Lung Damage in Rheumatoid Arthritis—A Retrospective Study
Abstract
1. Introduction
2. Results
2.1. Demographics
2.2. RA Characteristics
2.3. Chest X-ray Findings
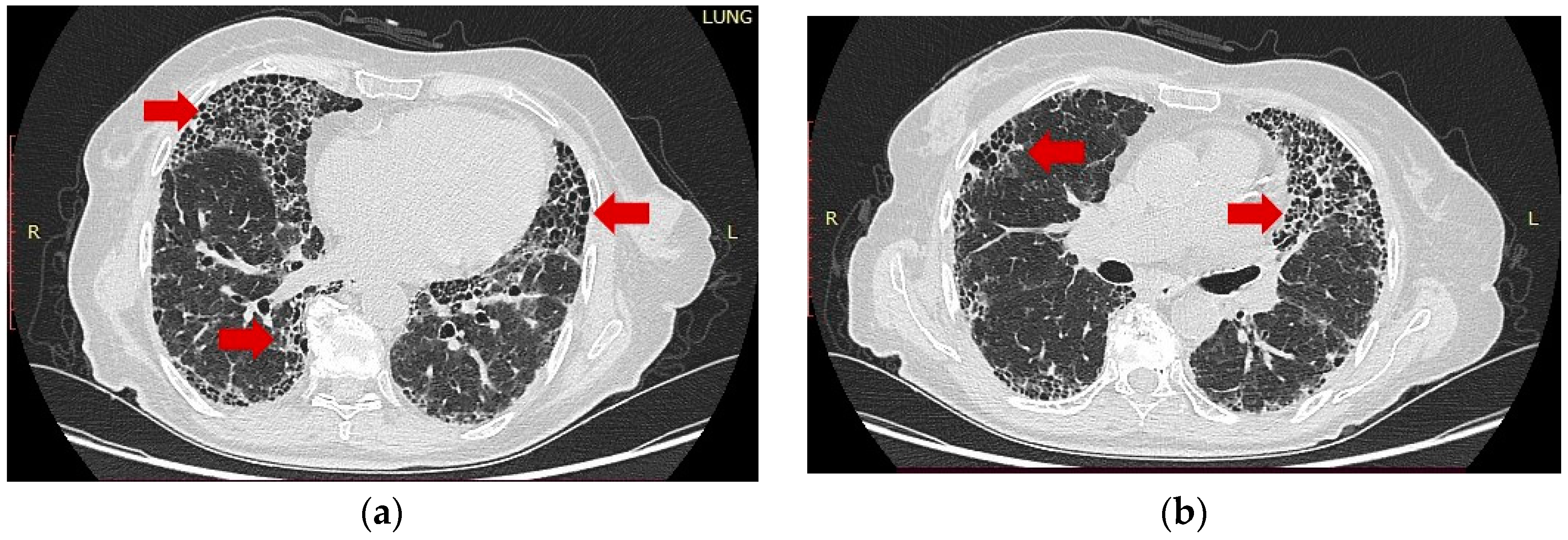
2.4. HR-CT Findings
2.5. Lung Function Tests
3. Discussion
4. Materials and Methods
4.1. Patients
4.2. Variables
4.3. Statistics
5. Conclusions
Author Contributions
Funding
Institutional Review Board Statement
Informed Consent Statement
Data Availability Statement
Conflicts of Interest
References
- Lee, H.K.; Kim, D.S.; Yoo, B.; Seo, J.B.; Rho, J.Y.; Colby, T.V.; Kitaichi, M. Histopathologic pattern and clinical features of rheumatoid arthritis-associated interstitial lung disease. Chest 2005, 127, 2019–2027. [Google Scholar] [CrossRef]
- Travis, W.D.; Costabel, U.; Hansell, D.M.; King, T.E., Jr.; Lynch, D.A.; Nicholson, A.G.; Ryerson, C.J.; Ryu, J.H.; Selman, M.; Wells, A.U.; et al. An official American Thoracic Society/European Respiratory Society statement: Update of the international multidisciplinary classification of the idiopathic interstitial pneumonias. Am. J. Respir. Crit. Care Med. 2013, 188, 733–748. [Google Scholar] [CrossRef]
- Charles, P.J.; Sweatman, M.C.; Markwick, J.R.; Maini, R.N. Maini. HLA-B40: A marker for susceptibility to lung disease in rheumatoid arthritis. Dis. Markers 1991, 9, 97–101. [Google Scholar]
- Hillarby, M.C.; McMahon, M.J.; Grennan, D.M.; Cooper, R.G.; Clarkson, R.W.E.; Davies, E.J.; Sanders, P.A.; Chatitopadhyay, C.; Swinson, D. HLA associations in subjects with rheumatoid arthritis and bronchiectasis but not with other pulmonary complications of rheumatoid disease. Br. J. Rheumatol. 1993, 32, 794–797. [Google Scholar] [CrossRef]
- Scott, T.E.; Wise, R.A.; Hochberg, M.C.; Wigley, F.M. HLA-DR4 and pulmonary dysfunction in rheumatoid arthritis. Am. J. Med. 1987, 82, 765–771. [Google Scholar] [CrossRef]
- Sugiyama, Y.; Ohno, S.; Kano, S.; Maeda, H.; Kitamura, S. Diffuse panbronchiolitis and rheumatoid arthritis: A possible correlation with HLA-B54. Intern. Med. 1994, 33, 612–614. [Google Scholar] [CrossRef]
- Demoruelle, M.K.; Deane, K.D.; Holers, V.M. When and where does inflammation begin in rheumatoid arthritis? Curr. Opin. Rheumatol. 2014, 26, 64–71. [Google Scholar] [CrossRef]
- Makrygiannakis, D.; Hermansson, M.; Ulfgren, A.K.; Nicholas, A.P.; Zendman, A.J.; Eklund, A.; Grunewald, J.; Skold, C.M.; Klareskog, L.; Catrina, A.I. Smoking increases peptidylarginine deiminase 2 enzyme expression in human lungs and increases citrullination in BAL cells. Ann. Rheum. Dis. 2008, 67, 1488–1492. [Google Scholar] [CrossRef]
