Evaluating EcxR for Its Possible Role in Ehrlichia chaffeensis Gene Regulation
Abstract
1. Introduction
2. Results
2.1. Southwestern Blotting to Assess Interactions of Five Predicted DNA Binding Proteins with Several Gene Promoters
2.2. EcxR Protein Structure Prediction
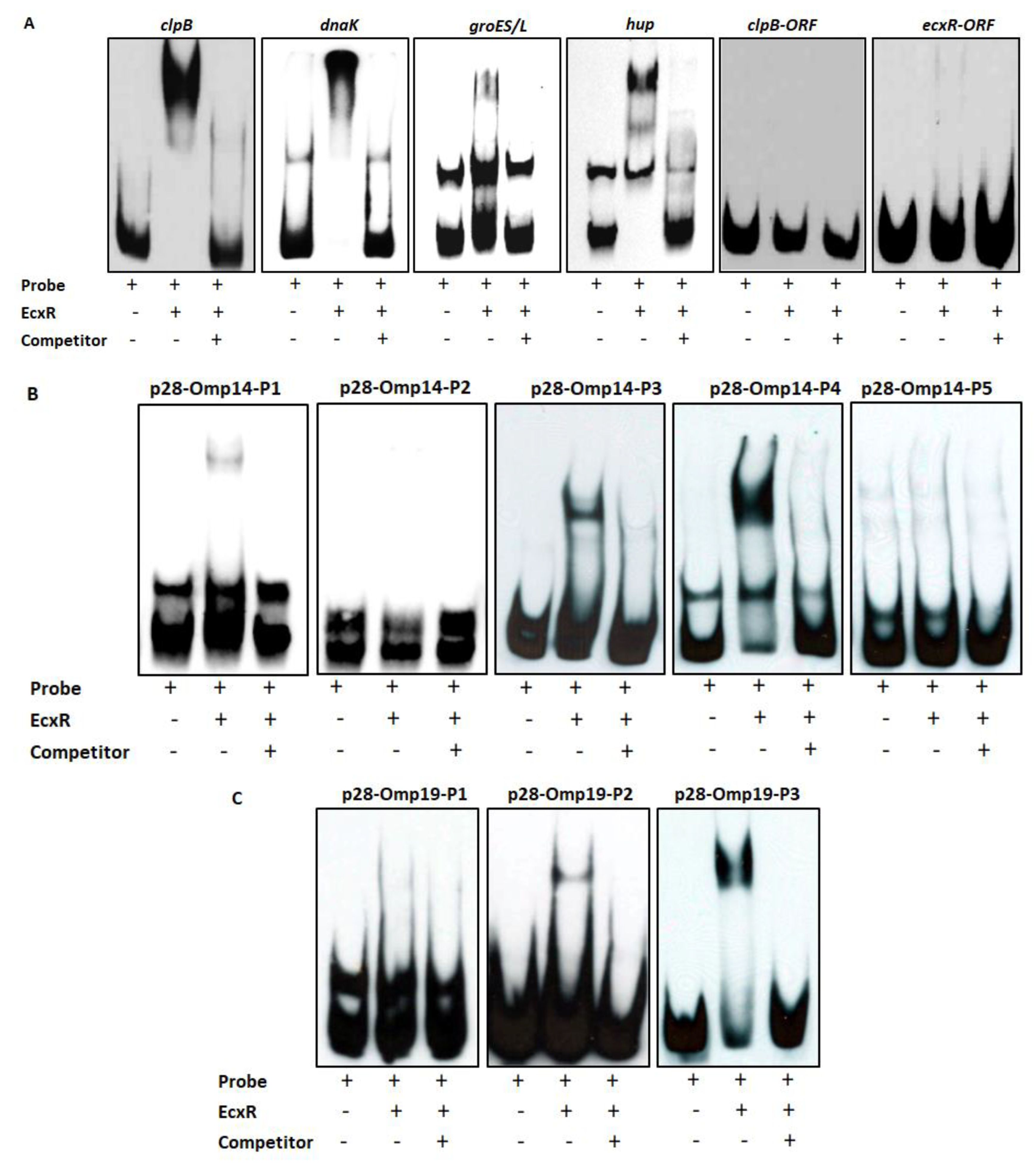
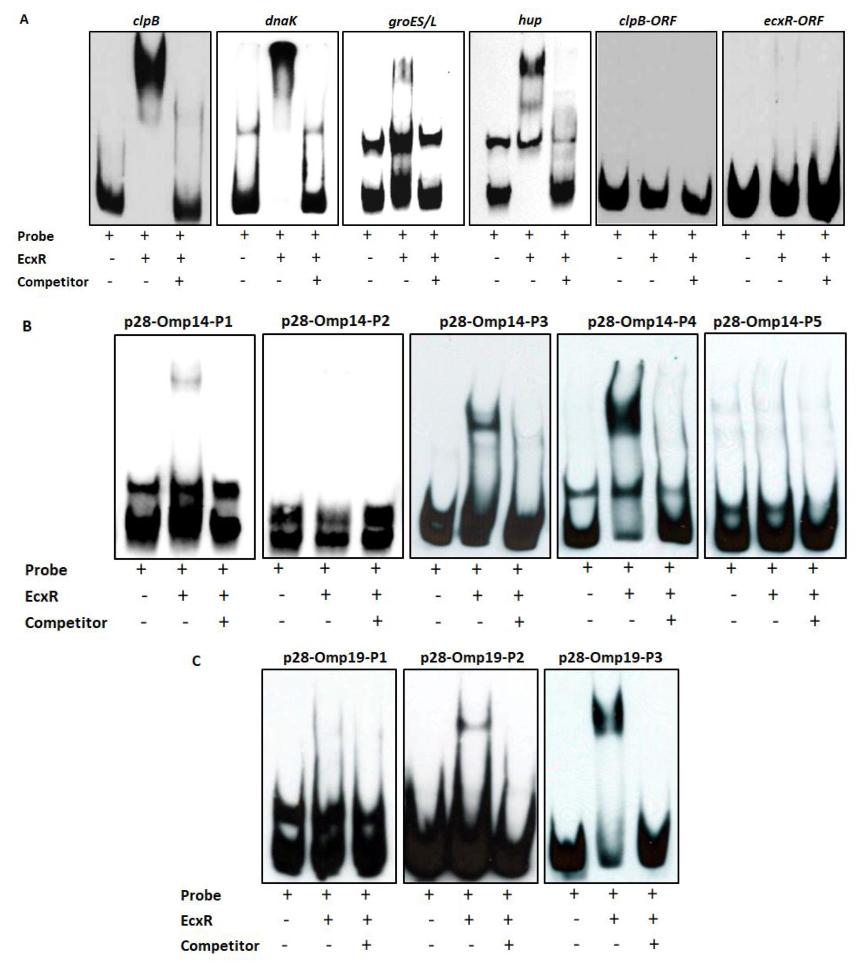
2.3. Specific Interaction of EcxR with Several Gene Promoters Is Independently Confirmed by Electrophoretic Mobility Shift Assay (EMSA)
2.4. EcxR Binding Validated by Yeast One-Hybrid Assay System for Tr1 and for the Two p28 Omp Gene Promoters
2.5. EcxR RNA Expression during the E. chaffeensis In Vitro Growth
2.6. Impact of EcxR on the Transcription of E. chaffeensis Genes Assessed in the E. coli Surrogate System Expressing E. chaffeensis Sigma Factors
2.7. Impact of EcxR binding on the Transcription of E. chaffeensis Genes Assessed Independently Using the In Vitro Transcription Assay
3. Discussion
4. Materials and Methods
4.1. E. coli Strains and Plasmids
4.2. Southwestern Analysis
4.3. In Silico Sequence Analyses
4.4. Electrophoretic Mobility Shift Assays (EMSAs)
4.5. Yeast One-Hybrid Assay
4.6. Synchronous Culture of E. chaffeensis and Real-Time RT-PCR
4.7. E. coli Growth Conditions and β-Galactosidase Assays
4.8. In Vitro Transcription Assays
4.9. Consensus Sequence
5. Conclusions
Supplementary Materials
Author Contributions
Funding
Institutional Review Board Statement
Informed Consent Statement
Data Availability Statement
Conflicts of Interest
References
- Ganguly, S.; Mukhopadhayay, S.K. Tick-borne ehrlichiosis infection in human beings. J. Vector Borne. Dis. 2008, 45, 273–280. [Google Scholar] [PubMed]
- Allan, B.F.; Goessling, L.S.; Storch, G.A.; Thach, R.E. Blood meal analysis to identify reservoir hosts for Amblyomma americanum ticks. Emerg. Infect. Dis. 2010, 16, 433–440. [Google Scholar] [CrossRef] [PubMed]
- Dawson, J.E.; Biggie, K.L.; Warner, C.K.; Cookson, K.; Jenkins, S.; Levine, J.F.; Olson, J.G. Polymerase chain reaction evidence of Ehrlichia chaffeensis, an etiologic agent of human monocytic ehrlichiosis, in dogs, from southeast Virginia. Am. J. Vet. Res. 1996, 57, 1175–1179. [Google Scholar] [PubMed]
- Lockhart, J.M.; Davidson, W.R.; Stallknecht, D.E.; Dawson, J.E.; Howerth, E.W. Isolation of Ehrlichia chaffeensis from wild white-tailed deer (Odocoileus virginianus) confirms their role as natural reservoir hosts. J. Clin. Microbiol. 1997, 35, 1681–1686. [Google Scholar] [CrossRef]
