Tetraspanin CD9 Expression Predicts Sentinel Node Status in Patients with Cutaneous Melanoma
Abstract
:1. Introduction
2. Results
2.1. Patient Characteristics
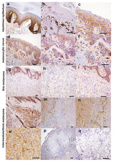
2.2. Immunohistochemical and Immunofluorescence Evaluation
2.3. CD9 Staining and Correlation with Clinic-Pathological Features
3. Discussion
4. Materials and Methods
4.1. Sample Collection
4.2. Immunohistochemistry
4.3. Immunofluorescence
4.4. Statistical Analysis
Author Contributions
Funding
Institutional Review Board Statement
Informed Consent Statement
Data Availability Statement
Conflicts of Interest
References
- Strashilov, S.; Yordanov, A. Aetiology and Pathogenesis of Cutaneous Melanoma: Current Concepts and Advances. Int. J. Mol. Sci. 2021, 22, 6395. [Google Scholar] [CrossRef] [PubMed]
- Simonetti, O.; Lucarini, G.; Rubini, C.; Lazzarini, R.; Di Primio, R.; Offidani, A. Clinical and prognostic significance of survivin, AKT and VEGF in primary mucosal oral melanoma. Anticancer Res. 2015, 35, 2113–2120. [Google Scholar] [PubMed]
- Simonetti, O.; Lucarini, G.; Rubini, C.; Goteri, G.; Zizzi, A.; Staibano, S.; Campanati, A.; Ganzetti, G.; Di Primio, R.; Offidani, A. Microvessel density and VEGF, HIF-1α expression in primary oral melanoma: Correlation with prognosis. Oral Dis. 2013, 19, 620–627. [Google Scholar] [CrossRef]
- Baum, S.H.; Westekemper, H.; Bechrakis, N.E.; Mohr, C. Conjunctival and uveal melanoma: Survival and risk factors following orbital exenteration. Eur. J. Ophthalmol. 2022, 32, 612–619. [Google Scholar] [CrossRef]
- Welch, H.G.; Mazer, B.L.; Adamson, A.S. The Rapid Rise in Cutaneous Melanoma Diagnoses. N. Engl. J. Med. 2021, 84, 72–79. [Google Scholar] [CrossRef] [PubMed]
- Garbe, C.; Amaral, T.; Peris, K.; Hauschild, A.; Arenberger, P.; Bastholt, L.; Bataille, V.; Del Marmol, V.; Dréno, B.; Fargnoli, M.C.; et al. European consensus-based interdisciplinary guideline for melanoma. Part 1: Diagnostics–Update 2019. Eur. J. Cancer 2020, 126, 141–158. [Google Scholar] [CrossRef] [PubMed] [Green Version]
- Sacchetto, L.; Rosso, S.; Comber, H.; Bouchardy, C.; Broganelli, P.; Galceran, J.; Hackl, M.; Katalinic, A.; Louwman, M.; Robsahm, T.E.; et al. Skin melanoma deaths within 1 or 3 years from diagnosis in Europe. Int. J. Cancer 2021, 148, 2898–2905. [Google Scholar] [CrossRef]
- Prado, G.; Svoboda, R.M.; Rigel, D.S. What’s New in Melanoma. Dermatol. Clin. 2019, 37, 159–168. [Google Scholar] [CrossRef]
- Rodríguez-Cerdeira, C.; Carnero Gregorio, M.; López-Barcenas, A.; Sánchez-Blanco, E.; Sánchez-Blanco, B.; Fabbrocini, G.; Bardhi, B.; Sinani, A.; Guzman, R.A. Advances in Immunotherapy for Melanoma: A Comprehensive Review. Mediat. Inflamm. 2017, 2017, 3264217. [Google Scholar] [CrossRef] [Green Version]
- Simonetti, O.; Goteri, G.; Lucarini, G.; Rubini, C.; Stramazzotti, D.; Lo Muzio, L.; Biagini, G.; Offidani, A. In melanoma changes of immature and mature dendritic cell expression correlate with tumor thickness: An immunohistochemical study. Int. J. Immunopathol. Pharmacol. 2007, 20, 325–333. [Google Scholar] [CrossRef]
