Molecular Contrast Optical Coherence Tomography and Its Applications in Medicine
Abstract
1. Introduction
2. Conventional OCT
2.1. Background
2.2. Engineered Particle-Based Method and Its Applications
3. Pump–Probe OCT and Its Applications
4. Pump Suppression OCT and Its Applications
5. Nonlinear Interferometric Vibrational Imaging and Its Applications
6. Second Harmonic OCT and Its Applications
7. Magnetomotive OCT and Its Applications
8. Photothermal OCT and Its Applications
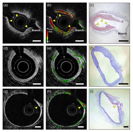
9. Spectroscopic OCT and Its Applications
10. Polarization-Sensitive OCT and Its Applications
11. Discussion and Outlook
11.1. Molecular Contrast OCT Techniques
11.2. Molecular Contrast Agents
| Name | Type | Modalities | Sample | Potential Applications | Citation |
|---|---|---|---|---|---|
| Melanin | Chromophore | PP-OCT | Scattering phantom | Melanoma | [42] |
| Melanin | Chromophore | PT-OCT | Pigmented mice eyes | Retinal disease | [115] |
| Melanocyte | Cell | S-OCT | Xenopus laevis | Nonspecific | [119] |
| Hemoglobin | Protein | PP-OCT | Multilayer phantom | Blood | [43] |
| Hemoglobin | Protein | S-OCT | In vivo mouse dorsal skin | Hypoxia and angiogenesis | [130] |
| Collagen | Protein | SH-OCT | Fish skin and young chicken wing bone | Cartilage and bone | [68] |
| Collagen | Protein | SH-OCT | Multilayer phantom | Skin | [70] |
| Collagen | Protein | SH-OCT | Rat-tail tendon | wound healing, aging, diabetes, and cancer | [71] |
| Collagen | Protein | SH-OCT | Fish scales, pig leg tendon, and rabbit eye sclera | In vivo endoscopic applications | [74] |
| Collagen | Protein | SH-OCT | Fish scales | Skin | [75] |
| Collagen | Protein | PS-OCT | Tendon and Zebrafish | Muscles | [142,143] |
| Lipid | Lipid | S-OCT | In vivo atherosclerotic rabbit model | Atherosclerosis | [128] |
| Blood plasma | Blood plasma | PT-OCT | Live rat ear | Vasculature system | [110] |
| Nerve fiber | Nerve fiber | PS-OCT | Nerve fibers in human eyes and rat model | Nerve system | [139,140] |
| dsRed | Protein | PP-OCT | Mouse mammary carcinoma cells | Breast cancer | [43] |
| Bacteriorhodopsin | Protein | Pump suppression OCT | Phantom | Nonspecific | [54] |
| Phytochrome A | Protein | Pump suppression OCT | Scattering phantom | Nonspecific | [55] |
| Benzene | Organic compound | NIVI | Phantom | Nonspecific | [59,61] |
| Acetone | Organic compound | NIVI | Phantom | Nonspecific | [62] |
| ICG | Dye | PP-OCT | Scattering phantom | Nonspecific | [41] |
| ICG | Dye | PT-OCT | Ex vivo pig eyes | Retinal surgery | [117] |
| ICG | Dye | S-OCT | Xenopus laevis | Nonspecific | [121] |
| MB | Dye | PP-OCT | Scattering phantom | Nonspecific | [45,54] |
| MB | Dye | PP-OCT | Live Xenopus tadpoles | Lymphatic and vasculature systems | [49] |
| ADS7460 | Dye | S-OCT | Celery stalk | Cancer and Vasculature system | [120] |
| IR806 | Dye | PT-OCT | Scattering phantom | Nonspecific | [108] |
| MB filled PLGA nanoparticles | Compound nanoparticle | PP-OCT | Human postmortem artery sections | Atherosclerosis | [51,52,53] |
| Gas vesicle | Compound nanoparticle | Engineered particle-based method | In vivo mouse retina | Nonspecific | [40] |
| Hematite (Fe2O3) microparticle | Magnetic particles | MM-OCT | Macrophages | Cancer | [88,89] |
| Magnetite microparticle | Magnetic particles | MM-OCT | In vivo Xenopus laevis | Nonspecific | [90,178] |
| Fe3O4 nanoparticle | Magnetic nanoparticle | MM-OCT | Zebrafish | Endoscopic imaging | [95] |
| Fe3O4 nanoparticle | Magnetic nanoparticle | MM-OCT | Mice breast tumor tissue | Cancer | [91] |
| Nano-screenMAG | Compound nanoparticles | MM-OCT | Scattering phantom and human mesenchymal stem cells | 3D cell tracking in the retina | [179] |
| Polymer-coated magnetite nanoparticle | Compound nanoparticle | MM-OCT | Mice breast tumor tissue | Cancer | [91] |
| Polymer-coated Fe3O4 nanoparticle | Compound nanoparticle | MM-OCT | Live Swiss albino mice dorsal part skin | Nonspecific | [86] |
| Polymer-coated Fe3O4 nanoparticle | Compound nanoparticle | PT-OCT | Live Swiss albino mice dorsal part skin | Nonspecific | [86] |
| Dextran-coated Fe3O4 nanoparticle | Compound nanoparticle | MM-OCT | Melanoma mice model | Melanoma | [96] |
| Protein-coated iron oxide microparticle | Compound nanoparticles | MM-OCT | Scattering phantom | Nonspecific | [87] |
| Polyethylene glycol-covered iron oxides particle | Compound nanoparticle | MM-OCT | Ex vivo aorta specimens | Atherosclerosis | [94] |
| Iron-gold (Fe-Au) nanoparticle | Compound nanoparticle | MM-OCT | In vivo Swiss albino mice model | Melanoma | [100] |
| Superparamagnetic iron oxide nanoparticle | SPIONs | MM-OCT | Human cervical cancer (HeLa) cells | Cancer | [99] |
| amino-polyvinyl alcohol coated SPIONs | SPIONs | MM-OCT | Melanoma skin cancer samples of mice | Cancer | [97] |
| Magnetic graphene quantum dot nanoparticle | Compound nanoparticle | MM-OCT | 3T3 cells | Tracking transplanted corneal stem cells | [98] |
| Iron oxide nanoparticle- encapsulated microsphere | Compound nanoparticle | MM-OCT | Cancer cells | Cancer | [101] |
| NaGdF4: Er3+/Yb3+ nanoparticle | Upconversion nanoparticles | PT-OCT | Chicken tissue | Pharmacokinetics and theranostics studies | [114] |
| Gold nanorod | Gold nanoparticle | S-OCT | Ex vivo human breast carcinoma | Breast cancer | [122] |
| Gold nanorod | Gold nanoparticle | PT-OCT | Live mouse ear | Cancer | [107] |
| Gold nanorod | Gold nanoparticle | PS-OCT | Lymphatics of the hind limb of mice | Cancer | [136] |
| Gold nanorod | Gold nanoparticle | PT-OCT | Sentinel lymph node of mice | Lymphatic system | [111] |
| Gold nanorod | Gold nanoparticle | PT-OCT | Pork tissue | Nonspecific | [112] |
| Gold nanorod | Gold nanoparticle | PT-OCT | Pigmented mice eyes | Retinal disease | [115] |
| ICAM2-targeted gold nanorod | Gold nanoparticle | PT-OCT | Live mice eyes | Sight threatening diseases | [116] |
| Gold nanosphere | Gold nanoparticle | PS-OCT | Phantom | Nonspecific | [163] |
| Gold nanosphere | Gold nanoparticle | PT-OCT | Live cells (MDA-MB-435 and MDA-MB-468) | Nonspecific | [104] |
| Gold nanoshell | Gold nanoparticle | Engineered particle-based method | HeLa and Jurkat cells | Cardiovascular disease | [38] |
| Gold nanoshell | Gold nanoparticle | PT-OCT | Phantom | Cancer | [103] |
| Gold nanoshell | Gold nanoparticle | PT-OCT | Ex vivo human breast tissue | Cancer markers | [106] |
| Gold nanocage | Gold nanoparticle | Engineered particle-based method | Mouse ear tumor | Cancer | [37] |
| Gold nanocage | Gold nanoparticle | S-OCT | Scattering phantom | Nonspecific | [124,125] |
| Antibody-conjugated gold nanoparticle | Compound nanopraticle | Engineered particle-based method | Excised hamster cheek pouch tissues | Cancer | [39] |