- Breitschwerdt, E.B.; Hegarty, B.C.; Hancock, S.I. Sequential evaluation of dogs naturally infected with Ehrlichia canis, Ehrlichia chaffeensis, Ehrlichia equi, Ehrlichia ewingii, or Bartonella vinsonii. J. Clin. Microbiol. 1998, 36, 2645–2651. [Google Scholar] [CrossRef]
- Dugan, V.G.; Little, S.E.; Stallknecht, D.E.; Beall, A.D. Natural infection of domestic goats with Ehrlichia chaffeensis. J. Clin. Microbiol. 2000, 38, 448–449. [Google Scholar] [CrossRef]
- Kocan, A.A.; Levesque, G.C.; Whitworth, L.C.; Murphy, G.L.; Ewing, S.A.; Barker, R.W. Naturally occurring Ehrlichia chaffeensis infection in coyotes from Oklahoma. Emerg. Infect. Dis. 2000, 6, 477–480. [Google Scholar] [CrossRef]
- Davidson, W.R.; Lockhart, J.M.; Stallknecht, D.E.; Howerth, E.W.; Dawson, J.E.; Rechav, Y. Persistent Ehrlichia chaffeensis infection in white-tailed deer. J. Wildl. Dis. 2001, 37, 538–546. [Google Scholar] [CrossRef]
- Schutze, G.E.; Buckingham, S.C.; Marshall, G.S.; Woods, C.R.; Jackson, M.A.; Patterson, L.E.; Jacobs, R.F. Human monocytic ehrlichiosis in children. Pediatr. Infect. Dis. J. 2007, 26, 475–479. [Google Scholar] [CrossRef]
- Dunning Hotopp, J.C.; Lin, M.; Madupu, R.; Crabtree, J.; Angiuoli, S.V.; Eisen, J.; Seshadri, R.; Ren, Q.; Wu, M.; Utterback, T.R.; et al. Comparative Genomics of Emerging Human Ehrlichiosis Agents. PLOS Genet. 2006, 2, e21. [Google Scholar]
- Ismail, N.; Bloch, K.C.; McBride, J.W. Human ehrlichiosis and anaplasmosis. Clin. Lab. Med. 2010, 30, 261–292. [Google Scholar] [CrossRef] [PubMed]
- Yabsley, M.J. Natural History of Ehrlichia chaffeensis: Vertebrate hosts and tick vectors from the United States and evidence for endemic transmission in other countries. Vet. Parasitol. 2010, 167, 136–148. [Google Scholar] [CrossRef] [PubMed]
- Walker, D.H.; Paddock, C.D.; Dumler, J.S. Emerging and re-emerging tick-transmitted rickettsial and ehrlichial infections. Med. Clin. N. Am. 2008, 92, 1345–1361. [Google Scholar] [CrossRef] [PubMed]
- Rikihisa, Y. Ehrlichia subversion of host innate responses. Curr. Opin. Microbiol. 2006, 9, 95–101. [Google Scholar] [CrossRef] [PubMed]
- Zhang, J.-Z.; Popov, V.L.; Gao, S.; Walker, D.H.; Yu, X.-J. The developmental cycle of Ehrlichia chaffeensis in vertebrate cells. Cell. Microbiol. 2007, 9, 610–618. [Google Scholar] [CrossRef]