- Prokopi, A.; Tripp, C.H.; Tummers, B.; Hornsteiner, F.; Spoeck, S.; Crawford, J.C.; Clements, D.R.; Efremova, M.; Hutter, K.; Bellmann, L.; et al. Skin dendritic cells in melanoma are key for successful checkpoint blockade therapy. J. Immunother. Cancer 2021, 9, 000832. [Google Scholar] [CrossRef] [PubMed]
- D’Aguanno, S.; Mallone, F.; Marenco, M.; Del Bufalo, D.; Moramarco, A. Hypoxia-dependent drivers of melanoma progression. J. Exp. Clin. Cancer Res. 2021, 40, 159. [Google Scholar] [CrossRef] [PubMed]
- Lucarini, G.; Simonetti, O.; Lazzarini, R.; Giantomassi, F.; Goteri, G.; Offidani, A. Vascular endothelial growth factor/semaphorin-3A ratio and SEMA3A expression in cutaneous malignant melanoma. Melanoma Res. 2020, 30, 433–442. [Google Scholar] [CrossRef] [PubMed]
- Ribero, S.; Glass, D.; Bataille, V. Genetic epidemiology of melanoma. Eur. J. Dermatol. 2016, 26, 335–339. [Google Scholar] [CrossRef]
- Hemler, M.E. Tetraspanin Proteins Promote Multiple Cancer Stages. Nat. Rev. Cancer 2014, 14, 49–60. [Google Scholar] [CrossRef]
- Ikeyama, S.; Koyama, M.; Yamaoko, M.; Sasada, R.; Miyake, M. Suppression of cell motility and metastasis by transfection with motility-related protein (MRP-1/CD9) DNA. J. Exp. Med. 1993, 177, 1231–1237. [Google Scholar] [CrossRef] [Green Version]
- Koh, H.M.; Jang, B.G.; Lee, D.H.; Hyun, C.L. Increased CD9 expression predicts favorable prognosis in human cancers: A systematic review and meta-analysis. Cancer Cell Int. 2021, 21, 472. [Google Scholar] [CrossRef]
- Liang, P.; Miao, M.; Liu, Z.; Wang, H.; Jiang, W.; Ma, S.; Chuan, L.; Hu, R. CD9 expression indicates a poor outcome in acute lymphoblastic leukemia. Cancer Biomark. 2018, 21, 781–786. [Google Scholar] [CrossRef]
- Huan, J.; Gao, Y.; Xu, J.; Sheng, W.; Zhu, W.; Zhang, S.; Cao, J.; Ji, J.; Zhang, L.; Tian, Y. Overexpression of CD9 correlates with tumor stage and lymph node metastasis in esophageal squamous cell carcinoma. Int. J. Clin. Exp. Pathol. 2015, 8, 3054–3061. [Google Scholar]
- Tasdemir, A.; Soyuer, I.; Unal, D.; Artis, T. Prognostic value of NF-κB, CD9, and VEGF in gastrointestinal stromal tumors. Contemp. Oncol. 2013, 17, 493–498. [Google Scholar]
- Miki, Y.; Yashiro, M.; Okuno, T.; Kitayama, K.; Masuda, G.; Hirakawa, K.; Ohira, M. CD9-Positive Exosomes from Cancer-Associated Fibroblasts Stimulate the Migration Ability of Scirrhous-Type Gastric Cancer Cells. Br. J. Cancer 2018, 118, 867–877. [Google Scholar] [CrossRef] [PubMed] [Green Version]
- Lu, W.; Fei, A.; Jiang, Y.; Chen, L.; Wang, L. Tetraspanin CD9 interacts with α-secretase to enhance its oncogenic function in pancreatic cancer. Am. J. Transl. Res. 2020, 12, 5525–5537. [Google Scholar] [PubMed]
- Nagarea, R.P.; Snehaa, S.; Krishnapriyaa, S.; Ramachandranc, B.; Murhekard, K.; Vasudevana, S.; Shabnaa, A.; Ganesana, T.S. ALDH1A1+ ovarian cancer stem cells co-expressing surface markers CD24, EPHA1 and CD9 form tumours in vivo. Exp. Cell Res. 2020, 392, 112009. [Google Scholar] [CrossRef] [PubMed]
- Powner, D.; Kopp, P.M.; Monkley, S.J.; Critchley, D.R.; Berditchevski, F. Tetraspanin CD9 in cell migration. Biochem. Soc. Trans. 2011, 39, 563–567. [Google Scholar] [CrossRef]
- Yáñez-Mó, M.; Barreiro, O.; Gordon-Alonso, M.; Sala-Valdés, M.; Sánchez-Madrid, F. Tetraspanin-Enriched Microdomains: A Functional Unit in Cell Plasma Membranes. Trends Cell Biol. 2009, 19, 434–446. [Google Scholar] [CrossRef]