- Willis, V.C.; Demoruelle, M.K.; Derber, L.A.; Chartier-Logan, C.J.; Parish, M.C.; Pedraza, I.F.; Weisman, M.H.; Norris, J.M.; Holers, V.M.; Deane, K.D. Sputum autoantibodies in patients with established rheumatoid arthritis and subjects at risk of future clinically apparent disease. Arthritis Rheum. 2013, 65, 2545–2554. [Google Scholar]
- Chen, J.; Doyle, T.J.; Liu, Y.; Aggarwal, R.; Wang, X.; Shi, Y.; Ge, S.X.; Huang, H.; Lin, Q.; Liu, W.; et al. Biomarkers of rheumatoid arthritis-associated interstitial lung disease. Arthritis Rheumatol. 2015, 67, 28–38. [Google Scholar] [CrossRef]
- Giles, J.T.; Danoff, S.K.; Sokolove, J.; Wagner, C.A.; Winchester, R.; Pappas, D.A.; Siegelman, S.; Connors, G.; Robinson, W.H.; Bathon, J.M. Association of fine specificity and repertoire expansion of anticitrullinated peptide antibodies with rheumatoid arthritis associated interstitial lung disease. Ann. Rheum. Dis. 2014, 73, 1487–1494. [Google Scholar] [CrossRef]
- Pezzuto, A.; Tonini, G.; Tammaro, A.; Laviano, A.; Salerno, G.; Ciccozzi, M. A COPD Patient Who Developed Pulmonary Fibrosis Following COVID-19: A Case Study. Glob. J. Respir. Care 2021, 7, 35–40. [Google Scholar] [CrossRef]
- Harlow, L.; Rosas, I.O.; Gochuico, B.R.; Mikuls, T.R.; Dellaripa, P.F.; Oddis, C.V.; Ascherman, D.P. Identification of citrullinated hsp90 isoforms as novel autoantigens in rheumatoid arthritis-associated interstitial lung disease. Arthritis Rheum. 2013, 65, 869–879. [Google Scholar] [CrossRef]
- Cottin, V. Treatment of progressive fibrosing interstitial lung diseases: A milestone in the management of interstitial lung diseases. Eur. Respir. Rev. 2019, 28, 190109. [Google Scholar] [CrossRef]
- Flaherty, K.R.; Brown, K.K.; Wells, A.U.; Clerisme-Beaty, E.; Collard, H.R.; Cottin, V.; Devaraj, A.; Inoue, Y.; Le Maulf, F.; Richeldi, L.; et al. Design of the PF-ILD trial: A double-blind, randomised, placebo-controlled phase III trial of nintedanib in patients with progressive fibrosing interstitial lung disease. BMJ Open Respir. Res. 2017, 4, e000212. [Google Scholar] [CrossRef]
- Wells, A.U.; Brown, K.K.; Flaherty, K.R.; Kolb, M.; Thannickal, V.J. What’s in a name? That which we call IPF, by any other name would act the same. Eur. Respir. J. 2018, 51, 1800692. [Google Scholar] [CrossRef]
- Behr, J.; Neuser, P.; Prasse, A.; Kreuter, M.; Rabe, K.; Schade-Brittinger, C.; Wagner, J.; Günther, A. Exploring efficacy and safety of oral Pirfenidone for progressive, non-IPF lung fibrosis (RELIEF)—A randomized, double-blind, placebo-controlled, parallel group, multi-center, phase II trial. BMC Pulm. Med. 2017, 17, 122. [Google Scholar] [CrossRef]
