- Hines, J.B.; Bowar, B.; Levine, E.; Esposito, A.; Garassino, M.C.; Bestvina, C.M. Targeted Toxicities: Protocols for Monitoring the Adverse Events of Targeted Therapies Used in the Treatment of Non-Small Cell Lung Cancer. Int. J. Mol. Sci. 2023, 24, 9429. [Google Scholar] [CrossRef]
- Mellema, J.J.; van Rhijn, B.W.G.; van der Heijden, M.S. Recent developments in perioperative combination therapy in mus-cle-invasive bladder cancer. Curr. Opin. Urol. 2023, 33, 404–411. [Google Scholar] [CrossRef]
- van der Leij, S.; Lebbink, C.A.; Lentjes, E.G.; Tissing, W.J.; Stuart, A.V.; Heuvel-Eibrink, M.M.v.D.; van Santen, H.M.; van Dalen, E.C. Thyroid dysfunction during treatment with systemic antineoplastic therapy for childhood cancer: A systematic review. Crit. Rev. Oncol. 2023, 184, 103958. [Google Scholar] [CrossRef]
- Lo, J.O.; Benson, A.E.; Martens, K.L.; Hedges, M.A.; McMurry, H.S.; DeLoughery, T.; Aslan, J.E.; Shatzel, J.J. The role of oral iron in the treatment of adults with iron deficiency. Eur. J. Haematol. 2022, 110, 123–130. [Google Scholar] [CrossRef]
- De Oliveira Brandao, C.; Lewis, S.; Sandschafer, D.; Crawford, J. Two decades of pegfilgrastim: What have we learned? Where do we go from here? Curr. Med. Res. Opin. 2023, 39, 707–718. [Google Scholar] [CrossRef] [PubMed]
- Cheon, J.; Im, H.-S.; Shin, H.-J.; Kim, I.; Lee, W.S.; Lee, K.-H.; Park, S.K.; Kim, M.K.; Choi, U.J.; Kim, J.H.; et al. Pegteograstim prophylaxis for chemotherapy-induced neutropenia and febrile neutropenia: A prospective, observational, postmarketing surveillance study in Korea. Support. Care Cancer 2021, 29, 5383–5390. [Google Scholar] [CrossRef] [PubMed]
- Teshima, Y.; Kizaki, M.; Kurihara, R.; Kano, R.; Harumiya, M. Interim analysis for post-marketing surveillance of dabrafenib and trametinib combination therapy in Japanese patients with unresectable and metastatic melanoma with BRAF V600 mutation. Int. J. Clin. Oncol. 2020, 25, 1870–1878. [Google Scholar] [CrossRef] [PubMed]
- Freemantle, N.; Bonadonna, R.C.; Gourdy, P.; Mauricio, D.; Mueller-Wieland, D.; Bigot, G.; Ciocca, A.; Mauquoi, C.; Rollot, M.; Bonnemaire, M. Rationale and methodology for a European pooled analysis of postmarketing interventional and observational studies of insulin glargine 300 U/mL in diabetes: Protocol of REALI project. BMJ Open 2020, 10, e033659. [Google Scholar] [CrossRef]
- Kemp-Casey, A.; Pratt, N.; Ramsay, E.; Roughead, E.E. Using Post-market Utilisation Analysis to Support Medicines Pricing Policy: An Australian Case Study of Aflibercept and Ranibizumab Use. Appl. Health Econ. Health Policy 2019, 17, 411–417. [Google Scholar] [CrossRef]
- Rulten, S.L.; Grose, R.P.; Gatz, S.A.; Jones, J.L.; Cameron, A.J.M. The Future of Precision Oncology. Int. J. Mol. Sci. 2023, 24, 12613. [Google Scholar] [CrossRef]
- Alsultan, A.; A Alalwan, A.; Alshehri, B.; Al Jeraisy, M.; Alghamdi, J.; Alqahtani, S.; A Albassam, A. Interethnic differences in drug response: Projected impact of genetic variations in the Saudi population. Pharmacogenomics 2023, 24, 685–696. [Google Scholar] [CrossRef]
- Liao, S.; Zhou, M.; Wang, Y.; Lu, C.; Yin, B.; Zhang, Y.; Liu, H.; Yin, X.; Song, G. Emerging biomedical imaging-based companion di-agnostics for precision medicine. iScience 2023, 26, 107277. [Google Scholar] [CrossRef]
- Wadhawan, M.; Gupta, C. Immunosuppression Monitoring-What Clinician Needs to Know? J. Clin. Exp. Hepatol. 2023, 13, 691–697. [Google Scholar] [CrossRef] [PubMed]
- Chung, A.N.; Chen, T.T.; Lin, Y.F. Genetics of antidepressant response and treatment-resistant depression. Prog. Brain Res. 2023, 278, 25–60. [Google Scholar] [PubMed]
- Peng, Y.; Lee, E. Microphysiological Systems for Cancer Immunotherapy Research and Development. Adv. Biol. (Weinh) 2023, e2300077. [Google Scholar] [CrossRef] [PubMed]
- Matera, M.G.; Rinaldi, B.; Belardo, C.; Calzetta, L.; Cazzola, M. Pharmacokinetic considerations surrounding triple therapy for un-controlled asthma. Expert. Opin. Drug Metab. Toxicol. 2023, 19, 345–355. [Google Scholar] [CrossRef] [PubMed]
- Berna-Rico, E.; Perez-Bootello, J.; de Aragon, C.A.-J.; Gonzalez-Cantero, A. Genetic Influence on Treatment Response in Psoriasis: New Insights into Personalized Medicine. Int. J. Mol. Sci. 2023, 24, 9850. [Google Scholar] [CrossRef] [PubMed]
- Kabbani, D.; Akika, R.; Wahid, A.; Daly, A.K.; Cascorbi, I.; Zgheib, N.K. Pharmacogenomics in practice: A review and implementation guide. Front. Pharmacol. 2023, 14, 1189976. [Google Scholar] [CrossRef] [PubMed]
- Konstandi, M.; Johnson, E.O. Age-related modifications in CYP-dependent drug metabolism: Role of stress. Front. Endocrinol. 2023, 14, 1143835. [Google Scholar] [CrossRef] [PubMed]
- Sun, L.; Mi, K.; Hou, Y.; Hui, T.; Zhang, L.; Tao, Y.; Liu, Z.; Huang, L. Pharmacokinetic and Pharmacodynamic Drug–Drug Interactions: Research Methods and Applications. Metabolites 2023, 13, 897. [Google Scholar] [CrossRef] [PubMed]
- Scheen, A.J. Pharmacokinetic, toxicological, and clinical considerations for the treatment of type 2 diabetes in patients with liver disease: A comprehensive update. Expert. Opin. Drug Metab. Toxicol. 2023, 19, 543–553. [Google Scholar] [CrossRef]
- Gouju, J.; Legeay, S. Pharmacokinetics of obese adults: Not only an increase in weight. Biomed. Pharmacother. 2023, 166, 115281. [Google Scholar] [CrossRef]
- Ekins, S.; Lane, T.R.; Urbina, F.; Puhl, A.C. In silico ADME/tox comes of age: Twenty years later. Xenobiotica 2023, 1–7. [Google Scholar] [CrossRef]
- Taleb, M.H. Phenytoin’s Pharmacological Interactions with Medicinal Herbs: A Review. Pharmazie 2023, 78, 77–81. [Google Scholar]
- Coetzee, E.; Absalom, A.R. Pharmacokinetic and Pharmacodynamic Changes in the Elderly: Impact on Anesthetics. Anesthesiol. Clin. 2023, 41, 549–565. [Google Scholar] [CrossRef] [PubMed]
- Tao, R.E.; Prajapati, S.; Pixley, J.N.; Grada, A.; Feldman, S.R. Oral Tetracycline-Class Drugs in Dermatology: Impact of Food Intake on Absorption and Efficacy. Antibiotics 2023, 12, 1152. [Google Scholar] [CrossRef] [PubMed]
- Sahasrabudhe, S.A.; Terluk, M.R.; Kartha, R.V. N-acetylcysteine Pharmacology and Applications in Rare Diseases—Repurposing an Old Antioxidant. Antioxidants 2023, 12, 1316. [Google Scholar] [CrossRef]
- Leys, K.; Stroe, M.S.; Annaert, P.; Van Cruchten, S.; Carpentier, S.; Allegaert, K.; Smits, A. Pharmacokinetics during therapeutic hy-pothermia in neonates: From pathophysiology to translational knowledge and physiologically-based pharmacokinetic (PBPK) modeling. Expert. Opin. Drug Metab. Toxicol. 2023, 19, 461–477. [Google Scholar] [CrossRef] [PubMed]
- Kircik, L.; Siegel, D.M. Clinical and Legal Considerations in Pharmaceutical Compounding. J. Clin. Aesthet. Dermatol. 2023, 16, S23–S28. [Google Scholar]
- MacNair, C.R.; Tsai, C.N.; Rutherford, S.T.; Tan, M.-W. Returning to Nature for the Next Generation of Antimicrobial Therapeutics. Antibiotics 2023, 12, 1267. [Google Scholar] [CrossRef] [PubMed]
- Moremane, M.M.; Abrahams, B.; Tiloke, C. Moringa oleifera: A Review on the Antiproliferative Potential in Breast Cancer Cells. Curr. Issues Mol. Biol. 2023, 45, 6880–6902. [Google Scholar] [CrossRef]
- Ajmeera, D.; Ajumeera, R. Drug repurposing: A novel strategy to target cancer stem cells and therapeutic resistance. Genes. Dis. 2023, 11, 148–175. [Google Scholar] [CrossRef]
- Al-Fakhrany, O.M.; Elekhnawy, E. Helicobacter pylori in the post-antibiotics era: From virulence factors to new drug targets and therapeutic agents. Arch. Microbiol. 2023, 205, 301. [Google Scholar] [CrossRef]
- Mahmoud, M.; Tan, Y. New advances in the treatments of drug-resistant tuberculosis. Expert. Rev. Anti-Infect. Ther. 2023, 21, 863–870. [Google Scholar] [CrossRef]
- van Griensven, J.; Dorlo, T.P.; Diro, E.; Costa, C.; Burza, S. The status of combination therapy for visceral leishmaniasis: An updated review. Lancet Infect. Dis. 2023. epub ahead of print. [Google Scholar] [CrossRef]
- Osman, A.H.; Kotey, F.C.N.; Odoom, A.; Darkwah, S.; Yeboah, R.K.; Dayie, N.T.K.D.; Donkor, E.S. The Potential of Bacterio-phage-Antibiotic Combination Therapy in Treating Infections with Multidrug-Resistant Bacteria. Antibiotics 2023, 12, 1329. [Google Scholar] [CrossRef] [PubMed]
- Chapdelaine, A.G.; Sun, G. Challenges and Opportunities in Developing Targeted Therapies for Triple Negative Breast Cancer. Biomolecules 2023, 13, 1207. [Google Scholar] [CrossRef] [PubMed]
- Clark, R.S.B.; Empey, P.E.; Kochanek, P.M.; Bell, M.J. N-Acetylcysteine and Probenecid Adjuvant Therapy for Traumatic Brain Injury. Neurotherapeutics 2023, 1–9. [Google Scholar] [CrossRef] [PubMed]
- Luo, L.J.; Lin, C.; Wang, P.; Cao, D.; Lin, Y.; Wang, W.; Zhao, Y.; Shi, Y.; Gao, Z.; Kang, X.; et al. Combined Use of Immune Checkpoint Inhibitors and Phytochemicals as a Novel Therapeutic Strategy against Cancer. J. Cancer 2023, 14, 2315–2328. [Google Scholar] [CrossRef] [PubMed]
- Caffin, F.; Boccara, D.; Piérard, C. The Use of Hydrogel Dressings in Sulfur Mustard-Induced Skin and Ocular Wound Man-agement. Biomedicines 2023, 11, 1626. [Google Scholar] [CrossRef] [PubMed]
- Troger, A.; Burns, M.M. Pharmaceutical Purchasing: A Review of the Landscape and Implications for Antidotal Therapies. J. Med. Toxicol. 2023, 19, 262–267. [Google Scholar] [CrossRef] [PubMed]
- Abu Esba, L.C.; Alkoraishi, A.; Ardah, H.I. Trends in antidote utilization at a tertiary care hospital in Saudi Arabia: A 6-year ret-rospective study. Basic Clin. Pharmacol. Toxicol. 2023, 132, 543–549. [Google Scholar] [CrossRef]
- Guo, H.; Li, L.; Gao, L. Paraquat and Diquat: Recent Updates on Their Pretreatment and Analysis Methods since 2010 in Biological Samples. Molecules 2023, 28, 684. [Google Scholar] [CrossRef]
- Biswas, S.; Bahar, Y.; Bahar, A.R.; Safiriyu, I.; Mathai, S.V.; Hajra, A.; Gupta, R.; Aronow, W.S. Present Knowledge on Direct Oral An-ticoagulant and Novel Oral Anti Coagulants and Their Specific Antidotes: A Comprehensive Review Article. Curr. Probl. Cardiol. 2023, 48, 101483. [Google Scholar] [CrossRef]