- Logozzi, M.; Di Raimo, R.; Mizzoni, D.; Fais, S. Immunocapture-based ELISA to characterize and quantify exosomes in both cell culture supernatants and body fluids. Methods Enzymol. 2020, 645, 155–180. [Google Scholar]
- Peinado, H.; Zhang, H.; Matei, I.R.; Costa-Silva, B.; Hoshino, A.; Rodrigues, G.; Psaila, B.; Kaplan, R.N.; Bromberg, J.F.; Kang, Y.; et al. Pre-metastatic niches: Organ-specific homes for metastases. Nat. Rev. Cancer 2017, 17, 302–317. [Google Scholar] [CrossRef]
- Zöller, M. Tetraspanins: Push and pull in suppressing and promoting metastasis. Rev. Nat. Rev. Cancer 2009, 9, 40–55. [Google Scholar] [CrossRef]
- Choi, D.Y.; Park, J.N.; Paek, S.H.; Choi, S.C.; Paek, S.H. Detecting early-stage malignant melanoma using a calcium switch-enriched exosome subpopulation containing tumor markers as a sample. Biosen. Bioelectron. 2022, 198, 113828. [Google Scholar] [CrossRef]
- Becker, A.; Thakur, B.K.; Weiss, J.M.; Kim, H.S.; Peinado, H.; Lyden, D. Extracellular vesicles in cancer: Cell-to-cell mediators of metastasis. Cancer Cell 2016, 30, 836–848. [Google Scholar] [CrossRef] [Green Version]
- Si, Z.; Hersey, P. Expression of the neuroglandular antigen and analogues in melanoma. CD9 expression appears inversely related to metastatic potential of melanoma. Int. J. Cancer 1993, 54, 37–43. [Google Scholar] [CrossRef] [PubMed]
- Fan, J.; Zhu, G.Z.; Niles, R.M. Expression and Function of CD9 in Melanoma Cells. Mol. Carcinog. 2010, 49, 85–93. [Google Scholar] [CrossRef] [PubMed] [Green Version]
- Rambow, F.; Malek, O.; Geffrotin, C.; Leplat, J.J.; Bouet, S.; Piton, G.; Hugot, K.; Bevillacqua, C.; Horak, V.; Vincent-Naulleau, S. Identification of differentially expressed genes in spontaneously regressing melanoma using the MeLIM swine model. Pigment. Cell. Melanoma Res. 2008, 21, 147–161. [Google Scholar] [CrossRef] [PubMed]
- Mischiati, C.; Natali, P.G.; Sereni, A.; Sibilio, L.; Giorda, E.; Cappellacci, S.; Nicotra, M.R.; Mariani, G.; Di Filippo, F.; Catricalà, C.; et al. cDNA-array profiling of melanomas and paired melanocyte cultures. J. Cell. Physiol. 2006, 207, 697–705. [Google Scholar] [CrossRef] [PubMed]
- Sauer, G.; Windisch, J.; Kurzeder, C.; Heilmann, V.; Kreienberg, V.; Deissler, H. Progression of Cervical Carcinomas Is Associated with Down-Regulation of CD9 But Strong Local Re-expression at Sites of Transendothelial Invasion. Clin. Cancer Res. 2003, 9, 6426–6643. [Google Scholar] [PubMed]
- Erovic, B.M.; Neuchrist, C.; Kandutsch, S.; Woegerbauer, M.; Pammer, J. CD9 Expression on Lymphatic Vessels in Head and Neck Mucosa. Mod. Pathol. 2003, 16, 1028–1034. [Google Scholar] [CrossRef] [PubMed] [Green Version]
- Balch, C.M.; Gershenwald, J.E.; Soong, S.J.; Thompson, J.F.; Ding, S.; Byrd, D.R.; Cascinelli, N.; Cochran, A.J.; Coit, D.G.; Eggermont, A.M.; et al. Multivariate analysis of prognostic factors among 2,313 patients with stage III melanoma: Comparison of nodal micrometastases versus macrometastases. J. Clin. Oncol. 2010, 28, 2452–2459. [Google Scholar] [CrossRef] [Green Version]