- George, P.M.; Spagnolo, P.; Kreuter, M.; Altinisik, G.; Bonifazi, M.; Martinez, F.J.; Molyneaux, P.L.; Renzoni, E.A.; Richeldi, L.; Tomassetti, S.; et al. Progressive fibrosing interstitial lung disease: Clinical uncertainties, consensus recommendations, and research priorities. Lancet Respir. Med. 2020, 8, 925–934. [Google Scholar] [CrossRef]
- Paterniti, M.O.; Bi, Y.; Rekić, D.; Wang, Y.; Karimi-Shah, B.A.; Chowdhury, B.A. Acute Exacerbation and Decline in Forced Vital Capacity Are Associated with Increased Mortality in Idiopathic Pulmonary Fibrosis. Ann. Am. Thorac. Soc. 2017, 14, 1395–1402. [Google Scholar] [CrossRef]
- Lederer, D.J.; Martinez, F.J. Idiopathic Pulmonary Fibrosis. N. Engl. J. Med. 2018, 378, 1811–1823. [Google Scholar] [CrossRef]
- Raghu, G.; Collard, H.R.; Egan, J.J.; Martinez, F.J.; Behr, J.; Brown, K.K.; Colby, T.V.; Cordier, J.F.; Flaherty, K.R.; Lasky, J.A.; et al. An official ATS/ERS/JRS/ALAT statement: Idiopathic pulmonary fibrosis: Evidence-based guidelines for diagnosis and management. Am. J. Respir. Crit. Care Med. 2011, 183, 788–824. [Google Scholar] [CrossRef]
- Raghu, G.; Rochwerg, B.; Zhang, Y.; Garcia, C.A.C.; Azuma, A.; Behr, J.; Brozek, J.L.; Collard, H.R.; Cunningham, W.; Homma, S.; et al. An Official ATS/ERS/JRS/ALAT Clinical Practice Guideline: Treatment of Idiopathic Pulmonary Fibrosis. An Update of the 2011 Clinical Practice Guideline. Am. J. Respir. Crit. Care Med. 2015, 192, e3–e19. [Google Scholar] [CrossRef]
- Holland, A.E.; Spruit, M.A.; Troosters, T.; Puhan, M.A.; Pepin, V.; Saey, D.; McCormack, M.C.; Carlin, B.W.; Sciurba, F.C.; Pitta, F.; et al. An official European Respiratory Society/American Thoracic Society technical standard: Field walking tests in chronic respiratory disease. Eur. Respir. J. 2014, 44, 1428–1446. [Google Scholar] [CrossRef]
- Walsh, S.L.; Devaraj, A.; Enghelmayer, J.I.; Kishi, K.; Silva, R.S.; Patel, N.; Rossman, M.D.; Valenzuela, C.; Vancheri, C. Role of imaging in progressive-fibrosing interstitial lung diseases. Eur. Respir. Rev. 2018, 27, 180073. [Google Scholar] [CrossRef]
- Adegunsoye, A.; Oldham, J.M.; Bellam, S.K.; Montner, S.; Churpek, M.M.; Noth, I.; Vij, R.; Strek, M.E.; Chung, J.H. Computed Tomography Honeycombing Identifies a Progressive Fibrotic Phenotype with Increased Mortality across Diverse Interstitial Lung Diseases. Ann. Am. Thorac. Soc. 2019, 16, 580–588. [Google Scholar] [CrossRef]
- Ito, Y.; Arita, M.; Kumagai, S.; Takei, R.; Noyama, M.; Tokioka, F.; Nishimura, K.; Koyama, T.; Notohara, K.; Ishida, T. Serological and morphological prognostic factors in patients with interstitial pneumonia with autoimmune features. BMC Pulm. Med. 2017, 17, 111. [Google Scholar] [CrossRef]