| Gold coated iron oxide nanorose | Compound nanoparticle | PT-OCT | Atherosclerotic lesions in rabbit arteries | Atherosclerosis | [105] |
| Gold nanobipyramid | Gold nanoparticle | PS-OCT | Live mouse | Nonspecific | [127] |
12. Conclusions
Funding
Conflicts of Interest
References
- James, M.L.; Gambhir, S.S. A molecular imaging primer: Modalities, imaging agents, and applications. Physiol. Rev. 2012, 92, 897–965. [Google Scholar] [CrossRef] [PubMed]
- Kayyali, M.N.; Brake, L.; Ramsey, A.J.; Wright, A.C.; O’Malley, B.W.; Li, D.D. A Novel Nano-approach for Targeted Inner Ear Imaging. J. Nanomed. Nanotechnol. 2017, 8, 456. [Google Scholar] [CrossRef] [PubMed]
- Choi, D.; Jeon, S.; You, D.G.; Um, W.; Kim, J.Y.; Yoon, H.Y.; Chang, H.; Kim, D.E.; Park, J.H.; Kim, H.; et al. Iodinated Echogenic Glycol Chitosan Nanoparticles for X-ray CT/US Dual Imaging of Tumor. Nanotheranostics 2018, 2, 117–127. [Google Scholar] [CrossRef] [PubMed]
- Yue, L.; Wang, J.; Dai, Z.; Hu, Z.; Chen, X.; Qi, Y.; Zheng, X.; Yu, D. pH-Responsive, Self-Sacrificial Nanotheranostic Agent for Potential In Vivo and In Vitro Dual Modal MRI/CT Imaging, Real-Time, and In Situ Monitoring of Cancer Therapy. Bioconjugate Chem. 2017, 28, 400–409. [Google Scholar] [CrossRef]
- Beik, J.; Jafariyan, M.; Montazerabadi, A.; Ghadimi-Daresajini, A.; Tarighi, P.; Mahmoudabadi, A.; Ghaznavi, H.; Shakeri-Zadeh, A. The benefits of folic acid-modified gold nanoparticles in CT-based molecular imaging: Radiation dose reduction and image contrast enhancement. Artif. Cells Nanomed. Biotechnol. 2018, 46, 1993–2001. [Google Scholar] [CrossRef]
- Zhu, J.; Sun, W.; Zhang, J.; Zhou, Y.; Shen, M.; Peng, C.; Shi, X. Facile Formation of Gold-Nanoparticle-Loaded gamma-Polyglutamic Acid Nanogels for Tumor Computed Tomography Imaging. Bioconjugate Chem. 2017, 28, 2692–2697. [Google Scholar] [CrossRef]
- Walther, J.; Gaertner, M.; Cimalla, P.; Burkhardt, A.; Kirsten, L.; Meissner, S.; Koch, E. Optical coherence tomography in biomedical research. Anal. Bioanal. Chem. 2011, 400, 2721–2743. [Google Scholar] [CrossRef]
- Drexler, W.; Fujimoto, J.G. Optical Coherence Tomography: Technology and Applications; Springer: Cham, Switzerland, 2015; Volume 2. [Google Scholar]
- Yang, C. Molecular contrast optical coherence tomography: A review. Photochem. Photobiol. 2005, 81, 215–237. [Google Scholar] [CrossRef]
- Wieser, W.; Biedermann, B.R.; Klein, T.; Eigenwillig, C.M.; Huber, R. Multi-megahertz OCT: High quality 3D imaging at 20 million A-scans and 4.5 GVoxels per second. Opt. Express 2010, 18, 14685–14704. [Google Scholar] [CrossRef]
- Fan, Y.; Xia, Y.; Zhang, X.; Sun, Y.; Tang, J.; Zhang, L.; Liao, H. Optical coherence tomography for precision brain imaging, neurosurgical guidance and minimally invasive theranostics. Biosci. Trends 2018, 12, 12–23. [Google Scholar] [CrossRef]
- Alexandrov, S.A.; Subhash, H.M.; Zam, A.; Leahy, M. Nano-sensitive optical coherence tomography. Nanoscale 2014, 6, 3545–3549. [Google Scholar] [CrossRef]
- Zhou, Y.; Alexandrov, S.; Nolan, A.; Dey, R.; Das, N.; Neuhaus, K.; Leahy, M. Application of Over-Sampling Nano-Sensitive Optical Coherence Tomography for Monitoring Corneal Internal Structural Changes in Corneal Cross-Linking; SPIE: Bellingham, WA, USA, 2020; Volume 11228. [Google Scholar]
- Duffy, N.; Shaw, G.; Arangath, A.; Alexandrov, S.; Raman, S.; Zhou, Y.; Leahy, M.; Murphy, M. In vitro detection of structural changes in chondrogenic mesenchymal stem cell pellets at the nano-scale using nano-sensitive optical coherance tomography. Osteoarthr. Cartil. 2021, 29, S24–S25. [Google Scholar] [CrossRef]
- Lal, C.; Alexandrov, S.; Rani, S.; Zhou, Y.; Ritter, T.; Leahy, M. Nanosensitive optical coherence tomography to assess wound healing within the cornea. Biomed. Opt. Express 2020, 11, 3407–3422. [Google Scholar] [CrossRef]
- Dsouza, R.; Won, J.; Monroy, G.L.; Hill, M.C.; Porter, R.G.; Novak, M.A.; Boppart, S.A. In vivo detection of nanometer-scale structural changes of the human tympanic membrane in otitis media. Sci. Rep. 2018, 8, 8777. [Google Scholar] [CrossRef]
- Das, N.; Alexandrov, S.; Gilligan, K.; Dwyer, R.; Saager, R.; Ghosh, N.; Leahy, M. Characterization of nanosensitive multifractality in submicron scale tissue morphology and its alteration in tumor progression. J. Biomed. Opt. 2021, 26, 016003. [Google Scholar]
- Lee, T.M.; Oldenburg, A.L.; Sitafalwalla, S.; Marks, D.L.; Luo, W.; Toublan, F.J.; Suslick, K.S.; Boppart, S.A. Engineered microsphere contrast agents for optical coherence tomography. Opt. Lett. 2003, 28, 1546–1548. [Google Scholar] [CrossRef]
- Oldenburg, A.L.; Hansen, M.N.; Zweifel, D.A.; Wei, A.; Boppart, S.A. Plasmon-resonant gold nanorods as low backscattering albedo contrast agents for optical coherence tomography. Opt. Express 2006, 14, 6724–6738. [Google Scholar] [CrossRef]
- Mohan, M.; Maurya, S.K.; Kumar, K.; Poddar, R. In Vitro Imaging of Animal Tissue with Upconversion Nanoparticles (UCNPs) as a Molecular Probing Agent Using Swept Source Optical Coherence Tomography (SSOCT). J. Med. Biol. Eng. 2020, 40, 251–263. [Google Scholar] [CrossRef]
- Gabriele Sandrian, M.; Wollstein, G.; Schuman, J.S.; Bilonick, R.A.; Ling, Y.; Ishikawa, H.; Kagemann, L.; McKenna, K.C. Inflammatory response to intravitreal injection of gold nanorods. Br. J. Ophthalmol. 2012, 96, 1522–1529. [Google Scholar] [CrossRef]
- Ehlers, J.P.; Gupta, P.K.; Farsiu, S.; Maldonado, R.; Kim, T.; Toth, C.A.; Mruthyunjaya, P. Evaluation of contrast agents for enhanced visualization in optical coherence tomography. Investig. Ophthalmol. Vis. Sci. 2010, 51, 6614–6619. [Google Scholar] [CrossRef]
- Ponce de León, Y.; Pichardo-Molina, J.L.; Alcalá Ochoa, N.; Luna-Moreno, D. Contrast Enhancement of Optical Coherence Tomography Images Using Branched Gold Nanoparticles. J. Nanomater. 2012, 2012, 571015. [Google Scholar] [CrossRef]
- Marin, R.; Lifante, J.; Besteiro, L.V.; Wang, Z.; Govorov, A.O.; Rivero, F.; Alfonso, F.; Sanz-Rodríguez, F.; Jaque, D. Plasmonic Copper Sulfide Nanoparticles Enable Dark Contrast in Optical Coherence Tomography. Adv. Healthc. Mater. 2020, 9, 1901627. [Google Scholar] [CrossRef]
- Kim, C.S.; Ingato, D.; Wilder-Smith, P.; Chen, Z.; Kwon, Y.J. Stimuli-disassembling gold nanoclusters for diagnosis of early stage oral cancer by optical coherence tomography. Nano Converg. 2018, 5, 3. [Google Scholar] [CrossRef]
- Voormann, H. Smart Dispersion of Carbon Nanoparticle Epoxy Composites: From Nano to Application. Doctoral Thesis, Technische Universität Hamburg, Hamburg, Germany, 2021. [Google Scholar]
- Zagaynova, E.; Shirmanova, M.; Kirillin, M.Y.; Khlebtsov, B.; Orlova, A.; Balalaeva, I.; Sirotkina, M.; Bugrova, M.; Agrba, P.; Kamensky, V. Contrasting properties of gold nanoparticles for optical coherence tomography: Phantom, in vivo studies and Monte Carlo simulation. Phys. Med. Biol. 2008, 53, 4995. [Google Scholar] [CrossRef]