- Dedonder, S.E.; Cheng, C.; Willard, L.H.; Boyle, D.L.; Ganta, R.R. Transmission electron microscopy reveals distinct macrophage- and tick cell-specific morphological stages of Ehrlichia chaffeensis. PLoS ONE 2012, 7, e36749. [Google Scholar] [CrossRef]
- Gruber, T.M.; Gross, C.A. Multiple sigma subunits and the partitioning of bacterial transcription space. Annu. Rev. Microbiol. 2003, 57, 441–466. [Google Scholar] [CrossRef]
- Gunesekere, I.C.; Kahler, C.M.; Powell, D.R.; Snyder, L.A.; Saunders, N.J.; Rood, J.I.; Davies, J.K. Comparison of the RpoH-dependent regulon and general stress response in Neisseria gonorrhoeae. J. Bacteriol. 2006, 188, 4769–4776. [Google Scholar] [CrossRef]
- Browning, D.F.; Busby, S.J.W. Local and global regulation of transcription initiation in bacteria. Nat. Rev. Microbiol. 2016, 14, 638. [Google Scholar] [CrossRef]
- Kill, K.; Binnewies, T.T.; Sicheritz-Pontén, T.; Willenbrock, H.; Hallin, P.F.; Wassenaar, T.M.; Ussery, D.W. Genome update: Sigma factors in 240 bacterial genomes. Microbiology 2005, 151, 3147–3150. [Google Scholar] [CrossRef][Green Version]
- Tripathi, L.; Zhang, Y.; Lin, Z. Bacterial Sigma Factors as Targets for Engineered or Synthetic Transcriptional Control. Front. Bioeng. Biotechnol. 2014, 2, 33. [Google Scholar] [CrossRef] [PubMed]
- Gal-Mor, O.; Zusman, T.; Segal, G. Analysis of DNA regulatory elements required for expression of the Legionella pneumophila icm and dot virulence genes. J. Bacteriol. 2002, 184, 3823–3833. [Google Scholar] [CrossRef] [PubMed]
- Cheng, Z.; Miura, K.; Popov, V.L.; Kumagai, Y.; Rikihisa, Y. Insights into the CtrA regulon in development of stress resistance in obligatory intracellular pathogen Ehrlichia chaffeensis. Mol. Microbiol. 2011, 82, 1217–1234. [Google Scholar] [CrossRef] [PubMed]
- Cheng, Z.; Wang, X.; Rikihisa, Y. Regulation of type IV secretion apparatus genes during Ehrlichia chaffeensis intracellular development by a previously unidentified protein. J. Bacteriol. 2008, 190, 2096–2105. [Google Scholar] [CrossRef] [PubMed]
- Duan, N.; Ma, X.; Cui, H.; Wang, Z.; Chai, Z.; Yan, J.; Li, X.; Feng, Y.; Cao, Y.; Jin, Y.; et al. Insights into the mechanism regulating the differential expression of the P28-OMP outer membrane proteins in obligatory intracellular pathogen Ehrlichia chaffeensis. Emerg. Microbes. Infect. 2021, 10, 461–471. [Google Scholar] [CrossRef]