- Garcia-Lopez, M.A.; Barriero, O.; Garcia-Diez, A.; Sanchez-Madrid, F.; Penas, P.F. Role of tetraspanins CD9 and CD151 in primary melanocyte motility. J. Investig. Dermatol. 2005, 124, 1001–1009. [Google Scholar] [CrossRef] [Green Version]
- Tucci, M.G.; Lucarini, G.; Brancorsini, D.; Zizzi, A.; Pugnaloni, A.; Giacchetti, A.; Ricotti, G.; Biagini, G. Involvement of E-cadherin, beta-catenin, Cdc42 and CXCR4 in the progression and prognosis of cutaneous melanoma. Br. J. Dermatol. 2007, 157, 1212–1216. [Google Scholar] [CrossRef]
- Lorico, A.; Lorico-Rappa, M.; Karbanová, J.; Corbeil, D.; Pizzorno, G. CD9, a tetraspanin target for cancer therapy? Exp. Biol. Med. 2021, 246, 1121–1138. [Google Scholar] [CrossRef]
- Leary, N.; Walser, S.; He, Y.; Cousin, N.; Pereira, P.; Gallo, A.; Collado-Diaz, V.; Halin, C.; Garcia-Silva, S.; Peinado, H.; et al. Melanoma-derived extracellular vesicles mediate lymphatic remodelling and impair tumour immunity in draining lymph nodes. J. Extracell. Vesicles 2022, 11, e12197. [Google Scholar] [CrossRef] [PubMed]
- Ito, A.; Katoh, F.; Kataoka, T.R.; Okada, M.; Tsubota, N.; Asada, H.; Yoshikawa, K.; Maeda, S.; Kitamura, Y.; Yamasaki, H.; et al. A role for heterologous gap junctions between melanoma and endothelial cells in metastasis. J. Clin. Investig. 2000, 105, 1189–1197. [Google Scholar] [CrossRef] [Green Version]
- Longo, N.; Yanez-Mo, M.; Mittelbrunn, M.; de la Rosa, G.; Munoz, M.L.; Sanchez-Madrid, F.; Sanchez-Mateos, P. Regulatory role of tetraspanin CD9 in tumor-endothelial cell interaction during transendothelial invasion of melanoma cells. Blood 2001, 98, 3717–3726. [Google Scholar] [CrossRef] [Green Version]
- Iwasaki, T.; Takeda, Y.; Maruyama, K.; Yokosaki, Y.; Tsujino, K.; Tetsumoto, S.; Kuhara, H.; Nakanishi, K.; Otani, Y.; Jin, Y.; et al. Deletion of Tetraspanin CD9 Diminishes Lymphangiogenesis in Vivo and in Vitro. J. Biol. Chem. 2013, 288, 2118–2131. [Google Scholar] [CrossRef] [PubMed] [Green Version]
- Ubellacker, J.M.; Tasdogan, A.; Ramesh, V.; Shen, B.; Mitchell, E.C.; Martin-Sandoval, M.S.; Gu, Z.; McCormick, M.L.; Durham, A.B.; Spitz, D.R.; et al. Lymph protects metastasizing melanoma cells from ferroptosis. Nature 2020, 585, 113–118. [Google Scholar] [CrossRef]
- Barnhill, R.L.; Fine, J.A.; Roush, G.C.; Dowling, J.P.; Kelly, J.W. Predicting five year outcome for patients with cutaneous melanoma in a population-based study. Cancer 2020, 78, 427–432. [Google Scholar] [CrossRef]
- Susok, A.; Stucker, M.; Bechara, F.G.; Stockfleth, E.; Gambichler, T. Multivariate analysis of prognostic factors in patients with nodular melanoma. J. Cancer Res. Clin. Oncol. 2021, 147, 2759–2764. [Google Scholar] [CrossRef]
- Paek, S.C.; Griffith, K.A.; Johnson, T.M.; Sondak, V.K.; Wong, S.L.; Chang, A.E.; Cimmino, V.M.; Lowe, L.; Bradford, C.R.; Rees, R.S.; et al. The impact of factors beyond Breslow depth on predicting sentinel lymph node positivity in melanoma. Cancer 2007, 109, 100–108. [Google Scholar] [CrossRef] [Green Version]
- Piñero, A.; Canteras, M.; Ortiz, E.; Martínez-Barba, E.; Parrilla, P. Validation of a nomogram to predict the presence of sentinel lymph node metastases in melanoma. Ann. Surg. Oncol. 2008, 15, 2874–2877. [Google Scholar] [CrossRef]