- Chen, J.; Saeki, F.; Wiley, B.J.; Cang, H.; Cobb, M.J.; Li, Z.-Y.; Au, L.; Zhang, H.; Kimmey, M.B.; Li, X. Gold nanocages: Bioconjugation and their potential use as optical imaging contrast agents. Nano Lett. 2005, 5, 473–477. [Google Scholar] [CrossRef]
- Troutman, T.S.; Barton, J.K.; Romanowski, M. Optical coherence tomography with plasmon resonant nanorods of gold. Opt. Lett. 2007, 32, 1438–1440. [Google Scholar] [CrossRef]
- Barkhade, T.; Indoliya, A.; Poddar, R.; Mahapatra, S.K.; Banerjee, I. Iron content titanium dioxide nanoparticles as exogenous contrast agent for tissue imaging using swept-source optical coherence tomography. AIP Adv. 2021, 11, 015023. [Google Scholar] [CrossRef]
- Liba, O.; SoRelle, E.D.; Sen, D.; de la Zerda, A. Contrast-enhanced optical coherence tomography with picomolar sensitivity for functional in vivo imaging. Sci. Rep. 2016, 6, 23337. [Google Scholar] [CrossRef]
- Nguyen, V.-P.; Li, Y.; Henry, J.; Zhang, W.; Wang, X.; Paulus, Y.M. Gold Nanorod Enhanced Photoacoustic Microscopy and Optical Coherence Tomography of Choroidal Neovascularization. ACS Appl. Mater. Interfaces 2021, 13, 40214–40228. [Google Scholar] [CrossRef]
- Nguyen, V.P.; Li, Y.; Henry, J.; Zhang, W.; Aaberg, M.; Jones, S.; Qian, T.; Wang, X.; Paulus, Y.M. Plasmonic Gold Nanostar-Enhanced Multimodal Photoacoustic Microscopy and Optical Coherence Tomography Molecular Imaging to Evaluate Choroidal Neovascularization. ACS Sens. 2020, 5, 3070–3081. [Google Scholar] [CrossRef]
- Nguyen, V.P.; Folz, J.; Li, Y.; Henry, J.; Zhang, W.; Qian, T.; Wang, X.; Paulus, Y.M. Indocyanine green-enhanced multimodal photoacoustic microscopy and optical coherence tomography molecular imaging of choroidal neovascularization. J. Biophotonics 2021, 14, e202000458. [Google Scholar] [CrossRef] [PubMed]
- Nguyen, V.P.; Qian, W.; Wang, X.; Paulus, Y.M. Functionalized contrast agents for multimodality photoacoustic microscopy, optical coherence tomography, and fluorescence microscopy molecular retinal imaging. Methods Enzym. 2021, 657, 443–480. [Google Scholar] [CrossRef]
- Nguyen, V.P.; Qian, W.; Li, Y.; Liu, B.; Aaberg, M.; Henry, J.; Zhang, W.; Wang, X.; Paulus, Y.M. Chain-like gold nanoparticle clusters for multimodal photoacoustic microscopy and optical coherence tomography enhanced molecular imaging. Nat. Commun. 2021, 12, 34. [Google Scholar] [CrossRef] [PubMed]
- Chen, Y.; Xi, J.; Lee, D.; Ramella-Roman, J.; Li, X. The first scattering-dominant structured gold nanoparticles for enhancing OCT backscattering and imaging contrast. In Proceedings of the Biomedical Optics and 3-D Imaging, Miami, FL, USA, 28 April 2012; p. BTu3A.94. [Google Scholar]
- Hu, J.; Sanz-Rodríguez, F.; Rivero, F.; Rodríguez, E.M.; Torres, R.A.; Ortgies, D.H.; Solé, J.G.; Alfonso, F.; Jaque, D. Gold nanoshells: Contrast agents for cell imaging by cardiovascular optical coherence tomography. Nano Res. 2018, 11, 676–685. [Google Scholar] [CrossRef]
- Kim, C.S.; Wilder-Smith, P.; Ahn, Y.-C.; Liaw, L.-H.L.; Chen, Z.; Kwon, Y.J. Enhanced detection of early-stage oral cancer in vivo by optical coherence tomography using multimodal delivery of gold nanoparticles. J. Biomed. Opt. 2009, 14, 034008. [Google Scholar] [CrossRef]
- Lu, G.J.; Chou, L.D.; Malounda, D.; Patel, A.K.; Welsbie, D.S.; Chao, D.L.; Ramalingam, T.; Shapiro, M.G. Genetically Encodable Contrast Agents for Optical Coherence Tomography. ACS Nano 2020, 14, 7823–7831. [Google Scholar] [CrossRef]
- Rao, K.D.; Choma, M.A.; Yazdanfar, S.; Rollins, A.M.; Izatt, J.A. Molecular contrast in optical coherence tomography by use of a pump-probe technique. Opt. Lett. 2003, 28, 340–342. [Google Scholar] [CrossRef]
- Jacob, D.; Shelton, R.L.; Applegate, B.E. Fourier domain Pump-Probe Optical Coherence Tomography imaging of melanin. Opt. Express 2010, 18, 12399–12410. [Google Scholar] [CrossRef]
- Applegate, B.E.; Izatt, J.A. Molecular imaging of endogenous and exogenous chromophores using ground state recovery pump-probe optical coherence tomography. Opt. Express 2006, 14, 9142–9155. [Google Scholar] [CrossRef]
- IAEA. Occupational Radiation Protection; International Atomic Energy Agency: Vienna, Austria, 2018. [Google Scholar]
- Yaqoob, Z.; Fingler, J.P.; Lintner, S.p.; Applegate, B.E.; Yang, C. Pump-probe scheme for optical coherence tomography using indocyanine green mixed with albumin or human plasma. In Proceedings of the Conference on Lasers and Electro-Optics/Quantum Electronics and Laser Science and Photonic Applications Systems Technologies, Baltimore, MD, USA, 22 May 2005; p. CFA3. [Google Scholar]
- Yaqoob, Z.; McDowell, E.J.; Wu, J.; Heng, X.; Fingler, J.P.; Yang, C. Molecular contrast optical coherence tomography: A pump-probe scheme using indocyanine green as a contrast agent. J. Biomed. Opt. 2006, 11, 1–12. [Google Scholar] [CrossRef]
- Carrasco-Zevallos, O.; Shelton, R.; Applegate, B. Pump-probe optical coherence tomography imaging of Zenopus tadpole vasculature ex vivo. In Proceedings of the the Biomedical Optics and 3-D Imaging, Miami, FL, USA, 28 April 2012; p. BW2A.3. [Google Scholar]
- Carrasco-Zevallos, O.; Shelton, R.; Kim, W.; Pearson, J.; Applegate, B. In vivo molecular contrast optical coherence tomography for vasculature imaging and increased molecular specificity. In Proceedings of the Optics in the Life Sciences, Waikoloa Beach, HI, USA, 14 April 2013; p. NW5B.6. [Google Scholar]
- Carrasco-Zevallos, O.; Shelton, R.L.; Kim, W.; Pearson, J.; Applegate, B.E. In vivo pump-probe optical coherence tomography imaging in Xenopus laevis. J. Biophotonics 2015, 8, 25–35. [Google Scholar] [CrossRef]
- Kim, W.; Zebrowski, E.; Lopez, H.C.; Applegate, B.E.; Charoenphol, P.; Jo, J.A. Pump-probe optical coherence tomography using microencapsulated methylene blue as a contrast agent. In Proceedings of the SPIE BiOS, San Francisco, CA, USA, 1 March 2016. [Google Scholar]
- Serafino, M.; Jo, J.A.; Charoenphol, P.; Applegate, B.E. Methylene blue-filled biodegradable polymer particles as a contrast agent for optical coherence tomography. Biomed. Opt. Express 2020, 11, 4255–4274. [Google Scholar] [CrossRef]
- Palma-Chavez, J.; Kim, W.; Applegate, B.; Charoenphol, P.; Jo, J. Contrast Enhancement of Pump-Probe Optical Coherence Tomography (PP-OCT) Based Molecular Imaging Using Methylene Blue Loaded PLGA Particles. In Proceedings of the SPIE BiOS, San Francisco, CA, USA, 15 March 2018. [Google Scholar]
- Applegate, B.E. Molecular Contrast Optical Coherence Tomography with PLGA Encapsulated Methylene Blue. In Proceedings of the Biophotonics Congress: Optics in the Life Sciences Congress 2019 (BODA BRAIN, NTM, OMA, OMP), Tucson, AZ, USA, 14 April 2019; p. OW5D.2. [Google Scholar]