- Wang, X.; Cheng, Z.; Zhang, C.; Kikuchi, T.; Rikihisa, Y. Anaplasma phagocytophilum p44 mRNA Expression Is Differentially Regulated in Mammalian and Tick Host Cells: Involvement of the DNA Binding Protein ApxR. J. Bacteriol. 2007, 189, 8651–8659. [Google Scholar] [CrossRef]
- Wang, X.; Kikuchi, T.; Rikihisa, Y. Proteomic Identification of a Novel Anaplasma phagocytophilum DNA-Binding Protein That Regulates a Putative Transcription Factor. J. Bacteriol. 2007, 189, 6740. [Google Scholar] [CrossRef]
- Moumène, A.; Gonzalez-Rizzo, S.; Lefrançois, T.; Vachiéry, N.; Meyer, D.F. Iron Starvation Conditions Upregulate Ehrlichia ruminantium Type IV Secretion System, tr1 Transcription Factor and map1 Genes Family through the Master Regulatory Protein ErxR. Front. Cell. Infect. Microbiol. 2018, 7, 535. [Google Scholar] [CrossRef]
- Li, Z.; Carlow, C.K. Characterization of transcription factors that regulate the type IV secretion system and riboflavin biosynthesis in Wolbachia of Brugia malayi. PLoS ONE 2012, 7, 10. [Google Scholar] [CrossRef]
- Siu, F.K.Y.; Lee, L.T.O.; Chow, B.K.C. Southwestern blotting in investigating transcriptional regulation. Nat. Protoc. 2008, 3, 51–58. [Google Scholar] [CrossRef]
- Peddireddi, L.; Cheng, C.; Ganta, R.R. Promoter analysis of macrophage- and tick cell-specific differentially expressed Ehrlichia chaffeensis p28-Omp genes. BMC Microbiol. 2009, 9, 99. [Google Scholar] [CrossRef] [PubMed]
- Singu, V.; Liu, H.; Cheng, C.; Ganta, R.R. Ehrlichia chaffeensis expresses macrophage- and tick cell-specific 28-kilodalton outer membrane proteins. Infect. Immun. 2005, 73, 79–87. [Google Scholar] [CrossRef] [PubMed]
- Rikihisa, Y. Molecular Pathogenesis of Ehrlichia chaffeensis Infection. Annu. Rev. Microbiol. 2015, 69, 283–304. [Google Scholar] [CrossRef]
- Faburay, B.; Liu, H.; Peddireddi, L.; Ganta, R.R. Isolation and characterization of Ehrlichia chaffeensis RNA polymerase and its use in evaluating p28 outer membrane protein gene promoters. BMC Microbiol. 2011, 11, 83–97. [Google Scholar] [CrossRef] [PubMed]
- Morimoto, R.I. Cells in stress: Transcriptional activation of heat shock genes. Science 1993, 259, 1409–1410. [Google Scholar] [CrossRef] [PubMed]