- Volkmann, E.R.; Andréasson, K.; Smith, V. Systemic sclerosis. Lancet 2023, 401, 304–318. [Google Scholar] [CrossRef] [PubMed]
- Lahmar, Z.; Ahmed, E.; Fort, A.; Vachier, I.; Bourdin, A.; Bergougnoux, A. Hedgehog pathway and its inhibitors in chronic obstructive pulmonary disease (COPD). Pharmacol. Ther. 2022, 240, 108295. [Google Scholar] [CrossRef] [PubMed]
- Jiménez-Alejandre, R.; Ruiz-Fernández, I.; Martín, P. Pathophysiology of Immune Checkpoint Inhibitor-Induced Myocarditis. Cancers 2022, 14, 4494. [Google Scholar] [CrossRef] [PubMed]
- Davila-Siliezar, P.; Carter, M.; Milea, D.; Lee, A.G. Leber hereditary optic neuropathy: New and emerging therapies. Curr. Opin. Ophthalmol. 2022, 33, 574–578. [Google Scholar] [CrossRef] [PubMed]
- Zhang, Y.; Gu, J.; Wang, X.; Li, L.; Fu, L.; Wang, D.; Wang, X.; Han, X. Opportunities and challenges: Mesenchymal stem cells in the treatment of multiple sclerosis. Int. J. Neurosci. 2023, 133, 1031–1044. [Google Scholar] [CrossRef] [PubMed]
- Adedokun, O.J.; Xu, Z.; Gasink, C.; Kowalski, K.; Sandborn, W.J.; Feagan, B. Population Pharmacokinetics and Exposure-Response Analyses of Ustekinumab in Patients With Moderately to Severely Active Crohn’s Disease. Clin. Ther. 2022, 44, 1336–1355. [Google Scholar] [CrossRef]
- Thomas, Q.D.; Firmin, N.; Mbatchi, L.; Evrard, A.; Quantin, X.; Leenhardt, F. Combining Three Tyrosine Kinase Inhibitors: Drug Monitoring Is the Key. Int. J. Mol. Sci. 2023, 24, 5518. [Google Scholar] [CrossRef]
- Chekanova, V.; Abolhassani, N.; Vaucher, J.; Marques-Vidal, P. Association of clinical and genetic risk factors with management of dyslipidaemia: Analysis of repeated cross-sectional studies in the general population of Lausanne, Switzerland. BMJ Open 2023, 13, e065409. [Google Scholar] [CrossRef]
- Aronson, J.K.; Heneghan, C.; Ferner, R.E. Drug shortages. Part 2: Trends, causes and solutions. Br. J. Clin. Pharmacol. 2023, 89, 2957–2963. [Google Scholar] [CrossRef]
- Aronson, J.K.; Heneghan, C.; Ferner, R.E. Drug shortages. Part 1. Definitions and harms. Br. J. Clin. Pharmacol. 2023, 89, 2950–2956. [Google Scholar] [CrossRef]
- Djordjevic, D.; McFadyen, A.; A Anderson, J. Ethical challenges and opportunities in the development and approval of novel therapeutics for rare diseases. J. Med. Access 2023, 7, 27550834231177507. [Google Scholar] [CrossRef] [PubMed]
- Kontoghiorghe, C.N.; Andreou, N.; Constantinou, K.; Kontoghiorghes, G.J. World health dilemmas: Orphan and rare diseases, orphan drugs and orphan patients. World J. Methodol. 2014, 4, 163–188. [Google Scholar] [CrossRef] [PubMed]
- Fidahic, M.; Nujic, D.; Civljak, M.; Runjic, R.; Markotic, F.; Vidak, M.; Puljak, L. Standard of care for COVID-19 in randomized clinical trials registered in trial registries and published in preprint servers and scholarly journals: A cross-sectional study. BMC Med. Res. Methodol. 2022, 22, 173. [Google Scholar] [CrossRef] [PubMed]
- Dodds, M.; Xiong, Y.; Mouksassi, S.; Kirkpatrick, C.M.; Hui, K.; Doyle, E.; Patel, K.; Cox, E.; Wesche, D.; Brown, F.; et al. Mod-el-informed drug repurposing: A pharmacometric approach to novel pathogen preparedness, response and retrospection. Br. J. Clin. Pharmacol. 2021, 87, 3388–3397. [Google Scholar] [CrossRef] [PubMed]
- Caserta, S.; Zaccuri, A.M.; Innao, V.; Musolino, C.; Allegra, A. Immune thrombocytopenia: Options and new perspectives. Blood Coagul. Fibrinolysis 2021, 32, 427–433. [Google Scholar] [CrossRef]
- Kontoghiorghes, G.J. The Vital Role Played by Deferiprone in the Transition of Thalassaemia from a Fatal to a Chronic Disease and Challenges in Its Repurposing for Use in Non-Iron-Loaded Diseases. Pharmaceuticals 2023, 16, 1016. [Google Scholar] [CrossRef]
- Mistry, R.; Rawson, T.M.; Troise, O.; Mughal, N.; Moore, L.S.P.; Hughes, S. Haematological and hepatic adverse effects of ceftriaxone in ambulatory care: A dual-centre retrospective observational analysis of standard vs high dose. BMC Infect. Dis. 2022, 22, 1016. [Google Scholar] [CrossRef]
- Corona, A.; Veronese, A.; Santini, S.; Cattaneo, D. “CATCH” Study: Correct Antibiotic Therapy in Continuous Hemofiltration in the Critically Ill in Continuous Renal Replacement Therapy: A Prospective Observational Study. Antibiotics 2022, 11, 1811. [Google Scholar] [CrossRef]
- Mencucci, R.; Ach, T.; Liekfeld, A.; Scialdone, A.; Civiale, C.; Mazzone, M.G.; Caporossi, A. Reduced Posology of an Ophthalmic Hydrogel Containing Dexamethasone/Netilmicin to Prevent and Treat Ocular Inflammation After Cataract Surgery: Efficacy and Tolerability. Adv. Ther. 2022, 39, 5474–5486. [Google Scholar] [CrossRef]
- D’Anna, G.; Rotella, F.; Santarelli, G.; Scannerini, S.; Fanelli, A.; Ricca, V.; Ballerini, A. Therapeutic Drug Monitoring of Long-Acting Injectable Antipsychotics as a Predictor of Relapse in Schizophrenia Spectrum Disorders: A 1-Year Pilot Study. Ther. Drug Monit. 2022, 44, 805–810. [Google Scholar] [CrossRef]
- Lasala, R.; Santoleri, F.; Romagnoli, A.; Abrate, P.; Musicco, F.; Costantini, A. Medication adherence reporting in pivotal clinical trials: Overview of oral oncological drugs. Eur. J. Hosp. Pharm. 2022, 30, 328–332. [Google Scholar] [CrossRef] [PubMed]
- Maliepaard, M.; Carree, W.; van Bussel, M. Dose selection and tolerability of anticancer agents evaluated by the European Medicines Agency in the period 2015–2020. ESMO Open 2021, 6, 100301. [Google Scholar] [CrossRef] [PubMed]
- Kamal, M.A.; Kovalenko, P.; Kosloski, M.P.; Srinivasan, K.; Zhang, Y.; Rajadhyaksha, M.; Lai, C.H.; Kanamaluru, V.; Xu, C.; Sun, X.; et al. The Posology of Dupilumab in Pediatric Pa-tients With Atopic Dermatitis. Clin. Pharmacol. Ther. 2021, 110, 1318–1328. [Google Scholar] [CrossRef] [PubMed]
- Sanghavi, K.; Vuppala, P.; Ivaturi, V.; Hamuro, L.; Roy, A.; Suryawanshi, S. Nivolumab exposure–response analysis for adjuvant treatment of melanoma supporting a change in posology. CPT Pharmacomet. Syst. Pharmacol. 2021, 10, 748–759. [Google Scholar] [CrossRef] [PubMed]
- Flores-Bazán, T.; Betanzos-Cabrera, G.; Guerrero-Solano, J.A.; Negrete-Díaz, J.V.; German-Ponciano, L.J.; Olivo-Ramírez, D. Pome-granate (Punica granatum L.) and its phytochemicals as anxiolytic; an underreported effect with therapeutic potential: A systematic review. Brain Res. 2023, 1820, 148554. [Google Scholar] [CrossRef] [PubMed]
- Giovanardi, C.M.; Gonzalez-Lorenzo, M.; Poini, A.; Marchi, E.; Culcasi, A.; Ursini, F.; Faldini, C.; Di Martino, A.; Mazzanti, U.; Campesato, E.; et al. Acupuncture as an alternative or in addition to conventional treatment for chronic non-specific low back pain: Systematic review and meta-analysis. Integr. Med. Res. 2023, 12, 100972. [Google Scholar] [CrossRef]
- Vezzoli, A.; Mrakic-Sposta, S.; Dellanoce, C.; Montorsi, M.; Vietti, D.; Ferrero, M.E. Chelation Therapy Associated with Antioxidant Supplementation Can Decrease Oxidative Stress and Inflammation in Multiple Sclerosis: Preliminary Results. Antioxidants 2023, 12, 1338. [Google Scholar] [CrossRef]
- Lin, X.; Fang, Y.; Cheng, Y.; Wang, Q. Chinese herbal medicine for irinotecan-induced diarrhea: A systematic review and me-ta-analysis. Explore 2023. epub ahead of print. [Google Scholar] [CrossRef]
- Raus de Baviera, D.; Ruiz-Canales, A.; Barrajón-Catalán, E. Cistus albidus L.—Review of a Traditional Mediterranean Medicinal Plant with Pharmacological Potential. Plants 2023, 12, 2988. [Google Scholar] [CrossRef]
- Kontoghiorghes, G.J. Advances on Chelation and Chelator Metal Complexes in Medicine. Int. J. Mol. Sci. 2020, 21, 2499. [Google Scholar] [CrossRef]
- Kontoghiorghes, G.J. Iron Load Toxicity in Medicine: From Molecular and Cellular Aspects to Clinical Implications. Int. J. Mol. Sci. 2023, 24, 12928. [Google Scholar] [CrossRef] [PubMed]
- Bruzzese, A.; Martino, E.A.; Mendicino, F.; Lucia, E.; Olivito, V.; Bova, C.; Filippelli, G.; Capodanno, I.; Neri, A.; Morabito, F.; et al. Iron chelation therapy. Eur. J. Haematol. 2023, 110, 490–497. [Google Scholar] [CrossRef] [PubMed]
- Hokland, P.; Daar, S.; Khair, W.; Sheth, S.; Taher, A.T.; Torti, L.; Hantaweepant, C.; Rund, D. Thalassaemia—A global view. Br. J. Haematol. 2023, 201, 199–214. [Google Scholar] [CrossRef]
- Cattoni, A.; Capitoli, G.; Casagranda, S.; Corti, P.; Adavastro, M.; Molinaro, A.; Di Gennaro, F.; Bonanomi, S.; Biondi, A.; Galimberti, S.; et al. Iron Overload Following Hematopoietic Stem Cell Transplantation: Prevalence, Severity, and Management in Children and Adolescents with Malignant and Nonmalignant Diseases. Biol. Blood Marrow Transplant. 2023, 29, 271.e1–271.e12. [Google Scholar] [CrossRef] [PubMed]
- Tang, A.Y.; Zhou, M.; Maillis, A.N.; Lai, K.W.; Lane, P.A.; Snyder, A.B. Trends in blood transfusion, hydroxyurea use, and iron overload among children with sickle cell disease enrolled in Medicaid, 2004–2019. Pediatr. Blood Cancer 2023, 70, e30152. [Google Scholar] [CrossRef] [PubMed]
- Gu, Y.; Estcourt, L.J.; Doree, C.; Hopewell, S.; Vyas, P. Comparison of a restrictive versus liberal red cell transfusion policy for patients with myelodysplasia, aplastic anaemia, and other congenital bone marrow failure disorders. Cochrane Database Syst. Rev. 2015, 2015, CD011577. [Google Scholar] [CrossRef] [PubMed]
- Kontoghiorghes, G.J.; Kontoghiorghe, C.N. Efficacy and safety of iron-chelation therapy with deferoxamine, deferiprone, and deferasirox for the treatment of iron-loaded patients with non-transfusion-dependent thalassemia syndromes. Drug Des. Dev. Ther. 2016, 10, 465–481. [Google Scholar] [CrossRef]
- Koteen, P.; Brooks, N. Establishment of a transfusion clinic: Treatment of mediterranean anemia in the outpatient department. J. Pediatr. 1946, 28, 697–702. [Google Scholar] [CrossRef]
- Keberle, H. the biochemistry of desferrioxamine and its relation to iron metabolism. Ann. N. Y. Acad. Sci. 1964, 119, 758–768. [Google Scholar] [CrossRef]
- Barry, M.; Flynn, D.M.; Letsky, E.A.; Risdon, R.A. Long-term chelation therapy in thalassaemia major: Effect on liver iron concen-tration, liver histology, and clinical progress. Br. Med. J. 1974, 2, 16–20. [Google Scholar] [CrossRef]