- Yang, C.; Rao, K.; Choma, M.; Yazdanfar, S.; Rollins, A.; Izatt, J. Molecular contrast in optical coherence tomography using a pump-probe technique and a optical switch suppression technique. In Proceedings of the European Conferences on Biomedical Optics 2003, Munich, Germany, 22 June 2003. [Google Scholar]
- Yang, C.; Choma, M.A.; Lamb, L.E.; Simon, J.D.; Izatt, J.A. Protein-based molecular contrast optical coherence tomography with phytochrome as the contrast agent. Opt. Lett. 2004, 29, 1396–1398. [Google Scholar] [CrossRef]
- Jain, A.; Singh, S.K.; Arya, S.K.; Kundu, S.C.; Kapoor, S. Protein Nanoparticles: Promising Platforms for Drug Delivery Applications. ACS Biomater. Sci. Eng. 2018, 4, 3939–3961. [Google Scholar] [CrossRef]
- Ma, W.; Saccardo, A.; Roccatano, D.; Aboagye-Mensah, D.; Alkaseem, M.; Jewkes, M.; Di Nezza, F.; Baron, M.; Soloviev, M.; Ferrari, E. Modular assembly of proteins on nanoparticles. Nat. Commun. 2018, 9, 1489. [Google Scholar] [CrossRef]
- Gong, L.; Zheng, W.; Ma, Y.; Huang, Z. Higher-order coherent anti-Stokes Raman scattering microscopy realizes label-free super-resolution vibrational imaging. Nat. Photonics 2020, 14, 115–122. [Google Scholar] [CrossRef]
- Daniel, L.M.; Jeremy, B.; Selezion, H.; Dana, D.D.; Barbara, K.; Martin, G.; Stephen, A.B. Molecular species-sensitive optical coherence tomography using coherent anti-stokes Raman scattering spectroscopy. In Proceedings of the SPIE Biomedical Optics, San Jose, CA, USA, 8 July 2003. [Google Scholar]
- Bredfeldt, J.S.; Marks, D.L.; Hambir, S.; Dlott, D.; Boppart, S.A. Non-linear interferometric vibrational imaging. In Proceedings of the Conference on Lasers and Electro-Optics/Quantum Electronics and Laser Science Conference, Baltimore, MD, USA, 1 June 2003; p. CMU4. [Google Scholar]
- Vinegoni, C.; Bredfeldt, J.S.; Marks, D.L.; Boppart, S.A. Nonlinear optical contrast enhancement for optical coherence tomography. Opt. Express 2004, 12, 331–341. [Google Scholar] [CrossRef]
- Bredfeldt, J.S.; Vinegoni, C.; Marks, D.L.; Boppart, S.A. Molecularly sensitive optical coherence tomography. Opt. Lett. 2005, 30, 495–497. [Google Scholar] [CrossRef]
- Chowdary, P.D.; Jiang, Z.; Chaney, E.J.; Benalcazar, W.A.; Marks, D.L.; Gruebele, M.; Boppart, S.A. Molecular Histopathology by Spectrally Reconstructed Nonlinear Interferometric Vibrational Imaging. Cancer Res. 2010, 70, 9562. [Google Scholar] [CrossRef]
- Camp, C.H., Jr.; Cicerone, M.T. Chemically sensitive bioimaging with coherent Raman scattering. Nat. Photonics 2015, 9, 295–305. [Google Scholar] [CrossRef]
- Valensise, C.M.; Kumar, V.; De la Cadena, A.; De Silvestri, S.; Cerullo, G.; Polli, D. Vibrational phase imaging by stimulated Raman scattering via polarization-division interferometry. Opt. Express 2019, 27, 19407–19417. [Google Scholar] [CrossRef]
- Li, S.; Li, Y.; Yi, R.; Liu, L.; Qu, J. Coherent Anti-Stokes Raman Scattering Microscopy and Its Applications. Front. Phys. 2020, 8, 515. [Google Scholar] [CrossRef]
- Mattison, S.P.; Kim, W.; Park, J.; Applegate, B.E. Molecular Imaging in Optical Coherence Tomography. Curr. Mol. Imaging 2014, 3, 88–105. [Google Scholar] [CrossRef]
- Marinko, V.S.; Brian, E.A.; Joseph, A.I. Spectral domain second harmonic optical coherence tomography. In Proceedings of the SPIE, San Jose, CA, USA, 30 March 2005. [Google Scholar]
- Sang-Won, L.; Beop-Min, K. Spectral Domain Second Harmonic Optical Coherence Tomography. In Proceedings of the 2005 Pacific Rim Conference on Lasers & Electro-Optics, Tokyo, Japan, 14 July 2005; pp. 197–198. [Google Scholar]
- Jiang, Y.; Tomov, I.; Wang, Y.; Chen, Z. Second-harmonic optical coherence tomography. Opt. Lett. 2004, 29, 1090–1092. [Google Scholar] [CrossRef]
- Jiang, Y.; Tomov, I.V.; Wang, Y.; Chen, Z. High-resolution second-harmonic optical coherence tomography of collagen in rat-tail tendon. Appl. Phys. Lett. 2005, 86, 133901. [Google Scholar] [CrossRef]
- Shoulders, M.D.; Raines, R.T. Collagen structure and stability. Annu. Rev. Biochem. 2009, 78, 929–958. [Google Scholar] [CrossRef]
- Ryu, S.Y.; Lee, B.H.; Tomov, I.; Chen, Z. Second Harmonic Optical Coherence Tomography based on Broadband Photonic Crystal Fiber Coupler. In Proceedings of the Conference on Lasers and Electro-Optics/Pacific Rim 2007, Seoul, Korea, 26 August 2007; p. ThP_066. [Google Scholar]
- Su, J.; Tomov, I.V.; Jiang, Y.; Chen, Z. High-resolution frequency-domain second-harmonic optical coherence tomography. Appl. Opt. 2007, 46, 1770–1775. [Google Scholar] [CrossRef]
- Applegate, B.E.; Yang, C.; Rollins, A.M.; Izatt, J.A. Polarization-resolved second-harmonic-generation optical coherence tomography in collagen. Opt. Lett. 2004, 29, 2252–2254. [Google Scholar] [CrossRef][Green Version]
- Yuting, L.; Li, C.; Zhou, K.; Guan, G.; Appleton, P.L.; Lang, S.; McGloin, D.; Huang, Z.; Nabi, G. Microscale characterization of prostate biopsies tissues using optical coherence elastography and second harmonic generation imaging. Lab. Investig. 2018, 98, 380–390. [Google Scholar] [CrossRef]
- Wang, N.; Wei, H.; Jin, Y.; Chen, L.; Zhang, Q.; Deng, X. Monitoring Skin Trauma Healing in Mice Using Second-Harmonic Generation Combined with Optical Coherence Tomography. IEEE Photonics J. 2017, 9, 1–12. [Google Scholar] [CrossRef]
- Song, Q.; Wan, C.; Johnson, C.K. Time-resolved second harmonic generation in the randomly oriented purple membrane. J. Phys. Chem. 1994, 98, 1999–2001. [Google Scholar] [CrossRef]
- Hendrickx, E.; Clays, K.; Persoons, A.; Dehu, C.; Bredas, J.-L. The bacteriorhodopsin chromophore retinal and derivatives: An experimental and theoretical investigation of the second-order optical properties. J. Am. Chem. Soc. 1995, 117, 3547–3555. [Google Scholar] [CrossRef]
- Sarkar, R.; Mishra, K.; Harshita Das, P.K.; Ramakrishnan, S. Probing Polymer Chain Folding in Solution Using Second Harmonic Light Scattering. Langmuir 2021, 37, 12457–12465. [Google Scholar] [CrossRef] [PubMed]
- Dikkumbura, A.S.; Hamal, P.; Chen, M.; Babayode, D.A.; Ranasinghe, J.C.; Lopata, K.; Haber, L.H. Growth Dynamics of Colloidal Silver–Gold Core–Shell Nanoparticles Studied by In Situ Second Harmonic Generation and Extinction Spectroscopy. J. Phys. Chem. C 2021, 125, 25615–25623. [Google Scholar] [CrossRef]
- Zhu, S.-D.; Hu, J.-J.; Dong, L.; Wen, H.-R.; Liu, S.-J.; Lu, Y.-B.; Liu, C.-M. Multifunctional Zn(II)-Yb(III) complex enantiomers showing second-harmonic generation, near-infrared luminescence, single-molecule magnet behaviour and proton conduction. J. Mater. Chem. C 2020, 8, 16032–16041. [Google Scholar] [CrossRef]
- Golaraei, A.; Mostaço-Guidolin, L.B.; Raja, V.; Navab, R.; Wang, T.; Sakashita, S.; Yasufuku, K.; Tsao, M.-S.; Wilson, B.C.; Barzda, V. Polarimetric second-harmonic generation microscopy of the hierarchical structure of collagen in stage I-III non-small cell lung carcinoma. Biomed. Opt. Express 2020, 11, 1851–1863. [Google Scholar] [CrossRef]