- Fourie, K.R.; Wilson, H.L. Understanding GroEL and DnaK Stress Response Proteins as Antigens for Bacterial Diseases. Vaccines 2020, 8, 773. [Google Scholar] [CrossRef]
- Susin, M.F.; Baldini, R.L.; Gueiros-Filho, F.; Gomes, S.L. GroES/GroEL and DnaK/DnaJ Have Distinct Roles in Stress Responses and during Cell Cycle Progression in Caulobacter crescentus. J. Bacteriol. 2006, 188, 8044–8053. [Google Scholar] [CrossRef] [PubMed]
- Hellman, L.M.; Fried, M.G. Electrophoretic mobility shift assay (EMSA) for detecting protein-nucleic acid interactions. Nat. Protoc. 2007, 2, 1849–1861. [Google Scholar] [CrossRef]
- Xiao-Fen, J.; Bo, Z.; Ri-He, P.; Hai-Hua, J.; Jian-Min, C.; Jing, Z.; Jian, Z.; Quan-Hong, Y.; Ai-Sheng, X. Optimizing the binding activity of the AP2/ERF transcription factor with the GCC box element from Brassica napus by directed evolution. BMB Rep. 2010, 43, 567–572. [Google Scholar]
- Bonaldi, K.; Li, Z.; Kang, S.E.; Breton, G.; Pruneda-Paz, J.L. Novel cell surface luciferase reporter for high-throughput yeast one-hybrid screens. Nucleic Acids Res. 2017, 45, e157. [Google Scholar] [CrossRef][Green Version]
- Liu, H.; Von Ohlen, T.; Cheng, C.; Faburay, B.; Ganta, R.R. Transcription of Ehrlichia chaffeensis genes is accomplished by RNA polymerase holoenzyme containing either sigma 32 or sigma 70. PLoS ONE 2013, 8, e81780. [Google Scholar] [CrossRef] [PubMed]
- Liu, H.; Jakkula, L.U.M.R.; Von Ohlen, T.; Ganta, R.R. Sequence determinants spanning-35 motif and AT-rich spacer region impacting Ehrlichia chaffeensis Sigma 70-dependent promoter activity of two differentially expressed p28 outer membrane protein genes. DNA Res. 2016, 23, 495–505. [Google Scholar] [CrossRef] [PubMed]
- Liu, H.; Ganta, R.R. Sequence Determinants Spanning −10 Motif and Spacer Region Implicated in Unique Ehrlichia chaffeensis Sigma 32-Dependent Promoter Activity of dnaK Gene. Front. Microbiol. 2019, 10, 1772. [Google Scholar] [CrossRef]
- Lonetto, M.A.; Rhodius, V.; Lamberg, K.; Kiley, P.; Busby, S.; Gross, C. Identification of a contact site for different transcription activators in region 4 of the Escherichia coli RNA polymerase σ70 subunit. J. Mol. Biol. 1998, 284, 1353–1365. [Google Scholar] [CrossRef] [PubMed]
- Koo, B.M.; Rhodius, V.A.; Campbell, E.A.; Gross, C.A. Dissection of recognition determinants of Escherichia coli sigma32 suggests a composite-10 region with an ‘extended-10’ motif and a core-10 element. Mol. Microbiol. 2009, 72, 815–829. [Google Scholar] [CrossRef] [PubMed]