- Jeny, F.; Brillet, P.Y.; Kim, Y.W.; Freynet, O.; Nunes, H.; Valeyre, D. The place of high-resolution computed tomography imaging in the investigation of interstitial lung disease. Expert Rev. Respir. Med. 2019, 13, 79–94. [Google Scholar] [CrossRef]
- Park, I.N.; Jegal, Y.; Kim, D.S.; Do, K.H.; Yoo, B.; Shim, T.S.; Lim, C.M.; Lee, S.D.; Koh, Y.; Kim, W.S.; et al. Clinical course and lung function change of idiopathic nonspecific interstitial pneumonia. Eur. Respir. J. 2009, 33, 68–76. [Google Scholar] [CrossRef]
- Sverzellati, N.; Brillet, P.Y. When Deep Blue first defeated Kasparov: Is a machine stronger than a radiologist at predicting prognosis in idiopathic pulmonary fibrosis? Eur. Respir. J. 2017, 49, 1602144. [Google Scholar] [CrossRef]
- Gruden, J.F.; Naidich, D.P.; Machnicki, S.C.; Cohen, S.L.; Girvin, F.; Raoof, S. An Algorithmic Approach to the Interpretation of Diffuse Lung Disease on Chest CT Imaging: A Theory of Almost Everything. Chest 2020, 157, 612–635. [Google Scholar] [CrossRef]
- Wijsenbeek, M.; Cottin, V. Spectrum of Fibrotic Lung Diseases. N. Engl. J. Med. 2020, 383, 958–968. [Google Scholar] [CrossRef]
- Maci, E.; Comito, F.; Frezza, A.M.; Tonini, G.; Pezzuto, A. Lung Nodule and Functional Changes in Smokers After Smoking Cessation Short-Term Treatment. Cancer Investig. 2014, 32, 388–393. [Google Scholar] [CrossRef]
- Gabriel, S.E.; Crowson, C.S.; Kremers, H.M.; Doran, M.F.; Turesson, C.; O’Fallon, W.M.; Matteson, E.L. Survival in rheumatoid arthritis: A population-based analysis of trends over 40 years. Arthritis Rheum. 2003, 48, 54–58. [Google Scholar] [CrossRef]
- Turesson, C.; O’Fallon, W.M.; Crowson, C.S.; Gabriel, S.E.; Matteson, E.L. Occurrence of extraarticular disease manifestations is associated with excess mortality in a community based cohort of patients with rheumatoid arthritis. J. Rheumatol. 2002, 29, 62–67. [Google Scholar]
- Bilgici, A.; Ulusoy, H.; Kuru, O.; Celenk, C.; Unsal, M.; Danaci, M. Pulmonary involvement in rheumatoid arthritis. Rheumatol. Int. 2005, 25, 429–435. [Google Scholar] [CrossRef]
- Dawson, J.K.; Fewins, H.E.; Desmond, J.; Lynch, M.P.; Graham, D.R. Fibrosing alveolitis in patients with rheumatoid arthritis as assessed by high resolution computed tomography, chest radiography, and pulmonary function tests. Thorax 2001, 56, 622–627. [Google Scholar] [CrossRef]
- Mori, S.; Cho, I.; Koga, Y.; Sugimoto, M. Comparison of pulmonary abnormalities on high-resolution computed tomography in patients with early versus longstanding rheumatoid arthritis. J. Rheumatol. 2008, 35, 1513–1521. [Google Scholar]