- Golaraei, A.; Mirsanaye, K.; Ro, Y.; Krouglov, S.; Akens, M.K.; Wilson, B.C.; Barzda, V. Collagen chirality and three-dimensional orientation studied with polarimetric second-harmonic generation microscopy. J. Biophotonics 2019, 12, e201800241. [Google Scholar] [CrossRef]
- Mansfield, J.C.; Mandalia, V.; Toms, A.; Winlove, C.P.; Brasselet, S. Collagen reorganization in cartilage under strain probed by polarization sensitive second harmonic generation microscopy. J. R. Soc. Interface 2019, 16, 20180611. [Google Scholar] [CrossRef]
- Indoliya, A.; Mohan, M.; Kharey, P.; Gupta, S.; Poddar, R. Polymerically modified superparamagnetic iron oxide nanoparticles as a multi-model molecular probe for functionalized optical coherence tomography. Opt. Laser Technol. 2021, 141, 107108. [Google Scholar] [CrossRef]
- Toublan, F.J.J.; Suslick, K.S.; Reynolds, J.J.; Hartleben, S.H.; Sitafalwalla, S.; Boppart, S.A. Magnetically-inducible optical contrast agents for optical coherence tomography. In Proceedings of the Biomedical Topical Meeting, Miami Beach, FL, USA, 7 April 2002; p. MA4. [Google Scholar]
- Oldenburg, A.L.; Gunther, J.R.; Marks, D.L.; Toublan, F.J.-J.; Suslick, K.S.; Boppart, S.A. Selective OCT imaging of cells using magnetically-modulated optical contrast agents. In Proceedings of the Conference on Lasers and Electro-Optics/Quantum Electronics and Laser Science Conference, Baltimore, MD, USA, 1 June 2003; p. CMBB2. [Google Scholar]
- Oldenburg, A.L.; Gunther, J.R.; Boppart, S.A. Imaging magnetically labeled cells with magnetomotive optical coherence tomography. Opt. Lett. 2005, 30, 747–749. [Google Scholar] [CrossRef]
- Oldenburg, A.; Toublan, F.; Suslick, K.; Wei, A.; Boppart, S. Magnetomotive contrast for in vivo optical coherence tomography. Opt. Express 2005, 13, 6597–6614. [Google Scholar] [CrossRef]
- Oldenburg, A.L.; Crecea, V.; Rinne, S.A.; Boppart, S.A. Phase-resolved magnetomotive OCT for imaging nanomolar concentrations of magnetic nanoparticles in tissues. Opt. Express 2008, 16, 11525–11539. [Google Scholar] [CrossRef]
- Oh, J.; Feldman, M.D.; Kim, J.; Kang, H.W.; Sanghi, P.; Milner, T.E. Magneto-motive detection of tissue-based macrophages by differential phase optical coherence tomography. Lasers Surg. Med. 2007, 39, 266–272. [Google Scholar] [CrossRef]
- Kim, J.; Ahmad, A.; Boppart, S.A. Dual-coil magnetomotive optical coherence tomography for contrast enhancement in liquids. Opt. Express 2013, 21, 7139–7147. [Google Scholar] [CrossRef]
- Kim, J.; Ahmad, A.; Li, J.; Marjanovic, M.; Chaney, E.J.; Suslick, K.S.; Boppart, S.A. Intravascular magnetomotive optical coherence tomography of targeted early-stage atherosclerotic changes in ex vivo hyperlipidemic rabbit aortas. J. Biophotonics 2016, 9, 109–116. [Google Scholar] [CrossRef]
- Ma, Z.; Liu, X.; Yin, B.; Zhao, Y.; Liu, J.; Yu, Y.; Wang, Y. Common-path–based device for magnetomotive OCT noise reduction. Appl. Opt. 2020, 59, 1431–1437. [Google Scholar] [CrossRef]
- Huang, P.C.; Chaney, E.J.; Aksamitiene, E.; Barkalifa, R.; Spillman, D.R., Jr.; Bogan, B.J.; Boppart, S.A. Biomechanical sensing of in vivo magnetic nanoparticle hyperthermia-treated melanoma using magnetomotive optical coherence elastography. Theranostics 2021, 11, 5620–5633. [Google Scholar] [CrossRef]
- Wijesinghe, R.E.; Park, K.; Kim, D.H.; Jeon, M.; Kim, J. In vivo imaging of melanoma-implanted magnetic nanoparticles using contrast-enhanced magneto-motive optical Doppler tomography. J. Biomed. Opt. 2016, 21, 64001. [Google Scholar] [CrossRef][Green Version]
- Li, W.; Song, W.; Chen, B.; Matcher, S.J. Superparamagnetic graphene quantum dot as a dual-modality contrast agent for confocal fluorescence microscopy and magnetomotive optical coherence tomography. J. Biophotonics 2019, 12, e201800219. [Google Scholar] [CrossRef]
- Kharey, P.; Indoliya, A.; Gupta, R.; Poddar, R.; Sharma, D.; Gupta, S. Near-infrared active superparamagnetic iron oxide nanoparticles for magnetomotive optical coherence tomography imaging and magnetic hyperthermia therapeutic applications. J. Magn. Magn. Mater. 2022, 549, 169038. [Google Scholar] [CrossRef]
- Indoliya, A.; Dhar, D.; Mohan, M.; Poddar, R. In-vivo analysis of iron-gold composite nanoparticles as potential exogenous contrast agents for magnetomotive optical coherence tomography (MMOCT). J. Magn. Magn. Mater. 2020, 514, 167211. [Google Scholar] [CrossRef]
- Marjanovic, M.; Nguyen, F.T.; Ahmad, A.; Huang, P.C.; Suslick, K.S.; Boppart, S.A. Characterization of Magnetic Nanoparticle-Seeded Microspheres for Magnetomotive and Multimodal Imaging. IEEE J. Sel. Top. Quantum. Electron. 2019, 25, 1–14. [Google Scholar] [CrossRef]
- Boyer, D.; Tamarat, P.; Maali, A.; Lounis, B.; Orrit, M. Photothermal Imaging of Nanometer-Sized Metal Particles Among Scatterers. Science 2002, 297, 1160–1163. [Google Scholar] [CrossRef]
- Adler, D.C.; Huang, S.W.; Huber, R.; Fujimoto, J.G. Photothermal detection of gold nanoparticles using phase-sensitive optical coherence tomography. Opt. Express 2008, 16, 4376–4393. [Google Scholar] [CrossRef]
- Skala, M.C.; Crow, M.J.; Wax, A.; Izatt, J.A. Photothermal optical coherence tomography of epidermal growth factor receptor in live cells using immunotargeted gold nanospheres. Nano Lett. 2008, 8, 3461–3467. [Google Scholar] [CrossRef] [PubMed]
- Paranjape, A.S.; Kuranov, R.; Baranov, S.; Ma, L.L.; Villard, J.W.; Wang, T.; Sokolov, K.V.; Feldman, M.D.; Johnston, K.P.; Milner, T.E. Depth resolved photothermal OCT detection of macrophages in tissue using nanorose. Biomed. Opt. Express 2010, 1, 2–16. [Google Scholar] [CrossRef]
- Zhou, C.; Tsai, T.H.; Adler, D.C.; Lee, H.C.; Cohen, D.W.; Mondelblatt, A.; Wang, Y.; Connolly, J.L.; Fujimoto, J.G. Photothermal optical coherence tomography in ex vivo human breast tissues using gold nanoshells. Opt. Lett. 2010, 35, 700–702. [Google Scholar] [CrossRef]
- Tucker-Schwartz, J.M.; Meyer, T.A.; Patil, C.A.; Duvall, C.L.; Skala, M.C. In vivo photothermal optical coherence tomography of gold nanorod contrast agents. Biomed. Opt. Express 2012, 3, 2881–2895. [Google Scholar] [CrossRef]
- Salimi, M.H.; Villiger, M.; Tabatabaei, N. Transient-mode photothermal optical coherence tomography. Opt. Lett. 2021, 46, 5703–5706. [Google Scholar] [CrossRef]
- Salimi, M.; Villiger, M.; Tabatabaei, N. Development of an opto-thermo-mechanical theoretical model for photothermal optical coherence tomography imaging of multilayered samples. In Proceedings of the European Conferences on Biomedical Optics 2021 (ECBO), Munich, Germany, 20 June 2021; p. ETu3D.4. [Google Scholar]
- Wu, J.; Wu, N.; Tang, P.; Lin, J.; Lian, Y.; Tang, Z. Pulse photothermal optical coherence tomography for multimodal hemodynamic imaging. Opt. Lett. 2021, 46, 5635–5638. [Google Scholar] [CrossRef] [PubMed]