- Seshadri, R.; Colebatch, J.H.; Fisher, R. Urinary iron excretion in thalassaemia after desferrioxamine administration. Arch. Dis. Child. 1974, 49, 195–199. [Google Scholar] [CrossRef] [PubMed][Green Version]
- Propper, R.D.; Shurin, S.B.; Nathan, D.G. Reassessment of the Use of Desferrioxamine B in Iron Overload. N. Engl. J. Med. 1976, 294, 1421–1423. [Google Scholar] [CrossRef] [PubMed]
- Summers, M.R.; Jacobs, A.; Tudway, D.; Perera, P.; Ricketts, C. Studies in Desferrioxamine and Ferrioxamine Metabolism in Normal and Iron-Loaded Subjects. Br. J. Haematol. 1979, 42, 547–555. [Google Scholar] [CrossRef]
- Pippard, M.J.; Callender, S.T.; Warner, G.T.; Weatherall, D.J. Iron absorption in iron-loading anaemias: Effect of subcutaneous des-ferrioxamine infusions. Lancet 1977, 2, 737–739. [Google Scholar] [CrossRef] [PubMed]
- Propper, R.D.; Cooper, B.; Rufo, R.R.; Nienhuis, A.W.; Anderson, W.F.; Bunn, H.F.; Rosenthal, A.; Nathan, D.G. Continuous subcutaenous administration of deferoxamine in patients with iron overload. N. Engl. J. Med. 1977, 297, 418–423. [Google Scholar] [CrossRef] [PubMed]
- Hussain, M.; Green, N.; Flynn, D.; Hoffbrand, A. Effect of dose, time, and ascorbate on iron excretion after subcutaneous desferrioxamine. Lancet 1977, 309, 977–979. [Google Scholar] [CrossRef] [PubMed]
- Kolnagou, A.; Kontoghiorghes, G.J. Effective Combination Therapy of Deferiprone and deferoxamine for the Rapid Clearance of Excess Cardiac IRON and the Prevention of Heart Disease in Thalassemia. The Protocol of the International Committee on Oral Chelators. Hemoglobin 2006, 30, 239–249. [Google Scholar] [CrossRef]
- Peterson, C.M.; Graziano, J.H.; Grady, R.W.; Jones, R.L.; Vlassara, H.V.; Canale, V.C.; Miller, D.R.; Cerami, A. Chelation studies with 2,3-dihydroxybenzoic acid in patients with beta-thalassaemia major. Br. J. Haematol. 1976, 33, 477–485. [Google Scholar] [CrossRef]
- Peterson, C.M.; Graziano, J.H.; Grady, R.W.; Jones, R.L.; Markenson, A.; Lavi, U.; Canale, V.; Gray, G.F.; Cerami, A.; Miller, D.R. Chelation therapy in beta-thalassemia major: A one-year double blind study of 2,3-dihydroxybenzoic acid. Exp. Hematol. 1979, 7, 74–80. [Google Scholar]
- Grady, R.W.; Peterson, C.M.; Jones, R.L.; Graziano, J.H.; Bhargava, K.K.; A Berdoukas, V.; Kokkini, G.; Loukopoulos, D.; Cerami, A. Rhodotorulic acid—Investigation of its potential as an iron-chelating drug. J. Pharmacol. Exp. Ther. 1979, 209, 342–348. [Google Scholar]
- Markum, A.H.; Iskandar, W.; Keng, K.L.; Odang, O. Iron excretion in thalassemia after the administration of chelating agents. Paediatr. Indones. 1969, 9, 89–98. [Google Scholar] [PubMed]
- Ridley, C.M. Zinc Deficiency Developing in Treatment for Thalassaemia. J. R. Soc. Med. 1982, 75, 38–39. [Google Scholar] [CrossRef] [PubMed]
- Pippard, M.J.; Jackson, M.J.; Hoffman, K.; Petrou, M.; Modell, C.B. Iron chelation using subcutaneous infusions of diethylene triamine penta-acetic acid (DTPA). Scand. J. Haematol. 1986, 36, 466–472. [Google Scholar] [CrossRef] [PubMed]
- Brown, E.B. Recognition and treatment of iron overload. Adv. Intern. Med. 1980, 26, 159–186. [Google Scholar]
- Cerami, A.; Grady, R.W.; Peterson, C.M.; Bhargava, K.K. Clinical management of thalassemia. The status of new iron chelators. Ann. N. Y. Acad. Sci. 1980, 344, 425–435. [Google Scholar] [CrossRef]
- Grady, R.W.; Salbe, A.D.; Hilgartner, M.W.; Giardina, P.J. Results from a phase I clinical trial of HBED. Adv. Exp. Med. Biol. 1994, 356, 351–359. [Google Scholar]
- Brittenham, G.M. Pyridoxal isonicotinoyl hydrazone. Effective iron chelation after oral administration. Ann. N. Y. Acad. Sci. 1990, 612, 315–326. [Google Scholar] [CrossRef]
- Kontoghiorghes, G.J. Design, properties, and effective use of the oral chelator L1 and other alpha-ketohydroxypyridines in the treatment of transfusional iron overload in thalassemia. Ann. N. Y. Acad. Sci. 1990, 612, 339–350. [Google Scholar] [CrossRef]
- DeConti, R.C.; Toftness, B.R.; Agrawal, K.C.; Tomchick, R.; Mead, J.A.; Bertino, J.R.; Sartorelli, A.C.; Creasey, W.A. Clinical and pharma-cological studies with 5-hydroxy-2-formylpyridine thiosemicarbazone. Cancer Res. 1972, 32, 1455–1462. [Google Scholar]
- Blanz, E.J., Jr.; French, F.A. The carcinostatic activity of 5-hydroxy-2-formylpyridine thiosemicarbazone. Cancer Res. 1968, 28, 2419–2422. [Google Scholar]
- Kontoghiorghes, G.J.; Eracleous, E.; Economides, C.; Kolnagou, A. Advances in Iron Overload Therapies. Prospects for Effective Use of Deferiprone (L1), Deferoxamine, the New Experimental Chelators ICL670, GT56-252, L1NAll and their Combinations. Curr. Med. Chem. 2005, 12, 2663–2681. [Google Scholar] [CrossRef] [PubMed]
- Kontoghiorghes, G.J. Deferiprone and Iron-Maltol: Forty Years since Their Discovery and Insights into Their Drug Design, Development, Clinical Use and Future Prospects. Int. J. Mol. Sci. 2023, 24, 4970. [Google Scholar] [CrossRef] [PubMed]
- Porter, J.B.; Singh, S.; Hoyes, K.P.; Epemolu, O.; Abeysinghe, R.D.; Hider, R.C. Lessons from Preclinical and Clinical Studies with 1,2-Diethyl-3-Hydroxypyridin-4-One, CP94 and Related Compounds. In Progress in Iron Research; Springer: Boston, MA, USA, 1994; Volume 356, pp. 361–370. [Google Scholar]
- Porter, J.B.; Abeysinghe, R.D.; Hoyes, K.P.; Barra, C.; Huehns, E.R.; Brooks, P.N.; Blackwell, M.P.; Araneta, M.; Brittenham, G.; Singh, S.; et al. Contrasting interspecies efficacy and toxicology of 1,2-diethy1–3-hydroxypyridin-4-one, CP9 4, relates to differing metabolism of the iron chelating site. Br. J. Haematol. 1993, 85, 159–168. [Google Scholar] [CrossRef] [PubMed]
- Epemolu, R.; Ackerman, R.; Porter, J.; Hider, R.; Damani, L.; Singh, S. HPLC determination of 1,2-diethyl-3-hydroxypyridin-4-one (CP94), its iron complex [Fe(III) (CP94)3] and glucuronide conjugate [CP94-GLUC] in serum and urine of thalassaemic patients. J. Pharm. Biomed. Anal. 1994, 12, 923–930. [Google Scholar] [CrossRef] [PubMed]
- Kontoghiorghes, G.J.; Pattichis, K.; Neocleous, K.; Kolnagou, A. The Design and Development of Deferiprone (L1) and Other Iron Chelators for Clinical Use: Targeting Methods and Application Prospects. Curr. Med. Chem. 2004, 11, 2161–2183. [Google Scholar] [CrossRef] [PubMed]
- Kontoghiorghes, G.J.; Kleanthous, M.; Kontoghiorghe, C.N. The History of Deferiprone (L1) and the Paradigm of the Complete Treatment of Iron Overload in Thalassaemia. Mediterr. J. Hematol. Infect. Dis. 2020, 12, e2020011. [Google Scholar] [CrossRef] [PubMed]
- Kontoghiorghes, G.J. A New Era in Iron Chelation Therapy: The Design of Optimal, Individually Adjusted Iron Chelation Therapies for the Complete Removal of Iron Overload in Thalassemia and other Chronically Transfused Patients. Hemoglobin 2009, 33, 332–338. [Google Scholar] [CrossRef]
- Zurlo, M.; De Stefano, P.; Borgna-Pignatti, C.; Di Palma, A.; Melevendi, C.; Piga, A.; Di Gregorio, F.; Burattini, M.; Terzoli, S. Survival and causes of death in thalassaemia major. Lancet 1989, 334, 27–30. [Google Scholar] [CrossRef]
- Aessopos, A.; Kati, M.; Farmakis, D. Heart disease in thalassemia intermedia: A review of the underlying pathophysiology. Haematologica 2007, 92, 658–665. [Google Scholar] [CrossRef]
- Sonakul, D.; Pacharee, P.; Wasi, P.; Fucharoen, S. Cardiac pathology in 47 patients with beta thalassaemia/haemoglobin E. Southeast Asian J. Trop. Med. Public Health 1984, 15, 554–563. [Google Scholar]
- Kontoghiorghes, G.J.; Kolnagou, A. Chelation protocols for the elimination and prevention of iron overload in thalassaemia. Front. Biosci. 2018, 23, 1082–1098. [Google Scholar] [CrossRef] [PubMed]
- Kontoghiorghes, G.J. The aim of iron chelation therapy in thalassaemia. Eur. J. Haematol. 2017, 99, 465–466. [Google Scholar] [CrossRef] [PubMed]
- Kyriacou, K.; Michaelides, Y.; Senkus, R.; Simamonian, K.; Pavlides, N.; Antoniades, L.; Zambartas, C. Ultrastructural pathology of the heart in patients with beta-thalassaemia major. Ultrastruct. Pathol. 2000, 24, 75–81. [Google Scholar] [CrossRef] [PubMed]
- Iancu, T.C.; Neustein, H.B.; Landing, B.H. The Liver in Thalassaemia Major: Ultra-Structural Observations. In Ciba Foundation Symposium 51-Iron Metabolism; John Wiley & Sons, Ltd.: Chichester, UK, 1977; pp. 293–316. [Google Scholar]
- Kolnagou, A.; Michaelides, Y.; Kontos, C.; Kyriacou, K.; Kontoghiorghes, G.J. Myocyte Damage and Loss of Myofibers is the Potential Mechanism of Iron Overload Toxicity in Congestive Cardiac Failure in Thalassemia. Complete Reversal of the Cardiomyopathy and Normalization of Iron Load by Deferiprone. Hemoglobin 2008, 32, 17–28. [Google Scholar] [CrossRef] [PubMed]
- Mancuso, A. Evidence-based medicine and Management of Hepatocellular Carcinoma in Thalassemia. BMC Gastroenterol. 2020, 20, 409. [Google Scholar] [CrossRef] [PubMed]
- Ricchi, P. Liver fibrosis in young patients with transfusion-dependent thalassaemia (TDT), understanding the role of steatosis. Br. J. Haematol. 2023, 200, 399–400. [Google Scholar] [CrossRef] [PubMed]
- Tolis, G.J.; Vlachopapadopoulou, E.; Karydis, I. Reproductive health in patients with beta-thalassemia. Curr. Opin. Pediatr. 1996, 8, 406–410. [Google Scholar] [CrossRef]
- Angelopoulos, N.G.; Zervas, A.; Livadas, S.; Adamopoulos, I.; Giannopoulos, D.; Goula, A.; Tolis, G. Reduced insulin secretion in normoglycaemic patients with β-thalassaemia major. Diabet. Med. 2006, 23, 1327–1331. [Google Scholar] [CrossRef]
- Economides, C.P.; Soteriades, E.S.; Hadjigavriel, M.; Seimenis, I.; Karantanas, A. Iron deposits in the knee joints of a thalassemic patient. Acta Radiol. Short. Rep. 2013, 2, 1–5. [Google Scholar] [CrossRef]
- Meloni, A.; Pistoia, L.; Restaino, G.; Missere, M.; Positano, V.; Spasiano, A.; Casini, T.; Cossu, A.; Cuccia, L.; Massa, A.; et al. Quantitative T2* MRI for bone marrow iron overload: Normal reference values and assessment in thalassemia major patients. Radiol. Med. 2022, 127, 1199–1208. [Google Scholar] [CrossRef]