- Bellomo, D.; Arias-Mejias, S.M.; Ramana, C.; Heim, J.B.; Quattrocchi, E.; Sominidi-Damodaran, S.; Bridges, A.G.; Lehman, J.S.; Hieken, T.J.; Jakub, J.W.; et al. Model Combining Tumor Molecular and Clinicopathologic Risk Factors Predicts Sentinel Lymph Node Metastasis in Primary Cutaneous Melanoma. JCO Precis. Oncol. 2020, 4, 319–334. [Google Scholar] [CrossRef]
- Liszkay, G.; Mátrai, Z.; Czirbesz, K.; Jani, N.; Bencze, E.; Kenessey, I. Predictive and Prognostic Value of BRAF and NRAS Mutation of 159 Sentinel Lymph Node Cases in Melanoma-A Retrospective Single-Institute Study. Cancers 2021, 13, 3302. [Google Scholar] [CrossRef]
- Johansson, I.; Tempel, D.; Dwarkasing, J.T.; Rentroia-Pacheco, B.; Mattsson, J.; Ny, L.; Olofsson Bagge, R. Validation of a clinicopathological and gene expression profile model to identify patients with cutaneous melanoma where sentinel lymph node biopsy is unnecessary. Eur. J. Surg. Oncol. 2022, 48, 320–325. [Google Scholar] [CrossRef] [PubMed]
- Mulder, E.E.A.P.; Dwarkasing, J.T.; Tempel, D.; van der Spek, A.; Bosman, L.; Verver, D.; Mooyaart, A.L.; van der Veldt, A.A.M.; Verhoef, C.; Nijsten, T.E.C.; et al. Validation of a clinicopathological and gene expression profile model for sentinel lymph node metastasis in primary cutaneous melanoma. Br. J. Dermatol. 2021, 184, 944–951. [Google Scholar] [CrossRef] [PubMed]
- Lever, W.F.; Schaumburg-Lever, G. Histopathology of the Skin; J.B. Lippincott: Philadelphia, PA, USA, 1990. [Google Scholar]
- Simonetti, O.; Goteri, G.; Lucarini, G.; Filosa, A.; Pieramici, T.; Offidani, A. Potential role of CCL27 and CCR10 expression in melanoma progression and immune escape. Eur. J. Cancer 2006, 42, 1181–1187. [Google Scholar] [CrossRef] [PubMed]





| Characteristic | Patient Number p-Value |
|---|---|
| Gender | |
| Male | 75 |
| Female | 65 |
| Age | |
| <40 years | 50 |
| ≥40 years | 90 |
| Melanocytic nevus | 20 |
| Primary melanoma | 120 |
| Breslow thickness | |
| ≤1.0 mm (thin) | 24 |
| 1.1–4.0 mm (intermediate) | 56 |
| >4.0 mm (thick) | 40 |
| Clark level | |
| II | 8 |
| III | 16 |
| IV | 64 |
| V | 32 |
| Tumor ulceration presence | |
| Thin melanoma | - |
| Intermediate melanoma | 12 (21.4%) |
| Thick melanoma | 22 (55%) <0.01 * |
| Sentinel lymph node biopsy (SNB) performed | 96 |
| Positive sentinel nodes | 44 |
| Intermediate melanoma | 16 (29%) |
| Thick melanoma | 28 (70%) <0.001 * |
| Distant metastasis (M1) | |
| Thin melanoma M1 | - |
| Intermediate melanoma M1 | 20 (35%) |
| Thick melanoma M1 | 25 (62%) |
| SNB Risk Factor | No. Cases a | No. Controls b | Odds Ratio | 95% CI |
|---|---|---|---|---|
| Gender | ||||
| Female | 20 | 20 | 1 | Referent |
| Male | 24 | 32 | 0.75 | 0.332–1.694 |
| p = 0.49 | ||||
| Age | ||||
| <40 | 15 | 15 | 1 | Referent |
| ≥40 | 29 | 37 | 0.783 | 0.330–1.862 |
| p = 0.58 | ||||
| Breslow thickness | ||||
| Intermediate | 16 | 40 | 1 | Referent |
| Thick | 28 | 12 | 5.833 | 2.394–14.216 |
| p < 0.001 | ||||
| Tumor ulceration | ||||
| Absence | 12 | 50 | 1 | Referent |
| Presence | 22 | 12 | 7.639 | 2.971–19.639 |
| p < 0.0001 | ||||
| CD9 expression | ||||
| Negativity | 0 | 52 | 1 | Referent |