- Jung, Y.; Reif, R.; Zeng, Y.; Wang, R.K. Three-dimensional high-resolution imaging of gold nanorods uptake in sentinel lymph nodes. Nano Lett. 2011, 11, 2938–2943. [Google Scholar] [CrossRef] [PubMed]
- Hu, Y.; Podoleanu, A.; Dobre, G. Photothermal optical coherence tomography for investigation and imaging photothermal trapping of gold nano-rods in clear media and biological tissue. J. Opt. 2019, 21, 095301. [Google Scholar] [CrossRef]
- Tucker-Schwartz, J.M.; Hong, T.; Colvin, D.C.; Xu, Y.; Skala, M.C. Dual-modality photothermal optical coherence tomography and magnetic-resonance imaging of carbon nanotubes. Opt. Lett. 2012, 37, 872–874. [Google Scholar] [CrossRef]
- Mohan, M.; Poddar, R. Ex-vivo molecular imaging with upconversion nanoparticles (UCNPs) using photo thermal optical coherence tomography (PTOCT). Photodiagn. Photodyn. 2021, 33, 102027. [Google Scholar] [CrossRef]
- Lapierre-Landry, M.; Gordon, A.Y.; Penn, J.S.; Skala, M.C. In vivo photothermal optical coherence tomography of endogenous and exogenous contrast agents in the eye. Sci. Rep. 2017, 7, 9228. [Google Scholar] [CrossRef]
- Gordon, A.Y.; Lapierre-Landry, M.; Skala, M.C.; Penn, J.S. Photothermal Optical Coherence Tomography of Anti-Angiogenic Treatment in the Mouse Retina Using Gold Nanorods as Contrast Agents. Transl. Vis. Sci. Technol. 2019, 8, 18. [Google Scholar] [CrossRef]
- Lapierre-Landry, M.; Connor, T.B.; Carroll, J.; Tao, Y.K.; Skala, M.C. Photothermal optical coherence tomography of indocyanine green in ex vivo eyes. Opt. Lett. 2018, 43, 2470–2473. [Google Scholar] [CrossRef]
- Nam, H.S.; Yoo, H. Spectroscopic optical coherence tomography: A review of concepts and biomedical applications. Appl. Spectrosc. Rev. 2018, 53, 91–111. [Google Scholar] [CrossRef]
- Morgner, U.; Drexler, W.; Kartner, F.X.; Li, X.D.; Pitris, C.; Ippen, E.P.; Fujimoto, J.G. Spectroscopic optical coherence tomography. Opt. Lett. 2000, 25, 111–113. [Google Scholar] [CrossRef]
- Xu, C.; Ye, J.; Marks, D.L.; Boppart, S.A. Near-infrared dyes as contrast-enhancing agents for spectroscopic optical coherence tomography. Opt. Lett. 2004, 29, 1647–1649. [Google Scholar] [CrossRef]
- Yang, C.; McGuckin, L.E.L.; Simon, J.D.; Choma, M.A.; Applegate, B.E.; Izatt, J.A. Spectral triangulation molecular contrast optical coherence tomography with indocyanine green as the contrast agent. Opt. Lett. 2004, 29, 2016–2018. [Google Scholar] [CrossRef]
- Oldenburg, A.L.; Hansen, M.N.; Ralston, T.S.; Wei, A.; Boppart, S.A. Imaging gold nanorods in excised human breast carcinoma by spectroscopic optical coherence tomography. J. Mater. Chem. 2009, 19, 6407. [Google Scholar] [CrossRef]
- Oldenburg, A.L.; Xu, C.; Boppart, S.A. Spectroscopic optical coherence tomography and microscopy. IEEE J. Sel. Top. Quantum Electron. 2007, 13, 1629–1640. [Google Scholar] [CrossRef]
- Huo, L.; Chen, Y.; Xi, J.; Hsu, K.; Li, X. Gold Nanocages for Spectroscopic OCT Imaging with A Swept Source at 1060 nm. In Proceedings of the Biomedical Optics and 3-D Imaging, Miami, FL, USA, 11 April 2010; p. BSuD10. [Google Scholar]
- Cang, H.; Sun, T.; Li, Z.Y.; Chen, J.; Wiley, B.J.; Xia, Y.; Li, X. Gold nanocages as contrast agents for spectroscopic optical coherence tomography. Opt. Lett. 2005, 30, 3048–3050. [Google Scholar] [CrossRef]
- Spicer, G.L.C.; Eid, A.; Wangpraseurt, D.; Swain, T.D.; Winkelmann, J.A.; Yi, J.; Kuhl, M.; Marcelino, L.A.; Backman, V. Measuring light scattering and absorption in corals with Inverse Spectroscopic Optical Coherence Tomography (ISOCT): A new tool for non-invasive monitoring. Sci. Rep. 2019, 9, 14148. [Google Scholar] [CrossRef]
- Si, P.; Shevidi, S.; Yuan, E.; Yuan, K.; Lautman, Z.; Jeffrey, S.S.; Sledge, G.W.; de la Zerda, A. Gold Nanobipyramids as Second Near Infrared Optical Coherence Tomography Contrast Agents for in Vivo Multiplexing Studies. Nano Lett. 2020, 20, 101–108. [Google Scholar] [CrossRef]
- Hyeong Soo, N.; Joon Woo, S.; Sun-Joo, J.; Jae Joong, L.; Wang-Yuhl, O.; Jin Won, K.; Hongki, Y. Characterization of lipid-rich plaques using spectroscopic optical coherence tomography. J. Biomed. Opt. 2016, 21, 1–9. [Google Scholar] [CrossRef]
- Kaminska, A.M.; Strakowski, M.R.; Plucinski, J. Spectroscopic Optical Coherence Tomography for Thin Layer and Foil Measurements. Sensors 2020, 20, 5653. [Google Scholar] [CrossRef]
- Robles, F.E.; Wilson, C.; Grant, G.; Wax, A. Molecular imaging true-colour spectroscopic optical coherence tomography. Nat. Photonics 2011, 5, 744–747. [Google Scholar] [CrossRef]
- Zhou, K.C.; Qian, R.; Farsiu, S.; Izatt, J.A. Spectroscopic optical coherence refraction tomography. Opt. Lett. 2020, 45, 2091–2094. [Google Scholar] [CrossRef]
- Tuchin, V.V. Polarized light interaction with tissues. J. Biomed. Opt. 2016, 21, 071114. [Google Scholar] [CrossRef] [PubMed]
- Hee, M.R.; Swanson, E.A.; Fujimoto, J.G.; Huang, D. Polarization-sensitive low-coherence reflectometer for birefringence characterization and ranging. J. Opt. Soc. Am. B 1992, 9, 903–908. [Google Scholar] [CrossRef]
- Makita, S.; Yasuno, Y.; Endo, T.; Itoh, M.; Yatagai, T. Polarization contrast imaging of biological tissues by polarization-sensitive Fourier-domain optical coherence tomography. Appl. Opt. 2006, 45, 1142–1147. [Google Scholar] [CrossRef] [PubMed]
- Schneider, S.; Krämer, A.; Eppler, F.; Alemye, H.; Hübner, C.; Mikonsaari, I.; Leuthold, J.; Freude, W.; Koos, C. Polarization-Sensitive Optical Coherence Tomography for Characterization of Size and Shape of Nano-Particles. In Proceedings of the CLEO: 2013, San Jose, CA, USA, 9 June 2013; p. AF1J.4. [Google Scholar]
- Lippok, N.; Villiger, M.; Albanese, A.; Meijer, E.F.J.; Chung, K.; Padera, T.P.; Bhatia, S.N.; Bouma, B.E. Depolarization signatures map gold nanorods within biological tissue. Nat. Photonics 2017, 11, 583–588. [Google Scholar] [CrossRef]
- Strąkowska, P.; Trojanowski, M.; Gardas, M.; Głowacki, M.J.; Kraszewski, M.; Strąkowski, M.R. Nano-particle doped hydroxyapatite material evaluation using spectroscopic polarization sensitive optical coherence tomography. In Proceedings of the SPIE, San Jose, CA, USA, 30 March 2015. [Google Scholar]
- Baumann, B. Polarization Sensitive Optical Coherence Tomography: A Review of Technology and Applications. Appl. Sci. 2017, 7, 474. [Google Scholar] [CrossRef]
- Sugita, M.; Pircher, M.; Zotter, S.; Baumann, B.; Roberts, P.; Makihira, T.; Tomatsu, N.; Sato, M.; Vass, C.; Hitzenberger, C.K. Retinal nerve fiber bundle tracing and analysis in human eye by polarization sensitive OCT. Biomed. Opt. Express 2015, 6, 1030–1054. [Google Scholar] [CrossRef]
- Henry, F.P.; Wang, Y.; Rodriguez, C.L.R.; Randolph, M.A.; Rust, E.A.Z.; Winograd, J.M.; de Boer, J.F.; Park, B.H. In vivo optical microscopy of peripheral nerve myelination with polarization sensitive-optical coherence tomography. J. Biomed. Opt. 2015, 20, 046002. [Google Scholar] [CrossRef]