- Singu, V.; Peddireddi, L.; Sirigireddy, K.R.; Cheng, C.; Munderloh, U.; Ganta, R.R. Unique macrophage and tick cell-specific protein expression from the p28/p30-outer membrane protein multigene locus in Ehrlichia chaffeensis and Ehrlichia canis. Cell. Microbiol. 2006, 8, 1475–1487. [Google Scholar] [CrossRef] [PubMed]
- Kumagai, Y.; Cheng, Z.; Lin, M.; Rikihisa, Y. Biochemical activities of three pairs of Ehrlichia chaffeensis two-component regulatory system proteins involved in inhibition of lysosomal fusion. Infect. Immun. 2006, 74, 5014–5022. [Google Scholar] [CrossRef] [PubMed][Green Version]
- Koo, I.C.; Walthers, D.; Hefty, P.S.; Kenney, L.J.; Stephens, R.S. ChxR is a transcriptional activator in Chlamydia. Proc. Natl. Acad. Sci. USA 2006, 103, 750–755. [Google Scholar] [CrossRef] [PubMed]
- Huang, X.; Dong, Y.; Zhao, J. HetR homodimer is a DNA-binding protein required for heterocyst differentiation, and the DNA-binding activity is inhibited by PatS. Proc. Natl. Acad. Sci. USA 2004, 101, 4848–4853. [Google Scholar] [CrossRef] [PubMed]
- Zolkiewski, M.; Zhang, T.; Nagy, M. Aggregate reactivation mediated by the Hsp100 chaperones. Arch. Biochem. Biophys. 2012, 520, 1–6. [Google Scholar] [CrossRef] [PubMed]
- Glover, J.R.; Lindquist, S. Hsp104, Hsp70, and Hsp40: A Novel Chaperone System that Rescues Previously Aggregated Proteins. Cell 1998, 94, 73–82. [Google Scholar] [CrossRef]
- Zolkiewski, M. ClpB Cooperates with DnaK, DnaJ, and GrpE in Suppressing Protein Aggregation: A Novel Multi-Chaperone System From Escherichia Coli *. J. Biol. Chem. 1999, 274, 28083–28086. [Google Scholar] [CrossRef]
- Motohashi, K.; Watanabe, Y.; Yohda, M.; Yoshida, M. Heat-inactivated proteins are rescued by the DnaK⋅J-GrpE set and ClpB chaperones. Proc. Natl. Acad. Sci. USA 1999, 96, 7184–7189. [Google Scholar] [CrossRef]
- Goloubinoff, P.; Mogk, A.; Zvi, A.P.B.; Tomoyasu, T.; Bukau, B. Sequential mechanism of solubilization and refolding of stable protein aggregates by a bichaperone network. Proc. Natl. Acad. Sci. USA 1999, 96, 13732–13737. [Google Scholar] [CrossRef] [PubMed]
- Zhang, T.; Kedzierska-Mieszkowska, S.; Liu, H.; Cheng, C.; Ganta, R.R.; Zolkiewski, M. Aggregate-Reactivation Activity of the Molecular Chaperone ClpB from Ehrlichia chaffeensis. PLoS ONE 2013, 8, e62454. [Google Scholar] [CrossRef]