- Modell, B.; Khan, M.; Darlison, M. Survival in β-thalassaemia major in the UK: Data from the UK Thalassaemia Register. Lancet 2000, 355, 2051–2052. [Google Scholar] [CrossRef] [PubMed]
- Telfer, P.; Coen, P.G.; Christou, S.; Hadjigavriel, M.; Kolnakou, A.; Pangalou, E.; Pavlides, N.; Psiloines, M.; Simamonian, K.; Skordos, G.; et al. Survival of medically treated thalassemia patients in Cyprus. Trends and risk factors over the period 1980–2004. Haematologica 2006, 91, 1187–1192. [Google Scholar] [PubMed]
- Au, W.Y.; Lee, V.; Lau, C.W.; Yau, J.; Chan, D.; Chan, E.Y.T.; Cheung, W.W.W.; Ha, S.Y.; Kho, B.; Lee, C.Y.; et al. A synopsis of current care of thalassaemia major patients in Hong Kong. Hong Kong Med. J. 2011, 17, 261–266. [Google Scholar] [PubMed]
- Kolnagou, A.; Kleanthous, M.; Kontoghiorghes, G.J. Benefits and Risks in Polypathology and Polypharmacotherapy Challenges in the Era of the Transition of Thalassaemia from a Fatal to a Chronic or Curable Disease. Front. Biosci. 2022, 14, 18. [Google Scholar] [CrossRef] [PubMed]
- Telfer, P.T.; Warburton, F.; Christou, S.; Hadjigavriel, M.; Sitarou, M.; Kolnagou, A.; Angastiniotis, M. Improved survival in tha-lassemia major patients on switching from desferrioxamine to combined chelation therapy with desferrioxamine and defer-iprone. Haematologica 2009, 94, 1777–1778. [Google Scholar] [CrossRef] [PubMed]
- Kolnagou, A.; Kontoghiorghe, C.N.; Kontoghiorghes, G.J. Transition of Thalassaemia and Friedreich ataxia from fatal to chronic diseases. World J. Methodol. 2014, 4, 197–218. [Google Scholar] [CrossRef]
- Taylor, D.M. Royal Society of Chemistry—Sixth international symposium on applied bioinorganic chemistry. IDrugs 2001, 4, 1005–1007. [Google Scholar]
- Barton, J.C. Deferasirox Novartis. Curr. Opin. Investig. Drugs 2005, 6, 327–335. [Google Scholar]
- Cappellini, M. Iron-chelating therapy with the new oral agent ICL670 (Exjade®). Best. Pract. Res. Clin. Haematol. 2005, 18, 289–298. [Google Scholar] [CrossRef]
- Agarwal, M.B. Oral iron chelation: A review with special emphasis on Indian work on deferiprone (L1). Indian. J. Pediatr. 1993, 60, 509–516. [Google Scholar] [CrossRef]
- Viprakasit, V.; Nuchprayoon, I.; Chuansumrit, A.; Torcharus, K.; Pongtanakul, B.; Laothamatas, J.; Srichairatanakool, S.; Pooliam, J.; Supajitkasem, S.; Suriyaphol, P.; et al. Deferiprone (GPO-L-ONE(®)) monotherapy reduces iron overload in transfusion-dependent thalassemias: 1-year results from a multicenter prospective, single arm, open label, dose escalating phase III pediatric study (GPO-L-ONE.; A001) from Thailand. Am. J. Hematol. 2013, 88, 251–260. [Google Scholar] [CrossRef] [PubMed]
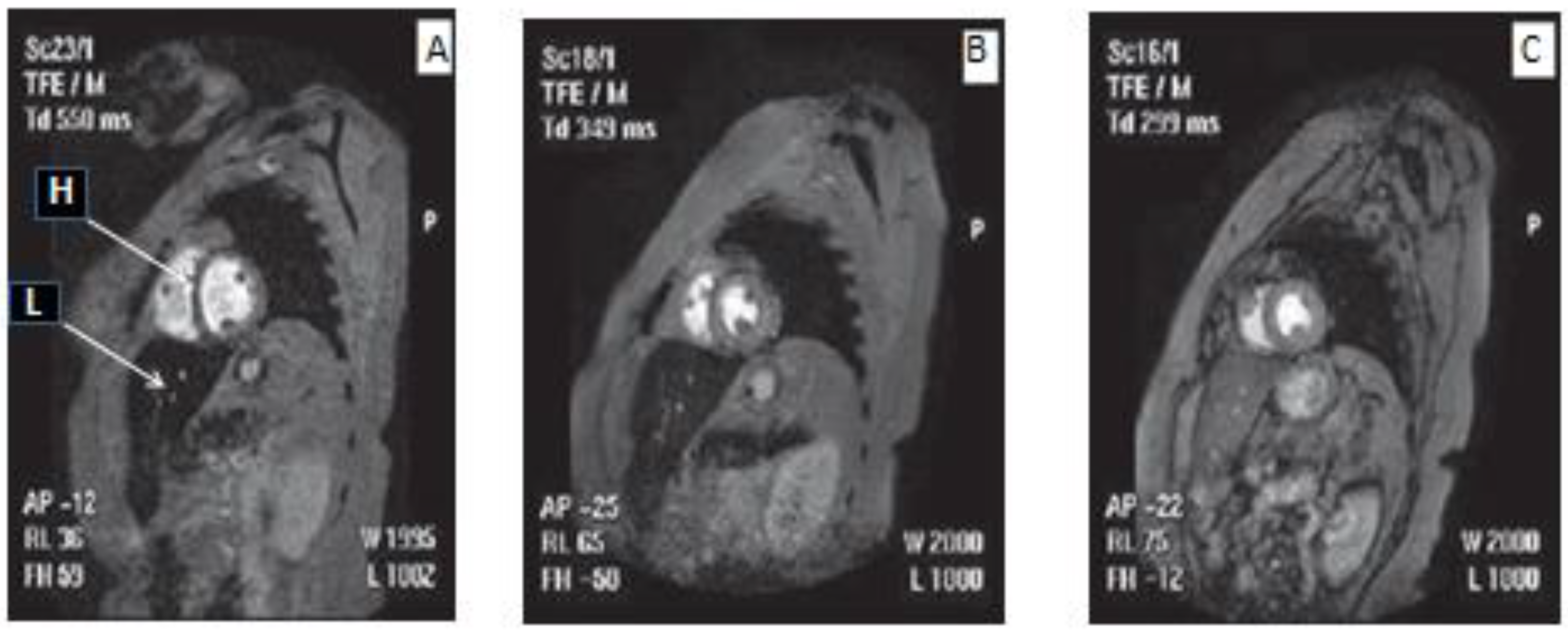
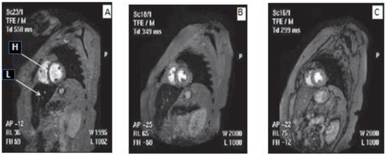
- Kolnagou, A.; Yazman, D.; Economides, C.; Eracleous, E.; Kontoghiorghes, G.J. Uses and Limitations of Serum Ferritin, Magnetic Resonance Imaging T2 and T2* in the Diagnosis of Iron Overload and in the Ferrikinetics of Normalization of the Iron Stores in Thalassemia Using the International Committee on Chelation Deferiprone/Deferoxamine Combination Protocol. Hemoglobin 2009, 33, 312–322. [Google Scholar] [CrossRef] [PubMed]
- Kolnagou, A.; Economides, C.; Eracleous, E.; Kontoghiorghes, G.J. Long Term Comparative Studies in Thalassemia Patients Treated with Deferoxamine or a Deferoxamine/Deferiprone Combination. Identification of Effective Chelation Therapy Protocols. Hemoglobin 2008, 32, 41–47. [Google Scholar] [CrossRef] [PubMed]
- Aessopos, A.; Kati, M.; Farmakis, D.; Polonifi, E.; Deftereos, S.; Tsironi, M. Intensive chelation therapy in beta-thalassemia and possible adverse cardiac effects of desferrioxamine. Int. J. Hematol. 2007, 86, 212–215. [Google Scholar] [CrossRef] [PubMed]
- Di Maggio, R.; Maggio, A. The new era of chelation treatments: Effectiveness and safety of 10 different regimens for controlling iron overloading in thalassaemia major. Br. J. Haematol. 2017, 178, 676–688. [Google Scholar] [CrossRef] [PubMed]
- Lee, P.; Mohammed, N.; Marshall, L.; Abeysinghe, R.D.; Hider, R.C.; Porter, J.B.; Singh, S. Intravenous infusion pharmacokinetics of desferrioxamine in thalassaemic patients. Drug Metab. Dispos. 1993, 21, 640–644. [Google Scholar]
- Kontoghiorghes, G.J.; Goddard, J.G.; Bartlett, A.N.; Sheppard, L. Pharmacokinetic studies in humans with the oral iron chelator 1,2-dimethyl-3-hydroxypyrid-4-one. Clin. Pharmacol. Ther. 1990, 48, 255–261. [Google Scholar] [CrossRef]
- Galanello, R.; Piga, A.; Alberti, D.; Rouan, M.-C.; Bigler, H.; Séchaud, R. Safety, tolerability, and pharmacokinetics of ICL670, a new orally active iron-chelating agent in patients with transfusion-dependent iron overload due to beta-thalassemia. J. Clin. Pharmacol. 2003, 43, 565–572. [Google Scholar]
- Piga, A.; Galanello, R.; Forni, G.L.; Cappellini, M.D.; Origa, R.; Zappu, A.; Donato, G.; Bordone, E.; Lavagetto, A.; Zanaboni, L.; et al. Randomized phase II trial of deferasirox (Exjade, ICL670), a once-daily, oral-ly-administered iron chelator, in comparison to deferoxamine in thalassemia patients with transfusional iron overload. Haematologica 2006, 91, 873–880. [Google Scholar]
- Kontoghiorghe, C.N.; Kontoghiorghes, G.J. New developments and controversies in iron metabolism and iron chelation therapy. World J. Methodol. 2016, 6, 1–19. [Google Scholar] [CrossRef]
- Mavrogeni, S.I.; Gotsis, E.D.; Markussis, V.; Tsekos, N.; Politis, C.; Vretou, E.; Kermastinos, D. T2 relaxation time study of iron overload in b-thalassemia. Magn. Reson. Mater. Phys. Biol. Med. 1998, 6, 7–12. [Google Scholar] [CrossRef] [PubMed]
- Anderson, L.; Holden, S.; Davis, B.; Prescott, E.; Charrier, C.; Bunce, N.; Firmin, D.; Wonke, B.; Porter, J.; Walker, J.; et al. Cardiovascular T2-star (T2*) magnetic resonance for the early diagnosis of myocardial iron overload. Eur. Hear. J. 2001, 22, 2171–2179. [Google Scholar] [CrossRef] [PubMed]
- Pennell, D.J. T2* Magnetic Resonance and Myocardial Iron in Thalassemia. Ann. N. Y. Acad. Sci. 2005, 1054, 373–378. [Google Scholar] [CrossRef]
- Wood, J.C. Diagnosis and management of transfusion iron overload: The role of imaging. Am. J. Hematol. 2007, 82, 1132–1135. [Google Scholar] [CrossRef] [PubMed]
- Chacko, J.; Pennell, D.J.; Tanner, M.A.; Hamblin, T.J.; Wonke, B.; Levy, T.; Thomas, P.W.; Killick, S.B. Myocardial iron loading by magnetic resonance imaging T2* in good prognostic myelodysplastic syndrome patients on long-term blood transfusions. Br. J. Haematol. 2007, 138, 587–593. [Google Scholar] [CrossRef] [PubMed]
- Bs, C.J.B.; Coates, T.D.; Wood, J.C. Spleen R2 and R2* in iron-overloaded patients with sickle cell disease and thalassemia major. J. Magn. Reson. Imaging 2009, 29, 357–364. [Google Scholar] [CrossRef]
- Kolnagou, A.; Kleanthous, M.; Kontoghiorghes, G.J. Reduction of body iron stores to normal range levels in thalassaemia by using a deferiprone/deferoxamine combination and their maintenance thereafter by deferiprone monotherapy. Eur. J. Haematol. 2010, 85, 430–438. [Google Scholar] [CrossRef]
- Farmaki, K.; Tzoumari, I.; Pappa, C.; Chouliaras, G.; Berdoukas, V. Normalisation of total body iron load with very intensive combined chelation reverses cardiac and endocrine complications of thalassaemia major. Br. J. Haematol. 2010, 148, 466–475. [Google Scholar] [CrossRef]
- Kolnagou, A.; Kontoghiorghe, C.N.; Kontoghiorghes, G.J. Prevention of Iron Overload and Long Term Maintenance of Normal Iron Stores in Thalassaemia Major Patients using Deferiprone or Deferiprone Deferoxamine Combination. Drug Res. 2017, 67, 404–411. [Google Scholar] [CrossRef]
- Kolnagou, A.; Kontoghiorghes, G.J. Maintenance of Normal Range Body Iron Store Levels for up to 4.5 Years in Thalassemia Major Patients Using Deferiprone Monotherapy. Hemoglobin 2010, 34, 204–209. [Google Scholar] [CrossRef]
- A Tanner, M.; Galanello, R.; Dessi, C.; Smith, G.C.; A Westwood, M.; Agus, A.; Pibiri, M.; Nair, S.V.; Walker, J.M.; Pennell, D.J. Combined chelation therapy in thalassemia major for the treatment of severe myocardial siderosis with left ventricular dysfunction. J. Cardiovasc. Magn. Reson. 2008, 10, 12. [Google Scholar] [CrossRef] [PubMed]
- Wood, J.C.; Kang, B.P.; Thompson, A.; Giardina, P.; Harmatz, P.; Glynos, T.; Paley, C.; Coates, T.D. The effect of deferasirox on cardiac iron in thalassemia major: Impact of total body iron stores. Blood 2010, 116, 537–543. [Google Scholar] [CrossRef] [PubMed]
- Vlachaki, E.; Agapidou, A.; Spanos, G.; Klonizakis, P.; Vetsiou, E.; Mavroudi, M.; Boura, P. Five Years of Deferasirox Therapy for Cardiac Iron in β-Thalassemia Major. Hemoglobin 2015, 39, 299–304. [Google Scholar] [CrossRef] [PubMed]
- Origa, R.; Cinus, M.; Pilia, M.P.; Gianesin, B.; Zappu, A.; Orecchia, V.; Clemente, M.G.; Pitturru, C.; Denotti, A.R.; Corongiu, F.; et al. Safety and Efficacy of the New Combination Iron Chelation Regimens in Patients with Transfusion-Dependent Thalassemia and Severe Iron Overload. J. Clin. Med. 2022, 11, 2010. [Google Scholar] [CrossRef] [PubMed]
- Kontoghiorghes, G.J.; Kolnagou, A.; Peng, C.-T.; Shah, S.V.; Aessopos, A. Safety issues of iron chelation therapy in patients with normal range iron stores including thalassaemia, neurodegenerative, renal and infectious diseases. Expert. Opin. Drug Saf. 2009, 9, 201–206. [Google Scholar] [CrossRef]
- Anonymous. Exjade (Deferasirox) Tablets for Oral Suspension. Prescribing Information. (Novartis Pharmaceutical Corporation USA (NDA 21–882). October, 2006 pp 1–12. Changes to the Warnings and Adverse Reactions Sections (www.fda.gov) 2006 and 2007). Available online: http://www.fda.gov/ohrms/dockets/ac/05/briefing/2005-4177B1_02_b.pdf (accessed on 1 December 2015).
- Anonymous. Exjade (Deferasirox) Tablets for Oral Suspension (Highlights of Prescribing Information. Novartis Pharmaceutical Corp. USA (T2011-106). August 2011: 1–16). Available online: http://www.accessdata.fda.gov/drugsatfda_docs/label/2010/021882s010lbl.pdf (accessed on 1 December 2015).