- Baumann, B.; Götzinger, E.; Pircher, M.; Sattmann, H.; Schütze, C.; Schlanitz, F.; Ahlers, C.; Schmidt-Erfurth, U.; Hitzenberger, C.K. Segmentation and quantification of retinal lesions in age-related macular degeneration using polarization-sensitive optical coherence tomography. J. Biomed. Opt. 2010, 15, 061704. [Google Scholar] [CrossRef]
- De Boer, J.F.; Milner, T.E.; Van Gemert, M.J.; Nelson, J.S. Two-dimensional birefringence imaging in biological tissue by polarization-sensitive optical coherence tomography. Opt. Lett. 1997, 22, 934–936. [Google Scholar] [CrossRef]
- Yang, D.; Hu, M.; Zhang, M.; Liang, Y. High-resolution polarization-sensitive optical coherence tomography for zebrafish muscle imaging. Biomed. Opt. Express 2020, 11, 5618–5632. [Google Scholar] [CrossRef]
- Roberts, P.; Baumann, B.; Lammer, J.; Gerendas, B.; Kroisamer, J.; Bühl, W.; Pircher, M.; Hitzenberger, C.K.; Schmidt-Erfurth, U.; Sacu, S. Retinal pigment epithelial features in central serous chorioretinopathy identified by polarization-sensitive optical coherence tomography. Investig. Ophthalmol. Vis. Sci. 2016, 57, 1595–1603. [Google Scholar] [CrossRef]
- Schlanitz, F.G.; Baumann, B.; Kundi, M.; Sacu, S.; Baratsits, M.; Scheschy, U.; Shahlaee, A.; Mittermüller, T.J.; Montuoro, A.; Roberts, P. Drusen volume development over time and its relevance to the course of age-related macular degeneration. Br. J. Ophthalmol. 2017, 101, 198–203. [Google Scholar] [CrossRef]
- Schütze, C.; Ritter, M.; Blum, R.; Zotter, S.; Baumann, B.; Pircher, M.; Hitzenberger, C.K.; Schmidt-Erfurth, U. Retinal pigment epithelium findings in patients with albinism using wide-field polarization-sensitive optical coherence tomography. Retina 2014, 34, 2208–2217. [Google Scholar] [CrossRef]
- Fialová, S.; Augustin, M.; Fischak, C.; Schmetterer, L.; Handschuh, S.; Glösmann, M.; Pircher, M.; Hitzenberger, C.K.; Baumann, B. Posterior rat eye during acute intraocular pressure elevation studied using polarization sensitive optical coherence tomography. Biomed. Opt. Express 2017, 8, 298–314. [Google Scholar] [CrossRef]
- Wang, Y.; Yao, G. Optical tractography of the mouse heart using polarization-sensitive optical coherence tomography. Biomed. Opt. Express 2013, 4, 2540–2545. [Google Scholar] [CrossRef]
- Smith, R.M.; Black, A.J.; Velamakanni, S.S.; Akkin, T.; Tolkacheva, E.G. Visualizing the complex 3D geometry of the perfusion border zone in isolated rabbit heart. Appl. Opt. 2012, 51, 2713–2721. [Google Scholar] [CrossRef]
- Nadkarni, S.K. Optical measurement of arterial mechanical properties: From atherosclerotic plaque initiation to rupture. J. Biomed. Opt. 2013, 18, 121507. [Google Scholar] [CrossRef]
- Azinfar, L.; Ravanfar, M.; Wang, Y.; Zhang, K.; Duan, D.; Yao, G. High resolution imaging of the fibrous microstructure in bovine common carotid artery using optical polarization tractography. J. Biophotonics 2017, 10, 231–241. [Google Scholar] [CrossRef]
- Xin, Z.; Daniel, C.L.; Sina, M.; Lin, H.; Qihao, L.; Lioudmila, T.; Tim, K.L.; Shuo, T. Polarization sensitive optical coherence tomography for assessing skin roughness. Proceedings of SPIE BiOS, San Francisco, CA, USA, 19 February 2020. [Google Scholar]
- Lee, A.M.; Cahill, L.; Liu, K.; MacAulay, C.; Poh, C.; Lane, P. Wide-field in vivo oral OCT imaging. Biomed. Opt. Express 2015, 6, 2664–2674. [Google Scholar] [CrossRef]
- Bonesi, M.; Sattmann, H.; Torzicky, T.; Zotter, S.; Baumann, B.; Pircher, M.; Götzinger, E.; Eigenwillig, C.; Wieser, W.; Huber, R. High-speed polarization sensitive optical coherence tomography scan engine based on Fourier domain mode locked laser. Biomed. Opt. Express 2012, 3, 2987–3000. [Google Scholar] [CrossRef]
- Gong, P.; Chin, L.; Es’haghian, S.; Liew, Y.M.; Wood, F.M.; Sampson, D.D.; McLaughlin, R.A. Imaging of skin birefringence for human scar assessment using polarization-sensitive optical coherence tomography aided by vascular masking. J. Biomed. Opt. 2014, 19, 126014. [Google Scholar] [CrossRef]
- Simon, J.C.; Lucas, S.A.; Lee, R.C.; Darling, C.L.; Staninec, M.; Vaderhobli, R.; Pelzner, R.; Fried, D. Near-infrared imaging of secondary caries lesions around composite restorations at wavelengths from 1300–1700-nm. Dent. Mater. 2016, 32, 587–595. [Google Scholar] [CrossRef]
- Tom, H.; Simon, J.C.; Chan, K.H.; Darling, C.L.; Fried, D. Near-infrared imaging of demineralization under sealants. J. Biomed. Opt. 2014, 19, 077003. [Google Scholar] [CrossRef]
- Tom, H.; Chan, K.H.; Darling, C.L.; Fried, D. Near-IR image-guided laser ablation of demineralization on tooth occlusal surfaces. Lasers Surg. Med. 2016, 48, 52–61. [Google Scholar] [CrossRef]
- Ortega-Quijano, N.; Marvdashti, T.; Bowden, A.K.E. Enhanced depolarization contrast in polarization-sensitive optical coherence tomography. Opt. Lett. 2016, 41, 2350–2353. [Google Scholar] [CrossRef]
- South, F.A.; Chaney, E.J.; Marjanovic, M.; Adie, S.G.; Boppart, S.A. Differentiation of ex vivo human breast tissue using polarization-sensitive optical coherence tomography. Biomed. Opt. Express 2014, 5, 3417–3426. [Google Scholar] [CrossRef]
- Villiger, M.; Lorenser, D.; McLaughlin, R.A.; Quirk, B.C.; Kirk, R.W.; Bouma, B.E.; Sampson, D.D. Deep tissue volume imaging of birefringence through fibre-optic needle probes for the delineation of breast tumour. Sci. Rep. 2016, 6, 1–11. [Google Scholar] [CrossRef]
- Kiseleva, E.; Kirillin, M.; Feldchtein, F.; Vitkin, A.; Sergeeva, E.; Zagaynova, E.; Streltzova, O.; Shakhov, B.; Gubarkova, E.; Gladkova, N. Differential diagnosis of human bladder mucosa pathologies in vivo with cross-polarization optical coherence tomography. Biomed. Opt. Express 2015, 6, 1464–1476. [Google Scholar] [CrossRef] [PubMed]
- Xu, Y.; Wang, Z.; Zhang, W. Depolarization effect in light scattering of a single gold nanosphere. Opt. Express 2020, 28, 24275–24284. [Google Scholar] [CrossRef] [PubMed]
- Keahey, P.; Si, P.; Razavi, M.; Yu, S.; Lippok, N.; Villiger, M.; Padera, T.P.; de la Zerda, A.; Bouma, B. Spectral- and Polarization-Dependent Scattering of Gold Nanobipyramids for Exogenous Contrast in Optical Coherence Tomography. Nano Lett. 2021, 21, 8595–8601. [Google Scholar] [CrossRef] [PubMed]
- Chhetri, R.K.; Blackmon, R.L.; Wu, W.C.; Hill, D.B.; Button, B.; Casbas-Hernandez, P.; Troester, M.A.; Tracy, J.B.; Oldenburg, A.L. Probing biological nanotopology via diffusion of weakly constrained plasmonic nanorods with optical coherence tomography. Proc. Natl. Acad. Sci. USA 2014, 111, E4289–E4297. [Google Scholar] [CrossRef]
- Institute, A.N.S. Safe use of lasers. In ANSI Z 136; Laser Institute of America: Orlando, FL, USA, 2000. [Google Scholar]
- Haupts, U.; Tittor, J.; Oesterhelt, D. Closing in on bacteriorhodopsin: Progress in understanding the molecule. Annu. Rev. Biophys. Biomol. Struct. 1999, 28, 367–399. [Google Scholar] [CrossRef]