- Fayet, O.; Ziegelhoffer, T.; Georgopoulos, C. The groES and groEL heat shock gene products of Escherichia coli are essential for bacterial growth at all temperatures. J. Bacteriol. 1989, 171, 1379–1385. [Google Scholar] [CrossRef]
- Horwich, A.L.; Low, K.B.; Fenton, W.A.; Hirshfield, I.N.; Furtak, K. Folding in vivo of bacterial cytoplasmic proteins: Role of GroEL. Cell 1993, 74, 909–917. [Google Scholar] [CrossRef]
- Hayer-Hartl, M.; Bracher, A.; Hartl, F.U. The GroEL–GroES Chaperonin Machine: A Nano-Cage for Protein Folding. Trends Biochem. Sci. 2016, 41, 62–76. [Google Scholar] [CrossRef] [PubMed]
- Theiler, A. Gallsickness in imported cattle and the protective inoculation against this disease. Agric. J. Union S. Afr. 1912, 3, 7–46. [Google Scholar]
- Rouvière-Yaniv, J.; Gros, F. Characterization of a novel, low-molecular-weight DNA-binding protein from Escherichia coli. Proc. Natl. Acad. Sci. USA 1975, 72, 3428–3432. [Google Scholar] [CrossRef] [PubMed]
- Drlica, K.; Rouviere-Yaniv, J. Histonelike proteins of bacteria. Microbiol. Rev. 1987, 51, 301–319. [Google Scholar] [CrossRef]
- Bailey, T.L.; Johnson, J.; Grant, C.E.; Noble, W.S. The MEME Suite. Nucleic Acids Res 2015, 43, W39–W49. [Google Scholar] [CrossRef]
- Tan, M.; Engel, J.N. Identification of sequences necessary for transcription in vitro from the Chlamydia trachomatis rRNA P1 promoter. J. Bacteriol. 1996, 178, 6975–6982. [Google Scholar] [CrossRef] [PubMed][Green Version]
- Wang, Y.; de Haseth, P.L. Sigma 32-dependent promoter activity in vivo: Sequence determinants of the groE promoter. J. Bacteriol. 2003, 185, 5800–5806. [Google Scholar] [CrossRef] [PubMed]
- Eisenberg, D. Three-dimensional structure of membrane and surface proteins. Annu. Rev. Biochem. 1984, 53, 595–623. [Google Scholar] [CrossRef] [PubMed]
- Garnier, J.; Osguthorpe, D.J.; Robson, B. Analysis of the accuracy and implications of simple methods for predicting the secondary structure of globular proteins. J. Mol. Biol. 1978, 120, 97–120. [Google Scholar] [CrossRef]
- Kyte, J.; Doolittle, R.F. A simple method for displaying the hydropathic character of a protein. J. Mol. Biol. 1982, 157, 105–132. [Google Scholar] [CrossRef]