- Thomas, E.; Symmons, D.P.; Brewster, D.H.; Black, R.J.; Macfarlane, G.J. National study of cause-specific mortality in rheumatoid arthritis, juvenile chronic arthritis, and other rheumatic conditions: A 20 year followup study. J. Rheumatol. 2003, 30, 958–965. [Google Scholar]
- Young, A.; Koduri, G.; Batley, M.; Kulinskaya, E.; Gough, A.; Norton, S.; Dixey, J.; on behalf of the Early Rheumatoid Arthritis Study (ERAS) group Mortality in rheumatoid arthritis. Increased in the early course of disease, in ischaemic heart disease and in pulmonary fibrosis. Rheumatology 2006, 46, 350–357. [Google Scholar] [CrossRef]
- Sihvonen, S.; Korpela, M.; Laippala, P.; Mustonen, J.; Pasternack, A. Death rates and causes of death in patients with rheumatoid arthritis: A population-based study. Scand. J. Rheumatol. 2004, 33, 221–227. [Google Scholar] [CrossRef]
- Suzuki, A.; Ohosone, Y.; Obana, M.; Mita, S.; Matsuoka, Y.; Irimajiri, S.; Fukuda, J. Cause of death in 81 autopsied patients with rheumatoid arthritis. J. Rheumatol. 1994, 21, 33–36. [Google Scholar]
- Turesson, C.; Jacobsson, L.; Bergstrom, U. Extra-articular rheumatoid arthritis: Prevalence and mortality. Rheumatology 1999, 38, 668–674. [Google Scholar] [CrossRef]
- Perez, T.; Remy-Jardin, M.; Cortet, B. Airways involvement in rheumatoid arthritis: Clinical, functional, and HRCT findings. Am. J. Respir. Crit. Care Med. 1998, 157, 1658–1665. [Google Scholar] [CrossRef]
- Aletaha, D.; Neogi, T.; Silman, A.J.; Funovits, J.; Felson, D.T.; Bingham, C.O., III; Birnbaum, N.S.; Burmester, G.R.; Bykerk, V.P.; Cohen, M.D.; et al. 2010 rheumatoid arthritis classification criteria: An American College of Rheumatology/European League Against Rheumatism collaborative initiative. Ann. Rheum. Dis. 2010, 69, 1580–1588. [Google Scholar] [CrossRef]
- Miller, M.R.; Hankinson, J.; Brusasco, V.; Burgos, F.; Casaburi, R.; Coates, A.; Crapo, R.; Enright, P.; van der Grinten, C.P.; Gustafsson, P.; et al. Standardisation of spirometry. Eur. Respir. J. 2005, 26, 319–338. [Google Scholar] [CrossRef]


| Women | 75.6% |
| active smokers | 15.4% |
| ex-smokers | 9.0% |
| smoking exposure (%) | 24.4% |
| smoking exposure (pack-years) | 33 (7) |
| age at study inclusion (years) | 68.2 (9.8) |
| age at RA diagnosis (years) | 56.5 (12.4) |
| RA duration (years) | 11.8 (8.4) |
| age at ILD diagnosis (years) | 64.2 (10.3) |
| ILD duration (years) | 4.0 (1.8) |
| time from RA to ILD (years) | 5.6 (0–42) |
| MTX | 19.2% | HCQ + AZA | 1.3% |
| LEF | 42.3% | HCQ + CsA | 1.3% |
| SSZ | 10.3% | LEF + HCQ | 3.8% |
| HCQ | 19.2% | abatacept | 2.6% |
| AZA | 9.0% | adalimumab | 5.1% |