- Kontoghiorghes, G.J. A record number of fatalities in many categories of patients treated with deferasirox: Loopholes in regulatory and marketing procedures undermine patient safety and misguide public funds? Expert. Opin. Drug Saf. 2013, 12, 605–609. [Google Scholar] [CrossRef]
- Ramaswami, A.; Rosen, D.J.; Chu, J.; Wistinghausen, B.; Arnon, R. Fulminant Liver Failure in a Child With β-Thalassemia on De-ferasirox: A Case Report. J. Pediatr. Hematol. Oncol. 2017, 39, 235–237. [Google Scholar] [CrossRef]
- Kontoghiorghes, G.J. A Record of 1320 Suspect, Deferasirox-Related, Patient Deaths Reported In 2009: Insufficient Toxicity Testing, Low Efficacy and Lack of Transparency May Endanger the Lives of Iron Loaded Patients. Hemoglobin 2011, 35, 301–311. [Google Scholar] [CrossRef]
- Kontoghiorghes, G.J.; Neocleous, K.; Kolnagou, A. Benefits and risks of deferiprone in iron overload in Thalassaemia and other conditions: Comparison of epidemiological and therapeutic aspects with deferoxamine. Drug Saf. 2003, 26, 553–584. [Google Scholar] [CrossRef]
- Boelaert, J.R.; Fenves, A.Z.; Coburn, J.W. Deferoxamine therapy and mucormycosis in dialysis patients: Report of an interna-tional registry. Am. J. Kidney Dis. 1991, 18, 660–667. [Google Scholar] [CrossRef]
- Orton, R.B.; De Veber, L.L.; Sulh, H.M. Ocular and auditory toxicity of long-term, high-dose subcutaneous deferoxamine therapy. Can. J. Ophthalmol. 1985, 20, 153–156. [Google Scholar] [PubMed]
- Cases, A.; Kelly, J.; Sabater, F.; Torras, A.; Griño, C.; Lopez-Pedret, J.; Revert, L. Ocular and Auditory Toxicity in Hemodialyzed Patients Receiving Desferrioxamine. Nephron 1990, 56, 19–23. [Google Scholar] [CrossRef] [PubMed]
- Boddaert, N.; Le Quan Sang, K.H.; Rötig, A.; Leroy-Willig, A.; Gallet, S.; Brunelle, F.; Sidi, D.; Thalabard, J.C.; Munnich, A.; Cabantchik, Z.I. Selective iron chelation in Friedreich ataxia: Biologic and clinical implications. Blood 2007, 110, 401–408. [Google Scholar] [CrossRef] [PubMed]
- Rajapurkar, M.M.; Hegde, U.; Bhattacharya, A.; Alam, M.G.; Shah, S.V. Effect of deferiprone, an oral iron chelator, in diabetic and non-diabetic glomerular disease. Toxicol. Mech. Methods 2013, 23, 5–10. [Google Scholar] [CrossRef]
- Cohen, A.R.; Galanello, R.; Piga, A.; De Sanctis, V.; Tricta, F. Safety and effectiveness of long-term therapy with the oral iron chelator deferiprone. Blood 2003, 102, 1583–1587. [Google Scholar] [CrossRef]
- Vlachaki, E.; Tselios, K.; Perifanis, V.; Tsatra, I.; Tsayas, I. Deferiprone-related arthropathy of the knee in a thalassemic patient: Report of a case and review of the literature. Clin. Rheumatol. 2008, 27, 1459–1461. [Google Scholar] [CrossRef]
- Al-Refaie, F.N.; Wonke, B.; Wickens, D.G.; Aydinok, Y.; Fielding, A.; Hoffbrand, A.V. Zinc concentration in patients with iron overload receiving oral iron chelator 1,2-dimethyl-3-hydroxypyrid-4-one or desferrioxamine. J. Clin. Pathol. 1994, 47, 657–660. [Google Scholar] [CrossRef]
- Kolnagou, A.; Kleanthous, M.; Kontoghiorghes, G.J. Efficacy, compliance and toxicity factors are affecting the rate of nor-malization of body iron stores in thalassemia patients using the deferiprone and deferoxamine combination therapy. Hemo-globin 2011, 35, 186–198. [Google Scholar]
- Chang, Y.-H.; Shaw, C.-F.; Wu, K.-H.; Hsieh, K.-H.; Su, Y.-N.; Lu, P.-J. Treatment with Deferiprone for Iron Overload Alleviates Bone Marrow Failure in a Fanconi Anemia Patient. Hemoglobin 2009, 33, 346–351. [Google Scholar] [CrossRef]
- Berdoukas, V.; Nord, A.; Carson, S.; Puliyel, M.; Hofstra, T.; Wood, J.; Coates, T.D. Tissue iron evaluation in chronically transfused children shows significant levels of iron loading at a very young age. Am. J. Hematol. 2013, 88, E283–E285. [Google Scholar] [CrossRef]
- Zhang, R.; Han, B. Dose of deferasirox correlates with its effects, which differ between low-risk myelodysplastic syndrome and aplastic anaemia. J. Clin. Pharm. Ther. 2022, 47, 1619–1626. [Google Scholar] [CrossRef] [PubMed]
- Dézsi, L.; Vécsei, L. Clinical implications of irregular ADMET properties with levodopa and other antiparkinson’s drugs. Expert. Opin. Drug Metab. Toxicol. 2014, 10, 409–424. [Google Scholar] [CrossRef] [PubMed]
- Basch, E. Toward Patient-Centered Drug Development in Oncology. N. Engl. J. Med. 2013, 369, 397–400. [Google Scholar] [CrossRef] [PubMed]
- Maggio, A.; Vitrano, A.; Lucania, G.; Capra, M.; Cuccia, L.; Gagliardotto, F.; Pitrolo, L.; Prossomariti, L.; Filosa, A.; Caruso, V.; et al. Long-term use of deferiprone significantly enhances left-ventricular ejection function in thalassemia major patients. Am. J. Hematol. 2012, 87, 732–733. [Google Scholar] [CrossRef] [PubMed]
- Kontoghiorghes, G.J. How to manage iron toxicity in post-allogeneic hematopoietic stem cell transplantation? Expert. Rev. Hematol. 2020, 13, 299–302. [Google Scholar] [CrossRef] [PubMed]
- Kontoghiorghes, G.J. Advances in oral iron chelation in man. Int. J. Hematol. 1992, 55, 27–38. [Google Scholar] [PubMed]
- Kolnagou, A.; Kontoghiorghes, G.J. New golden era of chelation therapy in thalassaemia: The achievement and maintenance of normal range body iron stores. Br. J. Haematol. 2010, 150, 489–490. [Google Scholar] [CrossRef]
- Aydinok, Y.; Kattamis, A.; Cappellini, M.D.; El-Beshlawy, A.; Origa, R.; Elalfy, M.; Kilinç, Y.; Perrotta, S.; Karakas, Z.; Viprakasit, V.; et al. Effects of deferasirox-deferoxamine on myocardial and liver iron in patients with severe transfusional iron overload. Blood 2015, 125, 3868–3877. [Google Scholar] [CrossRef]
- Elalfy, M.S.; Adly, A.M.; Wali, Y.; Tony, S.; Samir, A.; Elhenawy, Y.I. Efficacy and safety of a novel combination of two oral chelators deferasirox/deferiprone over deferoxamine/deferiprone in severely iron overloaded young beta thalassemia major patients. Eur. J. Haematol. 2015, 95, 411–420. [Google Scholar] [CrossRef]
- Pootrakul, P.; Sirankapracha, P.; Sankote, J.; Kachintorn, U.; Maungsub, W.; Sriphen, K.; Thakernpol, K.; Atisuk, K.; Fucharoen, S.; Chantraluksri, U.; et al. Clinical trial of deferiprone iron chelation therapy in be-ta-thalassaemia/haemoglobin E patients in Thailand. Br. J. Haematol. 2003, 122, 305–310. [Google Scholar] [CrossRef]
- Chan, J.C.W.; Chim, C.-S.; Ooi, C.G.C.; Cheung, B.; Liang, R.; Chan, T.-K.; Chan, V. Use of the oral chelator deferiprone in the treatment of iron overload in patients with Hb H disease. Br. J. Haematol. 2006, 133, 198–205. [Google Scholar] [CrossRef] [PubMed]
- Calvaruso, G.; Vitrano, A.; Di Maggio, R.; Lai, E.; Colletta, G.; Quota, A.; Gerardi, C.; Rigoli, L.C.; Sacco, M.; Pitrolo, L.; et al. Deferiprone versus deferoxamine in thalassemia intermedia: Results from a 5-year long-term Italian multicenter randomized clinical trial. Am. J. Hematol. 2015, 90, 634–638. [Google Scholar] [CrossRef] [PubMed]
- Fabio, G.; Minonzio, F.; Delbini, P.; Bianchi, A.; Cappellini, M.D. Reversal of cardiac complications by deferiprone and deferoxamine combination therapy in a patient affected by a severe type of juvenile hemochromatosis (JH). Blood 2007, 109, 362–364. [Google Scholar] [CrossRef] [PubMed]
- Taher, A.T.; Porter, J.; Viprakasit, V.; Kattamis, A.; Chuncharunee, S.; Sutcharitchan, P.; Siritanaratkul, N.; Galanello, R.; Karakas, Z.; Lawniczek, T.; et al. Deferasirox reduces iron overload significantly in nontransfu-sion-dependent thalassemia: 1-year results from a prospective, randomized, double-blind, placebo-controlled study. Blood 2012, 120, 970–977. [Google Scholar] [CrossRef] [PubMed]
- Al-Khabori, M.; Bhandari, S.; Al-Huneini, M.; Al-Farsi, K.; Panjwani, V.; Daar, S. Side effects of Deferasirox Iron Chelation in Patients with Beta Thalassemia Major or Intermedia. Oman Med. J. 2013, 28, 121–124. [Google Scholar] [CrossRef]
- Dee, C.M.; Cheuk, D.K.; Ha, S.Y.; Chiang, A.K.; Chan, G.C. Incidence of deferasirox-associated renal tubular dysfunction in chil-dren and young adults with beta-thalassaemia. Br. J. Haematol. 2014, 167, 434–436. [Google Scholar] [CrossRef]
- Chuang, G.T.; Tsai, I.J.; Tsau, Y.K.; Lu, M.Y. Transfusion-dependent thalassemic patients with renal Fanconi syndrome due to deferasirox use. Nephrology 2015, 20, 931–935. [Google Scholar] [CrossRef]
- Naderi, M.; Sadeghi-Bojd, S.; Valeshabad, A.K.; Jahantigh, A.; Alizadeh, S.; Dorgalaleh, A.; Tabibian, S.; Bamedi, T. A Prospective Study of Tubular Dysfunction in Pediatric Patients with Beta Thalassemia Major Receiving Deferasirox. Pediatr. Hematol. Oncol. 2013, 30, 748–754. [Google Scholar] [CrossRef]
- Devos, D.; Labreuche, J.; Rascol, O.; Corvol, J.-C.; Duhamel, A.; Delannoy, P.G.; Poewe, W.; Compta, Y.; Pavese, N.; Růžička, E.; et al. Trial of Deferiprone in Parkinson’s Disease. N. Engl. J. Med. 2022, 387, 2045–2055. [Google Scholar] [CrossRef]
- Devos, D.; Studygroups, T.F.-I.A.F.-I.; Cabantchik, Z.I.; Moreau, C.; Danel, V.; Mahoney-Sanchez, L.; Bouchaoui, H.; Gouel, F.; Rolland, A.-S.; Duce, J.A.; et al. Conservative iron chelation for neurodegenerative diseases such as Parkinson’s disease and amyotrophic lateral sclerosis. J. Neural Transm. 2020, 127, 189–203. [Google Scholar] [CrossRef]
- Martin-Bastida, A.; Ward, R.J.; Newbould, R.; Piccini, P.; Sharp, D.; Kabba, C.; Patel, M.C.; Spino, M.; Connelly, J.; Tricta, F.; et al. Brain iron chelation by deferiprone in a phase 2 randomised double-blinded placebo controlled clinical trial in Parkinson’s disease. Sci. Rep. 2017, 7, 1398. [Google Scholar] [CrossRef] [PubMed]
- Chuang, T.-Y.; Li, J.-P.; Weng, T.-F.; Wu, K.-H.; Chao, Y.-H. Combined chelation with high-dose deferiprone and deferoxamine to improve survival and restore cardiac function effectively in patients with transfusion-dependent thalassemia presenting severe cardiac complications. Ann. Hematol. 2020, 99, 2289–2294. [Google Scholar] [CrossRef] [PubMed]
- Binding, A.; Ward, R.; Tomlinson, G.; Kuo, K.H.M. Deferiprone exerts a dose-dependent reduction of liver iron in adults with iron overload. Eur. J. Haematol. 2019, 103, 80–87. [Google Scholar] [CrossRef] [PubMed]
- De Virgiliis, S.; Congia, M.; Turco, M.P.; Frau, F.; Dessi, C.; Argiolou, F.; Sorcinelli, R.; Sitzia, A.; Cao, A. Depletion of trace ele-ments and acute occular toxicity induced by desferrioxamine in patients with thalassaemia. Arch. Dis. Child. 1988, 63, 250–255. [Google Scholar] [CrossRef]
- Kontoghiorghes, G.; Sheppard, L.; Aldouri, M.; Hoffbrand, A. 1,2-dimethyl-3-hydroxypyrid-4-one, an orally active chelator for treatment of iron overload. Lancet 1987, 329, 1294–1295. [Google Scholar] [CrossRef] [PubMed]
- Kontoghiorghes, G.J.; A Aldouri, M.; Hoffbrand, A.V.; Barr, J.; Wonke, B.; Kourouclaris, T.; Sheppard, L. Effective chelation of iron in beta thalassaemia with the oral chelator 1,2-dimethyl-3-hydroxypyrid-4-one. BMJ 1987, 295, 1509–1512. [Google Scholar] [CrossRef] [PubMed]
- Vreugdenhil, G.; Swaak, A.; Kontoghiorghes, G.; Van Eijk, H. Efficacy and safety of oral iron chelator l1 in anaemic rheumatoid arthritis patients. Lancet 1989, 334, 1398–1399. [Google Scholar] [CrossRef]
- Kontoghiorghes, G.J.; Bartlett, A.N.; Hoffbrand, A.V.; Goddard, J.G.; Sheppard, L.; Barr, J.; Nortey, P. Long-term trial with the oral iron chelator 1,2-dimethyl-3-hydroxypyrid-4-one (L1) I. Iron Chelation and Metabolic Studies. Br. J. Haematol. 1990, 76, 295–300. [Google Scholar] [CrossRef]