| Positivity | 44 | 0 | 8505 | 1651.8–437,916.42 |
| p < 0.0001 | ||||
| Variable | HR | 95% CI (HR) | p-Value |
|---|---|---|---|
| Gender | |||
| Female | 1 | Referent | |
| Male | 0.965 | 1.019–1.722 | 0.864 |
| Age | |||
| <40 | 1 | Referent | |
| ≥40 | 0.992 | 334–2.468 | 0.561 |
| Breslow thickness | |||
| Thin | 1 | Referent | |
| Intermediate | 1.15 | 0.321–4.120 | 0.761 |
| Thick | 1.65 | 0.641–4.239 | 0.298 |
| Tumor ulceration | |||
| Absence | 1 | Referent | |
| Presence | 3.741 | 1.377–10.164 | 0.010 |
| SNB status | |||
| Negative | 1 | Referent | |
| Positive | 17.323 | 4.229–70.958 | 0.0001 |
| Not recommended a | 1.105 | 0.448–2.725 | 0.658 |
| CD9 expression | |||
| Negative | 1 | Referent | |
| Positive | 13.077 | 2.896–59.046 | 0.0001 |
| Patient’s Characteristics (No. Patients) | CD9+ No. Patients (%) | CD9- No. Patients (%) |
|---|---|---|
| Histology | ||
| Melanocytic nevus (20) | 20 (100%) | - |
| Primary melanoma (120): | ||
| Breslow thickness | ||
| Thin melanoma (24) | - | 24 (100%) |
| Intermediate melanoma (56) | 16 (29%) | 40 (71%) |
| Thick melanoma (40) | 28 (70%) | 12 (30%) |
| Clark level | ||
| II (8) | - | 8 (100%) |
| III (16) | - | 16 (100%) |
| IV (64) | 20 (31%) | 40 (69%) |
| V (32) | 24 (75%) | 8 (25%) |
| Sentinel lymph node biopsy status | ||
| Positive (44) | 44 (100%) | - |
| Negative (52) | - | 52 (100%) |
| Distant metastasis (M) * | ||
| Presence M1 (45) | 29 (64%) ** | 16 (36%) ** |
| Absence M0 (51) | 15 (29%) ** | 36 (71%) ** |
Publisher’s Note: MDPI stays neutral with regard to jurisdictional claims in published maps and institutional affiliations. |
© 2022 by the authors. Licensee MDPI, Basel, Switzerland. This article is an open access article distributed under the terms and conditions of the Creative Commons Attribution (CC BY) license (https://creativecommons.org/licenses/by/4.0/).
Share and Cite
Lucarini, G.; Molinelli, E.; Licini, C.; Rizzetto, G.; Radi, G.; Goteri, G.; Mattioli-Belmonte, M.; Offidani, A.; Simonetti, O. Tetraspanin CD9 Expression Predicts Sentinel Node Status in Patients with Cutaneous Melanoma. Int. J. Mol. Sci. 2022, 23, 4775. https://doi.org/10.3390/ijms23094775
Lucarini G, Molinelli E, Licini C, Rizzetto G, Radi G, Goteri G, Mattioli-Belmonte M, Offidani A, Simonetti O. Tetraspanin CD9 Expression Predicts Sentinel Node Status in Patients with Cutaneous Melanoma. International Journal of Molecular Sciences. 2022; 23(9):4775. https://doi.org/10.3390/ijms23094775
Chicago/Turabian StyleLucarini, Guendalina, Elisa Molinelli, Caterina Licini, Giulio Rizzetto, Giulia Radi, Gaia Goteri, Monica Mattioli-Belmonte, Annamaria Offidani, and Oriana Simonetti. 2022. "Tetraspanin CD9 Expression Predicts Sentinel Node Status in Patients with Cutaneous Melanoma" International Journal of Molecular Sciences 23, no. 9: 4775. https://doi.org/10.3390/ijms23094775
APA StyleLucarini, G., Molinelli, E., Licini, C., Rizzetto, G., Radi, G., Goteri, G., Mattioli-Belmonte, M., Offidani, A., & Simonetti, O. (2022). Tetraspanin CD9 Expression Predicts Sentinel Node Status in Patients with Cutaneous Melanoma. International Journal of Molecular Sciences, 23(9), 4775. https://doi.org/10.3390/ijms23094775