| CsA | 1.3% | baricitinib | 2.6% |
| MMF | 1.3% | etanercept | 6.4% |
| MTX + LEF | 1.3% | nintedanib | 1.3% |
| MTX + SSZ | 1.3% | rituximab | 3.8% |
| MTX + HCQ | 2.6% | tocilizumab | 2.6% |
| LEF + SSZ | 2.6% | tofacitinib | 1.3% |
| Chest X-ray | HRCT | ||
|---|---|---|---|
| normal | 6.4% | normal | 0 |
| ILD | 70.5% | ILD | 84.8% |
| BE | 14.1% | BE | 45.5% |
| E | 16.7% | E | 21.2% |
| N | 25.6% | N | 45.5% |
| ILD + BE | 6.4% | ILD + BE | 39.4% |
| ILD + E | 3.8% | ILD + E | 18.2% |
| ILD + N | 19.2% | ILD + N | 39.4% |
| BE + E | 1.3% | BE + E | 18.2% |
| BE + N | 1.3% | BE + N | 24.2% |
| E + N | 1.3% | E + N | 9.1% |
| ILD + BE + E | 15.2% | ||
| ILD + BE + N | 21.2% | ||
| BE + E + N | 6.1% | ||
| ILD + E + N | 9.1% | ||
| ILD + BE + E + N | 6.1% |
| ← | ICD codes for RA within timeframe | |
| n = 3090 | ||
| ↓ | ← | ICD codes for ILD |
| n = 321 | ||
| ↓ | ← | ICD codes for overlapping CTD |
| n = 307 | ||
| ↓ | ← | lung CT procedure and data |
| n = 84 | ||
| ↓ | ← | RA classification criteria |
| n = 78 |
Disclaimer/Publisher’s Note: The statements, opinions and data contained in all publications are solely those of the individual author(s) and contributor(s) and not of MDPI and/or the editor(s). MDPI and/or the editor(s) disclaim responsibility for any injury to people or property resulting from any ideas, methods, instructions or products referred to in the content. |
© 2022 by the authors. Licensee MDPI, Basel, Switzerland. This article is an open access article distributed under the terms and conditions of the Creative Commons Attribution (CC BY) license (https://creativecommons.org/licenses/by/4.0/).
Share and Cite
Dinache, G.; Popescu, C.C.; Mogoșan, C.; Enache, L.; Agache, M.; Codreanu, C. Lung Damage in Rheumatoid Arthritis—A Retrospective Study. Int. J. Mol. Sci. 2023, 24, 28. https://doi.org/10.3390/ijms24010028
Dinache G, Popescu CC, Mogoșan C, Enache L, Agache M, Codreanu C. Lung Damage in Rheumatoid Arthritis—A Retrospective Study. International Journal of Molecular Sciences. 2023; 24(1):28. https://doi.org/10.3390/ijms24010028
Chicago/Turabian StyleDinache, Georgiana, Claudiu Costinel Popescu, Corina Mogoșan, Luminita Enache, Mihaela Agache, and Cătălin Codreanu. 2023. "Lung Damage in Rheumatoid Arthritis—A Retrospective Study" International Journal of Molecular Sciences 24, no. 1: 28. https://doi.org/10.3390/ijms24010028
APA StyleDinache, G., Popescu, C. C., Mogoșan, C., Enache, L., Agache, M., & Codreanu, C. (2023). Lung Damage in Rheumatoid Arthritis—A Retrospective Study. International Journal of Molecular Sciences, 24(1), 28. https://doi.org/10.3390/ijms24010028