- Saxena, D.; Spino, M.; Tricta, F.; Connelly, J.; Cracchiolo, B.M.; Hanauske, A.-R.; Gandolfi, D.D.; Mathews, M.B.; Karn, J.; Holland, B.; et al. Drug-Based Lead Discovery: The Novel Ablative Antiretroviral Profile of Deferiprone in HIV-1-Infected Cells and in HIV-Infected Treatment-Naive Subjects of a Double-Blind, Placebo-Controlled, Randomized Exploratory Trial. PLoS ONE 2016, 11, e0154842. [Google Scholar] [CrossRef]
- Mohanty, D.; Ghosh, K.; Pathare, A.V.; Karnad, D. Deferiprone (L1) as an adjuvant therapy for Plasmodium falciparum malaria. Indian J. Med. Res. 2002, 115, 17–21. [Google Scholar]
- Elalfy, M.S.; Saber, M.M.; Adly, A.A.M.; Ismail, E.A.; Tarif, M.; Ibrahim, F.; Elalfy, O.M. Role of vitamin C as an adjuvant therapy to different iron chelators in young β-thalassemia major patients: Efficacy and safety in relation to tissue iron overload. Eur. J. Haematol. 2016, 96, 318–326. [Google Scholar] [CrossRef]
- Conte, D.; Brunelli, L.; Ferrario, L.; Mandelli, C.; Quatrini, M.; Velio, P.; Bianchi, P.A. Effect of Ascorbic Acid on Desferrioxamine-Induced Urinary Iron Excretion in Idiopathic Hemochromatosis. Acta Haematol. 1984, 72, 117–120. [Google Scholar] [CrossRef] [PubMed]
- Moayedi, B.; Gharagozloo, M.; Esmaeil, N.; Maracy, M.R.; Hoorfar, H.; Jalaeikar, M. A randomized double-blind, placebo-controlled study of therapeutic effects of silymarin in β-thalassemia major patients receiving desferrioxamine. Eur. J. Haematol. 2013, 90, 202–209. [Google Scholar] [CrossRef]
- Polat, C.; Tokyol, C.; Kahraman, A.; Sabuncuoğlu, B.; Yìlmaz, S. The effects of desferrioxamine and quercetin on hepatic ische-mia-reperfusion induced renal disturbance. Prostaglandins Leukot. Essent. Fatty Acids. 2006, 74, 379–383. [Google Scholar] [CrossRef] [PubMed]
- Kontoghiorghe, C.N.; Kolnagou, A.; Kontoghiorghes, G.J. Phytochelators Intended for Clinical Use in Iron Overload, Other Diseases of Iron Imbalance and Free Radical Pathology. Molecules 2015, 20, 20841–20872. [Google Scholar] [CrossRef] [PubMed]
- Constantoulakis, M.; Economidou, J.; Karagiorga, M.; Katsantoni, A.; Gyftaki, E. Combined long-term treatment of hemosiderosis with desferioxamine and DTPA in homozygous beta-thalassemia. Ann. N. Y. Acad. Sci. 1974, 232, 193–200. [Google Scholar] [CrossRef]
- Sheppard, L.N.; Kontoghiorghes, G.J. Competition between deferiprone, desferrioxamine and other chelators for iron and the effect of other metals. Arzneimittelforschung 1993, 43, 659–663. [Google Scholar]
- Blanusa, M.; Varnai, V.M.; Piasek, M.; Kostial, K. Chelators as Antidotes of Metal Toxicity: Therapeutic and Experimental Aspects. Curr. Med. Chem. 2005, 12, 2771–2794. [Google Scholar] [CrossRef]
- Kontoghiorghes, G.J. New Iron Metabolic Pathways and Chelation Targeting Strategies Affecting the Treatment of All Types and Stages of Cancer. Int. J. Mol. Sci. 2022, 23, 13990. [Google Scholar] [CrossRef]
- Kontoghiorghes, G.J.; Kolnagou, A.; Demetriou, T.; Neocleous, M.; Kontoghiorghe, C.N. New Era in the Treatment of Iron Deficiency Anaemia Using Trimaltol Iron and Other Lipophilic Iron Chelator Complexes: Historical Perspectives of Discovery and Future Applications. Int. J. Mol. Sci. 2021, 22, 5546. [Google Scholar] [CrossRef]
- Kontoghiorghes, G.J.; Kontoghiorghe, C.N. Prospects for the introduction of targeted antioxidant drugs for the prevention and treatment of diseases related to free radical pathology. Expert. Opin. Investig. Drugs 2019, 28, 593–603. [Google Scholar] [CrossRef] [PubMed]
- Dixon, S.J.; Lemberg, K.M.; Lamprecht, M.R.; Skouta, R.; Zaitsev, E.M.; Gleason, C.E.; Patel, D.N.; Bauer, A.J.; Cantley, A.M.; Yang, W.S.; et al. Ferroptosis: An Iron-Dependent Form of Nonapoptotic Cell Death. Cell 2012, 149, 1060–1072. [Google Scholar] [CrossRef]
- Xie, Y.; Hou, W.; Song, X.; Yu, Y.; Huang, J.; Sun, X.; Kang, R.; Tang, D. Ferroptosis: Process and function. Cell Death Differ. 2016, 23, 369–379. [Google Scholar] [CrossRef] [PubMed]
- Costa, I.; Barbosa, D.J.; Benfeito, S.; Silva, V.; Chavarria, D.; Borges, F.; Remião, F.; Silva, R. Molecular mechanisms of ferroptosis and their involvement in brain diseases. Pharmacol. Ther. 2023, 244, 108373. [Google Scholar] [CrossRef] [PubMed]
- Cao, J.Y.; Dixon, S.J. Mechanisms of ferroptosis. Cell Mol. Life Sci. 2016, 73, 2195–2209. [Google Scholar] [CrossRef]
- Lu, B.; Chen, X.B.; Ying, M.D.; He, Q.J.; Cao, J.; Yang, B. The Role of Ferroptosis in Cancer Development and Treatment Response. Front. Pharmacol. 2018, 8, 992. [Google Scholar] [CrossRef]
- Li, G.; Liang, Y.; Yang, H.; Zhang, W.; Xie, T. The Research Landscape of Ferroptosis in Cancer: A Bibliometric Analysis. Front. Cell Dev. Biol. 2022, 10, 841724. [Google Scholar] [CrossRef]
- Wang, D.; Tang, L.; Zhang, Y.; Ge, G.; Jiang, X.; Mo, Y.; Wu, P.; Deng, X.; Li, L.; Zuo, S.; et al. Regulatory pathways and drugs associated with ferroptosis in tumors. Cell Death Dis. 2022, 13, 544. [Google Scholar] [CrossRef]
- Liu, L.; Li, L.; Li, M.; Luo, Z. Autophagy-Dependent Ferroptosis as a Therapeutic Target in Cancer. ChemMedChem 2021, 16, 2942–2950. [Google Scholar] [CrossRef]
- Xiao, L.; Huang, H.; Fan, S.; Zheng, B.; Wu, J.; Zhang, J.; Pi, J.; Xu, J.-F. Ferroptosis: A mixed blessing for infectious diseases. Front. Pharmacol. 2022, 13, 992734. [Google Scholar] [CrossRef]
- Lin, Y.; Xu, W.; Hou, Y.; Wang, S.; Zhang, H.; Ran, M.; Huang, Y.; Wang, Y.; Yang, G. The multifaceted role of ferroptosis in kidney diseases. Chem. Interact. 2022, 365, 110107. [Google Scholar] [CrossRef]
- Wang, K.; Chen, X.-Z.; Wang, Y.-H.; Cheng, X.-L.; Zhao, Y.; Zhou, L.-Y.; Wang, K. Emerging roles of ferroptosis in cardiovascular diseases. Cell Death Discov. 2022, 8, 394. [Google Scholar] [CrossRef]
- Thapa, K.; Khan, H.; Kanojia, N.; Singh, T.G.; Kaur, A.; Kaur, G. Therapeutic Insights on Ferroptosis in Parkinson’s disease. Eur. J. Pharmacol. 2022, 930, 175133. [Google Scholar] [CrossRef]
- Jacobs, W.; Lammens, M.; Kerckhofs, A.; Voets, E.; Van San, E.; Van Coillie, S.; Peleman, C.; Mergeay, M.; Sirimsi, S.; Matheeussen, V.; et al. Fatal lymphocytic cardiac damage in coronavirus disease 2019 (COVID-19): Autopsy reveals a ferroptosis signature. ESC Heart Fail. 2020, 7, 3772–3781. [Google Scholar] [CrossRef] [PubMed]
- Rayatpour, A.; Foolad, F.; Heibatollahi, M.; Khajeh, K.; Javan, M. Ferroptosis inhibition by deferiprone, attenuates myelin damage and promotes neuroprotection in demyelinated optic nerve. Sci. Rep. 2022, 12, 19630. [Google Scholar] [CrossRef]
- Jia, H.; Liu, X.; Cao, Y.; Niu, H.; Zhang, L.; Li, R.; Li, F.; Sun, D.; Shi, M.; Wa, L.; et al. Deferoxamine ameliorates neurological dysfunction by inhibiting ferroptosis and neuroinflammation after traumatic brain injury. Brain Res. 2023, 1812, 148383. [Google Scholar] [CrossRef] [PubMed]
- Jomen, W.; Ohtake, T.; Akita, T.; Suto, D.; Yagi, H.; Osawa, Y.; Kohgo, Y. Iron chelator deferasirox inhibits NF-κB activity in hepatoma cells and changes sorafenib-induced programmed cell deaths. Biomed. Pharmacother. 2022, 153, 113363. [Google Scholar] [CrossRef] [PubMed]
- Wen, J.; Yang, F.; Fang, C.X.; Chen, H.L.; Yang, L. Sulforaphane triggers iron overload-mediated ferroptosis in gastric carcinoma cells by activating the PI3K/IRP2/DMT1 pathway. Hum. Exp. Toxicol. 2023, 42, 9603271231177295. [Google Scholar] [CrossRef] [PubMed]
- Yao, F.; Peng, J.; Zhang, E.; Ji, D.; Gao, Z.; Tang, Y.; Yao, X.; Xia, X. Pathologically high intraocular pressure disturbs normal iron ho-meostasis and leads to retinal ganglion cell ferroptosis in glaucoma. Cell Death Differ. 2023, 30, 69–81. [Google Scholar] [CrossRef] [PubMed]
- Sun, Y.; Kinsela, A.S.; Waite, T.D. Elucidation of alveolar macrophage cell response to coal dusts: Role of ferroptosis in pathogenesis of coal workers’ pneumoconiosis. Sci. Total Environ. 2022, 823, 153727. [Google Scholar] [CrossRef]
- Wu, J.; Yang, J.-J.; Cao, Y.; Li, H.; Zhao, H.; Yang, S.; Li, K. Iron overload contributes to general anaesthesia-induced neurotoxicity and cognitive deficits. J. Neuroinflammation 2020, 17, 110. [Google Scholar] [CrossRef]
- Masaldan, S.; Clatworthy, S.A.; Gamell, C.; Meggyesy, P.M.; Rigopoulos, A.-T.; Haupt, S.; Haupt, Y.; Denoyer, D.; Adlard, P.A.; Bush, A.I.; et al. Iron accumulation in senescent cells is coupled with impaired ferritinophagy and inhibition of ferroptosis. Redox Biol. 2018, 14, 100–115. [Google Scholar] [CrossRef] [PubMed]
- Maheshwari, S. Ferroptosis Signaling Pathways: Alzheimer’s Disease. Horm. Metab. Res. 2023. [Google Scholar] [CrossRef] [PubMed]
- Morris, G.; Berk, M.; Carvalho, A.F.; Maes, M.; Walker, A.J.; Puri, B.K. Why should neuroscientists worry about iron? The emerging role of ferroptosis in the pathophysiology of neuroprogressive diseases. Behav. Brain Res. 2018, 341, 154–175. [Google Scholar] [CrossRef]
- Chen, Y.; Li, X.; Wang, S.; Miao, R.; Zhong, J. Targeting Iron Metabolism and Ferroptosis as Novel Therapeutic Approaches in Cardiovascular Diseases. Nutrients 2023, 15, 591. [Google Scholar] [CrossRef]
- Li, Y.; Yang, Y.; Guo, T.; Weng, C.; Yang, Y.; Wang, Z.; Zhang, L.; Li, W. Heme oxygenase-1 determines the cell fate of ferroptotic death of alveolar macrophages in COPD. Front. Immunol. 2023, 14, 1162087. [Google Scholar] [CrossRef] [PubMed]
- Liu, X.; Pan, B.; Wang, X.; Xu, J.; Wang, X.; Song, Z.; Zhang, E.; Wang, F.; Wang, W. Ischemia/reperfusion-activated ferroptosis in the early stage triggers excessive inflammation to aggregate lung injury in rats. Front. Med. 2023, 10, 1181286. [Google Scholar] [CrossRef]
- Besskaya, V.; Zhang, H.; Bian, Y.; Liang, J.; Bi, G.; Shan, G.; Zhan, C.; Lin, Z. Hepatic nuclear factor 4 alpha promotes the ferroptosis of lung adenocarcinoma via transcriptional activation of cytochrome P450 oxidoreductase. PeerJ 2023, 11, e15377. [Google Scholar] [CrossRef]
- Hu, C.Y.; Wu, H.T.; Shan, Y.S.; Wang, C.T.; Shieh, G.S.; Wu, C.L.; Ou, H.Y. Evodiamine Exhibits Anti-Bladder Cancer Activity by Sup-pression of Glutathione Peroxidase 4 and Induction of Ferroptosis. Int. J. Mol. Sci. 2023, 24, 6021. [Google Scholar] [CrossRef]
- Yu, L.; Lv, Z.; Li, S.; Jiang, H.; Han, B.; Zheng, X.; Liu, Y.; Zhang, Z. Chronic arsenic exposure induces ferroptosis via enhancing ferri-tinophagy in chicken livers. Sci. Total Environ. 2023, 890, 164172. [Google Scholar] [CrossRef]
- Manabe, E.; Ito, S.; Ohno, Y.; Tanaka, T.; Naito, Y.; Sasaki, N.; Asakura, M.; Masuyama, T.; Ishihara, M.; Tsujino, T. Reduced lifespan of erythrocytes in Dahl/Salt sensitive rats is the cause of the renal proximal tubule damage. Sci. Rep. 2020, 10, 22023. [Google Scholar] [CrossRef]
- Weinberg, E.D. Iron depletion: A defense against intracellular infection and neoplasia. Life Sci. 1992, 50, 1289–1297. [Google Scholar] [CrossRef]
- Kontoghiorghes, G.J.; Weinberg, E.D. Iron: Mammalian defense systems, mechanisms of disease, and chelation therapy ap-proaches. Blood Rev. 1995, 9, 33–45. [Google Scholar] [CrossRef]
- Kontoghiorghes, G.J.; Kolnagou, A.; Skiada, A.; Petrikkos, G. The Role of Iron and Chelators on Infections in Iron Overload and Non Iron Loaded Conditions: Prospects for the Design of New Antimicrobial Therapies. Hemoglobin 2010, 34, 227–239. [Google Scholar] [CrossRef]