- Fankhauser, C. The phytochromes, a family of red/far-red absorbing photoreceptors. J. Biol. Chem. 2001, 276, 11453–11456. [Google Scholar] [CrossRef]
- Gartner, W.; Hill, C.; Worm, K.; Braslavsky, S.E.; Schaffner, K. Influence of expression system on chromophore binding and preservation of spectral properties in recombinant phytochrome A the SOCT methods presented here could be used for the detection of plasmon-resonant nanoparticle contrast agents with high extinction coefficients. Eur. J. Biochem. 1996, 236, 978–983. [Google Scholar] [CrossRef]
- Stephen, Z.R.; Kievit, F.M.; Zhang, M. Magnetite Nanoparticles for Medical MR Imaging. Mater. Today 2011, 14, 330–338. [Google Scholar] [CrossRef]
- Dulińska-Litewka, J.; Łazarczyk, A.; Hałubiec, P.; Szafrański, O.; Karnas, K.; Karewicz, A. Superparamagnetic Iron Oxide Nanoparticles-Current and Prospective Medical Applications. Materials 2019, 12, 617. [Google Scholar] [CrossRef]
- Gobin, A.M.; Lee, M.H.; Halas, N.J.; James, W.D.; Drezek, R.A.; West, J.L. Near-infrared resonant nanoshells for combined optical imaging and photothermal cancer therapy. Nano Lett. 2007, 7, 1929–1934. [Google Scholar] [CrossRef]
- Skala, M.C.; Crow, M.J.; Wax, A.; Izatt, J.A. Three-dimensional molecular imaging with photothermal optical coherence tomography. Methods Mol. Biol. 2013, 1026, 85–92. [Google Scholar] [CrossRef]
- Cho, E.C.; Au, L.; Zhang, Q.; Xia, Y. The effects of size, shape, and surface functional group of gold nanostructures on their adsorption and internalization by cells. Small 2010, 6, 517–522. [Google Scholar] [CrossRef]
- Kasaragod, D.; Au, K.M.; Lu, Z.; Childs, D.; Armes, S.P.; Matcher, S.J. Photothermal detection of the contrast properties of polypyrrole nanoparticles using optical coherence tomography. In Proceedings of the SPIE BiOS, San Francisco, CA, USA, 21 February 2013. [Google Scholar]
- Subhash, H.M.; Xie, H.; Smith, J.W.; McCarty, O.J.T. Optical detection of indocyanine green encapsulated biocompatible poly (lactic-co-glycolic) acid nanoparticles with photothermal optical coherence tomography. Opt. Lett. 2012, 37, 981–983. [Google Scholar] [CrossRef]
- Hu, H. Recent Advances of Bioresponsive Nano-Sized Contrast Agents for Ultra-High-Field Magnetic Resonance Imaging. Front. Chem. 2020, 8, 203. [Google Scholar] [CrossRef]
- Oldenburg, A.L.; Xu, C.; Luo, W.; Gunther, J.R.; Boppart, S.A.; Toublan, F.J.-J.; Suslick, K.S.; Najarro, G.R.; Watkin, K.L.; Wei, A. In vivo detection of exogenous contrast agents using optical coherence tomography. In Proceedings of the Biomedical Topical Meeting, Miami Beach, FL, USA, 14 April 2004; p. SG2. [Google Scholar]
- Cimalla, P.; Werner, T.; Gaertner, M.; Mueller, C.; Walther, J.; Wittig, D.; Ader, M.; Karl, M.; Koch, E. Magnetomotive imaging of iron oxide nanoparticles as cellular contrast agents for optical coherence tomography. In Proceedings of the Optical Coherence Tomography and Coherence Techniques VI, Munich, Germany, 12 May 2013; p. 88020M. [Google Scholar]











| Modality | Spatial Resolution | Temporal Resolution | Penetration Depth | Sensitivity | Multiplexing Capability | Safety Profile | Cost |
|---|---|---|---|---|---|---|---|
| Positron emission tomography (PET) | ~5 mm | Seconds-minutes | >1 m | ++ | No | Ionizing radiation | +++ |
| Single photon emission tomography (SPECT) | ~10 mm | Minutes | >1 m | ++ | Yes | Ionizing radiation | +++ |
| Computed tomography (CT) | ~1 mm | Seconds-minutes | >1 m | + | No | Ionizing radiation | ++ |
| Magnetic resonance imaging (MRI) | ~1 mm | Minutes-hours | >1 m | + | No | Good | +++ |
| Ultrasound (US) | 0.1–1 mm | Seconds-minutes | mm-cm | ++ | No | Good | + |
| Bioluminescence imaging | 3–5 mm | Seconds-minutes | 1–2 cm | +++ | Yes | Good | + |
| Fluorescence imaging | 0.5–3 mm | Seconds-minutes | <1 cm | ++ | Yes | Depends on fluorophore | + |
| Photoacoustic imaging | 0.01–1 mm | Seconds-minutes | 0.5–5 cm | ++ | Yes | Depends on imaging agents | + |
| Surface-enhanced raman scattering imaging | 0.1–1 mm | Seconds-hours | 5 mm | +++ | Yes | Good | ++ |
| Molecular contrast optical coherence tomography (MS-OCT) | 0.01 mm | Milliseconds-minutes | 1 mm | +++ | Depends on methods | Depends on extra fields and contrast agents | + |
| Technique | Signal Source | Spatial Resolution | Imaging Speed | Sensitivity | Extra Fields | Safety Profile | Multiplexing Capability | Contrast Agents |
|---|---|---|---|---|---|---|---|---|
| Engineered particles | Scattering and absorption | ~10 µm | +++ | + | None | Depends on contrast agents | Not yet | Exogenous |
| PP-OCT | Absorption | ~10 µm | + | ++ | Pump light | Depends on contrast agents and pump light energy | Yes | Exogenous |
| Pump suppression OCT | Absorption | ~15µm | + | +++ | Pump light | Depends on contrast agents and pump light energy | Not yet | Exogenous |
| SH-OCT | Coherence | ~15 µm | + | ++ | None | Depends on pump energy | Not yet | Endogenous |
| NIVI | Coherence | ~15 µm | + | +++ | Pump and Stokes light | Depends on pump energy | Yes | Exogenous and endogenous |
| PT-OCT | Phrase shift | ~15 µm | + | ++ | Photothermal light | Depends on contrast agents and photothermal energy | Not yet | Exogenous and endogenous |
| MM-OCT | Phrase shift | ~5 µm | + | ++ | Magnetic field | Depends on contrast agents | Not yet | Exogenous |
| S-OCT | Absorption | ~35 µm | ++ | +++ | None | Depends on contrast agents | Yes | Exogenous and endogenous |
| PS-OCT | Scattering | ~10 µm | ++ | ++ | None | Depends on contrast agents | Not yet | Exogenous and endogenous |
Publisher’s Note: MDPI stays neutral with regard to jurisdictional claims in published maps and institutional affiliations. |
© 2022 by the authors. Licensee MDPI, Basel, Switzerland. This article is an open access article distributed under the terms and conditions of the Creative Commons Attribution (CC BY) license (https://creativecommons.org/licenses/by/4.0/).
Share and Cite
Wang, A.; Qi, W.; Gao, T.; Tang, X. Molecular Contrast Optical Coherence Tomography and Its Applications in Medicine. Int. J. Mol. Sci. 2022, 23, 3038. https://doi.org/10.3390/ijms23063038
Wang A, Qi W, Gao T, Tang X. Molecular Contrast Optical Coherence Tomography and Its Applications in Medicine. International Journal of Molecular Sciences. 2022; 23(6):3038. https://doi.org/10.3390/ijms23063038
Chicago/Turabian StyleWang, Ancong, Wenliu Qi, Tianxin Gao, and Xiaoying Tang. 2022. "Molecular Contrast Optical Coherence Tomography and Its Applications in Medicine" International Journal of Molecular Sciences 23, no. 6: 3038. https://doi.org/10.3390/ijms23063038
APA StyleWang, A., Qi, W., Gao, T., & Tang, X. (2022). Molecular Contrast Optical Coherence Tomography and Its Applications in Medicine. International Journal of Molecular Sciences, 23(6), 3038. https://doi.org/10.3390/ijms23063038