- Deplancke, B.; Mukhopadhyay, A.; Ao, W.; Elewa, A.M.; Grove, C.A.; Martinez, N.J.; Sequerra, R.; Doucette-Stamm, L.; Reece-Hoyes, J.S.; Hope, I.A.; et al. A gene-centered C. elegans protein-DNA interaction network. Cell 2006, 125, 1193–1205. [Google Scholar] [CrossRef] [PubMed]
- Deplancke, B.; Dupuy, D.; Vidal, M.; Walhout, A.J. A gateway-compatible yeast one-hybrid system. Genome Res. 2004, 14, 2093–2101. [Google Scholar] [CrossRef]
- Cheng, C.; Ganta, R.R. Laboratory maintenance of Ehrlichia chaffeensis and Ehrlichia canis and recovery of organisms for molecular biology and proteomics studies. Curr. Protoc. Microbiol. 2008, 3, 3A.1.1–3A.1.21. [Google Scholar] [CrossRef] [PubMed]
- Winer, J.; Jung, C.K.S.; Shackel, I.; Williams, P.M. Development and Validation of Real-Time Quantitative Reverse Transcriptase–Polymerase Chain Reaction for Monitoring Gene Expression in Cardiac Myocytesin Vitro. Anal. Biochem. 1999, 270, 41–49. [Google Scholar] [CrossRef] [PubMed]









Publisher’s Note: MDPI stays neutral with regard to jurisdictional claims in published maps and institutional affiliations. |
© 2022 by the authors. Licensee MDPI, Basel, Switzerland. This article is an open access article distributed under the terms and conditions of the Creative Commons Attribution (CC BY) license (https://creativecommons.org/licenses/by/4.0/).
Share and Cite
Liu, H.; Knox, C.A.; Jakkula, L.U.M.R.; Wang, Y.; Peddireddi, L.; Ganta, R.R. Evaluating EcxR for Its Possible Role in Ehrlichia chaffeensis Gene Regulation. Int. J. Mol. Sci. 2022, 23, 12719. https://doi.org/10.3390/ijms232112719
Liu H, Knox CA, Jakkula LUMR, Wang Y, Peddireddi L, Ganta RR. Evaluating EcxR for Its Possible Role in Ehrlichia chaffeensis Gene Regulation. International Journal of Molecular Sciences. 2022; 23(21):12719. https://doi.org/10.3390/ijms232112719
Chicago/Turabian StyleLiu, Huitao, Cheyenne A. Knox, Laxmi U. M. R. Jakkula, Ying Wang, Lalitha Peddireddi, and Roman R. Ganta. 2022. "Evaluating EcxR for Its Possible Role in Ehrlichia chaffeensis Gene Regulation" International Journal of Molecular Sciences 23, no. 21: 12719. https://doi.org/10.3390/ijms232112719
APA StyleLiu, H., Knox, C. A., Jakkula, L. U. M. R., Wang, Y., Peddireddi, L., & Ganta, R. R. (2022). Evaluating EcxR for Its Possible Role in Ehrlichia chaffeensis Gene Regulation. International Journal of Molecular Sciences, 23(21), 12719. https://doi.org/10.3390/ijms232112719