- Brock, J.H.; Licéaga, J.; Kontoghiorghes, G.J. The effect of synthetic iron chelators on bacterial growth in human serum. FEMS Microbiol. Immunol. 1988, 1, 55–60. [Google Scholar] [CrossRef]
- Kontoghiorghes, G.J.; Kontoghiorghe, C.N. Iron and Chelation in Biochemistry and Medicine: New Approaches to Controlling Iron Metabolism and Treating Related Diseases. Cells 2020, 9, 1456. [Google Scholar] [CrossRef]
- Tolani, D.; Wilcox, J.; Shyam, S.; Bansal, N. Cardio-oncology for Pediatric and Adolescent/Young Adult Patients. Curr. Treat. Options Oncol. 2023, 24, 1052–1070. [Google Scholar] [CrossRef] [PubMed]
- de Baat, E.C.; Mulder, R.L.; Armenian, S.; Feijen, E.A.; Grotenhuis, H.; Hudson, M.M.; MC Mavinkurve-Groothuis, A.; Kremer, L.C.; van Dalen, E.C. Dexrazoxane for preventing or reducing cardiotoxicity in adults and children with cancer receiving anthracyclines. Cochrane Database Syst. Rev. 2022, 2022, CD014638. [Google Scholar] [CrossRef] [PubMed]
- Rahimi, P.; Barootkoob, B.; ElHashash, A.; Nair, A. Efficacy of Dexrazoxane in Cardiac Protection in Pediatric Patients Treated With Anthracyclines. Cureus 2023, 15, e37308. [Google Scholar] [CrossRef] [PubMed]
- Mody, H.; Vaidya, T.R.; Ait-Oudhia, S. In vitro to clinical translational pharmacokinetic/pharmacodynamic modeling of doxoru-bicin (DOX) and dexrazoxane (DEX) interactions: Safety assessment and optimization. Sci. Rep. 2023, 13, 3100. [Google Scholar] [CrossRef] [PubMed]
- Khairnar, S.I.; Kulkarni, Y.A.; Singh, K. Cardiotoxicity linked to anticancer agents and cardioprotective strategy. Arch. Pharmacal Res. 2022, 45, 704–730. [Google Scholar] [CrossRef] [PubMed]
- Lapointe, M.O.; Caru, M.; Curnier, D.; Raboisson, M.J.; Andelfinger, G.; Krajinovic, M.; Laverdière, C.; Sinnett, D.; Périé, D. Dexrazoxane Treatments Limits Subclinical Cardiac Dysfunction in Childhood Acute Lymphoblastic Leukemia Survivors Exposed to Dox-orubicin Treatments. J. Pediatr. Hematol. Oncol. 2023, 45, 70–77. [Google Scholar] [CrossRef] [PubMed]
- de Baat, E.C.; van Dalen, E.C.; Mulder, R.L.; Hudson, M.M.; Ehrhardt, M.J.; Engels, F.K.; Feijen, E.A.M.; Grotenhuis, H.B.; Leerink, J.M.; Kapusta, L.; et al. Primary cardioprotection with dexrazoxane in patients with childhood cancer who are expected to receive anthracyclines: Recommendations from the International Late Effects of Childhood Cancer Guideline Harmonization Group. Lancet Child. Adolesc. Health 2022, 6, 885–894. [Google Scholar] [CrossRef] [PubMed]
- Stěrba, M.; Popelová, O.; Vávrová, A.; Jirkovský, E.; Kovaříková, P.; Geršl, V.; Simůnek, T. Oxidative stress, redox signaling, and metal chelation in anthracycline cardiotoxicity and pharmacological cardioprotection. Antioxid. Redox Signal. 2013, 18, 899–929. [Google Scholar] [CrossRef] [PubMed]
- Kovaříková, P.; Stariat, J.; Klimeš, J.; Hrušková, K.; Vávrová, K. Hydrophilic interaction liquid chromatography in the separation of a moderately lipophilic drug from its highly polar metabolites--the cardioprotectant dexrazoxane as a model case. J. Chromatogr. A 2011, 1218, 416–426. [Google Scholar] [CrossRef]
- Popelová, O.; Sterba, M.; Hasková, P.; Simůnek, T.; Hroch, M.; Guncová, I.; Nachtigal, P.; Adamcová, M.; Gersl, V.; Mazurová, Y. Dex-razoxane-afforded protection against chronic anthracycline cardiotoxicity in vivo: Effective rescue of cardiomyocytes from apoptotic cell death. Br. J. Cancer 2009, 101, 792–802. [Google Scholar] [CrossRef]
- Park, M.V. Complex formation between iron (III) and some substituted salicylic acids. Chem. Soc. A 1966, 816–820. [Google Scholar] [CrossRef]
- Pecci, J.; Foye, W.O. The Avidity of Salicylic, Gentisic, and Salicyluric Acids for Heavy Metal Cations. J. Am. Pharm. Assoc. (Sci. Ed.) 1960, 49, 411–414. [Google Scholar] [CrossRef]
- Dotto, C.; Serrat, A.L.; Cattelan, N.; Barbagelata, M.S.; Yantorno, O.M.; Sordelli, D.O.; Ehling-Schulz, M.; Grunert, T.; Buzzola, F.R. The Active Component of Aspirin, Salicylic Acid, Promotes Staphylococcus aureus Biofilm Formation in a PIA-dependent Manner. Front. Microbiol. 2017, 8, 4. [Google Scholar] [CrossRef]
- Kattamis, A.; Kwiatkowski, J.L.; Aydinok, Y. Thalassaemia. Lancet 2022, 399, 2310–2324. [Google Scholar] [CrossRef]
- Cohen, A.R. Iron chelation therapy: You gotta have heart. Blood 2010, 115, 2333–2334. [Google Scholar] [CrossRef]
- Kwiatkowski, J.L. Clinical Challenges with Iron Chelation in Beta Thalassemia. Hematol. Clin. N. Am. 2023, 37, 379–391. [Google Scholar] [CrossRef] [PubMed]
- Bergeron, R.J.; Wiegand, J.; Bharti, N.; McManis, J.S.; Singh, S. Desferrithiocin analogue iron chelators: Iron clearing efficiency, tissue distribution, and renal toxicity. BioMetals 2011, 24, 239–258. [Google Scholar] [CrossRef] [PubMed][Green Version]
- Manganas, K.; Delicou, S.; Xydaki, A.; Koskinas, J. Iron Chelators, Such as Deferasirox, When Combined With Hydroxyurea, Provide an Additional Benefit of Iron Chelation in Patients Receiving Chronic Transfusion Therapy. Hemoglobin 2022, 46, 114–117. [Google Scholar] [CrossRef] [PubMed]
- Konstantinou, E.; Pashalidis, I.; Kolnagou, A.; Kontoghiorghes, G.J. Interactions Of Hydroxycarbamide (Hydroxyurea) With Iron And Copper: Implications On Toxicity and Therapeutic Strategies. Hemoglobin 2011, 35, 237–246. [Google Scholar] [CrossRef]
- Pepe, A.; Rossi, G.; Bentley, A.; Putti, M.C.; Frizziero, L.; D’ascola, D.G.; Cuccia, L.; Spasiano, A.; Filosa, A.; Caruso, V.; et al. Cost-Utility Analysis of Three Iron Chelators Used in Monotherapy for the Treatment of Chronic Iron Overload in β-Thalassaemia Major Patients: An Italian Perspective. Clin. Drug Investig. 2017, 37, 453–464. [Google Scholar] [CrossRef] [PubMed]
- Luangasanatip, N.; Chaiyakunapruk, N.; Upakdee, N.; Wong, P. Iron-chelating therapies in a transfusion-dependent thalas-saemia population in Thailand: A cost-effectiveness study. Clin. Drug Investig. 2011, 31, 493–505. [Google Scholar] [CrossRef]
- Li, J.; Lin, Y.; Li, X.; Zhang, J. Economic evaluation of chelation regimens for β-thalassemia major: A systematic review. Mediterr. J. Hematol. Infect. Dis. 2019, 11, e2019036. [Google Scholar] [CrossRef]
- Kontoghiorghes, G.J.; Sheppard, L. Simple synthesis of the potent iron chelators 1-alkyl-3-hydroxy-2-methylpyrid-4-ones. Inorganica Chim. Acta 1987, 136, L11–L12. [Google Scholar] [CrossRef]
- Cui, S.; Liu, Z.; Nagy, T.; Agboluaje, E.O.; Xiong, M.P. Oral Non-absorbable Polymer–Deferoxamine Conjugates for Reducing Dietary Iron Absorption. Mol. Pharm. 2023, 20, 1285–1295. [Google Scholar] [CrossRef]
- Kontoghiorghes, G.; Marcus, R.; Huehns, E. Desferrioxamine suppositories. Lancet 1983, 322, 454. [Google Scholar] [CrossRef] [PubMed]
- Hanson, L.R.; Roeytenberg, A.; Martinez, P.M.; Coppes, V.G.; Sweet, D.C.; Rao, R.J.; Marti, D.L.; Hoekman, J.D.; Matthews, R.B.; Frey, W.H., 2nd; et al. Intranasal deferoxamine provides increased brain exposure and significant protection in rat ischemic stroke. J. Pharmacol. Exp. Ther. 2009, 330, 679–686. [Google Scholar] [CrossRef] [PubMed]
- Marwaha, N.; Jain, A.; Agnihotri, A.; Sharma, R.R. Direct antiglobulin test positivity in multi-transfused thalassemics. Asian J. Transfus. Sci. 2016, 10, 161–163. [Google Scholar] [CrossRef] [PubMed]
- Yee, M.E.M.; Shah, A.; Anderson, A.R.; Boudreaux, J.; Bray, R.A.; Gebel, H.M.; Josephson, C.D. Class I and II HLA antibodies in pediatric patients with thalassemia major. Transfusion 2016, 56, 878–884. [Google Scholar] [CrossRef] [PubMed]
- Foong, W.C.; Loh, C.K.; Ho, J.J.; Lau, D.S. Foetal haemoglobin inducers for reducing blood transfusion in non-transfusion dependent beta thalassaemias. Cochrane Database Syst. Rev. 2023, 1, CD013767. [Google Scholar] [CrossRef]
- Cao, H. Pharmacological Induction of Fetal Hemoglobin Synthesis using Histone Deacetylase Inhibitors. Hematology 2004, 9, 223–233. [Google Scholar] [CrossRef] [PubMed]
- A Knight, J.; Voorhees, R.P.; Martin, L. The effect of metal chelators on lipid peroxidation in stored erythrocytes. Ann. Clin. Lab. Sci. 1992, 22, 207–213. [Google Scholar]
- Kontoghiorghes, G.J.; Barr, J.; Nortey, P.; Sheppard, L. Selection of a new generation of orally active α-ketohydroxypyridine iron chelators intended for use in the treatment of iron overload. Am. J. Hematol. 1993, 42, 340–349. [Google Scholar] [CrossRef]
- Pootrakul, P.; Vongsmasa, V.; La-Ongpanich, P.; Wasi, P. Serum Ferritin Levels in Thalassemias and the Effect of Splenectomy. Acta Haematol. 1981, 66, 244–250. [Google Scholar] [CrossRef]
- Ruchala, P.; Nemeth, E. The pathophysiology and pharmacology of hepcidin. Trends Pharmacol. Sci. 2014, 35, 155–161. [Google Scholar] [CrossRef]
- Arezes, J.; Nemeth, E. Hepcidin and iron disorders: New biology and clinical approaches. Int. J. Lab. Hematol. 2015, 37, 92–98. [Google Scholar] [CrossRef] [PubMed]
- Nemeth, E.; Ganz, T. Hepcidin and Iron in Health and Disease. Annu. Rev. Med. 2023, 74, 261–277. [Google Scholar] [CrossRef]
- Hawula, Z.J.; Wallace, D.F.; Subramaniam, V.N.; Rishi, G. Therapeutic Advances in Regulating the Hepcidin/Ferroportin Axis. Pharmaceuticals 2019, 12, 170. [Google Scholar] [CrossRef] [PubMed]
- Rishi, G.; Subramaniam, V.N. Biology of the iron efflux transporter, ferroportin. Adv. Protein. Chem. Struct. Biol. 2021, 123, 1–16. [Google Scholar] [PubMed]
- Ribeiro, S.; Belo, L.; Reis, F.; Santos-Silva, A. Iron therapy in chronic kidney disease: Recent changes, benefits and risks. Blood Rev. 2016, 30, 65–72. [Google Scholar] [CrossRef] [PubMed]
- Chekmarev, J.; Azad, M.G.; Richardson, D.R. The Oncogenic Signaling Disruptor, NDRG1: Molecular and Cellular Mechanisms of Activity. Cells 2021, 10, 2382. [Google Scholar] [CrossRef] [PubMed]
- Zhang, P.; Tchou-Wong, K.M.; Costa, M. Egr-1 mediates hypoxia-inducible transcription of the NDRG1 gene through an overlapping Egr-1/Sp1 binding site in the promoter. Cancer Res. 2007, 67, 9125–9133. [Google Scholar] [CrossRef]
- Orfanou, I.-M.; Argyros, O.; Papapetropoulos, A.; Tseleni-Balafouta, S.; Vougas, K.; Tamvakopoulos, C. Discovery and Pharmacological Evaluation of STEAP4 as a Novel Target for HER2 Overexpressing Breast Cancer. Front. Oncol. 2021, 11, 608201. [Google Scholar] [CrossRef]
- Wang, C.Y.; Canali, S.; Bayer, A.; Dev, S.; Agarwal, A.; Babitt, J.L. Iron, erythropoietin, and inflammation regulate hepcidin in Bmp2-deficient mice, but serum iron fails to induce hepcidin in Bmp6-deficient mice. Am. J. Hematol. 2019, 94, 240–248. [Google Scholar] [CrossRef]
- Camaschella, C.; Pagani, A.; Silvestri, L.; Nai, A. The mutual crosstalk between iron and erythropoiesis. Int. J. Hematol. 2022, 116, 182–191. [Google Scholar] [CrossRef]
- Kolnagou, A.; Michaelides, Y.; Kontoghiorghe, C.N.; Kontoghiorghes, G.J. The importance of spleen, spleen iron, and splenec-tomy for determining total body iron load, ferrikinetics, and iron toxicity in thalassemia major patients. Toxicol. Mech. Methods 2013, 23, 34–41. [Google Scholar] [CrossRef]
- Djaldetti, M.; Fishman, P.; Notti, I.; Bessler, H. The effect of tetracycline administration on iron absorption in mice. Biomedicine 1981, 35, 150–152. [Google Scholar] [PubMed]
- Wu, Y.-T.; Lu, Y.-T.; Chu, C.-Y.; Chao, H.-J.; Kuo, L.-N.; Cheng, K.-J.; Chen, H.-Y. Is use of a long-term proton pump inhibitor or histamine-2 receptor antagonist a risk factor for iron-deficiency anaemia in Taiwan? A neglected clinical drug-drug interaction. Fam. Pract. 2023, cmad090. [Google Scholar] [CrossRef]
- Liu, H.; Lu, M.; Hu, J.; Fu, G.; Feng, Q.; Sun, S.; Chen, C. Medications and Food Interfering with the Bioavailability of Levothyroxine: A Systematic Review. Ther. Clin. Risk Manag. 2023, 19, 503–523. [Google Scholar] [CrossRef] [PubMed]
- Alston, A.B.; Digigow, R.; Flühmann, B.; Wacker, M.G. Putting square pegs in round holes: Why traditional pharmacokinetic prin-ciples cannot universally be applied to iron-carbohydrate complexes. Eur. J. Pharm. Biopharm. 2023, 188, 6–14. [Google Scholar] [CrossRef] [PubMed]
- Khan, S.; Cho, W.C.; Hussain, A.; Azimi, S.; Babadaei, M.M.N.; Bloukh, S.H.; Edis, Z.; Saeed, M.; Hagen, T.L.T.; Ahmadi, H.; et al. The interaction mechanism of plasma iron transport protein transferrin with nanoparticles. Int. J. Biol. Macromol. 2023, 240, 124441. [Google Scholar] [CrossRef] [PubMed]
- Duda-Chodak, A.; Tarko, T. Possible Side Effects of Polyphenols and Their Interactions with Medicines. Molecules 2023, 28, 2536. [Google Scholar] [CrossRef] [PubMed]
- Mori, M.; Stelitano, G.; Cazzaniga, G.; Gelain, A.; Tresoldi, A.; Cocorullo, M.; Roversi, M.; Chiarelli, L.R.; Tomaiuolo, M.; Delre, P.; et al. Targeting Siderophore-Mediated Iron Uptake in M. abscessus: A New Strategy to Limit the Virulence of Non-Tuberculous Mycobacteria. Pharmaceutics 2023, 15, 502. [Google Scholar]
- Chisholm, B.S.; Swart, A.M.; Blockman, M. Training, guideline access and knowledge of antiretroviral interactions: Is the South African private sector being left behind? S. Afr. Med. J. 2022, 112, 806–811. [Google Scholar] [CrossRef]
- Crider, K.; Williams, J.; Qi, Y.P.; Gutman, J.; Yeung, L.; Mai, C.; Finkelstain, J.; Mehta, S.; Pons-Duran, C.; Menéndez, C.; et al. Folic acid supplementation and malaria susceptibility and severity among people taking antifolate an-timalarial drugs in endemic areas. Cochrane Database Syst. Rev. 2022, 2, CD014217. [Google Scholar]
- Parvin, M.S.; Chlebek, J.; Hošťálková, A.; Catapano, M.C.; Lomozová, Z.; Macáková, K.; Mladěnka, P. Interactions of Isoquinoline Alkaloids with Transition Metals Iron and Copper. Molecules 2022, 27, 6429. [Google Scholar] [CrossRef] [PubMed]
- Ruswanto, R.; Nofianti, T.; Mardianingrum, R.; Kesuma, D. Siswandono Design, molecular docking, and molecular dynamics of thiourea-iron (III) metal complexes as NUDT5 inhibitors for breast cancer treatment. Heliyon 2022, 8, e10694. [Google Scholar] [CrossRef] [PubMed]
- Iwasaki, Y.; Manabe, R.; Kimoto, M.; Fukuda, M.; Mase, N.; Miyazawa, M.; Hosokawa, K.; Kamei, J. Copper-Induced Interactions of Caffeic Acid and Sinapic Acid to Generate New Compounds in Artificial Biological Fluid Conditions. Antioxidants 2022, 11, 1307. [Google Scholar] [CrossRef] [PubMed]
- Blazer, A.; Chengappa, K.N.R.; Foran, W.; Parr, A.C.; Kahn, C.E.; Luna, B.; Sarpal, D.K. Changes in corticostriatal connectivity and striatal tissue iron associated with efficacy of clozapine for treatment-resistant schizophrenia. Psychopharmacology 2022, 239, 2503–2514. [Google Scholar] [CrossRef]
- Paulson, S.K.; Martinez, J.; Sawant, R.; Burke, S.K.; Chavan, A. Effect of Phosphate Binders and a Dietary Iron Supplement on the Pharmacokinetics of a Single Dose of Vadadustat in Healthy Adults. Clin. Pharmacol. Drug Dev. 2022, 11, 475–485. [Google Scholar] [CrossRef]
- Lu, P.; Sui, M.; Zhang, M.; Wang, M.; Kamiya, T.; Okamoto, K.; Itoh, H.; Okuda, S.; Suzuki, M.; Asakura, T.; et al. Rosmarinic Acid and Sodium Citrate Have a Synergistic Bacteriostatic Effect against Vibrio Species by Inhibiting Iron Uptake. Int. J. Mol. Sci. 2021, 22, 13010. [Google Scholar] [CrossRef]
- Kontoghiorghes, G.J.; Kolnagou, A.; Kontoghiorghe, C.N.; Mourouzidis, L.; Timoshnikov, V.A.; Polyakov, N.E. Trying to Solve the Puzzle of the Interaction of Ascorbic Acid and Iron: Redox, Chelation and Therapeutic Implications. Medicines 2020, 7, 45. [Google Scholar] [CrossRef]



| [A] CHEMICAL AND PHYSICOCHEMICAL PROPERTIES |
|---|
| Molecular weight of chelators: DF: 561. L1: 139. DFRA: 373. |
| Molecular weight of iron complexes: DF-Fe: 617. L1-(Fe)3: 470. DFRA-(Fe)2: 798. |
| Charge of chelators at pH 7.4: DF positive, L1 neutral, DFRA negative. |
| Charge of iron complexes at pH 7.4: DF positive, L1 neutral, DFRA negative. |
| Partition coefficient of chelators (n-octanol/water): DF: 0.02. L1: 0.19. DFRA: 6.3. |
| Stability constant (Log β) of chelator iron complexes at pH 7.4: DF-Fe: 31. L1-(Fe)3: 35. DFRA-(Fe)2: 27. |
| [B] METABOLIC AND PHARMACOKINETIC PROPERTIES |
| Metabolite(s): DF: A number of metabolites, cleared mainly through the urine, some with chelating properties. |
| L1: Gluguronide conjugate, cleared through the urine but has no iron chelation properties. |
| DFRA: Gluguronide conjugate, cleared through the feces and has no iron chelation properties. |
| T1/2 absorption following oral administration: L1: 0.7–32 min. DFRA: 1–2 h. |
| T max of the chelator: L1: Mostly within 1 h. DFRA: Mostly 4–6 h. |
| T1/2 elimination of chelator: Intravenous DF: 5–10 min. Oral L1: 47–134 min at 35–71 mg/kg. Oral DFRA: 19–6.5 h at 20 and 40 mg/kg. |
| T1/2 elimination of the iron complex: DF: 90 min. L1: Estimated within 47–134 min. DFRA: 17.2 ± 7.8 h at 20 mg/kg and 17.7 ± 5.1 h at 40 mg/kg. |
| T max of the iron complex: L1: Estimated within 1 h. DFRA: 1–6 h at 20 mg/kg and 4–8 h at 40 mg/kg. |
| T max of the metabolite L1-glucuronide: 1–3 h. |
| [C] CLINICAL AND BIOLOGICAL EFFECTS |
| Recommended doses of the chelating drugs in iron-loaded thalassemia patients: DF subcutaneously or intravenously 40–60 mg/kg/day. Oral L1 75–100 mg/kg/day. Oral DFRA 20–40 mg/kg/day. |
| Iron-loaded patient compliance with chelating drugs: Low compliance with parenteral DF in comparison to oral L1 and oral DFRA. |
| Iron removal from diferric transferrin in iron-loaded patients: About 40% at L1 concentrations >0.1 mM, but not by DF or DFRA. |
| Differential iron removal from various organs of iron-loaded patients: Efficacy is related to dose for all chelators. L1 preferential iron removal from the heart and DFRA from the liver. DF from the liver and less from the heart. |
| Increased excretion of metals other than iron: DF and L1 cause increased aluminium excretion in renal dialysis patients. |
| DFRA causes increases in aluminium and other toxic metal absorption. |
| Iron mobilisation and excretion of chelator metabolite iron complexes: Several DF metabolites have iron chelation potential and increase iron excretion but not the L1 glucuronide or the DFRA glucuronide metabolites. |
| Combination chelation therapy: L1, DF and DFRA combinations are more effective in iron excretion than monotherapy. The ICOC L1 and DF combination has been shown to cause normalisation of the iron stores in thalassemia patients. |
| Route of elimination of chelator and its iron complex: DF: Urine and feces. L1: urine. DFRA: Almost exclusively in feces and less than 0.1–8% in urine. |
| [D] TOXICITY OF THE IRON-CHELATING DRUGS |
| DF toxicity: Skin rashes and local reactions. Allergic and anaphylactic reactions. Ophthalmic toxicity. Auditory toxicity. Neurotoxic abnormalities. Pulmonary toxicity. Growth failure and bone abnormalities in children. Yersiniasis. Mucormycosis. |
| L1 toxicity: Agranulocytosis. Neutropenia. Musculoskeletal and joint pains. Gastric intolerance. Zinc deficiency. |
| DFRA toxicity: Renal, liver and bone marrow failure including agranulocytosis. Renal toxicity. Increases in serum creatinine levels. Skin rashes. Gastric intolerance. |
| Metal ion interactions with chelating drugs: Essential, xenobiotic, diagnostic and theranostic metals Chelating drug interactions: Natural dietary and biochemical molecules, drugs with chelating properties Oxidizing and reducing factors: Affect the redox properties of iron involved during chelation Metabolic factors: ADME parameters, chelating metabolites, enterohepatic circulation properties Different omic factors: Genomic, proteomic, metabolomic, pharmacogenomic, redoxomic, metallomic Efficacy factors: Selective targeting, monotherapy, combination therapies with drugs or natural chelators Risk/benefit assessment factors: Toxicity parameters from in vitro, in vivo and clinical studies Compliance factors: Route and duration of chelating drug administration, special requirement issues Therapeutic effect range: Fully effective, partly effective, non-effective therapies Drug posology range: Effective, optimal, sub-optimal, ineffective, placebo level Efficiency of diagnostic methods: Sufficient, partly sufficient, insufficient diagnostics Drug categories: Emergency, chronic, orphan drugs, nutraceuticals, folk medicines Drug role: Main drug, adjuvant therapy, antidote, synergistic effects, drug repurposing Drug administration: Oral, subcutaneous, intravenous, rectal, intramuscular Categories of patients affected: Iron-loaded, normal iron levels with EID, iron toxicity, iron metabolism Drug availability due to cost: Easy access in developed countries, limited access in developing countries Drug selection influences: Regulatory drug authorities, manufacturers, patient organizations, physicians Factors affecting iron absorption: Dietary molecules and medicinal preparations Therapeutic strategies in conjunction with chelation therapy: Induction of HbF production, antioxidants Therapeutic strategies involving chelating drug modulation of regulatory molecules of iron metabolism |
Disclaimer/Publisher’s Note: The statements, opinions and data contained in all publications are solely those of the individual author(s) and contributor(s) and not of MDPI and/or the editor(s). MDPI and/or the editor(s) disclaim responsibility for any injury to people or property resulting from any ideas, methods, instructions or products referred to in the content. |
© 2023 by the author. Licensee MDPI, Basel, Switzerland. This article is an open access article distributed under the terms and conditions of the Creative Commons Attribution (CC BY) license (https://creativecommons.org/licenses/by/4.0/).
Share and Cite
Kontoghiorghes, G.J. Drug Selection and Posology, Optimal Therapies and Risk/Benefit Assessment in Medicine: The Paradigm of Iron-Chelating Drugs. Int. J. Mol. Sci. 2023, 24, 16749. https://doi.org/10.3390/ijms242316749
Kontoghiorghes GJ. Drug Selection and Posology, Optimal Therapies and Risk/Benefit Assessment in Medicine: The Paradigm of Iron-Chelating Drugs. International Journal of Molecular Sciences. 2023; 24(23):16749. https://doi.org/10.3390/ijms242316749
Chicago/Turabian StyleKontoghiorghes, George J. 2023. "Drug Selection and Posology, Optimal Therapies and Risk/Benefit Assessment in Medicine: The Paradigm of Iron-Chelating Drugs" International Journal of Molecular Sciences 24, no. 23: 16749. https://doi.org/10.3390/ijms242316749
APA StyleKontoghiorghes, G. J. (2023). Drug Selection and Posology, Optimal Therapies and Risk/Benefit Assessment in Medicine: The Paradigm of Iron-Chelating Drugs. International Journal of Molecular Sciences, 24(23), 16749. https://doi.org/10.3390/ijms242316749
